Trauma to the Lisfranc joint
Background: Tarsometatarsal (Lisfranc) joint injuries encompass a spectrum from ligamentous sprains to high-energy comminuted fractures. Although these injuries represent only 0.1–0.4% of all fractures, they are frequently misdiagnosed, with approximately 20% of isolated ligamentous instabilities overlooked during initial evaluation. Inadequate or delayed management often leads to chronic pain, functional limitations, and secondary degenerative changes.
Objective: This review aims to synthesize the anatomical principles, diagnostic modalities, and therapeutic strategies for Lisfranc injuries to facilitate early recognition and optimize surgical or conservative outcomes.
Key Points: Clinical diagnosis is supported by findings of plantar ecchymosis and pain during midfoot provocation tests. While weight-bearing radiographs are necessary to identify subtle instability, computed tomography is the preferred modality for evaluating complex osseous morphology. Magnetic resonance imaging provides high sensitivity for assessing ligamentous disruption. Treatment selection is guided by the Quenu and Kuss or Myerson classification systems. Conservative management, involving non-weight-bearing immobilization for 6–8 weeks, is indicated only for stable injuries with displacement under 2 mm. Unstable or displaced injuries require surgical intervention to achieve anatomical reduction. Open reduction and internal fixation using screws or Kirschner wires remains the standard; however, primary arthrodesis is increasingly utilized for purely ligamentous injuries due to superior outcomes compared to fixation. Post-traumatic osteoarthritis remains a frequent complication, occurring in up to 80% of cases.
Conclusion: Precise anatomical restoration is the primary determinant of functional recovery in Lisfranc injuries. Early surgical stabilization is essential for unstable patterns, while primary arthrodesis should be considered for severe ligamentous disruptions to minimize long-term morbidity.
Summary
Injuries to the Lisfranc joint (tarsometatarsal – TMT joint) come in different forms and vary in severity from ligament sprains to high energy comminuted fractures. Lisfranc injuries are relatively rare, but in the case of lack or delayed diagnosis, they can cause significant and painful course. A good knowledge of the anatomy and pathophysiology of the Lisfranc joint is necessary to correctly manage these injuries. The diagnosis is based on clinical examination, the type of trauma and imaging. Standard X-rays are essential but sometimes difficult to interpret, and they should be complemented by a CT scan. Their management requires resolutely surgical treatment even if in certain cases conservative management may be proposed. Treatment of Lisfranc injuries is demanding and remains a challenge even for the experienced orthopaedic surgeon. The patient must be informed of the seriousness of these lesions which can leave functional limitations even in the case of a well conducted treatment.
Introduction
Historically, the importance of the tarsometarsal or TMT joints has been attributed to the French gynaecologist and Napoleonic surgeon Jacques L. Lisfranc. Traumatic injuries to the Lisfranc joint are rare and account for 0.1-0.4% of all fractures and dislocations. (1)
Despite the improvement in diagnosis, some TMT injuries are not properly diagnosed or are diagnosed late. For example, up to 20% of isolated pure ligament instability of the TMT joint is misdiagnosed. (2, 3). Inadequate or delayed treatment may result in potentially disabling functional outcome. (4, 5, 6)
Conservative treatment that results in secondary displacement or insufficient reduction often leads to inadequate functional results. (7, 8) Osteosynthesis is the gold standard for structural ligament instability or fracture-luxation. (7, 9, 10, 11, 12, 13, 14) Surgical reconstruction by restoring joint biomechanics limits the risk of secondary osteoarthritis and improves functional outcome. The key factors are the restoration of anatomical alignment and joint congruence.
Patients suffering from TMT injuries often face prolonged sick leave, as these injuries jeopardise their social, sporting and professional reintegration. These are therefore serious injuries that are demanding to treat and their management remains a challenge even for the experienced orthopaedic surgeon.
Anatomy
The tarsometatarsal joint (TMT) consists of the five metatarsals to the anterior tarsus, which is formed medially by the three cuneiform bones (C1, C2, C3) and laterally by the cuboid bone (Cu). The TMT joint consists of three synovial joints with three distinct capsules: medial (C1-M1), middle (C2C3-M2M3) and lateral (Cu-M4M5). (Fig 1) The metatarsals have a triangular base with a plantar apex, which favors dorsal dislocation (98%).

The ligament system (Figs 2 to 3) consists of dorsal ligaments, plantar ligaments and cuneo-metatarsal interosseous ligaments, reinforced by intermetatarsal ligaments.


The dorsal ligament system of the Lisfranc joint complex is located on the dorsal side of the foot. There are 7 TMT ligaments. Black lines, TMT ligaments; blue lines, intertarsal ligaments; green lines, intermetatarsal ligaments; red lines, Lisfranc ligament (Fig 2). The second plantar ligament is called the plantar Lisfranc ligament and is the strongest of the plantar ligaments. Black lines, TMT ligaments; blue lines, intertarsal ligaments; green lines, intermetatarsal ligaments; red lines, plantar Lisfranc ligament. (Fig 3)
Among these, the "Lisfranc ligament bundle", which extends from the first cuneiform to the second metatarsal, as well as the C1-M2M3 ligament, which connects the plantar surface of the medial cuneiform to the bases of the second and third metatarsals, are stabilizing elements of the TMT joint.
An appreciation of the functional anatomy of the complex set of bony and ligamentous structures forming this joint is imperative for the proper assessment and treatment of Lisfranc fracture-dislocations. This joint is characterized by a quasi-immobility of the middle compartment, in particular of the second metatarsal bone whose base is impacted between the cuneiform bones. This explaines, in case of dislocation force, the relative frequency of M2 base fractures (Fig 4).

The medial and lateral compartments have modest ranges of flexion, extension and gliding. which are nevertheless of interest in the dynamic changes of the transverse arch of the foot during walking, particularly in rough terrain. The joint at the base of M1 allows 20° of dorsal extension
- The joint at the base of M5 allows 10-20° of dorsal extension.
Traumatic injuries are the most characteristic damage to this joint. However, they remain rare, due to its stability and the strength of its ligament system. From a functional point of view, a distinction is made between the column and the spatula or palette (Fig 5).

- the column (in red) corresponds to the hallux column (phalanx/metatarsal/1st cuneiform and partly the navicular)
- the pallet, in green, corresponds to the 4 metatarsals.
Epidemiology
In Europe, Lisfranc interline fractures occur with an incidence of 1 per 60,000 population per year and are predominantly in young men. (15) Injury mechanisms can result from direct and indirect trauma. The direct mechanism is most often crushing, where the joint is axially loaded and subjected to rotational, flexion and compressive stresses. (16)
The weaker dorsal ligament structures rupture first. Fracture-dislocation occurs if the metatarsals fracture and/or the plantar ligaments rupture. More than two thirds of these injuries are caused by road traffic accidents, followed by high falls (20, 21). Furthermore, it has been shown that a dorsal flexion moment applied during axial compression of the foot leads to subsequent dorsal and then lateral dislocation of the TMT joint. (17)
Low-energy injury mechanisms, usually during sporting activity, result from indirect trauma and are more subtle in their clinical presentation. (18, 19) Sports such as football or horse riding are the source of these injuries. (16,22) Dorsal dislocations usually result from hyperflexion of the forefoot, plantar dislocations from a shearing movement, after a fall on the hind foot.(Fig 6)

Clinical signs and imaging
Painful swelling and varying degrees of functional limitations on weight-bearing are common clinical findings. (24) The pain is aggravated by loading on the forefoot. In addition, a plantar haematoma is often observed (Fig. 7), which should raise suspicion of a TMT injury. (25)

It is important to note that the severity of the injury is often underestimated at the time of initial trauma and diagnosis may be delayed. Persistent midfoot pain associated with swelling and difficulty in weight-bearing should prompt a search for a Lisfranc joint injury.
There are diagnostic tests that can be used to improve the clinical examination. For example, Myerson and Cerrato described the abduction-pronation maneuver, which is comparable to an apprehension test, and the TMT-1/2 transverse compression test (Fig. 8).

The Piano Key test is also used to explore the Lisfranc line. The midfoot and hindfoot are manually fixed and a plantar force is applied to the head of each metatarsal as if a piano key will be played. A positive test produces localized pain at the base of the metatarsal concerned (Fig. 9).

A detailed history and careful clinical examination are complemented by standardised imaging including X-rays, computed tomography (CT) and nuclear magnetic resonance imaging (MRI) to increase sensitivity and specificity and confirm the diagnosis. Standard X-rays including frontal radiographs, obliques (internally rotated 30 degrees) and true lateral projections are still used as a first line of defence. It is well known that certain traumatic injuries to this joint are not recognized by x-rays, which might have medicolegal consequences.
Weight-bearing radiographic imaging (where possible) is essential to unmask ligament instability. It has been shown that the 'normal' distance from the base of the first/second metatarsal in adults on a weight-bearing radiograph averages 2.5 mm (SD 0.64 mm). (26)
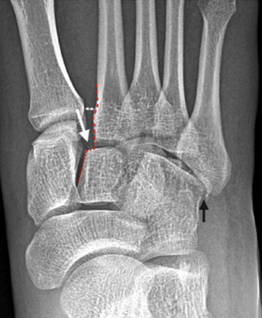
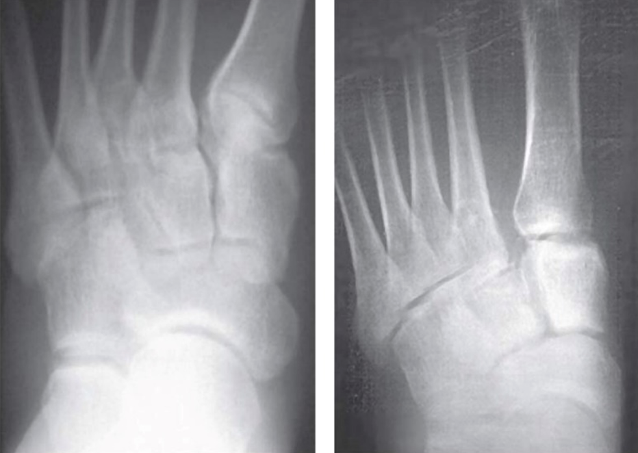
The "fleck-sign" (Fig. 10), an avulsion fracture of the base of the second metatarsal or medial cuneiform, is pathognomonic of a Lisfranc injury. (21) The radiograph shows a disruption of the C2-M2 alignment (red dotted line), a widening of M1-M2 (double-headed arrow), and a small fragment of bone ("fleck" sign) between M1-C2 (white arrow.) There is also a fracture of the cuboid (black arrow).

Normal anatomical alignment of the TMT joint should be assessed by evaluating the position of the tarsal bones in relation to the adjacent metatarsals Fig 11).

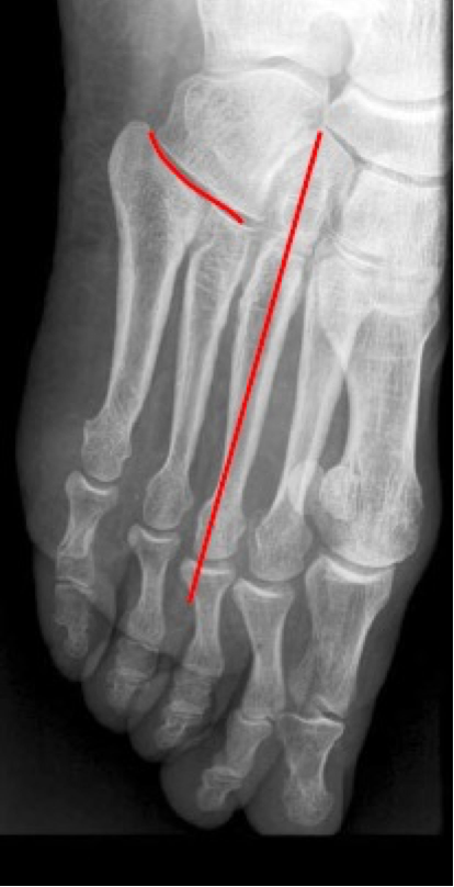
In the normal foot, the lateral border of the medial cuneiform is aligned with the lateral border of the base of the first metatarsal. In addition, a collinear relationship is present between the medial border of the base of the second metatarsal and the adjacent intermediate cuneiform. Similarly, the medial border of the base of the fourth metatarsal is aligned with the medial border of the cuboid, which can only be sufficiently assessed on the medial oblique radiographic projection (Fig. 12). Misalignment of 1 mm or more has been characterized as pathological. (27)

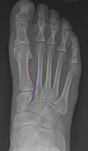
In the front view, the medial edges of M2-C2 (blue dotted line) and M3-C3 (green dotted line) must be aligned. The lateral edges of M1-C1 (red dotted line) should be aligned (Figure 13).

The gap between C1 and M2 should be less than 2 mm. The assessment of medial TMT joint line stability was described by Coss et al (28) using the abduction stress manoeuvre.
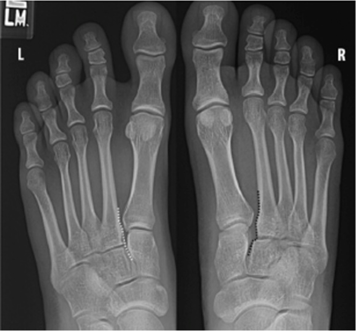
Bilateral plain radiographs show normal alignment of C2-M2 on the left foot (dotted white line), and misalignment of C2-M2 on the right foot (dotted black line). Normally, there should be perfect continuity between the medial cortex of M2 and C2 (Figure 14).

A tangent placed along the medial border of the medial cuneiform should intersect the base of the first metatarsal. In the case of medial TMT instability with forefoot abduction stress, this tangent passes medial to the base ("medial column sign" positive) (Fig. 15).

Similar to this technique, the stability of the ligamentous connections can be assessed using a dynamic radiographic stress test. Coss et al (28) demonstrated that the displacement of the medial column line was due to incompetence of the Lisfranc ligament combined with the dorsal TMT ligament. The positions of the base of the second metatarsal on the AP projection and the fourth metatarsal on the oblique projection are the main indicators of instability of the TMT complex. However, the importance of using weight-bearing radiographic studies in this context must be emphasised. Shapiro et al (29) provided evidence of the insufficient validity of unloaded images compared to analysis of loaded radiographic images in distinguishing stable and unstable TMT lesions. (Fig. 16)

The CT scan is the reference examination of the mineralized bone mainly because of its superior spatial resolution. CT is therefore the examination of choice as a complement to standard radiography in the context of Lisfranc joint trauma, allowing a precise assessment of all the different components of the joint itself as well as the frequent associated pathologies. It must be systematically requested in case of diagnostic doubt.
MRI has a density resolution far superior to all other imaging techniques and is the examination of choice for the osteomedullary component of bone tissue as well as for all soft tissues. Due to its poor spatial resolution and the low signal of mineralised bone in the normal state, it is of limited interest for bone but can provide accurate information in the exploration of ligament and synovial lesions in the joint. Raikin et al (30) demonstrated that MRI imaging is an effective means of identifying TMT instability. In this study, the authors were able to classify 90% of TMT lesions as stable or unstable with a sensitivity of 94% and a specificity of 75%. Avulsion fracture of the base of the second metatarsal and disruption of the plantar Lisfranc ligament bundle were found to be predictive of Lisfranc complex instability. In summary: Any fracture of the base of the first metatarsals indicates a lesion of the Lisfranc joint which must be the subject of a precise lesion assessment. There must be perfect continuity between the medial cortex of the second metatarsal and the second cuneiform.
Classification of tarsometatarsal injuries
There are many attempts at classification (according to mechanism, biomechanics, etc.) but Quenu and Kuss' classification is undoubtedly the most widely used due to its relative simplicity (Figure 17). This classification was introduced in 1909. (31)

Traumatic injuries are divided into three types: homolateral, isolated and divergent. The column corresponds to the 1st ray and the spatula corresponds to the lateral metatarsals. Myerson (Figure 18) completed this classification in 1986 by distinguishing:
Type A lesions: Homolateral lesions with displacement in the same direction of metatarsals
Type A dorsal-plantar
Type B dorsal -lateral
Type B lesions: Partial lesions
B1 isolated dislocation or dislocation-fracture of the 1st metatarsal M1
B2 Displacement of one or more lateral metatarsals-
Type C lesions: divergence of metatarsal dislocation
C1 partial displacement
C2 Divergent lesions (type C) with an opposite displacement of the spatula and the column.

Treatment
A distinction must be made between conservative and surgical treatment.
I- Conservative treatment
It can be proposed in cases of stable ligament injury, joint displacement of less than 2 mm or contraindication to surgery. After closed reduction, non-surgical treatment of lesions is also an option, if instability has been excluded. Persistent instability or subluxation requires surgical management. Conservative treatment consists of immobilization without support for 6-8 weeks (19, 21, 32). After this period, a gradual return to weight-bearing may be offered over a period of 15 days. In conjunction with physiotherapy, insoles or arch supports may be offered. (33)
Occupational or sporting activities requiring walking on uneven ground or causing twisting and/or bending forces on the tarsus (e.g. climbing ladders, stooping, kneeling or running) require a rest period of at least 4 months. This should be taken into account when planning rehabilitation, especially in sportsmen and women, but also in workers. Although healing of the TMT joint ligament and bone complex can be expected within 3 to 4 months of injury, reintegration into work and sport may be delayed by 6 to 9 months. (35-40)
II- Surgical treatment
Patients with displaced or unstable Lisfranc joint injuries require surgical treatment to achieve anatomical reduction. The risk of post-traumatic osteoarthritis depends on the quality of the initial reduction. Ideally, the operation should be carried out as an emergency, particularly in the case of stabilization by percutaneous pinning. A maximum delay of 4 weeks is allowed, otherwise the lesions will be fixed and impossible to correct without osteotomies and/or corrective arthrodesis.
However, the reduction must be anatomical, otherwise an open reduction will be necessary. Bloody reduction is preferred by some authors. It may be postponed in case of skin pain or risk of postoperative skin complications. One or more sufficiently spaced longitudinal dorsal incisions are usually used depending on the location of the anatomical lesions, respecting the underlying vascular and nerve structures. Fixation can be provided either by Kirchner wires or by screwing. The fixation sequence will be from medial to lateral. It is important to reduce the base of the 2nd metatarsal in its mortise. When the fixation of the medial Lisfranc is accompanied by a satisfactory reduction of the lateral metatarsals, it is not useful to fix them systematically, which allows a certain lateral mobility to facilitate the adaptation of the step to the ground. (Case 1)
Case 1: 25-year-old woman. Road accident

Initial X-rays: fractures of necks M2-3-4 and damage 2nd-5th TMT joint
Percutaneous osteosynthesis reduction by multiple pinning and FU 1 year
Some authors advocate immediate arthrodesis. Arthrodesis of the medial Lisfranc (1st, 2nd and 3rd tarsometatarsal joints), is a viable solution in order to maintain mobility for walking with the 4th and 5th tarsometatarsal joints, described as more mobile. While some authors have reported satisfactory results after closed treatment and temporary pin fixation, (7,17) more recent publications have shown better results after more aggressive treatment. (6)
In fact, a distinction must be made between pure ligament injuries and osteoarticular injuries. Thus, immediate arthrodesis would give better results in cases of pure ligament damage because of the low healing capacity of the ligament structures. The question between osteosynthesis and immediate arthrodesis is not entirely clear but in the case of osteoarticular damage arthrodesis does make more sense (41). (Case 2)
Case 2: Mrs M. 66 years old painful osteoarthritis of the medial Lisfranc following an old trauma diagnosed as "sprain".

Preoperative radiographs: osteoarthritis of the medial Lisfranc
Bone fusion Immediate postoperative radiographs and at 1 year FU
Complications of Lisfranc lesions
Progression to secondary tarsometatarsal osteoarthritis is the most common complication (42) (up to 80% according to the literature). It should be noted that there is often a clinical-radiological discrepancy. The functional outcome can be variable and more or less well tolerated. Thus, advanced radiographic lesions may be relatively well tolerated, whereas minimal lesions may be poorly tolerated.
The main objective of primary arthrodesis is to obtain pain-free or at least improved pain. It does not necessarily mean that plantar orthoses will not be worn. Secondary arthrodesis may be considered if conservative medical treatment fails (podiatry, infiltration in particular). Arthrodesis will be done in situ in case of minimal residual deformity, otherwise the forefoot will be reoriented to restore the "normal" anatomy. It is necessary to start medially and progress laterally. Localized arthrodesis should be favored, particularly of the medial Lisfranc, and the systematic fixation of the 4th and 5th radii should be avoided, thus leaving a certain amount of lateral mobility to facilitate adaptation of the step to the ground. The recent development of dedicated, space-saving plates with locked screws and compression facilitates the technical execution of these arthrodesis and promotes bone fusion.
Conclusion
Trauma to the Lisfranc joint can result in significant functional limitations. An accurate diagnosis is necessary to optimize their management. While high-energy lesions do not usually pose diagnostic problems. A delay in diagnosis is often associated with low-energy lesions where the clinical signs are more discreet. CT scanning should be readily available. Surgical treatment is usually indicated to restore the anatomy and limit secondary osteoarthritic evolution. Open reduction-osteosynthesis is favoured by a majority of authors. Arthrodesis may be proposed from the outset when the extent of the joint damage does not allow satisfactory osteosynthesis.
References
1. Court-Brown CM, Caesar B. Epidemiology of adult fractures: a review. Injury. 2006;37(8):691–697.
2. Goossens M, De Stoop N. Lisfranc’s fracture-dislocations: etiology, radiology, and results of treatment. A review of 20 cases. Clin Orthop Relat Res. 1983;176:154–162.
3. Rammelt S, Schneiders W, Schikore H, et al. Primary open reduction and fixation compared with delayed corrective arthrodesis in the treatment of tarsometatarsal (Lisfranc) fracture dislocation. J Bone Joint Surg Br. 2008;90B:1499–1506.
4. Calder JD, Whitehouse SL, Saxby TS. Results of isolated Lisfranc injuries and the effect of compensation claims. J Bone Joint Surg Br. 2004;86(4):527–530.
5. Myerson M. The diagnosis and treatment of injuries to the Lisfranc joint complex. Orthop Clin North Am. 1989;20(4):655–664.
6. Myerson MS, Fisher RT, Burgess AR, et al. Fracture dislocations of the tarsometatarsal joints: End results correlated with pathology and treatment. Foot Ankle. 1986;6(5):225–242.
7. Arntz CT, Veith RG, Hansen ST Jr. Fractures and fracture-dislocations of the tarsometatarsal joint. J Bone Joint Surg Am. 1988;70(2):173–181.
8. Myerson MS, Fisher RT, Burgess AR, et al. Fracture dislocations of the tarsometatarsal joints: End results correlated with pathology and treatment. Foot Ankle. 1986;6(5):225–242.
9. Henning JA, Jones CB, Sietsema DL, et al. Open reduction internal fixation versus primary arthrodesis for lisfranc injuries: a prospective randomized study. Foot Ankle Int. 2009;30(10):913–922.
10. Jones CB, Coulibaly MO. Midfoot fractures. lisfranc, cuboid, navicular. In: Archdeacon MT, Anglen JO, Ostrum RF, Herscovici D, eds. Prevention and Management of Common Fracture Complications. Thorofare, NJ: Slack; 2011:329–344.
11. Kuo RS, Tejwani NC, Digiovanni CW, et al. Outcome after open reduction and internal fixation of Lisfranc joint injuries. J Bone Joint Surg Am. 2000;82A(11):1609–1618.
12. Myerson MS. The diagnosis and treatment of injury to the tarsometatarsal joint complex. J Bone Joint Surg Br. 1999;81(5):756–763.
13. Schildhauer TA, Nork SE, Sangeorzan BJ. Temporary bridge plating of the medial column in severe midfoot injuries. J Orthop Trauma. 2003;17(7):513–520.
14. Thompson MC, Mormino MA. Injury to the tarsometatarsal joint complex. J Am Acad Orthop Surg. 2003;11(4):260–267.
15. Hardcastle PH, Reschauer R, Kutscha-Lissberg E, et al. Injuries to the tarsometatarsal joint. Incidence, classification and treatment. J Bone Joint Surg Br. 1982;64(3):349–356.
16. Myerson MS, Cerrato RA. Current management of tarsometatarsal injuries in the athlete. J Bone Joint Surg Am. 2008;90(11):2522–2533.
17. Aitken AP, Poulson D. Dislocations of the tarsometatarsal joint. J Bone Joint Surg Am. 1963;45A:246–260.
18. Hansen ST Jr. Functional Reconstruction of the Foot and Ankle. Philadelphia, PA: Lippincott Williams & Wilkins; 2000.
19. Myerson MS, Cerrato RA. Current management of tarsometatarsal injuries in the athlete. J Bone Joint Surg Am. 2008;90(11):2522–2533.
20. Kuo RS, Tejwani NC, Digiovanni CW, et al. Outcome after open reduction and internal fixation of Lisfranc joint injuries. J Bone Joint Surg Am. 2000;82A(11):1609–1618.
21. Myerson MS, Fisher RT, Burgess AR, et al. Fracture dislocations of the tarsometatarsal joints: End results correlated with pathology and treatment. Foot Ankle. 1986;6(5):225–242.
22. Ly TV, Coetzee JC. Treatment of primarily ligamentous Lisfranc joint injuries: primary arthrodesis compared with open reduction and internal fixation: a prospective, randomized study. J Bone Joint Surg Am. 2006;88(3):514–520.
23. Sherief TI, Mucci B, Greiss M. Lisfranc injury: how frequently does it get missed? And how can we improve? Injury. 2007;38(7):856–860.
24. Shapiro MS, Wascher DC, Finerman GA. Rupture of Lisfranc’s ligament in athletes. Am J Sports Med. 1994;22(5):687–691.
25. Ross G, Cronin R, Hauzenblas J, et al. Plantar ecchymosis sign: a clinical aid to diagnosis of occult Lisfranc tarsometatarsal injuries. J Orthop Trauma. 1996;10(2):119–122.
26. Coss HS, Manos RE, Buoncristiani A, et al. Abduction stress and AP weightbearing radiography of purely ligamentous injury in the tarsometatarsal joint. Foot Ankle Int. 1998;19(8):537–541.
27. Kuo RS, Tejwani NC, Digiovanni CW, et al. Outcome after open reduction and internal fixation of Lisfranc joint injuries. J Bone Joint Surg Am. 2000;82A(11):1609–1618.
28. Coss HS, Manos RE, Buoncristiani A, et al. Abduction stress and AP weightbearing radiography of purely ligamentous injury in the tarsometatarsal joint. Foot Ankle Int. 1998;19(8):537–541.
29. Shapiro MS, Wascher DC, Finerman GA. Rupture of Lisfranc’s ligament in athletes. Am J Sports Med. 1994;22(5):687–691.
30. Raikin SM, Elias I, Dheer S, et al. Prediction of midfoot instability in the subtle Lisfranc injury: comparison of magnetic resonance imaging with intraoperative findings. J Bone Joint Surg Am. 2009;91(4):892–899.
31. Quénu E, Küss G. Étude sur les luxations du metatarse (luxations métatarsotarsiennes) du diastasis entre le 1er et le 2e metatarsien. Rev Chir (Paris). 1909;39:281–336.
32. Hansen ST Jr. Functional Reconstruction of the Foot and Ankle. Philadelphia, PA: Lippincott Williams & Wilkins; 2000.
33. Faciszewski T, Burks RT, Manaster BJ. Subtle injuries of the Lisfranc joint. J Bone Joint Surg Am. 1990;72(10):1519–1522.
34. Nunley JA, Vertullo CJ. Classification, investigation, and management of midfoot sprains: Lisfranc injuries in the athlete. Am J Sports Med. 2002;30(6):871–878.
35. Haddix B, Ellis K, Saylor-Pavkovich E. Lisfranc fracture-dislocation in a female soccer athlete. Int J Sports Phys Ther. 2012;7(2):219–225.
36. Hansen ST Jr. Functional Reconstruction of the Foot and Ankle. Philadelphia, PA: Lippincott Williams & Wilkins; 2000.
37. Nunley JA, Vertullo CJ. Classification, investigation, and management of midfoot sprains: Lisfranc injuries in the athlete. Am J Sports Med. 2002;30(6):871–878.
38. Sauers RJ, Diiorio EJ, Weiss CB. A Lisfranc’s fracture-dislocation in a collegiate football player. J Athl Train. 1992;27(1):24–26.
39. Shapiro MS, Wascher DC, Finerman GA. Rupture of Lisfranc’s ligament in athletes. Am J Sports Med. 1994;22(5):687–691.
40. Wadsworth DJ, Eadie NT. Conservative management of subtle Lisfranc joint injury: a case report. J Orthop Sports Phys Ther. 2005;35(3):154–164.
41. Grewal US, Onubogu K, Southgate C, Dhinsa BS. Lisfranc injury: A review and simplified treatment algorithm. Foot (Edinb). 2020 Dec;45:101719.
42. Maynou C. Fractures récentes et anciennes de l’articulation de Lisfranc. Conférences d’enseignement 2011, 73-88.