Medial meniscus ramp lesion injury increases extrusion and meniscal mobility
Background: Medial meniscus ramp lesions, involving the posterior horn and its meniscocapsular attachments, occur in up to 40% of anterior cruciate ligament (ACL) reconstructions. While these injuries are associated with increased rotatory laxity and anterior tibial translation in ACL-deficient knees, their specific impact on meniscal kinematics and extrusion under axial loading remains insufficiently characterized.
Objective: This cadaveric study aimed to quantify and compare medial meniscal mobility and extrusion between intact knees and those with grade 4 ramp lesions using 7-Tesla MRI and digital volume correlation (DVC) under varying axial loads.
Key Points: Two cadaveric specimens were subjected to axial loads of 0N, 750N, and 1500N in full extension. Following the creation of a grade 4 ramp lesion via a posteromedial arthroscopic approach, DVC analysis of 33,619,968 data points demonstrated significant increases in meniscal displacement. At 1500N, the mean lateromedial displacement (extrusion) increased from 2.11–2.81 voxels in native knees to 4.48–4.71 voxels in injured knees. Similarly, mean anteroposterior displacement increased from 0.48–2.11 voxels to 3.29–7.31 voxels post-injury. These findings indicate that disruption of the meniscotibial and meniscocapsular attachments significantly compromises the stabilizing "hoop" function of the medial meniscus.
Conclusion: Grade 4 medial meniscus ramp lesions significantly increase meniscal extrusion and posterior mobility during axial compression, even in ACL-intact states. Because meniscal extrusion is a known precursor to compartment hyper-pressure and cartilage degeneration, these results suggest that surgical repair of ramp lesions may be necessary to restore joint kinematics and prevent secondary osteoarthritis.
Introduction
Medial meniscus ramp lesions and lateral meniscus posterior root lesions are present in more than a third of primary and revision ACL reconstructions [24] Magosch A, Mouton C, Nührenbörger C, Seil R. Medial meniscus ramp and lateral meniscus posterior root lesions are present in more than a third of primary and revision ACL reconstructions. Knee Surg Sports Traumatol Arthrosc. 2021;29(9):3059-3067. doi:10.1007/s00167-020-06352-3. Medial meniscus ramp lesions (RL) are very common traumatic injuries with a prevalence of 21.9% (range, 9.0%-41.7%) at the time of anterior cruciate ligament (ACL) reconstruction [4], Brophy RH, Steinmetz RG, Smith MV, Matava MJ. Meniscal Ramp Lesions: Anatomy, Epidemiology, Diagnosis, and Treatment. J Am Acad Orthop Surg. 2022;30(6):255-262. doi:10.5435/JAAOS-D-21-00091[21] Kunze KN, Wright-Chisem J, Polce EM, DePhillipo NN, LaPrade RF, Chahla J. Risk Factors for Ramp Lesions of the Medial Meniscus: A Systematic Review and Meta-analysis. Am J Sports Med. 2021;49(13):3749-3757. doi:10.1177/0363546520986817. Ramp lesions are defined as a particular type of injury within the posterior horn of the medial meniscus and its menisco-capsular attachments. [38] Thaunat M, Ingale P, Penet A, et al. Ramp Lesion Subtypes: Prevalence, Imaging, and Arthroscopic Findings in 2156 Anterior Cruciate Ligament Reconstructions. Am J Sports Med. 2021;49(7):1813-1821. doi:10.1177/03635465211006103 Among the different types of ramp lesions, meniscocapsular junction tears (type 1) were the most common, followed by type 4 (complete tear in the red zone) [38] Thaunat M, Ingale P, Penet A, et al. Ramp Lesion Subtypes: Prevalence, Imaging, and Arthroscopic Findings in 2156 Anterior Cruciate Ligament Reconstructions. Am J Sports Med. 2021;49(7):1813-1821. doi:10.1177/03635465211006103.
Currently, the understanding of the meniscus biomechanics is certainly at the forefront of orthopaedic discussions [20], Kunze KN, Haddad A, White AE, Cohn MR, LaPrade RF, Chahla J. The Top 50 Most Cited Publications in Meniscus Research. J Knee Surg. Published online August 6, 2021. doi:10.1055/s-0041-1733881[29] Ollivier M, Batty L, Murgier J, Pujol N. Recent advances in ligamentous, meniscal and joint-preserving knee surgery: Pushing the limits. Orthop Traumatol Surg Res. Published online April 19, 2022:103282. doi:10.1016/j.otsr.2022.103282. Meniscocapsular and meniscotibial lesions of the posterior horn of the medial meniscus increased knee anterior tibial translation, internal and external rotation, and the pivot shift in ACL-deficient knees.[1], Ahn JH, Bae TS, Kang KS, Kang SY, Lee SH. Longitudinal tear of the medial meniscus posterior horn in the anterior cruciate ligament-deficient knee significantly influences anterior stability. Am J Sports Med. 2011;39(10):2187-2193. doi:10.1177/0363546511416597[10], DePhillipo NN, Moatshe G, Brady A, et al. Effect of Meniscocapsular and Meniscotibial Lesions in ACL-Deficient and ACL-Reconstructed Knees: A Biomechanical Study. Am J Sports Med. 2018;46(10):2422-2431. doi:10.1177/0363546518774315[12], Engebretsen L, Wijdicks CA, Anderson CJ, Westerhaus B, LaPrade RF. Evaluation of a simulated pivot shift test: a biomechanical study. Knee Surg Sports Traumatol Arthrosc. 2012;20(4):698-702. doi:10.1007/s00167-011-1744-1[27], Mouton C, Magosch A, Pape D, Hoffmann A, Nührenbörger C, Seil R. Ramp lesions of the medial meniscus are associated with a higher grade of dynamic rotatory laxity in ACL-injured patients in comparison to patients with an isolated injury. Knee Surg Sports Traumatol Arthrosc. 2020;28(4):1023-1028. doi:10.1007/s00167-019-05579-z[33], Peltier A, Lording T, Maubisson L, Ballis R, Neyret P, Lustig S. The role of the meniscotibial ligament in posteromedial rotational knee stability. Knee Surg Sports Traumatol Arthrosc. 2015;23(10):2967-2973. doi:10.1007/s00167-015-3751-0[36] Stephen JM, Halewood C, Kittl C, Bollen SR, Williams A, Amis AA. Posteromedial Meniscocapsular Lesions Increase Tibiofemoral Joint Laxity With Anterior Cruciate Ligament Deficiency, and Their Repair Reduces Laxity. Am J Sports Med. 2016;44(2):400-408. doi:10.1177/0363546515617454 But the available literature discussing the biomechanical consequences of ramp lesions remains limited. It is not clear whether these lesions affect joint kinematics and loading in the medial compartment [3], Bay BK, Smith TS, Fyhrie DP, Saad M. Digital volume correlation: Three-dimensional strain mapping using X-ray tomography. Experimental Mechanics. 1999;39(3):217-226. doi:10.1007/BF02323555[4], Brophy RH, Steinmetz RG, Smith MV, Matava MJ. Meniscal Ramp Lesions: Anatomy, Epidemiology, Diagnosis, and Treatment. J Am Acad Orthop Surg. 2022;30(6):255-262. doi:10.5435/JAAOS-D-21-00091[6] Chahla J, Dean CS, Moatshe G, et al. Meniscal Ramp Lesions: Anatomy, Incidence, Diagnosis, and Treatment. Orthop J Sports Med. 2016;4(7):2325967116657815. doi:10.1177/2325967116657815. Recently, some authors [19], Krych AJ, Reardon PJ, Johnson NR, et al. Non-operative management of medial meniscus posterior horn root tears is associated with worsening arthritis and poor clinical outcome at 5-year follow-up. Knee Surg Sports Traumatol Arthrosc. 2017;25(2):383-389. doi:10.1007/s00167-016-4359-8[25] Mariani PP, Torre G, Battaglia MJ. The post-traumatic meniscal extrusion, sign of meniscotibial ligament injury. A case series. Orthop Traumatol Surg Res. Published online February 2, 2022:103226. doi:10.1016/j.otsr.2022.103226 reported that meniscal extrusion is not only due to the root lesions but also relative to meniscotibial ligament (MTL) injuries. Although meniscal extrusion is often the consequence of hyper-pressure in the medial femorotibial compartment, it could be the cause in different cases, such as in the case of a ramp lesion. The objective of this cadaveric study was to compare the medial meniscal mobility between native knees and knees with grade 4 ramp lesions by a digital volume correlation (DVC) method using 7 Tesla MRI images at different loadings. The hypothesis of this study is that medial meniscus ramp lesion increases meniscal mobility and extrusion.
Methods
Specimen characteristics and preparation
This experimental study was conducted on two cadaveric knees collected at the ABS Lab laboratory of the University of Poitiers (Ministry of Education and Research No. DC-2008-137) and whose morphotype was normo-axed with a meniscal and cartilaginous state judged to be intact during the 7 Tesla MRI examination. The epidemiological data showed a 63-year-old man (73kg) and an 81-year-old woman (79kg) with no osteoarticular history and whose CT scan measurement of HKA angle was 178.9° (leg length: 123.4cm) and 177.8° (leg length: 127.7cm) respectively. These knees were then disarticulated below the hip and above the ankle and dissected, preserving the entire capsule and peripheral ligaments without opening the knee joint. Proximal and distal fixations of rigid polyurethane resin were made in order to facilitate the fixation of the anatomical parts on an MRI-compatible loading bench without ferromagnetic components and designed specifically for this series of experiments (Figure 1). These cadaveric knees initially from fresh and non-formalin fixed specimens were then cryopreserved after the primary dissection phase. Before each experiment, the thawing protocol consisted in placing the cadaveric segments at room temperature for 48h in order to optimize the elasticity-solidity relationship and to get closer to the physiological conditions found in living patients.

Experimental protocol
An initial series of 7T MRI imaging was performed on these native knees at progressive loads ranging from 0N to 1500N, equivalent to more than twice the body weight load. A second series of images was then taken on these same knees with the same loads after grade 4 medial meniscus ramp lesions [38] Thaunat M, Ingale P, Penet A, et al. Ramp Lesion Subtypes: Prevalence, Imaging, and Arthroscopic Findings in 2156 Anterior Cruciate Ligament Reconstructions. Am J Sports Med. 2021;49(7):1813-1821. doi:10.1177/03635465211006103 had been made under arthroscopy by a posteromedial instrumental approach (Figure 2).

Digital volume correlation and assessment criteria
Digital volume correlation (DVC) is used to determine the three components of displacement and spatial variations of a material or structure from volumetric images 3,5,11. In the initial image, a sub-volume of voxels (D) is defined in each voxel. Each sub-volume is then searched by measuring the degree of similarity in the distorted image. For this purpose, a correlation sub-volume is represented by the value of the voxels constituting it denoted (\(f(\overrightarrow{X})\)) at the initial state, with \(\overrightarrow{X}\)
the position vector of the sub-volume at initial state. The position of the searched sub-volume in the distorted image is denoted \(\overrightarrow{x}\) and the gray levels constituting it \(g(\overrightarrow{x})\). The level of similarity between a sub-volume of the initial state and a sub-volume of the deformed state is defined by a correlation coefficient 14 based on the optimization of a functional
\(f(\overrightarrow{X}) - g(\overrightarrow{\phi} (\overrightarrow{X}))\)
and where \(\overrightarrow{\phi}\) is the material transformation between the deformation states. This non-contact method allows the measurement of volume displacements in the structure from 1 µm to several tens of millimeters [13], Germaneau A, Doumalin P, Dupré JC. Comparison between X-ray micro-computed tomography and optical scanning tomography for full 3D strain measurement by digital volume correlation. NDT & E International. 2008;41(6):407-415. doi:10.1016/j.ndteint.2008.04.001[39] Valle V, Bokam P, Germaneau A, Hedan S. New development of Digital Volume Correlation for the study of fractured materials. Exp Mech. 2019;59(1):1-15. doi:10.1007/s11340-018-0415-2 (Figure 3).

Overlay of the constrained and unconstrained MRI images was performed by semi-automated tibial registration of the image sequences with the 3DSlicer software (Version 4.11, Kitware, France). Manual segmentation of the medial meniscus was performed on the first MRI to obtain a mask of the region of interest to be analyzed to DVC.
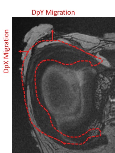
The displacement fields were analyzed in all three dimensions, but the observation of the displacements in x and y made it possible to analyze the anteroposterior and/or lateromedial migration of the meniscus after axial compression, with the knee positioned in full extension (Figure 4).

Statistical analysis
The statistical analysis was performed with IBM SPSS® Statistics software (version 19.0). Wilcoxon paired tests (non-parametric) were used to compare the distribution of each parameter and analyze the variations in the displacement fields in the various experimental conditions. The significance threshold was set at p < 0.05.
Results
The directional displacements of the medial meniscus were measured by DVC at 33.619.968 points. Figures 5 through 8 show the directional displacement fields obtained by DVC after application of a 0N, 750N and 1500N axial load.
Mean displacements are expressed in voxels (1voxel=0.35 mm, ± standard deviation) and were measured on the posterior segment of the medial meniscus, anteriorly to the ramp lesion.
In the lateromedial direction (DpX), the mean displacements measured at 1500 N load were -2.809 (±0.778) on the first native knee versus -4.480 (±9.570) on the same knee with ramp lesion injury. For the second knee, the mean displacements measured in X with this same load were 2.108 (±0.380) before and 4.705 (±0.884) after ramp lesion injury. With a grade 4 medial meniscal ramp lesion, the meniscus increases its extrusion in the frontal plane (Figure 5 & 7).


In the anteroposterior direction (DpY), the mean displacements measured at 1500 N load were 0.476 (±0.552) on the first native knee versus 3.285 (±0.819) on the same knee with ramp lesion injury. For the second knee, the mean displacements measured in Y with this same load were 2.112 (±0.378) before and 7.311 (±1.312) after ramp lesion injury. With a grade 4 ramp lesion, the posterior segment of the medial meniscus increases its posterior extrusion in the sagittal plane (Figure 6 & 8).


All data on the anteroposterior and/or lateromedial migration of the meniscus after axial compression between native knees and injured knees are summarized in Table 1.


Discussion
The main finding of this study was that medial meniscus ramp lesion injury increases meniscal extrusion that is defined as the internal displacement of the medial meniscus in relation to the medial margin of the tibial plateau, and meniscal posterior mobility during axial compression. This biomechanical study confirms that ramp lesions could be responsive of meniscal extrusion usually considered as the result of meniscal root lesion or disruption of the coronary ligaments or isolated MTL injury [6], Chahla J, Dean CS, Moatshe G, et al. Meniscal Ramp Lesions: Anatomy, Incidence, Diagnosis, and Treatment. Orthop J Sports Med. 2016;4(7):2325967116657815. doi:10.1177/2325967116657815[19], Krych AJ, Reardon PJ, Johnson NR, et al. Non-operative management of medial meniscus posterior horn root tears is associated with worsening arthritis and poor clinical outcome at 5-year follow-up. Knee Surg Sports Traumatol Arthrosc. 2017;25(2):383-389. doi:10.1007/s00167-016-4359-8[25], Mariani PP, Torre G, Battaglia MJ. The post-traumatic meniscal extrusion, sign of meniscotibial ligament injury. A case series. Orthop Traumatol Surg Res. Published online February 2, 2022:103226. doi:10.1016/j.otsr.2022.103226[28], Naendrup JH, Pfeiffer TR, Chan C, et al. Effect of Meniscal Ramp Lesion Repair on Knee Kinematics, Bony Contact Forces, and In Situ Forces in the Anterior Cruciate Ligament. Am J Sports Med. 2019;47(13):3195-3202. doi:10.1177/0363546519872964[38] Thaunat M, Ingale P, Penet A, et al. Ramp Lesion Subtypes: Prevalence, Imaging, and Arthroscopic Findings in 2156 Anterior Cruciate Ligament Reconstructions. Am J Sports Med. 2021;49(7):1813-1821. doi:10.1177/03635465211006103.
Meniscal extrusion is known to be an important predictor of accelerated joint degeneration [17], Hein CN, Deperio JG, Ehrensberger MT, Marzo JM. Effects of medial meniscal posterior horn avulsion and repair on meniscal displacement. Knee. 2011;18(3):189-192. doi:10.1016/j.knee.2010.04.006[19] Krych AJ, Reardon PJ, Johnson NR, et al. Non-operative management of medial meniscus posterior horn root tears is associated with worsening arthritis and poor clinical outcome at 5-year follow-up. Knee Surg Sports Traumatol Arthrosc. 2017;25(2):383-389. doi:10.1007/s00167-016-4359-8. In most cases, diagnosing meniscal extrusion is critical not only for the acute functional disability it imposes on the patient, but also for its direct relationship with osteoarthritis (OA) and is observed in elderly people [15], Guermazi A, Eckstein F, Hayashi D, et al. Baseline radiographic osteoarthritis and semi-quantitatively assessed meniscal damage and extrusion and cartilage damage on MRI is related to quantitatively defined cartilage thickness loss in knee osteoarthritis: the Multicenter Osteoarthritis Study. Osteoarthritis Cartilage. 2015;23(12):2191-2198. doi:10.1016/j.joca.2015.06.017[37] Sugita T, Kawamata T, Ohnuma M, Yoshizumi Y, Sato K. Radial displacement of the medial meniscus in varus osteoarthritis of the knee. Clin Orthop Relat Res. 2001;(387):171-177. doi:10.1097/00003086-200106000-00023. It may seem difficult to know what is the cause or the consequence. However, meniscal extrusion seems to decrease the hoop function of the meniscus and increases the risk of knee OA. 30 In our case, the ramp lesion is a common meniscal injury that principally occur in case of ACL rupture or knee laxity associated with anterior cruciate ligament insufficiency with a higher prevalence for patients younger than 30 years of age and male patients [23] Liu X, Feng H, Zhang H, Hong L, Wang XS, Zhang J. Arthroscopic prevalence of ramp lesion in 868 patients with anterior cruciate ligament injury. Am J Sports Med. 2011;39(4):832-837. doi:10.1177/0363546510388933. Nevertheless, the current literature agrees that meniscal extrusion with or without ACL deficiency increased mechanical loading and pathological response of joint tissue to the abnormal mechanical stress can cause degradation of cartilage characteristic of knee OA, especially in the medial compartment knee [8] Daszkiewicz K, Łuczkiewicz P. Biomechanics of the medial meniscus in the osteoarthritic knee joint. PeerJ. 2021;9:e12509. doi:10.7717/peerj.12509. In the same principle, a significant relationship was found between the degree of the medial meniscus extrusion and the onset of post-arthroscopic osteonecrosis of the knee [40] Yamaguchi J, Yasuda K, Kondo E, et al. Extrusion of the medial meniscus is a potential predisposing factor for post-arthroscopy osteonecrosis of the knee. BMC Musculoskelet Disord. 2021;22(1):852. doi:10.1186/s12891-021-04730-7.
Only one study [28] Naendrup JH, Pfeiffer TR, Chan C, et al. Effect of Meniscal Ramp Lesion Repair on Knee Kinematics, Bony Contact Forces, and In Situ Forces in the Anterior Cruciate Ligament. Am J Sports Med. 2019;47(13):3195-3202. doi:10.1177/0363546519872964 found contradictory results with a non-significance on the knee medial stress due to ramp lesion injuries, but was performed on ACL-intact knees with a maximum axial compression load of 200N on a freedom robotic testing system. While these same authors think the indications for ramp lesion repair may be limited, there are number of reasons that seem to encourage meniscal repair in addition of the risk of OA degeneration due to RL. Medial menisci with ramp lesions are less stable and could progress toward a bucket-handle tear, especially in case of subtype 4 or 5 lesions [38] Thaunat M, Ingale P, Penet A, et al. Ramp Lesion Subtypes: Prevalence, Imaging, and Arthroscopic Findings in 2156 Anterior Cruciate Ligament Reconstructions. Am J Sports Med. 2021;49(7):1813-1821. doi:10.1177/03635465211006103. In addition, DePhilippo et al [10] DePhillipo NN, Moatshe G, Brady A, et al. Effect of Meniscocapsular and Meniscotibial Lesions in ACL-Deficient and ACL-Reconstructed Knees: A Biomechanical Study. Am J Sports Med. 2018;46(10):2422-2431. doi:10.1177/0363546518774315 have observed that meniscotibial and meniscocapsular lesions of the posterior segment of the medial meniscus increased knee anterior tibial translation, internal and external rotation, and the pivot shift in ACL-deficient knees. Optimal treatment has been debated in the literature, especially for stable ramp lesions, although good outcomes have been shown with and without repair [4] Brophy RH, Steinmetz RG, Smith MV, Matava MJ. Meniscal Ramp Lesions: Anatomy, Epidemiology, Diagnosis, and Treatment. J Am Acad Orthop Surg. 2022;30(6):255-262. doi:10.5435/JAAOS-D-21-00091. Healing rates of ramp lesions were significantly better when lesions are repaired and surgical procedures appear to be reliable. [16] Hatayama K, Terauchi M, Saito K, Takase R, Higuchi H. Healing Status of Meniscal Ramp Lesion Affects Anterior Knee Stability After ACL Reconstruction. Orthop J Sports Med. 2020;8(5):2325967120917674. doi:10.1177/2325967120917674 Recently, Park et al [32] Park DY, Yin XY, Chung JY, et al. Circumferential Rim Augmentation Suture Around the Perimeniscal Capsule Decreases Meniscal Extrusion and Progression of Osteoarthritis in Rabbit Meniscus Root Tear Model. Am J Sports Med. 2022;50(3):689-698. doi:10.1177/03635465211064297 have analyzed the joint capsule adjacent to the medial meniscus and found that the perimeniscal joint capsule has collagen fiber orientation similar to that of circumferential meniscal fibers, potentially playing a role in preventing extrusion. They have found that the circumferential rim augmentation suture reduced the degree of meniscal extrusion while restoring meniscal function, potentially preventing progression of arthritis in a rabbit root tear model and porcine knee biomechanical analysis.[32] Park DY, Yin XY, Chung JY, et al. Circumferential Rim Augmentation Suture Around the Perimeniscal Capsule Decreases Meniscal Extrusion and Progression of Osteoarthritis in Rabbit Meniscus Root Tear Model. Am J Sports Med. 2022;50(3):689-698. doi:10.1177/03635465211064297
Normally, the amount of extrusion is quantified by measuring the distance between the medial edge of the tibial plateau and the most prominent medial point of the medial meniscus [7] Choi CJ, Choi YJ, Lee JJ, Choi CH. Magnetic resonance imaging evidence of meniscal extrusion in medial meniscus posterior root tear. Arthroscopy. 2010;26(12):1602-1606. doi:10.1016/j.arthro.2010.05.004. In the literature, a meniscal extrusion greater than 3 or 4 mm seems to have a biomechanical impact on tibiofemoral compartment contact area and pressures [9] Debieux P, Jimenez AE, Novaretti JV, et al. Medial meniscal extrusion greater than 4 mm reduces medial tibiofemoral compartment contact area: a biomechanical analysis of tibiofemoral contact area and pressures with varying amounts of meniscal extrusion. Knee Surg Sports Traumatol Arthrosc. 2021;29(9):3124-3132. doi:10.1007/s00167-020-06363-0. Our results are below these but concern knees without OA and ACL-insufficiency. On the other hand, meniscal mobility was also found in the healthy knees. Kawaguchi et al. demonstrated in an ultrasound-based study that physiologic loading can cause meniscal extrusion to a mild degree [18] Kawaguchi K, Enokida M, Otsuki R, Teshima R. Ultrasonographic evaluation of medial radial displacement of the medial meniscus in knee osteoarthritis. Arthritis Rheum. 2012;64(1):173-180. doi:10.1002/art.33319. Similarly, another ultrasound study showed that the posterior portion had greater extrusion than the anterior portion and this mainly for the medial meniscus [35] Sharafat Vaziri A, Aghaghazvini L, Jahangiri S, et al. Determination of Normal Reference Values for Meniscal Extrusion Using Ultrasonography During the Different Range of Motion: A Pilot, Feasibility Study. J Ultrasound Med. Published online February 9, 2022. doi:10.1002/jum.15955. Other studies have investigated the displacements and 3D morphological changes of the menisci under knee weight-bearing and early flexion conditions in healthy adults using MRI [22] Liu T, Shen X, Ji Q, Xiao J, Zuo J, Gao Z. The MRI-based 3D morphologic changes of knee meniscus under knee weight-bearing and early flexion conditions. Sci Rep. 2021;11(1):22122. doi:10.1038/s41598-021-01531-9. No data are currently available on injured knees with volume quantification by MRI. Only our work has evaluated meniscal displacement by DVC at different axial compression load. This direct correlation DVC technique is however a reliable, reproducible and already proven technique, provided that the study sub-volumes are optimized [26], Marter A, Burson-Thomas C, Dickinson A, et al. Measurement of Internal Implantation Strains in Analogue Bone Using DVC. Materials (Basel). 2020;13(18):E4050. doi:10.3390/ma13184050[31] Palanca M, Tozzi G, Cristofolini L, Viceconti M, Dall’Ara E. Three-dimensional local measurements of bone strain and displacement: comparison of three digital volume correlation approaches. J Biomech Eng. 2015;137(7). doi:10.1115/1.4030174.
The study has limitations. First, this was a cadaver study. Although we have tried to optimize the elasticity/solidity ratio with our institutional thawing procedure, performing this study on fresh cadaver knees would allow us to come even closer to reproducing the physiological conditions of the meniscal displacement in living patients.
Secondly, this study was realized with the knee in extension because of the 7T RMI device. However, the extrusion of meniscus's medial body seemed to be greater in full extension compared to any other flexing angles. Mechanical loading can significantly deform the menisci in knee extension; however, this effect is limited during knee flexion.[22] Liu T, Shen X, Ji Q, Xiao J, Zuo J, Gao Z. The MRI-based 3D morphologic changes of knee meniscus under knee weight-bearing and early flexion conditions. Sci Rep. 2021;11(1):22122. doi:10.1038/s41598-021-01531-9 In contrast, anteroposterior mobility measures commonly increased with the rising of knee flexion motion [35] Sharafat Vaziri A, Aghaghazvini L, Jahangiri S, et al. Determination of Normal Reference Values for Meniscal Extrusion Using Ultrasonography During the Different Range of Motion: A Pilot, Feasibility Study. J Ultrasound Med. Published online February 9, 2022. doi:10.1002/jum.15955. For this reason, the data concerning lateromedial displacement (DpX) appear to be more informative.
It is possible that variability between our results and the findings of other future studies could be due to the characteristics of the created lesions. The definition of ramp lesions is constantly debated, especially in terms of length. A ramp lesion has been commonly defined as a 2.5-cm tear. [2], Balazs GC, Greditzer HG, Wang D, et al. Ramp Lesions of the Medial Meniscus in Patients Undergoing Primary and Revision ACL Reconstruction: Prevalence and Risk Factors. Orthop J Sports Med. 2019;7(5):2325967119843509. doi:10.1177/2325967119843509[6] Chahla J, Dean CS, Moatshe G, et al. Meniscal Ramp Lesions: Anatomy, Incidence, Diagnosis, and Treatment. Orthop J Sports Med. 2016;4(7):2325967116657815. doi:10.1177/2325967116657815 However, during our experimentation, the length of the ramp lesion we were able to achieve was 20 and 21 mm according with the statement of DePhillipo et al [10] DePhillipo NN, Moatshe G, Brady A, et al. Effect of Meniscocapsular and Meniscotibial Lesions in ACL-Deficient and ACL-Reconstructed Knees: A Biomechanical Study. Am J Sports Med. 2018;46(10):2422-2431. doi:10.1177/0363546518774315 who have clearly etablished that the length of the posteromedial meniscocapsular junction may not exceed 2 cm because otherwise it would be heard at the midportion of the meniscus.
Conclusion
Subtype 4 medial meniscus ramp lesion injury increases meniscal extrusion and meniscal posterior mobility during axial compression in ACL-intact knees. Indeed, meniscotibial ligament and meniscocapsular junction seem to behave like the belt and suspenders of the medial meniscus.
References
1. Ahn JH, Bae TS, Kang KS, Kang SY, Lee SH. Longitudinal tear of the medial meniscus posterior horn in the anterior cruciate ligament-deficient knee significantly influences anterior stability. Am J Sports Med. 2011;39(10):2187-2193. doi:10.1177/0363546511416597
2. Balazs GC, Greditzer HG, Wang D, et al. Ramp Lesions of the Medial Meniscus in Patients Undergoing Primary and Revision ACL Reconstruction: Prevalence and Risk Factors. Orthop J Sports Med. 2019;7(5):2325967119843509. doi:10.1177/2325967119843509
3. Bay BK, Smith TS, Fyhrie DP, Saad M. Digital volume correlation: Three-dimensional strain mapping using X-ray tomography. Experimental Mechanics. 1999;39(3):217-226. doi:10.1007/BF02323555
4. Brophy RH, Steinmetz RG, Smith MV, Matava MJ. Meniscal Ramp Lesions: Anatomy, Epidemiology, Diagnosis, and Treatment. J Am Acad Orthop Surg. 2022;30(6):255-262. doi:10.5435/JAAOS-D-21-00091
5. Buljac A, Jailin C, Mendoza A, et al. Digital Volume Correlation: Review of progress and challenges. Experimental Mechanics. 2018;58(5):661-708. doi:10.1007/s11340-018-0390-7
6. Chahla J, Dean CS, Moatshe G, et al. Meniscal Ramp Lesions: Anatomy, Incidence, Diagnosis, and Treatment. Orthop J Sports Med. 2016;4(7):2325967116657815. doi:10.1177/2325967116657815
7. Choi CJ, Choi YJ, Lee JJ, Choi CH. Magnetic resonance imaging evidence of meniscal extrusion in medial meniscus posterior root tear. Arthroscopy. 2010;26(12):1602-1606. doi:10.1016/j.arthro.2010.05.004
8. Daszkiewicz K, Łuczkiewicz P. Biomechanics of the medial meniscus in the osteoarthritic knee joint. PeerJ. 2021;9:e12509. doi:10.7717/peerj.12509
9. Debieux P, Jimenez AE, Novaretti JV, et al. Medial meniscal extrusion greater than 4 mm reduces medial tibiofemoral compartment contact area: a biomechanical analysis of tibiofemoral contact area and pressures with varying amounts of meniscal extrusion. Knee Surg Sports Traumatol Arthrosc. 2021;29(9):3124-3132. doi:10.1007/s00167-020-06363-0
10. DePhillipo NN, Moatshe G, Brady A, et al. Effect of Meniscocapsular and Meniscotibial Lesions in ACL-Deficient and ACL-Reconstructed Knees: A Biomechanical Study. Am J Sports Med. 2018;46(10):2422-2431. doi:10.1177/0363546518774315
11. Disney CM, Lee PD, Hoyland JA, Sherratt MJ, Bay BK. A review of techniques for visualising soft tissue microstructure deformation and quantifying strain Ex Vivo: Soft tissue microstructure deformation and quantifying strain. Journal of Microscopy. 2018;272(3):165-179. doi:10.1111/jmi.12701
12. Engebretsen L, Wijdicks CA, Anderson CJ, Westerhaus B, LaPrade RF. Evaluation of a simulated pivot shift test: a biomechanical study. Knee Surg Sports Traumatol Arthrosc. 2012;20(4):698-702. doi:10.1007/s00167-011-1744-1
13. Germaneau A, Doumalin P, Dupré JC. Comparison between X-ray micro-computed tomography and optical scanning tomography for full 3D strain measurement by digital volume correlation. NDT & E International. 2008;41(6):407-415. doi:10.1016/j.ndteint.2008.04.001
14. Germaneau A, Doumalin P, Dupré JC. Full 3D Measurement of Strain Field by Scattered Light for Analysis of Structures. Exp Mech. 2007;47(4):523-532. doi:10.1007/s11340-006-9029-1
15. Guermazi A, Eckstein F, Hayashi D, et al. Baseline radiographic osteoarthritis and semi-quantitatively assessed meniscal damage and extrusion and cartilage damage on MRI is related to quantitatively defined cartilage thickness loss in knee osteoarthritis: the Multicenter Osteoarthritis Study. Osteoarthritis Cartilage. 2015;23(12):2191-2198. doi:10.1016/j.joca.2015.06.017
16. Hatayama K, Terauchi M, Saito K, Takase R, Higuchi H. Healing Status of Meniscal Ramp Lesion Affects Anterior Knee Stability After ACL Reconstruction. Orthop J Sports Med. 2020;8(5):2325967120917674. doi:10.1177/2325967120917674
17. Hein CN, Deperio JG, Ehrensberger MT, Marzo JM. Effects of medial meniscal posterior horn avulsion and repair on meniscal displacement. Knee. 2011;18(3):189-192. doi:10.1016/j.knee.2010.04.006
18. Kawaguchi K, Enokida M, Otsuki R, Teshima R. Ultrasonographic evaluation of medial radial displacement of the medial meniscus in knee osteoarthritis. Arthritis Rheum. 2012;64(1):173-180. doi:10.1002/art.33319
19. Krych AJ, Reardon PJ, Johnson NR, et al. Non-operative management of medial meniscus posterior horn root tears is associated with worsening arthritis and poor clinical outcome at 5-year follow-up. Knee Surg Sports Traumatol Arthrosc. 2017;25(2):383-389. doi:10.1007/s00167-016-4359-8
20. Kunze KN, Haddad A, White AE, Cohn MR, LaPrade RF, Chahla J. The Top 50 Most Cited Publications in Meniscus Research. J Knee Surg. Published online August 6, 2021. doi:10.1055/s-0041-1733881
21. Kunze KN, Wright-Chisem J, Polce EM, DePhillipo NN, LaPrade RF, Chahla J. Risk Factors for Ramp Lesions of the Medial Meniscus: A Systematic Review and Meta-analysis. Am J Sports Med. 2021;49(13):3749-3757. doi:10.1177/0363546520986817
22. Liu T, Shen X, Ji Q, Xiao J, Zuo J, Gao Z. The MRI-based 3D morphologic changes of knee meniscus under knee weight-bearing and early flexion conditions. Sci Rep. 2021;11(1):22122. doi:10.1038/s41598-021-01531-9
23. Liu X, Feng H, Zhang H, Hong L, Wang XS, Zhang J. Arthroscopic prevalence of ramp lesion in 868 patients with anterior cruciate ligament injury. Am J Sports Med. 2011;39(4):832-837. doi:10.1177/0363546510388933
24. Magosch A, Mouton C, Nührenbörger C, Seil R. Medial meniscus ramp and lateral meniscus posterior root lesions are present in more than a third of primary and revision ACL reconstructions. Knee Surg Sports Traumatol Arthrosc. 2021;29(9):3059-3067. doi:10.1007/s00167-020-06352-3
25. Mariani PP, Torre G, Battaglia MJ. The post-traumatic meniscal extrusion, sign of meniscotibial ligament injury. A case series. Orthop Traumatol Surg Res. Published online February 2, 2022:103226. doi:10.1016/j.otsr.2022.103226
26. Marter A, Burson-Thomas C, Dickinson A, et al. Measurement of Internal Implantation Strains in Analogue Bone Using DVC. Materials (Basel). 2020;13(18):E4050. doi:10.3390/ma13184050
27. Mouton C, Magosch A, Pape D, Hoffmann A, Nührenbörger C, Seil R. Ramp lesions of the medial meniscus are associated with a higher grade of dynamic rotatory laxity in ACL-injured patients in comparison to patients with an isolated injury. Knee Surg Sports Traumatol Arthrosc. 2020;28(4):1023-1028. doi:10.1007/s00167-019-05579-z
28. Naendrup JH, Pfeiffer TR, Chan C, et al. Effect of Meniscal Ramp Lesion Repair on Knee Kinematics, Bony Contact Forces, and In Situ Forces in the Anterior Cruciate Ligament. Am J Sports Med. 2019;47(13):3195-3202. doi:10.1177/0363546519872964
29. Ollivier M, Batty L, Murgier J, Pujol N. Recent advances in ligamentous, meniscal and joint-preserving knee surgery: Pushing the limits. Orthop Traumatol Surg Res. Published online April 19, 2022:103282. doi:10.1016/j.otsr.2022.103282
30. Ozeki N, Koga H, Sekiya I. Degenerative Meniscus in Knee Osteoarthritis: From Pathology to Treatment. Life (Basel). 2022;12(4):603. doi:10.3390/life12040603
31. Palanca M, Tozzi G, Cristofolini L, Viceconti M, Dall’Ara E. Three-dimensional local measurements of bone strain and displacement: comparison of three digital volume correlation approaches. J Biomech Eng. 2015;137(7). doi:10.1115/1.4030174
32. Park DY, Yin XY, Chung JY, et al. Circumferential Rim Augmentation Suture Around the Perimeniscal Capsule Decreases Meniscal Extrusion and Progression of Osteoarthritis in Rabbit Meniscus Root Tear Model. Am J Sports Med. 2022;50(3):689-698. doi:10.1177/03635465211064297
33. Peltier A, Lording T, Maubisson L, Ballis R, Neyret P, Lustig S. The role of the meniscotibial ligament in posteromedial rotational knee stability. Knee Surg Sports Traumatol Arthrosc. 2015;23(10):2967-2973. doi:10.1007/s00167-015-3751-0
34. Seil R. Editorial Commentary: Medial Meniscal Ramp Lesions: Lessons Learned From the Past in the Pursuit of Evidence. Arthroscopy. 2018;34(5):1638-1640. doi:10.1016/j.arthro.2018.02.032
35. Sharafat Vaziri A, Aghaghazvini L, Jahangiri S, et al. Determination of Normal Reference Values for Meniscal Extrusion Using Ultrasonography During the Different Range of Motion: A Pilot, Feasibility Study. J Ultrasound Med. Published online February 9, 2022. doi:10.1002/jum.15955
36. Stephen JM, Halewood C, Kittl C, Bollen SR, Williams A, Amis AA. Posteromedial Meniscocapsular Lesions Increase Tibiofemoral Joint Laxity With Anterior Cruciate Ligament Deficiency, and Their Repair Reduces Laxity. Am J Sports Med. 2016;44(2):400-408. doi:10.1177/0363546515617454
37. Sugita T, Kawamata T, Ohnuma M, Yoshizumi Y, Sato K. Radial displacement of the medial meniscus in varus osteoarthritis of the knee. Clin Orthop Relat Res. 2001;(387):171-177. doi:10.1097/00003086-200106000-00023
38. Thaunat M, Ingale P, Penet A, et al. Ramp Lesion Subtypes: Prevalence, Imaging, and Arthroscopic Findings in 2156 Anterior Cruciate Ligament Reconstructions. Am J Sports Med. 2021;49(7):1813-1821. doi:10.1177/03635465211006103
39. Valle V, Bokam P, Germaneau A, Hedan S. New development of Digital Volume Correlation for the study of fractured materials. Exp Mech. 2019;59(1):1-15. doi:10.1007/s11340-018-0415-2
40. Yamaguchi J, Yasuda K, Kondo E, et al. Extrusion of the medial meniscus is a potential predisposing factor for post-arthroscopy osteonecrosis of the knee. BMC Musculoskelet Disord. 2021;22(1):852. doi:10.1186/s12891-021-04730-7