Management of combined injuries of the ACL and medial knee
Background: Combined injuries of the anterior cruciate ligament (ACL) and medial knee structures occur in 20% to 40% of ACL ruptures, typically resulting from valgus stress or excessive rotation. Despite their prevalence, management remains controversial due to a lack of consensus in the literature and the risk of chronic instability or early osteoarthritis.
Objective: This article reviews the anatomy, biomechanics, and diagnostic strategies for medial knee injuries and presents treatment algorithms and clinical outcomes based on the 2023 Société Française d’Arthroscopie (SFA) symposium.
Key Points: Medial stability is maintained by three layers, including the superficial medial collateral ligament (sMCL), deep medial collateral ligament (dMCL), and posterior oblique ligament (POL). Diagnosis relies on comparative clinical exams, including valgus stress and the anteromedial rotatory instability test, supplemented by stress radiography and MRI. Grade 1 injuries require no medial intervention. Grade 2 injuries may be managed non-operatively unless distal entrapment or elite athletic status necessitates repair. Grade 3 injuries, characterized by laxity in extension, require surgical reconstruction. Technical requirements include precise anatomical tunnel placement for sMCL, dMCL, and POL grafts. Data from 722 patients indicate that while ACL+MCL injuries have higher rates of stiffness and repeat surgery for cyclops lesions, early mobilization and weight-bearing without rigid bracing optimize functional recovery.
Conclusion: Effective management of combined ACL and medial knee injuries requires a grade-based approach. Early anatomical reconstruction and immediate mobilization are essential to restore kinematics and minimize the risk of postoperative joint stiffness.
Introduction
Damage to the anterior cruciate ligament (ACL) and the medial knee is common in sporting injuries, especially in traumas that involve excessive rotation or valgus stress. These combined injuries may involve the ACL, the medial collateral ligament (MCL), or the other structures of the posteromedial knee such as the posterior oblique ligament (POL). These injuries occur in 20 to 40 % of cases of ACL rupture, and they have an impact on the functional prognosis and choice of treatment [1] Willinger L, Balendra G, Pai V, Lee J, Mitchell A, Jones M, et al. High incidence of superficial and deep medial collateral ligament injuries in « isolated » anterior cruciate ligament ruptures: a long overlooked injury. Knee Surg Sports Traumatol Arthrosc. janv 2022;30(1):167-75. . Combined ligament injuries are a challenge to treat because of the potential consequences on long-term stability of the knee, particularly in those who practise sports that involve pivoting or high-intensity activities. Inadequate management may lead to chronic instability, a decline in athlete performance and, in the longer term, early osteoarthritis.
Although combined ligament injuries are well-known, the findings in the literature vary and are usually based on small studies [2] Blaber OK, DeFoor MT, Aman ZA, McDermott ER, DePhillipo NN, Dickens JF, et al. Lack of Consensus on the Management of Medial Collateral Ligament Tears in the Setting of Concomitant Anterior Cruciate Ligament Injury: A Critical Analysis. JBJS Rev. 1 juin 2024;12(6). . For this reason, there is very little consensus on management.
This article is based on the Société Française d’Arthroscopie (SFA) [French Arthroscopy Society] symposium in 2023 (N. Bouguennec, E. Cavaignac, T. Neri, B. Freychet, C. Herce, C. Lutz, C. Kajetanek, A. Hardy, M. Ollivier). Its aim is to present a thorough review of the anatomy and biomechanics of the medial knee, diagnostic strategies, treatment options and post-operative outcomes based on the SFA prospective study.
Anatomy and biomechanics of the medial knee
The medial side of the knee is made up of three distinct layers, described by Warren and Marshall (figure 1), that act as primary and secondary stabilisers of the knee, especially during valgus movements and rotation.

1. Main anatomical structures
• Superficial layer: This consists of the fascia, sartorius and patellar retinaculum (Figure 2).

• Middle layer: This includes the superficial medial collateral ligament (sMCL), semimembranosus, semitendinosus, gracilis and posterior oblique ligament (POL). This ligament inserts over the medial epicondyle and terminates over the proximal tibia, 6cm below the joint line. It follows an oblique course down and forwards (Figure 3).

The POL forms the point of the posteromedial corner of the knee, together with the posteromedial joint capsule and the posterior horn of the medial meniscus. It inserts on the femur posteriorly and distally to the adductor tubercle. It ends at the semimembranosus tendon (at the anterior or reflected arm) (Figure 4).

• Deep layer: This layer includes the deep medial collateral ligament (dMCL), the joint capsule and the meniscotibial (or coronary) ligaments (Figure 5). The main role of the dMCL is to stabilise anterior translation and movements in valgus. It is made up of two parts: the meniscofemoral and meniscotibial ligaments. Its proximity to the joint capsule is worth noting as this explains the symptomatology of dMCL rupture, with the risk of joint stiffness in flexion.

2. Biomechanics of the medial knee
From a biomechanical perspective, there are three important functions to focus on: valgus forces, rotation and translation.
• Valgus : The structures of the medial and posteromedial knee provide stability in valgus at different points during flexion and extension. At 30° of flexion, the sMCL and dMCL respond to valgus stress, with the sMCL playing the major role (80%) [6] Vermorel PH, Testa R, Klasan A, Putnis SE, Philippot R, Sonnery-Cottet B, et al. Contribution of the Medial Hamstrings to Valgus Stability of the Knee. Orthop J Sports Med. oct 2023;11(10):23259671231202767. . In full extension, stability in valgus is mainly controlled by the POL. The medial hamstring tendons, known as pes anserinus, are also secondary stabilisers under valgus stress [6] Vermorel PH, Testa R, Klasan A, Putnis SE, Philippot R, Sonnery-Cottet B, et al. Contribution of the Medial Hamstrings to Valgus Stability of the Knee. Orthop J Sports Med. oct 2023;11(10):23259671231202767. .
• Rotation : Recent biomechanical studies have clarified the stabilising role of the medial structures in restricting anteromedial knee rotatory instability (AMRI). It has been demonstrated that the sMCL and dMCL both play an important role as a restraint against AMRI. Clinically, a concomitant injury of the ACL and dMCL, or of both medial collateral ligaments (sMCL and dMCL), can lead to an AMRI [7] Bouguennec N, Marty-Diloy T, Colombet P, Graveleau N, Robinson J. A New Algorithm to Treat Chronic Combined ACL/MCL Injuries: Let’s Come Back to the “Rotatory Instability Test”. Video Journal of Sports Medicine. 1 sept 2023;3(5):26350254231204385. .
• Tibial translation : This secondary function is performed by all the medial structures, with the dMCL playing the most important role.
Diagnostic strategy
1. Clinical examination
The clinical examination is crucial in determining the extent of medial aspect and ACL injury. This must be a bilateral examination that compares the two limbs.
• ACL tests: It is standard to perform ACL tests to include the anterior drawer (Lachman's test at 30°and direct anterior drawer at 90°) and the pivot shift test. Anterior subluxation of the tibia may be absent in combined ACL and MCL injuries. In the SFA symposium series, this test was positive in 99% of cases when there was a grade 1 ACL+MCL injury and in only 85% of cases in grade 2 or 3 ACL+MCL injury.
• Valgus stress test: The valgus stress test at 30° is used to isolate sMCL injury. In extension, the valgus stress test assesses the POL (open < 8mm), then the MCL (> 8mm), then the ACL.
The AMA sets out 3 grades for valgus stress testing:
- Grade I: Pain, no laxity in extension or at 30°
- Grade II: Pain, laxity at 30°, no laxity in extension (MCL injury)
- Grade III: Pain, laxity in extension and at 30° (MCL and POL injury)
• ADER test : PTo assess AMRI, the direct anterior drawer test in 15° of external rotation is performed. The knee is placed in 90° of flexion. Anterior tibial translation increases when external rotation is applied (compared to a neutral rotation). This sign indicates a combined ACL and MCL injury. In this video, Dr Bouguennec offers an explanation of this test [7] Bouguennec N, Marty-Diloy T, Colombet P, Graveleau N, Robinson J. A New Algorithm to Treat Chronic Combined ACL/MCL Injuries: Let’s Come Back to the “Rotatory Instability Test”. Video Journal of Sports Medicine. 1 sept 2023;3(5):26350254231204385.
https://journals.sagepub.com/doi/10.1177/26350254231204385#media1
A combined injury of the dMCL and ACL with no sMCL involvement will not always lead to laxity in valgus, and this external translation-rotation test can therefore prove to be useful for diagnosis.
2. Additional examinations
Additional examinations are essential to confirm the clinical diagnosis and plan surgical management if necessary.
• Radiography: Weight-bearing plain film radiographs (AP, lateral and femoropatellar) are the first investigations to perform. In the acute phase, these are able to detect associated bone injuries (fractures, avulsions) (figure 6) and any soft tissue swelling.

In the chronic phase, stress radiographs are also used to measure opening of the joint space under valgus forces (figure 7). Bilateral radiographs must be taken for comparison. An increase exceeding 3 mm in 30° of flexion demonstrates a complete tear of the sMCL, an increase of around 10 mm indicates an sMCL and dMCL injury and exceeding 10 mm is a combined MCL and POL injury, often in conjunction with an injury to one or both cruciate ligaments [8] Laprade RF, Bernhardson AS, Griffith CJ, Macalena JA, Wijdicks CA. Correlation of valgus stress radiographs with medial knee ligament injuries: an in vitro biomechanical study. Am J Sports Med. févr 2010;38(2):330-8. .

Down the line from a trauma, Pellegrini-Stieda disease may also be evaluated, as this is ossification of the MCL at its femoral insertion seen on radiography (Figure 4) in conjunction with chronic pain (Figure 8). The main differential diagnosis is chondrocalcinosis deposits in the medial recess.

• Ultrasonography : A musculoskeletal ultrasound scan is very often used for disambiguation, as it can dynamically evaluate the medial ligament structures, and is especially useful in identifying superficial sMCL injury (figure 9). The relevant finding is a hypoechoic and thickened appearance in conjunction with haematoma. This allows a partial tear to be differentiated from a complete tear. It is useful to look for a Stener-like lesion, which is entrapment of the MCL in the joint space. Ultrasound may also be useful to visualise involvement of the medial hamstring tendons. Finally, this modality can also be used to guide injections to treat chronic pain (such as in Pellegrini-Stieda disease).

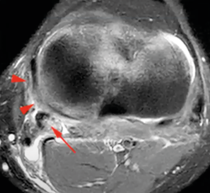
• MRI : Magnetic resonance imaging (MRI) is the gold standard examination for evaluating MCL and POL injuries. MRI is able to show the precise location of the injury, its severity and whether there is any other intra-articular damage (ACL, PCL, cartilage, menisci, subchondral bone or joint capsule).
Classification once again falls into three grades (Figure 10) but it differs from the AMA clinical classification. There is no real correlation between the two.

- Grade I: High signal intensity, oedema around the ligament
- Grade II: High signal intensity within the ligament, thickening, partial disruption of the fibres
- Grade III: Enthesis not visible, complete disruption, ligament appears distended, bony avulsion
On the axial images, the point of the posteromedial corner can be seen, including: POL, posteromedial joint capsule, posterior horn of medial meniscus, semimembranosus. If there is an injury, these structures will appear with low signal intensity on all sequences (Figure 11) [9] Fusco S, Albano D, Gitto S, Serpi F, Messina C, Sconfienza LM. Posteromedial Corner Injuries of the Knee: Imaging Findings. Semin Musculoskelet Radiol. juin 2024;28(3):318-26. .

Finally, MRI can be used to look for a Stener-like lesion, which is entrapment of MCL between the torn structures at the tibia, which can occur under the hamstrings, within the joint or under the medial meniscus (Figure 12).

Treatment
1. Indications
There is no consensus on this topic. However, on the basis of the trends that emerge we can put forward treatment algorithms for these combined ACL and MCL injuries, separating out acute (Figure 13) from chronic cases (Figure 14).


The treatment indications depend broadly on the grade:
• Grade 1: Pain without medial laxity: no surgical treatment of MCL
• Grade 2: Medial laxity at 30° with no laxity in extension:
If ACL surgery is deferred (stiffness or other reason): non-operative management of MCL
Quick surgery to ACL (for elite athletes, distal MCL injury and entrapment): surgical management of MCL (repair)
• Grade 3: Medial laxity at 30° and laxity in extension: surgical management of MCL (repair and/or reconstruction)
There is currently no consensus on non-surgical management of ACL in the grade 2 cases. Strict immobilisation and restricted weight-bearing should be avoided (risk of stiffness, AMI, etc.) A better choice is a hinged brace for 3 to 6 weeks. Weight-bearing should be permitted.
2. Surgical strategies
2.1 Anatomical requirements
To restore intact knee kinematics, reconstruction surgery must comply with certain rules.
• sMCL : The insertion over the tibia must be 6 cm below the joint line and posterior to the pes anserinus. The graft must be taut and fixed at 30° of flexion.
• dMCL : The femoral bone tunnel must be distal (6 mm) and posterior (5 mm) to the medial epicondyle. The tibial tunnel must be 8 mm below the joint line. The graft must be taut and fixed at 30° of flexion.
• POL : The insertion over the femur must be posterior to the medial epicondyle of the femur. The tibial insertion is over the reflected arm of the semimembranosus tendon. The graft must be taut and fixed at 0° of flexion.
2.2 Biomechanical requirements
In order to comply with the biomechanical requirements, it is important to test the behaviour of the grafts (checking positioning is correct) and to secure the grafts in the right positions (Figure 15).

2.3 Surgical techniques
There are numerous medial knee reconstruction techniques, of which, we find the following to be the most useful:
• Isolated anatomic sMCL reconstruction (Figure 16): This technique can be performed using a percutaneous technique with one incision opposite the medial epicondyle and one opposite the pes anserinus, to create the tibial tunnel for the sMCL and for the ACL.

• Isolated dMCL reconstruction (Figure 17): Mirror Anterolateral Ligament technique, as described by the team at the Clinique du Sport de Bordeaux [10] Daxhelet J, Bouguennec N, Graveleau N. The Mirror Anterolateral Ligament: A Simple Technique to Reconstruct the Deep Medial Collateral Ligament Using the Gracilis Associated With a Four-Strand Semitendinosus for Anterior Cruciate Ligament Reconstruction. Arthrosc Tech. août 2022;11(8):e1419-24. .

• Anatomic reconstruction of the MCL and POL (Figure 18): This technique, first described by Laprade, uses two grafts, the sMCL and POL, which are independent with two tibial tunnels and two femoral tunnels. Now this technique can be performed percutaneously. It is preferable to create an anteroposterior tibial tunnel for the POL to avoid impingement with the ACL tibial tunnel [4] Coobs BR, Wijdicks CA, Armitage BM, Spiridonov SI, Westerhaus BD, Johansen S, et al. An in vitro analysis of an anatomical medial knee reconstruction. Am J Sports Med. févr 2010;38(2):339-47. .

• Non-anatomic reconstruction of the sMCL and POL (Figure 19): In some cases (small size, concomitant PCL injury), it is challenging to create two femoral tunnels as there are significant collision risks. In this case, a single femoral tunnel, shared by both grafts, can be created. It must be positioned posterior to the medial epicondyle of the femur.

• Non-anatomic reconstruction of the sMCL and POL (Figure 20): In this technique described by Lind, one of the medial hamstring tendons is rerouted: moved posteriorly over the tibia then fixed on the femur and then routed back down to the tibia to form the POL.

2.4 Choice of graft
There are many possible options. The usual graft for the ACL can be used. In a biomechanical study, we have shown that the medial hamstrings were secondary stabilisers under valgus stress. However, if medial stability is corrected, it is possible to use them. In other words, gracilis and semitendinosus can only be used if the MCL is repaired or reconstructed. If this is not done, it is better to choose a different graft for the ACL.
Allografts are increasingly being used for the medial knee. Tendons such as the posterior or anterior tibial tendons are well suited to use as allografts. If the option of an autologous graft is chosen, the modified Lind technique offers a way to use a hamstring tendon to reconstruct the MCL and POL.
3. Post-operative recovery
Once again, there is no consensus over the strategy. In our experience and based on the results of the SFA prospective multicentre study, mobilisation of the knee can begin immediately. Full weight-bearing is permitted. Better functional results seem to be achieved if a brace is not used, without increasing the risk of a repeat tear. In some cases that are judged to present greater risk, a hinged brace can be prescribed but it should be used for a maximum of 6 weeks. Extension braces should be avoided. The goal is to reduce as far as possible the risk of stiffness in flexion, which is the most common complication in surgery for combined medial knee and ACL injuries.
Results and complications
The results of the Société Française d’Arthroscopie (SFA) prospective series in 2023 mean that the efficacy of combined ACL and medial knee reconstructions can be evaluated in a large cohort of patients.
1. Results
In the SFA study, 722 patients were included with an average length of follow-up of 18 months. Of these, 408 patients had combined ACL and MCL injuries, while 314 had isolated ACL injuries. The rate of repeat tears and repeat surgery, scores on functional outcome measures (IKDC, Tegner and SKV) and the time to resuming sport were all assessed. The two groups were comparable except that meniscal damage was more common in the ACL+MCL group, and this may have had a negative impact on the outcome measure scores for this group.
- Repeat tear: MCL injury had no impact.
- Repeat surgery: More common in the grade 2-3 ACL+MCL group (cyclops lesion and stiffness, could be an effect of immobilisation).
- Functional outcomes: Less good in the ACL+MCL group, especially if patients had surgery (this can be explained by this group being the patients that had more severe injuries).
- Resuming sport: The wait was shorter if management was quick.
2. Complications
The main complication found was joint stiffness in flexion, generally due to insufficient physiotherapy or excessive protection of the joint in the early weeks.
Conclusion
Combined ACL and medial knee injuries require personalised management. An understanding of the anatomy and biomechanics is indispensable for the management of these injuries. The diagnosis and the treatment strategy are based on the clinical examination (3 grades) and MRI findings (coronal and axial images). For patients with a grade 1 injury (pain without laxity), no immobilisation and no surgery are required. Only the ACL will be reconstructed. Laxity in valgus in flexion (grade 2 = MCL involvement) must be differentiated from laxity in extension (grade 3 = MCL+POL). For grades 2 and 3, the results of the prospective series show that an appropriate and if possible early repair or reconstruction, together with a suitable physiotherapy protocol (weight-bearing and little or no immobilisation), delivers optimal functional recovery in the majority of cases.
References
1. Willinger L, Balendra G, Pai V, Lee J, Mitchell A, Jones M, et al. High incidence of superficial and deep medial collateral ligament injuries in « isolated » anterior cruciate ligament ruptures: a long overlooked injury. Knee Surg Sports Traumatol Arthrosc. janv 2022;30(1):167-75.
2. Blaber OK, DeFoor MT, Aman ZA, McDermott ER, DePhillipo NN, Dickens JF, et al. Lack of Consensus on the Management of Medial Collateral Ligament Tears in the Setting of Concomitant Anterior Cruciate Ligament Injury: A Critical Analysis. JBJS Rev. 1 juin 2024;12(6).
3. The Noyes Knee Institute [Internet]. [cité 11 sept 2024]. Orthopaedic Textbooks. Disponible sur: http://noyeskneeinstitute.com/why-nki/about-dr-noyes/orthopaedic-textbooks/
4. Coobs BR, Wijdicks CA, Armitage BM, Spiridonov SI, Westerhaus BD, Johansen S, et al. An in vitro analysis of an anatomical medial knee reconstruction. Am J Sports Med. févr 2010;38(2):339-47.
5. DePhillipo NN, Moatshe G, Chahla J, Aman ZS, Storaci HW, Morris ER, et al. Quantitative and Qualitative Assessment of the Posterior Medial Meniscus Anatomy: Defining Meniscal Ramp Lesions. Am J Sports Med. févr 2019;47(2):372-8.
6. Vermorel PH, Testa R, Klasan A, Putnis SE, Philippot R, Sonnery-Cottet B, et al. Contribution of the Medial Hamstrings to Valgus Stability of the Knee. Orthop J Sports Med. oct 2023;11(10):23259671231202767.
7. Bouguennec N, Marty-Diloy T, Colombet P, Graveleau N, Robinson J. A New Algorithm to Treat Chronic Combined ACL/MCL Injuries: Let’s Come Back to the “Rotatory Instability Test”. Video Journal of Sports Medicine. 1 sept 2023;3(5):26350254231204385.
8. Laprade RF, Bernhardson AS, Griffith CJ, Macalena JA, Wijdicks CA. Correlation of valgus stress radiographs with medial knee ligament injuries: an in vitro biomechanical study. Am J Sports Med. févr 2010;38(2):330-8.
9. Fusco S, Albano D, Gitto S, Serpi F, Messina C, Sconfienza LM. Posteromedial Corner Injuries of the Knee: Imaging Findings. Semin Musculoskelet Radiol. juin 2024;28(3):318-26.
10. Daxhelet J, Bouguennec N, Graveleau N. The Mirror Anterolateral Ligament: A Simple Technique to Reconstruct the Deep Medial Collateral Ligament Using the Gracilis Associated With a Four-Strand Semitendinosus for Anterior Cruciate Ligament Reconstruction. Arthrosc Tech. août 2022;11(8):e1419-24.