Dual mobility systems in revision of total hip replacement
Background: Dislocation remains a prevalent complication following revision total hip arthroplasty (rTHA), with reported incidence rates between 10% and 25%. Factors such as bone loss, abductor deficiency, and lumbopelvic kinematics contribute to construct instability, necessitating advanced implant strategies to restore hip function and stability.
Objective: This article evaluates the clinical utility, biomechanical principles, and outcomes of various acetabular components in rTHA, with a specific focus on the role of dual-mobility (DM) constructs in mitigating dislocation risk.
Key Points: Comparative data indicate that DM cups significantly reduce postoperative dislocation rates compared to large-diameter femoral heads or standard fixed-bearing implants. While large femoral heads increase jump distance, diameters exceeding 36 mm may paradoxically decrease stability by lateralizing the center of rotation. DM options include monoblock, modular, and cemented designs. Modular DM systems facilitate supplemental screw fixation but introduce potential risks of corrosion at the metal-on-metal interface and reduced jump distance. In cases of severe acetabular defects (Paprosky grade >2B), DM cups can be combined with reinforcement devices, such as Kerboull cross-plates or tantalum augments, or utilized within 3D-printed custom triflange implants. Long-term survival rates for DM constructs in complex revisions exceed 90% at 10 years. Constrained liners remain a secondary option for refractory instability but carry higher risks of impingement and mechanical failure.
Conclusion: Dual-mobility constructs provide a versatile and effective solution for reducing instability in rTHA. Successful outcomes depend on a precise preoperative assessment of bone stock and soft tissue integrity to select the appropriate monoblock, modular, or reinforced DM configuration.
Introduction
Dislocation after revision of total hip arthroplasty (THA) is still a concerning and widespread complication, with the literature showing rates ranging from 10 to 25% [1] Abdel MP. Dual-Mobility Constructs in Revision Total Hip Arthroplasties. J Arthroplasty 2018;33:1328–30. https://doi.org/10.1016/j.arth.2018.01.030.. The primary motivation for management is to position the components in order to reduce impingement of the implant on the bone and soft tissue, and to maintain the integrity of the hip abductors. Ever-increasing numbers of arthroplasty procedures are being performed, especially in young and active patients, and this accounts for the corresponding increase in revision of THA (rTHA). Management still remains a challenge. This type of surgery may have multiple objectives but there is just one goal: to restore as much lost function to the hip as possible. Although there is a single goal, there are numerous ways to achieve it, just as there are numerous situations that we must deal with during these procedures.
There are also multiple reasons for revision: instability with recurring dislocation, periprosthetic fracture, infection, component-to-component or periprosthetic impingement, loosening with or without bone loss, adverse reactions to metal debris (ARMD) and aseptic lymphocyte-dominant vasculitis-associated lesion (ALVAL), etc.
There are some patients who seem to be more at risk than others, such as those with neuromuscular or cognitive disorders, major postural imbalance, stiffness or abnormal kinematics of the pelvis and lumbar spine. [2], Kouyoumdjian P, Mansour J, Marouby S, Canovas F, Dagneaux L, Coulomb R. Influence of kinematics of the lumbopelvic complex in hip arthroplasty dislocation: from assessment to recommendations. Arch Orthop Trauma Surg 2023. https://doi.org/10.1007/s00402-022-04722-9.[3] Kouyoumdjian P, Mansour J, Haignère V, Demattei C, Maury E, George D, et al. Hip-Spine Relationship between Sagittal Balance of the Lumbo-Pelvi-Femoral Complex and Hip Extension Capacity: An EOS Evaluation in a Healthy Caucasian Population. Glob Spine J 2022:21925682221103830. https://doi.org/10.1177/21925682221103831.
Certain causes of secondary instability have to be identified, such as poor implant positioning (acetabular version and offset), poorly managed offset or anteversion of the cup or stem, inadequate restoration of leg length or abductor lever arm (offset, combined stem–cup anteversion and dependent length), poor quality soft tissue and component–component and/or bone–component impingement [4] Schmidt A, Batailler C, Fary C, Servien E, Lustig S. Dual Mobility Cups in Revision Total Hip Arthroplasty: Efficient Strategy to Decrease Dislocation Risk. J Arthroplasty 2020;35:500–7. https://doi.org/10.1016/j.arth.2019.08.060..
Situations uncovered perioperatively can also impact the surgical strategy, such as hardware that cannot be removed, bone quality, bone loss (which is often worsened once the implant is removed), metallosis and corrosion, ARMD and ALVAL, and infection.
These factors have meant that additional strategies have proven to be needed. This has led to the development of new ranges of implants specifically aimed at reducing the risk of secondary instability after rTHA using previous generation implants, a risk that is covered extensively in the literature. Some examples of these new generation components are: jumbo cups [5] Sonn KA, Deckard ER, Meneghini RM. No Difference in Dislocation Rates Comparing Large Diameter Jumbo Femoral Heads and Dual-Mobility Bearings in Revision Total Hip Arthroplasty. J Arthroplasty 2021;36:3716–21. https://doi.org/10.1016/j.arth.2021.07.008., larger femoral heads, and implants that address the greater limitations between the components through use of either dual mobility cups (DM cups, widely described since they were developed by Bouquet and Imbert in 1974) or constrained cups.
Large femoral head, constrained cup or dual mobility cup?
A comparative study 4 that included 295 rTHA looked at the risk of dislocation and of revision for any other cause in a group of 184 DM cups compared to standard implants (FB: fixed bearing, 36mm heads in 76.6%, 32mm heads in 15.3% and 28mm heads in 8.1%), with illuminating results. This study showed that in all indications for rTHA, DM significantly reduced the risk of postoperative dislocation with no risk of early aseptic loosening in medium term follow-up. Many other studies confirm this finding [6] Guyen O. Constrained liners, dual mobility or large diameter heads to avoid dislocation in THA. EFORT Open Rev 2016;1:197–204. https://doi.org/10.1302/2058-5241.1.000054..
Every option has a long list of advantages and disadvantages. Large femoral heads improve the head–neck ratio, which decreases the theoretical risk of dislocation [7] Howie DW, Holubowycz OT, Middleton R, Large Articulation Study Group. Large femoral heads decrease the incidence of dislocation after total hip arthroplasty: a randomized controlled trial. J Bone Joint Surg Am 2012;94:1095–102. https://doi.org/10.2106/JBJS.K.00570.. However, this method often produces insufficient stability in the context of revision, especially for patients who have undergone a wide synovectomy or who have hip abductor deficiency. Ultimately, the underlying mechanical concept behind the use of large femoral heads is that increasing the jump distance protects against dislocation (Figure 1). However, increasing the head diameter beyond 36mm leads to increased acetabular offset and a lateralised centre of rotation. The centre of rotation is outside the cup and the jump distance (the safety distance that protects against dislocation) is paradoxically decreased.
Elsewhere, many case series have demonstrated that constrained or retentive cups reduce the risk of dislocation after revision procedures [8] Young GH, Abdel MP, Amendola RL, Goetz DD, Lewallen DG, Callaghan JJ. Cementing Constrained Liners Into Secure Cementless Shells: A Minimum 15-Year Follow-Up Study. J Arthroplasty 2017;32:3480–3. https://doi.org/10.1016/j.arth.2017.07.014. but the risks of a decreased range of motion, impingement, accelerated wear, component dissociation due to failure of the retention system, and a build-up of stressors at the bone–implant interface (causing loosening) mean that these components are not a viable option in the majority of revision THA [6], Guyen O. Constrained liners, dual mobility or large diameter heads to avoid dislocation in THA. EFORT Open Rev 2016;1:197–204. https://doi.org/10.1302/2058-5241.1.000054.[9], Noble PC, Durrani SK, Usrey MM, Mathis KB, Bardakos NV. Constrained Cups Appear Incapable of Meeting the Demands of Revision THA. Clin Orthop 2012;470:1907–16. https://doi.org/10.1007/s11999-011-2212-4.[10] Labban J, Letissier H, Mertl P, Lefèvre C, Migaud H, Clavé A. The Lefèvre retentive cup compared with the dual mobility cup in total hip arthroplasty revision for dislocation. Int Orthop 2020;44:1661–7. https://doi.org/10.1007/s00264-020-04601-1..
The DM cup was designed in France in 1974 with the first results published in 1986 13, and it was approved by the FDA in 2009 1. It is based on a principle of both improved stability (by increasing the jump distance, Figure 1) and improved range of motion within the safe zone. There are numerous studies that have confirmed that this implant is effective in reducing the postoperative dislocation rate in revision surgery in comparison to standard implants [14], Wegrzyn J, Tebaa E, Jacquel A, Carret J-P, Béjui-Hugues J, Pibarot V. Can Dual Mobility Cups prevent Dislocation in All Situations After Revision Total Hip Arthroplasty? J Arthroplasty 2015;30:631–40. https://doi.org/10.1016/j.arth.2014.10.034.[15], Sayac G, Neri T, Schneider L, Philippot R, Farizon F, Boyer B. Low Revision Rates at More Than 10 Years for Dual-Mobility Cups Cemented Into Cages in Complex Revision Total Hip Arthroplasty. J Arthroplasty 2020;35:513–9. https://doi.org/10.1016/j.arth.2019.08.058.[16], Jauregui JJ, Pierce TP, Elmallah RK, Cherian JJ, Delanois RE, Mont MA. Dual mobility cups: an effective prosthesis in revision total hip arthroplasties for preventing dislocations. Hip Int J Clin Exp Res Hip Pathol Ther 2016;26:57–61. https://doi.org/10.5301/hipint.5000295.[17], Gonzalez AI, Bartolone P, Lubbeke A, Dupuis Lozeron E, Peter R, Hoffmeyer P, et al. Comparison of dual-mobility cup and unipolar cup for prevention of dislocation after revision total hip arthroplasty. Acta Orthop 2017;88:18–23. https://doi.org/10.1080/17453674.2016.1255482.[18], Schneider L, Philippot R, Boyer B, Farizon F. Revision total hip arthroplasty using a reconstruction cage device and a cemented dual mobility cup. Orthop Traumatol Surg Res 2011;97:807–13. https://doi.org/10.1016/j.otsr.2011.09.010.[19] Ciolli G, Mesnard G, Deroche E, Gunst S, Batailler C, Servien E, et al. Is Cemented Dual-Mobility Cup a Reliable Option in Primary and Revision Total Hip Arthroplasty: A Systematic Review. J Pers Med 2022;13:81. https://doi.org/10.3390/jpm13010081..

Expected benefits and risks
Routine use of a DM system in revision surgery does raise potential concerns. These include the risk of component dissociation, corrosion (especially with modular DM cups), long-term wear and loosening.
Dislocation and dissociation
According to the Australian public registry (2015), 20 the most common indications for revision of a conventional primary THA are loosening/osteolysis (28.0%), dislocation (24.2%), fracture (18.2%) and infection (17.3%), while dislocation secondary to a first revision is the most common reason for a subsequent THA revision (31.1%). The risk factors for implant instability after revision have been extensively described in the literature and concern both patient profile (age, neuromuscular disorders, hip–spine syndrome and imbalanced posture) and the surgical features of the revision. The most notable of these are poor component positioning, leg length discrepancy, abnormal offset, hip abductor deficiency, capsular repair, component–component or bone–component impingement, head–neck ratio and surgeon experience [21] De Martino I, D’Apolito R, Soranoglou VG, Poultsides LA, Sculco PK, Sculco TP. Dislocation following total hip arthroplasty using dual mobility acetabular components: a systematic review. Bone Jt J 2017;99-B:18–24. https://doi.org/10.1302/0301-620X.99B1.BJJ-2016-0398.R1..
Mertl et al. [22] Mertl P, Combes A, Leiber-Wackenheim F, Fessy MH, Girard J, Migaud H. Recurrence of Dislocation Following Total Hip Arthroplasty Revision Using Dual Mobility Cups Was Rare in 180 Hips Followed Over 7?Years. HSS J 2012;8:251–6. https://doi.org/10.1007/s11420-012-9301-0. reported on a case series of 145 patients who had a rTHA due to recurrent dislocation and were fitted with a monoblock DM cup with 7.7+/-2.2 years of follow-up (4–14). The dislocation rate of the large articulation was 4.8% and component dissociation was 1.4%. A high number of previous procedures and nonunion of greater trochanter were related to recurrent instability.
De Martino et al. [21] De Martino I, D’Apolito R, Soranoglou VG, Poultsides LA, Sculco PK, Sculco TP. Dislocation following total hip arthroplasty using dual mobility acetabular components: a systematic review. Bone Jt J 2017;99-B:18–24. https://doi.org/10.1302/0301-620X.99B1.BJJ-2016-0398.R1. recently published a systematic review of component dissociations that looked at 17,908 THA and rTHA, of which 5,064 were rTHA. After a mean of 4.4 years of follow-up, the dislocation rate was 3% (SD 3.0) and the component dissociation rate was 1.3% (SD 2.2). The majority of cases of component dissociations (93%) occurred early, after 3.2 months on average.
Corrosion
In Europe, the majority of DM cups used are monoblock. These types of cups cannot have fixation screws added through the acetabular component. In order for a cementless strategy to still be pursued in cases of poor bone quality or some limited bone loss, modular DM systems were developed, such as the Stryker® Modular Dual Mobility. This offers the surgeon the opportunity to perioperatively improve primary fixation of the cup by adding screws while still using a system that in part takes advantage of the dual mobility design. It includes an additional interface of a cobalt chrome liner that is fitted into the shell. There are limitations to the design in that this imposes a relative reduction on the diameter of the polyethylene liner, which means that it has a smaller jump distance than a monoblock cup of the same diameter. The other concern with this type of impact is corrosion due to the titanium–CoCr interface. In a recent study [23] Epinette J-A, Coulomb R, Pradel S, Kouyoumdjian P. Do Modular Dual Mobility Cups Offer a Reliable Benefit? Minimum 5-Year Follow-Up of 102 Cups. J Arthroplasty 2022;37:910–6. https://doi.org/10.1016/j.arth.2022.01.025., we reported on at least 5-year follow-up of 102 MDM cups of which 71 were used in revision surgery (69.6%), with no cases of immunoallergic events in spite of initial fears about the titanium cup–CoCr liner as bearing surfaces. The mean concentrations of cobalt (Co) were 0.967 mg/L (0.56-5.3; SD: 1.355) and of chrome (Cr), 0.959 mg/L (0.42-1.4; SD: 0.723).
These figures are similar to those found in the literature with the use of monoblock CoCr DM cups. [24], Gkiatas I, Sharma AK, Greenberg A, Duncan ST, Chalmers BP, Sculco PK. Serum metal ion levels in modular dual mobility acetabular components: A systematic review. J Orthop 2020;21:432–7. https://doi.org/10.1016/j.jor.2020.08.019.[25], Greenberg A, Nocon A, De Martino I, Mayman DJ, Sculco TP, Sculco PK. Serum Metal Ions in Contemporary Monoblock and Modular Dual Mobility Articulations. Arthroplasty Today 2021;12:51–6. https://doi.org/10.1016/j.artd.2021.08.021.[26] Tarity TD, Koch CN, Burket JC, Wright TM, Westrich GH. Fretting and Corrosion at the Backside of Modular Cobalt Chromium Acetabular Inserts: A Retrieval Analysis. J Arthroplasty 2017;32:1033–9. https://doi.org/10.1016/j.arth.2016.09.038.
Wear, osteolysis and loosening
Appraising the survival curves for these types of complications in revisions remains challenging because there is such variation in the clinical situations, surgical strategies and implants used due to factors that are often interdependent. The factors that influence the survival curve are well known and top of the list are: the reasons for revision, the extent and type of bone loss (cavitary or segmental), whether a cemented cup was used or not, whether reinforcement devices are used (Kerboull, Ganz, Muller, Burch-Schneider, etc.), whether a cage or augment is used and whether the implant was custom-made. Each one of these many different pictures deserves its own assessment. In the specific context of revisions, results reported only cover the short and medium term [18], Schneider L, Philippot R, Boyer B, Farizon F. Revision total hip arthroplasty using a reconstruction cage device and a cemented dual mobility cup. Orthop Traumatol Surg Res 2011;97:807–13. https://doi.org/10.1016/j.otsr.2011.09.010.[27], Assi C, Caton J, Fawaz W, Samaha C, Yammine K. Revision total hip arthroplasty with a Kerboull plate: comparative outcomes using standard versus dual mobility cups. Int Orthop 2019;43:2245–51. https://doi.org/10.1007/s00264-018-4209-z.[28], Darrith B, Courtney PM, Della Valle CJ. Outcomes of dual mobility components in total hip arthroplasty: a systematic review of the literature. Bone Jt J 2018;100-B:11–9. https://doi.org/10.1302/0301-620X.100B1.BJJ-2017-0462.R1.[29], Giacomo P, Giulia B, Valerio P, Vincenzo S, Pierluigi A. Dual mobility for total hip arthroplasty revision surgery: A systematic review and metanalysis. SICOT-J 2021;7:18. https://doi.org/10.1051/sicotj/2021015.[30], Lebeau N, Bayle M, Belahouane R, Chelli M, Havet E, Brunschweiler B, et al. Total hip arthroplasty revision by dual-mobility acetabular cup cemented in a metal reinforcement: a 62 case series at a minimum 5 years? follow-up. Orthop Traumatol Surg Res 2017. https://doi.org/10.1016/j.otsr.2017.04.009.[31], Reina N, Pareek A, Krych AJ, Pagnano MW, Berry DJ, Abdel MP. Dual-Mobility Constructs in Primary and Revision Total Hip Arthroplasty: A Systematic Review of Comparative Studies. J Arthroplasty 2019;34:594–603. https://doi.org/10.1016/j.arth.2018.11.020.[32] Wilson JM, Maradit-Kremers H, Abdel MP, Berry DJ, Mabry TM, Pagnano MW, et al. Comparative Survival of Contemporary Cementless Acetabular Components Following Revision Total Hip Arthroplasty. J Arthroplasty 2023:S0883540323003431. https://doi.org/10.1016/j.arth.2023.03.093..
In the Mertl et al. 22 case series with 7.7 years of follow-up (4–14) covering 145 patients, the rate of monoblock cups showing signs of loosening that led to a subsequent revision was 1.4 %, while the rate of possible signs of loosening was 4.1% and the rate of osteolysis around the cup was 9%. The all-cause survival rate was 92.6% (CI 95%, 85.5–96.4%).
Reina et al. [31] Reina N, Pareek A, Krych AJ, Pagnano MW, Berry DJ, Abdel MP. Dual-Mobility Constructs in Primary and Revision Total Hip Arthroplasty: A Systematic Review of Comparative Studies. J Arthroplasty 2019;34:594–603. https://doi.org/10.1016/j.arth.2018.11.020. carried out a systematic review of six prospective and retrospective studies, and one measure that was compared, among others, was the use of DM versus standard cups in rTHA between 1986 and 2018, reporting a dislocation rate of 2.2% as against 7.1% (P < 0.001) after a mean follow-up of 4.1 years.
The relative risks for the control group compared to the DM group were 3.59 (P < 0.001) for dislocation, 2.46 (P < 0.001) for revision, 4.88 (P 1/4 0.007) for revision due to dislocation, 1.51 (P 1/4 0.32) for infection, 1.18 (P 1/4 .81) for fracture and 2.71 (P 1/4 .003) for aseptic loosening.
Looking at revisions over the longer term, with severe bone loss [33] Paprosky WG, Perona PG, Lawrence JM. Acetabular defect classification and surgical reconstruction in revision arthroplasty. J Arthroplasty 1994;9:33–44. https://doi.org/10.1016/0883-5403(94)90135-X. (Paprosky 2C) and a mean follow-up of 10.7 years (2–16), Sayac et al. [15] Sayac G, Neri T, Schneider L, Philippot R, Farizon F, Boyer B. Low Revision Rates at More Than 10 Years for Dual-Mobility Cups Cemented Into Cages in Complex Revision Total Hip Arthroplasty. J Arthroplasty 2020;35:513–9. https://doi.org/10.1016/j.arth.2019.08.058. published a retrospective study of 77 cases of rTHA treated exclusively with a cemented DM cup in a cage (Kerboull cross-plate, Burch-Schneider ring or ARM cage). Subsequent revisions due to loosening were seen in 3.9% after 9.6 years [7], Howie DW, Holubowycz OT, Middleton R, Large Articulation Study Group. Large femoral heads decrease the incidence of dislocation after total hip arthroplasty: a randomized controlled trial. J Bone Joint Surg Am 2012;94:1095–102. https://doi.org/10.2106/JBJS.K.00570.[8], Young GH, Abdel MP, Amendola RL, Goetz DD, Lewallen DG, Callaghan JJ. Cementing Constrained Liners Into Secure Cementless Shells: A Minimum 15-Year Follow-Up Study. J Arthroplasty 2017;32:3480–3. https://doi.org/10.1016/j.arth.2017.07.014.[9], Noble PC, Durrani SK, Usrey MM, Mathis KB, Bardakos NV. Constrained Cups Appear Incapable of Meeting the Demands of Revision THA. Clin Orthop 2012;470:1907–16. https://doi.org/10.1007/s11999-011-2212-4.[10], Labban J, Letissier H, Mertl P, Lefèvre C, Migaud H, Clavé A. The Lefèvre retentive cup compared with the dual mobility cup in total hip arthroplasty revision for dislocation. Int Orthop 2020;44:1661–7. https://doi.org/10.1007/s00264-020-04601-1.[11], Caton JH, Ferreira A. Dual-mobility cup: a new French revolution. Int Orthop 2017;41:433–7. https://doi.org/10.1007/s00264-017-3420-7.[12] Prudhon JL, Verdier R, Caton JH. Low friction arthroplasty and dual mobility cup: a new gold standard. Int Orthop 2017;41:563–71. https://doi.org/10.1007/s00264-016-3375-0.. The 10-year survival rate of the cup was 96.1%. No progressive radiolucent lines at the bone–component interface were found and bone graft integration was satisfactory for 91% of patients.
Component–component or extra-prosthetic impingement
Using a DM cup to prevent against potential instability in patients at risk is a useful and sometimes essential option. Fitting must nonetheless be done with rigour. Protecting from instability does not remove the risk of impingement, particularly component–component impingement that can be a cause of failure, corrosion, loosening and even component dissociation [34] Lygrisse KA, Matzko C, Shah RP, Macaulay W, Cooper JH, Schwarzkopf R, et al. Femoral Neck Notching in Dual Mobility Implants: Is This a Reason for Concern? J Arthroplasty 2021;36:2843–9. https://doi.org/10.1016/j.arth.2021.03.043..
Revision: multiple pictures and risky patients
As stated earlier, THA revision surgery is by no means one size fits all. Every situation that the surgeon has to deal with must take into account patient-related factors (bone quality, neuromuscular pathology, postural imbalances in the torso, lumbar spine and pelvic stiffness, history of lumbar fusion surgery, etc.) and the mechanics of the area of the hip that requires revision 35 (bone loss, infection, corrosion with metallosis, ARMD, component impingement, wear, hardware that cannot be extracted, etc.)
A close preoperative assessment remains essential. Planning this surgery relies on a firm understanding and appreciation of all of the factors listed above, so that the surgical strategy can be planned as fully as possible and the most suitable implants chosen for the case to be treated. It is essential to anticipate potential perioperative challenges, which may occur due to a failure to fully appraise the preoperative assessment, in terms of the assessment of bone loss especially, but also of poor bone quality or loss of muscle. All of this information will guide the surgeon in choosing the appropriate implants and steps during the operation. While the choice of a DM cup for hip replacement revision may seem to be accepted in the vast majority of cases, not all DM cups are the same [36] Aslanian T. All dual mobility cups are not the same. Int Orthop 2017;41:573–81. https://doi.org/10.1007/s00264-016-3380-3.. Choices concerning:
- The type of DM cup
- Cementless fixation (monoblock [37], Wilson JM, Maradit-Kremers H, Abdel MP, Berry DJ, Mabry TM, Pagnano MW, et al. Comparative Survival of Contemporary Cementless Acetabular Components Following Revision Total Hip Arthroplasty. J Arthroplasty 2023;38:S194–200. https://doi.org/10.1016/j.arth.2023.03.093.[38], Yang J, Bryan AJ, Drabchuk R, Tetreault MW, Calkins TE, Della Valle CJ. Use of a monoblock dual-mobility acetabular component in primary total hip arthroplasty in patients at high risk of dislocation. HIP Int 2022;32:648–55. https://doi.org/10.1177/1120700020988469.[39] Leiber-Wackenheim F, Brunschweiler B, Ehlinger M, Gabrion A, Mertl P. Treatment of recurrent THR dislocation using of a cementless dual-mobility cup: A 59 cases series with a mean 8 years’ follow-up. Orthop Traumatol Surg Res 2011;97:8–13. https://doi.org/10.1016/j.otsr.2010.08.003. or modular [23], Epinette J-A, Coulomb R, Pradel S, Kouyoumdjian P. Do Modular Dual Mobility Cups Offer a Reliable Benefit? Minimum 5-Year Follow-Up of 102 Cups. J Arthroplasty 2022;37:910–6. https://doi.org/10.1016/j.arth.2022.01.025.[40], Gkiatas I, Sharma AK, Greenberg A, Duncan ST, Chalmers BP, Sculco PK. Serum metal ion levels in modular dual mobility acetabular components: A systematic review. J Orthop 2020;21:432–7. https://doi.org/10.1016/j.jor.2020.08.019.[41], Nam D, Salih R, Brown KM, Nunley RM, Barrack RL. Metal Ion Levels in Young, Active Patients Receiving a Modular, Dual Mobility Total Hip Arthroplasty. J Arthroplasty 2017;32:1581–5. https://doi.org/10.1016/j.arth.2016.12.012.[42] Sutter et al. - 2017 - Outcomes of Modular Dual Mobility Acetabular Compo.pdf n.d. or cemented fixation (into the native acetabulum [43] Haen TX, Lonjon G, Vandenbussche E. Can cemented dual-mobility cups be used without a reinforcement device in cases of mild acetabular bone stock alteration in total hip arthroplasty? Orthop Traumatol Surg Res 2015;101:923–7. https://doi.org/10.1016/j.otsr.2015.09.027.)
- The handling of existing implants on the basis of their fixation (a securely fixed and integrated cup can be left in place) [8], Young GH, Abdel MP, Amendola RL, Goetz DD, Lewallen DG, Callaghan JJ. Cementing Constrained Liners Into Secure Cementless Shells: A Minimum 15-Year Follow-Up Study. J Arthroplasty 2017;32:3480–3. https://doi.org/10.1016/j.arth.2017.07.014.[44] Wegrzyn J, Saugy C-A, Guyen O, Antoniadis A. Cementation of a Dual Mobility Cup Into an Existing Well-Fixed Metal Shell: A Reliable Option to Manage Wear-Related Recurrent Dislocation in Patients With High Surgical Risk. J Arthroplasty 2020;35:2561–6. https://doi.org/10.1016/j.arth.2020.05.001.
- The surgical strategy of biological reconstruction (use of a reinforcement device [15], Sayac G, Neri T, Schneider L, Philippot R, Farizon F, Boyer B. Low Revision Rates at More Than 10 Years for Dual-Mobility Cups Cemented Into Cages in Complex Revision Total Hip Arthroplasty. J Arthroplasty 2020;35:513–9. https://doi.org/10.1016/j.arth.2019.08.058.[27], Assi C, Caton J, Fawaz W, Samaha C, Yammine K. Revision total hip arthroplasty with a Kerboull plate: comparative outcomes using standard versus dual mobility cups. Int Orthop 2019;43:2245–51. https://doi.org/10.1007/s00264-018-4209-z.[30], Lebeau N, Bayle M, Belahouane R, Chelli M, Havet E, Brunschweiler B, et al. Total hip arthroplasty revision by dual-mobility acetabular cup cemented in a metal reinforcement: a 62 case series at a minimum 5 years? follow-up. Orthop Traumatol Surg Res 2017. https://doi.org/10.1016/j.otsr.2017.04.009.[43], Haen TX, Lonjon G, Vandenbussche E. Can cemented dual-mobility cups be used without a reinforcement device in cases of mild acetabular bone stock alteration in total hip arthroplasty? Orthop Traumatol Surg Res 2015;101:923–7. https://doi.org/10.1016/j.otsr.2015.09.027.[45] Wegrzyn J, Pibarot V, Jacquel A, Carret J-P, Béjui-Hugues J, Guyen O. Acetabular Reconstruction Using a Kerboull Cross-Plate, Structural Allograft and Cemented Dual-Mobility Cup in Revision THA at a Minimum 5-Year Follow-Up. J Arthroplasty 2014;29:432–7. https://doi.org/10.1016/j.arth.2013.05.030.) or mechanical reconstruction (use of augments 46 or a custom-made implant) and anything beyond the factors set out previously will depend on the surgeon’s experience and preference.
Revision with a cementless Dual Mobility (DM) cup
Monoblock DM
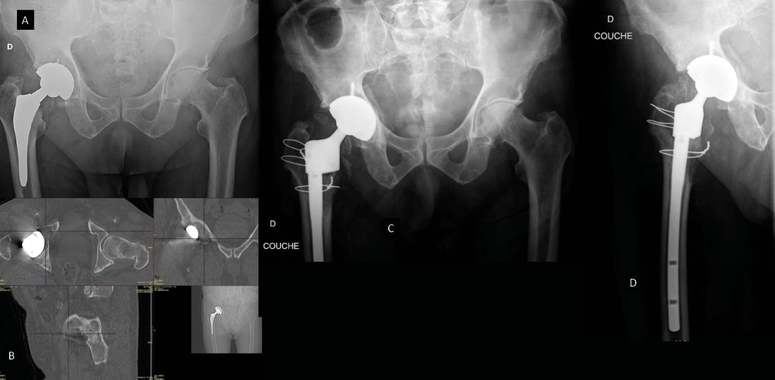
The first option is to use a cementless DM cup either with (Figure 2) or without spikes (Figures 3 and 4) or a peg with a minimum implant size of 40, depending on the manufacturer, and a technically demanding fitting process, resulting in good cup stability for patients with bone defects or poor bone quality, which can, in some cases, leave fewer options. This implant is a first line option indicated particularly in patients with implant instability and moderate bone loss. (Figures 2, 3, 4)



Monoblock DM with iliac stem: The ice-cream cone prosthesis
In some complex cases of revision, especially when there is structural bone loss and/or pelvic discontinuity in elderly patients, the “ice-cream cone” prosthesis can prove to be useful.
Puget et al. [47] Tricoire J-L, Puget J, Connes H, Canevet G, Moscovici J, Guittard J. Etude anatomique de l’isthme iliaque, base de fixation cotyloïdienne dans les grandes pertes de substance segmentaires lors des reprises de PTH. Morphologie 2004;88:80. https://doi.org/10.1016/S1286-0115(04)98044-7. described the iliac isthmus as an anatomical beam made up of a dense bridge with a potential entry point at the superior-medial and posterior part of the acetabulum. Fixed with a peg (as used with the Integra cup: length 5 cm, diameter 11mm and orientation 55°) inserted into the ilium [48] Desbonnet P, Connes H, Escare P, Tricoire JL, Trouillas J. Total hip revision using a cup design with a peg to treat severe pelvic bone defects. Orthop Traumatol Surg Res 2012;98:346–51. https://doi.org/10.1016/j.otsr.2012.01.006., this implant results in primary stability that allows patients to quickly regain their independence with weight-bearing from the outset. There are various models, both modular and monoblock, on the market today 49. (Figure 5). They can be used in mechanical reconstructions, in cases when a biological reconstruction using bone grafts no longer appears to be suitable.

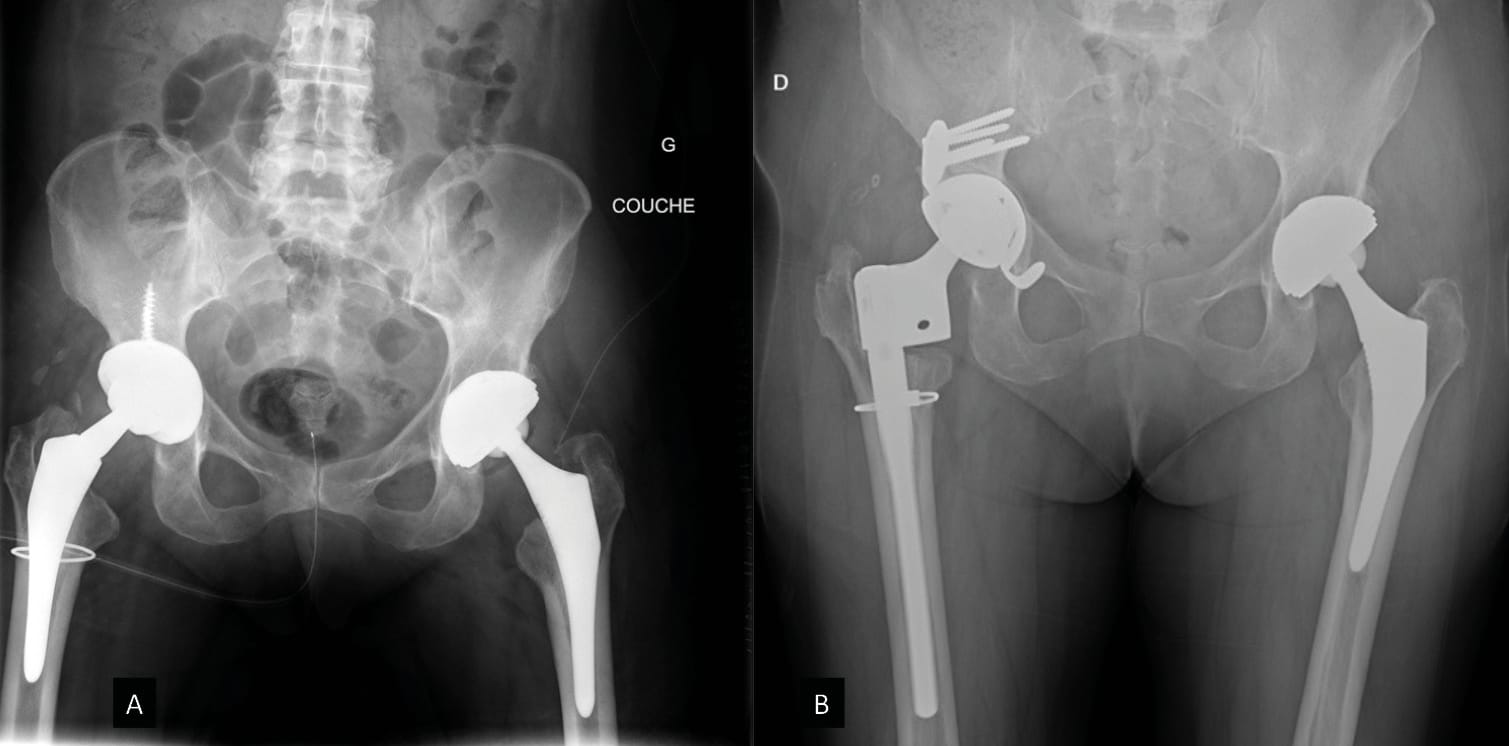
Modular DM cup
Another option is the modular dual mobility cup. This type of implant remains useful in cases of moderate bone loss and allows the surgeon to optimise the primary fixations (screws) while still taking advantage of the DM concept. The advantages as well as the potential complications specific to this device have been outlined previously [23] Epinette J-A, Coulomb R, Pradel S, Kouyoumdjian P. Do Modular Dual Mobility Cups Offer a Reliable Benefit? Minimum 5-Year Follow-Up of 102 Cups. J Arthroplasty 2022;37:910–6. https://doi.org/10.1016/j.arth.2022.01.025.. We should also point out the risk of liner malseating, although this does not appear to have an impact on the medium term survival curve [50], Bengoa F, Howard LC, Neufeld ME, Garbuz DonaldS. Malseating of Modular Dual Mobility Liners: High Prevalence in Revision Total Hip Arthroplasty. J Arthroplasty 2023:S0883540323003443. https://doi.org/10.1016/j.arth.2023.03.094.[51], Guntin J, Plummer D, Della Valle C, DeBenedetti A, Nam D. Malseating of modular dual mobility liners. Bone Jt Open 2021;2:858–64. https://doi.org/10.1302/2633-1462.210. BJO-2021-0124.R1.[52] Siljander MP, Gausden EB, Wooster BM, Karczewski D, Sierra RJ, Trousdale RT, et al. Liner malseating is rare with two modular dual-mobility designs. Bone Jt J 2022;104-B:598–603. https://doi.org/10.1302/0301-620X.104B5. BJJ-2021-1734.R1. (Figure 6).

Cemented DM in THA revision
In complex revisions involving bone loss with poor bone quality, a cemented DM will often be needed.
Cemented DM without reinforcement
While the cemented versions of dual mobility cups are generally used in combination with a reinforcement device 19, some authors have suggested that the intervention could be simplified in elderly subjects or those who have poor bone stock by cementing the DM cup directly into the bone. To assess whether cemented fixation leads to a higher rate of loosening, as well as to confirm whether it is effective in protecting against dislocation in patients at high risk of instability and to measure the functional results, Haen et al. [43] Haen TX, Lonjon G, Vandenbussche E. Can cemented dual-mobility cups be used without a reinforcement device in cases of mild acetabular bone stock alteration in total hip arthroplasty? Orthop Traumatol Surg Res 2015;101:923–7. https://doi.org/10.1016/j.otsr.2015.09.027. reported on a retrospective case series of 64 patients (66 hips) at a single site who underwent cemented DM cup implantation with no reinforcement device. The mean age was 79.8 years (40–95 years), and 44% were cases of rTHA. This case series did report radiolucent lines developing at the bone–component interface in only 7% of cases after 3 years of follow-up (3–4) and 1 case of aseptic loosening with migration, but it was not stated whether these observations pertained to the revision cases. With a rate of loosening comparable to that found with the use of a cemented DM with a reinforcement device and considering the rates of prosthetic dislocation or component dissociation in the many other case series that have follow-up data for 1–7 years, it appears to be the alternative of choice in the target population for the author.
Therefore, when there is moderately degraded bone stock or a desire to simplify the operation in an elderly patient, some authors have reported good results using a DM cup without any reinforcement device and cemented directly into the bone. Haen et al. [43] Haen TX, Lonjon G, Vandenbussche E. Can cemented dual-mobility cups be used without a reinforcement device in cases of mild acetabular bone stock alteration in total hip arthroplasty? Orthop Traumatol Surg Res 2015;101:923–7. https://doi.org/10.1016/j.otsr.2015.09.027. reported 98% (CI 95% [94–100]) 5-year survival of the cup with a rate of aseptic loosening comparable to that found with cemented DM cups combined with reinforcement.
DM cup cemented into an existing osteointegrated cup
One of the options could be to cement a DM cup into an existing metal acetabular component that is securely fixed. This presents a simple alternative to conventional revision of a securely fixed and well positioned acetabular component that can shorten operations and reduce blood loss, bone damage and overall perioperative morbidity. Wegrzyn et al. [44] Wegrzyn J, Saugy C-A, Guyen O, Antoniadis A. Cementation of a Dual Mobility Cup Into an Existing Well-Fixed Metal Shell: A Reliable Option to Manage Wear-Related Recurrent Dislocation in Patients With High Surgical Risk. J Arthroplasty 2020;35:2561–6. https://doi.org/10.1016/j.arth.2020.05.001. showed that a dual mobility acetabular component cemented into a securely fixed metal cup could be a biomechanically acceptable alternative [53] Wegrzyn J, Thoreson AR, Guyen O, Lewallen DG, An K-N. Cementation of a dual-mobility acetabular component into a well-fixed metal shell during revision total hip arthroplasty: A biomechanical validation. J Orthop Res 2013;31:991–7. https://doi.org/10.1002/jor.22314.. They reported significant improvement of function in a case series of 28 patients with a mean follow-up of 3.5 years (2–5) and they emphasised the advantages in terms of operating time (107 minutes; 75–140), perioperative bleeding, and an absence of complications, repeat surgery or revision during follow-up.
In conclusion, this strategy involves a simple revision technique that reduces blood loss, effectively restores stability and delivers a secure acetabular construction in frail patients who present a high surgical risk and/or are older than their natural life expectancy. Ciolli et al. carried out a literature review, and, with 1– 4 years of follow-up, reported survival curves ranging from 85 to 100% 19, which suggests that this alternative, although it should be reserved for a target group, appears to be viable.
DM with reinforcement
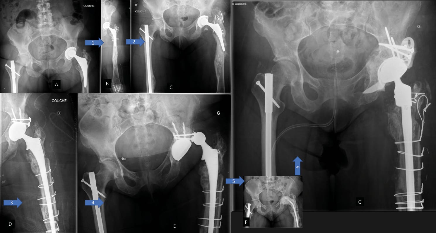
1. With bone-based biological reconstruction (Figure 7)

As part of a strategy that aims for bone reconstruction using a bone graft (autologous, allograft [54] Strahl A, Boese CK, Ries C, Hubert J, Beil FT, Rolvien T. Outcome of different reconstruction options using allografts in revision total hip arthroplasty for severe acetabular bone loss: a systematic review and meta-analysis. Arch Orthop Trauma Surg 2023. https://doi.org/10.1007/s00402-023-04843-9. or substitute [55] Romagnoli M, Casali M, Zaffagnini M, Cucurnia I, Raggi F, Reale D, et al. Tricalcium Phosphate as a Bone Substitute to Treat Massive Acetabular Bone Defects in Hip Revision Surgery: A Systematic Review and Initial Clinical Experience with 11 Cases. J Clin Med 2023;12:1820. https://doi.org/10.3390/jcm12051820.), indicated when there is moderate to significant loss of bone capital, it is often necessary to use an acetabular reinforcement device. Of the devices currently on the market, the Kerboull cross-plate is probably one of the most widely used in France and across Europe. As well as offering mechanical reinforcement, it also helps to restore the centre of rotation of the acetabular component and delivers primary stability that is adequate for subsequent integration of the bone graft. It requires precise positioning, which involves using the cross design as a guide to placement with the hook, centre and pallet in the vertical plane and the horizontal flanges in the horizontal plane, then the pallet should be in the horizontal plane parallel to the operating table. Achieving this final point sometimes requires a bone graft to be positioned between the pallet and the roof of the acetabulum [56] Assi C, Caton J, Aslanian T, Samaha C, Yammine K. The cross technique for the positioning of Kerboull plate in acetabular reconstruction surgery. SICOT-J 2018;4:20. https://doi.org/10.1051/sicotj/2018012.. If integrity of the U-figure (or pelvic tear drop, a bony ridge at the inferior medial acetabulum and overhanging the obturator foramen) is required to ensure stability, a structural graft to reconstruct this bony ridge is by default necessary [56] Assi C, Caton J, Aslanian T, Samaha C, Yammine K. The cross technique for the positioning of Kerboull plate in acetabular reconstruction surgery. SICOT-J 2018;4:20. https://doi.org/10.1051/sicotj/2018012.. Wegrzyn et al. carried out a study that aimed to evaluate the findings of a continuous and prospective case series of 61 revision THA with reconstruction of AAOS grade III and IV acetabular bone defects using a Kerboull cross-plate, structural allograft and cemented DM cup with a minimum follow-up of 5 years and a mean of 7.5 years. They reported no instability, and there was no failed acetabular reconstruction observed in 98% of the cases that presented complete osteointegration of the bone graft. Finally, no sign of mechanical rupture of the Kerboull cross-plate and/or loosening of the cemented cup were seen. As reported in other similar studies [19], Ciolli G, Mesnard G, Deroche E, Gunst S, Batailler C, Servien E, et al. Is Cemented Dual-Mobility Cup a Reliable Option in Primary and Revision Total Hip Arthroplasty: A Systematic Review. J Pers Med 2022;13:81. https://doi.org/10.3390/jpm13010081.[27], Assi C, Caton J, Fawaz W, Samaha C, Yammine K. Revision total hip arthroplasty with a Kerboull plate: comparative outcomes using standard versus dual mobility cups. Int Orthop 2019;43:2245–51. https://doi.org/10.1007/s00264-018-4209-z.[57] Bozon O, Dagneaux L, Sanchez T, Gaillard F, Hamoui M, Canovas F. Influence of dual-mobility acetabular implants on revision and survivorship of cup and Kerboull-type reinforcement ring constructs in aseptic acetabular loosening. Orthop Traumatol Surg Res OTSR 2022;108:103071. https://doi.org/10.1016/j.otsr.2021.103071., this reconstruction technique has produced excellent results at midpoint follow-up in terms of preventing instability after revision, restoring acetabular bone stock and stable cemented fixation of the dual mobility cup.
Irrespective of the type of reinforcement device used, a literature analysis shows that with mean follow-up ranging from 10 to 236 months the survival curve exceeds 90% [19] Ciolli G, Mesnard G, Deroche E, Gunst S, Batailler C, Servien E, et al. Is Cemented Dual-Mobility Cup a Reliable Option in Primary and Revision Total Hip Arthroplasty: A Systematic Review. J Pers Med 2022;13:81. https://doi.org/10.3390/jpm13010081..
In a comparative study based on data from a Swedish registry [58] Mohaddes M, Cnudde P, Rolfson O, Wall A, Kärrholm J. Use of dual-mobility cup in revision hip arthroplasty reduces the risk for further dislocation: analysis of seven hundred and ninety one first-time revisions performed due to dislocation, reported to the Swedish Hip Arthroplasty Register. Int Orthop 2017;41:583–8. https://doi.org/10.1007/s00264-016-3381-2. between 2005 and 2015, consisting of 984 rTHA, 436 of which used a cemented DM cup in a cage, and 355 revisions from the same period that used a cemented standard cup (femoral head size 28–36 mm), 4-year survival for all causes (91% ± 3.7% vs 86% ± 4.1%, p = 0.02) and for dislocation (96% ± 3.0% vs 92% ± 3.3%, p = 0.001) was better for the DM cup group.
Focusing in on complex cases, in which revisions are performed in patients with significant bone loss, the results remain, in view of the context, entirely favourable. Unter Ecker et al. [59] Unter Ecker N, Kocaoğlu H, Zahar A, Haasper C, Gehrke T, Citak M. What Is the Dislocation and Revision Rate of Dual-mobility Cups Used in Complex Revision THAs? Clin Orthop 2021;479:280–5. https://doi.org/10.1097/CORR.0000000000001467. analysed 216 patients who had undergone complex THA revision with massive preexisting bone loss of the acetabulum (Paprosky >2B) and/or proximal femur (at least Paprosky 3), significant involvement of gluteal soft tissue, at least two prior surgical interventions or a one-stage septic revision, or a history of dislocation. A Burch-Schneider ring was used, either with or without augments. The 216 patients received a cemented DM cup. Mean follow-up was 69 months (60–110). The primary endpoint was dislocation or revision for dislocation. The dislocation-free survival rate was 96% (95% CI, 92–98) at 5 years and 82% (95% CI, 72–89) at 9 years. The overall rate of dislocation was 11% at the final follow-up. Survival without revision for dislocation was 99% (95% CI, 96–100) at 5 years and 85% (95% CI, 75–92) at 9 years.
In complex cases of defects of SOFCOT [60] Vives P, Lestang M, Paclot R, Cazeneuve J. Le descellement aseptique: définitions, classifications. Rev Chir Orthop 1989:9—31. grade 3 (62 cases) and 4 (26 cases), treated with reinforcement (Kerboull, Burch-Schneider, ARM) and structural bone graft in 87.5% of cases, Schneider et al. [18] Schneider L, Philippot R, Boyer B, Farizon F. Revision total hip arthroplasty using a reconstruction cage device and a cemented dual mobility cup. Orthop Traumatol Surg Res 2011;97:807–13. https://doi.org/10.1016/j.otsr.2011.09.010. reported a dislocation rate of 10.4% with a mean follow-up of 41 months (1–101), and five of these occurred more than three months after surgery. No component dissociation was reported. A 9% failure rate for the reinforcement used was noted on radiography. One revision for aseptic loosening and one septic revision were performed. Looking at acetabular component revision for any reason, the 8-year survival rate was 95.6% (95% CI, 93.3–97.7%) and 99.3% (95% CI, 98.9–99.6%) if the endpoint chosen was acetabular component replacement due to infection.
Furthermore, the Sayac et al. study [15] Sayac G, Neri T, Schneider L, Philippot R, Farizon F, Boyer B. Low Revision Rates at More Than 10 Years for Dual-Mobility Cups Cemented Into Cages in Complex Revision Total Hip Arthroplasty. J Arthroplasty 2020;35:513–9. https://doi.org/10.1016/j.arth.2019.08.058. with a mean follow-up of 10 years for revisions in Paprosky >2C defects reported low rates of secondary revisions, whether for loosening or instability.
Nonetheless, bone reconstructions remain a surgical challenge, and all the more so when there is significant bone loss, the patient has undergone multiple operations and there is a context of chronic infection (Figure 8).

2. Non-biological reconstruction: bone loss compensated with augments or custom-made DM implant.
Extensive acetabular bone loss with or without pelvic discontinuity (PD) is a serious challenge in the revision of total hip arthroplasty (THA). In view of the failings of bone-conserving strategies [61] Beckmann NA, Weiss S, Klotz MCM, Gondan M, Jaeger S, Bitsch RG. Loosening After Acetabular Revision: Comparison of Trabecular Metal and Reinforcement Rings. A Systematic Review. J Arthroplasty 2014;29:229–35. https://doi.org/10.1016/j.arth.2013.04.035. due to a failure of the bone graft to integrate and secondary loosening, revision implants with a tantalum coating may be a promising alternative to allografts for some. They have a high coefficient of friction, they are biocompatible, and they deliver good primary stability which is favourable for osteointegration [62] Abolghasemian M, Tangsataporn S, Sternheim A, Backstein D, Safir O, Gross AE. Combined trabecular metal acetabular shell and augment for acetabular revision with substantial bone loss: A mid-term review. Bone Jt J 2013;95-B:166–72. https://doi.org/10.1302/0301-620X.95B2.30608.. Used with hemispherical revision cups, a wide range of augments of different sizes and geometries are available, which means that they can be adjusted to fit the abnormalities that need to be filled, offering the potential for modular reconstruction as well as treating a wide variety of defects [63] Hasart O, Perka C, Lehnigk R, Tohtz S. Rekonstruktion größerer Pfannendefekte mit metallischen Augmentaten – Trabecular Metal Technology. Oper Orthop Traumatol 2010;22:268–77. https://doi.org/10.1007/s00064-010-8026-9..
The studies reporting on the use of these augments seem to be encouraging, with follow-up of 3.3–13.2 years [64] Bellova P, Reich M-C, Grothe T, Günther K-P, Stiehler M, Goronzy J. Treatment of Severe Acetabular Defects With an Antiprotrusio Cage and Trabecular Metal Augments - Clinical and Radiographic Results After a Mean Follow-Up of 6.6 Years. J Arthroplasty 2023:S0883540323005788. https://doi.org/10.1016/j.arth.2023.05.054.. The cage and augment strategy, which combines the use of augments with conventional reinforcement devices to replace structural bone grafts, aims to restore the hip’s original centre of rotation while delivering durable and stable fixation of the cage.
However, few studies have reported on use of augments combined with DM cups or implants that incorporate the DM concept. Bellova et al. [64] Bellova P, Reich M-C, Grothe T, Günther K-P, Stiehler M, Goronzy J. Treatment of Severe Acetabular Defects With an Antiprotrusio Cage and Trabecular Metal Augments - Clinical and Radiographic Results After a Mean Follow-Up of 6.6 Years. J Arthroplasty 2023:S0883540323005788. https://doi.org/10.1016/j.arth.2023.05.054. carried out a consecutive case series of 100 patients who had undergone acetabular component revision with an augment against a background of Paprosky grade 2 and 3 defects (including pelvic discontinuity), in which 59 patients were available for follow-up after 6.2 years (0–12), and they reported 8.4% of cases had osteointegration of a cemented DM cup fitted as a first line treatment. However, the study reported on six cases of repeated revision of the PE liner with DM cups. Extraction of the cage and/or tantalum augment was defined as the primary endpoint of the study and revision of the acetabular cup for any reason was the secondary endpoint. Superiority of the DM system was not statistically significant but the analysis does not contribute much in view of the recent use of the “cage–augment–DM” strategy.
While there is no consensus on how to manage reconstruction in patients with significant Paprosky grade 3B bone defects, secondary revision results from these types of cases and using the strategies described above demonstrates how difficult this can be. The severity of bone loss and quality of the remaining bone have a major impact on the stability of the components used. The recent development of custom-made implants based on 3D printed acetabular cups in cases of very significant bone loss may have potential. Surgeons using these custom 3D printed titanium cups can treat massive acetabular defects that would traditionally have been impossible to reconstruct, meaning they can restore the patient's opportunity to weight-bear from the outset. The clinical evaluation of these implants remains tricky because there is such a wide range of implant designs, materials, manufacturers, techniques and surgical tools. Since this is only a recent and emerging strategy, few studies have been published to date. In the case of custom-made implants, there have been some reports that it can be difficult to precisely position the acetabular implants [65] Citak M, Kochsiek L, Gehrke T, Haasper C, Suero EM, Mau H. Preliminary results of a 3D-printed acetabular component in the management of extensive defects. HIP Int 2018;28:266–71. https://doi.org/10.5301/hipint.5000561., especially when there is pelvic discontinuity, which worsens the outcomes.
However, some authors have reported encouraging clinical and radiological results [66], Weber M, Witzmann L, Wieding J, Grifka J, Renkawitz T, Craiovan B. Customized implants for acetabular Paprosky III defects may be positioned with high accuracy in revision hip arthroplasty. Int Orthop 2019;43:2235–43. https://doi.org/10.1007/s00264-018-4193-3.[67] Chiarlone F, Zanirato A, Cavagnaro L, Alessio-Mazzola M, Felli L, Burastero G. Acetabular custom-made implants for severe acetabular bone defect in revision total hip arthroplasty: a systematic review of the literature. Arch Orthop Trauma Surg 2020;140:415–24. https://doi.org/10.1007/s00402-020-03334-5.. In a recent study by Goriainov et al., favourable radiography results and functional outcomes were reported with the use of a 3D printed aMace tri-flange implant (Materialise) with dual mobility bearing to treat massive acetabular defects. This study consisted of 19 patients with a mean follow-up of 53 months (17–88 months). The authors reported significant functional improvement and implant survival of 100%. They also noted that the application of autologous skeletal stem cells behind the implant may have improved bone formation.
Looking at the treatment of Paprosky grade 3B massive acetabular defects, Di Laura et al. [68] Di Laura A, Henckel J, Hart A. Custom 3D-Printed Implants for Acetabular Reconstruction: Intermediate-Term Functional and Radiographic Results. JBJS Open Access 2023;8. https://doi.org/10.2106/JBJS.OA.22.00120. analysed the results after a minimum of 3 years of use of 3D printed ProMade implants, with a dual mobility bearing incorporated into the device in all cases. This study suggested that these acetabular implants are a good option to treat these types of defects with a cumulative survival rate of 100%, significant improvements on pain and function rating scales and excellent osteointegration. The accuracy and feasibility of surgical planning, assessed by observing implant positioning and orientation on a postoperative CT scan, shows that this strategy can be trusted [69] Durand-Hill M, Henckel J, Di Laura A, Hart AJ. Can custom 3D printed implants successfully reconstruct massive acetabular defects? A 3D-CT assessment. J Orthop Res 2020;38:2640–8. https://doi.org/10.1002/jor.24752.. One way in which it contributes to improving function for patients is by addressing leg length discrepancy, which can often be an issue in revisions when there is significant bone loss [70] Di Laura A, Henckel J, Dal Gal E, Monem M, Moralidou M, Hart AJ. Reconstruction of acetabular defects greater than Paprosky type 3B: the importance of functional imaging. BMC Musculoskelet Disord 2021;22:207. https://doi.org/10.1186/s12891-021-04072-4.. An example of planning with a custom-made implant is shown in figure 9.

The specific case of constrained cups
We are sometimes faced with chronic instability in patients who have undergone multiple operations on their implant and who present recurrent dislocations, and these situations can be difficult to manage and treat. Beyond the main causes that are inherent to poorly positioned implants, causes which should have been avoided in the first instance, some cases of instability are secondary to iatrogenic muscle weakness due to the multiple surgeries these patients have often undergone, or to neuromuscular disorders or even nonunion, displacement, malunion or even atrophy of the greater trochanter. These cases pose a genuine problem in terms of management. The use of a constrained cup remains a potential option [71] Hernigou P, Ratte L, Roubineau F, Pariat J, Mirouse G, Guissou I, et al. The risk of dislocation after total hip arthroplasty for fractures is decreased with retentive cups. Int Orthop 2013;37:1219–23. https://doi.org/10.1007/s00264-013-1911-8.. Labban et al. [10] Labban J, Letissier H, Mertl P, Lefèvre C, Migaud H, Clavé A. The Lefèvre retentive cup compared with the dual mobility cup in total hip arthroplasty revision for dislocation. Int Orthop 2020;44:1661–7. https://doi.org/10.1007/s00264-020-04601-1. carried out a retrospective case-control study involving a comparative analysis of two matched continuous case series of total hip arthroplasty revisions due to instability with a mean follow-up of 6.5 ± 3 years . These two series included patients who had received an implant of a Lefèvre constrained cup (63 patients) or a DM cup (159 patients). This study reported that the results were comparable in view of the primary endpoint of dislocation. There was no significant difference between the two groups in terms of the survival curve of revision for any mechanical reason.
A recent retrospective analysis at a single site 72 aimed to determine the survival rate 10 years after primary arthroplasty or revision and the complication rate. It included 466 consecutive total hip arthroplasties, 45% of which were revisions using a Lefèvre constrained cup with a theoretical minimum follow-up of 12 years. The study had high rates of deceased patients (57%) and subjects lost to follow-up (10%), so only 154 patients could be analysed. The probability of mechanical complication-free survival at 10 years was estimated to be 87.8% ± 2.7% (95% CI: 82.4%– 93.2%) for the revision groups (p = 0.0017). While the authors did conclude that this implant was a viable choice in patients at high risk of dislocation, they must still be used with caution in view of the higher risk of complications than with DM implants. This strategy is indicated only in patients presenting recurrent dislocation and hip abductor deficiency. Any other cause of instability must be subject to prior assessment.
Conclusion
Revision surgery remains a genuine technical challenge. The development of new strategies and implants offers the surgeon new avenues to consider when choosing which procedure to adopt and this must take into account the patient history and predispositions, the risk factors, the specific difficulties due to the complexity of the rTHA and its aetiology, and bone capital and muscle condition. The dual mobility concept can really come to the fore in these decisions.
References
1. Abdel MP. Dual-Mobility Constructs in Revision Total Hip Arthroplasties. J Arthroplasty 2018;33:1328–30. https://doi.org/10.1016/j.arth.2018.01.030.
2. Kouyoumdjian P, Mansour J, Marouby S, Canovas F, Dagneaux L, Coulomb R. Influence of kinematics of the lumbopelvic complex in hip arthroplasty dislocation: from assessment to recommendations. Arch Orthop Trauma Surg 2023. https://doi.org/10.1007/s00402-022-04722-9.
3. Kouyoumdjian P, Mansour J, Haignère V, Demattei C, Maury E, George D, et al. Hip-Spine Relationship between Sagittal Balance of the Lumbo-Pelvi-Femoral Complex and Hip Extension Capacity: An EOS Evaluation in a Healthy Caucasian Population. Glob Spine J 2022:21925682221103830. https://doi.org/10.1177/21925682221103831.
4. Schmidt A, Batailler C, Fary C, Servien E, Lustig S. Dual Mobility Cups in Revision Total Hip Arthroplasty: Efficient Strategy to Decrease Dislocation Risk. J Arthroplasty 2020;35:500–7. https://doi.org/10.1016/j.arth.2019.08.060.
5. Sonn KA, Deckard ER, Meneghini RM. No Difference in Dislocation Rates Comparing Large Diameter Jumbo Femoral Heads and Dual-Mobility Bearings in Revision Total Hip Arthroplasty. J Arthroplasty 2021;36:3716–21. https://doi.org/10.1016/j.arth.2021.07.008.
6. Guyen O. Constrained liners, dual mobility or large diameter heads to avoid dislocation in THA. EFORT Open Rev 2016;1:197–204. https://doi.org/10.1302/2058-5241.1.000054.
7. Howie DW, Holubowycz OT, Middleton R, Large Articulation Study Group. Large femoral heads decrease the incidence of dislocation after total hip arthroplasty: a randomized controlled trial. J Bone Joint Surg Am 2012;94:1095–102. https://doi.org/10.2106/JBJS.K.00570.
8. Young GH, Abdel MP, Amendola RL, Goetz DD, Lewallen DG, Callaghan JJ. Cementing Constrained Liners Into Secure Cementless Shells: A Minimum 15-Year Follow-Up Study. J Arthroplasty 2017;32:3480–3. https://doi.org/10.1016/j.arth.2017.07.014.
9. Noble PC, Durrani SK, Usrey MM, Mathis KB, Bardakos NV. Constrained Cups Appear Incapable of Meeting the Demands of Revision THA. Clin Orthop 2012;470:1907–16. https://doi.org/10.1007/s11999-011-2212-4.
10. Labban J, Letissier H, Mertl P, Lefèvre C, Migaud H, Clavé A. The Lefèvre retentive cup compared with the dual mobility cup in total hip arthroplasty revision for dislocation. Int Orthop 2020;44:1661–7. https://doi.org/10.1007/s00264-020-04601-1.
11. Caton JH, Ferreira A. Dual-mobility cup: a new French revolution. Int Orthop 2017;41:433–7. https://doi.org/10.1007/s00264-017-3420-7.
12. Prudhon JL, Verdier R, Caton JH. Low friction arthroplasty and dual mobility cup: a new gold standard. Int Orthop 2017;41:563–71. https://doi.org/10.1007/s00264-016-3375-0.
13. Bousquet G, Argenson C, Godeneche JL, Cisterne JP, Gazielly DF, Girardin P, et al. Recovery after aseptic loosening of cemented total hip arthroplasties with Bousquet’s cementless prosthesis. Apropos of 136 cases.. Rev Chir Orthop Reparatrice Appar Mot 1986;72 Suppl 2:70–4.
14. Wegrzyn J, Tebaa E, Jacquel A, Carret J-P, Béjui-Hugues J, Pibarot V. Can Dual Mobility Cups prevent Dislocation in All Situations After Revision Total Hip Arthroplasty? J Arthroplasty 2015;30:631–40. https://doi.org/10.1016/j.arth.2014.10.034.
15. Sayac G, Neri T, Schneider L, Philippot R, Farizon F, Boyer B. Low Revision Rates at More Than 10 Years for Dual-Mobility Cups Cemented Into Cages in Complex Revision Total Hip Arthroplasty. J Arthroplasty 2020;35:513–9. https://doi.org/10.1016/j.arth.2019.08.058.
16. Jauregui JJ, Pierce TP, Elmallah RK, Cherian JJ, Delanois RE, Mont MA. Dual mobility cups: an effective prosthesis in revision total hip arthroplasties for preventing dislocations. Hip Int J Clin Exp Res Hip Pathol Ther 2016;26:57–61. https://doi.org/10.5301/hipint.5000295.
17. Gonzalez AI, Bartolone P, Lubbeke A, Dupuis Lozeron E, Peter R, Hoffmeyer P, et al. Comparison of dual-mobility cup and unipolar cup for prevention of dislocation after revision total hip arthroplasty. Acta Orthop 2017;88:18–23. https://doi.org/10.1080/17453674.2016.1255482.
18. Schneider L, Philippot R, Boyer B, Farizon F. Revision total hip arthroplasty using a reconstruction cage device and a cemented dual mobility cup. Orthop Traumatol Surg Res 2011;97:807–13. https://doi.org/10.1016/j.otsr.2011.09.010.
19. Ciolli G, Mesnard G, Deroche E, Gunst S, Batailler C, Servien E, et al. Is Cemented Dual-Mobility Cup a Reliable Option in Primary and Revision Total Hip Arthroplasty: A Systematic Review. J Pers Med 2022;13:81. https://doi.org/10.3390/jpm13010081.
20. No author listed. Australian Orthopaedic Association. National Joint Replacement Registry. Hip and Knee Arthroplasty. https://aoanjrr.sahmri.com/documents/10180/ 217745/Hip and Knee Arthroplasty (date last accessed 12 August 2016). n.d.
21. De Martino I, D’Apolito R, Soranoglou VG, Poultsides LA, Sculco PK, Sculco TP. Dislocation following total hip arthroplasty using dual mobility acetabular components: a systematic review. Bone Jt J 2017;99-B:18–24. https://doi.org/10.1302/0301-620X.99B1.BJJ-2016-0398.R1.
22. Mertl P, Combes A, Leiber-Wackenheim F, Fessy MH, Girard J, Migaud H. Recurrence of Dislocation Following Total Hip Arthroplasty Revision Using Dual Mobility Cups Was Rare in 180 Hips Followed Over 7?Years. HSS J 2012;8:251–6. https://doi.org/10.1007/s11420-012-9301-0.
23. Epinette J-A, Coulomb R, Pradel S, Kouyoumdjian P. Do Modular Dual Mobility Cups Offer a Reliable Benefit? Minimum 5-Year Follow-Up of 102 Cups. J Arthroplasty 2022;37:910–6. https://doi.org/10.1016/j.arth.2022.01.025.
24. Gkiatas I, Sharma AK, Greenberg A, Duncan ST, Chalmers BP, Sculco PK. Serum metal ion levels in modular dual mobility acetabular components: A systematic review. J Orthop 2020;21:432–7. https://doi.org/10.1016/j.jor.2020.08.019.
25. Greenberg A, Nocon A, De Martino I, Mayman DJ, Sculco TP, Sculco PK. Serum Metal Ions in Contemporary Monoblock and Modular Dual Mobility Articulations. Arthroplasty Today 2021;12:51–6. https://doi.org/10.1016/j.artd.2021.08.021.
26. Tarity TD, Koch CN, Burket JC, Wright TM, Westrich GH. Fretting and Corrosion at the Backside of Modular Cobalt Chromium Acetabular Inserts: A Retrieval Analysis. J Arthroplasty 2017;32:1033–9. https://doi.org/10.1016/j.arth.2016.09.038.
27. Assi C, Caton J, Fawaz W, Samaha C, Yammine K. Revision total hip arthroplasty with a Kerboull plate: comparative outcomes using standard versus dual mobility cups. Int Orthop 2019;43:2245–51. https://doi.org/10.1007/s00264-018-4209-z.
28. Darrith B, Courtney PM, Della Valle CJ. Outcomes of dual mobility components in total hip arthroplasty: a systematic review of the literature. Bone Jt J 2018;100-B:11–9. https://doi.org/10.1302/0301-620X.100B1.BJJ-2017-0462.R1.
29. Giacomo P, Giulia B, Valerio P, Vincenzo S, Pierluigi A. Dual mobility for total hip arthroplasty revision surgery: A systematic review and metanalysis. SICOT-J 2021;7:18. https://doi.org/10.1051/sicotj/2021015.
30. Lebeau N, Bayle M, Belahouane R, Chelli M, Havet E, Brunschweiler B, et al. Total hip arthroplasty revision by dual-mobility acetabular cup cemented in a metal reinforcement: a 62 case series at a minimum 5 years? follow-up. Orthop Traumatol Surg Res 2017. https://doi.org/10.1016/j.otsr.2017.04.009.
31. Reina N, Pareek A, Krych AJ, Pagnano MW, Berry DJ, Abdel MP. Dual-Mobility Constructs in Primary and Revision Total Hip Arthroplasty: A Systematic Review of Comparative Studies. J Arthroplasty 2019;34:594–603. https://doi.org/10.1016/j.arth.2018.11.020.
32. Wilson JM, Maradit-Kremers H, Abdel MP, Berry DJ, Mabry TM, Pagnano MW, et al. Comparative Survival of Contemporary Cementless Acetabular Components Following Revision Total Hip Arthroplasty. J Arthroplasty 2023:S0883540323003431. https://doi.org/10.1016/j.arth.2023.03.093.
33. Paprosky WG, Perona PG, Lawrence JM. Acetabular defect classification and surgical reconstruction in revision arthroplasty. J Arthroplasty 1994;9:33–44. https://doi.org/10.1016/0883-5403(94)90135-X.
34. Lygrisse KA, Matzko C, Shah RP, Macaulay W, Cooper JH, Schwarzkopf R, et al. Femoral Neck Notching in Dual Mobility Implants: Is This a Reason for Concern? J Arthroplasty 2021;36:2843–9. https://doi.org/10.1016/j.arth.2021.03.043.
35. The SoFCOT, Prudhon J-L, Desmarchelier R, Hamadouche M, Delaunay C, Verdier R. Causes for revision of dual-mobility and standard primary total hip arthroplasty: Matched case–control study based on a prospective multicenter study of two thousand and forty four implants. Int Orthop 2017;41:455–9. https://doi.org/10.1007/s00264-015-3064-4.
36. Aslanian T. All dual mobility cups are not the same. Int Orthop 2017;41:573–81. https://doi.org/10.1007/s00264-016-3380-3.
37. Wilson JM, Maradit-Kremers H, Abdel MP, Berry DJ, Mabry TM, Pagnano MW, et al. Comparative Survival of Contemporary Cementless Acetabular Components Following Revision Total Hip Arthroplasty. J Arthroplasty 2023;38:S194–200. https://doi.org/10.1016/j.arth.2023.03.093.
38. Yang J, Bryan AJ, Drabchuk R, Tetreault MW, Calkins TE, Della Valle CJ. Use of a monoblock dual-mobility acetabular component in primary total hip arthroplasty in patients at high risk of dislocation. HIP Int 2022;32:648–55. https://doi.org/10.1177/1120700020988469.
39. Leiber-Wackenheim F, Brunschweiler B, Ehlinger M, Gabrion A, Mertl P. Treatment of recurrent THR dislocation using of a cementless dual-mobility cup: A 59 cases series with a mean 8 years’ follow-up. Orthop Traumatol Surg Res 2011;97:8–13. https://doi.org/10.1016/j.otsr.2010.08.003.
40. Gkiatas I, Sharma AK, Greenberg A, Duncan ST, Chalmers BP, Sculco PK. Serum metal ion levels in modular dual mobility acetabular components: A systematic review. J Orthop 2020;21:432–7. https://doi.org/10.1016/j.jor.2020.08.019.
41. Nam D, Salih R, Brown KM, Nunley RM, Barrack RL. Metal Ion Levels in Young, Active Patients Receiving a Modular, Dual Mobility Total Hip Arthroplasty. J Arthroplasty 2017;32:1581–5. https://doi.org/10.1016/j.arth.2016.12.012.
42. Sutter et al. - 2017 - Outcomes of Modular Dual Mobility Acetabular Compo.pdf n.d.
43. Haen TX, Lonjon G, Vandenbussche E. Can cemented dual-mobility cups be used without a reinforcement device in cases of mild acetabular bone stock alteration in total hip arthroplasty? Orthop Traumatol Surg Res 2015;101:923–7. https://doi.org/10.1016/j.otsr.2015.09.027.
44. Wegrzyn J, Saugy C-A, Guyen O, Antoniadis A. Cementation of a Dual Mobility Cup Into an Existing Well-Fixed Metal Shell: A Reliable Option to Manage Wear-Related Recurrent Dislocation in Patients With High Surgical Risk. J Arthroplasty 2020;35:2561–6. https://doi.org/10.1016/j.arth.2020.05.001.
45. Wegrzyn J, Pibarot V, Jacquel A, Carret J-P, Béjui-Hugues J, Guyen O. Acetabular Reconstruction Using a Kerboull Cross-Plate, Structural Allograft and Cemented Dual-Mobility Cup in Revision THA at a Minimum 5-Year Follow-Up. J Arthroplasty 2014;29:432–7. https://doi.org/10.1016/j.arth.2013.05.030.
46. Flecher X, Paprosky W, Grillo J-C, Aubaniac J-M, Argenson J-N. Do tantalum components provide adequate primary fixation in all acetabular revisions? Orthop Traumatol Surg Res 2010;96:235–41. https://doi.org/10.1016/j.otsr.2009.11.014.
47. Tricoire J-L, Puget J, Connes H, Canevet G, Moscovici J, Guittard J. Etude anatomique de l’isthme iliaque, base de fixation cotyloïdienne dans les grandes pertes de substance segmentaires lors des reprises de PTH. Morphologie 2004;88:80. https://doi.org/10.1016/S1286-0115(04)98044-7.
48. Desbonnet P, Connes H, Escare P, Tricoire JL, Trouillas J. Total hip revision using a cup design with a peg to treat severe pelvic bone defects. Orthop Traumatol Surg Res 2012;98:346–51. https://doi.org/10.1016/j.otsr.2012.01.006.
49. Zoccali C, Giannicola G, Zoccali G, Checcucci E, Scotto Di Uccio A, Attala D, et al. The iliac stemmed cup in reconstruction of the acetabular defects secondary to tumor resection: a systematic review of literature. Arch Orthop Trauma Surg 2022;143:3659–67. https://doi.org/10.1007/s00402-022-04639-3.
50. Bengoa F, Howard LC, Neufeld ME, Garbuz DonaldS. Malseating of Modular Dual Mobility Liners: High Prevalence in Revision Total Hip Arthroplasty. J Arthroplasty 2023:S0883540323003443. https://doi.org/10.1016/j.arth.2023.03.094.
51. Guntin J, Plummer D, Della Valle C, DeBenedetti A, Nam D. Malseating of modular dual mobility liners. Bone Jt Open 2021;2:858–64. https://doi.org/10.1302/2633-1462.210. BJO-2021-0124.R1.
52. Siljander MP, Gausden EB, Wooster BM, Karczewski D, Sierra RJ, Trousdale RT, et al. Liner malseating is rare with two modular dual-mobility designs. Bone Jt J 2022;104-B:598–603. https://doi.org/10.1302/0301-620X.104B5. BJJ-2021-1734.R1.
53. Wegrzyn J, Thoreson AR, Guyen O, Lewallen DG, An K-N. Cementation of a dual-mobility acetabular component into a well-fixed metal shell during revision total hip arthroplasty: A biomechanical validation. J Orthop Res 2013;31:991–7. https://doi.org/10.1002/jor.22314.
54. Strahl A, Boese CK, Ries C, Hubert J, Beil FT, Rolvien T. Outcome of different reconstruction options using allografts in revision total hip arthroplasty for severe acetabular bone loss: a systematic review and meta-analysis. Arch Orthop Trauma Surg 2023. https://doi.org/10.1007/s00402-023-04843-9.
55. Romagnoli M, Casali M, Zaffagnini M, Cucurnia I, Raggi F, Reale D, et al. Tricalcium Phosphate as a Bone Substitute to Treat Massive Acetabular Bone Defects in Hip Revision Surgery: A Systematic Review and Initial Clinical Experience with 11 Cases. J Clin Med 2023;12:1820. https://doi.org/10.3390/jcm12051820.
56. Assi C, Caton J, Aslanian T, Samaha C, Yammine K. The cross technique for the positioning of Kerboull plate in acetabular reconstruction surgery. SICOT-J 2018;4:20. https://doi.org/10.1051/sicotj/2018012.
57. Bozon O, Dagneaux L, Sanchez T, Gaillard F, Hamoui M, Canovas F. Influence of dual-mobility acetabular implants on revision and survivorship of cup and Kerboull-type reinforcement ring constructs in aseptic acetabular loosening. Orthop Traumatol Surg Res OTSR 2022;108:103071. https://doi.org/10.1016/j.otsr.2021.103071.
58. Mohaddes M, Cnudde P, Rolfson O, Wall A, Kärrholm J. Use of dual-mobility cup in revision hip arthroplasty reduces the risk for further dislocation: analysis of seven hundred and ninety one first-time revisions performed due to dislocation, reported to the Swedish Hip Arthroplasty Register. Int Orthop 2017;41:583–8. https://doi.org/10.1007/s00264-016-3381-2.
59. Unter Ecker N, Kocaoğlu H, Zahar A, Haasper C, Gehrke T, Citak M. What Is the Dislocation and Revision Rate of Dual-mobility Cups Used in Complex Revision THAs? Clin Orthop 2021;479:280–5. https://doi.org/10.1097/CORR.0000000000001467.
60. Vives P, Lestang M, Paclot R, Cazeneuve J. Le descellement aseptique: définitions, classifications. Rev Chir Orthop 1989:9—31.
61. Beckmann NA, Weiss S, Klotz MCM, Gondan M, Jaeger S, Bitsch RG. Loosening After Acetabular Revision: Comparison of Trabecular Metal and Reinforcement Rings. A Systematic Review. J Arthroplasty 2014;29:229–35. https://doi.org/10.1016/j.arth.2013.04.035.
62. Abolghasemian M, Tangsataporn S, Sternheim A, Backstein D, Safir O, Gross AE. Combined trabecular metal acetabular shell and augment for acetabular revision with substantial bone loss: A mid-term review. Bone Jt J 2013;95-B:166–72. https://doi.org/10.1302/0301-620X.95B2.30608.
63. Hasart O, Perka C, Lehnigk R, Tohtz S. Rekonstruktion größerer Pfannendefekte mit metallischen Augmentaten – Trabecular Metal Technology. Oper Orthop Traumatol 2010;22:268–77. https://doi.org/10.1007/s00064-010-8026-9.
64. Bellova P, Reich M-C, Grothe T, Günther K-P, Stiehler M, Goronzy J. Treatment of Severe Acetabular Defects With an Antiprotrusio Cage and Trabecular Metal Augments - Clinical and Radiographic Results After a Mean Follow-Up of 6.6 Years. J Arthroplasty 2023:S0883540323005788. https://doi.org/10.1016/j.arth.2023.05.054.
65. Citak M, Kochsiek L, Gehrke T, Haasper C, Suero EM, Mau H. Preliminary results of a 3D-printed acetabular component in the management of extensive defects. HIP Int 2018;28:266–71. https://doi.org/10.5301/hipint.5000561.
66. Weber M, Witzmann L, Wieding J, Grifka J, Renkawitz T, Craiovan B. Customized implants for acetabular Paprosky III defects may be positioned with high accuracy in revision hip arthroplasty. Int Orthop 2019;43:2235–43. https://doi.org/10.1007/s00264-018-4193-3.
67. Chiarlone F, Zanirato A, Cavagnaro L, Alessio-Mazzola M, Felli L, Burastero G. Acetabular custom-made implants for severe acetabular bone defect in revision total hip arthroplasty: a systematic review of the literature. Arch Orthop Trauma Surg 2020;140:415–24. https://doi.org/10.1007/s00402-020-03334-5.
68. Di Laura A, Henckel J, Hart A. Custom 3D-Printed Implants for Acetabular Reconstruction: Intermediate-Term Functional and Radiographic Results. JBJS Open Access 2023;8. https://doi.org/10.2106/JBJS.OA.22.00120.
69. Durand-Hill M, Henckel J, Di Laura A, Hart AJ. Can custom 3D printed implants successfully reconstruct massive acetabular defects? A 3D-CT assessment. J Orthop Res 2020;38:2640–8. https://doi.org/10.1002/jor.24752.
70. Di Laura A, Henckel J, Dal Gal E, Monem M, Moralidou M, Hart AJ. Reconstruction of acetabular defects greater than Paprosky type 3B: the importance of functional imaging. BMC Musculoskelet Disord 2021;22:207. https://doi.org/10.1186/s12891-021-04072-4.
71. Hernigou P, Ratte L, Roubineau F, Pariat J, Mirouse G, Guissou I, et al. The risk of dislocation after total hip arthroplasty for fractures is decreased with retentive cups. Int Orthop 2013;37:1219–23. https://doi.org/10.1007/s00264-013-1911-8.
72. Letissier H, Barbier A, Tristan L, Dubrana F, Lefèvre C, Clavé A. Long-term survival of the Lefèvre retentive cup: 12-year follow-up analysis of 466 consecutive cases. Orthop Traumatol Surg Res 2022;108:103173. https://doi.org/10.1016/j.otsr.2021.103173.