Radial head reconstruction using a capitellum graft
Background: Radial head fractures represent 30% to 40% of elbow fractures, often occurring via indirect trauma. As a primary stabilizer of the elbow, the radial head requires anatomical preservation, particularly in cases of complex joint instability involving ligamentous injury. When internal fixation is unfeasible due to significant bone loss, current management typically involves radial head excision or prosthetic replacement, though both options present specific biomechanical and availability challenges.
Objective: This article describes an alternative surgical technique using an autologous osteochondral graft harvested from the lateral humeral condyle (capitellum) to reconstruct the radial head in acute traumatic settings.
Key Points: Morphometric studies indicate a strong correlation between capitellar diameter and radial head size, supporting the use of the capitellum as a donor site. The technique involves a lateral approach to the radiohumeral compartment, followed by the harvesting of a 4–5 mm thick sagittal graft from the capitellum. This graft is then transposed to the radial head to address circular bone defects and secured using mini-screw fixation or a console plate within the "safe zone." Clinical cases demonstrate successful graft integration and consolidation at 18 months, with restored range of motion in flexion-extension and pronation-supination.
Conclusion: Anterolateral capitellar autografting provides a viable strategy for radial head reconstruction when primary repair is precluded by bone loss. This technique facilitates anatomical restoration using local tissue, avoids the requirement for prosthetic implants, and achieves satisfactory functional outcomes in complex elbow dislocations.
Radial head fractures account for between 2 and 5% of all fractures and between 30 and 40% of all elbow fractures [1] Rizzo M, Nunley JA. Fractures of the elbow’s lateral column radial head and capitellum. Vol. 18, Hand Clinics. 2002. p 21–42. . Males and females are affected equally, with patients having a mean age of between 40 and 45 years. The acknowledged classic mechanism is indirect, involving a fall on to the wrist, resulting in various potentially associated injuries from the wrist to the humerus [2], Johnston GW. A follow-up of one hundred cases of fracture of the head of the radius with a review of the literature. Ulster Med J. 1962;31:51–6. [3] Burkhart KJ, Wegmann K, Muller LP, Gohlke FE. Fractures of the Radial Head. Hand Clin. 2015 Nov;31(4):533–46. .
The radial head plays a role in elbow mobility and stability [4] Morrey BF, Tanaka S, An KN. Valgus stability of the elbow. A definition of primary and secondary constraints. Clin Orthop Relat Res. 1991 Apr;(265):187–95. . This means that it is crucial to preserve it if is fractured, and this is all the more important when there is ligament damage, even if the fracture is barely displaced [5], Van Riet RP, Morrey BF, O’Driscoll SW, Van Glabbeek F. Associated injuries complicating radial head fractures: A demographic study. Clin Orthop Relat Res. 2005;(441):351–5. [6] Roger P. van Riet MD, PhD, Bernard F. Morrey MD . Documentation of Associated Injuries Occurring With Radial Head Fracture. Clin Orthop Relat Res (2008) 466:130–134 doi 10.1007/s11999-007-0064-8 . If the radial head cannot be repaired by ORIF, there are currently two treatment options that are discussed: excision or replacement with an implant. While prosthetic implants have made huge strides since the 1960s, their current availability presents a new problem in the management of these fractures and leads us to propose a new therapeutic alternative: using a graft from the capitellum (lateral humeral condyle) to reconstruct the radial head, as this can re-establish the joint profile and stability of the elbow in the acute management of these traumatic injuries.
Anatomically, the radial head is not a perfect circle but elliptical [7] Captier G, Canovas F, Mercier N, Thomas E, Bonnel F. Biometry of the radial head: Biomechanical implications in pronation and supination. Surg Radiol Anat. 2002;24(5):295–301. . It measures around 24mm at its longest diameter and around 22.5mm at its shortest. It is significantly smaller in women than in men. There is a linear relationship between the minimum and maximum diameters of the radial head, quantified at 1.07, and between the measurement of capitellum and the diameter of the radial head [8] Vaquero-Picado A, Núñez de Armas J, Antuña S, Barco R. Morphometry of the radiocapitellar joint: is humeral condyle diameter a reliable predictor of the size of the radial head prosthesis? J Shoulder Elb Surg [Internet]. 2018;27(6):1092– 6. Available from: https://doi.org/10.1016/j.jse.2018.01.017 .
In cases of radial head fracture or when the head cannot be measured, studies have shown that the factors most closely correlated to radial head size are, in order: size of the contralateral head, radial length, ulnar length and capitellar diameter [9], Rausch V, Wegmann S, Hackl M, Leschinger T, Neiss WF, Scaal M, et al. The radial head size in relation to osseous landmarks of the forearm. Surg Radiol Anat [Internet]. 2019;41(4):415–21. Available from: http://dx.doi.org/10.1007/s00276-018-2160-8 [10] Luenam S, Vongvanichvathana A, Kosiyatrakul A, Kongphanich C, Chanpoo M, Koonchornboon T, et al. Matching precision of the reverse contralateral radial head in generating of the individualized prosthesis from the surface registration in tuberosity-neck and in tuberosity-diaphysis. J Orthop Surg (Hong Kong). 2019;27(1):2309499018821774. .
Surgical technique
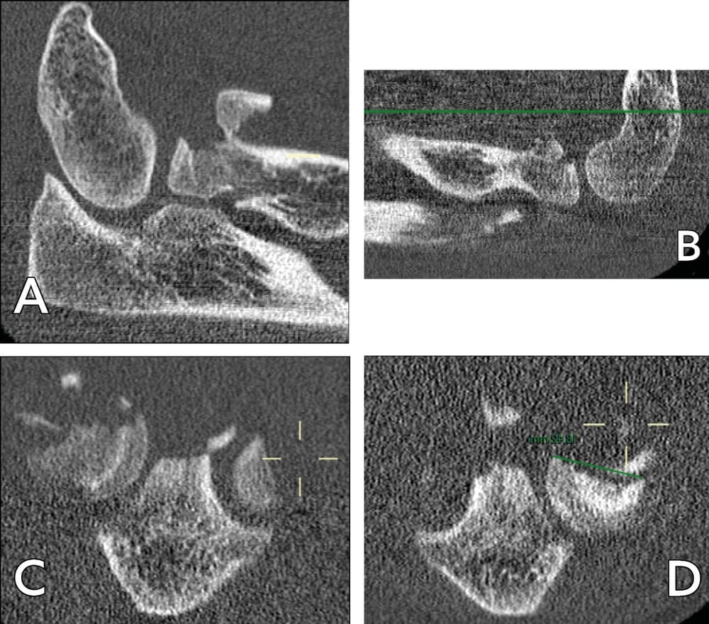
A lateral approach is used to open the radiohumeral compartment; this may be easier if there is an injury to the lateral collateral ligament, which is often part of the picture in complex joint trauma. Exposure of the radial head, the bone fragments and capitellum follows the same method whether for ORIF or replacement. Related interventions, such as coronoid process ORIF or reinsertion of the anterior capsule, are performed. A standard ORIF is carried out by reducing the fragments and temporary fixation with pins. This is followed by an assessment of bone loss: circular segment or chunk. The bone loss contour is mapped onto the lateral surface of capitellum. If the segment is circular (Figure 1), the length of the line is measured and transferred. A mini oscillating saw is using to harvest a graft with a sagittal thickness of 4–5 millimetres, depending on the extent of bone loss. The ORIF is performed using mini screws of 1.5 or 2mm diameter (Figure 2), with or without a console plate, exercising caution in the “safe zone” to avoid any proximal radio-ulnar impingement. A cancellous bone graft can also be harvested if necessary. The osteochondral graft is harvested in the sagittal plane and positioned in the axial plane, with the lateral surface of capitellum (the graft) becoming the superior surface of the radial head.


Clinical case studies
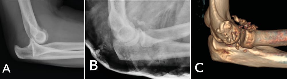
Case study 1: A 49-year-old right-handed male electrician fell from a stepladder, which led to bilateral elbow fracture dislocation (Mason 4). An emergency closed reduction was performed. Subluxation of the left elbow persisted, with damage to the ulnar nerve. After CT investigation (Figure 3), ORIF appeared to be possible, a more viable option since a prosthetic radial head would not be available for at least 5 days.

ORIF of the radial head seems to be accessible from the left side. After exposure, reconstruction proves not to be possible. A capitellum graft is harvested and fracture repair is achieved through a Medartis plate (Figure 4).

Management of the right elbow followed.
Ablation of the hardware between 12 and 18 months later. Radiological assessment shows consolidation and integration of the graft (Figure 5).

At the most recent follow-up after 2 years, the ranges of motion in flexion–extension were 0/20/135 on the right and left, with full and symmetrical pronation and supination. However, the Jamar dynamometer assessment showed a deficiency in strength, with 6 kg on the right wrist and 2 kg on the left, related to ulnar neuropathy, and overall the functional outcome was poor and had led to post-traumatic depression.
Case study 2 concerns a 60-year-old female, who presented with a fracture dislocation of the right elbow following a fall (figure 6).

There was a circular free fragment involving 25% of radial head surface, but it was insufficiently thick for fixation to be possible. A circular graft was harvested and fixed with three mini screws, with satisfactory stability (figure 7).

After 3 months, the ranges of motion in flexion–extension were 0/0/130, pronation–supination was 0/20/135 and wrist strength on the Jamar dynamometer was 20 kg, compared to 30 kg on the left side.
Discussion
Isolated radial head fractures remain rare. Recent MRI studies have helped to determine the incidence of associated damage in radial head fracture [11], Kaas L, Turkenburg JL, Van Riet RP, Vroemen JPAM, Eygendaal D. Magnetic resonance imaging findings in 46 elbows with a radial head fracture. Acta Orthop. 2010;81(3):373–6. [12] Itamura J, Roidis N, Mirzayan R, Vaishnav S, Learch T, Shean C. Radial head fractures: MRI evaluation of associated injuries. J Shoulder Elb Surg. 2005;14(4):421–4. : in Mason 1 fractures, 65% were found to have associated injuries involving the LCL and/or capitellum; in Mason 2 fractures, 74 % had associated injuries involving the LCL, capitellum, loose bodies and/or bone contusion; in Mason 3 fractures, 100% had associated injuries, primarily affecting the LCL (80–85%) and MCL (50–90%). Even in the absence of ligament injury, osteochondral capitellum injury, intra-articular loose bodies, bone contusion or damage to the interosseous membrane may be found. This means that radial head fractures represent more than just the bone component of a joint instability involving multiple injuries, and consequently preservation or reconstruction of the radial head is crucial in these cases of complex instability. Equally, appropriate detection and management of these associated injuries, concomitantly with the radial head damage, are essential to restoring joint stability and kinetics, and these factors are essential to obtaining good functional results.
The current treatment options are ORIF of the radial head or replacement with an implant, in cases when ORIF is no longer possible. Excision of the radial head in post-traumatic joint instability has been proven to be an unsuccessful technique, due to the damaging changes to elbow joint and forearm biomechanics [13], Mikic ZD, Vukadinovic SM. Late results in fractures of the radial head treated by excision. Clin Orthop Relat Res. 1983 Dec;(181):220–8. [14], Solarino G, Vicenti G, Abate A, Carrozzo M, Picca G, Moretti B. Mason type II and III radial head fracture in patients older than 65: is there still a place for radial head resection? Aging Clin Exp Res. 2015 Oct;27 Suppl 1:S77-83. [15] Hotchkiss RN, An KN, Sowa DT, Basta S, Weiland AJ. An anatomic and mechanical study of the interosseous membrane of the forearm : Pathomechanics of proximal migration of the radius. J Hand Surg Am. 1989;14(A):256–61. .
The new alternative treatment described here is a useful tool for managing these complex traumas. Using a local autologous graft has already been considered in other elbow pathologies, such as mosaicplasty in osteochondritis dissecans, with an osteochondral graft harvested from the tip of the olecranon [16], Topographic analysis of 2 alternative donor sites of the ipsilateral elbow in the treatment of capitellar osteochondritis dissecans. Bexkens R, van den Bekerom MPJ, Eygendaal D, Oh LS, Doornberg JN. Arthroscopy. 2018 Jul;34(7):2087-2093. doi:10.1016/j.arthro.2018.02.050[17] Bone peg grafting for capitellar osteochondritis dissecans in adolescent baseball players. Oshiba H, Itsubo T, Komatsu M, Uchiyama S, Kato H. JBJS Essent Surg Tech. 2018 Mar 14;8(1):e8. doi: 10.2106/JBJS.ST.17.00058.. The lateral surface of capitellum is partially covered with cartilage and it is concave, as is the superior surface of the radial head. Morphology and morphometry have been investigated on CT and MRI. Leclerc et al. performed a CT assessment of 50 healthy patients to determine the diameter of the radial head on the basis of capitellar measurements: they concluded that the diameter of capitellum was strongly correlated with the radial head diameter and it could be used to predict the radial head size in comminuted fractures and also to select a suitable implant size for replacement [18] Leclerc AE, Deluce S, Ferreira L, Desai S, King G, Athwal GS. Measurements of the ispilateral capitellum can reliably predict the diameter of the radial head. J Shoulder Elbow Surg, 2013 Dec;22(12):1724-8. doi: 10.1016/j.jse.2013.06.014..
In an MRI study of 83 patients, Griswold et al. measured the diameters of the radial head and capitellum, finding them to be identical [19] Griswold BG, Steflik MJ, Adams BG, Hebert-Davies J, Tokish JM, Parada SA, Galvin JW. Radius of curvature of the radial head matches the capitellum: a magnetic resonance imaging analysis. JSES Int. 2023 Mar 12;7(4):668-672. doi: 10.1016/j.jseint.2023.02.009.; they concluded that the radial head could be a feasible site for local osteochondral autograft where there is an osteochondral defect of capitellum, with the graft being harvested from the “safe zone” of the peripheral cartilaginous rim of the radial head, which would minimise the morbidity seen with the current practice of harvesting from the knee.
These similarities were also seen in our second case study: the capitellar diameter measured on CT was found to be identical to that of the radial head (figure 8).

Here, this type of bone reconstruction was able to restore native anatomy and deliver good recovery of ranges of motion. Postoperative imaging after ablation of the hardware showed graft consolidation and vitality. Even though a biopsy was not performed, the joint surface appears to show macroscopically visible cartilage, reminiscent of mosaicplasty, which is an interesting treatment response since radial head bone loss under 20–25% is sometimes not easily replaced. In the treatment of fracture dislocations, reconstruction of the disc-shaped radial head is essential to secure one of the principal factors for stability, and this is all the more crucial for posterior fracture dislocations when the bone loss becomes anterior in supination.
Conclusion
Anterolateral autograft of the capitellum is a strategy for radial head reconstruction and preservation that delivers fracture fixation in cases when bone loss cannot be repaired. This can be performed as an emergency, does not require a graft from any other site and overcomes the challenge of finding an implant. No medium-term consequences have been noted and the clinical and anatomical results are satisfactory in complex cases. This osteochondral graft leads to consolidation and can restore a “normal” appearance to the joint surface.
References
1. Rizzo M, Nunley JA. Fractures of the elbow’s lateral column radial head and capitellum. Vol. 18, Hand Clinics. 2002. p 21–42.
2. Johnston GW. A follow-up of one hundred cases of fracture of the head of the radius with a review of the literature. Ulster Med J. 1962;31:51–6.
3. Burkhart KJ, Wegmann K, Muller LP, Gohlke FE. Fractures of the Radial Head. Hand Clin. 2015 Nov;31(4):533–46.
4. Morrey BF, Tanaka S, An KN. Valgus stability of the elbow. A definition of primary and secondary constraints. Clin Orthop Relat Res. 1991 Apr;(265):187–95.
5. Van Riet RP, Morrey BF, O’Driscoll SW, Van Glabbeek F. Associated injuries complicating radial head fractures: A demographic study. Clin Orthop Relat Res. 2005;(441):351–5.
6. Roger P. van Riet MD, PhD, Bernard F. Morrey MD . Documentation of Associated Injuries Occurring With Radial Head Fracture. Clin Orthop Relat Res (2008) 466:130–134 doi 10.1007/s11999-007-0064-8
7. Captier G, Canovas F, Mercier N, Thomas E, Bonnel F. Biometry of the radial head: Biomechanical implications in pronation and supination. Surg Radiol Anat. 2002;24(5):295–301.
8. Vaquero-Picado A, Núñez de Armas J, Antuña S, Barco R. Morphometry of the radiocapitellar joint: is humeral condyle diameter a reliable predictor of the size of the radial head prosthesis? J Shoulder Elb Surg [Internet]. 2018;27(6):1092– 6. Available from: https://doi.org/10.1016/j.jse.2018.01.017
9. Rausch V, Wegmann S, Hackl M, Leschinger T, Neiss WF, Scaal M, et al. The radial head size in relation to osseous landmarks of the forearm. Surg Radiol Anat [Internet]. 2019;41(4):415–21. Available from: http://dx.doi.org/10.1007/s00276-018-2160-8
10. Luenam S, Vongvanichvathana A, Kosiyatrakul A, Kongphanich C, Chanpoo M, Koonchornboon T, et al. Matching precision of the reverse contralateral radial head in generating of the individualized prosthesis from the surface registration in tuberosity-neck and in tuberosity-diaphysis. J Orthop Surg (Hong Kong). 2019;27(1):2309499018821774.
11. Kaas L, Turkenburg JL, Van Riet RP, Vroemen JPAM, Eygendaal D. Magnetic resonance imaging findings in 46 elbows with a radial head fracture. Acta Orthop. 2010;81(3):373–6.
12. Itamura J, Roidis N, Mirzayan R, Vaishnav S, Learch T, Shean C. Radial head fractures: MRI evaluation of associated injuries. J Shoulder Elb Surg. 2005;14(4):421–4.
13. Mikic ZD, Vukadinovic SM. Late results in fractures of the radial head treated by excision. Clin Orthop Relat Res. 1983 Dec;(181):220–8.
14. Solarino G, Vicenti G, Abate A, Carrozzo M, Picca G, Moretti B. Mason type II and III radial head fracture in patients older than 65: is there still a place for radial head resection? Aging Clin Exp Res. 2015 Oct;27 Suppl 1:S77-83.
15. Hotchkiss RN, An KN, Sowa DT, Basta S, Weiland AJ. An anatomic and mechanical study of the interosseous membrane of the forearm : Pathomechanics of proximal migration of the radius. J Hand Surg Am. 1989;14(A):256–61.
16. Topographic analysis of 2 alternative donor sites of the ipsilateral elbow in the treatment of capitellar osteochondritis dissecans. Bexkens R, van den Bekerom MPJ, Eygendaal D, Oh LS, Doornberg JN. Arthroscopy. 2018 Jul;34(7):2087-2093. doi:10.1016/j.arthro.2018.02.050
17. Bone peg grafting for capitellar osteochondritis dissecans in adolescent baseball players. Oshiba H, Itsubo T, Komatsu M, Uchiyama S, Kato H. JBJS Essent Surg Tech. 2018 Mar 14;8(1):e8. doi: 10.2106/JBJS.ST.17.00058.
18. Leclerc AE, Deluce S, Ferreira L, Desai S, King G, Athwal GS. Measurements of the ispilateral capitellum can reliably predict the diameter of the radial head. J Shoulder Elbow Surg, 2013 Dec;22(12):1724-8. doi: 10.1016/j.jse.2013.06.014.
19. Griswold BG, Steflik MJ, Adams BG, Hebert-Davies J, Tokish JM, Parada SA, Galvin JW. Radius of curvature of the radial head matches the capitellum: a magnetic resonance imaging analysis. JSES Int. 2023 Mar 12;7(4):668-672. doi: 10.1016/j.jseint.2023.02.009.