TKA in extraarticular deformities: technique with intraarticular correction without using more constraint in 29 knees
Background: Long-term success in total knee arthroplasty depends on restoring the mechanical axis and achieving precise soft tissue balance to optimize load distribution. Extra-articular deformities exceeding 10° in the coronal, sagittal, or axial planes complicate these objectives, creating a clinical controversy regarding whether to utilize compensatory intra-articular bone resections or formal corrective osteotomies.
Objective: This retrospective study evaluates the clinical and functional outcomes of total knee arthroplasty in patients with significant homolateral extra-articular femoral or tibial deformities, while detailing essential preoperative planning and surgical techniques.
Key Points: Twenty-nine arthroplasties were performed in 26 patients with an average follow-up of 7.2 years. Deformities primarily resulted from post-traumatic malunion or previous osteotomies. Preoperative planning utilized weight-bearing radiographs to identify the center of rotation of angulation and determine the necessity of "unusual" bone cuts. Intra-articular resections were successfully employed for femoral coronal deformities up to 20° and tibial deformities up to 30°, provided the medial collateral ligament insertion was preserved. These compensatory cuts necessitated extensive soft tissue releases to manage the resulting asymmetrical gaps. Postoperatively, average clinical Knee Society Scores improved from 24.3 to 86.0, and functional scores increased from 34.0 to 85.3. Complications included one deep infection and one case of medial instability requiring revision to a constrained prosthesis.
Conclusion: Total knee arthroplasty in the presence of extra-articular deformity requires individualized surgical strategies. Coronal deformities within specific thresholds (20° femur, 30° tibia) are manageable via intra-articular compensatory cuts and soft tissue balancing. Deformities exceeding these limits or compromising ligamentous insertions may necessitate concurrent corrective osteotomy stabilized with modular prosthetic stems.
Introduction
Long-term success on total knee arthroplasty (TKA) depends mainly on restitution of the limb’s mechanical axis and appropriate balance of soft tissue, as these factors optimize the load distribution to the interfaces. [1], Jeffery RS, Morris RW, Denham RA Coronal alignment after total knee replacement. JBJS Br 1991;73(5):709.[2], Mullaji Arun, Shetty GM Computer-Assisted Total Knee Arthroplasty for arthritis with extra-articular deformity. J. Arthroplasty. 2009;24(8):1164.[3], Panayiotis JP, Karachaloios T, Themistocleous GS Total knee arthroplasty in patients with pre-existing fracture deformity. Orthopedics. 2007;30(5):373.[4] Wolff AM, Hungerford DS, Pepe CL The effect of extraarticular varus and valgus deformity on total knee arthroplasty. Clin Orthop. 1991;271:35-51.
Patients with osteoarthritis have different degrees of varus or valgus articular deformity, associated or not to ligament instability. In most cases, conventional surgical technique and instrumentation are used[5] Kao Feng-Chen, Hsu Kuo Yao, Tu Yuan-Kun Surgical planning and difficult total knee arthroplasty. Orthopedics. 2009;32(11):810., achieving axis correction by release and balance of soft tissues and intra-articular bone cuts in tibia and femur. [3], Panayiotis JP, Karachaloios T, Themistocleous GS Total knee arthroplasty in patients with pre-existing fracture deformity. Orthopedics. 2007;30(5):373.[4], Wolff AM, Hungerford DS, Pepe CL The effect of extraarticular varus and valgus deformity on total knee arthroplasty. Clin Orthop. 1991;271:35-51.[6]Wang JW, Wang CJ Total knee arthroplasty for arthritis of the knee with extra-articular deformity. JBJS Am. 2002;84(10):1769-1774. A significant extra-articular deformity is defined as any deformity exceeding 10 degrees in the coronal, sagittal and/ or axial planes that is located proximal to the femoral epicondyles or distal to the fibular neck and also sequelae of intercondylar femoral fractures that have failed to unite or malunited with more than 15 mm of displacement. Deformities proximal to the lesser trochanter or in the distal 1/4 of the tibia must be addressed separately.
In knee osteoarthritis associated with extra-articular deformity, a thorough evaluation of the situation will be necessary as well as a different approach when planning a TKA. [2], Mullaji Arun, Shetty GM Computer-Assisted Total Knee Arthroplasty for arthritis with extra-articular deformity. J. Arthroplasty. 2009;24(8):1164.[5] Kao Feng-Chen, Hsu Kuo Yao, Tu Yuan-Kun Surgical planning and difficult total knee arthroplasty. Orthopedics. 2009;32(11):810. Femoral and/or tibial extra-articular deformities can result from malunion or non-union of previous fractures, previous osteotomies, Paget`s disease or congenital malformation. The deformity can occur in the coronal, sagittal and / or axial planes and might be combined in different planes. [2], Mullaji Arun, Shetty GM Computer-Assisted Total Knee Arthroplasty for arthritis with extra-articular deformity. J. Arthroplasty. 2009;24(8):1164.[3], Panayiotis JP, Karachaloios T, Themistocleous GS Total knee arthroplasty in patients with pre-existing fracture deformity. Orthopedics. 2007;30(5):373.[4], Wolff AM, Hungerford DS, Pepe CL The effect of extraarticular varus and valgus deformity on total knee arthroplasty. Clin Orthop. 1991;271:35-51.[5], Kao Feng-Chen, Hsu Kuo Yao, Tu Yuan-Kun Surgical planning and difficult total knee arthroplasty. Orthopedics. 2009;32(11):810.[7]Incavo SJ, Kapadian C, Torney R Use of an intramedullary nail for correction of femoral deformities combinated with total knee arthroplasty. Jour Arthroplasty. 2007;22(1):133.
There is a wide range of opinions regarding which is the most appropriate way to correct the axis of a limb with extra-articular deformity when performing a TKA. [1], Jeffery RS, Morris RW, Denham RA Coronal alignment after total knee replacement. JBJS Br 1991;73(5):709.[3], Panayiotis JP, Karachaloios T, Themistocleous GS Total knee arthroplasty in patients with pre-existing fracture deformity. Orthopedics. 2007;30(5):373.[7],Incavo SJ, Kapadian C, Torney R Use of an intramedullary nail for correction of femoral deformities combinated with total knee arthroplasty. Jour Arthroplasty. 2007;22(1):133.[8], Mann JW, Insall JN, Scuderi GR Total knee arthroplasty in patients with associated extra-articular angular deformity. Orthop Trans. 1997;21:59.[9], Moyand TF, Estok D Simultaneus femoral and tibial osteotomies during total knee arthroplasty for severe extra-articular deformity. Knee 2009;22(1):21-26.[10], Radke S, Radke J Total knee arthroplasty in combination with a one-stage tibial osteotomy. Journal of Arthroplasty. 2002;17(5):533.[11] Windsor RE, Insall JN, Vince KG Technical considerations of total knee arthroplasty after proximal tibial osteotomy. JBJS Am. 1988;70(4):547. However, there is certain consensus in the fact that if the femoral deformity in the coronal or sagittal plane is over 25° or if the tibial deformity exceeds 30°, the correction performed only by intra-articular “unusual” bone cuts and the consequent release of soft tissues might generate a complex instability. Therefore, the essential decision when planning a TKA will be if the correction of the limb`s axis will be obtained by intra-articular “unusual” bone cuts or with an osteotomy to correct the deformity. [3], Panayiotis JP, Karachaloios T, Themistocleous GS Total knee arthroplasty in patients with pre-existing fracture deformity. Orthopedics. 2007;30(5):373.[4], Wolff AM, Hungerford DS, Pepe CL The effect of extraarticular varus and valgus deformity on total knee arthroplasty. Clin Orthop. 1991;271:35-51.[8], Mann JW, Insall JN, Scuderi GR Total knee arthroplasty in patients with associated extra-articular angular deformity. Orthop Trans. 1997;21:59.[11] Windsor RE, Insall JN, Vince KG Technical considerations of total knee arthroplasty after proximal tibial osteotomy. JBJS Am. 1988;70(4):547.At this point, we must mention that deformities exceeding 30° are extremely rare in our practice.
This study presents the retrospective analysis of our TKA experience in patients with knee osteoarthritis associated to extra-articular homolateral femoral or tibial significant deformity of over 10°. Its purpose is to describe the difficulties in interpretation and planning, surgical technique, treatment options and mid to long term results.
Methods
Between 2004 and 2015, 1116 TKA were performed in our hospital due to knee osteoarthritis, 29 (2.1%) where associated to significant extra-articular deformity. To be included in this study, the knee must present a symptomatic osteoarthritis with TKA indication, associated to an angular deformity greater than 10° in the middle or distal third of the femur or in the middle or proximal third of the tibia.
This series includes 29 TKA in 26 patients (3 bilateral, non-simultaneous),17 women and 9 men with an average age of 67.7 (47 to 84 years). The average follow up was 7.2 years (3 to 13 years).
Causes of extraarticular deformity were:
A. Post-traumatic in 12 knees, 6 due to malunion of femoral shaft fractures, 4 due to malunion of femoral supracondylar fractures and 2 nonunion of the proximal third of the tibia
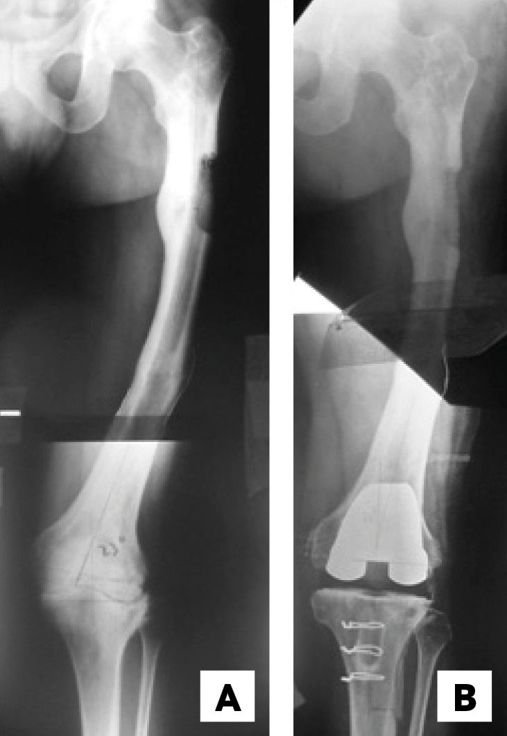
B. Supracondylar Femoral osteotomy in 10 knees, 7 varus (Figure 1) and 2 valgus

C. Tibial osteotomy in 7 knees: 3 Varus and 4 valgus osteotomies. We must point out that even if the majority of the valgus osteotomies of the proximal tibia create an extra-articular deformity, only those exceeding 10° have been included in this study.
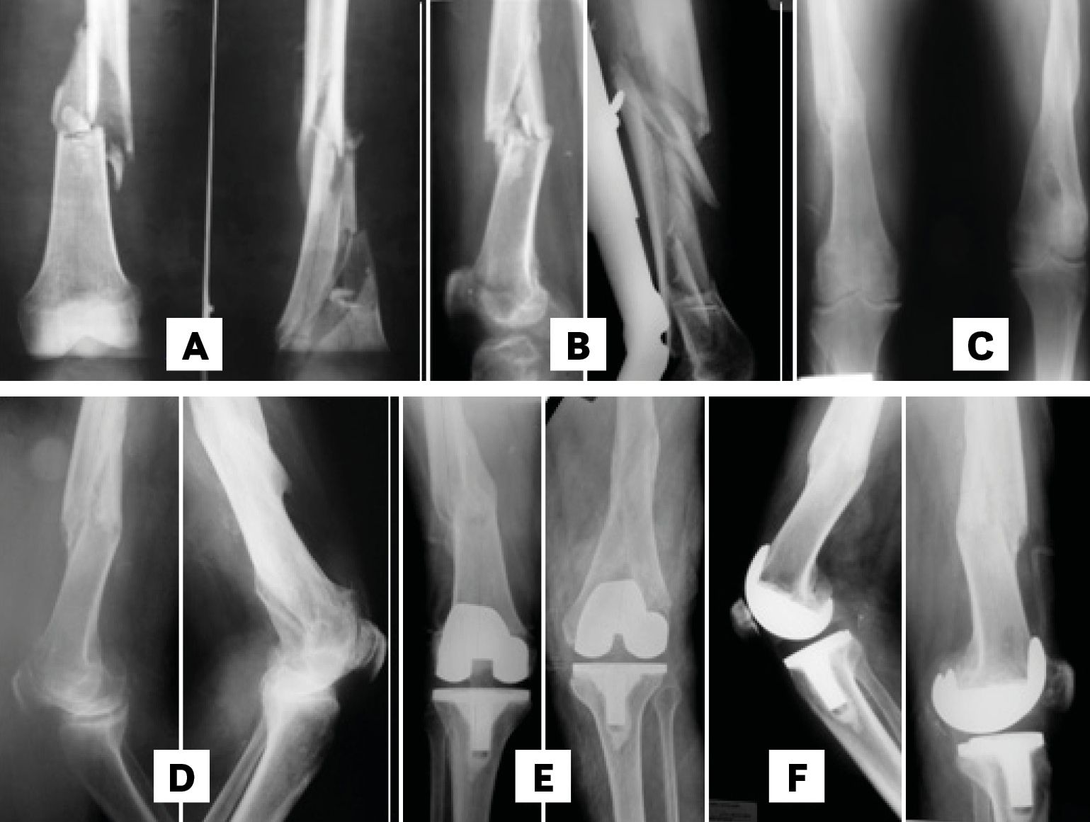
There were 16 varus knees (average intra-articular deformity 9.2°) and 13 valgus knees (average intra-articular deformity 16.6°). The extra-articular deformity was situated in the distal third of the femur in 12 (Figure 1), in the middle third of the femur in 4 patients (Figures 2 & 3), in the proximal third of the tibia in 9 and in the middle third of the tibia in 4 . Regarding the type of deformity, all patients had a coronal deformity, 13 in varus (average 16.3°), 15 in valgus (average 14.4°) and 1 with a medial displacement of the distal femoral epiphysis of 3 cm. (Figure 1). In 8 patients, the deformity was biplanar with alterations in the sagittal plane, 4 in flexion and 4 in extension, with an average of 19.7° and 8° respectively. No patients showed a significant rotational deformity.


The implants used were 15 PFC PS SigmaTM (Johnson & JohnsonTM), 9 with metal tray and 6 with an All Poly tray, 9 PS ScorpioTM (StrykerTM) and 5 PS Insall Burstein (ZimmerTM). Now higher constraint like CCK or RHK were necessary. In 3 cases tibial stems were used (in the 2 patients with tibial non-union and in 1 with a previous tibial valgus osteotomy). In 2 patients, a tibial tuberosity osteotomy was necessary to facilitate surgical access due to severe knee stiffness. The average number of previous surgeries was of 1.5 (0 to 3) and the time between the cause of the extra-articular deformity and the prosthetic replacement was 13 years in average (6 months to 44 years). All surgeries were performed in a laminar air flow enclosure, with hypotensive epidural anaesthesia. Three doses of Cefazolin in 24 hs. (1 gr. in the anaesthetic induction and afterwards 1 gr. every 12 hours) and 3 weeks of low molecular weight Heparin were administered.
Pre-OP planning and considerations about surgical technique
Thorough preoperative planning is essential to anticipate and avoid most of the potential difficulties and complications related to this type of surgery. Evaluation must include age, clinical and surgical previous records of the patient, activity level, cause and type of deformity and number of joints affected. [3], Panayiotis JP, Karachaloios T, Themistocleous GS Total knee arthroplasty in patients with pre-existing fracture deformity. Orthopedics. 2007;30(5):373.[6],Wang JW, Wang CJ Total knee arthroplasty for arthritis of the knee with extra-articular deformity. JBJS Am. 2002;84(10):1769-1774.[14] Lonner JH, Siliski JM, Lotke PA Simultaneous femoral osteotomy and total knee arthroplasty for osteoarthritis associated with severe extra-articula deformity. JBJS Am. 2000;82(3):342-348.
Physical examination must include a complete assessment of the limb, evaluating joint motion, stiffness and/or flexion contracture, multi-plane deformities, neuro vascular status, retained hardware and the quality of the muscles and other soft tissues. Regarding the surgical approach, in order to prevent skin and soft tissue necrosis, it is advisable to use one of the previous incisions.[3], Panayiotis JP, Karachaloios T, Themistocleous GS Total knee arthroplasty in patients with pre-existing fracture deformity. Orthopedics. 2007;30(5):373.[6],Wang JW, Wang CJ Total knee arthroplasty for arthritis of the knee with extra-articular deformity. JBJS Am. 2002;84(10):1769-1774.[11], Windsor RE, Insall JN, Vince KG Technical considerations of total knee arthroplasty after proximal tibial osteotomy. JBJS Am. 1988;70(4):547.[12], Krackow KA, Holtgrewe JL Experience with a new technique for managing severely overcorrected valgus high tibial osteotomy at total knee arthroplasty. Clin Orthop. 1990;258:213.[13], Papadoupolos EC, Parvizi J, Lai CH Total knee arthroplasty following prior distal femoral fracture. Knee. 2002;9(4):267-74.[14], Lonner JH, Siliski JM, Lotke PA Simultaneous femoral osteotomy and total knee arthroplasty for osteoarthritis associated with severe extra-articula deformity. JBJS Am. 2000;82(3):342-348.[15] Rand JA, Franco MG Revision considerations for fractures about the knee. In: Goldberg VM (Ed.), Controversies of total knee arthroplasty. Raven Press Ltd, New York, USA, pp. 1991;235-247. or otherwise keep a distance of at least 5 cm. between them.
It is essential to know the aetiology of the deformity and its location regarding the knee in order to evaluate its real influence on the mechanical axis of the limb. [1], Jeffery RS, Morris RW, Denham RA Coronal alignment after total knee replacement. JBJS Br 1991;73(5):709.[3], Panayiotis JP, Karachaloios T, Themistocleous GS Total knee arthroplasty in patients with pre-existing fracture deformity. Orthopedics. 2007;30(5):373.[4] Wolff AM, Hungerford DS, Pepe CL The effect of extraarticular varus and valgus deformity on total knee arthroplasty. Clin Orthop. 1991;271:35-51. The nearer to the joint the deformity is, the more it will affect the mechanical axis and the intraarticular bone correction cuts (1/3 third rule – Figure 4).

In the radiological evaluation it is important that the weight bearing AP view includes the femoral head and the ankle in standing position. If this kind of studies are not available, conventional X-rays may be used, taken separately, with the same magnification to afterwards put together the limb as a puzzle (Figure 2). The knee must be in extension and in neutral rotation. These images will allow to evaluate the effects of the deformity in the final axis of the limb, measure the implant and calculate the necessary bone resections. It is advisable to also have a conventional AP view centred on the joint line.[2], Mullaji Arun, Shetty GM Computer-Assisted Total Knee Arthroplasty for arthritis with extra-articular deformity. J. Arthroplasty. 2009;24(8):1164.[3] Panayiotis JP, Karachaloios T, Themistocleous GS Total knee arthroplasty in patients with pre-existing fracture deformity. Orthopedics. 2007;30(5):373.
To evaluate the extra-articular deformity, the angle formed by the axis of the shaft at both sides of the deformity are measured and will also define the Center of Rotation of Angulation (CORA) (Figure 6).

If the extra-articular and intraarticular deformities have opposite axis (one in varus and the other in valgus), the resulting axis can be normal. If both deformities are in the same axis they will add up and the correction to make with the bone cuts will be greater. Rotational deformities cannot be properly evaluated with X-Rays, so a CT scan with cuts at the hip and the knee is suggested.
The distal femoral bone cut can be planned using as reference the femoral mechanical axis (cut in 90°) or preferably the axis of the femur proximal to the deformity. The correction of the extra-articular deformity can be made through intra-articular cuts when the femoral distal cut line respects the MCL insertion, since on the lateral side, a lateral epicondylar osteotomy can be performed similar as when dealing with severe valgus deformities. (Figure 5 A & B). [2], Mullaji Arun, Shetty GM Computer-Assisted Total Knee Arthroplasty for arthritis with extra-articular deformity. J. Arthroplasty. 2009;24(8):1164.[3], Panayiotis JP, Karachaloios T, Themistocleous GS Total knee arthroplasty in patients with pre-existing fracture deformity. Orthopedics. 2007;30(5):373.[4], Wolff AM, Hungerford DS, Pepe CL The effect of extraarticular varus and valgus deformity on total knee arthroplasty. Clin Orthop. 1991;271:35-51.[6],Wang JW, Wang CJ Total knee arthroplasty for arthritis of the knee with extra-articular deformity. JBJS Am. 2002;84(10):1769-1774.[8], Mann JW, Insall JN, Scuderi GR Total knee arthroplasty in patients with associated extra-articular angular deformity. Orthop Trans. 1997;21:59.[15] Rand JA, Franco MG Revision considerations for fractures about the knee. In: Goldberg VM (Ed.), Controversies of total knee arthroplasty. Raven Press Ltd, New York, USA, pp. 1991;235-247.

On the femoral side, we prefer an intramedullary guide if it can pass through the angular deformity. If this is not possible, as in deformities in the middle third, we recommend using an extramedullary guide centred on the femoral head, as this can be easily checked with an image intensifier. It is important to understand that for varus femoral deformities near the joint, the entry point for the intramedullary guide can be at the articular surface of the lateral condyle and that this condyle will be the most resected. For valgus deformities, the entrance and the greatest resection will be in the medial condyle.[4], Wolff AM, Hungerford DS, Pepe CL The effect of extraarticular varus and valgus deformity on total knee arthroplasty. Clin Orthop. 1991;271:35-51.[6],Wang JW, Wang CJ Total knee arthroplasty for arthritis of the knee with extra-articular deformity. JBJS Am. 2002;84(10):1769-1774.[18] Cameron HU, Welsh RP Potential complications of total knee replacement following tibial osteotomy. Orthop Rev. 1988;17:39.
It is important to keep in mind that when performing “unusual” intra-articular bone cuts compensating the femoral extra-articular deformity, an asymmetrical extension gap is generated, which must be compensated through a correct soft tissue release. [4], Wolff AM, Hungerford DS, Pepe CL The effect of extraarticular varus and valgus deformity on total knee arthroplasty. Clin Orthop. 1991;271:35-51.[6]Wang JW, Wang CJ Total knee arthroplasty for arthritis of the knee with extra-articular deformity. JBJS Am. 2002;84(10):1769-1774. The problem at the femur remains that the flexion gap will not be changed by the distal femur correction cut and after performing the releases in extension the asymmetric flexion gap cannot be corrected always by femur rotation and therefore needs more constraint to stabilize the flexion gap. The only ligament insertion that must be respected is the femoral insertion of the MCL, since the lateral femoral epicondyle can be osteotomized without generating instability. On the tibial side, an extensive MCL release can be performed, whereas the distal insertion of the LCL at the fibular head is rarely involved.
The proximal tibial bone resection must be made at 90° to the axis of the tibial shaft distal to the deformity (Figure 5 C & D).[8], Mann JW, Insall JN, Scuderi GR Total knee arthroplasty in patients with associated extra-articular angular deformity. Orthop Trans. 1997;21:59.[2], Mullaji Arun, Shetty GM Computer-Assisted Total Knee Arthroplasty for arthritis with extra-articular deformity. J. Arthroplasty. 2009;24(8):1164.[3], Panayiotis JP, Karachaloios T, Themistocleous GS Total knee arthroplasty in patients with pre-existing fracture deformity. Orthopedics. 2007;30(5):373.[15] Rand JA, Franco MG Revision considerations for fractures about the knee. In: Goldberg VM (Ed.), Controversies of total knee arthroplasty. Raven Press Ltd, New York, USA, pp. 1991;235-247. The use of guides is ruled by the same principles as for the femur.[6]Wang JW, Wang CJ Total knee arthroplasty for arthritis of the knee with extra-articular deformity. JBJS Am. 2002;84(10):1769-1774. A difference is that an “unusual” cut of the tibia generates an asymmetrical gap for the extension and flexion gap equal, which makes these deformities easier to correct through a proper soft tissue release. Nevertheless, there is controversy about the severity of the deformity in which the correction must be performed with an extra-articular osteotomy. [2], Mullaji Arun, Shetty GM Computer-Assisted Total Knee Arthroplasty for arthritis with extra-articular deformity. J. Arthroplasty. 2009;24(8):1164.[3], Panayiotis JP, Karachaloios T, Themistocleous GS Total knee arthroplasty in patients with pre-existing fracture deformity. Orthopedics. 2007;30(5):373.[4], Wolff AM, Hungerford DS, Pepe CL The effect of extraarticular varus and valgus deformity on total knee arthroplasty. Clin Orthop. 1991;271:35-51.[10], Radke S, Radke J Total knee arthroplasty in combination with a one-stage tibial osteotomy. Journal of Arthroplasty. 2002;17(5):533.[11], Windsor RE, Insall JN, Vince KG Technical considerations of total knee arthroplasty after proximal tibial osteotomy. JBJS Am. 1988;70(4):547.[16] Ritter MA, Faris GW Total knee replacement following extra-articular deformities. Orthopedics 2003;26:969.In patients with multiplanar or complex deformities, this possibility is more evident. In case of extra-articular osteotomy combined with TKA in a single stage procedure, the method used to stabilize the osteotomy must be defined. We prefer, if possible, to use femoral or tibial stems instead of plates and screws.

Results
The KSS [7]Incavo SJ, Kapadian C, Torney R Use of an intramedullary nail for correction of femoral deformities combinated with total knee arthroplasty. Jour Arthroplasty. 2007;22(1):133. was used to perform a clinical and functional evaluation before surgery and 1 year after it. The clinical average score was 24.3 points pre-operative (10 to 46), and 86 points (69 to 90) 1 year after surgery. Regarding the functional score, it changed from an average of 34 points pre-operative (12 to 53) to 85.3 points (73 to 91) one year after.
In the 3 bilateral cases, time between surgeries was 3 months in a 55 y/o female, 13 months in a 79 y/o male and 23 months in a 68 y/o male. The post-surgery average range of motion was 107º (86º to 125º) at the last control, with an average improvement of 23.3º. The average postoperative femorotibial axis was 6.3º of valgus for the varus knees and 5º of valgus for the valgus knees.
There were 2 complications. A 58 y/o male patient with a history of an infected femoral plate and screws and poor soft tissue coverage due to previous surgeries developed a deep infection. Currently, this patient has a cement spacer with antibiotics and a soft tissue expander to improve coverage. A 77 female with a 20º valgus deformity as a sequel of a distal femoral varus osteotomy developed medial instability due to progressive MCL insufficiency, requiring revision to a constrained prosthesis 2 years after the index surgery.

Discussion
When performing a TKA we aim to restore normal anatomy by correcting the axis of the limb, conserve as much bone as possible, preserve the collateral ligaments and the extensor mechanism and place the prosthesis in a correct position (if possible, a non-constrained implant).
Most of the extra-articular deformities can be corrected through intra-articular “unusual” bone resections associated to an adequate balance of soft tissues. The pre-surgical evaluation of the limb is essential to plan this unusual bone resections, as the cuts must not affect the femoral insertion of the MCL. [2], Mullaji Arun, Shetty GM Computer-Assisted Total Knee Arthroplasty for arthritis with extra-articular deformity. J. Arthroplasty. 2009;24(8):1164.[3], Panayiotis JP, Karachaloios T, Themistocleous GS Total knee arthroplasty in patients with pre-existing fracture deformity. Orthopedics. 2007;30(5):373.[4], Wolff AM, Hungerford DS, Pepe CL The effect of extraarticular varus and valgus deformity on total knee arthroplasty. Clin Orthop. 1991;271:35-51.[6],Wang JW, Wang CJ Total knee arthroplasty for arthritis of the knee with extra-articular deformity. JBJS Am. 2002;84(10):1769-1774.[7],Incavo SJ, Kapadian C, Torney R Use of an intramedullary nail for correction of femoral deformities combinated with total knee arthroplasty. Jour Arthroplasty. 2007;22(1):133.[12] Krackow KA, Holtgrewe JL Experience with a new technique for managing severely overcorrected valgus high tibial osteotomy at total knee arthroplasty. Clin Orthop. 1990;258:213.
In patients with a varus extra-articular femoral deformity, pre-operative planning will show that a greater resection of the distal lateral femoral condyle will be necessary, while in a valgus deformity, there will be a greater distal medial condyle resection. In the tibia, varus deformities will need a greater resection of the lateral plateau and valgus will require a larger resection of the medial plateau. [3], Panayiotis JP, Karachaloios T, Themistocleous GS Total knee arthroplasty in patients with pre-existing fracture deformity. Orthopedics. 2007;30(5):373.[4], Wolff AM, Hungerford DS, Pepe CL The effect of extraarticular varus and valgus deformity on total knee arthroplasty. Clin Orthop. 1991;271:35-51.[6]Wang JW, Wang CJ Total knee arthroplasty for arthritis of the knee with extra-articular deformity. JBJS Am. 2002;84(10):1769-1774. These resections, which generate asymmetrical gaps (femur correction cut influence the extension gap only and tibia correction cuts will influence extension and flexion gaps equal) produce a ligament disbalance which must not be underestimated. This situation, if not compensated, generates different degrees of joint instability.[3], Panayiotis JP, Karachaloios T, Themistocleous GS Total knee arthroplasty in patients with pre-existing fracture deformity. Orthopedics. 2007;30(5):373.[4], Wolff AM, Hungerford DS, Pepe CL The effect of extraarticular varus and valgus deformity on total knee arthroplasty. Clin Orthop. 1991;271:35-51.[5], Kao Feng-Chen, Hsu Kuo Yao, Tu Yuan-Kun Surgical planning and difficult total knee arthroplasty. Orthopedics. 2009;32(11):810.[6]Wang JW, Wang CJ Total knee arthroplasty for arthritis of the knee with extra-articular deformity. JBJS Am. 2002;84(10):1769-1774. Therefore, without exception, the corresponding release of soft tissues in the concave side of the deformity must be performed.[5] Kao Feng-Chen, Hsu Kuo Yao, Tu Yuan-Kun Surgical planning and difficult total knee arthroplasty. Orthopedics. 2009;32(11):810.
Mann et al[8] Mann JW, Insall JN, Scuderi GR Total knee arthroplasty in patients with associated extra-articular angular deformity. Orthop Trans. 1997;21:59. treated, through intra-articular bone cuts and soft tissue releases, 11 patients with a femoral deformity with an average varus of 14° in the coronal plane (5° to 22°) and 12° in the sagittal plane (0° to 23°), achieving good results after 2 years of follow up. Wang et al. [6]Wang JW, Wang CJ Total knee arthroplasty for arthritis of the knee with extra-articular deformity. JBJS Am. 2002;84(10):1769-1774. reported 7 patients with tibial coronal deformity of 20° average in varus (12° to 30°), treated with extensive medial soft tissues release and resecting a larger than usual amount of the lateral plateau. In all cases, PS implants were used as more constrained implants were not necessary.
The approach of correcting the axis through intra-articular unusual bone cuts and soft tissue release offers advantages, as it requires only one surgery, allows a faster rehabilitation and avoids the possible complications of a complementary osteotomy (non-union, infection and hardware failure) or of the ligament tightening proposed by Wolff. [4] Wolff AM, Hungerford DS, Pepe CL The effect of extraarticular varus and valgus deformity on total knee arthroplasty. Clin Orthop. 1991;271:35-51. In our opinion, ligament retightening is not a good option to achieve stability after any TKA and least of all in these difficult cases. Some authors consider that when the deformity exceeds 10º in the tibial or femoral coronal plane, special considerations apply due to the resulting complex instability. [3], Panayiotis JP, Karachaloios T, Themistocleous GS Total knee arthroplasty in patients with pre-existing fracture deformity. Orthopedics. 2007;30(5):373.[13], Papadoupolos EC, Parvizi J, Lai CH Total knee arthroplasty following prior distal femoral fracture. Knee. 2002;9(4):267-74.[14], Lonner JH, Siliski JM, Lotke PA Simultaneous femoral osteotomy and total knee arthroplasty for osteoarthritis associated with severe extra-articula deformity. JBJS Am. 2000;82(3):342-348.[17] Roffi RP, Merrit PO Total knee replacement after fracture about the knee. Orthop Rev. 1989;19(7):614-620. Even if there is no consensus, in our experience and most publications recommend that unusual bone cuts can be used in patients with femoral deformities in the coronal and/or sagittal plane of up to 20º. Regarding the tibia, deformities of up to 30º in the coronal plane can also be treated this way. [7],Incavo SJ, Kapadian C, Torney R Use of an intramedullary nail for correction of femoral deformities combinated with total knee arthroplasty. Jour Arthroplasty. 2007;22(1):133.[3], Panayiotis JP, Karachaloios T, Themistocleous GS Total knee arthroplasty in patients with pre-existing fracture deformity. Orthopedics. 2007;30(5):373.[6]Wang JW, Wang CJ Total knee arthroplasty for arthritis of the knee with extra-articular deformity. JBJS Am. 2002;84(10):1769-1774. It should also be remembered that, when the deformity gets closer to the knee, its impact increases due to its effect on the intra-articular bone cuts.[4] Wolff AM, Hungerford DS, Pepe CL The effect of extraarticular varus and valgus deformity on total knee arthroplasty. Clin Orthop. 1991;271:35-51.
When the deformity exceeds such limits, bone cuts can affect the femoral insertion of the MCL or generate severe gap asymmetric and which will not be correctible through soft tissue releases. In these cases, an extra-articular osteotomy must be evaluated. [7],Incavo SJ, Kapadian C, Torney R Use of an intramedullary nail for correction of femoral deformities combinated with total knee arthroplasty. Jour Arthroplasty. 2007;22(1):133.[10], Radke S, Radke J Total knee arthroplasty in combination with a one-stage tibial osteotomy. Journal of Arthroplasty. 2002;17(5):533.[14], Lonner JH, Siliski JM, Lotke PA Simultaneous femoral osteotomy and total knee arthroplasty for osteoarthritis associated with severe extra-articula deformity. JBJS Am. 2000;82(3):342-348.[17], Roffi RP, Merrit PO Total knee replacement after fracture about the knee. Orthop Rev. 1989;19(7):614-620.[18] Cameron HU, Welsh RP Potential complications of total knee replacement following tibial osteotomy. Orthop Rev. 1988;17:39. and even the need of a constrained or hinged implant. If it is decided to perform the extra-articular osteotomy and the TKA in the same surgery, the osteotomy must be done in the first place, and if it is possible, using the same approach as for the TKA. The osteotomy can be stabilized in different ways. [5], Kao Feng-Chen, Hsu Kuo Yao, Tu Yuan-Kun Surgical planning and difficult total knee arthroplasty. Orthopedics. 2009;32(11):810.[9], Moyand TF, Estok D Simultaneus femoral and tibial osteotomies during total knee arthroplasty for severe extra-articular deformity. Knee 2009;22(1):21-26.[10], Radke S, Radke J Total knee arthroplasty in combination with a one-stage tibial osteotomy. Journal of Arthroplasty. 2002;17(5):533.[14], Lonner JH, Siliski JM, Lotke PA Simultaneous femoral osteotomy and total knee arthroplasty for osteoarthritis associated with severe extra-articula deformity. JBJS Am. 2000;82(3):342-348.[19] Vedoya SP, Garabano G, del Sel H Artroplastía total de rodilla en gonartrosis con pseudoartrosis de tibia homolateral. Rev Asoc Argent Ortop Traumatología. 2010;75(4):381-384. but stems are our first choice. In these cases it is important to have modular prosthesis that allow to choose the stem that better fills the medullary canal, in order to optimize the post-surgical stability of the osteotomy.
When we perform a TKA in a patient with an extra-articular tibial deformity, the purpose of the tibial cut is to achieve the most possible parallelism between the articular lines of the knee and the tibio-talar joint. If the tibial deformity is too close to the ankle, it is advisable to correct this before the knee replacement, as if this situation is severe, it can be very badly tolerated. [4] Wolff AM, Hungerford DS, Pepe CL The effect of extraarticular varus and valgus deformity on total knee arthroplasty. Clin Orthop. 1991;271:35-51. Therefore, we do not agree with the suggestion of Wolff to use, in patients with tibial deformity, the mechanical axis of the tibia as a reference for the cuts, as this does not correct the obliquity between the articular lines after the TKA. [4] Wolff AM, Hungerford DS, Pepe CL The effect of extraarticular varus and valgus deformity on total knee arthroplasty. Clin Orthop. 1991;271:35-51.
A different issue are patients with limited life expectancy, low functional demand, bad bone quality due to the use of steroids, rheumatoid arthritis, etc. In such cases, a better alternative could be to use a constrained implant, a hinge or even a mega implant to minimize the possibility of complications associated to the osteotomy.
Conclusion
Performing TKA in patients with knee osteoarthritis associated to an extra-articular deformity exceeding 10º is an uncommon situation which must be thoroughly evaluated, bearing in mind that each patient has its very own characteristics and challenges, therefore needing an individual approach by the surgeon. Careful preoperative planning is essential to avoid the multiple possible complications (instability, non-union, persistence of the deformity, incorrect intra-articular cuts).
We consider two possible ways to correct the deformity of the limb. In coronal femoral deformities up to 20º and in the tibia up to 30º, we perform intra-articular (unusual) bone cuts that should not alter the femoral MCL insertion, associated of course to a proper soft tissue release. Otherwise, we recommend to perform an osteotomy to correct the deformity, if it is possible, in one surgical act, stabilizing it with the same stems of the prosthesis.
References
1. Jeffery RS, Morris RW, Denham RA Coronal alignment after total knee replacement. JBJS Br 1991;73(5):709.
2. Mullaji Arun, Shetty GM Computer-Assisted Total Knee Arthroplasty for arthritis with extra-articular deformity. J. Arthroplasty. 2009;24(8):1164.
3. Panayiotis JP, Karachaloios T, Themistocleous GS Total knee arthroplasty in patients with pre-existing fracture deformity. Orthopedics. 2007;30(5):373.
4. Wolff AM, Hungerford DS, Pepe CL The effect of extraarticular varus and valgus deformity on total knee arthroplasty. Clin Orthop. 1991;271:35-51.
5. Kao Feng-Chen, Hsu Kuo Yao, Tu Yuan-Kun Surgical planning and difficult total knee arthroplasty. Orthopedics. 2009;32(11):810.
6.Wang JW, Wang CJ Total knee arthroplasty for arthritis of the knee with extra-articular deformity. JBJS Am. 2002;84(10):1769-1774.
7.Incavo SJ, Kapadian C, Torney R Use of an intramedullary nail for correction of femoral deformities combinated with total knee arthroplasty. Jour Arthroplasty. 2007;22(1):133.
8. Mann JW, Insall JN, Scuderi GR Total knee arthroplasty in patients with associated extra-articular angular deformity. Orthop Trans. 1997;21:59.
9. Moyand TF, Estok D Simultaneus femoral and tibial osteotomies during total knee arthroplasty for severe extra-articular deformity. Knee 2009;22(1):21-26.
10. Radke S, Radke J Total knee arthroplasty in combination with a one-stage tibial osteotomy. Journal of Arthroplasty. 2002;17(5):533.
11. Windsor RE, Insall JN, Vince KG Technical considerations of total knee arthroplasty after proximal tibial osteotomy. JBJS Am. 1988;70(4):547.
12. Krackow KA, Holtgrewe JL Experience with a new technique for managing severely overcorrected valgus high tibial osteotomy at total knee arthroplasty. Clin Orthop. 1990;258:213.
13. Papadoupolos EC, Parvizi J, Lai CH Total knee arthroplasty following prior distal femoral fracture. Knee. 2002;9(4):267-74.
14. Lonner JH, Siliski JM, Lotke PA Simultaneous femoral osteotomy and total knee arthroplasty for osteoarthritis associated with severe extra-articula deformity. JBJS Am. 2000;82(3):342-348.
15. Rand JA, Franco MG Revision considerations for fractures about the knee. In: Goldberg VM (Ed.), Controversies of total knee arthroplasty. Raven Press Ltd, New York, USA, pp. 1991;235-247.
16. Ritter MA, Faris GW Total knee replacement following extra-articular deformities. Orthopedics 2003;26:969.
17. Roffi RP, Merrit PO Total knee replacement after fracture about the knee. Orthop Rev. 1989;19(7):614-620.
18. Cameron HU, Welsh RP Potential complications of total knee replacement following tibial osteotomy. Orthop Rev. 1988;17:39.
19. Vedoya SP, Garabano G, del Sel H Artroplastía total de rodilla en gonartrosis con pseudoartrosis de tibia homolateral. Rev Asoc Argent Ortop Traumatología. 2010;75(4):381-384.