Does surgical approach influence canal fill of the femoral component for THA?
Background: Cementless femoral components in hip arthroplasty require optimal primary stability and long-term osseointegration. Inadequate implant sizing may lead to early loosening, subsidence, or periprosthetic fractures. While morphological variability of the proximal femur is a known cause of undersizing, there is ongoing debate regarding whether specific surgical approaches, particularly the direct anterior approach, increase the risk of suboptimal femoral canal fill.
Objective: This study aimed to evaluate the correlation between four different surgical approaches and the canal fill ratio (CFR) of cementless femoral components, while accounting for host femoral morphology.
Key Points: A retrospective radiographic analysis was performed on 183 patients who underwent primary hip arthroplasty using a single anatomical stem design. Patients were categorized by surgical approach: Heuter (n=40), Rottinger (n=53), modified Hardinge (n=50), and Moore (n=40). Femoral morphology was classified using the Canal Flare Index (CFI) and the Dorr classification (Canal Calcar Ratio). Statistical analysis demonstrated no significant difference in CFR across the four surgical approaches at any of the four measured levels (p > 0.05). Although the Rottinger approach showed slightly higher proximal fill in "normal" shaped canals (p < 0.0091), surgical approach was not a primary determinant of undersizing. Distal and proximal fill ratios were significantly influenced by preoperative femoral morphology (CFI and CCR) rather than the surgical portal used.
Conclusion: Surgical approach does not significantly influence the canal fill of anatomical cementless femoral components. The risk of implant undersizing appears related to femoral morphology and implant design rather than the choice of surgical exposure.
Introduction
Modern hip arthroplasty offers excellent functional outcomes and long-term survival. [1], Evans JT, Evans JP, Walker RW, Blom AW, Whitehouse MR, Sayers A. How long does a hip replacement last? A systematic review and meta-analysis of case series and national registry reports with more than 15 years of follow-up. Lancet Lond Engl. 2019[2] Learmonth ID, Young C, Rorabeck C. The operation of the century: total hip replacement. Lancet Lond Engl. 2007 Cementless implants are becoming increasingly popular due to their good primary stability and excellent long-term osseointegration. [3] Jacquot L, Bonnin MP, Machenaud A, Chouteau J, Saffarini M, Vidalain J-P. Clinical and Radiographic Outcomes at 25-30 Years of a Hip Stem Fully Coated With Hydroxylapatite. J Arthroplasty. 2018 Choosing the right size of the cementless femoral component is crucial. Too small and it can lead to early loosening, fractures due to femoral stem subsidence and/or failed osseointegration. [4], Cooper HJ, Jacob AP, Rodriguez JA. Distal fixation of proximally coated tapered stems may predispose to a failure of osteointegration. J Arthroplasty. 2011[5], Cruz-Pardos A, Garcia-Cimbrelo E, Cordero-Ampuero J. Porous-coated anatomic uncemented total hip arthroplasty. A 10-17-year follow-up. Hip Int J Clin Exp Res Hip Pathol Ther. 2005[6], Aldinger PR, Jung AW, Pritsch M, et al. Uncemented Grit-Blasted Straight Tapered Titanium Stems in Patients Younger than Fifty-five Years of Age: Fifteen to Twenty-Year Results. JBJS. 2009[7] Tezuka T, Inaba Y, Kobayashi N, Sato M, Mitsugi N, Saito T. Long-term results of porous-coated anatomic total hip arthroplasty for patients with osteoarthritis of the hip. J Arthroplasty. 2014 On the other hand, a well-sized femoral component will correctly distribute stresses over the proximal femur [10] Decking R, Puhl W, Simon U, Claes LE. Changes in strain distribution of loaded proximal femora caused by different types of cementless femoral stems. Clin Biomech Bristol Avon. 2006 and ensure good biological fixation. [8], Kim YH, Kim VE. Uncemented porous-coated anatomic total hip replacement. Results at six years in a consecutive series. J Bone Joint Surg Br. 1993[9] Engh CA, Glassman AH, Suthers KE. The case for porous-coated hip implants. The femoral side. Clin Orthop. 1990 Anatomically, the shape of the proximal femur can vary greatly. This morphological variability is a major cause of implant undersizing and early revision. [11], O H, Pj R, Pf L, B de R, Jn A. Three-dimensional morphology of the proximal femur. The Journal of arthroplasty.[12], M C, Mf B. Proximal/distal mismatch: type A and C femurs. Orthopedics. Published September 2005.[13] P M, J H, S O, M S, A M, D B. Observed effect of femoral component undersizing and a collarless design in the development of radiolucent lines in cementless total hip arthroplasty. Arthroplasty today. 2019 The choice of surgical approach also appears to affect femoral component canal fill. Some authors believe the anterior approach paves the way for femoral component undersizing. [14] Rivera F, Leonardi F, Evangelista A, Pierannunzii L. Risk of stem undersizing with direct anterior approach for total hip arthroplasty. Hip Int J Clin Exp Res Hip Pathol Ther. 2016 Given the fracture risk posed by an anterior or anterolateral portal and the difficulties should osteosynthesis be required, many surgeons find it easier to employ successive femoral rasps when using these approaches. Overall, undersizing the shaft can be made difficult by the bone structure, femoral offset, medullary canal diameter and the surgical approach.
The primary aim of this study was to investigate any correlation between surgical approach and the canal fill of cementless femoral components. We used the hypothesis that surgical approach does not influence femoral component canal fill for hip arthroplasty. Our analysis of femoral canal fill included a morphological analysis of the host femurs.
Materials and method
1. Study Population
This retrospective study was conducted at Martinique Teaching Hospital and comprised a radiographic analysis of 183 patients following primary arthroplasty (total or hemi) of the hip between January 2016 and December 2018.
Inclusion criteria: (1) Adults (>18 years) who had undergone a (2) primary hip arthroplasty (3) with a Hip’n go cementless femoral implant (FH Ortho) and who had a (4) preoperative and postoperative frontal weight-bearing x-ray.
The patients were divided into four groups based on surgical approach. Group 1 patients had undergone the Heuter approach with no orthopaedic table (n=40); Group 2 patients had undergone the Rottinger approach (n=53); Group 3 was for the modified Hardinge approach (n=50); and the Moore posterolateral approach had been used for Group 4 patients (n=40). All patients had been operated by senior surgeons, each performing the surgery using his or her preferred approach.
2. Endpoints
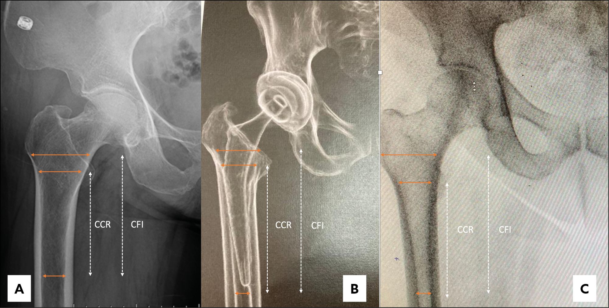
Implant size was determined using the canal fill ratio (CFR) [18] D’Ambrosio A, Peduzzi L, Roche O, Bothorel H, Saffarini M, Bonnomet F. Influence of femoral morphology and canal fill ratio on early radiological and clinical outcomes of uncemented total hip arthroplasty using a fully coated stem. Bone Jt Res. 2020 measured at four different points on the weight-bearing postoperative images: the lesser trochanter, 2cm above and below the lesser trochanter, and 7cm below the lesser trochanter (Figs. 1 & 2).


Femur shape was determined using the canal flare index (CFI) as measured on the preoperative x-rays.[15] Noble PC, Alexander JW, Lindahl LJ, Yew DT, Granberry WM, Tullos HS. The Anatomic Basis of Femoral Component Design. Clin Orthop Relat Res. 1988 CFI was defined as the width of the medullary canal 2cm above the lesser trochanter, divided by the width of the canal 10cm below the lesser trochanter. Using the criteria established by Noble et al., [15] Noble PC, Alexander JW, Lindahl LJ, Yew DT, Granberry WM, Tullos HS. The Anatomic Basis of Femoral Component Design. Clin Orthop Relat Res. 1988 a CFI < 3.0 was classed as a stovepipe canal shape, a CFI between 3.0 and 4.7 was classed as normal canal shape, and a CFI > 4.7 was classed as a champagne-fluted canal shape (Fig. 3). The canal calcar ratio (CCR) [16] Dorr LD. Total hip replacement using APR system. Tech Orthop. 1986 was also measured to establish femoral shape according the Dorr classification. [17] Issa K, Stroh AD, Mont MA, Bonutti PM. Effect of bone type on clinical and radiographic outcomes of a proximally-coated cementless stem in primary total hip arthroplasties. J Orthop Res Off Publ Orthop Res Soc. 2014 CCR was defined as the width of the medullary canal 10cm below the lesser trochanter, divided by the width of the canal at the lesser trochanter. A CCR < 50% was classified as Dorr type A, a CCR between 50 and 75% was classified as Dorr type B, and a CCR > 75% was classified as Dorr type C. Radiographic analysis was performed independently by two senior surgeons who knew neither the patient identity nor the surgical approach used.

3. Statistical analysis
Data were collected in an Excel spreadsheet (Microsoft, Richmond, WA) and analysed using JMP 10.0 (SAS Inc., Cary, NC) based on a protocol validated by an Institutional Review Board (IRB) overseen by our institution's research department (IRB). A Shapiro-Wilk test was performed to test the normal distribution of quantitative variables. A post-hoc test was used to compare the mean of multiple quantitative variables with normal distribution. The significance threshold was p<0.05 for all tests. The inter-rater correlation of the x-ray measurements was determined using the Kappa correlation coefficient, and inter-rater agreement was expressed as a percent.
Results
A total of 183 patients were included; 110 were women and 73 were men. The average age was 74.4 ± 13.2 years. The series comprised 108 total hip arthroplasties and 75 hemiarthroplasties (p<0.0001), with a similar distribution between different surgical approaches (p=NS) . Full patient characteristics are given in Table 1.

Canal fill and approach
No significant difference was found between surgical approach and CFR measured at four different points (CFR 1, 2, 3, and 4) on the weight-bearing postoperative x-rays. Canal fill was therefore not dependent on surgical approach (Table 2).

Canal fill, surgical approach and femoral shape
When femoral shape was assessed using CFI, surgical approach resulted in no significant difference in canal fill at either of the four measurement points for either stovepipe canals or champagne-fluted canals.
In the normal canal shape group, there was a significant difference at the lesser trochanter. After the multiple student test (posthoc analysis), canal fill was greater at the lesser trochanter for the Rottinger group than for the Heuter, Hardinge, and Moore groups. (p<0.0091). When comparing the shape of the femur according to the Dorr Classification and CCR measurements, there was no significant difference in canal fill between the surgical approaches.
Canal fill and host femur shape (irrespective of surgical approach)
A comparison of CFI and CFR found, as to be expected, that stovepipe femurs had low distal canal fill, whereas champagne-flute femurs had high distal canal fill (Table 3). Likewise, looking at CCR, Dorr type A host femurs had greater distal fill than proximal fill. The opposite was found for Dorr type C femurs, whose proximal fill was greater than their distal fill (Table 4).


For all radiographic measurements, inter-rater correlation was 98% with a Kappa correlation coefficient of 0.96 [0.88–1].
Discussion
This study showed that surgical approach in hip arthroplasty does not influence canal fill and is therefore not a factor in undersizing of the femoral component. An undersized femoral implant is a risk factor for early loosening. As shown by Fottner et al. [19] Fottner A, Woiczinski M, Kistler M, et al. Influence of undersized cementless hip stems on primary stability and strain distribution. Arch Orthop Trauma Surg. 2017, undersizing of the stem leads to increased micromovements and stress shielding. Angerame et al. showed that revisions for early femoral implant loosening are more common with the anterior approach and that loosening occurs most frequently in Dorr type A femurs when an anterior portal is used. [20] Angerame MR, Fehring TK, Masonis JL, Mason JB, Odum SM, Springer BD. Early Failure of Primary Total Hip Arthroplasty: Is Surgical Approach a Risk Factor? J Arthroplasty. 2018 Our study found that, regardless of Dorr femur shape, surgical approach is not a factor of implant undersizing. This early loosening with Dorr type A femurs when an anterior approach is used is probably due to poor metaphyseal fill. Indeed, as shown by Park et al., the survival rate of uncemented stems is lower with Dorr type A femurs than for type B. [21] Park C-W, Eun H-J, Oh S-H, Kim H-J, Lim S-J, Park Y-S. Femoral Stem Survivorship in Dorr Type A Femurs After Total Hip Arthroplasty Using a Cementless Tapered Wedge Stem: A Matched Comparative Study With Type B Femurs. J Arthroplasty. 2019 The primary determining factor for femoral component survival would therefore appear to be metaphyseal canal fill, which is largely dependent on implant design. In order to ensure our comparison of canal fill was feasible and reliable we used a single femoral implant design (anatomical stemmed). This was not only an essential prerequisite, but also a limitation of our study. Janssen et al. showed in their study that early loosening of so-called straight femoral implants (with shoulder) is more common with an anterior or anterolateral approach than with a posterior approach, but the study showed no difference with anatomical implants. [22] Janssen L, Wijnands KAP, Janssen D, Janssen MWHE, Morrenhof JW. Do Stem Design and Surgical Approach Influence Early Aseptic Loosening in Cementless THA? Clin Orthop. 2018 This could be explained by the fact that femoral exposure is more complex with an anterior or anterolateral portal, hampering metaphyseal preparation which could lead to malposition and/or undersizing of the straight implant.; however, this was not confirmed in our study with an anatomical implant.
Another limitation of our study derives from the fact that it involved a retrospective analysis of radiographic measurements, with no patient follow-up and therefore no assessment of osseointegration or loosening. However some authors such as Graw et al. have found that minimally-invasive procedures are a risk factor for early failure due to poor osseointegration and early loosening. [23] Graw BP, Woolson ST, Huddleston HG, Goodman SB, Huddleston JI. Minimal incision surgery as a risk factor for early failure of total hip arthroplasty. Clin Orthop. 2010
Furthermore, surgical approach influences the occurrence of proximal periprosthetic osteolysis due to varying degrees of soft tissue damage during the operation, affecting stress distribution around the proximal femur. [24], Merle C, Sommer J, Streit MR, et al. Influence of surgical approach on postoperative femoral bone remodelling after cementless total hip arthroplasty. Hip Int J Clin Exp Res Hip Pathol Ther. 2012[25] Perka C, Heller M, Wilke K, et al. Surgical approach influences periprosthetic femoral bone density. Clin Orthop. 2005
The aetiology of early loosening following anterior and minimally-invasive procedures is unclear but is often attributed to the difficulty of exposure which leads to undersizing or malpositioning the implant. However, our work confirms that, despite some difficulties in exposing the medullary shaft as described by some authors, the anterior approach is not a risk factor for undersizing an anatomical femoral implant.
Conclusion
Surgical approach in hip arthroplasty does not influence canal fill and is therefore not a factor in undersizing the femoral component.
Although femoral canal fill is closely linked to the morphology of the host femur, we found no correlation between surgical approach, femoral shape and canal fill.
References
1. Evans JT, Evans JP, Walker RW, Blom AW, Whitehouse MR, Sayers A. How long does a hip replacement last? A systematic review and meta-analysis of case series and national registry reports with more than 15 years of follow-up. Lancet Lond Engl. 2019
2. Learmonth ID, Young C, Rorabeck C. The operation of the century: total hip replacement. Lancet Lond Engl. 2007
3. Jacquot L, Bonnin MP, Machenaud A, Chouteau J, Saffarini M, Vidalain J-P. Clinical and Radiographic Outcomes at 25-30 Years of a Hip Stem Fully Coated With Hydroxylapatite. J Arthroplasty. 2018
4. Cooper HJ, Jacob AP, Rodriguez JA. Distal fixation of proximally coated tapered stems may predispose to a failure of osteointegration. J Arthroplasty. 2011
5. Cruz-Pardos A, Garcia-Cimbrelo E, Cordero-Ampuero J. Porous-coated anatomic uncemented total hip arthroplasty. A 10-17-year follow-up. Hip Int J Clin Exp Res Hip Pathol Ther. 2005
6. Aldinger PR, Jung AW, Pritsch M, et al. Uncemented Grit-Blasted Straight Tapered Titanium Stems in Patients Younger than Fifty-five Years of Age: Fifteen to Twenty-Year Results. JBJS. 2009
7. Tezuka T, Inaba Y, Kobayashi N, Sato M, Mitsugi N, Saito T. Long-term results of porous-coated anatomic total hip arthroplasty for patients with osteoarthritis of the hip. J Arthroplasty. 2014
8. Kim YH, Kim VE. Uncemented porous-coated anatomic total hip replacement. Results at six years in a consecutive series. J Bone Joint Surg Br. 1993
9. Engh CA, Glassman AH, Suthers KE. The case for porous-coated hip implants. The femoral side. Clin Orthop. 1990
10. Decking R, Puhl W, Simon U, Claes LE. Changes in strain distribution of loaded proximal femora caused by different types of cementless femoral stems. Clin Biomech Bristol Avon. 2006
11. O H, Pj R, Pf L, B de R, Jn A. Three-dimensional morphology of the proximal femur. The Journal of arthroplasty.
12. M C, Mf B. Proximal/distal mismatch: type A and C femurs. Orthopedics. Published September 2005.
13. P M, J H, S O, M S, A M, D B. Observed effect of femoral component undersizing and a collarless design in the development of radiolucent lines in cementless total hip arthroplasty. Arthroplasty today. 2019
14. Rivera F, Leonardi F, Evangelista A, Pierannunzii L. Risk of stem undersizing with direct anterior approach for total hip arthroplasty. Hip Int J Clin Exp Res Hip Pathol Ther. 2016
15. Noble PC, Alexander JW, Lindahl LJ, Yew DT, Granberry WM, Tullos HS. The Anatomic Basis of Femoral Component Design. Clin Orthop Relat Res. 1988
16. Dorr LD. Total hip replacement using APR system. Tech Orthop. 1986
17. Issa K, Stroh AD, Mont MA, Bonutti PM. Effect of bone type on clinical and radiographic outcomes of a proximally-coated cementless stem in primary total hip arthroplasties. J Orthop Res Off Publ Orthop Res Soc. 2014
18. D’Ambrosio A, Peduzzi L, Roche O, Bothorel H, Saffarini M, Bonnomet F. Influence of femoral morphology and canal fill ratio on early radiological and clinical outcomes of uncemented total hip arthroplasty using a fully coated stem. Bone Jt Res. 2020
19. Fottner A, Woiczinski M, Kistler M, et al. Influence of undersized cementless hip stems on primary stability and strain distribution. Arch Orthop Trauma Surg. 2017
20. Angerame MR, Fehring TK, Masonis JL, Mason JB, Odum SM, Springer BD. Early Failure of Primary Total Hip Arthroplasty: Is Surgical Approach a Risk Factor? J Arthroplasty. 2018
21. Park C-W, Eun H-J, Oh S-H, Kim H-J, Lim S-J, Park Y-S. Femoral Stem Survivorship in Dorr Type A Femurs After Total Hip Arthroplasty Using a Cementless Tapered Wedge Stem: A Matched Comparative Study With Type B Femurs. J Arthroplasty. 2019
22. Janssen L, Wijnands KAP, Janssen D, Janssen MWHE, Morrenhof JW. Do Stem Design and Surgical Approach Influence Early Aseptic Loosening in Cementless THA? Clin Orthop. 2018
23. Graw BP, Woolson ST, Huddleston HG, Goodman SB, Huddleston JI. Minimal incision surgery as a risk factor for early failure of total hip arthroplasty. Clin Orthop. 2010
24. Merle C, Sommer J, Streit MR, et al. Influence of surgical approach on postoperative femoral bone remodelling after cementless total hip arthroplasty. Hip Int J Clin Exp Res Hip Pathol Ther. 2012
25. Perka C, Heller M, Wilke K, et al. Surgical approach influences periprosthetic femoral bone density. Clin Orthop. 2005