Vol. 5 No. 023: May-June 2023

					View Vol. 5 No. 023: May-June 2023

This month, we are honored to feature an interview with Enrique Gómez Barrena, Professor of Orthopedic Surgery. Shaped by an academic lineage rooted in Zaragoza and refined through a fellowship at the Hospital for Special Surgery, his career integrates anatomical precision with regenerative medicine in complex joint reconstruction. As President of EFORT, he has advanced European standardization and evidence-based practice, addressing the clinical demands of an aging population.

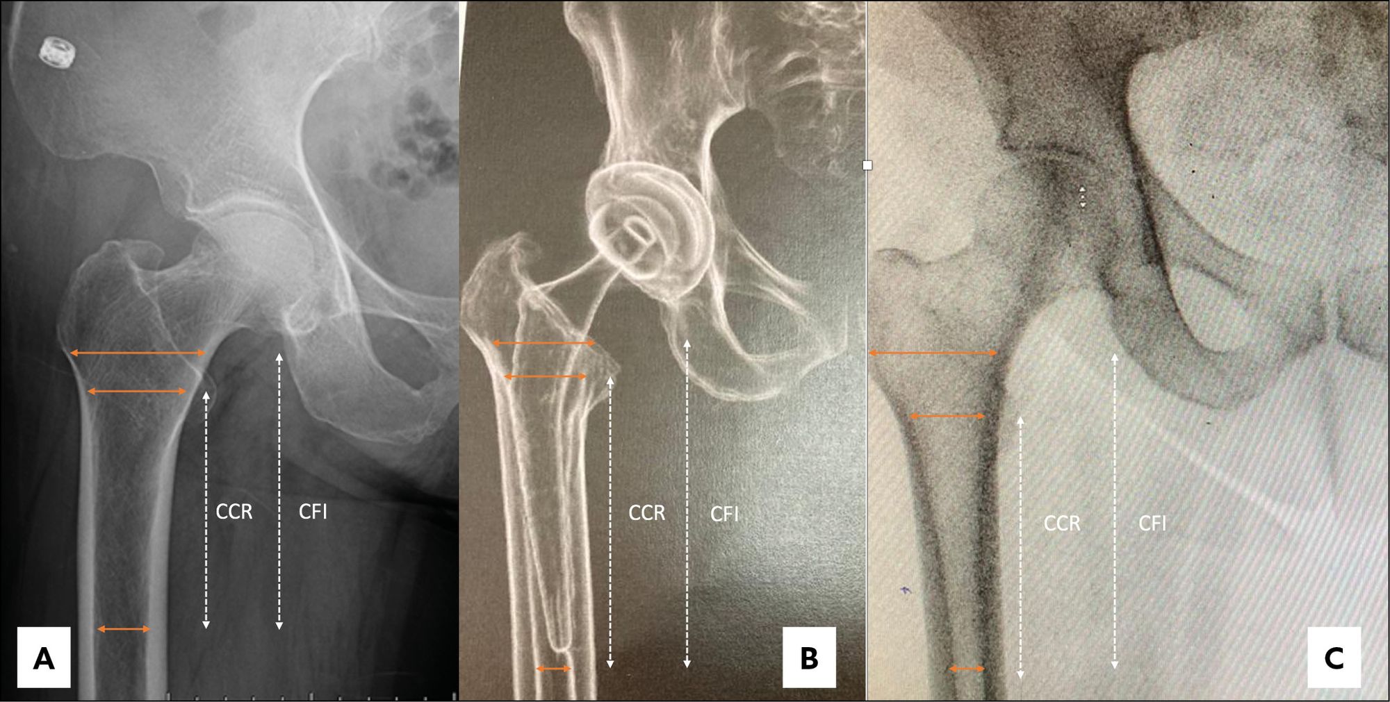
This issue's clinical contributions span alignment strategies and implant selection in major joint reconstruction. In total knee arthroplasty, one article examines TKA in extraarticular deformities managed through intraarticular correction without increased constraint, while a second introduces inverse kinematic alignment as a framework for personalized alignment. Shoulder arthroplasty is addressed through an assessment of the stemless shoulder implant. A further study evaluates whether surgical approach influences canal fill of the femoral component in THA, contributing to the evidence base on technique-dependent outcomes.