Individualised therapy of femoral neck fractures - the Wiesbaden concept
Background: The global incidence of femoral neck fractures is projected to reach 6.2 to 8.2 million cases annually by 2050. While internal fixation remains the standard for younger patients, high rates of avascular necrosis and hardware failure—approaching 40%—have led to an increased utilization of arthroplasty in older populations. Despite national guidelines, significant regional and specialty-based variations persist in surgical decision-making and implant selection.
Objective: This article describes the "Wiesbaden concept," a standardized treatment algorithm for femoral neck fractures designed to optimize implant selection based on patient demographics, bone quality, and functional requirements.
Key Points: The algorithm categorizes patients by age, medical history, and radiographic parameters, including Garden and Pauwels classifications, Dorr femoral morphology, and the cortical ring structure. For patients over 65 years, joint replacement is preferred over osteosynthesis, even for undisplaced fractures. In the authors' series, 57% of patients received total hip arthroplasty (THA) and 37% hemiarthroplasty. While cemented fixation is standard for poor bone quality, cementless short-stem implants are utilized in active patients with Dorr type A or B morphology. Furthermore, dual mobility cups are increasingly employed for patients with high dislocation risk or concomitant osteoarthritis to improve stability and clinical outcomes.
Conclusion: An individualized, multidisciplinary approach incorporating geriatric co-management and a structured surgical algorithm may reduce complications. Preliminary data suggest that cementless short stems and dual mobility components offer viable alternatives to traditional hemiarthroplasty in appropriately selected elderly patients.
Introduction
The incidence of femoral neck fractures increases continuously (Johnell et al. 2005). There is a wide variation across the world, showing highest rates for Europe and North America. Within Europe incidence rates vary between North and South, showing highest rates in Sweden and Norway (women 920/100.000 and men 399.3/100.000) and lowest in France and Switzerland (women 346/100.000 and men 137,8/100.000) (Sambrook and Cooper 2006).

Ageing of our population will increase numbers and there is an expected rise from 1.7 million hip fractures in 1990 up to 6.2 million in 2050. Assuming an age related incidence increase by 1% 8.2 million cases are predicted (Filipov, 2014). Femoral neck fractures and pertrochanteric fractures are of approximately equal incidence. Treatment options of femoral neck fractures include conservative treatment, joint preservation techniques using osteosynthesis (i.e. DHS and screws) or joint replacement techniques with total (THA) or hemi arthroplasty (HA).
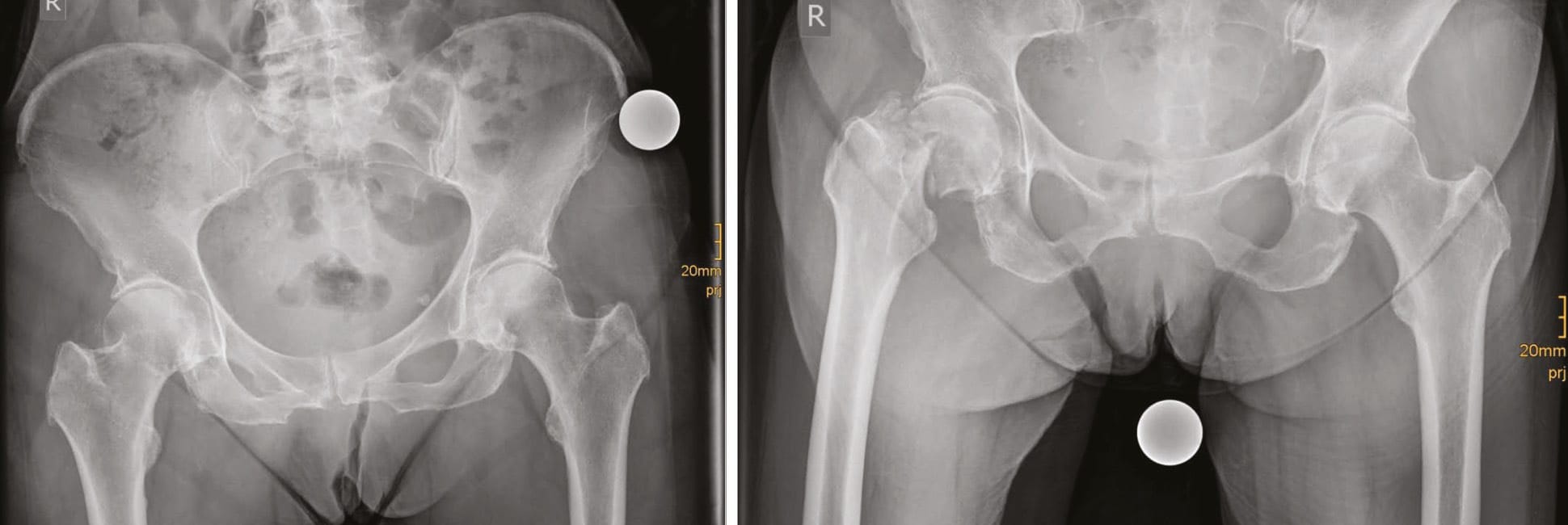
The minority of patients is treated conservatively. Non displaced cases (Garden I), valgus impacted fractures (Pauwels 1) or decreased general health status with contraindications for operative treatment are considered options. However pseudarthrosis (32%) and AVN (10%) can occur quite frequently after conservative treatment (Xu et al. 2017).
Joint replacement procedures are constantly rising for femoral neck fractures as there are reported high rates of avascular necrosis and hardware failure in osteosynthesis. Complication rates are reported up to 40% (Ghayoumi et al. 2015, Frihagen et al. 2007, Parker and Gurusamy 2006), resulting in higher overall costs after osteosynthesis (Frihagen et al. 2010).
Even osteosynthesis for undisplaced fractures (Garden I + II) shows higher revision rates than hemiarthroplasty. In comparison to displaced fractures treated with hemiarthroplasty there was also a lower degree of pain and a higher level of satisfaction and quality of life after hemiarthroplasty in comparison with osteosynthesis (Gjertsen et al. 2011).
Revision rate for primary hip replacement for fractured femoral necks was 7,9% after 10 years in the Australian Joint Registry report 2017 (AOANJRR 2017). Prosthesis dislocation (32,9%) is the most common reason for revision, followed by fracture (27,1%), loosening (16,6%) and infection (16%).
However, in younger patients joint restoration is still the gold standard (Figure 1) and should be favoured.
In older populations >65 years there seems evidence for better outcome and less complication rates with joint replacement procedures. There is very limited evidence regarding the type of prosthesis anchoring, type of stem and prosthesis philosophy that should be favoured. Regional differences, professional education and other variable factors seem to influence the decision making process and thus there is a lack of strong evidence.
The German national guideline (AWMF Leitlinie 2015) tries to identify treatment recommendations. Surgical treatment is the preferred method. However suggestions leave wide room for individualised decisions and surgeons preferred methods might influence the decision process.
In 2008 a German survey showed a wide local range for the use of osteosynthesis between 19 and 78,6% in Northrhine-Westphalia (Smektala et al. 2008). There was also a great variance between the use of HA or THA depending on the surgeons speciality (general surgeon, trauma surgeon or elective orthopedic surgeon), which is also confirmed in the U.S. (Woon et al. 2017).
UK data confirm that compliance with national guidelines seems to be poor. Patients with higher levels of socioeconomic deprivation and those who
required surgery at the weekend were less likely to receive THA (Perry et al., BMJ 2016).
The Wiesbaden concept
In September 2014 our Clinic was fused out of 2 departments (Elective Orthopedics and Traumatology). We are a high volume clinic for joint replacement procedures (>2200/year in 2017 with >1300 hip arthroplasties) and hip fractures (250/year in 2017). Since 2014 we established an algorithm for the treatment of femoral neck fractures – the Wiesbaden concept. This is based on scientific data in the literature, our own experiences as a high volume centre and continuing follow up of our patients.
Our decision making process is based on the following questions and data:
- Age of patient.
- Medical history (neurologic disorders, general health status, mental health, osteoporosis).
- X-ray investigation: Garden and Pauwels classification,
radiographic grade of Osteoarthritis regarding to Kellgren and Lawrence, femoral type according to Dorr, femoral thickness index. - Pre-operative digital planning: restoration of hip centre, offset and leg length.
- Intra-operative findings: structure of cortical ring (Figure 1), bone quality during reaming process.
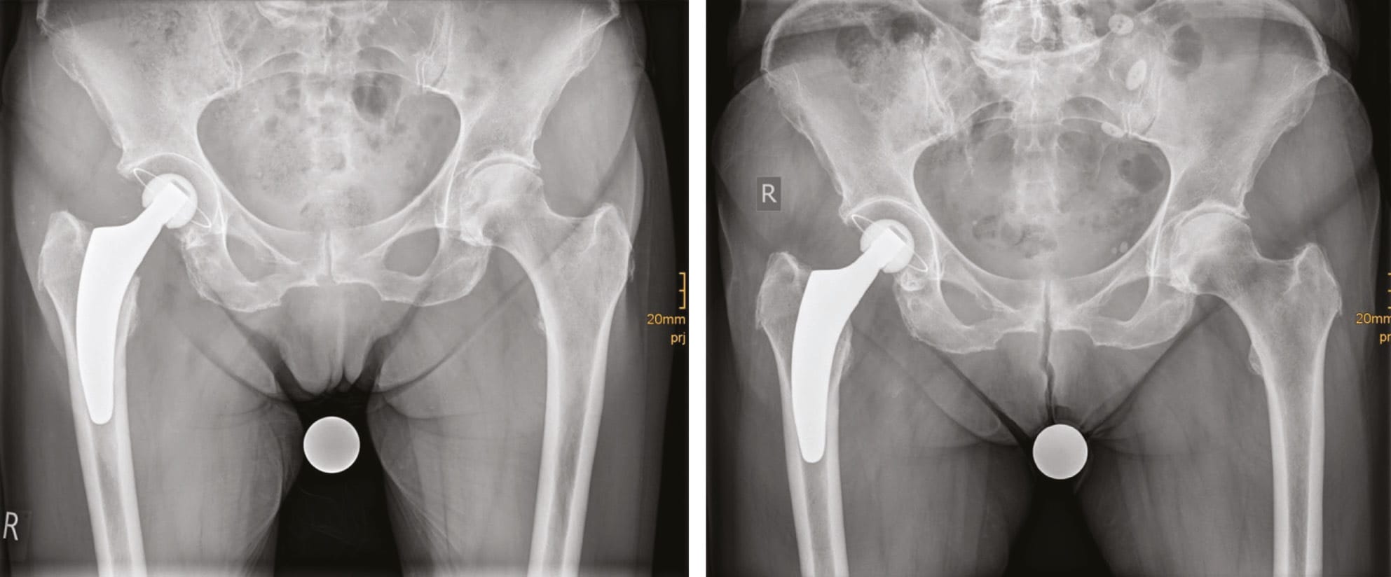
Conservative treatment remains an option, but only a small number of patients are eligible. Secondary dislocation can occur in up to 50% (Figure 3). In younger patients (<65 years) osteosynthesis with a DHS is our preferred method (Figure 2). In patients >65 years we prefer joint replacement even in undisplaced fractures (Garden I + II). Therefore the majority of our cases is treated with joint replacement procedures (Table 1.).



For a differentiated therapy of femoral neck fractures a wide spectrum of implants are available (Table 2.).

Hemiarthroplasty (HA) with 37% is still widely used. However, 57% of our patients obtain a THA. Cemented fixation is necessary in most cases due to bone quality, intraoperative cortical ring structure or known osteoporosis in the patient history. In active patients with good bone quality, femoral Dorr type A or B, intact cortical ring cementless fixation is possible. If cementless fixation is considered short stem fixation is possible and our favoured method. Straight cementless stems are rarely used. Our clinical and radiographic results using cementless short stems so far are very promising (Figure 4). Clinical results in these selected cases are excellent and complication rates are low. Currently a clinical and radiographic study is under process and will be finished by 2019.

Since 2017 the use of dual mobility cups have become more popular in our department. In cases with a higher risk of dislocation and signs and symptoms of OA it is our favoured method. Thus numbers with this procedure will probably rise in the near future. In 2018 10% of our cases received a dual mobility cup. Maybe the “dual mobility concept” will replace the “hemiarthroplasty concept” in the future as the current literature reveals excellent clinical results (Kim et al. 2018, Tabori-Jensen et al. 2018) in the use of dual mobility in femoral neck fractures. Thus further data and experiences are necessary.
Figure 5 shows our established algorithm which is used in our clinic and is used as a guidance for surgeons and residents.

Conclusion and future perspectives
Femoral neck fractures need an individualized therapy algorithm. Patient data, demographics, radiological data and intraoperative findings regarding bone quality and fracture type should be considered. Although hip fractures are common and will rise dramatically current literature data and guidelines still leave many problems and questions unanswered.
Since September 2014 we established the “Wiesbaden JoHo concept” in our clinic to address all relevant factors. So far our results over the last 4 years are promising. Besides surgical issues, medical problems cause the majority of problems. Thus interdisciplinary concepts with Geriatricians must be established and improved. Since 2016 we established a common ward with geriatric and trauma patients. Weekly ward rounds are performed together and a Geriatric specialist is available for everyday problems.
From a surgical point of view we have very good results after 2 to 4 years with cementless short stems in selected patients who fit our criterias. The development of a cemented short stem could may extend indications for short stems also in other cases. Further biomechanical and clinical studies will be necessary (Kutzner et al. Clin Biomech 2018).
References
1. Johnell O, Kanis JA, Oden A, Johansson H, De Laet C, Delmas P, Eisman JA, Fujiwara S, Kroger H, Mellstrom D, Meunier PJ, Melton LJ 3rd, O’Neill T, Pols H, Reeve J, Silman A, Tenenhouse A. Predictive value of BMD for hip and other fractures. J Bone Min Res 2005, 20(7): 1185 – 1194.
2. Sambrook P, Cooper C. Osteoporosis. Lancet 2006, 368(9529): 28.
3. Filipov O. Epidemiolgy and social Burden of the femoral neck fractures. Journal of IMAB 2014, 20(4): 516 – 518.
4. Xu DF, Bi FG, Ma CY, Wen ZF, Cai XZ. A systematic review of undisplaced femoral neck fracture treatments for patients over 65 years of age, with a focus on union rates and avascular necrosis. J Orthop Surg Res 2017, 12(1): 28 – 39.
5. Ghayoumi P, Kandemir U, Morshed S. Evidence based update: open versus closed reduction. Injury 2015, 46(3): 467 – 473.
6. Frihagen F, Nordsletten L, Madsen JE. Hemiarthroplasty or internal fixation for intracapsular displaced femoral neck fractures: randomised controlled trial. BMJ 2007, 335(7632): 1251 – 1254.
7. Parker MJ, Gurusamy K. Internal fixation versus arthroplasty for intracapsular proximal femoral fractures in adults. Cochrane Database Syst Rev. 2006 Oct 18(4):CD001708.
8. Frihagen F, Waaler GM, Madsen JE, Nordsletten L, Aspaas S, Aas E. The cost of hemiarthroplasty compared to that of internal fixation for femoral neck fractures. 2-year results involving 222 patients based on a randomized controlled trial. Acta Orthop. 2010 Aug, 81(4):446-52.
9. Gjertsen JE, Fevang JM, Matre K, Vinje T, Engesaeter LB. Clinical outcome after undisplaced femoral neck fractures. A prospective c omparison of 14757 undisplaced and displaced fractures reported to the Norwegian Hip Fracture Register. Acta Orthopaedica 2011, 82(3): 268 – 274.
10. Australian Orthopaedic Association National Joint Replacement Registry. Annual Report 2017. 135 – 142.
11. Bonnaire F., Weber A. Schenkelhalsfraktur des Erwachsenen. AWMF Leitlinie 2015, Register-Nr. 012/001. 1-63.
12. Smektala R, Grams A, Pientka L, Raestrup US. Guidelines or state civil codes in the management of femoral neck fracture? An analysis of the reality of care provision in North Rhine-Westphalia. Dtsch Arztebl Int. 2008 Apr;105(16):295-302.
13. Woon CYL, Moretti VM, Schwartz BE, Goldberg BA. Total Hip Arthroplasty and Hemiarthroplasty: US National Trends in the Treatment of Femoral Neck Fractures. Am J Orthop 2017, 46(6): E474 – E478.
14. Perry DC, Metcalfe D, Griffin XL, Costa ML. Inequalities in use of total hip arthroplasty for hip fracture: population based study. BMJ 2016 Apr 27;353:i2021.
15. Kim YT, Yoo JH, Kim MK, Kim S, Hwang J. Dual mobility hip arthroplasty provides better outcomes compared to hemiarthroplasty for displaced femoral neck fractures: a retrospective comparative clinical study. International Orthopaedics 2018, 42(6): 1241 - 1246.
16. Tabori-Jensen S, Frølich C, Hansen TB, Bøvling S, Homilius M, Stilling M. Good function and high patient satisfaction at mean 2.8 years after dual mobility THA following femoral neck fracture: a cross-sectional study of 124 patients. Clin Interv Aging 2018, 13: 615 - 621.
17. Kutzner KP, Freitag T, Bieger R, Reichel H, Pfeil J, Ignatius A, Dürselen L. Biomechanics of a cemented short stem: Standard vs. line-to-line cementation techniques. A biomechanical in-vitro study involving six osteoporotic pairs of human cadaver femurs. Clin Biomech (Bristol, Avon). 2018 Feb;52:86-94.