Epidemiology of revision of total hip arthroplasty in France: a multicentre case series of 963 patients
Background: The incidence of total hip arthroplasty (THA) is increasing due to an aging population and expanded indications. Projections indicate a substantial rise in primary and revision procedures in France by 2050. Revision surgery presents significant clinical challenges, including higher complication rates and increased costs compared to primary arthroplasty.
Objective: This multicenter study aimed to analyze the epidemiology of THA revision in France and identify specific risk factors associated with revision failure, defined as subsequent re-operation or re-revision.
Key Points: A retrospective cohort of 963 patients was evaluated between 2015 and 2021. The overall failure rate was 14%, with infection accounting for 53% of these cases. Primary indications for revision included aseptic loosening (35.6%), periprosthetic fracture (32%), and prosthetic joint infection (15.2%). Statistical analysis identified younger age, revision iteration beyond the first (R>1), and initial etiologies of infection or dislocation as significant risk factors for failure. The use of constrained liners and acetabular reinforcement devices was also associated with higher failure rates. Conversely, dual mobility components demonstrated a protective effect against failure, particularly in revisions performed for periprosthetic fractures. In revisions for dislocation, the failure rate reached 29%, primarily due to recurrent instability.
Conclusion: Infection remains the predominant cause of failure following THA revision. To optimize clinical outcomes and reduce the risk of instability, the routine use of dual mobility constructs is recommended in revision settings, including those involving periprosthetic fractures.
Introduction
Total hip arthroplasty surgery is continuously on the rise due to a broadening of the indications and the ageing population. Surgery is being performed on younger and younger, more active and more demanding patients [1] Kurtz SM, Lau E, Ong K, Zhao K, Kelly M, Bozic KJ. Future Young Patient Demand for Primary and Revision Joint Replacement: National Projections from 2010 to 2030. Clin Orthop Relat Res. oct 2009;467(10):2606 12. . While the initial goal of total hip arthroplasty was to relieve pain in an elderly population in end-stage hip osteoarthritis, the emphasis has shifted so that today the challenge is for the patient to be able to resume sporting activities [2], Ollivier M, Frey S, Parratte S, Flecher X, Argenson JN. Pre-operative function, motivation and duration of symptoms predict sporting participation after total hip replacement. Bone Jt J. août 2014;96-B(8):1041 6. [3] Hoorntje A, Janssen KY, Bolder SBT, Koenraadt KLM, Daams JG, Blankevoort L, et al. The Effect of Total Hip Arthroplasty on Sports and Work Participation: A Systematic Review and Meta-Analysis. Sports Med Auckl Nz. 2018;48(7):1695 726. and forget about their implant [4] Hamilton DF, Loth FL, Giesinger JM, Giesinger K, MacDonald DJ, Patton JT, et al. Validation of the English language Forgotten Joint Score-12 as an outcome measure for total hip and knee arthroplasty in a British population. Bone Jt J. févr 2017;99-B(2):218 24. .
In France, between 2012 and 2018 the number of total hip arthroplasties (THA) performed rose by 10.5% with 150,060 primary surgeries and 19,457 revisions in 2018. Based on data from the French hospital discharge database (PMSI) and the characteristics of the French population, it is estimated that the number of interventions could see an increase of up to 98.3% between now and 2050 [5] Erivan R, Villatte G, Dartus J, Reina N, Descamps S, Boisgard S. Progression and projection for hip surgery in France, 2008-2070: Epidemiologic study with trend and projection analysis. Orthop Traumatol Surg Res OTSR. 2019;105(7):1227 35. bringing the numbers to around 300,000 primary THA per year. A 43% increase in revisions is predicted, equating to around 28,000 procedures per year. While the main national implant registries now provide reliable data on THA outcomes, they do not exhaustively document revisions due to reasons of numbers, chronology and the difficulty of linking a revision to a primary surgery [6] Prokopetz JJ, Losina E, Bliss RL, Wright J, Baron JA, Katz JN. Risk factors for revision of primary total hip arthroplasty: a systematic review. BMC Musculoskelet Disord. 15 déc 2012;13:251.. Another difficulty results from the mix of terminology used, whether “revision”, “re-operation” or even “re-intervention” [7] de Steiger RN, Lewis PL, Harris I, Lorimer MF, Graves SE. What Is the Outcome of the First Revision Procedure of Primary THA for Osteoarthritis? A Study From the Australian Orthopaedic Association National Joint Replacement Registry. Clin Orthop. oct 2022;480(10):1952 70. . There have generally been few studies looking at all-cause THA revision outcomes and epidemiology, and certainly not in France.
In 2013, Delaunay et al. reported on a multicentre case series that looked at 2,107 cases of revision of primary THA. The leading cause of revision reported was still loosening (42%), but a significant increase was noted in revisions due to periprosthetic fracture (12%) and a fall in revisions due to dislocation (10%) [8] Delaunay C, Hamadouche M, Girard J, Duhamel A; SoFCOT Group. What are the causes for failures of primary hip arthroplasties in France? Clin Orthop Relat Res. 2013 Dec;471(12):3863-9. doi: 10.1007/s11999-013-2935-5. PMID: 23529633; PMCID: PMC3825891..
Revision surgery is associated with more complications than primary surgery [9], Bohl DD, Samuel AM, Basques BA, Della Valle CJ, Levine BR, Grauer JN. How Much Do Adverse Event Rates Differ Between Primary and Revision Total Joint Arthroplasty? J Arthroplasty. mars 2016;31(3):596 602. [10] Boddapati V, Fu MC, Tetreault MW, Blevins JL, Richardson SS, Su EP. Short-term Complications After Revision Hip Arthroplasty for Prosthetic Joint Infection Are Increased Relative to Noninfectious Revisions. J Arthroplasty. sept 2018;33(9):2997 3002. leading to greater costs [11] Nichols CI, Vose JG. Clinical Outcomes and Costs Within 90 Days of Primary or Revision Total Joint Arthroplasty. J Arthroplasty. juill 2016;31(7):1400-1406.e3. because of the increased length of stay, discharge more commonly to a rehabilitation and continued care unit than to home and an up to 5-fold higher rate of re-revision [12], Schwartz AM, Farley KX, Guild GN, Bradbury TL. Projections and Epidemiology of Revision Hip and Knee Arthroplasty in the United States to 2030. J Arthroplasty. juin 2020;35(6):S79 85. [13] Ong KL, Lau E, Suggs J, Kurtz SM, Manley MT. Risk of Subsequent Revision after Primary and Revision Total Joint Arthroplasty. Clin Orthop. nov 2010;468(11):3070 6. . For these reasons, it seems essential to understand why these revisions fail so that we can identify the areas of greater risk and prepare ourselves as well as possible for the current rise, and the rise to come, in revisions.
The main objective of this study is to analyse the epidemiology of THA revision in France, regardless of the aetiology and the revision iteration in order to identify the risk factors for failed revision. The secondary objective is to analyse the revision strategy in terms of the initial aetiology in primary revisions (R1), focusing on the four main aetiologies for revision: loosening, periprosthetic fracture, infection and dislocation.
Method
A retrospective, multicentre cohort study was carried out across three teaching hospitals in France (CHU Nîmes, CHU Lyon Sud, CHU Lyon Croix Rousse) where hip implant surgery is performed, including both primary and revision surgery. Every patient who had a revision total hip arthroplasty for any reason with a minimum of 1 year of post-operative follow-up was enrolled consecutively between 2021 and 2015.
We excluded cases of partial hip arthroplasty (hemiarthroplasty), revisions of partial hip arthroplasty for any reason, isolated repair of periprosthetic fracture, implants after failure of fracture repair, lavage without replacing the bearing surfaces and re-operations for any cause.
Revision was defined as a replacement of all or a part of the fixed implant structure. Re-operation was defined as any new event in the operating theatre, such as evacuation of a haematoma, periprosthetic fracture repair, iliopsoas tendon release, arthroscopic management of impingement or dislocation reduction. Re-revision was defined as a repeated revision of a failed surgery. The iteration of revision was defined as R1 for the first revision, R2 for the second revision, and so on for R≥3.
The data used were from each hospital’s PMSI registry, using the following CCAM common medical coding: NEKA001, NEKA002, NEKA003, NEKA004, NEKA005, NEKA006, NEKA007, NEKA008, NEKA009, NELA001 and NELA002.
A senior surgeon directed data collection at each of the sites using a revision form drawn up by a committee of experts, to constitute a shared database. Surgical reports, radiography and medical records were reviewed to obtain the following information: patient demographic data, year of initial THA, revision iteration (R1, R2, R≥3), aetiology for revision, type of revision (one or two component revision or revision of the moving parts), surgical strategy (approach, implant type, fixation, bearing surfaces, graft), complications, re-operations, re-revisions and deaths.
The causes for revision were categorised as loosening (including wear osteolysis), periprosthetic fracture, infection, dislocation, adverse reaction to metal debris (ARMD), implant fracture, component malpositioning and leg length discrepancy (LLD), implant or soft tissue impingement, fixation abnormality, heterotopic ossification and noise.
Complications were categorised on the basis of whether they occurred during surgery, early (< 1 year) or late (> 1 year); the same categorisation was applied to early or late (< 1 year or > 1 year) re-revisions, re-operations and deaths.
The initial analysis looked at the entire case series to identify risk factors for failure, defined as re-operation or re-revision. To this end, the variables of interest were compared between two groups of patients: those who had presented a failure and those who had not. A second analysis looked at primary revisions (R1) to determine the typology of patients and of revision surgery strategy by four subgroups according to the initial aetiology for revision: fracture, loosening, infection and dislocation.
The primary endpoint in the full case series was failure.
The secondary endpoint was failure by aetiology for revision and surgical strategy in primary revisions (R1).
EasyMedStat© version 3.27 was used for the statistical analysis. The numerical variables were expressed as means (± standard deviations) and the discrete variables as absolute and relative frequencies (%). Two groups were created for the items “re-revision and re-operation”. The comparability of the groups was assessed by comparing the baseline demographic data. The Shapiro-Wilk test was used to assess normality and the Levene test was used to test homogeneity of variance. The continuous results were assessed using an unmatched Student’s t test, Welch’s t test or the Mann-Whitney U test, depending on the distribution of the data. The discrete results were compared using a Chi2 test or Fischer’s exact test, depending on the sample number. A 5% alpha risk was set and two-tailed tests were used.
Results
General statistical picture
963 patients who had THA revision surgery between 2021 and 2015 were ultimately enrolled. The mean age was 72 years ± 13.2 (14; 104), the sex ratio 0.81 with 55% women, mean BMI was 26.2 kg/m2 ± 5.3 [12.4; 50], mean year of index THA was 2007 [1976; 2021] and mean time to revision was 11.1 years ± 9.8 [0; 45]. The distribution across the hospital sites is shown in the following diagram: 435 patients from Nîmes (45.2%), 305 from Lyon Sud (31.7%) and 223 from Lyon Croix Rousse (23.1%). (Table 1)

There were 664 R1 primary revisions (69%), 196 R2 second revisions (20.3%) and 103 R≥3 third or later revisions (10.7%). (Table 2)

Both components were revised in 53% of cases. (Table 3)

Other causes (111, or 11.5%) divided as follows: (Table 4)

- Soft tissue or component impingement (34, or 3.5%)
- Fixation abnormalities (28, or 2.9%)
- Component malpositioning including LLD (20, or 2.1%)
- Implant fractures (14, or 1.5%)
- Adverse reaction to metal debris ARMD (12, or 1.2%)
- Noise (2, or 0.2%)
- Heterotopic ossification (1, or 0.1%)
Main analysis of failure
135 patients who underwent re-operation or re-revision were considered as having failed revisions, which gives a 14% failure rate for the whole case series. The cause of failure was infection in 53% of cases, 61% of which were “new infections”, meaning that patients underwent revision for a reason other than infection, but the revision was complicated by infection. This was the main cause of failure for all initial aetiologies for revision, except for revisions for dislocation, in which repeated dislocation (43.7%) was the main cause of failure.
The failure mode was early re-revision in 70% of cases. Out of these patients, 19 out of 94 presented with a subsequent complication, equating to a repeated failure rate of 20% for re-revisions in the first year. In 58% of cases, infection was the cause of repeated failure.
The failure rate by aetiology of initial revision, failure mode and cause of failure is set out in Table 5.

There were 38 perioperative complications (8 false passages and 30 fractures). Six (1 false passage and 5 fractures) were followed by failure, while 32 were not (p = 0.64).
These 135 patients with failed revisions were compared to the 828 other patients in terms of the variables of interest in order to determine the risk factors for failure of revision. (Table 6)


Young age (p = 0.019), iteration of revision > R1 (p < 0.001), the aetiologies infection and dislocation (p < 0.001), use of a constrained cup (p < 0.001) and an acetabular reinforcement device (p = 0.011), and the onset of early complications (p < 0.001) and late complications (p < 0.001) have been identified as risk factors for failure of revision. BMI, type of revision, approach route, trochanteric osteotomy, implant fixation, femoral implant, bone graft, bearing surfaces and perioperative complications were not found to have any impact. Nor was there any link between failure and death.
Subgroup analysis of 664 R1 revisions
1. Periprosthetic fractures
There were 286 R1 revisions due to periprosthetic fractures (43.1%), and these were compared to the 378 R1 revisions for other causes. In the fractures population, there were more women (p = 0.008), the mean time to revision was 8.7 years (p = 0.036) with a median time of 7 years, the mean age was higher (81 years; p < 0.001), weight and BMI were lower (p < 0.001), revisions were usually both components (58%) or femur only (34%) (p < 0.001), a long stem was used in 89% of cases (p < 0.001) that was cementless (p < 0.001) and locked in 39% of cases (p < 0.001), with no trochanteric osteotomy (p = 0.005) or graft (p < 0.001).
R1 revision due to periprosthetic fracture was associated with a lower rate of perioperative complications (p = 0.045), but a higher rate of death than with other causes (10% as against 1.6% p < 0.001), especially in the first year.
There was no difference in terms of early or late complications, or failure (re-operation, re-revision).
An analysis of failures in terms of the revision strategy for R1 for fractures showed that neither revision type, femoral implant nor bearing surfaces chosen had an impact on failure. However, there was a higher failure rate with a standard cup than with a dual mobility cup (20.5% as against 8.1%; p = 0.036). (Table 7)


Examples of revision for periprosthetic fracture (PPF)
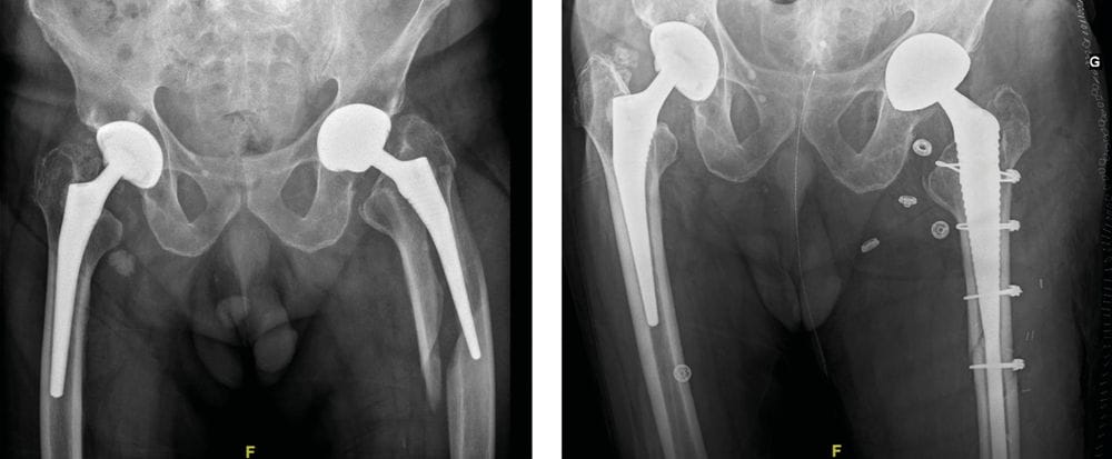
Case report n°1 (Figure 1)

- PPF at the cementless pivot (Vancouver B2)
- Two component revision: cementless monoblock long stem non-locking, fracture repair with cerclage wiring
- Dual mobility cup
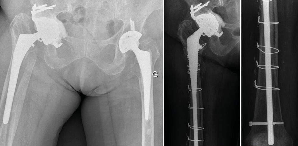
Case report n°2 (Figure 2)

PPF at the cementless pivot (Vancouver B2) after acetabulum-only revision
Femur-only revision: cementless monoblock long stem Locking stem, fracture repair with cerclage wiring.
2. Loosening
There were 199 R1 revisions due to loosening (30%), and these were compared to the 465 R1 revisions for other causes. In the loosening population, patients were younger at revision (69 years; p < 0.001), the mean time to revision was 15.2 years (p < 0.001) with a median time of 15 years, weight and BMI were higher (p = 0.045 and p = 0.033 respectively), revisions were acetabulum only (50%) or both components (42%) (p < 0.001), using acetabular reinforcement and a cemented cup in 26% of cases (p < 0.001) together with a bone graft (p < 0.001), and a standard stem was used in 63% of cases (p > 0.001).
There was no difference in terms of complications, failure, (re-operation, re-revision) or deaths.
An analysis of failures in terms of the revision strategy in R1 for loosening found that neither revision type, femoral implant, acetabular implant nor bearing surfaces chosen had an impact on failure. (Table 8)


Examples of revision for loosening
Case report n°3
Female aged 65 at the consultationHistory of the illness:
- 1973: Fractured acetabulum. Fracture repair
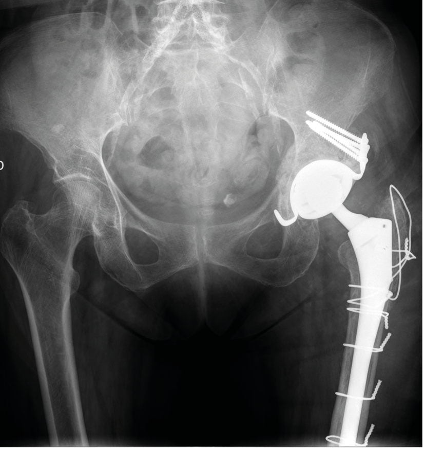
- 1975: THA, complicated by dislocations
- 2000: First revision (R1) in 2 stages due to chronic infection: Kerboull cross-plate + cemented stem (Figure 3)

Clinical examination:
- Groin pain
- Unable to weight-bear
- -8 cm
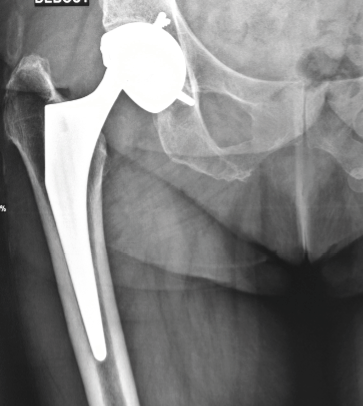
Case report n°4 (Figure 4)
- Paprosky stage 3A acetabular loosening
- Charnley monoblock femoral stem
- Femoral osteolysis in zone 6–7

Case report n°5 (Figure 5)
- Two-stage two component revision.
- 1 year post-surgery (Figure 6)
- LLD -5 cm
- Walks with a stick
- Slight limp TDB
- MF 3/5


3. Infection
There were 66 R1 revisions due to infection (9.9%), and these were compared to the 598 R1 revisions for other causes. In the infection population, patients were younger at revision (70 years; p = 0.003), the mean time to revision was 5.3 years (p < 0.001) with a median time of 2.5 years, weight and BMI were higher (p = 0.04 and p = 0.024 respectively), both components were revised in 80% of cases and moving parts in 14% (p < 0.001), a trochanteric osteotomy or a bone window were performed in 15% of cases (p < 0.001), the femoral component was cemented in 20% of cases (p = 0.005), and acetabular reinforcement was rarely used (p = 0.018).
R1 revision for infection was associated with a higher failure rate (p = 0.042), especially in the first year (18%). There was no difference in terms of complications or deaths.
An analysis of failures in terms of the revision strategy in R1 for infection found that neither revision type, femoral implant, acetabular implant, bearing surfaces nor trochanteric osteotomy had an impact on failure.


Example of revision due to infection
Case report n°6
A 67-year-old female Left THA in 2006, osteonecrosis
- A 2-month history of hip pain
- Report of foot wound 4 months previously complicated by erysipelas treated with oral amoxicillin
- No fever
- WBC 3000, CRP 52
- Bacteraemia MSSA
- Subacute sepsis assumed to be of haematogenous origin
- Course unclear
- Acetabular loosening with implant migration? (Figure 7)

One-stage revision: (Figure 8)
- Acetabular reconstruction with Kerboull cross-plate + bone graft
- Femoral window fixed with cerclage wiring
- Locking long stem and weight-bearing from day 1
- MSSA treated with Oflocet + Rifadin

Recurrence of acute infection after 1 month: (Figure 9)
- Lavage and revision of moving parts
- Negative cultures on ATB
- Treatment with IV Claforan + Daptomycin via PICC line for 3 months
- Follow-up at 18 months OK

4. Dislocation
There were 31 R1 revisions due to dislocation (4.7%), and these were compared to the 633 R1 revisions for other causes. In the dislocation population, patients were younger at revision (65 years; p < 0.001), the mean time to revision was 6.1 years (p = 0.009) with a median time of 4 years, the acetabulum only was revised in 71% of cases (p < 0.001), with no bone graft (p = 0.008), and a standard non-locking stem was left in place (p > 0.001).
R1 revision due to dislocation was associated with a higher rate of late re-revision (10% as against 1.7%; p = 0.037). There was no difference in terms of complications or deaths.
An analysis of failures in terms of the revision strategy in R1 for dislocation found that neither revision type, femoral implant, acetabular implant nor bearing surfaces chosen had an impact on failure.


Example of revision due to dislocation
Case report n° 7
82-year-old female Fractured neck of femur while cross-country skiing

- Hemiarthroplasty
- 3 early dislocations
- Single component revision R1 conversion to dual mobility THA
- 2 further episodes of dislocation reduced under GA
- Feels like hip is clicking ever since last dislocation
Two component revision (R2) (Figures 11 & 12)


Infection on D15:
- Debridement, moving parts changed, antibiotics
- Radiography after 1 year
- Walking unrestricted with a stick (has stopped cross-country skiing)
Discussion
The analysis of this multicentre cohort of 963 patients who underwent THA revision surgery in France between 2021 and 2015 found a failure rate of 14%. The cause of failure was infection in 53% of cases. The failure mode was early re-revision in 70% of cases. The rate of repeated failure with re-revision in the first year was 20%, and the cause of repeated failure was infection in 58% of cases.
A younger age (p = 0.019), revision iteration > R1 (p < 0.001), the aetiologies of infection and dislocation (p < 0.001), choosing a standard or constrained cup over a dual mobility cup (p < 0.001), use of an acetabular reinforcement device (p = 0.011), and early complications (p < 0.001) or late complications (p < 0.001) were identified as risk factors for failure.
BMI, type of revision, approach route, trochanteric osteotomy, implant fixation, femoral implant, bone graft, bearing surfaces and perioperative complications were not found to have any impact. Nor was there any link between failure and death.
The subgroup analysis of revision strategy in terms of initial aetiology for revision in the population of 664 R1 primary revisions found that the R1 for fractures subgroup had a higher failure rate with a standard cup than with a dual mobility cup (20.5% as against 8.1%; p = 0.036). R1 revision due to periprosthetic fracture was associated with a lower rate of perioperative complications (p = 0.045), but a higher death rate than in the other causes (10% as against 1.6% p < 0.001), especially during the first year. R1 revision for infection was associated with a higher failure rate (p = 0.042), especially in the first year (18%). R1 revision due to dislocation was associated with a higher rate of late re-revision (10% as against 1.7%; p = 0.037).
The revision type, femoral implant and bearing surfaces chosen were not found to have any impact on failure, and this applied irrespective of aetiology.
This is the first multicentre study in France to closely examine all-cause THA revision and failure. It presents a case series of 963 revisions, 664 of which were R1 primary revisions, which is representative of the typical workload in French teaching hospitals, with both junior and senior surgeons. The mean age of revision was 71 years and 55% of the population were women, findings that are identical to those seen by teams in Australia [7] de Steiger RN, Lewis PL, Harris I, Lorimer MF, Graves SE. What Is the Outcome of the First Revision Procedure of Primary THA for Osteoarthritis? A Study From the Australian Orthopaedic Association National Joint Replacement Registry. Clin Orthop. oct 2022;480(10):1952 70. and Italy [14] Longo UG, Papalia R, Salvatore G, Tecce SM, Jedrzejczak A, Marcozzi M, et al. Epidemiology of revision hip replacement in Italy: a 15-year study. BMC Surg. 4 oct 2022;22(1):355. . The main causes for revision were loosening (including wear osteolysis) in 35.6% of cases, followed by periprosthetic fracture in 32%, infection in 15.2% and dislocation in 5.7%.
Loosening was found to be the leading aetiology for revision in the literature, accounting for 53% and 49% of cases in registries from England and Sweden, and 22.3% in a literature review of 9,952 cases [15] Kenney C, Dick S, Lea J, Liu J, Ebraheim NA. A systematic review of the causes of failure of Revision Total Hip Arthroplasty. J Orthop. sept 2019;16(5):393 5. . In the USA, dislocation has long been the leading aetiology for revision accounting for 22.5% of 51,345 revisions according to Bozic et al. [16] Bozic KJ, Kurtz SM, Lau E, Ong K, Vail TP, Berry DJ. The epidemiology of revision total hip arthroplasty in the United States. J Bone Joint Surg Am. janv 2009;91(1):128 33. , which could potentially be attributed to the fact that the dual mobility cup was only approved by the FDA in 2009. A few years later, Badarudeen et al. [17] Badarudeen S, Shu AC, Ong KL, Baykal D, Lau E, Malkani AL. Complications After Revision Total Hip Arthroplasty in the Medicare Population. J Arthroplasty. juin 2017;32(6):1954 8. again found that loosening was the main aetiology for revision at 40.7% of 3,555 cases. They also found a repeated failure rate of 15.8%, close to the results in our case series, with the leading causes of re-revision being infection and dislocation.
Infection ranked as the main aetiology for revision in Australia at 22.7%, the second in Sweden at 21.5% and in Italy at 10.5% [14] Longo UG, Papalia R, Salvatore G, Tecce SM, Jedrzejczak A, Marcozzi M, et al. Epidemiology of revision hip replacement in Italy: a 15-year study. BMC Surg. 4 oct 2022;22(1):355. , the third in France at 15.2% and in the USA at 11.3% [16], Bozic KJ, Kurtz SM, Lau E, Ong K, Vail TP, Berry DJ. The epidemiology of revision total hip arthroplasty in the United States. J Bone Joint Surg Am. janv 2009;91(1):128 33. [17] Badarudeen S, Shu AC, Ong KL, Baykal D, Lau E, Malkani AL. Complications After Revision Total Hip Arthroplasty in the Medicare Population. J Arthroplasty. juin 2017;32(6):1954 8. . In our case series it was the leading cause for re-revision, although the sites may have had an effect since Nîmes and Lyon Croix Rousse Hospitals are referral centres for complex bone and joint infections (CRIOAC). Jafari et al. [18] Jafari SM, Coyle C, Mortazavi SMJ, Sharkey PF, Parvizi J. Revision Hip Arthroplasty: Infection is the Most Common Cause of Failure. Clin Orthop. août 2010;468(8):2046 51. also found infection to be the leading cause of revision failure. More recently, Schwartz et al. reported a 65% increase in the number of revisions due to infection over the past 10 years [12] Schwartz AM, Farley KX, Guild GN, Bradbury TL. Projections and Epidemiology of Revision Hip and Knee Arthroplasty in the United States to 2030. J Arthroplasty. juin 2020;35(6):S79 85. . A study of the Nordic registry, however, found that the rate of revision due to infection had doubled in the past 15 years [19] Dale H, Fenstad AM, Hallan G, Overgaard S, Pedersen AB, Hailer NP, et al. Increasing risk of revision due to infection after primary total hip arthroplasty: results from the Nordic Arthroplasty Register Association. Acta Orthop. 27 juin 2023;94:307 15. , occurring mainly in the first 3 months after surgery, findings that are backed up by the English registry [20] Lenguerrand E, Whitehouse MR, Beswick AD, Jones SA, Porter ML, Blom AW. Revision for prosthetic joint infection following hip arthroplasty: Evidence from the National Joint Registry. Bone Jt Res. juin 2017;6(6):391 8. . More generally, Brochin et Kurtz reported an increase in the rate of implant infections [21], Brochin RL, Phan K, Poeran J, Zubizarreta N, Galatz LM, Moucha CS. Trends in Periprosthetic Hip Infection and Associated Costs: A Population-Based Study Assessing the Impact of Hospital Factors Using National Data. J Arthroplasty. juill 2018;33(7S):S233 8. [22] Kurtz SM, Lau EC, Son MS, Chang ET, Zimmerli W, Parvizi J. Are We Winning or Losing the Battle With Periprosthetic Joint Infection: Trends in Periprosthetic Joint Infection and Mortality Risk for the Medicare Population. J Arthroplasty. oct 2018;33(10):3238 45., possibly due to an improved understanding of the pathophysiology and more routine investigation looking for less aggressive bacteria such as staphylococcus epidermidis and cutibacterium acnes, as infection with these has probably been previously underestimated [19] Dale H, Fenstad AM, Hallan G, Overgaard S, Pedersen AB, Hailer NP, et al. Increasing risk of revision due to infection after primary total hip arthroplasty: results from the Nordic Arthroplasty Register Association. Acta Orthop. 27 juin 2023;94:307 15. . In this respect, Renard et al. reported an occult infection rate of 7% in cases of revision that had been thought to be aseptic [23] Renard G, Laffosse JM, Tibbo M, Lucena T, Cavaignac E, Rouvillain JL, et al. Periprosthetic joint infection in aseptic total hip arthroplasty revision. Int Orthop. avr 2020;44(4):735 41. .
With the rise of the X3 polyethylene insert, the use of femoral heads 36mm or larger and the very widespread use of dual mobility cups (88%), dislocation has today fallen to the fourth cause of revision in France (5.7%). This is borne out in our case series, in which we found the dual mobility cup to have a protective effect against failure overall (p < 0.001) and against failure in primary revision due to periprosthetic fracture (p = 0.036). The recent literature, including from the USA, is in agreement that using a dual mobility cup in revision drastically reduces the rate of dislocation after revision [24], Abdel MP. Dual-Mobility Constructs in Revision Total Hip Arthroplasties. J Arthroplasty. mai 2018;33(5):1328 30. [25] Grace TR, Goh GS, Lee GC, Kamath AF, Kurtz SM, Courtney PM. Dual Mobility Reduces Dislocations—Why I Use It in All Revisions. J Arthroplasty. juill 2021;36(7):S63 9. without increasing the risks of loosening due to wear of the PE insert [26] Schmidt A, Batailler C, Fary C, Servien E, Lustig S. Dual Mobility Cups in Revision Total Hip Arthroplasty: Efficient Strategy to Decrease Dislocation Risk. J Arthroplasty. févr 2020;35(2):500 7. or of infection [27] Prudhon JL, Desmarchelier R, Hamadouche M, Delaunay C, Verdier R. Is dual mobility associated with an increased risk of revision for infection? Matched cohort of 231 cases of dual-mobility cups and 231 fixed cups. Hip Int J Clin Exp Res Hip Pathol Ther. mars 2018;28(2):200 4. . There is one complication specific to dual mobility cups, intraprosthetic dislocation, which De Martino et al. looked at in a recent literature review of 5,064 revisions, and found that the rate of intraprosthetic dislocation was 1.3% compared to an overall dislocation rate of 3% [28] De Martino I, D'Apolito R, Waddell BS, McLawhorn AS, Sculco PK, Sculco TP. Early intraprosthetic dislocation in dual-mobility implants: a systematic review. Arthroplast Today. 2017 Feb 5;3(3):197-202. doi: 10.1016/j.artd.2016.12.002. PMID: 28913407; PMCID: PMC5585769.. In our case series of 963 revisions, there were two cases of intraprosthetic dislocation (0.2%) out of an overall dislocation rate of 2.5%. In both of these cases a Stryker Modular Dual Mobility system was used (MDM®X3®).
In cases of revision due to dislocation, however, the failure rate was 29%, 43.7% of which were caused by recurrent dislocation, which almost exclusively affected repeated revisions due to chronic instability, and this was the case in spite of the use of a dual mobility cup. These results are consistent with those seen in the literature, which report a recurrent dislocation rate of 21–39% in cases of revision due to dislocation [29] Jo S, Jimenez Almonte JH, Sierra RJ. The Cumulative Risk of Re-dislocation After Revision THA Performed for Instability Increases Close to 35% at 15years. J Arthroplasty. juill 2015;30(7):1177 82. , with the risk factors for failure being a history of chronic instability and a higher number of hip surgeries on the affected hip, leading to hip abductor deficiency [30] Huten D, Fournier Y, Gicquel T, Bertho P, Basselot F, Hamadouche M. Risk factors for dislocation after revision total hip arthroplasty with a dual-mobility cup. Matched case-control study (16 cases vs. 48 controls). Orthop Traumatol Surg Res. nov 2019;105(7):1303 9. . While use of a constrained cup protects against dislocation, it was associated with a higher failure rate in our case series (60%; p < 0.001), with the leading causes being infection and loosening. Here, there is likely to be bias introduced in the analysis, due to the fact that use of a constrained cup or acetabular reinforcement device is dictated by preoperative conditions that are already complex, such as repeated revisions or bone loss, and it is expected that the results will not be as good as those of an uncomplicated revision.
Finally, periprosthetic fracture seems to be less common in the international literature. Yet it is the second cause of revision in our case series at 32%, the third in Australia at 21.8% and the fourth in Sweden at 9.2%. A previous multicentre study in France [31] Ehlinger M, Delaunay C, Karoubi M, Bonnomet F, Ramdane N, Hamadouche M. Revision of primary total hip arthroplasty for peri-prosthetic fracture: A prospective epidemiological study of 249 consecutive cases in France. Orthop Traumatol Surg Res. oct 2014;100(6):657 62. from 2010 had already found fracture to be the second cause of revision (11.8%), which suggests that there has been a significant increase in the number of revisions due to fractures in the past 10 years.
This study does have limitations. It was a retrospective case series, with the data depending on the accuracy of coding in the PMSI database. Post-operative follow-up beyond one year was not ideal in this population of elderly subjects who have undergone multiple operations, and there was a certain amount of missing data. For example, there are likely to be errors in the data on mortality because of a lack of exhaustive follow-up beyond one year. There was no analysis of the clinical data, such as functional scores, resuming activities, length of stay, comorbidities and their impact on failure, or whether discharges were to home or an institution. The aetiology of the index THA index was also not known.
Conclusion
Revision surgery is going to increase significantly over the coming years due to the expansion of primary surgery and the ageing population. It involves different technical challenges specific to each aetiology, in terms of bone loss, stability after revision and an increased risk of infection. Infection is today the leading cause of failure in first revisions in France, both in the guise of “new infections” and repeated failure of revisions due to infection. Cases of complex recurrent instability must drive us to improve our understanding of the relationships of hip–spine dynamics and to rigorously analyse implant positioning. We recommend using a dual mobility cup in revision surgery, including for periprosthetic fracture.
References
1. Kurtz SM, Lau E, Ong K, Zhao K, Kelly M, Bozic KJ. Future Young Patient Demand for Primary and Revision Joint Replacement: National Projections from 2010 to 2030. Clin Orthop Relat Res. oct 2009;467(10):2606 12.
2. Ollivier M, Frey S, Parratte S, Flecher X, Argenson JN. Pre-operative function, motivation and duration of symptoms predict sporting participation after total hip replacement. Bone Jt J. août 2014;96-B(8):1041 6.
3. Hoorntje A, Janssen KY, Bolder SBT, Koenraadt KLM, Daams JG, Blankevoort L, et al. The Effect of Total Hip Arthroplasty on Sports and Work Participation: A Systematic Review and Meta-Analysis. Sports Med Auckl Nz. 2018;48(7):1695 726.
4. Hamilton DF, Loth FL, Giesinger JM, Giesinger K, MacDonald DJ, Patton JT, et al. Validation of the English language Forgotten Joint Score-12 as an outcome measure for total hip and knee arthroplasty in a British population. Bone Jt J. févr 2017;99-B(2):218 24.
5. Erivan R, Villatte G, Dartus J, Reina N, Descamps S, Boisgard S. Progression and projection for hip surgery in France, 2008-2070: Epidemiologic study with trend and projection analysis. Orthop Traumatol Surg Res OTSR. 2019;105(7):1227 35.
6. Prokopetz JJ, Losina E, Bliss RL, Wright J, Baron JA, Katz JN. Risk factors for revision of primary total hip arthroplasty: a systematic review. BMC Musculoskelet Disord. 15 déc 2012;13:251.
7. de Steiger RN, Lewis PL, Harris I, Lorimer MF, Graves SE. What Is the Outcome of the First Revision Procedure of Primary THA for Osteoarthritis? A Study From the Australian Orthopaedic Association National Joint Replacement Registry. Clin Orthop. oct 2022;480(10):1952 70.
8. Delaunay C, Hamadouche M, Girard J, Duhamel A; SoFCOT Group. What are the causes for failures of primary hip arthroplasties in France? Clin Orthop Relat Res. 2013 Dec;471(12):3863-9. doi: 10.1007/s11999-013-2935-5. PMID: 23529633; PMCID: PMC3825891.
9. Bohl DD, Samuel AM, Basques BA, Della Valle CJ, Levine BR, Grauer JN. How Much Do Adverse Event Rates Differ Between Primary and Revision Total Joint Arthroplasty? J Arthroplasty. mars 2016;31(3):596 602.
10. Boddapati V, Fu MC, Tetreault MW, Blevins JL, Richardson SS, Su EP. Short-term Complications After Revision Hip Arthroplasty for Prosthetic Joint Infection Are Increased Relative to Noninfectious Revisions. J Arthroplasty. sept 2018;33(9):2997 3002.
11. Nichols CI, Vose JG. Clinical Outcomes and Costs Within 90 Days of Primary or Revision Total Joint Arthroplasty. J Arthroplasty. juill 2016;31(7):1400-1406.e3.
12. Schwartz AM, Farley KX, Guild GN, Bradbury TL. Projections and Epidemiology of Revision Hip and Knee Arthroplasty in the United States to 2030. J Arthroplasty. juin 2020;35(6):S79 85.
13. Ong KL, Lau E, Suggs J, Kurtz SM, Manley MT. Risk of Subsequent Revision after Primary and Revision Total Joint Arthroplasty. Clin Orthop. nov 2010;468(11):3070 6.
14. Longo UG, Papalia R, Salvatore G, Tecce SM, Jedrzejczak A, Marcozzi M, et al. Epidemiology of revision hip replacement in Italy: a 15-year study. BMC Surg. 4 oct 2022;22(1):355.
15. Kenney C, Dick S, Lea J, Liu J, Ebraheim NA. A systematic review of the causes of failure of Revision Total Hip Arthroplasty. J Orthop. sept 2019;16(5):393 5.
16. Bozic KJ, Kurtz SM, Lau E, Ong K, Vail TP, Berry DJ. The epidemiology of revision total hip arthroplasty in the United States. J Bone Joint Surg Am. janv 2009;91(1):128 33.
17. Badarudeen S, Shu AC, Ong KL, Baykal D, Lau E, Malkani AL. Complications After Revision Total Hip Arthroplasty in the Medicare Population. J Arthroplasty. juin 2017;32(6):1954 8.
18. Jafari SM, Coyle C, Mortazavi SMJ, Sharkey PF, Parvizi J. Revision Hip Arthroplasty: Infection is the Most Common Cause of Failure. Clin Orthop. août 2010;468(8):2046 51.
19. Dale H, Fenstad AM, Hallan G, Overgaard S, Pedersen AB, Hailer NP, et al. Increasing risk of revision due to infection after primary total hip arthroplasty: results from the Nordic Arthroplasty Register Association. Acta Orthop. 27 juin 2023;94:307 15.
20. Lenguerrand E, Whitehouse MR, Beswick AD, Jones SA, Porter ML, Blom AW. Revision for prosthetic joint infection following hip arthroplasty: Evidence from the National Joint Registry. Bone Jt Res. juin 2017;6(6):391 8.
21. Brochin RL, Phan K, Poeran J, Zubizarreta N, Galatz LM, Moucha CS. Trends in Periprosthetic Hip Infection and Associated Costs: A Population-Based Study Assessing the Impact of Hospital Factors Using National Data. J Arthroplasty. juill 2018;33(7S):S233 8.
22. Kurtz SM, Lau EC, Son MS, Chang ET, Zimmerli W, Parvizi J. Are We Winning or Losing the Battle With Periprosthetic Joint Infection: Trends in Periprosthetic Joint Infection and Mortality Risk for the Medicare Population. J Arthroplasty. oct 2018;33(10):3238 45.
23. Renard G, Laffosse JM, Tibbo M, Lucena T, Cavaignac E, Rouvillain JL, et al. Periprosthetic joint infection in aseptic total hip arthroplasty revision. Int Orthop. avr 2020;44(4):735 41.
24. Abdel MP. Dual-Mobility Constructs in Revision Total Hip Arthroplasties. J Arthroplasty. mai 2018;33(5):1328 30.
25. Grace TR, Goh GS, Lee GC, Kamath AF, Kurtz SM, Courtney PM. Dual Mobility Reduces Dislocations—Why I Use It in All Revisions. J Arthroplasty. juill 2021;36(7):S63 9.
26. Schmidt A, Batailler C, Fary C, Servien E, Lustig S. Dual Mobility Cups in Revision Total Hip Arthroplasty: Efficient Strategy to Decrease Dislocation Risk. J Arthroplasty. févr 2020;35(2):500 7.
27. Prudhon JL, Desmarchelier R, Hamadouche M, Delaunay C, Verdier R. Is dual mobility associated with an increased risk of revision for infection? Matched cohort of 231 cases of dual-mobility cups and 231 fixed cups. Hip Int J Clin Exp Res Hip Pathol Ther. mars 2018;28(2):200 4.
28. De Martino I, D'Apolito R, Waddell BS, McLawhorn AS, Sculco PK, Sculco TP. Early intraprosthetic dislocation in dual-mobility implants: a systematic review. Arthroplast Today. 2017 Feb 5;3(3):197-202. doi: 10.1016/j.artd.2016.12.002. PMID: 28913407; PMCID: PMC5585769.
29. Jo S, Jimenez Almonte JH, Sierra RJ. The Cumulative Risk of Re-dislocation After Revision THA Performed for Instability Increases Close to 35% at 15years. J Arthroplasty. juill 2015;30(7):1177 82.
30. Huten D, Fournier Y, Gicquel T, Bertho P, Basselot F, Hamadouche M. Risk factors for dislocation after revision total hip arthroplasty with a dual-mobility cup. Matched case-control study (16 cases vs. 48 controls). Orthop Traumatol Surg Res. nov 2019;105(7):1303 9.
31. Ehlinger M, Delaunay C, Karoubi M, Bonnomet F, Ramdane N, Hamadouche M. Revision of primary total hip arthroplasty for peri-prosthetic fracture: A prospective epidemiological study of 249 consecutive cases in France. Orthop Traumatol Surg Res. oct 2014;100(6):657 62.