Diagnosis and Therapeutic options for posterior shoulder dislocation
Background: Posterior shoulder instability is a rare clinical entity, representing 2% to 5% of all shoulder instability cases. Management is complicated by diverse clinical presentations, varying anatomical lesions, and the presence of predisposing factors such as glenoid retroversion or hypoplasia.
Objective: This study evaluates the outcomes of a multicenter symposium involving 188 patients to identify prognostic factors and refine management algorithms for involuntary, voluntary, and painful posterior instability.
Key Points: Involuntary instability associated with anatomical lesions demonstrated superior outcomes with surgical intervention compared to functional rehabilitation. Arthroscopic capsulolabral repair, particularly when combining labral reattachment with capsular shift, yielded high satisfaction rates (80%) and successful return to competitive sports. While posterior bone blocks are indicated for significant glenoid deficiency, they showed no statistical superiority over soft tissue repair in cases without major bone loss. Conversely, purely voluntary instability remains a contraindication for surgery, requiring neuromuscular reprogramming. In "voluntary-to-involuntary" cases triggered by trauma, surgery is justified, though outcomes are less predictable than in purely involuntary forms. The "unstable painful shoulder" (UPS) variant presents diagnostic challenges; preoperative glenoid cartilage damage in these patients is a significant negative prognostic factor for pain relief.
Conclusion: Surgical success in posterior instability is highly correlated with the presence of discrete anatomical lesions and the absence of chondral damage or generalized hyperlaxity. Arthroscopic labral repair is the preferred treatment for young athletes with involuntary instability, while bone blocks should be reserved for substantial glenoid rim defects.
Pierre Mansat, P. Clavert, G. Nourrissat, J. Garret, M-B. Hardy, P. Métais, J. Barth, P. Abadie,
F. Sirveaux, Blandine Marion, Yves Bouju, Kevin Andrieu, French-Speaking Arthroscopy Society (SFA)
Introduction
Posterior shoulder instability is rare, with an incidence ranging from 2–5%.[1,2]
The difficulties in managing the condition comes from the patient profile, recognising the different clinical forms, and interpreting the different anatomical forms.
In 2016, the French-Speaking Arthroscopy Society held a symposium on posterior shoulder instability. A multi-centre study across mainland France was presented comprising two cohorts (one prospective and one retrospective). One hundred and eighty-eight patients were recruited and 167 were operated.
After a brief review of the different clinical presentations, imaging studies and treatments, we report the results of this multi-centre study and the prognostic factors for treating this pathology. The aim is to identify how our attitude towards, and management of this rare condition could change.
Clinical presentations
1. Involuntary instability
This form is most similar to anterior instability in terms of clinical presentation, physiopathology and management.
Four in every five cases affect men in their thirties. Only 40% are involved in competitive sports, yet another 40% do no sport at all. The shoulder has no predisposing factors including joint capsule distension, hyperlaxity or excessive glenoid retroversion. There is always a history of trauma, with or without true dislocation, resulting in an anatomical lesion evidenced by imaging studies. The patients subsequently experience recurring and painful dislocation or subluxation, contrary to what Neer has described. The instability is the primary presenting complaint, more so than the pain. The patient is unable to reproduce the instability.
2. Voluntary instability
On average (but not necessarily) patients experience greater hyperlaxity than with the other forms and have a higher predisposition. They find it hard to pinpoint when the problem began.
There are two clearly defined sub-types:
patients who remain voluntary and can dislocate the joint at will (reproducible), maintaining control over their shoulder; painless, with or without any associated psychological or psychiatric disorder.
Voluntary patients who later become involuntary (voluntary-to-involuntary), usually following a decompensating trauma that causes them to lose control over their joint, worsens the instability and makes it painful. This instability is often still reproducible but is no longer voluntary (unintentional).
3. Unstable painful shoulder
Patients with an unstable painful shoulder (UPS) do not necessarily present with hyperlaxity. The pain is the primary symptom.
Imaging studies
1. Standard x-rays
The basic examination should include frontal views in three rotations and a Bernageau view. Look for a glenoid fracture (reverse Bankart), posterior glenoid rim flattening or anterior notching on the head of humerus (McLaughlin notches or reverse Hill-Sachs lesion).
2. Arthrography
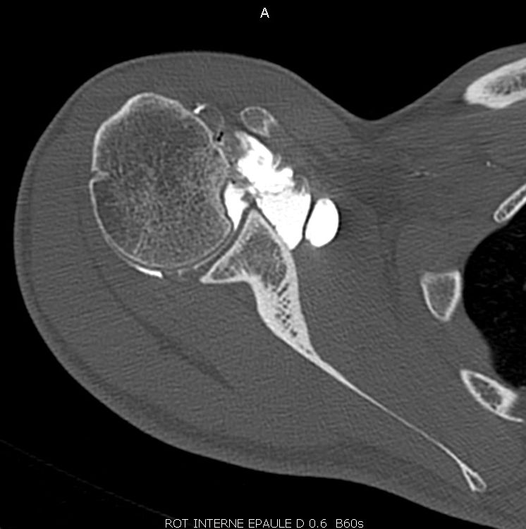
A CT scan is the best way to both analyse bone lesions and search for glenoid hypoplasia, dysplasia or retroversion as predisposing factors (Fig 1). Posterior labral damage on contrast-enhanced images may also indicate a labral fissure (Fig. 2). However, any such capsulolabral detachment is only pathological if located at the inferior, subequatorial portion of the bone.


Likewise, take time to check for any associated cartilage damage since this is a very important prognostic factor, as discussed below. For detecting soft tissue lesions and cartilage defects MR imaging is superior to CT and can also be done as Arthro-MRI.
Functional medical treatment
Treatment can start with functional management based on neuromuscular reprogramming and physiotherapy to improve stability and proprioception. This education can involve strategies aimed at addressing pain, including advice on sleeping position and regaining motor control.[3] This is in fact the only form of treatment offered to patients with voluntary instability Reproducible voluntary instability may benefit from psychological therapy, or even wider family support if the patient is an adolescent.
Surgical treatment
1. Arthroscopic capsulolabral repair (arthroscopic posterior Bankart)
This technique is indicated when the only damage is posterior labral detachment (Fig. 3) with no significant bone lesions. The posterior labrum can be reinserted by using anchors (Fig. 4), but posterior capsule tensioning [4] is crucial in order to recreate the glenoid concavity and restore the constraints from the capsuloligamentous structures.


2. Arthroscopic capsulolabral repair + anterior notch filling
If there is a posterior labral lesion together with a large humeral defect (McLaughlin notch or reverse Hill-Sachs), the subscapularis tendon can be detached and transferred to fill the the bony defect. This technique described by McLaughlin can now be performed arthroscopically, allowing for simultaneous capsulolabral reinsertion.
3. Posterior bone block procedure
This technique can be performed as an open procedure [5] or by arthroscopy,[6,7] with or without simultaneous posterior labral repair. The main indication is a posterior glenoid rim defect, such as a fracture (reverse bony Bankart) or flattening. The graft is harvested from the iliac crest or acromion and transferred to the posterior glenoid rim. It is the equivalent of an anterior block, technically more accessible via arthroscopy.
4. Glenoid osteotomy
This is relatively complex surgical procedure. A posterior opening-wedge glenoid osteotomy is reserved for the treatment of excessive retroversion. Complications are common, and the procedure is no longer widely used.
Functional treatment outcomes
1. Involuntary instability
For patients with involuntary instability, the results of functional treatment were vastly inferior to surgery. There was no statistically significant improvement in WOSI or Constant scores, but the opposite is true for the Walch-Duplay and Rowe scores. Failed patients were usually bothered more by persistent feelings of apprehension than by the instability. Recurring posterior instability associated with anatomical lesions was very often treated surgical.
2. Voluntary instability
Functional treatment is the only option for reproducible, voluntary posterior shoulder instability. It offers holistic management comprising all aspects of the condition, especially any psychological or psychiatric aspects. These patients should never be operated. It really is a young person’s condition, because the vast majority of patients are under thirty, and it is very rare to see anyone in their fifties or sixties with this particular clinical presentation. The condition ought to improve with age. However, following traumatic decompensation of voluntary-to-involuntary instability associated with anatomical lesions, the indications for surgery should be discussed.
Results by surgical technique
1. Capsule procedures
Whichever technique was used, whether isolated labral reattachment, isolated capsular shift, capsular shift + labral reattachment, or anterior notch filling, there was a statistically significant improvement in all clinical scores (Constant, SSV, VAS, Walch-Duplay, Rowe). However, the combination of capsular shift with labral attachment was associated with the best outcomes in terms of the Walch-Duplay score. Capsule repair procedures were more successful when performed arthroscopically, with half of all open procedures resulting in failure. A total of 95% of patients were able to return to work after six months, and 65% were able to resume participation in sports. This figure was 80% for competitive sports. Of all patients, 83% would agree to further surgery, and 80% were satisfied or very satisfied with the procedure.
2. Posterior blocks
Following an iliac or acromial block procedure, 94% of patients were able to return to work at five months, and 67% could resume participation in sports at six months. Patients reported a statistically significant improvement in all scores (Constant, SSV, VAS, Walch-Duplay, Rowe) and there was no difference between study populations. The patient satisfaction rate (satisfied or very satisfied) was 75%. Over time, 50% of blocks developed partial or total (25%) lysis. However, this did not have any serious adverse effect on clinical outcome. There was no statistically significant difference between the lysis and non-lysis groups, whether in terms of pain, Constant score, mobility or recurrence of the luxation or subluxation. Concerning failures, 20% of patients presented with recurring instability (dislocation or subluxation), and 20% with residual pain; these figures were higher than for anterior instability.
3. Comparison of outcomes for blocks and soft tissue repairs
There was no statistically significant difference between these two groups for functional outcomes (Constant, VAS, Walch-Duplay, Rowe). Neither was there any difference in failure rates (dislocation or subluxation). Likewise for resumption of sports and satisfaction.
Ultimately, bone blocks are preferably for major glenoid bony defects. On the other hand if there is no major bone damage an isolated arthroscopic capsulolabral repair is fully indicated, even for high-risk sports (contact, competitive, young patients). This is one of the lessons learned from this study because this is unlike for anterior instability,
Surgical outcomes based on clinical presentation (Fig. 5)

1. Involuntary patients, recurring posterior instability
Imaging studies revealed bone and labral damage in 95% of these patients. Surgical treatment varies and involves capsulolabral repair and/or notch filling. The patient satisfaction rate was 80% post surgery. Whatever the procedure, there was a statistically significant improvement in all functional shoulder indicators (Constant, SSV, VAS, Walch-Duplay, Rowe). Ninety percent of operated patients achieved a stable shoulder. Every case of failure was a non-traumatic recurrence. There are no clinical factors or anatomical lesions are predictive of a higher risk of failure, whatever the surgical technique used. In patients with bone lesions, a block appears more effective and produces better outcomes than soft tissue repair. On the other hand, for patients with no bone lesion but labral damage, labral reattachment is fully indicated even in people who participate in competitive and non-competitive contact sports. This is a new concept that goes against our understanding of recurring anterior instability.
2. Voluntary-to-involuntary patients
For patients who present with anatomic bone or labral lesions following a decompensating trauma, functional scores always improved after surgery. They achieved a stable and painless shoulder in 84% of cases, and 80–90% were satisfied or very satisfied with the result. Ninety percent would agree to further surgery. The failure rate is very reasonable and is associated as much with a return of the instability as with persistent pain. Likewise, for this patient population, there are no known predictors of failure. There was no statistically significant difference in outcomes for different procedures. For a very long time, the tendency has been to not offer these patients surgery, but this needs to change. Surgery is now fully justified, even though the results are not quite as good as for purely involuntary forms. Patients should be advised that the result will not be perfect but that they will experience a notable improvement.
3. Unstable painful shoulder
The primary presenting complaint was pain, and patients had never experienced any episodes of dislocation or subluxation. Most were men in their thirties who enjoy sports. In 80% of cases they described an initial trauma. Clinical examinations are unhelpful because 60% of unstable painful shoulders test negative for posterior instability. In addition, 40% test positive for anterior instability (apprehension and/or pain when raised overhead), a very important point that could lead to an incorrect diagnosis. Imaging studies are very valuable for this clinical presentation. In 52% of cases, there was bone damage to the glenoid, and 22% of patients presented with glenoid cartilage damage which is a key prognostic factor.
Whichever surgical technique is used, 43.5% experienced full or partial relief, 43.5% reported improvement but with moderate residual pain, and 13% remained very painful. Overall, two thirds of patients were very satisfied or satisfied with the surgery, and two thirds were able to resume sports. There were no differences between techniques in terms of a recurrence of the dislocation or subluxation, resumption of sport or patient satisfaction. Of the 56.5% whose pain was not fully relieved, half initially presented with glenoid cartilage damage. On the contrary, none of the pain-free patients had had any chondral or bone lesions, only purely labral damage. Patients should therefore be routinely screened for cartilage damage. Preoperative cartilage damage is a negative prognostic factor, and in some patients, it could indicate the early stages of osteoarthritis of the shoulder.
Prognostic factors
1. Prognostic factors for failure
Failure is defined as a patient who has not recovered and still presents with signs of instability (recurring dislocation or subluxation) and/or experiences persistent pain and/or is disappointed or unhappy with the procedure. There were no differences between the success and failure groups in terms of age, sex or form (traumatic or non-traumatic).
The prognostic factors for failure are hyperlaxity (especially a positive sulcus test) and signs of unstable painful shoulder where the pain outweighs the instability. The failure group contained more patients without anatomical lesions (bone or labral damage) and more patients with cartilage damage to the humeral head or glenoid. This raises the question as to whether they were correctly diagnosed and whether there truly was any instability. Overall, the failure rate was 25–30%, irrespective of type of procedure, and there was no statistically significant difference between techniques. One third of patients still experienced pain, instability or were disappointed with the outcome. The worst-case scenario is a patient with hyperlaxity and cartilage damage, no bone damage who first and foremost complains of pain with no sign of instability. However, there is debate as to whether these cases truly classify as instability.
2. Prognostic factors for success
Surgical success is correlated with anatomical lesions on imaging studies (bone or labral damage), no cartilage lesions, and greater instability than pain. These patients are fully indicated for surgery and the outcomes are excellent.
Conclusions
- Voluntary instability requires functional treatment. These patients are not suitable for surgery.
- For involuntary instability, surgery is clearly superior to medical treatment.
- Surgery is justified for voluntary-to-involuntary patients.
- Bone blocks are preferred for glenoid bony defects. However, even in these cases, our study found no statistically significant difference compared with capsule procedures combined with labral reattachment.
- The best candidate for arthroscopic labral reattachment is a young sporting male (<30) with involuntary instability.
- Surgical success is correlated with anatomical lesions on imaging studies, no cartilage lesions, and not much pain.
- High risk patients have hyperlaxity and cartilage damage, no bone damage, whose primary complaint is pain with no sign of instability. However, there is debate as to whether these cases truly classify as instability.
Références
1. Bradley JP. Forsythe B, Mascarenhas R. Arthroscopic management of posterior shoulder instability : diagnosis, indications and technique. Clinics in Sport Medicine 2008;27:649-70.
2. Robinson CM, Aderinto J. Recurrent posterior shoulder instability. J Bone Joint Surg Am 2005;87:883-92.
3. Blacknall J, Mackie A, Wallace WA. Patient-reported outcomes following a physiotherapy rehabilitation programme for atraumatic posterior shoulder subluxation. Shoulder Elbow. 2014;6:137-41.
4. Kim S, Ha K, Park J, et al. Arthroscopic posterior labral repair and capsular shift for traumatic unidirectionnal recurrent posterior subluxation of the shoulder. J Bone Joint Surg 2003;85:1479-87.
5. Mowery CG, Garfin SR, Booth R, Rothman R. Recurrent posterior dislocation of the shoulder : treatment using a bone block. J Bone Joint Surg Am 1985;67:777-81.
6. Lafosse L, Bongiorno V, Szöllösky G, et al. The arthroscopic Latarjet procedure current technique, pearls and pittfalls, results. In : Boileau P, editor. Shoulder concepts 2012 : arthroplasty & fractures. Montpellier : Sauramps Medical;2012. p. 143-51.
7. Thélu CE, Mercier N, Ohl X, et al. Arhtroscopic Bristow-Latarjet combined with Bankart repair (2B3 procedure) : 2 to 5 years results. In : Boileau P, editor. Shoulder concepts 2012 : arthroplasty & fractures. Montpellier : Sauramps Medical;2012. p. 165-83.