use of 3D printed models for knee revision surgery
Background: Preoperative planning for complex primary and revision knee arthroplasty requires precise anatomical understanding, particularly in cases involving significant bone loss, osteolysis, or tumor pathology. While two-dimensional imaging and three-dimensional (3D) virtual reconstructions provide essential kinematic-geometric data, they may not fully translate into surgical execution for severe deformities or pelvic discontinuity.
Objective: This article evaluates the application of 3D-printed anatomical models in preoperative planning for complex knee revision surgery to improve component sizing accuracy and intraoperative efficiency.
Key Points: Utilizing high-resolution CT scans and DICOM data, 1:1 scale polylactic acid models are produced via fused deposition modeling. These models allow surgeons to perform "dry run" simulations using actual instrumentation to preselect implant sizes, stem lengths, offsets, and the necessity of augments, such as cones or sleeves. Clinical cases demonstrate that these models accurately replicate bony landmarks and defects, facilitating the identification of potential intraoperative complications, such as iatrogenic fractures during cone placement. Although the models lack soft tissue representation and possess different thermal properties than human bone, they facilitate a reduction in the number of required surgical instrument trays and optimize the surgical workflow.
Conclusion: Integrating 3D-printed models into revision knee surgery planning enhances surgical precision and confidence. By allowing for the pre-assembly of components and the elimination of unnecessary instrumentation, this technology offers significant potential for reducing operative time and perioperative costs while serving as a valuable educational tool for surgical training.
Introduction
Preoperative planning is a key issue in orthopaedic surgery as it requires precise and specific knowledge of each patient's anatomy, especially for complex primary cases and revision arthroplasty. Two-dimensional (2D) images often cannot provide a comprehensive understanding of severe deformities and it can be difficult to plan details in advance, especially in cases of significant bone loss due to osteolysis or bone tumour pathology. Recently, orthopaedic surgeons have found that having a 3D printed model of the patient's anatomy can be useful in predicting certain steps in surgical treatment.
Virtual 3D models
Currently, 3D virtual reconstructions of the knee are used for computer-assisted surgery (CAS) in total knee arthroplasty (TKA), where the systems provide kinematic-geometric data of each patient for the pre-operative and intraoperative periods. Then, after the treatment time, surgeons can benefit from the information collected thanks to a communication system between the sensors positioned on the patient and the navigation system, which consists of an infrared camera coupled with transmitters [1-2]. The navigation systems are developed to achieve optimal accuracy in the positioning of prosthetic components and to increase the reproducibility of the surgery. Similarly, virtual 3D reconstructions of the knee are used in robotic surgery for knee arthroplasty [3-5]. Computer-aided systems can improve the accuracy of defining anatomical landmarks and the precise location and orientation of bone cuts [6].
3D printed models
The use of 3D printed models is gaining popularity in medicine and surgery. 3D printing is a type of manufacturing process in which a 3D object is created from a digital model [7]. In orthopaedic surgery, the 3D printing technique can help to understand complex anatomy, anatomical defects but also to produce custom-made implants that are perfectly adapted to a specific patient and can provide support during procedures [8]. Today, the most common use of 3D printing technology is patient-specific instrumentation (PSI), which was designed to improve the accuracy of preoperative planning and intraoperative implant positioning in total knee arthroplasty (TKA) [9-11]. Although still under debate, it may have a role in supporting operations, particularly in complex cases [12, 13].
Outside of PSI, applications of a real 3D printed model are limited to data collection and study of knee morphology and kinematics, such as variations in internal/external rotation angle during walking or monitoring of patellar tracking during kneeling [14, 15]. In other cases, 3D technology has been suggested for the implementation of 3D printed instrumentation for routine use in total knee arthroplasty [16], based on a virtual reconstruction of the knee. The ability to predict the precise sizing of implant components for total knee arthroplasty can have several advantages in the operating room, in terms of simplifying surgical steps and reducing the number of instrument trays needed [17]. Finally, the application of 3D printed models has been suggested for complex cases, such as periprosthetic femoral fractures (FFP) around a tumour prosthesis or multiaxial osteotomies [18].
3D models for revision surgery
The development of three-dimensional (3D) printing technology is proposed for better planning of complex revision surgery. Regarding preoperative revision planning, conventional radiographs often underestimate the degree of bone loss, while computed tomography (CT) can provide additional details, but the surgeon is limited in his or her ability to clinically translate this information into surgical execution (Fig. 1).

3D technology has already been used for complex hip revisions in our department for many years. In a recent published study we compared the diagnostic accurracy between 3D printed model with 3D CT reconstruction for pelvic discontinuity [19] (Fig. 2). For knee revision surgery based on a preoperative CT scan, a 1:1 3D plastic knee model is made, including the cement spacer or implant to be removed in a different colour and separated from the virtual bone (Fig. 3).


Images in DICOM format (Fig. 4) were processed by using M3DICS medical grade software (www.medics3d.com).

The first step is the image processing that provides a 3D virtual model (HA3D™ reconstruction) of the knee, based on high resolution CT scans. It focuses on the reconstruction of bone structures outside the spacer and/or implants. The next step is the printing of the HA3D™ mathematical model into the correlated interactive 3D PDF allowing navigation (Fig. 5).

With the HA3D™ model, a complete case report with all relevant measurements is provided. After the validation of the printed project, the model is produced with additive manufacturing technology, in particular FDM (Fused Deposition Modeling) technology. PLA (Polylactic Acid) material is the most commonly used for 3D models (Fig. 6-8).



A few days before surgery, the surgeon and nurse can "implant" the real prosthesis and perform the upcoming procedure (fig. 6-8) using real instrumentation on the newly produced 3D model to determine the size of the components (fig. 9) and the need for wedges or cones, if necessary, to restore the correct position and rotation of the joint axis.

During implantation all the different options for stem length and offset, spacers, blocks and sizes can be preselected and every feature of the implant is already known and can be assembled. In many cases the preop plan fits very well with the final intraoperative solution (fig. 10-12).



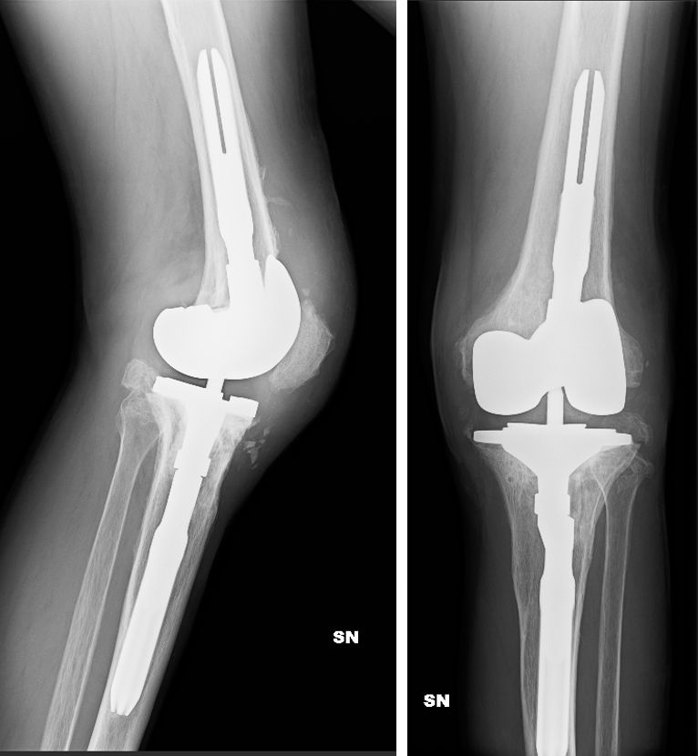
The 3D model accurately reproduces all the bony landmarks that will be used for surgery and can be cut and manipulated with the surgical instruments. The model can then be sterilised, marked and taken into the operating room to help orient the surgeon and placing the components. The advantage of 3D printed models is demonstrated by bone loss after infection with Case 1 (Figs. 13 and 14) and after aseptic loosing with Case 2 (Figs 15 and 16).




Discussion
The preoperative use of the 3D model (Fig. 17) allows the surgeon to plan the operation, to study anatomy and bone loss and to identify the best option for reconstruction, with the possibility to switch from one solution to another (e.g. rods or cones, offset..., Figs. 18-20) and to choose the most appropriate one in order to save time and reduce unnecessary manoeuvres during the operation.

Case 3 further demonstrates the advantages of 3D models for a 77 years old woman after two stage revision for septic loosening of a cemented primary implant 12 years ago. After reinfection and several AB spacers, bone stock on both femoral and tibial sides was compromised (see also fig. 1). Re-Revision surgery was planned with RHK using cones for both the tibia and femur (Figs 18 and 20).




Once the model is assembled, the surgeon can go to the operating room with peace of mind, knowing that only minimal modifications will be required. Nevertheless, this type of preoperative planning allows for a significant reduction in the instruments and materials used during surgery. The lack of capsular and ligament components is a limitation of this technique and therefore a way to implement this in the model needs to be investigated, for example by using varus-valgus stress radiographs to reproduce the same amount of laxity in the model (Fig. 21).

Another limitation of the technique is that the plastic material does not mimic the behaviour or consistency of human tissue and can be heated and sometimes melted by the friction of the saws. Nevertheless, the primary learning objectives of this technique are to improve surgeon confidence and save time.
The economic aspect must also be taken into account. The 3D model costs about 500 euros, which can be reduced by intensive use, but saves time and other costs. Once the reproducibility of the system is proven (Fig. 22), it will be possible to eliminate all unnecessary materials and instruments from the operating theatre, thus saving costs for storage, sterilisation, transport and operating time.

Another interesting aspect is education (Fig. 23). This 3D technology allows to reproduce exactly the real surgery, with the real instruments. It is therefore a learning tool for less skilled surgeons, low-volume surgeons or residents, as well as for nurses or ward assistants.

Finally, in the near future, the use of 3D models may be extended to other procedures such as periprosthetic knee fractures, tumours and corrective osteotomies. How can healthcare professionals benefit from 3D technology? Expert surgeons may be able to pre-assemble the implant, significantly reducing the time for revision surgeries. Other surgeons will become familiar with the instruments and the condition of the bone before operating, which will give them more confidence at the time of surgery. Residents have the opportunity to practice with the revision instruments on a 3D model instead of a patient. Nurses and ward assistants, who in many hospitals are not exclusively dedicated to revision surgery, can learn the technique and instruments.
Conclusion
Although the costs associated with this technology are low, significant efficiency benefits can be achieved. Primarily by reducing the number of instrument trays required for each procedure and the overall time savings associated with unplanned intraoperative findings. Cost savings can also be achieved by reducing the volume of sterilisation, transport and storage costs. Finally, this technology can help less experienced revision surgeons to reduce anxiety and improve confidence, knowing that they can now focus on performing a planned surgery in advance.
References
[1] Jones CW, Jerabek SA. Current Role of Computer Navigation in Total Knee Arthroplasty. J Arthroplasty 2018;33(7):1989-1993.
[2] van der List JP, Chawla H, Joskowicz L, Pearle AD. Current state of computer navigation and robotics in unicompartmental and total knee arthroplasty: a systematic review with meta-analysis. Knee Surg Sports Traumatol Arthrosc 2016;24(11):3482-3495]
[3] Sousa PL, Sculco PK, Mayman DJ, Jerabek SA, Ast MP, Chalmers BP. Robots in the Operating Room During Hip and Knee Arthroplasty. Curr Rev Musculoskelet Med 2020;5[Epub ahead of print].
[4] Chin BZ, Tan SSH, Chua KCX, Budiono GR, Syn NL, O’Neill GK. Robot-Assisted versus Conventional Total and Unicompartmental Knee Arthroplasty: A Meta-analysis of Radiological and Functional Outcomes. J Knee Surg 2020 Mar [Epub ahead of print].
[5] Agarwal N, To K, McDonnell S, Khan W. Clinical and Radiological Outcomes in Robotic-Assisted Total Knee Arthroplasty: A Systematic Review and Meta-Analysis. J Arthroplasty 2020 Mar [Epub ahead of print].
[6] Nizard R. Computer assisted surgery for total knee arthroplasty. Acta Orthop Belg. 2002 Jun;68(3):215-30
[7] Bagaria V, Bhansali R, Pawar P. 3D printing- creating a blueprint for the future of orthopedics: Current concept review and the road ahead! J Clin Orthop Trauma. 2018;9(3):207-212. doi:10.1016/j.jcot.2018.07.007
[8] Martelli N, Serrano C, Van Den Brink H, et al. Advantages and disadvantages of 3-dimensional printing in surgery: A systematic review. Surg (United States). 2016;159(6):1485-1500. doi:10.1016/j.surg.2015.12.017
[9] Kim KK, Howell SM, Won YY. Kinematically Aligned Total Knee Arthroplasty with Patient-Specific Instrument. Yonsei Med J 2020;61(3):201-209.
[10] Mattei L, Pellegrino P, Calò M, Bistolfi A, Castoldi F. Patient specific instrumentation in total knee arthroplasty: a state of the art. Ann Transl Med. 2016;4(7):126
[11] Fang L, Dong R, Jin HT, Tong PJ, Xiao LW. Application status of 3D printing patient-specific instrumentation in total knee arthroplasty. Zhongguo Gu Shang. 2019 Jun 25;32(6):582-586
[12] Qiu B, Liu F, Tang B, Deng B, Liu F, Zhu W, Zhen D, Xue M, Zhang M. Clinical Study of 3D Imaging and 3D Printing Technique for Patient-Specific Instrumentation in Total Knee Arthroplasty. J Knee Surg. 2017 Oct;30(8):822-828.
[13] Sassoon A, Nam D, Nunley R, Barrack R. Systematic review of patient-specific instrumentation in total knee arthroplasty: new but not improved. Clin Orthop Relat Res. 2015 Jan;473(1):151-8.
[14] Hooper J, Schwarzkopf R, Fernandez E, Buckland A, Werner J, Einhorn T, Walker PS. Feasibility of single-use 3D-printed instruments for total knee arthroplasty. Bone Joint J. 2019 Jul;101-B(7_Supple_C):115-120
[15] Galvin CR, Perriman DM, Lynch JT, Pickering MR, Newman P, Smith PN, Scarvell JM. Age has a minimal effect on knee kinematics: A cross-sectional 3D/2D image-registration study of kneeling. Knee. 2019 Oct;26(5):988-1002
[16] Mezghani N, Mechmeche I, Mitiche A, Ouakrim Y, de Guise JA. An analysis of 3D knee kinematic data complexity in knee osteoarthritis and asymptomatic controls. PLoS One. 2018 Oct 1;13(10):e0202348.
[17] León-Muñoz VJ, Lisón-Almagro AJ, López-López M. Planning on CT-Based 3D Virtual Models Can Accurately Predict the Component Size for Total Knee Arthroplasty. J Knee Surg. 2019 Jul 3. doi: 10.1055/s-0039-1692645
[18] Han Q, Zhao X, Wang C, Chen B, Wang X, Zhang Z, Zhang K, Zheng Y, Wang J. Individualized reconstruction for severe periprosthetic fractures around the tumor prosthesis of knee under assistance of 3D printing technology: A case report. Medicine (Baltimore). 2018 Oct;97(42):e12726
[19] Aprato A, Olivero M, Iannizzi G, Bistolfi A, Sabatini L, Masse A. Pelvic discontinuity in acetabular revisions: does CT scan overestimate it? A comparative study of diagnostic accuracy of 3D-modeling and traditional 3D CT scan. Musculoskelet Surg 2020;104(2):171-177.