Current Issue

Vol. 7 No. 038: November-December 2025
					View Vol. 7 No. 038: November-December 2025

This month, we are honored to feature an interview with Professor Eleftherios Tsiridis, reflecting on a career defined by scientific curiosity and leadership in European orthopedics. The issue broadly examines the evolution of hip arthroplasty, offering critical updates on the biomechanics of Dual Mobility systems and the long-term efficacy of third-generation highly cross-linked polyethylene (XLPE).

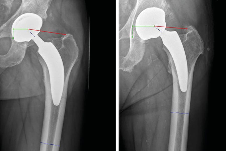
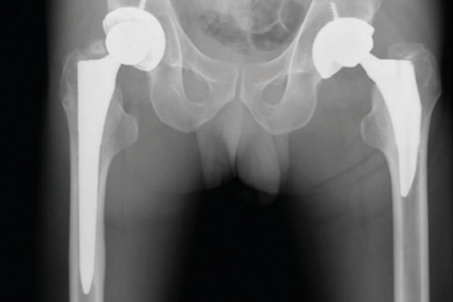
Clinical articles in this edition address the pursuit of anatomical restoration, comparing short-stem versus standard prostheses and detailing the piriformis-preserving STAR approach. We also explore the complex management of Developmental Dysplasia of the Hip (DDH) and evaluate advanced solutions for revision surgery, including the BioBall® modular adapter and custom 3D-printed acetabular implants for severe bone defects.

View All Issues