Vol. 4 No. 020: November-December 2022

					View Vol. 4 No. 020: November-December 2022

This month, we are honored to feature an interview with Professor Andreas Halder, President of the German Orthopaedic Society and director of one of Europe's most active joint replacement centers. Having transitioned from arthroscopic reconstruction to high-volume arthroplasty, Professor Halder's scientific trajectory was shaped by a research tenure at the Mayo Clinic, where he developed a systematic approach to clinical inquiry. His current work integrates robotics and data-driven outcomes into surgical practice, while maintaining a commitment to evidence-based guidelines and the mentorship of emerging orthopedic surgeons.

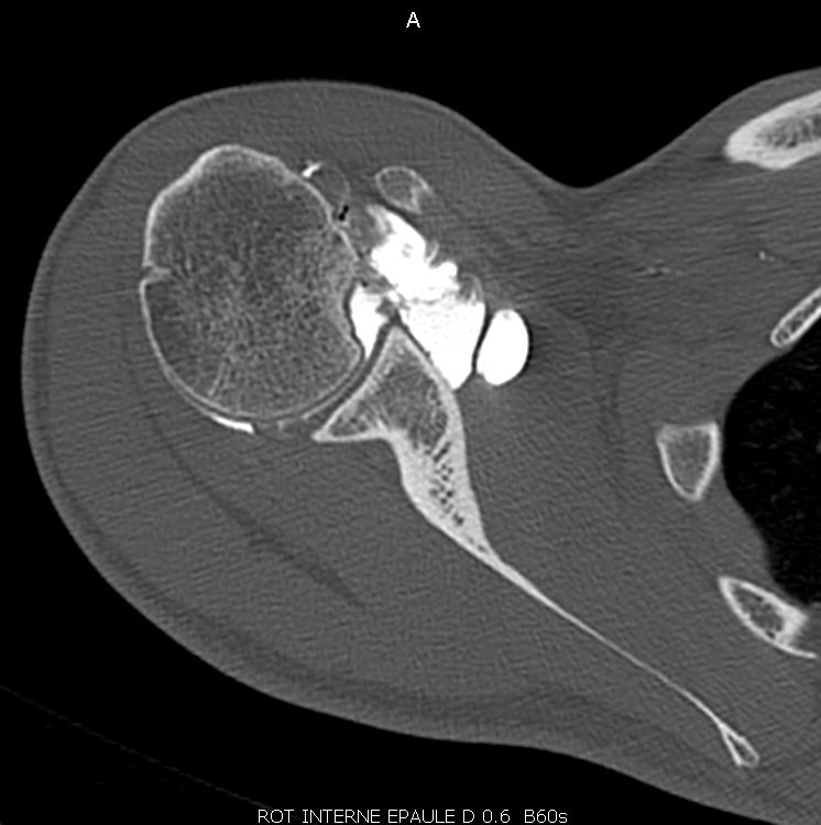
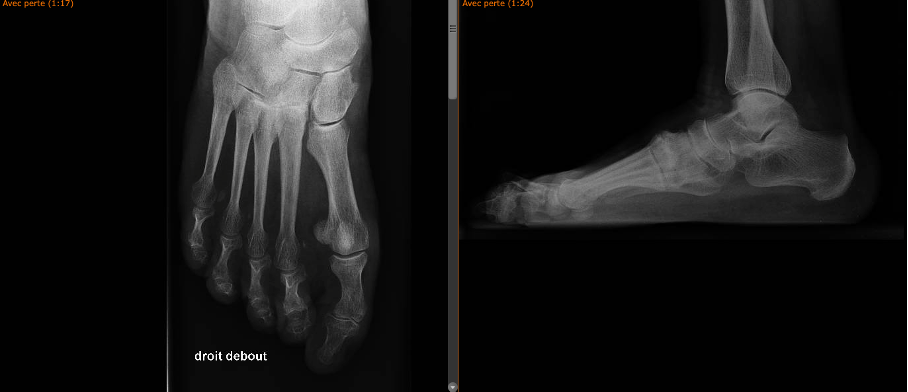
The clinical articles in this issue address four distinct domains. Knee revision surgery is examined through the application of 3D printed models, exploring their role in preoperative planning and intraoperative guidance. The diagnosis and therapeutic management of posterior shoulder dislocation are subsequently reviewed, followed by a focused analysis of trauma to the Lisfranc joint. The issue concludes with a critical appraisal of artificial intelligence in knee arthroplasty, considering its implications for surgical decision-making and outcome optimization.