lateral subvastus approach for Total Knee Arthroplasty: shorter recovery time
Background: Traditional minimally invasive total knee arthroplasty (TKA) focuses on reducing incision length and quadriceps trauma via medial midvastus or subvastus approaches. However, these techniques often fail to demonstrate superior functional recovery compared to the standard medial parapatellar route, as preserving the quadriceps alone may be insufficient for optimizing postoperative rehabilitation.
Objective: This article evaluates the lateral subvastus approach as a functional alternative for TKA, aiming to improve extensor apparatus mechanics, patellar stability, and rapid mobilization regardless of preoperative limb deformity.
Key Points: The lateral subvastus route preserves the medial retinaculum and the medial capsuloligamentous complex, which are critical for maintaining patellar alignment and quadriceps efficiency. The technique involves a lateral parapatellar incision, dissection of the vastus lateralis, and medial patellar luxation. In a series of 263 procedures, the approach was compatible with both cruciate-retaining and posterior-stabilized implants, often utilizing computer navigation. Clinical data from 191 patients showed an average surgical time of 97 minutes and a mean hospital stay of 2.9 days. At one-month follow-up, 72% of patients ambulated without assistive devices, and mean flexion reached 105°. The preservation of anterior knee sensitivity allowed early kneeling, while intact medial structures provided superior joint stability.
Conclusion: The lateral subvastus approach is a viable minimally invasive technique that enhances early functional recovery and reduces postoperative pain. By maintaining the integrity of the medial stabilizers and the extensor mechanism, it facilitates rapid rehabilitation and ensures anatomical patellar tracking.
Introduction
Thus far, minimally invasive surgery for total knee arthroplasty has aimed to reduce the length of the skin incision and to minimize trauma to the quadriceps muscle. It is defined by adoption of a medial mid- or subvastus approach route. Medial approaches preserving quadriceps have not led to an obvious improvement in functional recovery in the short or medium term, however, compared with the progress of patients undergoing surgery via the standard medial parapatellar route. While it may certainly be termed minimally invasive, the medial subvastus approach reduces knee exposure without providing any significant benefits for the patient.
Preserving quadriceps, then, is not enough on its own to improve rehabilitation after total knee replacement. Careful consideration has been given to adapting the approach route to achieve more functional aims, while continuing to observe the basic principles of total knee arthroplasty. To simplify, these functional goals are obtaining extension that allows efficient locking in particular, together with adequate active flexion, which is the hallmark of rapid and easy rehabilitation. In addition, the prosthesis should be placed so that the knee is both mobile and stable, and the position of the implants is compatible with the tribological characteristics established during in vitro tests.
The extensor apparatus of the knee
The morphology of quadriceps is particular to each knee. The direction of Insall’s quadriceps force, generated by the action of the four extensor heads, varies according to the condition of each muscle component, on how the vastus muscles wrap around the femoral shaft, the orientation of rectus femoris as dictated by femoral anteversion, distal metaphyseal valgus of the femur, orientation of the patellar tendon, shape of the patellofemoral joint and so on.
This force is directed upwards and away from the functional axis of the femur. The force exerted by the patellar tendon, directed down and out, partially opposes it. The tilt of the lateral rim of the femoral trochlea is not enough to compensate for the tendency of the patella to lateral subluxation.
The medial retinaculum and the anterior part of the medial capsuloligamentous complex must absolutely not be damaged during the approach, in order to optimize quadriceps function and to ensure patellar stability.
The flexor muscles of the knee
Biceps femoris is definitely the most powerful of the tibiofemoral rotator muscles due to the size of the lever arm involved in the force it exerts in rotation. The distance between its insertion on the fibula and the centre of tibiofemoral rotation situated beneath the medial femoral condyle offsets it considerably more than the antagonist rotator muscles of pes anserinus, such that the medial capsuloligamentous complex is subjected to substantial horizontal loading. The latter can also give rise to postoperative pain.
Furthermore, biceps femoris is also a powerful flexor of the knee: if the medial capsuloligamentous complex is preserved in its entirety, the point around which it acts will be stabilized and knee flexor function optimized.
Correction of the initial deformity
Total knee arthroplasty damages the anterior cruciate ligament and the lateral meniscus, at the very least. The tensor muscle of the lateral tibiofemoral compartment – popliteus in its ring of meniscal friction – no longer works efficiently. Stability of the lateral tibiofemoral compartment is thus impaired.
The lateral subvastus route preserves the stable medial compartment without exacerbating the instability of the mobile lateral compartment. In addition, as patellar stability and alignment are ensured by preservation of the medial tibiofemoral complex and the medial retinaculum, the degree to which the femoral implant is rotated then depends solely on ligament balance in flexion.
It is therefore the approach of choice for small deformities of the knee.
For cases of extensive genu varum, medial ligament release may be obtained via the intra-articular route once the tibial cut has been made. The medial retinaculum layer is not disturbed. There will be no tension during suturing of the lateral retinaculum at the end of the procedure when a genu varum is being corrected.
In the treatment of cases of extensive genu valgum, as with Keblish’s lateral trans-quadriceps parapatellar approach, the lateral subvastus route preserves a ligament system medially that may potentially be distended and the lateral arthrolysis that is required for restoration of peripheral ligament balance. However, elevation of the anterior tibial tuberosity, synovial repair of Hoffa’s ligament , section of the patellar retinaculum and iliotibial band lengthening, as described by Keblish, are sometimes mandatory and entail a substantial surgical field.
To improve function of the knee being replaced, the lateral subvastus approach was chosen, whatever the initial lower limb deformity might have been.
Surgical procedure
A lateral parapatellar skin incision is made (Figure 1 a and b).

It extends from 3 cm above the patella down to 3 cm below the joint line of the lateral tibiofemoral compartment. This area contains terminal blood vessels and is less prone than the medial parapatellar area to skin necrosis. It preserves sensitivity of the anterior surface of the knee.
Exposure of the inferior edge of vastus lateralis is made easier by dissection of this muscle below its aponeurosis. The aponeurosis will be sutured together at the end of the procedure. The muscle is dissected as far as the point where it meets the first vascular pedicle entering the anterior muscle compartment.
Section of the lateral retinaculum is performed after haemostasis of the superior patellar blood vessels at a distance from the lateral edge of the patella, to facilitate suturing at the end of the operation. The incision is continued along the length of the patellar tendon to the point where it inserts on the tibia.
Arthrotomy with preservation of a synovial flap that includes Hoffa’s ligament is carried out in accordance with Keblish’s recommendations for genu valgum (Figure 2).

Lateral arthrolysis, in the first instance, involves section of the anterior horn of the lateral meniscus. The capsule and the anterolateral corner are released for 10 mm as far as the anterior limit of the superior tibiofibular joint. The insertion of the fascia lata on Gerdy’s tubercle is preserved as far as possible. A small amount of subperiosteal dissection is sometimes required to expose the level of the tibial cut.
Section of the ACL presents no difficulties. The PCL may be preserved and will not obstruct anterior subluxation of the lateral tibial plateau.
Medial luxation of the patella is performed after ablation of patellofemoral osteophytes. This is made easier if a muscle relaxant is used and if the procedure is performed without a tourniquet. A flexible blade bent into a hook shape allows medial traction of the patella. Little by little, the knee is flexed with forced medial rotation, so that the lateral tibial plateau is subluxed in front of the lateral femoral condyle and the patella slides over the medial surface of the medial femoral condyle (Figure 3 a and b).

Should any difficulties arise, there are several ploys that avoid having to extend the approach route:
Proximal dissection of vastus lateralis may be extended. Osteophytes or even the whole of the bony spurs themselves may be excised: this increases medial translation of the tibia. The tibia may be pre-sectioned and/or the patella sectioned. Lastly, the fascia lata may be partially released from Gerdy’s tubercle. Reinsertion with sutures will have no repercussions for function.
Elevation of the anterior tibial tuberosity seems to me to be incompatible with rapid rehabilitation. Periosteal stripping of the insertion of the patellar tendon seems to me to be dangerous as part of routine surgery.
When the patella is in a medial position, the usual surgical procedure is no longer problematic. It is possible to insert an intramedullary femoral or tibial stem. However, luxation of the tibia in front of the femur with complete exposure of the tibia will not be possible (Figure 4).

With the tibial cutting guide positioned on the anterolateral surface of the tibia, the desired slope of the tibia is in fact likely to be a varus cut. Orientation and checking of the tibial cut are ideally carried out with the aid of a computer.
As the cuts are gradually made in the bone, the tibiofemoral space opens up wider and wider: there are no difficulties continuing with the procedure.
Testing of the ligaments of the medial tibiofemoral compartment in particular becomes more reliable due to the intact medial capsuloligamentous complex. Preservation of the PCL ensures a medial quadrangular space in extension as well as in flexion.
Medial release is unusual for a surgeon working within the ligament casing but the lateral subvastus route does not rule out any subperiosteal procedure to releases the medial ligament. Just the opposite, in fact: it makes it safer.
The choice of femoral implant rotation has no effect on patellar stability or alignment: all textbook options are possible.
The size of the tibial implant and the mediolateral covering of the tibia should not be underestimated: it is best to measure the mediolateral dimension of the tibial epiphyseal cut accurately and then to confirm it with a dry run. In actual fact, only visual assessment of the lateral cortex will be available during preparation and placement of the tibial base. The risk of malalignment and lateralization of the tibial implant is minimized in this way.
Once tests with a trial prosthesis have been completed, the tibial imprint is prepared. Perfect congruence of the femur and the polyethylene tibial insert must be ensured if a fixed tray is being used.
Anterolateral access allows direct visualization of lateral femoral condyle rollback on the lateral tibial tray. It is therefore very easy to detect an excess or a lack of tension in the PCL if the latter has been preserved. Use of posterior stabilization with a tibiofemoral rotational effect causes the lateral condyle to pull back by 10 to 15 mm in flexion. This is perfectly obvious with the lateral subvastus route (Figure 5 ).

Introduction of the final tibial base is carried out in extension in the tibiofemoral space created by the distal femoral cut and the tibial cut. With distraction of the ligament by traction along the limb axis, the space measures at least 23 to 25 mm.
Depending on the length of the tibial post, a window cut in the bone on the anterior surface of the tibia, behind the patellar tendon, facilitates insertion and positioning of the tibial base (Figures 6 and 7).


This wall of bone is usually very thin. The window in the bone does not weaken the tibia and provides for easy insertion of a 30 mm stem. The cortical and cancellous bone that has been removed is replaced immediately after placement of the tibial base.
Before placement of the final polyethylene, if the tibial base is cemented, impaction is followed by careful ablation of excess cement, particularly on the still-accessible posteromedial edge of the tibia.
Placement of a patellar implant presents no difficulties. After reduction of medial luxation of the patella, patellar alignment in the trochlear groove is easily visible.
Closure of the synovium is usual. Suture of the lateral retinaculum improves cohesion of the lateral tibiofemoral compartment (Figure 8). Tensor fasciae latae acts as the tensor muscle for regulation of lateral patellofemoral pressure. The absence of patellofemoral instability considerably reduces the indications for therapeutic section of the lateral retinaculum.

Our experience
Some 263 total knee arthroplasties have been performed in Saint Malo via the lateral subvastus route and 191 medical records have been made use of. Either the implants were stabilized posteriorly with a fixed tibial insert or the PCL was preserved (B Braun Vega – United U2). All the procedures were guided by a navigation system (B Braun Orthopilot– Orthokey United).
Although some patients were obese (Figure 9), the lateral subvastus approach could be adopted in the usual fashion. Duration of surgery using a lateral subvastus route and navigation was no different from that using a medial subvastus route and navigation: that is, 97 minutes on average .

Treatment of substantial valgus deformities was facilitated by use of the lateral subvastus route with better analysis of medial stability. Management of genu varum was conducted within the joint casing without applying medial release, though that would have been possible even using the lateral subvastus route (Figure 10 ).

Outcomes in the immediate postoperative period were distinctly improved due to rapid rehabilitation measures. Periprosthetic infiltration of Naropeine in particular leads to early mobilization with full weight-bearing on the knee that has been operated on. The lateral subvastus route optimizes postoperative management. Prosthesis stability and the quality of quadriceps locking enable the patient to walk without aids.
Ambulatory surgery is feasible, of course. In patients staying in hospital for more than 48 hours, we did not note any resurgence of pain after intra- and perioperative analgesic measures had worn off. The medial surface of the knee is most often totally pain-free. Patients are aware of some tension in the fleshy part of vastus lateralis in its mid-part or at the origin of the thigh. Local massages distinctly improve the sensation of pain within a few days. At the knee, joint tension is in proportion to the amount of haemarthrosis. There is no truly sensitive area.
Average hospital stay for patients going home was 2.9 days.
Follow-up 1 month after operation allowed us to note a big difference in functional recovery. Some 72% of patients come to the appointment without a walking stick, while 23% state that they take a stick with them when travelling long distances as a ‘safety measure’. None of the patients uses sticks for moving around on a day-to-day basis. Sensitivity of the anterior surface of the knee is preserved with the lateral subvastus route: patients undergoing surgery can kneel down from the first month after the procedure.
Rehabilitation is easier because knee locking is excellent after a short time, while flexion reaches 100° in a few days. The knees are less swollen and the scar is less inflamed. After 1 month, average flexion was 105° and 39% of patients no longer needed physiotherapy sessions.
Medial pain was better analysed: pes anserinus tendinitis secondary to persistent preoperative inflammation or intensive physiotherapy was detected and treated more efficiently.
During the transition period, when appointments for patients undergoing surgery 3 months previously via the medial route coincided with those for patients undergoing surgery 1 month earlier via the lateral subvastus route (Figures 11 & 12), we realized that convalescence had been reduced by 2 months. A multi-centre study comparing the two types of approach is currently under way.


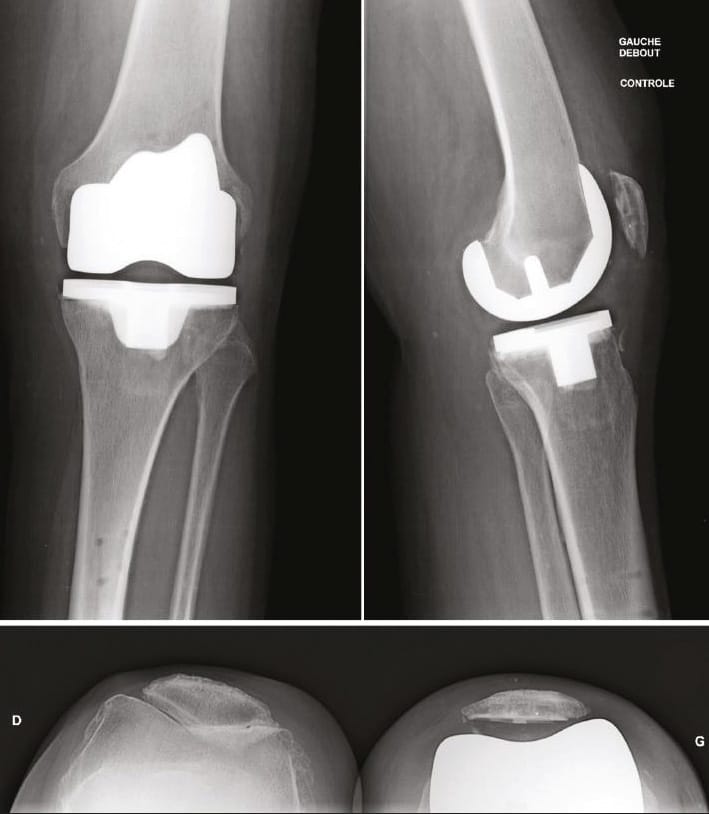
At 1 year, in patients undergoing surgery on both knees, with the same implant inserted via a different approach route:
The functional scores are identical but the side on which the lateral, minimally invasive route was used is more comfortable. Radiographic assessment demonstrates that patellar alignment is always perfect with the lateral subvastus route.
To conclude
The lateral subvastus approach route for total knee arthroplasty is a minimally invasive route that confers real benefits on the patient.
The quality of medial tibiofemoral compartment stability and the total integrity of the extensor apparatus of the knee are the main advantages with this approach route. There is less postoperative pain and functional recovery is quicker than with medial routes.