Joint Arthroplasty in sequelae of septic arthritis of the hip: a therapeutic guideline to single or two stage procedures
Background: Acute septic arthritis of the native hip requires urgent intervention to prevent articular destruction, yet the optimal surgical strategy for transitioning to total hip arthroplasty remains variable. While two-stage protocols are standard for active infections, the management of quiescent cases—defined by clinical remission and normalized inflammatory markers—requires distinct therapeutic guidelines to minimize reinfection risks and optimize functional outcomes.
Objective: This study aims to evaluate a differentiated surgical protocol for septic hip arthritis, utilizing a two-stage approach for acute infections and a one-stage arthroplasty for quiescent cases based on a 25-year institutional experience.
Key Points: A retrospective analysis of 22 hips (20 patients) categorized cases into Group 1 (acute, n=9) and Group 2 (quiescent, n=13). Group 1 underwent initial debridement, femoral head resection, and placement of an antibiotic-loaded cement spacer, followed by delayed prosthesis implantation after normalization of erythrocyte sedimentation rate and C-reactive protein. Group 2 received primary total hip arthroplasty at least two years post-infection. Results indicated 100% infection eradication in both groups. Functional recovery, measured by Harris Hip Score, improved significantly in both cohorts, though Group 1 showed a higher mean postoperative score (93) compared to Group 2 (88), likely due to the absence of long-term soft tissue contractures associated with chronic sequelae.
Conclusion: Differentiating between acute and quiescent septic arthritis is essential for surgical planning. A two-stage protocol effectively manages active infection, while a one-stage procedure is safe for quiescent cases with normalized laboratory parameters and a sufficient symptom-free interval.
Introduction
Acute septic hip arthritis can nowadays be treated initially with arthroscopy or open debridement, followed by appropriate antibiotic therapy, but success or failure at preserving the joint are closely related to time elapsed since initiation of symptoms, with a cut-off at about 1 to 2 weeks (1). In cases where the symptomatic period is prolonged and radiologic evidence of articular destruction is present, more radical surgery is needed. Articular resection is needed to eradicate infection, but it is associated with postoperative morbidities like leg length discrepancy, use of walking aids and use of pain medication. Historically, deep prosthetic infection was treated with resection arthroplasty (Girdlestone procedure), but the appearance of antibiotic loaded cement spacers allowed for better joint function with increased local antibiotic concentration. Better soft tissue tension permits full weight bearing and will facilitate the subsequent revision and articular reconstruction. (4,5,6)
The most feared complication in hip arthroplasty after septic arthritis (active or quiescent) is recurrence of infection. A two-stage protocol, using a spacer and replacing it with a definitive prosthesis in a second stage once the infectious process is resolved, is considered the accepted treatment for acute septic arthritis of the hip. However, treatment in one stage is accepted for quiescent septic arthritis, taking as parameters of absence of infection the following conditions: clinical status, normalization of laboratory values (ESR and CRP) and time elapsed between the resolution of the infection and the moment of joint replacement. In these cases, the microorganism responsible for the primary infection has no relevance, as long as the times of treatment and quiescence have been respected as described by Kim et al (7)
The purpose of this paper is to establish, , a therapeutic guideline for septic arthritis on native hips, proposing treatment in two stages for acute septic arthritis and in one stage for quiescent cases. The guideline is based on our experience with cases treated at our institution during the last 25 years.
Patients & methodes
We conducted an observational, descriptive, retrospective study, analysing all patients with primary total hip replacement between June 1997 and June 2016, selecting those that had a diagnosis of septic arthritis prior to surgery and divided them into two groups.
Group 1: acute septic arthritis
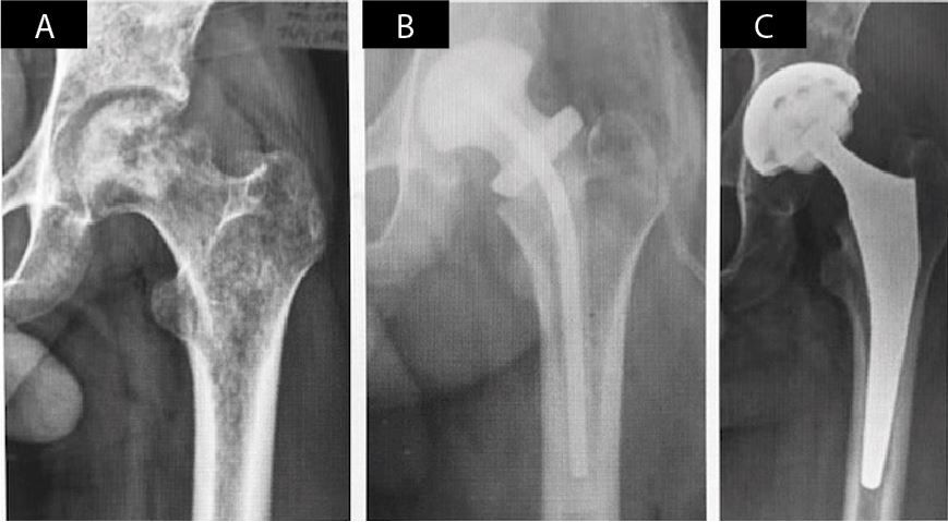
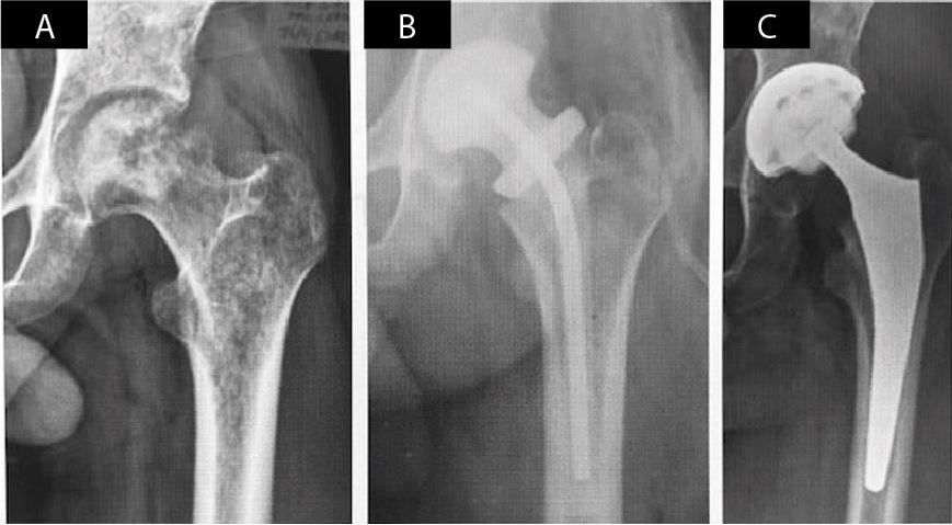
defined as patients with a clinical presentation of severe spontaneous pain that increases with joint motion, load intolerance, fever, erysipelatous inflammation, swelling, altered laboratory parameters (leukocyte count, ESR and CRP), radiological evidence of usually rapid joint line narrowing and later bone destruction (Figure 1), MRI changes and finally, a positive culture in joint aspiration

Group 2: quiescent septic arthritis
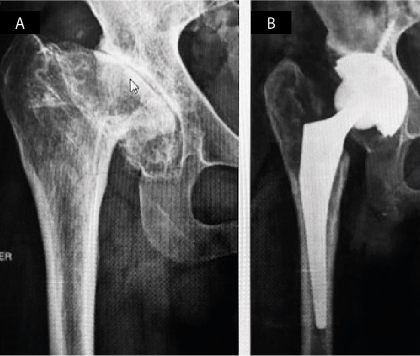
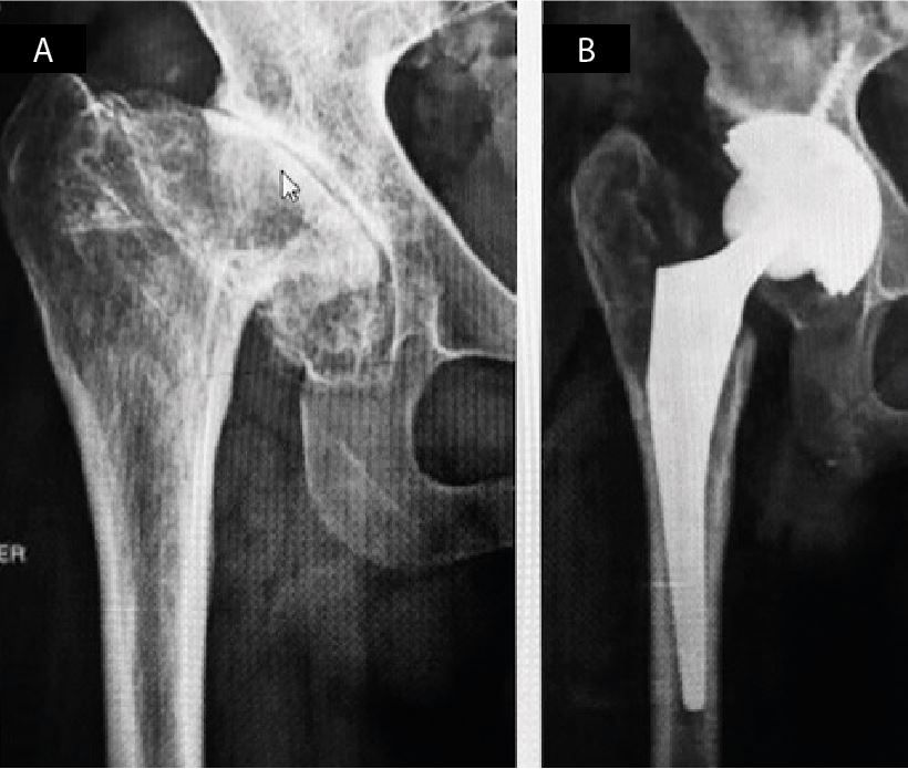
definition of quiescent septic arthritis is reserved for patients with a history of acute septic arthritis, who have completed antibiotic treatment, have normal laboratory values and absence of clinical signs that suggest ongoing infection. These patients present clinical and/or radiological signs of articular damage (Figure 2) that require joint replacement.

We excluded patients with a follow-up of less than one year and those who had a previous internal fixation or prosthesis in the affected joint or adjoining to it. For this reason, infected acetabular and/or femoral osteosynthesis, a not unusual finding, were not included. In the period 1997-2016, 6263 primary hips were operated. The population studied includes 20 patients with 22 hips (2 bilateral) with a diagnosis of septic arthritis of native hip, either acute or quiescent, treated with total hip arthroplasty and with a follow up greater than one year. Data included pre- and post-operative Harris Hip Score, previous treatments, and microbiological data when available (Tables 1 and 2).
Patients in group 1 with evolving septic arthritis (9 hips in 8 patients) had hip joint aspiration to identify the causative microorganism. Subsequently, they were treated in two stages. The initial surgical procedure was carried out through an anterolateral approach with extensive synovectomy, resection of the femoral head and acetabular reaming for removal of remaining articular cartilage. Three to six samples for culture and antibiogram were obtained. A hand made (3 hips) or preformed (6 hips) antibiotic (ATB) loaded spacer was placed, generally with Gentamicin and, in case of adding cement, this was mixed with Vancomycin (1 to 3 grams). Patients continued with intravenous antibiotic treatment and then orally for a minimum of 6 weeks, as established by the Infectology Dept. The second stage took place once the laboratory values (ESR and CRP) yielded normal twice, without ATB treatment, with an interval of two weeks between them. Once remission of infection was ascertained, final reimplantation was performed. The type of prosthesis to be used (uncemented, hybrid or cemented) was selected according to age, functional demand, and bone quality. Systemic AB were used for 24 hours only and in cases of hybrid or cemented implants, ATB added to cement was used as infection prophylaxis (no more than 1 g per dose of cement), but not as a treatment for the infection since the infection was considered resolved before performing the joint replacement procedure. (Figure 1 A to C).

Group 2 includes patients with a history of previous septic hip arthritis and considered in remission of infection (13 hips in 12 patients). These patients were free of infection for at least two years since the end of treatment, had normal laboratory values and favourable clinical outcome. In them, one stage arthroplasty was performed, using the usual antibiotic prophylaxis scheme as for primary hips (1/2 gr IV cefazolin at anaesthetic induction and during the first 24 hours after surgery). All femoral heads were sent to culture. No previous joint aspiration was performed since, as described by Bauer et al (3), it serves no purpose in detecting eventual persistent infections of low virulence in quiescent septic arthritis, which explains the high number of false negatives reported by the authors (Figure 2 A and B). In our protocol, we do not consider the use of postoperative antibiotic schemes different from the primary hip protocol.

In acute septic arthritis, a successful treatment is defined as eradication of infection after the spacer has been implanted with normalization of ESR and CRP, and, in quiescent septic arthritis, the nonrecurrence of infection after the definitive implant. The pre- and post-operative functional results were analysed with the Harris Hip Score.
Statistical analysis: quantitative variables were described by means and standard deviation, and categorical variables by percentage. The differences in the quantitative variables between the test groups were compared with the differences between proportions with the x2 test. Statistically significant differences are probabilities less than 0.05. Statistical analysis was performed with STATA version 13.0 software.
Results
Group 1 (acute septic arthritis) included 9 hips in 8 patients (one bilateral), four women and four men with an average age of 49.25 (21 to 74) years at the time of diagnosis, and an average follow-up of 4.25 (1 to 12) years. Isolated germs included Staphylococcus aureus in five cases (1 resistant to methicillin), Streptococcus pneumoniae in three, and Bacteroides spp in one. All patients underwent specific antibiotic treatment from six to 12 weeks (avg 9 weeks) between the placement of the spacer and the final prosthetic replacement (Table 1).

Before Reimplantation antibiotic treatment was discontinued for 30 days. Remission of the infection was verified by a satisfactory clinical outcome with normal values for ESR and CRP.
In all cases the infection could be eradicated and the clinical results were satisfactory in all cases, with a notable gain in function and absence of pain, improving from an average HHS of 22 points before the initial surgery, to an average HHS of 93 at 6 months after reimplantation. This result showed to be statistically significant in favour of group 1 (p 0.001). No postoperative complications or exacerbation of the infectious process were observed until the present date.
Group 2 (quiescent septic arthritis) included 13 hips of 12 patients (one bilateral), seven women and five men, with an average age of 49.2 (16 to 81) years at the time of surgery. Time elapsed between infection and prosthetic replacement varied between five and 46 (average 18.8) years. Femoral heads sent to culture were in all cases negative. Functional results from the Harris Hip Score in this group improved from an average initial value of 37 points, to an average end of 88 points (Table 2).

Some patients remained with certain limitations in their range of motion, as a consequence of stiffness after so many years of evolution that generated soft tissue retraction. However, they all evolved with a significant functional improvement of the joint. The postoperative follow-up of the patients of both groups was not different from the usual one for all patients with total primary arthroplasty in our centre. Postoperative controls were carried out at the third and eighth week, and then at 6 and 12 months and annually from there on. No follow up nor postoperative laboratory studies were ordered by the infectology department because these were considered patients with infectious disease resolution, and all had infectious discharge prior to joint replacement.
Discussion
Primary septic arthritis of the hip in adults is a rare but potentially devastating condition (2). When undertaking this study, it became clear the need for and importance of differentiating and defining acute and quiescent septic arthritis, thus treating them as different entities with their diverse preoperative evaluation, treatment, and follow-up.
In acute septic arthritis, symptomatology is that of an active infection and treatment goes in that direction. For quiescent arthritis, treatment is that of the sequel of a joint infection with its destruction. The high cure rate allowed by antibiotic cement spacers and their greater efficacy has been demonstrated for years as compared to that of previous procedures such as antibiotic cement beads. Spacers preserve joint function and facilitate revision for the treatment of prosthetic infection, but a protocolized treatment that differentiates acute septic arthritis from quiescent septic arthritis in native hips has not been described previously.
Whatever the bacteria involved (pyogenic or mycobacteria), the role of arthroplasty in these pathologies remains clear. The risk of complications, and especially of failure due to persistence of infection in acute septic arthritis or due to exacerbation in quiescent ones is difficult to determine (8) despite not having, in our results, patients with postoperative infection or recurrence.
Referring specifically to acute septic arthritis, Jupiter et al. suggest that arthroplasty can be performed in one time, either for acute or quiescent septic arthritis, obtaining results comparable to those obtained in a two-stage treatment (9). Anagnostakos et al. describe a high rate (87%) of control of acute septic arthritis with two-stage treatment, but also highlight the high mortality rate between the first and second stage (8.8%)(2). Bauer et al.(3) resolved 85% of cases by a two-stage protocol for acute septic arthritis of 13 joints, taking into account that these authors evaluated hips and knees equally.
Our choice of a two-stage treatment for acute septic arthritis was to perform initial infection control by treating the condition with thorough joint debridement and an antibiotic loaded cement spacer. Previous joint aspiration in these cases is mandatory to identify the microorganism. In these cases, we consider that the treatment of choice is surgical debridement with removal of the femoral head, antibiotic treatment local with the spacer and systemically until normalization of laboratory values, then proceeding to the final implant. This allows greater predictability in the results and practically ensures the placement of a prosthesis in an infection free joint.
In relation to hips with history of infection that we call quiescent, treatment consists in solving the sequelae of a joint that is usually severely damaged. There are some guidelines that must be taken into account. First to have a normal laboratory with regard to infection (normal ESR and CRP) and second minimum two years that the infection has been in remission (10,11).
According to Kim et al. (7), the longer the symptom-free interval between the initial infection and the arthroplasty, the higher the success rate and the lower the risk of reinfection. Another point to highlight is the preoperative biopsy that, in the case of active infection in acute septic arthritis, is mandatory to diagnose and identify the pathogen involved. However, as described by Bauer et al., where they obtained seven false negatives in 23 patients, it does not apply to detect theoretical persistent infections of low virulence in quiescent septic arthritis (3). In our series, prior joint aspiration does not seem to be strictly necessary. In the group of patients with sequelae of septic arthritis, aspiration was not performed routinely, and the small usefulness of this procedure was reflected in the fact that femoral head cultures were all negative.
Similarly, functional recovery of patients with acute septic arthritis was different compared to quiescent. Patients with the acute condition presented a better functional recovery and this is mainly because patients with septic arthritis sequelae have an interval of years between the treated infection and the prosthetic implant and may even have previous surgeries (12) with soft tissue retraction, anatomical alterations of the joint and muscle atrophy. We believe that one stage joint replacement in quiescent arthritis is the method of choice. Bauer et al. obtained a 100% success rate through one stage arthroplasty for nine quiescent hips (3).
In our series, the result was highly satisfactory with this procedure, also obtaining 100% good results. The same authors propose, in quiescent septic arthritis, to associate postoperative antibiotic therapy until the results of the cultures are obtained (3). In our protocol, we do not include any antibiotic scheme beyond that used for the prophylaxis of infection that is carried out for primary arthritic hips. All femoral heads were sent to culture, and all yielded negative results. However, the use of such femoral heads as a source of bone graft is not recommended.
The main weakness of our series is that it is retrospective and has a limited number of patients, which nonetheless coincides with numbers published in other papers. Despite this, we believe it presents considerable strengths: in all cases, the same protocol was applied; the cases are consecutive, all corresponding to the same joint, not comparing hips and knees; and it is original considering it as a national publication. This work may be considered as an important starting point in the study of two pathologies that, even though they can be mistakenly interpreted as one, must be considered, evaluated, and treated differently.
Conclusions
In our experience of the last 20 years, we have obtained satisfactory results, that is why we believe it is possible to establish a therapeutic protocol for primary septic hip arthritis, in two stages for active infections, with the placement of an antibiotic loaded spacer in a first stage, followed by a period of not less than six weeks of antibiotic treatment, and, once the values of ESR and CRP have been normalized, the placement of the definitive hip prosthesis.
The treatment in one stage for quiescent infections with at least two years between the remission of the infection and the placement of the implant, is the one of choice, verified by already negative values of ESR and CRP, with the placement of the definitive hip prosthesis.
References
1. Romano CL, Romano D, Meani E, Logoluso N, Drago L. Two-stage revision surgery with preformed spacers and cementless implants for septic hip arthritis: a prospective, non-randomized cohort study. BMC Infect Dis. 2011; 11: 129.
2. Anagnostakos K, Duchow L, Koch K. Two-stage protocol and spacer implantation in the treatment of destructive septic arthritis of the hip joint. Arch Orthop Trauma Surg. 2016; 136 (7): 899-906.
3. Bauer T, Lacoste S, L´hotellier L, Mamoudy P, Lortat-Jacoba A, Hardya P. Arthroplasty following a septic arthritis history: a 53 cases series. Orthop Trauma Surg Res. 2010; 96: 840-3.
4. Romano CL, Romano D, Albisetti A, Meani E. Preformed antibiotic loaded cement spacers for two-stage revision of infected total hip arthroplasty. Long-term results. Hip Int. 2012; 22 (Suppl 8): S46-53.
5. Romano CL, Romano D, Logoluso N, Meani E. Long-stem versus short-stem preformed antibiotic-loaded cement spacers for two-stage revision of infected total hip arthroplasty. Hip Int. 2010; 20 (1): 26-33.
6. Vielgut I, Sadoghi P, Wolf M, Holzer L, Leithner A, Schwantzer G, et al. Two-stage revision of prosthetic hip joint infections using antibiotic-loaded cement spacers: when is the best time to perform the second stage? Int Orthop. 2015; 39 (9): 1731-6.
7. Kim YH, Oh SH, Kim JS. Total hip arthroplasty in adult patients who had childhood infection of the hip. J Bone Joint Surg Am. 2003; 85 (2): 198-204.
8. Chen CE, Wang JW, Juhn RJ. Total hip arthroplasty for primary septic arthritis of the hip in adults. Int Orthop. 2008; 32: 573-80.
9. Jupiter JB, Karchmer AW, Lowell JD, Harris WH. Total hip arthroplasty in the treatment of adult hips with current or quiescent sepsis. J Bone Joint Surg Am. 1981; 63 (2): 194-200.
10. Hardinge K, Cleary J, Charnley J. Low-friction arthroplasty for healed septic and tuberculous arthritis. J Bone Joint Surg Br. 1979; 61-B (2): 144-7.
11. Lopreite F, Garabano G, Mana Pastrian D, del Sel H. Artroplastía de cadera en un paciente con secuela de tuberculosis. Rev Asoc Argent Ortop Traumatol. 1974, pp. 145-7.
12. Jagadishwer Rao K, Prasad D, Jain K. Management of sequelae of septic arthritis of hip. Indian J Orthop. 2007; 41 (4): 404-6.