Microbiological vs. histological examinations in septic arthritis of the knee joint: a comparative analysis
Background: Intra-articular corticosteroid injections are frequently utilized in the conservative management of knee osteoarthritis, yet they carry a documented risk of iatrogenic septic arthritis. Despite clinical awareness of this complication, there is a significant paucity of comparative histological data regarding the specific morphological impact of steroid preparations on infected synovial and osseous tissues.
Objective: This retrospective study aims to characterize the influence of steroid preparations on tissue morphology in septic arthritis of the knee and to correlate these histological findings with microbiological culture profiles.
Key Points: A retrospective analysis was conducted on 54 patients with septic arthritis of the knee, stratified by etiology (steroid-induced versus non-steroid) and the presence of bone involvement. Microbiological results demonstrated positive cultures in 90.3% of non-steroid cases, whereas steroid-induced cases yielded positive results in only 33.3%. *Staphylococcus aureus* was the most prevalent pathogen identified (29.1%). Histological examination of surgical specimens from 12 patients revealed universal inflammatory markers, including lymphoplasmacytic infiltration, neutrophil activity, and vascular edema across all groups. However, steroid-induced infections exhibited more aggressive structural degradation. These cases were characterized by significantly reduced articular cartilage thickness and deeper destructive foci that frequently extended into the subchondral bone. The high rate of negative cultures (66.7%) in acute steroid-induced cases suggests that these preparations may initially induce aseptic cell necrosis and oxidative stress, which exacerbates subsequent infectious damage and structural failure of the joint components.
Conclusion: Steroid-induced septic arthritis is associated with accelerated cartilage and bone destruction compared to non-steroid etiologies. The observed correlation between severe morphological damage and low culture positivity suggests a complex pathophysiology involving both infectious and aseptic necrotic mechanisms.
Introduction
According to international recommendations, therapeutic joint injections are considered an effective method of conservative treatment for osteoarthritis [1], Uthman I, Raynauld JP, Haraoui B. Intra-articular therapy in osteoarthritis. Postgrad Med J. 2003 Aug;79(934):449–53. [2], Neustadt DH. Intra-articular injections for osteoarthritis of the knee. Cleve Clin J Med. 2006 Oct;73(10):897–8. 901–4, 906–11. doi: 10.3949/ccjm.73.10.897. [3], Jadidi S. A Review of Non-Surgical Pain Management in Osteoarthritis. Cureus. 2020 Oct 6;12(10):e10829. doi: 10.7759/cureus.10829. [4] Abramoff B, Caldera FE. Osteoarthritis: Pathology, Diagnosis, and Treatment Options. Med Clin North Am. 2020 Mar;104(2):293–311. doi: 10.1016/j.mcna.2019.10.007. . Hydrocortisone was introduced for intra-articular injection in 1951. Since then, vast experience has confirmed the value of this agent and of other corticosteroid suspensions for combating pain and inflammation when injected into the joint in patients with rheumatoid arthritis and other inflammatory arthropathies [5] Neustadt DH. Intra-articular therapy. In: Moskowitz RW, Howell DS, Altman RD, Budwalter JA, Goldberg VM, editors. Osteoarthritis: Diagnosis and Medical/Surgical Management, 3rd ed. Philadelphia, W.B. Saunders, 2001:393–411.. Despite the lack of serious long-term clinical evidence in the literature, intra-articular injections of steroid preparations are a common practice in conservative treatment of osteoarthritis [1], Uthman I, Raynauld JP, Haraoui B. Intra-articular therapy in osteoarthritis. Postgrad Med J. 2003 Aug;79(934):449–53. [2], Neustadt DH. Intra-articular injections for osteoarthritis of the knee. Cleve Clin J Med. 2006 Oct;73(10):897–8. 901–4, 906–11. doi: 10.3949/ccjm.73.10.897. [3], Jadidi S. A Review of Non-Surgical Pain Management in Osteoarthritis. Cureus. 2020 Oct 6;12(10):e10829. doi: 10.7759/cureus.10829. [4], Abramoff B, Caldera FE. Osteoarthritis: Pathology, Diagnosis, and Treatment Options. Med Clin North Am. 2020 Mar;104(2):293–311. doi: 10.1016/j.mcna.2019.10.007. [6], Manfreda F, Rinonapoli G, Nardi A, Antinolfi P, Caraffa A. A Fatal Sepsis Caused by Hyaluronate Knee Injection: How Much the Medical History and the Informed Consent Might Be Important? Case Rep Orthop. 2017;2017:1518401. doi: 10.1155/2017/151840. [7], Lee YK, Kim KC, Ha YC, Koo KH. Utilization of Hyaluronate and Incidence of Septic Knee Arthritis in Adults: Results from the Korean National Claim Registry. Clin Orthop Surg. 2015 Sep;7(3):318–22. doi: 10.4055/cios.2015.7.3.318. [8] Kumar N, Newman RJ. Complications of intra-and peri-articular steroid injections. Br J Gen Pract. 1999 Jun;49(443):465–6. . Risk factors include pre-existing joint diseases like rheumatoid arthritis, alcoholism, diabetes, skin ulcers, intravenous drug abuse, and immunosuppression. There are also iatrogenic factors associated with improper intra-articular injection techniques, breach of asepsis and antisepsis, where the most common etiological agent is Staphylococcus aureus (S. aureus) [9], Hassan AS, Rao A, Manadan AM, Block JA. Peripheral Bacterial Septic Arthritis: Review of Diagnosis and Management. J Clin Rheumatol. 2017 Dec;23(8):435–442. doi: 10.1097/RHU.0000000000000588. [10], Mathews CJ, Weston VC, Jones A, Field M, Coakley G. Bacterial septic arthritis in adults. Lancet. 2010 Mar 6;375(9717):846–55. doi: 10.1016/S0140-6736(09)61595-6. [11] Helito CP, Teixeira PR, Oliveira PR, et al. Septic arthritis of the knee: clinical and laboratory comparison of groups with different etiologies. Clinics (Sao Paulo) 2016;71(12):715–719. Published 2016 Dec 1. doi: 10.6061/clinics/2016(12)07. . Marco Mattia Largi et al. (2022) in their retrospective study of post-injection septic arthritis found more frequent involvement of Staphylococcus aureus, and sometimes coagulase-negative staphylococci and anaerobes as bacterial culprits [12] Marco Mattia Larghi, Miriam Grassi, Emanuele Placenza, Luca Faugno, Pietro Cerveri, and Alfonso Manzotti. Septic arthritis after joint injections: a 17-year retrospective study at the Akta Biomed Academic General Hospital. 2021; 92(6): e2021308. doi: 10.23750/abm.v92i6.10425.. Similar data were also reported by other authors [13], Xu C, Peng H, Li R, Chai W, Li X, Fu J, Liu K, Yu B, Jia C, Chen J. Risk factors and clinical characteristics of deep knee infection in patients with intra-articular injections: A matched retrospective cohort analysis. Semin Arthritis Rheum. 2018 Jun;47(6):911–916. doi: 10.1016/j.semarthrit.2017.10.013. [14], Aliyev, H.; Rasulova, G.; Drago, L.; Benzakour, T.; Romano, C.L.; Alizadeh, Ch. Septic Arthritis of the Knee Joint. A 5-year Retrospective microbiology investigation. MO-Journal N°18 – July/August 2022. https://mo-journal.com/posts/septic-arthritis-of-the-knee-joint-in-azerbaijan-a-5-year-retrospective-microbiological-investigation-1787[15] Aliyev, H.A.; Rasulova, G.R.; Alizadeh, Ch.A. Comparative analysis of the results of treatment of nonspecific purulent arthritis of the knee joint in children. Baku «Health» journal. 2016, 2, 126-133.. In their work, Mohamed M. et al. (2019) showed that out of 11 septic arthritis cases post intra-articular injections, the microorganism identified in cultures was Streptococcus mitis (three patients) and all other organisms represented oral flora. In five patients, the microorganism was not identified in cultures [16] Mohamed M, Patel S, Plavnik K, Liu E, Casey K, Hossain MA Retrospective Analysis of Septic Arthritis Caused by Intra-Articular Viscosupplementation and Steroid Injections in a Single Outpatient Center. J Clin Med Res. 2019 Jul;11(7):480-483. doi: 10.14740/jocmr3838. Epub 2019 Jun 11.. The risk of iatrogenic septic arthritis has been estimated at 0.005% and 0.0002% for joint injections [17] Geirsson AJ, Statkevicius S, Víkingsson A. Septic arthritis in Iceland 1990-2002: increasing incidence due to iatrogenic infections. Ann Rheum Dis. 2008;67(5):638–643. doi: 10.1136/ard.2007.077131. .
Although potentially any joint after injection is prone to infection, the most commonly affected joint, in approximately 50% of cases, is the knee joint, followed less frequently by the hip, shoulder, and elbow joints [9], Hassan AS, Rao A, Manadan AM, Block JA. Peripheral Bacterial Septic Arthritis: Review of Diagnosis and Management. J Clin Rheumatol. 2017 Dec;23(8):435–442. doi: 10.1097/RHU.0000000000000588. [10], Mathews CJ, Weston VC, Jones A, Field M, Coakley G. Bacterial septic arthritis in adults. Lancet. 2010 Mar 6;375(9717):846–55. doi: 10.1016/S0140-6736(09)61595-6. [11], Helito CP, Teixeira PR, Oliveira PR, et al. Septic arthritis of the knee: clinical and laboratory comparison of groups with different etiologies. Clinics (Sao Paulo) 2016;71(12):715–719. Published 2016 Dec 1. doi: 10.6061/clinics/2016(12)07. [17], Geirsson AJ, Statkevicius S, Víkingsson A. Septic arthritis in Iceland 1990-2002: increasing incidence due to iatrogenic infections. Ann Rheum Dis. 2008;67(5):638–643. doi: 10.1136/ard.2007.077131. [18], Kaandorp CJ, Dinant HJ, van de Laar MA, Moens HJ, Prins AP, Dijkmans BA. Incidence and sources of native and prosthetic joint infection: a community based prospective survey. Ann Rheum Dis. 1997 Aug;56(8):470–5. PubMed PMID: 9306869; PubMed Central PMCID: PMC1752430. [19] Abram SGF, Alvand A, Judge A, Beard DJ, Price AJ. Mortality and adverse joint outcomes following septic arthritis of the native knee: a longitudinal cohort study of patients receiving arthroscopic washout. Lancet Infect Dis. 2020 Mar;20(3):341–349. doi: 10.1016/S1473-3099(19)30419-0. Epub 2019 Dec 17. . Delayed diagnosis or suboptimal treatment is associated with irreversible joint damage and permanent disability, with about a 10% mortality rate and significant morbidity [22] Gupta MN, Sturrock RD, Field M. A prospective 2-year study of 75 patients with adult-onset septic arthritis. Rheumatology (Oxford) 2001;40(1):24–30. doi: 10.1093/rheumatology/40.1.24. .
One of the most important conditions for treating osteoarthritis after hydrocortisone injection into the knee joint is joint immobilization. As recommended by David H. Neustadt (2006), after a corticosteroid injection in the knee, the patient should remain in bed or at rest and walk as little as possible for three days, preferably only for needs such as bathroom and meals. After this period, crutches should be used in a three-point gait to protect the injected knee during walking for the next 2 to 4 weeks. A cane can be used if crutches are inappropriate or uncomfortable. This regimen prevents overworking the joint and delays steroid absorption systemically, thus optimizing therapeutic benefits [23] David H. Neustadt, MD Intra-articular injections for osteoarthritis of the knee. Cleveland Clinic Journal of Medicine October 2006, 73 (10) 897-911;.
Enhanced lipid peroxidation in joint tissues can contribute to the development of necrosis with subsequent septic joint inflammation. During movement, hydrostatic pressure increases significantly in inflamed human knee joints, causing intra-articular hypoxia. After movement, lipid and immunoglobulin oxidation occurs in the joint. Peroxidation of lipids in synovial fluid is not detected in resting knees. Synovial membrane reperfusion occurs after cessation of physical activities [24] Blake DR, Merry P, Unsworth J, et al. Hypoxic reperfusion injury in the inflamed human joint. Lancet 1989; 1:289–293.
There are reports in the literature about studies such as arthrocentesis biopsies in arthritis cases [25] Maithili Mandar Kulkarni, Siddhi Gaurish Sinai Khandeparkar, Avinash R. Joshi, et al. Clinicopathological study of synovial biopsies at tertiary care hospital and its diagnostic utility. Indian Journal of Pathology and Oncology.Volume : 4, Issue : 4, Year : 2017 Page : 595-599. In other works, histological studies of joint tissues in septic arthritis were carried out in an experiment [26] Getmanets, A.V. Evaluation of the influence of experimental arthritis of the knee joint on the structure of the proximal epiphyseal cartilage of the tibia. Ukrainian morphological almanac - 2012. - Volume 10, No. 3. - P.149-152..
In their systematic review, C.J. Mathews et al. (2007) identified 3291 studies devoted to septic arthritis [27] C J Mathews, G Kingsley, M Field, A Jones, V C Weston, M Phillips, D Walker, and G Coakley Management of septic arthritis: a systematic review. Ann Rheum Dis. 2007 Apr; 66(4): 440–445. Published online 2007 Jan 11. doi: 10.1136/ard.2006.058909. However, none of these studies included histological examinations of knee joint tissues, let alone comparative histological examinations between steroid-induced and non-steroid-induced arthritis cases. It is well known that histological analysis is the gold standard for confirming a diagnosis.
In our previous study, we found certain differences in the results of microbiological studies in septic arthritis of the knee joint with steroid-induced etiology and septic arthritis cases of non-steroid-induced etiology. Therefore, our goal was to determine how steroid preparations affect tissue morphology in septic arthritis of the knee joint and compare the obtained data with the results of microbiological analyses in the patients under study.
Materials and methods
A retrospective study was conducted involving 54 patients with septic arthritis of the knee joint (39 males, 15 females; average age: 43.8±4.9; range 5 to 77 years) who were treated at our clinic from 2010 to 2019. Seven patients (13%) were treated conservatively, while 47 (87%) underwent surgical treatment.
Samples for morphological studies were taken from 12 patients who underwent surgical treatment (25.5%), of which 10 were male (83.3%) and 2 were female (16.7%). The average age of the patients was 41.8±3.7 years (min. 5, max. 77). The average disease duration was 55 days (min. 5 days, max. 150 days).
The patients were divided into two groups based on septic and steroid etiology (following steroid administration into the joint), and each group was further divided into two subgroups: arthritis (without bone tissue involvement) and osteoarthritis (with bone tissue involvement according to radiological examinations). The results of both groups were compared. All patients were treated at a clinic in Baku, Azerbaijan. According to etiological factors, the patients were distributed as follows (see Table 1).

Diagnoses were confirmed by clinical, radiological, and other methods of examination and classified according to criteria described by J. H. Newman (1976) [28] Newman, J.H. Review of septic arthritis throughout the antibiotic era. Ann. rheum. Dis. 1976, 35, p.198., with some modifications, as follows:
1. Septic arthritis without bone tissue involvement
- positive cultures isolated from synovial fluid or material obtained during surgery (Group A);
- negative cultures, but purulent drainage from the knee joint (Group B);
- negative cultures, but pronounced clinical signs of local inflammatory process correlated with laboratory data (Group C);
2. Septic osteoarthritis with bone tissue involvement based on radiological examinations
- positive cultures from synovial fluid or material obtained during surgery (Group D);
- negative cultures, but pronounced clinical signs of local inflammatory process correlated with laboratory data (Group E) (Table 2).

Microbiological samples were obtained by joint puncture for synovial fluid collection and wound swab during surgery. Materials for histological analyses were obtained only during the surgery. Resected ends of the femur and tibia bones were placed in formalin solution and sent to the laboratory of pathology for analysis. The samples were analyzed using standard histological methods. Sections of each case were stained with hematoxylin and eosin. The samples were examined using an Axio microscope (Carl Zeiss, Germany) at 400x magnification, and photos were taken with a Scope 1 microscope (Zeiss, Germany).
Statistical data processing was carried out using the computer program Statistica 12.5. The results are presented in the form of M±SD, where M represents the mean, SD represents the standard deviation, and were calculated using an online calculator.
Existing clinical and radiological data were taken into account for lesion categorization. The study was conducted in accordance with the Helsinki Declaration, and the protocol was approved by the Ethics Committee. Given the retrospective nature and anonymity of the study, patient consent for using their data in the analysis was not required.
Results obtained
The causes of septic arthritis are shown in Table 1. It is worth noting that 25.9% of infections were a result of intra-articular steroid injections, and 9.3% followed surgeries. According to Newman’s criteria, 40 (74%) patients did not show radiographic signs of bone lesions; specifically, 31 (57.4%) were classified as infections in Group A, 4 (7.4%) as infections in Group B, and 5 (9.2%) as infections in Group C. Among the remaining patients, 12 (22.2%) were identified as infections in Group D and 2 (3.7%) as infections in Group E.
Mixed flora, consisting of two microorganisms, was found in 17 cases (54.8%), and infections with three microorganisms were found in 14 cases (45.2%).
In patients with septic arthritis (SA), positive cultures were identified in 90.3% of patients. 100% of patients with septic osteoarthritis (SOA) had positive cultures, exclusively in the form of mixed flora. In patients with steroid-induced septic arthritis (SSA), cultures were positive in 33.3% of patients. Positive cultures were found in 60% of patients with steroid-induced septic osteoarthritis (SSOA) (Table 3).

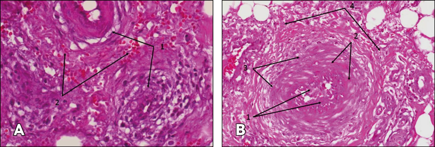
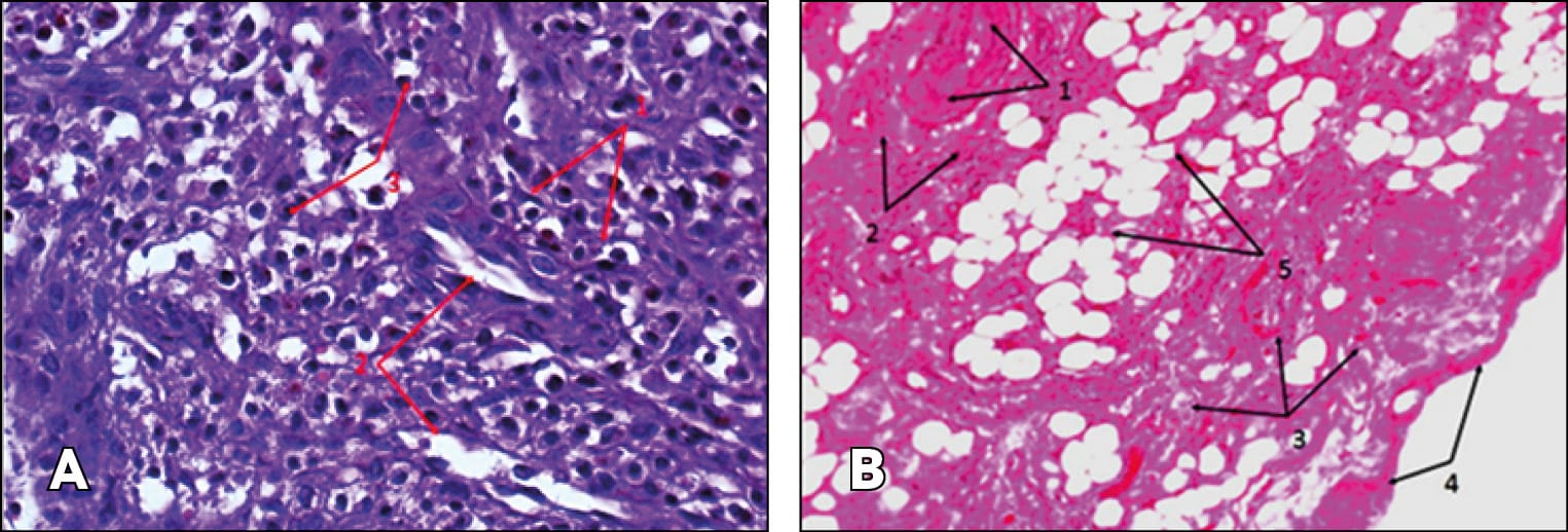
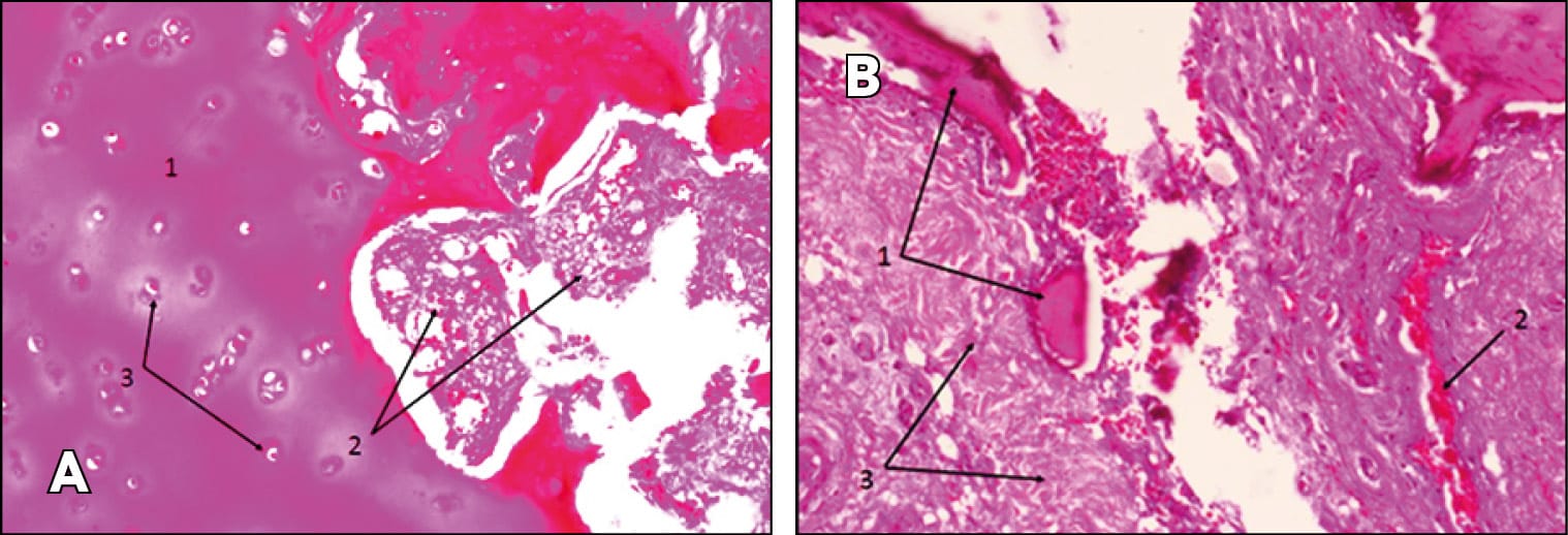
The analysis of histological sections yielded the following results: Paralytic dilated sinusoidal capillaries, intravascular stasis, and vascular edema were observed in all histological samples. In arthritis of steroid etiology, a large amount of lymphoplasmacytic and neutrophil infiltrate around sinusoidal-type vessels is observed (Figure. 2 B), eosinophilic leukocytes (Figure 4 A), necrotic granulomatous foci of inflammation, areas of hemorrhage, and giant multinucleated macrophages (Figure 1 B). During an acute inflammatory reaction, a large number of neutrophils, leukocytes, individual lymphocytes, and plasma cells were observed (Figure 2 A). In SA, multiple lymphoplasmacytic infiltrations, fibrosclerotic changes, multinucleated giant cells - Langhans-type cells, and granulomatous foci of inflammation accompanied by areas of hemorrhage were observed (Figure 1 A).




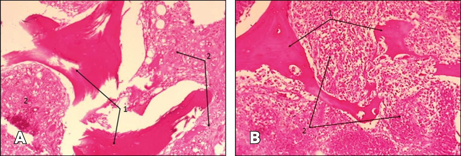
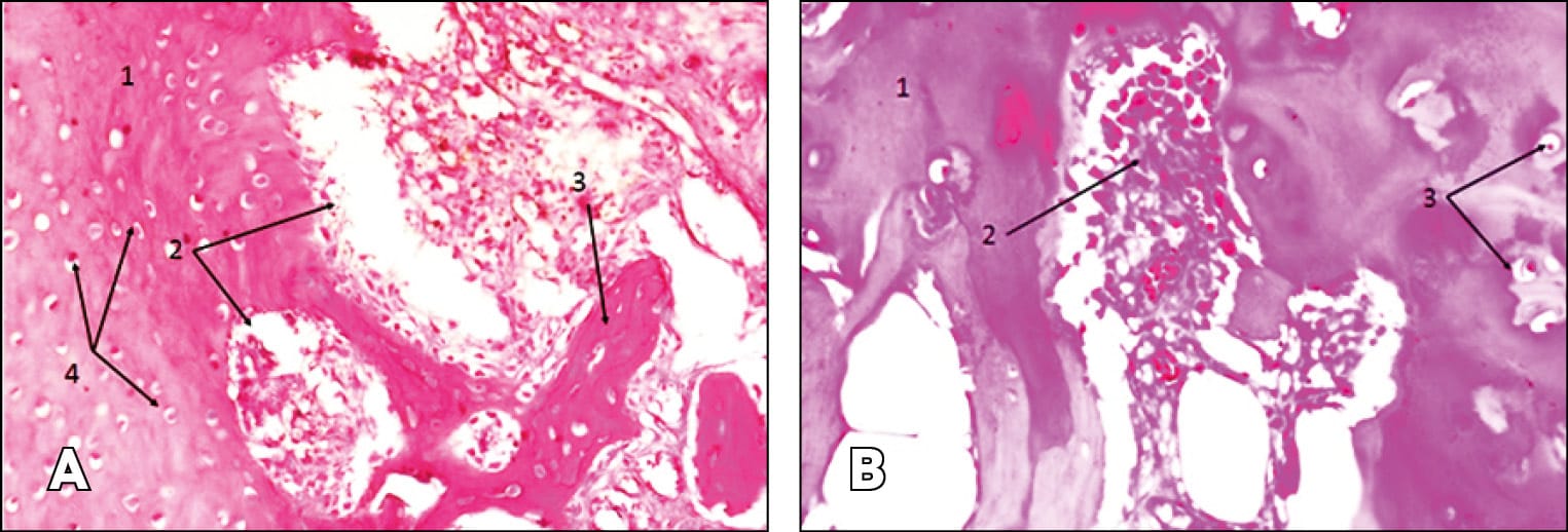
Destructive changes are more noticeable in osteoarthrosis. In the case of SOA, cartilage tissue samples show proliferation with foci of destruction (Figure 6 A). The same foci of destruction are evident against the background of normal cartilage tissue (Figure 7 B). In bone tissue samples, sequestra surrounded by a large number of neutrophils and leukocytes are noted, along with lymphoplasmacytic infiltration (Figure 5 A).
In SOA, we observe vessel wall destruction, lymphoplasmacytic infiltration, vascular fibrosclerotic changes, signs of hyperemia (numerous capillaries), fibrosis of adipose tissue, formation of bone sequestra, and multiple neutrophils and leukocytes (Figures 4 B, 5 A).
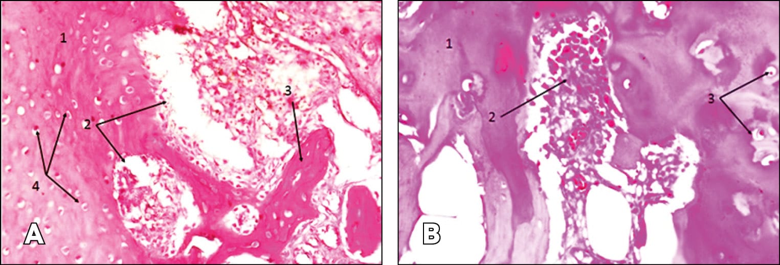
In the case of SSOA, destructive foci are observed in the cartilage tissue samples, primarily with plasma cells that, in some areas, penetrate into the normal cartilage tissue (Figure 6 B). SSOA is accompanied by the formation of bone sequestra surrounded by a large number of neutrophils and leukocytes. Lymphoplasmacytic infiltration is present, and dilated sinus-like vessels filled with blood are visible (Figire 7 A).



Discussion
Positive results of microbiological analysis were obtained in 90.3% of patients. Approximately similar figures for SA are reported as follows: Camilo, P.H. et al. (2014) - 91.8%, Chao-Ming, C. et al. (2013) - 85.9%, and others [29], Camilo, P.H.; Guilherme, G.N.; Jose, R.P.; Riccardo, G.G.; Luis Eduardo, P.T.; Ana Lucia, M.L.; Priscila, R.O.; Gilberto, L.C. Epidemiology of septic arthritis of the knee at Hospital das Clínicas, Universidade de São Paulo. Braz. J. Infect. Dıs. 2014, 18(1), 28–33.[30] Chao-Ming, C.; Hsi-Hsien, L.; Shih-Chieh, H.; Tung-Fu, H.; Wei-Ming, C.; Chien-Lin, L.; Tain-Hsiung, C. Surgical treatment for septic arthritis of the knee joint in elderly patients: a 10-year retrospective clinical study. Orthop. 2013, vol.36, iss.4: e434-e443..
According to our data, Staphylococcus aureus was detected in 29.1% of patients either as a monomicrobial infection or in associations. Other authors have also reported high rates of Staphylococcus aureus isolation in microbiological analyses [29], Camilo, P.H.; Guilherme, G.N.; Jose, R.P.; Riccardo, G.G.; Luis Eduardo, P.T.; Ana Lucia, M.L.; Priscila, R.O.; Gilberto, L.C. Epidemiology of septic arthritis of the knee at Hospital das Clínicas, Universidade de São Paulo. Braz. J. Infect. Dıs. 2014, 18(1), 28–33.[30], Chao-Ming, C.; Hsi-Hsien, L.; Shih-Chieh, H.; Tung-Fu, H.; Wei-Ming, C.; Chien-Lin, L.; Tain-Hsiung, C. Surgical treatment for septic arthritis of the knee joint in elderly patients: a 10-year retrospective clinical study. Orthop. 2013, vol.36, iss.4: e434-e443.[31] Vilchez, F.; Martínez-Pastor, J.C.; García-Ramiro, S.; Bori, G.; Maculé, F.; Sierra, J.; Font, L.; Mensa, J.; Soriano, A. Outcome and predictors of treatment failure in early post-surgical prosthetic joint infections due to Staphylococcus aureus treated with debridement. Clin. Microbiol. Infect. 2011, Vol. 17, No. 3, pp. 439-444..
In 66.7% of patients with SSA, the microbiological study results were negative, despite the fact that the inflammatory process was in an acute phase, as confirmed by clinical and laboratory indicators. It can be assumed that in this group of patients, the inflammatory process is aseptic. Positive results of microbiological analysis were obtained in 60% of patients with steroid-induced septic osteoarthritis (SSOA). In Figure 8. The results of microbiological cultures in various groups of SA are given.

When analyzing the data of microbiological analyses in patients with SOA and SSOA, it can be noticed that associations of microorganisms are observed in them. This indicator was 100% in patients with SOA and 60% in patients with SSOA. It can be assumed that the chronization of the septic process contributes to this. As for the large number of negative results in microbiological analyses in patients with SSA and SSOA, it is definitely challenging to answer these interesting data. Here, data from Á J Geirsson et al. (2008) can be cited, which noted that 39% of children with a clinical picture of septic arthritis had negative results in synovial fluid and blood cultures. Clinical and laboratory characteristics were similar in children with positive and negative cultures [17] Geirsson AJ, Statkevicius S, Víkingsson A. Septic arthritis in Iceland 1990-2002: increasing incidence due to iatrogenic infections. Ann Rheum Dis. 2008;67(5):638–643. doi: 10.1136/ard.2007.077131. . The authors note that the results are identical to numerous other reports, and to date, no reasonable explanation has been proposed [32], Yagupsky P, Bar-Ziv Y, Howard CB, Dagan R. Epidemiology, etiology and clinical features of septic arthritis in children younger that 24 months. Arch Pediatr Adolesc Med 1995;149:537–40 [33], Wang CL, Wang SM, Yang YJ, Tsai CH, Liu CC. Septic arthritis in children: relationship of causative pathogens, complications and outcome. J Microbiol Immunol Infect 2003;36:41–6 [34], Goergens ED, McEvoy A, Watson M, Barrett IR. Acute osteomyelitis and septic arthritis in children. J Pediatr Child Health 2005;41:59–62 [35], Peltola H, Vahvanen V. Acute purulent arthritis in children. Scand J Infect Dis. 1983;15(1):75-80. doi: 10.3109/inf.1983.15.issue-1.12. PMID: 6844880.[36] Kunnamo I, Kallio P, Pelkonen P. Incidence of arthritis in urban Finnish children. A prospective study. Arthr Rheum 1986;29:1232–8 .
According to our data, 66.7% of patients with SSA had negative results in microbiological studies. It can only be assumed that an inflammatory process is proceeding in an aseptic scenario in them. Steroid preparations may be responsible for such joint destructions. A study by Chao-Ming, C. et al. (2013) showed that the results of treating SSA did not differ from the results of treating SA with non-steroidal etiology [30] Chao-Ming, C.; Hsi-Hsien, L.; Shih-Chieh, H.; Tung-Fu, H.; Wei-Ming, C.; Chien-Lin, L.; Tain-Hsiung, C. Surgical treatment for septic arthritis of the knee joint in elderly patients: a 10-year retrospective clinical study. Orthop. 2013, vol.36, iss.4: e434-e443.. On the other hand, data obtained by Choudhry, M.N. et al. (2016) in their systematic review showed that the introduction of steroid preparations into the joint within a few hours leads to a very high level of sugar in patients with diabetes [37] Choudhry, M.N.; Malik, R.A.; Charalambous, C.P. Blood Glucose Levels Following Intra-Articular Steroid Injections in Patients with Diabetes: A Systematic Review. JBJS Rev. 2016, 4(3).. Thus, steroid preparations may somehow influence the tissues of the knee joint.
The histological analysis data we obtained somewhat confirm this. Cellular infiltration was detected in all groups. However, in patients with SSA and SSOA, it was relatively moderate. Similar results have been published in the literature on experimental arthritis [38] Kamarudin, T.A.; Othman, F.; Mohd Ramli, E.S.; Md Isa, N.; Srijit, D. Protective effect of curcumin on experimentally induced arthritic rats: detailed histopathological study of the joints and white blood cell count. EXCLI Journal 2012;11:226-236 – ISSN 1611-2156.. Neutrophils, leukocytes, lymphocytes, lymphoplasmacytic infiltration, paralytic dilated sinus-like capillaries, intravascular stasis, vascular fullness, and fibrosclerotic changes were found in all patients, but no significant differences between groups were found. The morphology of SA, regardless of etiology, is usually similar and is usually accompanied by significant destruction of all joint components. In the background of steroid administration, this process becomes more acute, especially noticeable when examining cartilage tissue. For example, in the case of SOA, cartilage specimens show proliferation with foci of destruction. In the case of SSOA, destructive foci, mainly with plasma cells, penetrated normal cartilage tissue in some areas (Figure 6B). SSOA is characterized by the formation of bone sequester, surrounded by a large number of neutrophils and leukocytes.

Thus, in steroid arthritis, the thickness of cartilage tissue was less compared to the other group, and the depth of the destruction site was greater. Getmanets, A.V. (2012) observed similar results in creating experimental arthritis in animals [26] Getmanets, A.V. Evaluation of the influence of experimental arthritis of the knee joint on the structure of the proximal epiphyseal cartilage of the tibia. Ukrainian morphological almanac - 2012. - Volume 10, No. 3. - P.149-152.. Comparing the data of morphological and microbiological studies, it can be suggested that the introduction of steroid preparations into the joint possibly initially causes changes in joint tissues that lead to cell necrosis of soft tissues with the development of an aseptic inflammatory process. This may occur as a result of disrupting POL processes, which intensify with the introduction of steroid preparations [39] T Ichiseki, A Kaneuji, S Katsuda, Y Ueda, T Sugimori, T Matsumoto. DNA oxidation injury in bone early after steroid administration is involved in the pathogenesis of steroid-induced osteonecrosis Rheumatology (Oxford) 2005 Apr;44(4):456-60. doi: 10.1093/rheumatology/keh518. Epub 2004 Dec 14.. With repeated intra-articular steroid injections, the percentage of such necrosis can significantly increase [40] Ozan Beytemur, Mustafa Fatih Dasci,Asiye Gök Yurttaş, Busra Yaprak Bayrak, and Ender Alagöz. The protective role of vitamins C and E in steroid-induced femoral head osteonecrosis: An experimental study in rats. Jt Dis Relat Surg. 2024 Jan; 35(1): 72–84. Published online 2023 Nov 2. doi: 10.52312/jdrs.2023.1405. M Suntiparpluachac et al. (2016) suggest that corticosteroids increase oxidative stress and alter the expression of genes such as cyclin-dependent kinase inhibitor 1A, growth differentiation factor 15, and c-Fos, which are involved in cell death and chondrotoxicity [41] M Suntiparpluachac , N Tammachote, R Tammachote. Triamcinolone acetonide reduces viability, induces oxidative stress, and alters gene expressions of human chondrocytes. Eur Rev Med Pharmacol Sci. 2016 Dec;20(23):4985-4992.. Pattaranatcha Charnwichai et al. (2023) also show that TA induces chondrotoxicity by enhancing oxidative stress and altering gene expression involved in cell death. The authors studied and compared histological analyses of materials obtained from patients undergoing knee joint arthroplasty. They showed that in patients who received intra-articular corticosteroid injections six months before the operation, a decrease in the thickness of articular cartilage was noted. The same decrease in articular cartilage thickness was noted in our study [42] Pattaranatcha Charnwichai, Rachaneekorn Tammachote, Nattapol Tammachote, Thiamjit Chaichana, and Nakarin Kitkumthorn. Histological features of knee osteoarthritis treated with triamcinolone acetonide and hyaluronic acid. Biomed Rep. 2023 Jun; 18(6): 40. Published online 2023 May 8. doi: 10.3892/br.2023.1623. Indirectly, the high number of negative microbiological analyses in patients in the acute phase of SSA - 66.7%, speaks to the primacy of aseptic cell necrosis.
In conclusion, it can be said that all morphological changes characteristic of purulent-inflammatory processes were found in both groups and that they were comparable in histological characteristics. Further, more in-depth clinical-experimental studies are needed to accurately establish the morphological changes specifically related to steroid arthritis.
Conclusion
- Positive results in patients with SA were 90.3%, in SSA - 33.3%, in SOA - 100%, and in SSOA - 60%.
- Staphylococcus aureus (29.1%) was the most commonly encountered microorganism overall.
- Histological studies of joint tissues in SA showed that all components of the joint were affected.
- In both SOA and SSOA, all morphological changes characteristic of purulent-inflammatory processes were observed. Against the background of steroid preparations, this process becomes more acute, especially evident when examining cartilage tissue. Its thickness was less compared to the other group, and the depth of the destruction site was greater, affecting even the subchondral tissue.
References
1. Uthman I, Raynauld JP, Haraoui B. Intra-articular therapy in osteoarthritis. Postgrad Med J. 2003 Aug;79(934):449–53.
2. Neustadt DH. Intra-articular injections for osteoarthritis of the knee. Cleve Clin J Med. 2006 Oct;73(10):897–8. 901–4, 906–11. doi: 10.3949/ccjm.73.10.897.
3. Jadidi S. A Review of Non-Surgical Pain Management in Osteoarthritis. Cureus. 2020 Oct 6;12(10):e10829. doi: 10.7759/cureus.10829.
4. Abramoff B, Caldera FE. Osteoarthritis: Pathology, Diagnosis, and Treatment Options. Med Clin North Am. 2020 Mar;104(2):293–311. doi: 10.1016/j.mcna.2019.10.007.
5. Neustadt DH. Intra-articular therapy. In: Moskowitz RW, Howell DS, Altman RD, Budwalter JA, Goldberg VM, editors. Osteoarthritis: Diagnosis and Medical/Surgical Management, 3rd ed. Philadelphia, W.B. Saunders, 2001:393–411.
6. Manfreda F, Rinonapoli G, Nardi A, Antinolfi P, Caraffa A. A Fatal Sepsis Caused by Hyaluronate Knee Injection: How Much the Medical History and the Informed Consent Might Be Important? Case Rep Orthop. 2017;2017:1518401. doi: 10.1155/2017/151840.
7. Lee YK, Kim KC, Ha YC, Koo KH. Utilization of Hyaluronate and Incidence of Septic Knee Arthritis in Adults: Results from the Korean National Claim Registry. Clin Orthop Surg. 2015 Sep;7(3):318–22. doi: 10.4055/cios.2015.7.3.318.
8. Kumar N, Newman RJ. Complications of intra-and peri-articular steroid injections. Br J Gen Pract. 1999 Jun;49(443):465–6.
9. Hassan AS, Rao A, Manadan AM, Block JA. Peripheral Bacterial Septic Arthritis: Review of Diagnosis and Management. J Clin Rheumatol. 2017 Dec;23(8):435–442. doi: 10.1097/RHU.0000000000000588.
10. Mathews CJ, Weston VC, Jones A, Field M, Coakley G. Bacterial septic arthritis in adults. Lancet. 2010 Mar 6;375(9717):846–55. doi: 10.1016/S0140-6736(09)61595-6.
11. Helito CP, Teixeira PR, Oliveira PR, et al. Septic arthritis of the knee: clinical and laboratory comparison of groups with different etiologies. Clinics (Sao Paulo) 2016;71(12):715–719. Published 2016 Dec 1. doi: 10.6061/clinics/2016(12)07.
12. Marco Mattia Larghi, Miriam Grassi, Emanuele Placenza, Luca Faugno, Pietro Cerveri, and Alfonso Manzotti. Septic arthritis after joint injections: a 17-year retrospective study at the Akta Biomed Academic General Hospital. 2021; 92(6): e2021308. doi: 10.23750/abm.v92i6.10425.
13. Xu C, Peng H, Li R, Chai W, Li X, Fu J, Liu K, Yu B, Jia C, Chen J. Risk factors and clinical characteristics of deep knee infection in patients with intra-articular injections: A matched retrospective cohort analysis. Semin Arthritis Rheum. 2018 Jun;47(6):911–916. doi: 10.1016/j.semarthrit.2017.10.013.
14. Aliyev, H.; Rasulova, G.; Drago, L.; Benzakour, T.; Romano, C.L.; Alizadeh, Ch. Septic Arthritis of the Knee Joint. A 5-year Retrospective microbiology investigation. MO-Journal N°18 – July/August 2022. https://mo-journal.com/posts/septic-arthritis-of-the-knee-joint-in-azerbaijan-a-5-year-retrospective-microbiological-investigation-1787
15. Aliyev, H.A.; Rasulova, G.R.; Alizadeh, Ch.A. Comparative analysis of the results of treatment of nonspecific purulent arthritis of the knee joint in children. Baku «Health» journal. 2016, 2, 126-133.
16. Mohamed M, Patel S, Plavnik K, Liu E, Casey K, Hossain MA Retrospective Analysis of Septic Arthritis Caused by Intra-Articular Viscosupplementation and Steroid Injections in a Single Outpatient Center. J Clin Med Res. 2019 Jul;11(7):480-483. doi: 10.14740/jocmr3838. Epub 2019 Jun 11.
17. Geirsson AJ, Statkevicius S, Víkingsson A. Septic arthritis in Iceland 1990-2002: increasing incidence due to iatrogenic infections. Ann Rheum Dis. 2008;67(5):638–643. doi: 10.1136/ard.2007.077131.
18. Kaandorp CJ, Dinant HJ, van de Laar MA, Moens HJ, Prins AP, Dijkmans BA. Incidence and sources of native and prosthetic joint infection: a community based prospective survey. Ann Rheum Dis. 1997 Aug;56(8):470–5. PubMed PMID: 9306869; PubMed Central PMCID: PMC1752430.
19. Abram SGF, Alvand A, Judge A, Beard DJ, Price AJ. Mortality and adverse joint outcomes following septic arthritis of the native knee: a longitudinal cohort study of patients receiving arthroscopic washout. Lancet Infect Dis. 2020 Mar;20(3):341–349. doi: 10.1016/S1473-3099(19)30419-0. Epub 2019 Dec 17.
20. García-Arias M, Balsa A, Mola EM. Septic arthritis. Best Pract Res Clin Rheumatol. 2011 Jun;25(3):407–21. doi: 10.1016/j.berh.2011.02.001.
21. Singh JA, Yu S. The burden of septic arthritis on the U.S. inpatient care: A national study. PLoS One. 2017;12(8):e0182577. Published 2017 Aug 15. doi: 10.1371/journal.pone.0182577.
22. Gupta MN, Sturrock RD, Field M. A prospective 2-year study of 75 patients with adult-onset septic arthritis. Rheumatology (Oxford) 2001;40(1):24–30. doi: 10.1093/rheumatology/40.1.24.
23. David H. Neustadt, MD Intra-articular injections for osteoarthritis of the knee. Cleveland Clinic Journal of Medicine October 2006, 73 (10) 897-911;
24. Blake DR, Merry P, Unsworth J, et al. Hypoxic reperfusion injury in the inflamed human joint. Lancet 1989; 1:289–293
25. Maithili Mandar Kulkarni, Siddhi Gaurish Sinai Khandeparkar, Avinash R. Joshi, et al. Clinicopathological study of synovial biopsies at tertiary care hospital and its diagnostic utility. Indian Journal of Pathology and Oncology.Volume : 4, Issue : 4, Year : 2017 Page : 595-599
26. Getmanets, A.V. Evaluation of the influence of experimental arthritis of the knee joint on the structure of the proximal epiphyseal cartilage of the tibia. Ukrainian morphological almanac - 2012. - Volume 10, No. 3. - P.149-152.
27. C J Mathews, G Kingsley, M Field, A Jones, V C Weston, M Phillips, D Walker, and G Coakley Management of septic arthritis: a systematic review. Ann Rheum Dis. 2007 Apr; 66(4): 440–445. Published online 2007 Jan 11. doi: 10.1136/ard.2006.058909
28. Newman, J.H. Review of septic arthritis throughout the antibiotic era. Ann. rheum. Dis. 1976, 35, p.198.
29. Camilo, P.H.; Guilherme, G.N.; Jose, R.P.; Riccardo, G.G.; Luis Eduardo, P.T.; Ana Lucia, M.L.; Priscila, R.O.; Gilberto, L.C. Epidemiology of septic arthritis of the knee at Hospital das Clínicas, Universidade de São Paulo. Braz. J. Infect. Dıs. 2014, 18(1), 28–33.
30. Chao-Ming, C.; Hsi-Hsien, L.; Shih-Chieh, H.; Tung-Fu, H.; Wei-Ming, C.; Chien-Lin, L.; Tain-Hsiung, C. Surgical treatment for septic arthritis of the knee joint in elderly patients: a 10-year retrospective clinical study. Orthop. 2013, vol.36, iss.4: e434-e443.
31. Vilchez, F.; Martínez-Pastor, J.C.; García-Ramiro, S.; Bori, G.; Maculé, F.; Sierra, J.; Font, L.; Mensa, J.; Soriano, A. Outcome and predictors of treatment failure in early post-surgical prosthetic joint infections due to Staphylococcus aureus treated with debridement. Clin. Microbiol. Infect. 2011, Vol. 17, No. 3, pp. 439-444.
32. Yagupsky P, Bar-Ziv Y, Howard CB, Dagan R. Epidemiology, etiology and clinical features of septic arthritis in children younger that 24 months. Arch Pediatr Adolesc Med 1995;149:537–40
33. Wang CL, Wang SM, Yang YJ, Tsai CH, Liu CC. Septic arthritis in children: relationship of causative pathogens, complications and outcome. J Microbiol Immunol Infect 2003;36:41–6
34. Goergens ED, McEvoy A, Watson M, Barrett IR. Acute osteomyelitis and septic arthritis in children. J Pediatr Child Health 2005;41:59–62
35. Peltola H, Vahvanen V. Acute purulent arthritis in children. Scand J Infect Dis. 1983;15(1):75-80. doi: 10.3109/inf.1983.15.issue-1.12. PMID: 6844880.
36. Kunnamo I, Kallio P, Pelkonen P. Incidence of arthritis in urban Finnish children. A prospective study. Arthr Rheum 1986;29:1232–8
37. Choudhry, M.N.; Malik, R.A.; Charalambous, C.P. Blood Glucose Levels Following Intra-Articular Steroid Injections in Patients with Diabetes: A Systematic Review. JBJS Rev. 2016, 4(3).
38. Kamarudin, T.A.; Othman, F.; Mohd Ramli, E.S.; Md Isa, N.; Srijit, D. Protective effect of curcumin on experimentally induced arthritic rats: detailed histopathological study of the joints and white blood cell count. EXCLI Journal 2012;11:226-236 – ISSN 1611-2156.
39. T Ichiseki, A Kaneuji, S Katsuda, Y Ueda, T Sugimori, T Matsumoto. DNA oxidation injury in bone early after steroid administration is involved in the pathogenesis of steroid-induced osteonecrosis Rheumatology (Oxford) 2005 Apr;44(4):456-60. doi: 10.1093/rheumatology/keh518. Epub 2004 Dec 14.
40. Ozan Beytemur, Mustafa Fatih Dasci,Asiye Gök Yurttaş, Busra Yaprak Bayrak, and Ender Alagöz. The protective role of vitamins C and E in steroid-induced femoral head osteonecrosis: An experimental study in rats. Jt Dis Relat Surg. 2024 Jan; 35(1): 72–84. Published online 2023 Nov 2. doi: 10.52312/jdrs.2023.1405
41. M Suntiparpluachac , N Tammachote, R Tammachote. Triamcinolone acetonide reduces viability, induces oxidative stress, and alters gene expressions of human chondrocytes. Eur Rev Med Pharmacol Sci. 2016 Dec;20(23):4985-4992.
42. Pattaranatcha Charnwichai, Rachaneekorn Tammachote, Nattapol Tammachote, Thiamjit Chaichana, and Nakarin Kitkumthorn. Histological features of knee osteoarthritis treated with triamcinolone acetonide and hyaluronic acid. Biomed Rep. 2023 Jun; 18(6): 40. Published online 2023 May 8. doi: 10.3892/br.2023.1623