Practical strategies for dealing with bone tunnels in revision ACL reconstruction
Background: Increasing rates of primary anterior cruciate ligament (ACL) reconstruction have led to a higher incidence of revision cases. While two-stage revision with preliminary bone grafting was popularized in the mid-2000s to address tunnel defects, this approach involves increased morbidity, extended recovery periods, and higher costs compared to single-stage procedures.
Objective: This article evaluates the technical considerations, preoperative planning, and surgical strategies required to successfully perform single-stage revision ACL reconstruction while minimizing the necessity for two-stage interventions.
Key Points: Failure analysis must address surgical technique, limb alignment, and secondary stabilizers. Preoperative CT scanning with three-dimensional reformatting is superior to plain radiography for assessing tunnel position and volume. Autografts, specifically patellar or quadriceps tendons with bone blocks, are preferred over allografts due to lower rupture rates and improved defect filling. To address anterolateral rotatory instability, the author performs lateral extra-articular tenodesis in nearly all revision cases, prioritizing it over anterolateral ligament reconstruction. Technical strategies for managing bone voids include eccentric drilling, the use of oversized interference screws for graft shifting, and impacted bone dowels. In a series of 135 consecutive revisions, only two cases required a two-stage approach.
Conclusion: Single-stage revision ACL reconstruction is feasible in the majority of cases through meticulous preoperative imaging, strategic graft selection, and specialized drilling techniques. While two-stage procedures remain a salvage option for severe tunnel expansion, most patients can be managed effectively in one operation, facilitating earlier return to function.
Introduction
With the increase in popularity of ACL reconstruction necessarily surgeons are seeing more cases that require revision. In the mid-2000s the technique of a two-stage revision procedure with a preliminary operation to remove hardware and graft material and bone grafting as a first stage before a second stage operation involving graft implantation a few months later was popularized [1] Thomas NP, Kankate R, Wandless F, Pandit H. Revision anterior cruciate ligament reconstruction using a 2-stage technique with bone grafting of the tibial tunnel. Am J Sports Med. 2005 Nov;33(11):1701-9.. Although the studies showed good results they did not involve comparison with a one-stage procedure. Despite the lack of comparison the good results were widely interpreted as being that two-stage procedures are preferable to one-stage ones. This was a pity.
Unfortunately a two–stage procedure is very unattractive to patients: there are usually three to six months between the stages which can be difficult for patients to cope with. It requires two hospital stays which brings more expense and the morbidity of extra surgery with it. For an athlete, losing a second season could be career ending. In addition not all surgeons have the surgical capability of satisfactory bone graft techniques and so often an inadequate first-stage procedure is actually undertaken.
My philosophy is to undertake a one-stage revision procedure whenever possible but, of course, I warn patients that this may not necessarily be the case and they should be prepared for a two-stage procedure if it is found necessary. Obviously my surgical experience presented in this article will only apply to my specific practice. Approximately half of my patients are professional athletes, which is very unusual, and therefore what applies to myself may not apply to others’
experiences. In a consecutive series of my last 135 revision ACL reconstructions, from August 2009 until now, I have only undertaken a two-stage procedure in two cases. The outcome measures are currently being evaluated and will be reported in the future.
Planning for revision ACL reconstruction
The first question to answer is: ‘Why did the primary reconstruction fail?’. Whilst it may be poor surgical technique it could be related to a large number of issues, particularly aspects affecting the periphery of the joint including medial or lateral ligament complex deficiencies, posterior horn/root injuries of the menisci, or abnormal bony anatomy in terms of sagittal / coronal alignment. Without correcting these deficiencies the revision procedure will be at risk of failure due to excess load being carried by the ACL graft. Particularly in chronic cases, an attritional stretching of the anterolateral soft tissues, which normally function to help the ACL resist a pivot shift, may have occurred over time. I therefore undertake lateral tenodeses in nearly 100% of my cases.
Once the knee has been adequately assessed for other problems that may need addressing, either with soft tissue reconstruction, meniscal surgery or even osteotomy, we can then focus on the revision of the ACL graft itself.
A surgeon must consider the previous graft type as this will affect the ease of surgery. Soft tissue grafts often leave large tunnels whereas patellar tendon graft or quadriceps tendon graft will have one or two bone blocks that leave less major bony defects. An assessment of the fixation devices is important as this allows a decision as to whether to remove the devices or leave them in situ. It also ensures the appropriate screwdriver is available! Whilst absorbable devices have the apparent attraction of being possible to drill through if they are in the way of new tunnel placement, there is the potential that disseminated bioabsorbable material may risk increased tunnel widening in revision cases [2] Quatman CE, Paterno MV, Wordeman SC, Kaeding CC. Longitudinal anterior knee laxity related to substantial tibial tunnel enlargement after anterior cruciate ligament revision. Arthroscopy. 2011; 27(8):1160-3..
Proper radiological assessment of previous tunnel size and placement and implant position is essential. X-rays are helpful but are far less satisfactory than CT scanning. The latter gives the advantage of a better three-dimensional image of where tunnels and implants lie. Due to X-rays providing a two-dimensional representation of three-dimensional reality surgeons can easily be mislead regarding tunnel position.
Finally a surgeon must consider the most appropriate graft.
Properative imaging
A full series of plain radiographs are important. These should include long leg alignment films and good lateral x-rays to assess the tibial slope (figure 1). There is a tendency for the eye to go straight to any metal implants but actually what is important is the position of the tunnel relative to these. The tunnel may be anterior, posterior, medial or lateral (or a combination) to the metal implant. It is for this reason it is rarely wise to comment on a previous surgeon’s tunnel position based on plain x-rays alone. The impression of a poorly placed tunnel may be completely incorrect (figure 2). This is particularly the case with grafts with bone blocks as the screw is normally adjacent to the bone block and therefore the soft tissue element of the graft may be some way away from the screws. Casual comments by a surgeon can lead to unfair lawsuits that could have been avoided.


CT scanning is much more valuable and as well as sagittal and coronal reformatting, a three-dimensional imaging can be provided. A CT based classification for femoral tunnel location has been described by Magnussen et al [3] Magnussen RA, Debieux P, Benjamin B, Lustig S, Demey, Servien E, Neyret P. A CT-based classification of prior ACL femoral tunnel location for planning revision ACL surgery. Knee Surg. Sports Traumatol. Arthroscopy. 2012; 20: 1298-1306. The three-dimensional reformatting capacity can be especially useful.
Graft choice for revision ACL reconstruction
Autograft is far superior to allograft. In primary cases this has been widely reported but also in revision cases. The MARS Group have reported re-rupture of an Allograft in revision cases of 2.78 times as much as autograft [4] MARS Group. Effect of graft choice on the outcome of revision anterior cruciate ligament reconstruction in the Multicenter ACL Revision Study (MARS) Cohort. Am J Sp Med 2014; 42: 2301-10..
Patellar tendon and quadriceps tendon have the advantage of having bone blocks, which allow filling of bony defects within the previously sited tunnels but also provide for excellent fixation. A graft of up to 15mm can be harvested, but this, of course, depends on the size of a patient’s quadriceps or patellar tendon.
Hamstrings can be tripled or quadrupled and up to 12mm of graft can be produced in this way.
Allograft is an attractive option since the patient does not have to suffer the morbidity of graft harvest, and the graft bulk means that bony defects can be filled, particularly if patellar tendon allograft or Achilles’ tendon allograft is used with their associated bone blocks. The drawbacks are a higher failure rate (above) and the excess bulk making graft versus femoral notch impingement more likely.
The role of synthetic ligaments in revision as well as primary ACL reconstruction is, at least, controversial and there is a widely reported higher failure rate.
Extra-articular tenodeses
In my view it is likely that most revision cases have some chronic attritional or acute insufficiency of the anterolateral structures and therefore, unless the patient objects, in all cases I add a tenodesis. Based on the research I have been involved with at Imperial College I do not believe that the anterolateral ligament (ALL) [5], Vincent JP Magnussen RA, Gezmez F, Uguen A, Jacobi M, Weppe F, Al-Saati MF, Lustig S, Demey G, Servien E, Neyret P. The anterolateral ligament of the human knee: an anatomic and histologic study. Knee Surg Sports Traumatol Arthrosc. 2012; 20:147-52.[6], A. L. Dodds, C. Halewood, C. M. Gupte, A. Williams, and A. A. Amis. The Anterolateral Ligament: Anatomy, length changes and association with the Segond fracture. Bone Joint J 2014 96-B: 325-331.[7] Claes S, Vereecke E, Maes M, Victor J, Verdonk P, Bellemans J. Anatomy of the anterolateral ligament of the knee. J Anat. 2013 Oct; 223(4):321-8. has a major role in controlling of tibial internal rotation/pivot shift. However, the deep capsulo-osseous / posterior part of the iliotibial band has connection to the distal femur via ‘Kaplan’s fibres’, which is the most important restraint to internal tibial rotation [8], C Kittl, C Halewood, J Stephen, Gupte C, A Weiler, A. Williams, A.A. Amis. Length change patterns of the lateral extra-articular structures of the knee and related reconstructions. Am J Sp Med. 2015; 43(2): 354-62.[9] C Kittl, H El-Daou, KK Athwal, CM Gupte, A Weiler, A Williams, A.A. Amis. The role of the anterolateral structures and the ACL in controlling laxity of the intact and ACL-deficient knee. Am J Sports Med. 2016; 44: 345-354.. In fact the ACL only has a significant role close to extension [9] C Kittl, H El-Daou, KK Athwal, CM Gupte, A Weiler, A Williams, A.A. Amis. The role of the anterolateral structures and the ACL in controlling laxity of the intact and ACL-deficient knee. Am J Sports Med. 2016; 44: 345-354.. Furthermore we have demonstrated that ITB based lateral tenodeses perform well and are significantly superior to ALL reconstructions. Some surgical techniques for ALL
reconstruction, with the femoral attachment site for the graft distal to the femoral attachment of the LCL and therefore flexion axis of the femur, are not only illogical, but could be harmful as well as ineffective [8] C Kittl, C Halewood, J Stephen, Gupte C, A Weiler, A. Williams, A.A. Amis. Length change patterns of the lateral extra-articular structures of the knee and related reconstructions. Am J Sp Med. 2015; 43(2): 354-62.. These are the reasons why I prefer tenodesis to ALL reconstruction.
Drilling techniques
If the old tunnels are to be reused because they are appropriately placed, drilling in the line of the previous tunnels can be undertaken. Care must be taken not to follow the line of a screw because this is an easy mistake to be made and drilling along the wrong line will result.
If completely new ‘virgin’ tunnels are drilled, when drilling from outside into the joint the tunnels must converge. The old and new tunnel apertures in the joint come together to be closest but away from this the tunnels are separated by healthy bone. If a ‘crown reamer’ is used to make a new tunnel then a useful dowel of bone can be harvested which can be used for grafting of defects in the procedure. This is usually possible with out to in drilling of the femoral tunnel.
When drilling the femoral tunnel via the anteromedial portal, divergent drilling is of course produced.
Potential tunnel scenarios
1. Tunnels far from satisfactory
This is the easiest situation in many ways as a virgin femoral and tibial tunnel can be drilled. An ACL reconstruction can be undertaken as would be a primary procedure. The only caution is that if an excessively large graft is used then large ne tunnels are needed and a new tunnel may coalesce with the old one. When planning the tunnels this should be taken into account.
In this scenario it is often appropriate to leave the previous fixation devices in situ. They only need removal if prominent or will conflict with drilling.
2. Well placed and not widened tunnels
Again this is an easy scenario. The old tunnels can be reused and a graft of surgeon’s choice used. The soft tissue must be cleared out of the tunnels and the tunnel walls ‘decorticated’ to provide healthy bleeding bone for graft healing.
3. Excessively widened tunnels
This is predominantly a tibial problem as on the femoral side there is a salvage option of employing the ‘over the top’ technique for femoral graft placement. Obviously a two-stage procedure may be the best option and the surgeon must be competent to undertake this should the need arise.
There are, however, three other options: firstly a large graft could be used either with multi-stranded hamstring or patellar tendon/quadriceps tendon graft. Allograft may be useful, due to its bulk, in this scenario although it is certainly not my preference for the reasons already stated. The large graft is at risk of impingement in the intercondylar notch, which may at least require notchplasty or, worse still, in the longer term the graft could be at risk of attritional damage and failure due to repeated impingement attrition.
Secondly standard grafts can be used but large metal screws can be used to fill the voids in the bone. By strategic placement of such screws the graft can be pushed eccentrically to the most appropriate place within the bony tunnel.
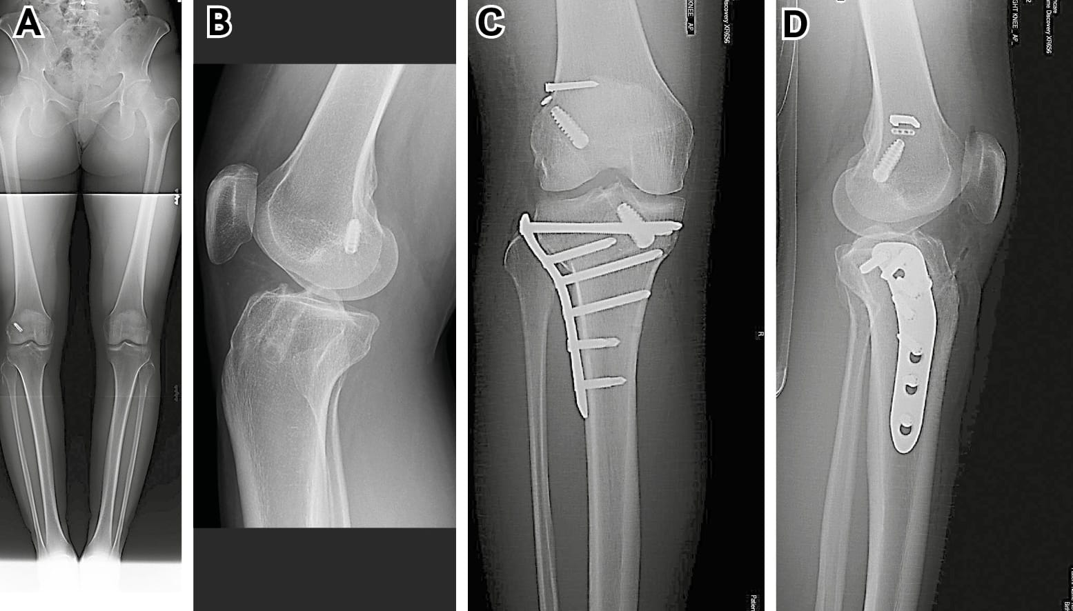
The third option is to undertake the filling of bony defects with bone dowels, which can be harvested from the iliac crest or distal femur/proximal tibia (the former are more robust due to their cortical bone and therefore more appropriate in most cases) or, alternatively, allograft dowels may be used. A tunnel slightly undersized for the dowel is drilled to create a bleeding bone surface into which the dowel(s) are firmly impacted. Then a new tunnel can be drilled in the appropriate position for graft placement. This involves drilling through some of the newly grafted bone. The new graft will be passed and fixed within the bone-grafted tunnel with appropriate fixation. Obviously without healed bone graft the risk of instability of fixation and of the graft is greater than with a two-stage procedure. I would only undertake this situation where the patient or circumstances dictate that a two-stage procedure would be problematic. This is particularly the case with professional athletes. Really perfect surgical technique and achievement of maximal graft stability with fixation is needed. Nevertheless in this way excellent results are possible (figure 3).

4. Tunnel placement is not satisfactory, but close to satisfactory
This is the most common cause of difficulty. On the femoral side there are three choices; firstly the salvage option is take the graft into the ‘over the top’ position. This is useful particularly with the presence of a very large tunnel [10] Usman MA, Kamei G, Adachi N, Deie M, Nakamae A, Ochi M. Revision single-bundle anterior cruciate ligament reconstruction with over-the-top route procedure. Orthop Traumatol Surg Res 2015 Feb;101(1):71-5..
Secondly, the surgeon can benefit from the ‘square peg in a round hole’ effect of rectangular bone blocks from patellar tendon or quadriceps tendon in a previously used drill hole which allows good filling of an apparently large tunnel, as pointed out by Shino et al11. Thirdly the old tunnel can be drilled eccentrically to take the centre of the new tunnel into the appropriate position. This of course enlarges the tunnel but the void created by the old tunnel can be filled with either a large graft rotated into the appropriate position, a large metal screw pushing the graft into the appropriate place which is what I usually do, or impacted bone dowels as described above.
On the tibial side there are a number of scenarios. Usually the tunnel placement is excessively anterior, and this is relatively simple to rectify. With eccentric drilling the desired tunnel position can be taken more posteriorly to the optimal position. With knee motion the graft is pulled posteriorly against the posterior wall of the tunnel in any case. Once the graft has been passed, the void anterior to the graft in the tibia can be filled with a large / long metal screws. Generally I am not supportive of the use of bioabsorbable implants as they rarely dissolve and become replaced with bone as promised by the manufacturers. In addition many have issues such as biological reaction and cyst formation, breakage and, with a matt surface, gripping of the graft causing it to rotate when the screw is inserted. Metal is cheaper and more reliable.
The excessively posterior tibial tunnel that requires revision is often problematic. If it is more than 1cm posterior to the ideal position then a completely new tunnel can be created that enters the joint anterior to the old one. However, if the old tunnel is less than 1cm excessively posterior, any new tunnel would coalesce with the old one. The problem with this is that with knee flexion the graft would automatically move posteriorly and therefore be less biomechanically affective. I would be cautious about the concept of placing a long screw posterior to the graft as the graft is likely to abrade at the tip of the screw. In this situation, a two-stage procedure with bone grafting of the tunnels prior to the second stage is may be best. As described above a one-stage procedure is possible using impacted bone dowel but there is a risk of one graft lysis and graft instability.
Fixation methods
A good cause of revision ACL reconstruction failure, as with primary reconstruction, is graft slippage within the tunnels. Furthermore, an unstable fixation will lead to poor healing. As a result, real effort must be taken to obtain stable fixation of the graft. Frequently this involves ‘double fixation’ on both sides of the joint. On the tibial side this will certainly involve an interference screw but if there is any suggestion of poor fixation then sutures through the graft will be fixed to the tibia with supplementary post-fixation. I usually use a screw/washer for this, or a suture anchor. On the femoral side, if a patellar tendon graft is used then the leading sutures can then be tied to the lateral femur in the same way. If a tenodesis has been undertaken which has involved the use of a soft tissue staple, the sutures can be tied over this before the staple has impacted. If a soft tissue graft is used then an EndoButton (Smith & Nephew) will usually be my first choice of fixation (of course other suspensory devices can be used) but this will often be combined with screw fixation in the femoral tunnel to push the graft into the favoured position.
Conclusion
With attention to detail in decision-making and planning, scrupulous operative technique, and application of this strategy in the patients that I personally see, only a minority of revision ACL reconstruction cases need to be done in two stages. The situation may be different for other surgeons’ practices.
References
1. Thomas NP, Kankate R, Wandless F, Pandit H. Revision anterior cruciate ligament reconstruction using a 2-stage technique with bone grafting of the tibial tunnel. Am J Sports Med. 2005 Nov;33(11):1701-9.
2. Quatman CE, Paterno MV, Wordeman SC, Kaeding CC. Longitudinal anterior knee laxity related to substantial tibial tunnel enlargement after anterior cruciate ligament revision. Arthroscopy. 2011; 27(8):1160-3.
3. Magnussen RA, Debieux P, Benjamin B, Lustig S, Demey, Servien E, Neyret P. A CT-based classification of prior ACL femoral tunnel location for planning revision ACL surgery. Knee Surg. Sports Traumatol. Arthroscopy. 2012; 20: 1298-1306
4. MARS Group. Effect of graft choice on the outcome of revision anterior cruciate ligament reconstruction in the Multicenter ACL Revision Study (MARS) Cohort. Am J Sp Med 2014; 42: 2301-10.
5. Vincent JP Magnussen RA, Gezmez F, Uguen A, Jacobi M, Weppe F, Al-Saati MF, Lustig S, Demey G, Servien E, Neyret P. The anterolateral ligament of the human knee: an anatomic and histologic study. Knee Surg Sports Traumatol Arthrosc. 2012; 20:147-52.
6. A. L. Dodds, C. Halewood, C. M. Gupte, A. Williams, and A. A. Amis. The Anterolateral Ligament: Anatomy, length changes and association with the Segond fracture. Bone Joint J 2014 96-B: 325-331.
7. Claes S, Vereecke E, Maes M, Victor J, Verdonk P, Bellemans J. Anatomy of the anterolateral ligament of the knee. J Anat. 2013 Oct; 223(4):321-8.
8. C Kittl, C Halewood, J Stephen, Gupte C, A Weiler, A. Williams, A.A. Amis. Length change patterns of the lateral extra-articular structures of the knee and related reconstructions. Am J Sp Med. 2015; 43(2): 354-62.
9. C Kittl, H El-Daou, KK Athwal, CM Gupte, A Weiler, A Williams, A.A. Amis. The role of the anterolateral structures and the ACL in controlling laxity of the intact and ACL-deficient knee. Am J Sports Med. 2016; 44: 345-354.
10. Usman MA, Kamei G, Adachi N, Deie M, Nakamae A, Ochi M. Revision single-bundle anterior cruciate ligament reconstruction with over-the-top route procedure. Orthop Traumatol Surg Res 2015 Feb;101(1):71-5.
11. Shino K, Mae T, Nakamura N. Surgical technique: revision ACL reconstruction with a rectangular tunnel technique. Clin Orthop Relat Res. 2012; 470(3):843-52.