Current concepts and a glimpse into the future of partial knee replacement around the knee
Background: Unicompartmental knee arthroplasty (UKA) is an established intervention for end-stage single-compartment osteoarthritis, offering advantages over total knee arthroplasty (TKA) including bone stock preservation, maintenance of native kinematics, and accelerated recovery. Despite these benefits, UKA is associated with higher revision rates in registry data, frequently attributed to component malpositioning and limb alignment errors.
Objective: This review evaluates the current clinical status of medial, lateral, and patellofemoral arthroplasty, examining the evolution of implant designs, modularity in multi-compartmental disease, and the role of robotic-assisted technology in improving surgical precision.
Key Points: Medial UKA utilizes either fixed or mobile-bearing designs; both demonstrate approximately 90% survivorship at 15 years, though mobile bearings carry a specific risk of insert dislocation. Lateral UKA, while technically demanding due to unique compartment kinematics, achieves comparable long-term outcomes when utilizing fixed-bearing implants. Patellofemoral arthroplasty (PFA) has transitioned from first-generation inlay designs to third-generation onlay components, which optimize patellar tracking and reduce instability. For bicompartmental disease, modular unlinked arthroplasty allows independent component alignment tailored to patient anatomy, yielding superior results compared to monolithic designs. Robotic-assisted systems—classified as active or semi-active—utilize 3D modeling and real-time feedback to enhance bone resection accuracy and soft tissue balancing. While these technologies improve component positioning and reduce iatrogenic soft tissue trauma, middle- to long-term functional outcomes remain comparable to conventional manual techniques.
Conclusion: Partial knee arthroplasty provides a bone-conserving alternative to TKA for isolated or bicompartmental disease. The integration of advanced onlay PFA designs and robotic-assisted precision addresses historical alignment challenges, potentially enhancing long-term implant survivorship and clinical efficacy.
Introduction
Partial or Unicompartmental knee arthroplasty (UKA) stands as a highly effective surgical intervention for end-stage single-compartment knee osteoarthritis, with an increasing number of implants performed world-wide.
Partial knee replacement can involve one or more of the three compartments of the knee (medial, lateral and patella-femoral).
Evolutions in surgical approach, operative indications, implant design, materials, bearing surfaces, and instrumentation have aimed to enhance outcomes and procedural efficiency.
The advantages of UKA over total knee arthroplasty (TKA) are multifaceted, encompassing reduced operative time, diminished intraoperative blood loss, minimized periarticular soft tissue trauma, enhanced preservation of native bone stock, restoration of native kinematics, heightened patient satisfaction, and superior functional outcomes. Moreover, UKA correlates with shorter hospital stays, quicker resumption of activities including sports and work, and elevated quality of life metrics, resulting in heightened cost-effectiveness and resource utilization compared to TKA.
Over the past two decades, the profile of patients undergoing knee replacement surgery has evolved, challenging the notion that total knee arthroplasty (TKA) is universally suitable. Unicompartmental knee arthroplasty (UKA) emerges as a viable alternative for select cases of unicompartmental tibiofemoral (or patella-femoral) osteoarthritis (OA), aseptic necrosis, and specific instances of post-traumatic unicompartmental osteoarthritis. Compared to TKA, UKA offers a less invasive approach, preserving more native bone stock and knee proprioception, thereby facilitating faster recovery, minimizing blood loss, and reducing the risk of complications [1], Benazzo F, Rossi SMP, Ghiara M. Partial knee arthroplasty: patellofemoral arthroplasty and combined unicompartmental and patellofemoral arthroplasty implants – general considerations and indications, technique and clinical experience. The Knee 2014;21:S43–6. https://doi.org/10.1016/S0968-0160(14)50009-9.[2] Johal S, Nakano N, Baxter M, Hujazi I, Pandit H, Khanduja V. Unicompartmental Knee Arthroplasty: The Past, Current Controversies, and Future Perspectives. J Knee Surg 2018;31:992–8. https://doi.org/10.1055/s-0038-1625961..
However, despite these advantages, UKA encounters reluctance due to perceived drawbacks such as decreased implant survivorship and elevated revision rates when juxtaposed with TKA. Registry data indicate that errors in implant positioning and suboptimal limb alignment are primary factors contributing to implant failure and necessitating early revision surgeries in UKA procedures.
To address these challenges, different enabling technologies, lastly robotic UKA, have emerged as a promising avenue. Leveraging computer technology, robotic UKA enables pre or intraoperative planning for optimal bone resection and implant positioning, with an intraoperative robotic device executing these plans with high precision.
This article aims to comprehensively examine the state of the art of conventional UKA, trying to understand the future of compartmental replacement, including the exploration of the role of robotics on implant positioning accuracy, functional outcomes, implant survivorship, and cost-effectiveness relative to conventional manual UKA.
Medial UKA: fixed and mobile bearing
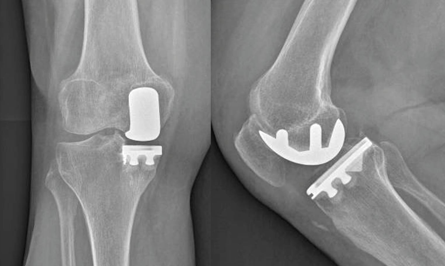
In terms of design and kinematics, medial UKA can be categorized into two main groups: fixed-bearing and mobile-bearing implants. Mobile bearing UKA features a congruent yet mobile polyethylene insert atop a polished tibial component, while fixed-bearing designs comprise an anatomic femoral component paired with a flat polyethylene insert, either noncongruent and affixed to the tibial baseplate (metal back) or directly cemented onto the bone (referred to as all Poly) (Figure 1). Extensive research has demonstrated excellent functional recovery for both designs, with no statistically significant difference in revision rates but variations in the modes and timing of failures.

The rationale underlying the design of mobile-bearing knee implants aimed to enhance knee kinematics, reduce contact stresses, and minimize polyethylene wear. In previously conducted studies, comparisons were made between fixed-bearing (Miller/Galante) and mobile-bearing (Oxford) unicompartmental knee arthroplasties (UKAs). Results at the two-year mark revealed superior knee kinematics and reduced radiolucency in the mobile-bearing UKA group, although Knee Society, WOMAC, and SF-36 scores remained comparable between the two groups.
A retrieval analysis investigated wear modes in UKAs, revealing increased articular surface wear, delamination, and surface deformation in fixed-bearing designs, while mobile-bearing designs also exhibited backside wear. When combined with articular wear, mobile-bearing designs demonstrated a higher overall damage score compared to fixed-bearing designs. Additionally, a knee simulator study revealed no significant difference in kinematics but noted increased in vitro wear with mobile-bearing designs.
Despite these findings, reported survivorship rates remain favorable, with mobile bearings boasting a 93% rate at 15 years and fixed bearings showing a 90% rate at 10 years. Fixed-bearing designs, although not fully conforming, result in higher contact stresses and wear penetration rates at articulating surfaces but carry no risk of bearing dislocation and offer simpler surgical techniques.
A retrospective review at a minimum 15-year follow-up indicated more early complications in the mobile-bearing group but no discernible difference in survivorship. Gait analysis revealed minimal discrepancies between the two designs. In terms of patient satisfaction, some studied reported a higher satisfaction in patients treated with mobile bearing compared to those treated with a fixed bearing solution.
However, despite favorable functional outcomes, concerns persist regarding revision rates as reported by National Joint Registries.
Our group recently reported 15 years follow up of a fixed bearing UKA with a survival rate of 90% at fifteen years [3] Rossi SMP, Sangaletti R, Nesta F, Matascioli L, Terragnoli F, Benazzo F. A well performing medial fixed bearing UKA with promising survivorship at 15 years. Arch Orthop Trauma Surg 2022;143:2693–9. https://doi.org/10.1007/s00402-022-04562-7..
Fixed-bearing metal-backed medial UKA showcased a survival rate of 89.52% at both 10 and 15 years of follow-up, with 95% of patients reporting excellent or good outcomes. Notably, this study is the first to present a 15-year follow-up for this implant, surpassing previous investigations in duration. The results align with existing literature on similar implants, both fixed and mobile-bearing, at shorter follow-up intervals
Demonstrating high survival rates and favorable clinical outcomes over an extended period reaffirms the efficacy of this implant in the long term. Previous studies have consistently reported positive outcomes with fixed-bearing UKA designs. Fabre-Aubrespy et al. observed excellent clinical results in elderly patients undergoing UKA, while De Grave et al. and Vasso et al. reported excellent outcomes and high survivorship rates at follow-ups of up to 11 years and 10 years, respectively. Lee et al. compared fixed-bearing UKA designs with favorable results, and Bruce et al. showcased significant improvement in patient-reported outcome measures (PROMs) at 10 years post-surgery. Redish also reported a high survival rate at 10 years with a minimally invasive fixed-bearing UKA.
Moreover, studies comparing fixed and mobile-bearing implants, such as that by Neufeld et al., have demonstrated comparable outcomes and survival rates between the two groups. Parratte et al. concluded that both fixed and mobile-bearing UKAs offer favorable clinical outcomes in the medium term, particularly when fixed-bearing implants are utilized.
Despite these promising results, concerns persist regarding UKA survivorship compared to TKA. Various studies, including those by Brown, Wilson, and Di Martino, have reported higher revision rates for UKA compared to TKA. However, the present study did not find indirect signs of aseptic loosening associated with polyethylene wear, suggesting that failure modes may be unrelated to surgical technique or adherence to the Cartier Angle.
Similarly, findings from Whittaker et al. and Van Der List et al. corroborate progression of arthritis as a primary cause of revision, followed by aseptic loosening, periprosthetic fractures, and infection. Mei Lin et al. noted changing trends in failure modes over time, with aseptic loosening and OA progression being predominant. Notably, differences in failure modes between fixed and mobile-bearing prostheses have been observed, with higher rates of wear-related failures in fixed-bearing designs and increased bearing dislocations in mobile-bearing designs.
Lateral UKA
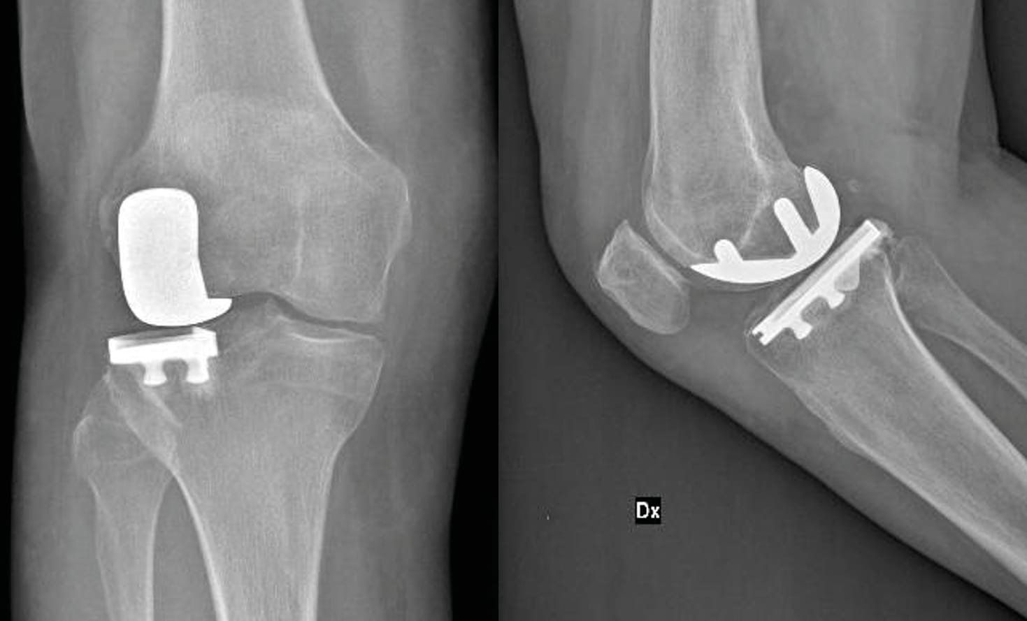
Unicompartmental knee arthroplasty (UKA) has emerged as a compelling alternative to total knee arthroplasty (TKA) in managing arthritis localized to the lateral compartment of the knee. Specifically, for patients with osteoarthritis confined to the lateral compartment, lateral UKA represents a viable treatment option, provided appropriate patient selection criteria are adhered to. In contrast to TKA, UKA offers numerous advantages, including a bone-conserving and ligament-sparing surgical approach, expedited recovery, enhanced range of motion, improved functional outcomes, and reduced hospital stays (Figure 2).

Despite these benefits, UKA procedures remain relatively uncommon, comprising only a small fraction (8–12%) of knee arthroplasties, with a mere 10% addressing the lateral compartment. Several factors contribute to this discrepancy. Firstly, lateral osteoarthritis is less prevalent, affecting approximately 1% of the population compared to its medial counterpart. Moreover, distinct anatomic and kinematic disparities exist between the medial and lateral compartments, such as increased laxity, smaller anteroposterior dimensions, and greater mediolateral length, posing unique challenges for UKA designs. Consequently, certain UKA designs exhibit reduced adaptability and a heightened incidence of bearing dislocation, particularly in the context of mobile-bearing lateral UKA, thereby diminishing confidence in lateral UKA procedures.
Nonetheless, when employing the appropriate surgical technique and implant design, lateral UKA has demonstrated long-term survivorship rates akin to those of medial UKA and TKA. Consequently, this procedure may represent an underutilized solution for patients with osteoarthritis confined solely to the lateral knee compartment.
Lateral unicompartmental knee arthroplasty (UKA) is performed at a frequency ten times lower than its medial counterpart, which explains the relatively sparse literature on lateral UKAs compared to medial UKAs
The first study focusing on lateral UKA was presented by Marmor in 1984, nearly a decade after the initial series on medial UKA was published. Radiostereometric studies have revealed that internal tibial rotation during flexion results in increased posterior lateral condylar translation, highlighting significant differences in kinematics between the lateral and medial compartments. Consequently, performing a lateral UKA is often considered to be more technically challenging than its medial counterpart.
Historically, many comparative studies have indicated notably inferior outcomes for lateral UKA compared to medial UKA. For instance, in 1981, Scott and Santore reported on 88 medial and 12 lateral UKAs, with the lateral procedures exhibiting a higher failure rate (17%) compared to medial UKAs (1.1%). Gunther et al. demonstrated an 82% survival rate at a 5-year follow-up for lateral UKAs, with 10% of revisions attributed to bearing dislocation, contrasting significantly with the medial side where dislocation rates were only 1%. The issue of bearing dislocation prompted the development of a domed lateral UKA. A recent series of 265 domed mobile-bearing lateral UKAs showed a 92% survival rate at an 8-year follow-up, with a minimal dislocation rate of just 1.5%.
Therefore, lateral UKA remains a viable option for patients with isolated lateral compartmental arthritis, but meticulous patient selection and precise surgical implantation are imperative to ensure favorable outcomes.
The experience of our group favors high survivorship rates and functional outcomes at a minimum follow-up duration of 10 years, with a fixed bearing implant [4] Sangaletti R, Andriollo L, Montagna A, Are L, Benazzo F, Rossi SMP. Lateral UKA can be a safe solution in a young patients’ population: a 10-year follow-up report. Arch Orthop Trauma Surg 2024. https://doi.org/10.1007/s00402-023-05189-y..
The primary finding of this study underscores the efficacy of lateral unicompartmental knee arthroplasty (UKA) as a viable treatment option for patients with lateral osteoarthritis of the knee, whether primary idiopathic or secondary (e.g., post-traumatic lateral arthrosis or resulting from osteonecrosis). In our analyzed cohort, lateral UKA exhibited an overall survivorship exceeding 90% at 10 years, accompanied by favorable patient-reported outcomes over a mean follow-up period of 132.7 months. A comprehensive review of 47 studies involving 2,162 patients reported a mean survivorship of 88.6% with a minimum follow-up of 60.7 months. Furthermore, Plancher et al. reported robust survivorship rates of 98% at 5 years and 96% at 10 years for 61 patients who underwent lateral fixed-bearing non-robotic UKA.
In our study, all patients received a fixed bearing unicompartmental prosthesis. Comparison with studies on mobile-bearing implants revealed similar survivorship rates and clinical outcomes. However, a fixed-bearing design is preferred due to the higher revision rate associated with bearing dislocations in mobile-bearing UKAs.
Despite the advantages of unicompartmental arthroplasty over total knee arthroplasty (TKA), many surgeons still lean towards TKA for lateral osteoarthritis. However, the benefits of UKA, such as less invasive surgery, reduced blood loss, faster recovery, and superior functional outcomes, render it a favorable option. Limited comparative studies between TKA and lateral UKA have shown better functional outcomes, especially in younger patients and women.
When we compare the same implant the (ZUK) on the medial and lateral compartment (ZUK) the mean Oxford Knee Score (OKS) was slightly higher in medial UKA patients, while the Forgotten Joint Score (FJS) favored the lateral UKA cohort.
A systematic review by Van der List et al. found no statistically significant difference in survivorship between lateral and medial UKAs at a 10-year follow-up. Similarly, data from the Register of Orthopaedic Prosthetic Implants (RIPO) in Emilia Romagna, Italy, showed higher survivorship rates for medial UKAs compared to lateral UKAs at a 10-year follow-up.
Our findings, consistent with those of Marullo et al., highlight the favorable outcomes of lateral UKA in patients with posttraumatic arthritis of the lateral compartment compared to a matched group operated for primary osteoarthritis. Additionally, Marullo et al. emphasized the importance of postoperative alignment, suggesting that a residual mild valgus of less than 3° may lead to inferior outcomes and survivorship compared to a moderate valgus of more than 3°.
It is essential to acknowledge the limitations of all those studies, including small sample sizes, retrospective nature in the majority of cases, and the utilization of implants without comparison to a mobile-bearing lateral UKA design or a TKA group.
Patello femoral arthroplasty (PFA)
Isolated patellofemoral arthritis presents a significant challenge, marked by the deterioration of articular cartilage either on the patella facets, the trochlear groove, or both. Despite affecting approximately 9% of individuals over 40 years old and between 11 to 24% of those with knee pain, data from registries reveal that patellofemoral arthroplasty (PFA) represents merely 1.3% of all knee arthroplasty procedures. As demographic projections anticipate an aging population with an escalating burden of arthritis, the demand for treating this condition is inevitably set to rise.
While many patients with patellofemoral arthritis can initially manage with non-surgical methods, those who find these ineffective may undergo procedures such as arthroscopic debridement or soft tissue realignment. However, the outcomes of these interventions vary, with success rates ranging from 60% to 70%. Consequently, especially in advanced stages of PFA, the primary surgical recourse is often arthroplasty.
Patellofemoral arthritis frequently manifests in younger, more active patients who, by definition, possess intact cartilage in the tibiofemoral compartments of their knee. Thus, the logical approach involves pursuing arthroplasty to rectify the abnormality while preserving healthy bone and maintaining the knee's native biomechanics—a premise central to patellofemoral arthroplasty (PFA). Nonetheless, the use of PFA remains contentious, with many surgeons still preferring TK for these patients.
PFA life and evolution from first to second and third generation patellofemoral implants.
First-generation implants introduced trochlear prostheses inset within the native trochlea and flush with the surrounding articular cartilage. This approach aimed to replace worn cartilage effectively without altering the shape of the subchondral bone, thus allowing the rotational alignment to be determined by the native trochlear orientation. However, outcomes with these implants were suboptimal. Short-term follow-up studies of the Lubinus implant, conducted by Board, demonstrated that only 53% of knees were classified as satisfactory by patients, with 24% requiring revision to total knee arthroplasty and 18% exhibiting an extension block. Similarly, long-term studies reported modest survivorship rates, with the highest documented survivorship being 75% at 10 years for the Lubinus implant, as reported by Tauro and Van Jonbergen.
Initially, high failure rates were attributed to poor patient selection. However, the comparative success of second-generation patellofemoral implants suggests that it was the reliance on the orientation of the native trochlea in first-generation implants that led to high rates of patellar instability. Kamath's analysis of trochlear inclination angles in patients with either normal or dysplastic patellofemoral anatomy revealed that both groups had trochlear inclination angles averaging 11.4° and 9.4° respectively relative to the anteroposterior and transepicondylar axes of the femur. This finding explains the propensity for biasing the inlay-design trochlear prosthesis into internal malrotation, which increases the Q-angle and predisposes to high rates of patellar maltracking, impingement, subluxation, and ultimately failure.Second and third generation PFA designs are referred to as onlay or trochlear cutting designs. The more recent designs have radius of curvature similar to those of TKAs, a larger anterior flange and thinner lateral edge to optimize patellar kinematics. These designs are helpful in addressing isolated PFOA due to under- lying trochlear dysplasia since the anterior femoral cut eliminates this. The second and third generation designs allow for a more opti- mal proximal realignment reducing the tibial tuberosity – trochlear groove (TT-TG) distance therefore avoid- ing the necessity for additional osteotomies of the tibial tuberosity. In general, these designs are reported to have satisfactory patient reported and functional outcomes and reduction in mechanical complications.
These implants completely replace the anterior compartment of the knee, providing a design that can be universally applied to all patients irrespective of innate anatomical variation. The trochlear component is implanted perpendicular to the anteroposterior axis of the femur and parallel to the transepicondylar axis, allowing the surgeon to determine the rotation of the prosthesis irrespective of the native trochlear inclination. Onlay prostheses are typically wider and less constraining, allowing increased movement of the patella through the arc of motion and facilitating smoother patellar tracking. By extending the prosthesis more proximally than the native trochlear cartilage and ensuring it is seated flush against the anterior femoral cortex, the risk of impingement is minimized, while the patellar component remains engaged even when in maximal extension.
The improvement in the design of second-generation prostheses has been reflected in both short and medium-term results. In a multi-center trial of 79 patients at 3-year follow-up, Leadbetter reported a 94% survival rate of the Avon prosthesis, with a Knee Society Score greater than 80 achieved in 84% of patients. Similarly, in a study of 109 patients at 5-year follow-up, Ackroyd documented a 96% survival rate of the Avon prosthesis, with an 80% success rate based on Bristol knee scores. Goh established a 92% survival rate, with 76% of patients reporting "good satisfaction" with their symptomatic improvement.
Longer-term studies are also promising. In a study of 51 prostheses with 7-year follow-up, Konan described a 96% probability for survival (Kaplan-Meyer analysis) with revision as the endpoint. Equally, in a study of 71 Hermes TM prostheses at 10-year follow-up, Hernigou found no late complications attributable to the arthroplasty. Analysis of cohort studies illustrates the contrast between survivorship in first and second-generation PFA. Older studies (before 2010) report an annual revision rate of 2.33%, whereas more recent studies (after 2010) exhibit an annual revision rate of 1.93%, with heterogeneity mainly seen in the type of prosthesis. However, not all second-generation implants have been successful. The low contact stress (LCS) patellofemoral implant, consisting of a trochlear component and a modular patellar component with a metal-backed mobile polyethylene bearing, demonstrated high revision rates in a study by Charalambous, with 33% requiring revision at 2 years follow-up. During revision surgery, the polyethylene bearing was frequently found to have diminished mobility secondary to overgrown surrounding soft tissue. Further studies also reported dissociation of the mobile polyethylene bearing from its metal backing, leading to discontinuation of the use of this prosthesis.
The United Kingdom National Joint Registry uses Kaplan-Meier estimates to calculate the cumulative percentage probability of first revision of a PFA by implant brand at varying years since the primary operation [5] Hoogervorst P, Arendt EA. Patellofemoral arthroplasty: expert opinion. J EXP ORTOP 2022;9:24. https://doi.org/10.1186/s40634-022-00457-z..
Combined implants
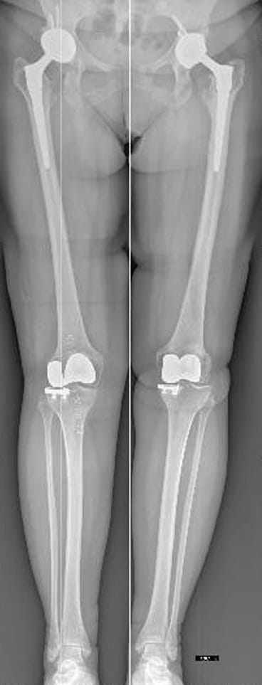
Isolated arthritis in the medial, lateral, or patellofemoral (PF) compartments of the knee can effectively undergo treatment with specialized unicompartmental implants: unicompartmental knee arthroplasty (UKA)—either medial or lateral—and patellofemoral arthroplasty (PFA). The simultaneous presence of arthritis in one tibiofemoral compartment and the patellofemoral joint typically warrants total knee arthroplasty (TKA) to address the entire knee structure. However, this approach may be considered excessive due to potential harm to unaffected compartments. Some experts suggest that symptomatic patellofemoral arthritis might be disregarded during a medial UKA procedure, particularly if only the medial facet of the patella is affected. Conversely, others advocate for TKA as the preferred solution in such cases. However, arthritis or painful Kellgren-Lawrence grade 3 or 4 chondromalacia in the medial or lateral compartment is usually regarded as a contraindication to PFA in PF arthritis treatment, making TKA the conventional approach (Figure 3).

Improved implants with better clinical outcomes and survival rates, especially for the PF joint—which historically posed challenges in bicompartmental arthroplasty (BCA)—have become available. BCA is increasingly being viewed as an alternative treatment for associated unicompartmental tibiofemoral arthritis combined with PF arthritis. The outcomes reported in the literature for this implant combination vary depending on whether a monolithic or modular design was utilized. Nevertheless, BCA is gaining popularity due to well-defined indications, refined surgical techniques, design improvements, and better clinical outcomes. Early clinical results of BCA have demonstrated excellent pain relief, improved knee function, and restoration of appropriate knee alignment. However, differences in outcomes have been observed between unlinked or modular BCA and monolithic "off-the-shelf" implants, with the latter showing a relatively higher incidence of patellofemoral complications and the need for secondary surgery. These outcomes are likely attributed to challenges in sizing and orienting the femoral component according to mechanical axes and the morphological variations of the compartments.
The primary issue with a monolithic implant lies in the respective positioning of the femoral component of UKA and the femoral component of PFA. Conversely, a modular, unlinked trochlear and medial (or lateral) femoral condylar implant (modular BCA) enables the independent resurfacing of each compartment. This facilitates individual orientation and alignment of the components relative to the specific axes of the distal femur without compromising the position of the trochlear implant or patellar tracking.
Our group recently presented the mid- to long-term results of combining a contemporary medial or lateral UKA with a third-generation PFA [6] Rossi SMP, Perticarini L, Clocchiatti S, Ghiara M, Benazzo F. Mid- to long-term follow-up of combined small implants: a third-generation patellofemoral arthroplasty associated with a medial or lateral unicompartmental knee arthroplasty. The Bone & Joint Journal 2021;103-B:840–5. https://doi.org/10.1302/0301-620X.103B5.BJJ-2020-0720.R3.. The objective of our study was to examine the mid- to long-term durability and clinical outcomes of a consecutive series of modular unlinked bicompartmental knee arthroplasties (BCAs). The primary finding of our investigation revealed that BCA exhibited excellent longevity during mid- to long-term follow-up, accompanied by a high degree of patient satisfaction and notable enhancements in clinical outcomes.
Utilizing a third-generation patellofemoral (PF) implant, as recommended by Lonner and Bloomfield, along with unlinking the two implants, as suggested by various authors, allowed for the independent resurfacing of individual compartments. This approach ensured optimal alignment of each component to tailor the positioning of the implants according to patient anatomy. By utilizing unlinked implants, we aimed to circumvent complications that contributed to the failure of monolithic implants, as highlighted in several studies.
Specifically, Dudhinwala et al. demonstrated poor pain scores, concerns regarding tibial fixation, early aseptic loosening of the tibial component, and a high revision rate in their study. Similarly, Morrison et al. reported a notably higher complication rate with monolithic BCA and advocated for total knee arthroplasty (TKA) in patients with bicompartmental osteoarthritis (OA). Emerging technologies have yielded promising outcomes with linked implants. For instance, Ogura et al. presented encouraging mid-term results using customized individually made (CIM) BCA implants and 3D-printed customized instruments, achieving a survival rate of 92% at five years. These results were corroborated by Beckmann et al. in a prospective multicenter study, although the study faced limitations such as a prolonged recruitment period and loss to follow-up.
In contrast, studies focusing on unlinked implants have emphasized the potential of modular BCA as an excellent alternative for treating bicompartmental knee arthritis, leading to favorable functional outcomes and biomechanics in well-selected patients. However, caution is warranted due to the limited number of peer-reviewed articles with small sample sizes and older implant designs, resulting in inferior survivorship compared to TKA. Despite these considerations, our study demonstrated promising results in terms of clinical outcomes, patient-reported measures, and satisfaction over a longer-term follow-up period. With a survival rate of 91.5% at a mean follow-up of nine years, none of the failures were directly attributed to the implant. Moreover, our study indicated superior performance on the Forgotten Joint Score (FJS) compared to previous studies assessing TKA outcomes.Modular unlinked BCA presents a viable option for managing symptomatic bicompartmental OA, offering favorable patient outcomes and comparable survivorship to TKA. This technique may particularly benefit younger and more active patients. While our study has limitations, including a relatively small sample size and heterogeneity in implant selection, the mid- to long-term follow-up and absence of loss to follow-up enhance the credibility of our findings.
Robotics in UKA
Robotic technology integrates preoperative virtual 3D reconstructions with intraoperative robotic assistance to actively manage the motor functions of the operating surgeon, aiming to minimize errors in component positioning and limb alignment
Robotic UKA systems are categorized into fully active or semi-active, depending on the level of control they offer to the operating surgeon. Fully active systems autonomously perform planned femoral and tibial bone resections, under the oversight and guidance of the surgeon, who can intervene with emergency deactivation if needed.
Semi-active systems provide real-time intraoperative feedback to prevent deviation from the preoperative surgical plan, while the surgeon maintains control over bone resection and implant positioning. These devices can be distinguished between image based or image less. The Cori Surgical System by Smith & Nephew, Andover, Texas, USA, is an imageless semi-active robotic system. Surgeons map out the patient's osseous anatomy onto a virtual 3D model of the knee joint, enabling optimal planning of bone resection and component positioning. A handheld robotic platform executes this plan with precision.
An example of image-based robotic system is the Mako Robotic Arm Interactive Orthopaedic system by Stryker Ltd, Kalamazoo, MI, USA, a semi-active system that uses preoperative CT scans to create patient-specific computer-aided design models. Surgeons plan optimal bone resection and implant positioning based on this model, with assistance from a robotic arm providing audio, tactile, and visual feedback. Optical motion-capture tracking assesses knee kinematics, guiding adjustments in bone resections and implant positioning throughout the flexion arc.
Different studies demonstrated that robotic UKA resulted in improved accuracy of femoral and tibial component positioning, as well as more precise prediction of the femoral component size compared to conventional manual UKA. The precise bone cuts and enhanced accuracy in implant positioning facilitated by robotic technology may potentially promote reliable cementless fixation of components in future UKA designs, consequently enhancing long-term implant survivorship compared to conventional manual UKA.
Conservative bone resection in UKA is linked with decreased bone edema, reduced postoperative pain, and faster rehabilitation. Preserving native bone stock is crucial for potential future revision surgeries. Robotic UKA confines bone resection within preoperative surgical boundaries, minimizing iatrogenic bone injury and providing better control over resection depth compared to manual UKA.
Soft tissue balancing is critical for optimizing stability and long-term functional outcomes in UKA. In conventional manual UKA, soft tissue tensioning and ligamentous balancing are subjectively assessed by the surgeon. Robotic UKA utilizes optical motion-capture technology to measure medial and lateral gap dimensions in real-time, allowing precise tension adjustment during flexion. This intraoperative data informs bone resection, implant positioning, and sizing adjustments to achieve desired ligamentous tension and limb alignment throughout knee flexion.
Optical motion-capture technology has also been utilized in robotic TKA to evaluate effects of ligamentous releases on gaps, soft tissue laxity, limb alignment, and fixed flexion deformity. Shalhoub et al found that over 90% of patients achieved mediolateral gap balance within 2 mm across the flexion range in robotic TKA combined with an intraoperative tensioning device.
Robotic UKA confines the action of the milling burr or sawblade within the preoperative surgical plan for bone resection, potentially minimizing periarticular soft tissue injury and the associated localized inflammatory response compared to conventional manual knee arthroplasty.
Despite the advantages in short-term outcomes, existing studies have not demonstrated significant differences in middle- to long-term functional outcomes between conventional manual UKA and robotic UKA..
Furthermore, meta-analyses found that robotic-assisted UKA was associated with lower complication rates and improved knee excursion during weight acceptance compared to conventional manual UKA. However, patient-reported outcome measures, range of motion, and revision rates did not significantly differ between the two approaches.
Regarding implant survivorship, studies have shown promising results for robotic UKA, with lower revision rates and higher implant survivorship compared to conventional manual UKA.
In terms of cost-effectiveness, analyses suggest that robotic UKA can be more cost-effective compared to conventional manual UKA, particularly in higher-volume centers. However, the substantial initial costs associated with robotic technology should be weighed against potential long-term benefits such as decreased hospital stay, reduced need for physiotherapy, and improved functional outcomes.
Robotic UKA offers improved accuracy in implant positioning, enhanced postoperative rehabilitation, and potential benefits for short-term functional outcomes, particularly in highly active individuals [7] Begum FA, Kayani B, Morgan SDJ, Ahmed SS, Singh S, Haddad FS. Robotic technology: current concepts, operative techniques and emerging uses in unicompartmental knee arthroplasty. EFORT Open Reviews 2020;5:312–8. https://doi.org/10.1302/2058-5241.5.190089..
References
1. Benazzo F, Rossi SMP, Ghiara M. Partial knee arthroplasty: patellofemoral arthroplasty and combined unicompartmental and patellofemoral arthroplasty implants – general considerations and indications, technique and clinical experience. The Knee 2014;21:S43–6. https://doi.org/10.1016/S0968-0160(14)50009-9.
2. Johal S, Nakano N, Baxter M, Hujazi I, Pandit H, Khanduja V. Unicompartmental Knee Arthroplasty: The Past, Current Controversies, and Future Perspectives. J Knee Surg 2018;31:992–8. https://doi.org/10.1055/s-0038-1625961.
3. Rossi SMP, Sangaletti R, Nesta F, Matascioli L, Terragnoli F, Benazzo F. A well performing medial fixed bearing UKA with promising survivorship at 15 years. Arch Orthop Trauma Surg 2022;143:2693–9. https://doi.org/10.1007/s00402-022-04562-7.
4. Sangaletti R, Andriollo L, Montagna A, Are L, Benazzo F, Rossi SMP. Lateral UKA can be a safe solution in a young patients’ population: a 10-year follow-up report. Arch Orthop Trauma Surg 2024. https://doi.org/10.1007/s00402-023-05189-y.
5. Hoogervorst P, Arendt EA. Patellofemoral arthroplasty: expert opinion. J EXP ORTOP 2022;9:24. https://doi.org/10.1186/s40634-022-00457-z.
6. Rossi SMP, Perticarini L, Clocchiatti S, Ghiara M, Benazzo F. Mid- to long-term follow-up of combined small implants: a third-generation patellofemoral arthroplasty associated with a medial or lateral unicompartmental knee arthroplasty. The Bone & Joint Journal 2021;103-B:840–5. https://doi.org/10.1302/0301-620X.103B5.BJJ-2020-0720.R3.
7. Begum FA, Kayani B, Morgan SDJ, Ahmed SS, Singh S, Haddad FS. Robotic technology: current concepts, operative techniques and emerging uses in unicompartmental knee arthroplasty. EFORT Open Reviews 2020;5:312–8. https://doi.org/10.1302/2058-5241.5.190089.