Use of Static Spacers in Periprosthetic Knee Infections
Background: Periprosthetic joint infection (PJI) remains a significant complication of total knee arthroplasty (TKA), with incidence rates reaching 8% in revision cases. While debridement, antibiotics, and implant retention (DAIR) may be utilized for acute presentations, chronic infections typically necessitate a two-stage exchange arthroplasty, which is currently the clinical standard.
Objective: This review evaluates the mechanical and antimicrobial properties of antibiotic-impregnated cement spacers, compares the clinical outcomes of static versus dynamic designs, and delineates specific surgical techniques and indications for static spacer utilization.
Key Points: Spacers maintain joint space, stabilize soft tissues, and deliver local antibiotic concentrations up to 700 times higher than systemic administration. Meta-analyses indicate that while infection eradication rates are comparable between spacer types (67%–100%), dynamic spacers offer superior postoperative range of motion and higher functional scores. However, static spacers are indicated in cases of severe bone loss, ligamentous instability, or extensor mechanism deficiency to prevent dislocation. Surgical success with static constructs requires intramedullary rod reinforcement with Kirschner wires and high-viscosity cement impregnated with heat-resistant, water-soluble antibiotics such as vancomycin and gentamicin. Methylene blue is recommended to facilitate cement identification during the second-stage reimplantation.
Conclusion: The selection between static and dynamic spacers must be tailored to patient-specific bone stock and soft-tissue integrity. Although dynamic spacers improve functional recovery and simplify surgical exposure during reimplantation, static spacers remain essential for managing complex cases with significant structural instability or profound bone loss.
Introduction
The increasing number of total knee arthroplasty (TKA) being performed has led to a corresponding increase in the overall number of TKA infections. Periprosthetic knee infection is a severe and not infrequent complication, with an incidence ranging from 0.4 to 2.5% for primary TKA and 4 to 8% for revision surgery. The surgical treatment differs depending on the duration of the infection. The aim is to eradicate infection and maintain satisfactory knee function (range of motion, stability, no pain). For acute infection, prosthesis removal may not be necessary and a DAIR (Debridement, Antibiotics, Implant Retention) should be performed in association with exchange of the polyethylene insert.
For subacute or chronic infection, prosthetic replacement is necessary, and two methods of management can be discussed: single-stage or two-stage exchange arthroplasty [1, 2]. Single-stage exchange arthroplasty involves implant removal with debridement, followed by reimplantation of a new prosthesis during the same operation. Although single-stage exchange knee arthroplasty is possible in certain specific cases, prosthetic replacement in two stages is currently considered as standard treatment [3, 4, 5].
During two-stage exchange arthroplasty, the first stage is to remove all prosthetic material with thorough debridement of the periprosthetic tissues [6]. An antibiotic-impregnated cement spacer is positioned in place of the TKA implants. The optimal delay before the second surgery is still debated. The use of a cement spacer is practically systematic in the treatment of TKA infection using two-stage exchange. The spacer allows the preservation of sufficient joint space during the intermediate period without a prosthesis, which allows maintenance of the space for reimplantation of the new prosthesis during the second stage surgery. There are two types of spacers commonly used: static spacers or dynamic spacers. Both types of spacers have advantages and disadvantages. A good understanding of the spacer function and indications is critical for appropriate management of the two-stage exchange knee arthroplasty. Later, once the infection is controlled, prosthesis reimplantation is performed during the second stage.
In this review, we will discuss the characteristics of spacers, compare static vs mobile spacers, describe the indications and surgical technique using a static spacer followed by some case reports.
General spacer properties
A spacer is a temporary piece of organic cement [7, 8]. After removal of the infected implant and tissue, the principle is to create a cement-based replacement prosthesis, shaping them manually or using molds.
Mechanical properties
The role of the spacer is to stabilize the femoro-tibial joint during the intermediate time between surgical stages, to prevent knee dislocation and avoid pain. Adequate knee stability during this period protects the periarticular soft tissue, such as the extensor mechanism and avoids additional tissue injuries. It also limits arthrofibrosis filling the joint space and should prevent ligament and tendon retraction. Thus, using a spacer facilitates reimplantation surgery during the second stage [1, 9, 10]. Without the use of a spacer, soft tissues such as the ligaments shorten, possibly necessitating further bone resection, and leg shortening [1, 11, 12]. This will require creating space for reimplantation of a new prosthesis by performing extensive ligament release and implantation of a highly constrained or hinged prosthesis.
Anti-microbial properties
Whilst the patient is receiving appropriate systemic antibiotic therapy, spacers are also delivering high doses of antibiotics directly within the knee [8, 10, 13]. Systemic antibiotic therapy is active against the planktonic microorganisms but is not strong enough to eradicate the sessile forms protected by the biofilm [14]. The local diffusion of high doses of antibiotics contained within the spacer facilitates the eradication of the microbes in this biofilm and limits the development of secondary infection. The antibiotics present in cement are usually aminoglycosides such as gentamycin or tobramycin, or a glycopeptide such as vancomycin [8]. In our practice, we use high viscosity cement premixed with Gentamycin, and add Vancomycin. This combination has been shown to increase the release of both antibiotics locally [15-17]. The recommended dose is 1g of crystalline Vancomycin per 40 g cement package. The pharmacokinetic is well known [18]. The dose delivered locally is up to 700 times higher than when the dose is administered systemically [1, 19]. This level is significantly higher than the critical minimum inhibitory concentration (CMI) for antibiotic activity and avoids high systemic doses and associated complications.
The choice of antibiotics is important.
First, the antibiotic must be heat resistant, to be not destroyed during PMMA polymerization (up to 83°C for 13 min). The antibiotic must be water-soluble to be dispersed after implantation [2, 20, 21] and chemically stable when admixed with the cement. Vancomycin and Teicoplanin are both appropriate choices [10]. Powder form (crystalline) is preferred compared to the liquid formula, which risks decreasing the mechanical strength of the spacer by increasing porosity. Hsieh et al. [19] demonstrated that crystalline Vancomycin decreased mechanical resistance by 13% against 37% for liquid gentamycin. Even if the microorganism is identified, a combination of antibiotics is preferred to increase the target spectrum.
Two types of cement spacer
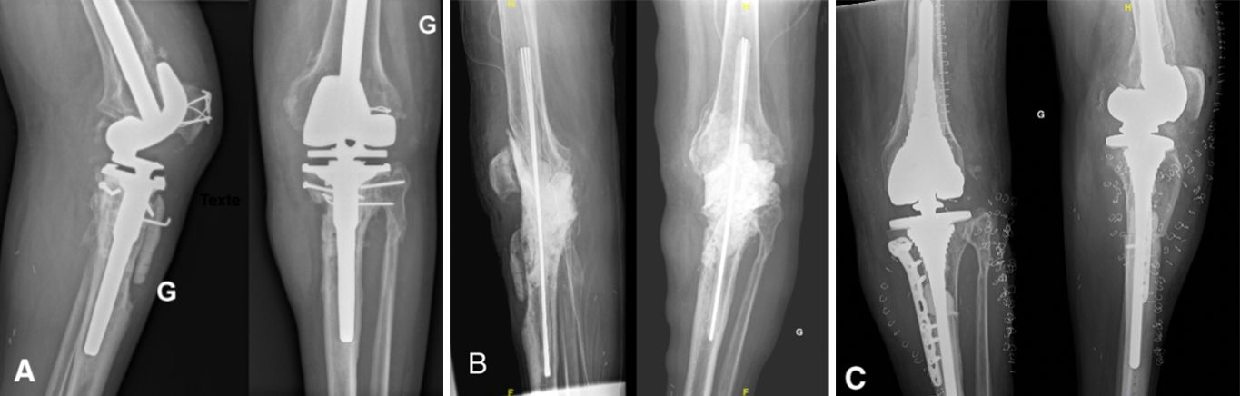
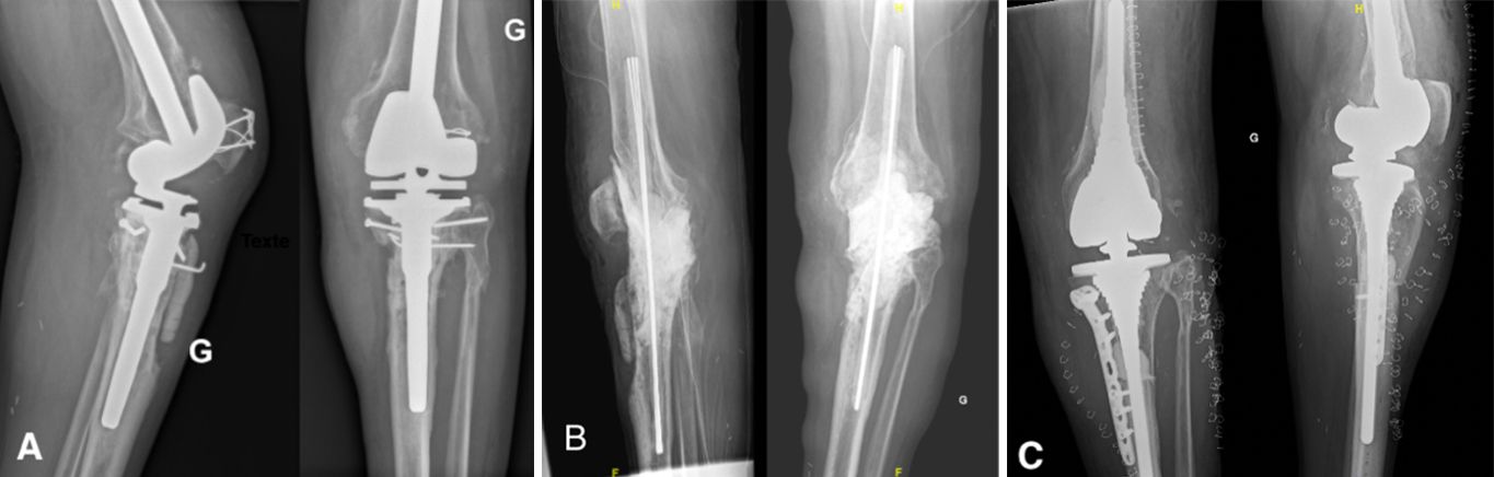
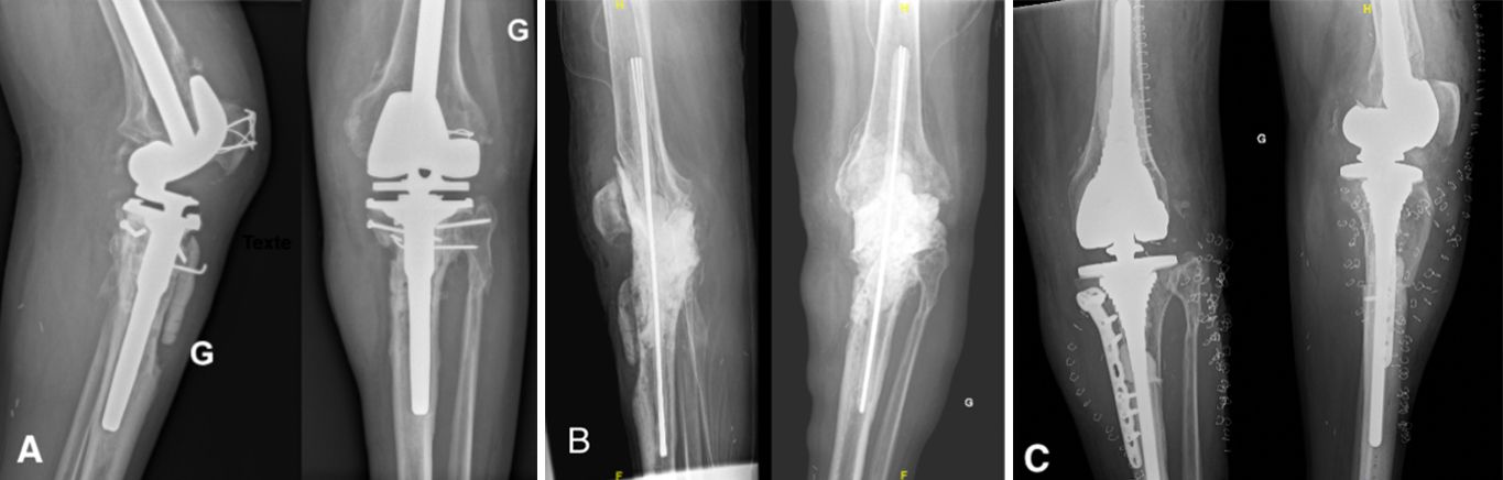
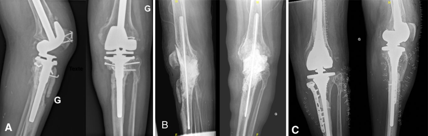
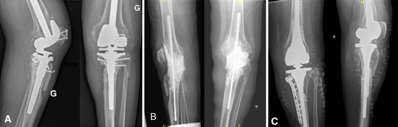
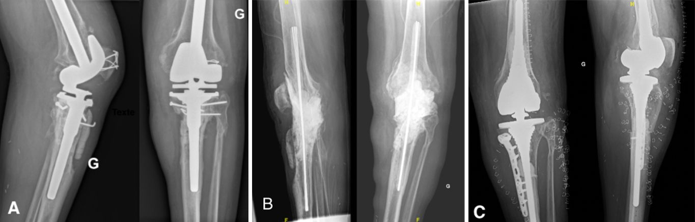
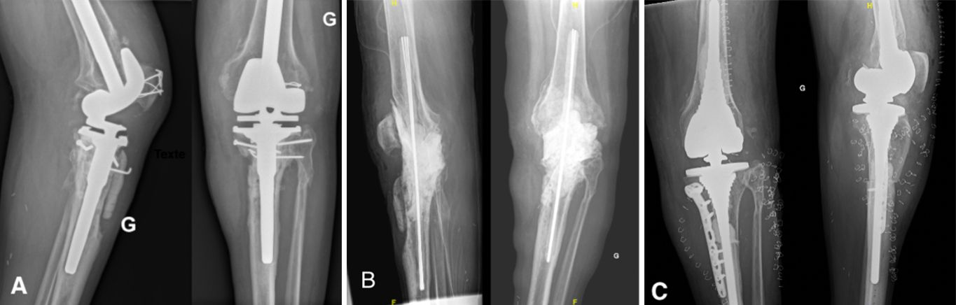
Antibiotic-impregnated cement spacers can be either static (non-articulating, block spacer) or dynamic [10]. Static spacers consist of a single block of cement inserted between the femur and the tibia (Case 1.B, 2.B, 3.B). It is non-articulating, fills the joint space and constitutes a temporary knee arthrodesis keeping the knee in full extension. This temporary immobilization leads amongst other things to joint stiffness and exposure difficulties at the time of reimplantation [9, 22, 23]. This increases the difficulty of prosthesis reimplantation and is associated with poorer clinical outcomes such as stiffness.

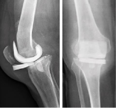
As a result, dynamic spacers have been developed with the aim of overcoming these problems. The dynamic spacer [24] consists of a femoral component articulated on a tibial baseplate. It is effectively a temporary prothesis made out of cement only or combination of metal, poly and cement. It features a smooth and congruent interface, the articulated spacers are designed to allow knee range of motion. Thus, it allows passive mobilization of the knee immediately following surgery. The dynamic spacer reduces the risk of muscular atrophy and retraction of the peripheral soft tissues and is associated with improved range of motion. In the absence of contraindications, the dynamic spacer should be preferred, because it improves the knee function, as well as postoperative mobility [22] and facilitates the exposure during the reimplantation but shows the same eradication rate compared to static spacers [22]).
Comparison static vs dynamic spacers
In the context of chronic TKA infections, several studies have compared infection management using articulated and static spacers. A meta-analysis published in 2017, including 10 studies, compared the effectiveness of static and dynamic spacers according to several criteria, specifically: rate of infection eradication, range of motion and functional scores, and soft tissue release during prosthetic reimplantation [26]. Since, few studies evaluated spacers outcomes [22, 27-29].
Rate of infection eradication
There is no significant difference between static and dynamic spacers [27, 29]. In a study of 81 static spacers and 34 dynamic spacers, Johnson et al. [30] found that the rate of infection eradication was 88% for the static spacer group and 82% for the dynamic spacer group. This rate was comparable in the two groups. Choi et al. [31] found lower, but comparable, infection eradication rates with 67% for the static spacer group and 71% for the dynamic spacer group. In a study by Brunnekreef et al. [32] 35 patients underwent two-stage revision surgery for chronic infection on TKA. The infection eradication rates were 100% for both the static and dynamic spacer groups. Thus, the rate of eradication of infection using a static spacer is between 67% [31] and 100% [30].
Range of motion
All studies tend towards better knee flexion after dynamic versus static spacers. Regarding range of motion, Park et al. [33] compared the clinical results of static and dynamic cement spacers for the treatment of infected TKA in 36 patients. They found a significant difference between groups: an average flexion at the last follow-up of 92° in the static spacer group versus 108° in the dynamic spacer group. In a study of 45 patients, Chiang et al. [34] reported similar results, with 85° of flexion in the static spacer group versus 113° in the dynamic spacer group. In the literature review by Hai Ding et al. [26], the average flexion at the last follow-up is between 74° and 98°. Flexion was significantly lower after static spacer use compared to dynamic spacer use [28].
Knee Society Score (KSS) and HSS Knee Score
All studies tend towards better functional outcomes after dynamic spacer compared to static spacer. Park et al. [33] and Freeman et al. [27] found an average KSS functional score of 50 and 45 points respectively in the static spacer group versus 76 and 70 points in the dynamic spacer group. Chiang et al. [34] and Park et al. [33] respectively found an average HSS score of 82 and 80 points for the static spacer group against 90 and 87 points for the dynamic spacer group. The functional scores at the last follow-up are comparable between different studies. These scores are significantly lower in the static spacer groups compared to the dynamic spacer groups. These findings were observed at 3.5years [22] and 5 years [28] follow-up.
Rate of surgical soft tissue release
Several authors have sought to assess the retraction of peripheral soft tissues during prosthetic reimplantation, and particularly the need to perform quadriceps tendon release or tibial tuberosity osteotomy (TTO). In a study of 28 patients, Hsu et al. [35] performed two rectus femoris snips and one Y-plasty of the quadriceps tendon during prosthetic reimplantation. They found that 29% of patients in the static group required a more extensive approach compared to only 5% of patients in the articulated group. Choi et al. [31] found that a more extensive approach was more frequently required in the static spacer group than in the dynamic spacer group (5 rectus femoris snips, 1 Y-plasty of the quadriceps tendon and 19 TTO in the static spacer group versus 3 rectus femoris snips and 1 TTO in the dynamic spacer group). Therefore, the use of articulated spacers facilitates the surgical exposure during the prosthetic reimplantation stage. The mobilization of the knee between the two surgeries avoids the retraction of the extensor mechanism and the articular capsule [36].
Complications
Johnson et al. [30] described complications requiring surgical revision due to dynamic spacers. Four of the 34 patients with dynamic spacers presented with mechanical failure and there were no failures of the 81 static spacers. Two patients with dynamic spacer failure that admitted to having resumed full weight bearing presented with fractures of the femoral component. The other patients presented with a dislocation of the femoral component and a subluxation of the tibial component with skin breakdown who needed flap coverage. In a study by Streulens et al. [37], the dynamic spacer dislocated and caused significant knee subluxation in 7% of the patients. Only the posterior sagittal subluxation had an impact on KSS Function score. Subluxation do not decrease SF12 and WOMAC [38]. Wilson et al. [39] described a series of 3 complicated cases of anterior migration of the cement with partial or even total rupture of the patellar tendon following the implantation of dynamic spacers. In case of dynamic spacer risk could be reduced using postero-stabilized antibiotic cement with wire reinforced cam, which increased stability and decreased the risk of cam fracture [40]. Thus, static spacers have less risk of complications than dynamic spacers (Fig. 1).

Indications for a static spacer in TKA infections
The indications for a static spacer correspond to the contraindications of the dynamic spacer, specifically:
- Major bone loss, which is associated with a high risk of fracture, as well as a lack of fixation for a dynamic spacer (Cases 1-3).


- An incompetence of the collateral ligaments or the extensor mechanism, which can cause femoro-tibial dislocation with a dynamic spacer (Case 3).


Because of these exclusion criteria, the choice needs to be confirmed intra-operatively after an evaluation of soft-tissue and bone loss, to limit the risk of articular spacers for dislocation and extensor mechanism injuries [17].
Surgical technique static spacer
Step 1: Knee exposure
Exposure can be performed via a pre-existing scar or as per surgeon preference. After knee exposure, the level of the joint line is identified and measured relative to a drill hole which is made on the femur and the tibia at a safe distance from the joint level.
Step 2: Implants removal – Debridement
The prosthesis is carefully explanted, trying to save as much bone as possible. The bone loss should be described with the Anderson Orthopedic Research Institute (AORI) classification to prepare reimplantation.
Multiples tissues samples must be taken and sent for both microbiology and histopathological assessment. After sampling, the surrounding contaminated tissues are excised. The femoral and tibial intramedullary canals are reamed and cleaned. The reaming is important to clean the medullar canal but also to prepare the femoral and tibial shafts to receive the spacer. Then a thorough knee joint lavage (for example Pulsavac®) is performed using at least 9L of fluid.
Step 3: Making the static spacer
The firsts step is the fashioning of a rigid rod of cement reinforced by Kirschner wires to reduce the very high risk of spacer fracture. 3-4 wires of 2 mm diameter should be used and coated with high-viscosity antibiotic cement. When the mixture starts to solidify, it is molded manually by the surgeon (Fig.2).

The length must be long enough to have at least 6 cm of rod in each femoral and tibial canal, plus the length of the joint space to bypass the joint and be stable and strong enough. Once set, this rod, marked at its center, is introduced back and forth into the femoral and tibial canals until the center mark is at the midpoint of the joint space (Fig.3). We usually use 1 cement package of 40 g for this rod.


Next, the whole spacer is prepared using high-viscosity antibiotic cement. We use cement with Gentamycin and add crystalline Vancomycin, 1g per cement package. The Vancomycin should be added to the cement before being added to the liquid monomer [13]. If the Vancomycin is added later, the mixing is inconsistent due to poor dissolution and risks unequal diffusion into the soft tissues. We advise adding methylene blue to the preparation. We usually use 1 mL, added just at the start of mixing, to obtain a homogenous blue paste (Fig.4). The methylene blue is added to the cement to provide easy discrimination between native bone and cement and facilitate cement removal during the second stage of surgery [25].


The spacer should fill the joint space to maintain the native leg length. 2 minutes after the second cement mixture, the joint is opened with traction on the leg in extension to fill any bone defects and the joint space with cement. The size of the spacer should be appropriate but not too large to avoid excessive skin tension during wound closure. This second cementation stabilizes the construct and prevents spacer migration (Fig.5). The joint capsule, subcutaneous tissues, and the skin are closed in layers.

Step 4: Post-operative managment
Postoperatively, patients are kept in a brace in extension. Weight-bearing is not allowed.
During the second stage of surgery, the surgeon removes the cement by breaking the spacer and removing the rod spacer. It is easier to cut the wires and remove the rod in 2 parts. Another thorough debridement is performed and samples are taken before implantation of the new definitive prosthesis.
Case reports (continutation)


.
Conclusion
Two-stage prosthetic replacement, with the use of a cement spacer during the intermediate phase, is currently considered as the gold standard treatment for chronic prosthetic knee infections. During prosthetic reimplantation, static spacers are associated with retraction of peripheral soft tissue and greater difficulty in surgical exposure. This difficulty in exposure is related to the immobilization of the knee during the intermediate phase and may require an important soft tissue release. The use of a static spacer impacts the functional knee results of patients.
Articulated spacers allow limited knee mobilization between the two surgical stages and can facilitate the ease of prosthesis reimplantation during the second stage. However, the dynamic spacers are associated with a greater number of complications compared with static spacers, particularly in cases of improper use. When contra-indications for a dynamic spacer are present (major bone loss, knee instability with collateral ligament or extensor mechanism incompetence and precarious skin condition) a static cement spacer is preferred. In order to minimize the risk of complications of spacers during the intermediate phase, the surgical technique and the indications of each type of spacer must be well known and understood.
References
1. Porrino, J., Wang, A., Moats, A., Mulcahy, H., & Kani, K. (2020). Prosthetic joint infections: diagnosis, management, and complications of the two-stage replacement arthroplasty. Skeletal Radiology, 49(6), 847-859.
2. Tande, A. J., & Patel, R. (2014). Prosthetic joint infection. Clinical microbiology reviews, 27(2), 302-345.
3. Hirakawa, K., Stulberg, B. N., Wilde, A. H., Bauer, T. W., & Secic, M. (1998). Results of 2-stage reimplantation for infected total knee arthroplasty. The Journal of arthroplasty, 13(1), 22-28.
4. Vadiee, I., & Backstein, D. J. (2019). The effectiveness of repeat two-stage revision for the treatment of recalcitrant total knee arthroplasty infection. The Journal of Arthroplasty, 34(2), 369-374.
5. Kubista, B., Hartzler, R. U., Wood, C. M., Osmon, D. R., Hanssen, A. D., & Lewallen, D. G. (2012). Reinfection after two-stage revision for periprosthetic infection of total knee arthroplasty. International orthopaedics, 36(1), 65-71.
6. Banerjee S., Brown S., Courtney P.M. (2022) Antibiotic Spacers for Prosthetic Joint Infections Following Total Knee Arthroplasty. In: Hansen E., Kühn KD. (eds) Essentials of Cemented Knee Arthroplasty. Springer, Berlin, Heidelberg. https://doi.org/10.1007/978-3-662-63113-3_60
7. Parvizi, J., Tan, T. L., Goswami, K., Higuera, C., Della Valle, C., Chen, A. F., & Shohat, N. (2018). The 2018 definition of periprosthetic hip and knee infection: an evidence-based and validated criteria. The Journal of arthroplasty, 33(5), 1309-1314.
8. Van Vugt, T. A., Arts, J. J., & Geurts, J. A. (2019). Antibiotic-loaded polymethylmethacrylate beads and spacers in treatment of orthopedic infections and the role of biofilm formation. Frontiers in microbiology, 1626.
9. Cohen, J. C., Hozack, W. J., Cuckler, J. M., & Booth Jr, R. E. (1988). Two-stage reimplantation of septic total knee arthroplasty: report of three cases using an antibiotic-PMMA spacer block. The Journal of arthroplasty, 3(4), 369-377.
10. Lachiewicz PF, Wellman SS, Peterson JR: Antibiotic cement spacers for infected total knee arthroplasties. J Am Acad Orthop Surg. 2020, 28:180-188.
11. Gee, R., Munk, P. L., Keogh, C., Nicolaou, S., Masri, B., Marchinkow, L. O., ... & Chan, L. P. (2003). Radiography of the PROSTALAC (prosthesis with antibiotic-loaded acrylic cement) orthopedic implant. American Journal of Roentgenology, 180(6), 1701-1706.
12. Insall, J N; Thompson, F M; Brause, B D Two-stage reimplantation for the salvage of infected total knee arthroplasty. The Journal of Bone & Joint Surgery: Oct 1983 - Volume 65 - Issue 8 - p 1087-1098
13. Villanueva-Martínez, M., Ríos-Luna, A., Chana-Rodriguez, F., De Pedro, J. A., & Pérez-Caballer, A. (2013). Articulating spacers in infection of Total knee arthroplasty—state of the art. IntechOpen.
14. Vasudevan, R. (2014). Biofilms: microbial cities of scientific significance. J Microbiol Exp, 1(3), 00014.
15. Hsieh, P. H., Tai, C. L., Lee, P. C., & Chang, Y. H. (2009). Liquid gentamicin and vancomycin in bone cement: a potentially more cost-effective regimen. The Journal of arthroplasty, 24(1), 125-130.
16. Penner, M. J., Masri, B. A., & Duncan, C. P. (1996). Elution characteristics of vancomycin and tobramycin combined in acrylic bone—cement. The Journal of arthroplasty, 11(8), 939-944.
17. Tande, A. J., Gomez-Urena, E. O., Berbari, E. F., & Osmon, D. R. (2017). Management of prosthetic joint infection. Infectious Disease Clinics, 31(2), 237-252.
18. Samelis, P. V., Papagrigorakis, E., Sameli, E., Mavrogenis, A., Savvidou, O., & Koulouvaris, P. (2022). Current Concepts on the Application, Pharmacokinetics and Complications of Antibiotic-Loaded Cement Spacers in the Treatment of Prosthetic Joint Infections. Cureus, 14(1).
19. Hsieh, P. H., Chang, Y. H., Chen, S. H., Ueng, S. W., & Shih, C. H. (2006). High concentration and bioactivity of vancomycin and aztreonam eluted from Simplex™ cement spacers in two-stage revision of infected hip implants: A study of 46 patients at an average follow-up of 107 days. Journal of orthopaedic research, 24(8), 1615-1621.
20. Vaishya, R., Chauhan, M., & Vaish, A. (2013). Bone cement. Journal of clinical orthopaedics and trauma, 4(4), 157-163.
21. Anagnostakos, K. (2017). Therapeutic use of antibiotic-loaded bone cement in the treatment of hip and knee joint infections. Journal of bone and joint infection, 2(1), 29-37.
22. Nahhas, C. R., Chalmers, P. N., Parvizi, J., Sporer, S. M., Berend, K. R., Moric, M., ... & Della Valle, C. J. (2020). A randomized trial of static and articulating spacers for the treatment of infection following total knee arthroplasty. JBJS, 102(9), 778-787.
23. Hofmann, A. A., Goldberg, T., Tanner, A. M., & Kurtin, S. M. (2005). Treatment of infected total knee arthroplasty using an articulating spacer: 2-to 12-year experience. Clinical Orthopaedics and Related Research®, 430, 125-131.
24. Kayaalp M.E., Becker R. (2022) Dynamic (Mobile) Spacers in Infected Total Knee Arthroplasty. In: Longo U.G., Budhiparama N.C., Lustig S., Becker R., Espregueira-Mendes J. (eds) Infection in Knee Replacement. Springer, Cham.
25. Lewis, G., Effect of methylene blue on the fracture toughness of acrylic bone cement. Biomaterials, 1994. 15(12): p. 1024-1028.
26. Ding, H., Yao, J., Chang, W., & Liu, F. (2017). Comparison of the efficacy of static versus articular spacers in two-stage revision surgery for the treatment of infection following total knee arthroplasty: a meta-analysis. Journal of orthopaedic surgery and research, 12(1), 1-9.
27. Freeman, M. G., Fehring, T. K., Odum, S. M., Fehring, K., Griffin, W. L., & Mason, J. B. (2007). Functional advantage of articulating versus static spacers in 2-stage revision for total knee arthroplasty infection. The Journal of arthroplasty, 22(8), 1116-1121.
28. Vasarhelyi, E., Sidhu, S. P., Somerville, L., Lanting, B., Naudie, D., & Howard, J. (2022). Static vs Articulating Spacers for Two-Stage Revision Total Knee Arthroplasty: Minimum Five-Year Review. Arthroplasty Today, 13, 171-175.
29. Jacobs, C., Christensen, C. P., & Berend, M. E. (2009). Static and mobile antibiotic-impregnated cement spacers for the management of prosthetic joint infection. JAAOS-Journal of the American Academy of Orthopaedic Surgeons, 17(6), 356-368.
30. Johnson, A. J., Sayeed, S. A., Naziri, Q., Khanuja, H. S., & Mont, M. A. (2012). Minimizing dynamic knee spacer complications in infected revision arthroplasty. Clinical Orthopaedics and Related Research®, 470(1), 220-227.
31. Choi HR, Malchau H, Bedair H. Are prosthetic spacers safe to use in 2-stage treatment for infected total knee arthroplasty? J Arthroplast. 2012;27(8):1474–9.e1.
32. Brunnekreef, J., Hannink, G., & Malefijt, M. D. W. (2013). Recovery of knee mobility after a static or mobile spacer in total knee infection. Acta Orthop Belg, 79(1), 83-89.
33. Park, S. J., Song, E. K., Seon, J. K., Yoon, T. R., & Park, G. H. (2010). Comparison of static and mobile antibiotic-impregnated cement spacers for the treatment of infected total knee arthroplasty. International orthopaedics, 34(8), 1181-1186.
34. Chiang, E. R., Su, Y. P., Chen, T. H., Chiu, F. Y., & Chen, W. M. (2011). Comparison of articulating and static spacers regarding infection with resistant organisms in total knee arthroplasty. Acta Orthopaedica, 82(4), 460-464.
35. Hsu, Y. C., Cheng, H. C., Ng, T. P., & Chiu, K. Y. (2007). Antibiotic-loaded cement articulating spacer for 2-stage reimplantation in infected total knee arthroplasty: a simple and economic method. The Journal of arthroplasty, 22(7), 1060-1066.
36. Thabe, H., & Schill, S. (2007). Two-stage reimplantation with an application spacer and combined with delivery of antibiotics in the management of prosthetic joint infection. Operative Orthopadie und Traumatologie, 19(1), 78-100.
37. Struelens, B., Claes, S., & Bellemans, J. (2013). Spacer-related problems in two-stage revision knee arthroplasty. Acta Orthop Belg, 79(4), 422-426.
38. Lanting BA, Lau A, Teeter MG, Howard JL. Outcome following subluxation of mobile articulating spacers in two-stage revision total knee arthroplasty. Arch Orthop Trauma Surg. 2017;137(3):375-380.
39. Wilson, K., Kothwal, R., Khan, W. S., Williams, R., & Morgan-Jones, R. (2015). Patella tendon injuries secondary to cement spacers used at first-stage revision of infected total knee replacement. Frontiers in Surgery, 2, 11.
40. Lin, T. L., Tsai, C. H., Fong, Y. C., Shie, M. Y., Chen, H. Y., & Chen, Y. W. (2022). Posterior-stabilized antibiotic cement articulating spacer with endoskeleton-reinforced cam reduces rate of post-cam mechanical complications in prosthetic knee infection: a preliminary study. The Journal of Arthroplasty.