Vol. 4 No. 018: July-August 2022

					View Vol. 4 No. 018: July-August 2022

This month, we are honored to feature an interview with Professor Hernán Del Sel, President of the World Association Against Infection in Orthopaedics and Trauma. Trained under the influence of John Charnley and Ray Gustilo, his career bridges foundational surgical principles with contemporary global collaboration. A distinguished advocate for inclusive scientific exchange, Professor Del Sel integrates clinical data from low-resource settings into international discourse, while emphasizing mentorship and rigorous self-critical practice as essential to the specialty's advancement.

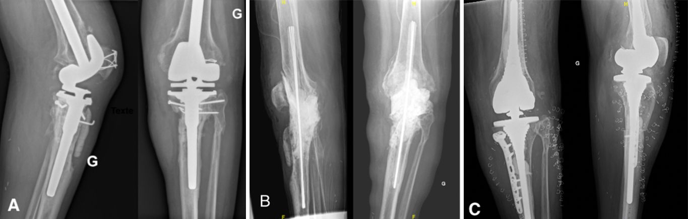
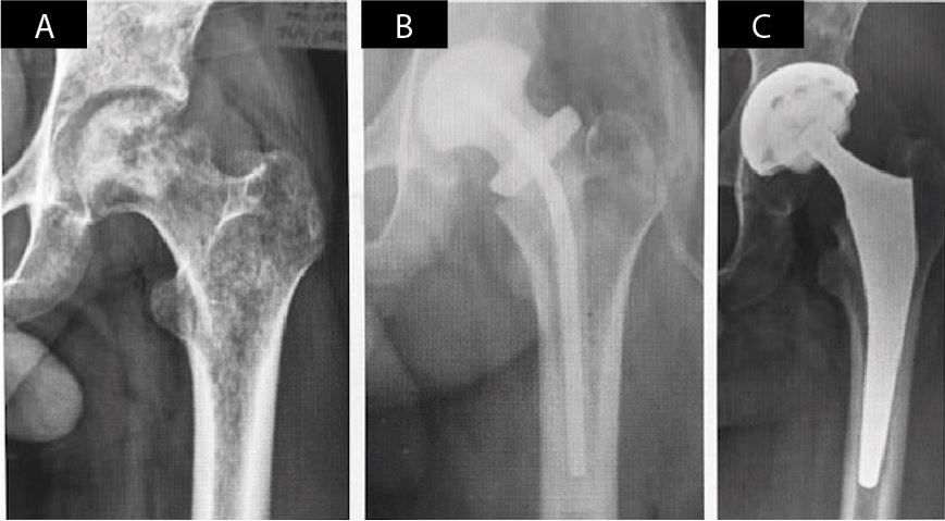
The issue's clinical contributions center on the diagnosis and management of orthopedic infection. Epidemiological and microbiological dimensions are addressed through a 5-year retrospective investigation of septic arthritis of the knee in Azerbaijan, complemented by therapeutic guidelines for joint arthroplasty in sequelae of septic hip arthritis. Operative strategies including static spacers in periprosthetic knee infections, antibacterial implant coating, and a novel DTT-based diagnostic approach to biofilm-related infections further define the issue's scientific scope.