Value of trapeziometacarpal joint imaging in the surgical management of basal thumb arthritis
Background: Management of trapeziometacarpal (TMC) joint degeneration requires precise imaging to assess the extent of osteoarthritis and guide clinical decision-making. Despite its importance, obtaining high-quality radiographs of the thumb base is technically demanding and often complicated by inconsistent positioning or a lack of specialized training among radiology staff.
Objective: This article describes the clinical utility of static and dynamic radiographic views, advanced imaging modalities such as cone-beam computed tomography (CBCT), and diagnostic arthroscopy in evaluating TMC joint morphology, dysplasia, and degenerative changes.
Key Points: Radiological assessment relies on standardized classifications, including the Eaton, Dell, and Allieu systems, which categorize joint space narrowing, subluxation, and peritrapezial involvement. Essential projections include Kapandji’s frontal and lateral views, Robert’s anteroposterior view, and stress views to evaluate joint stability. Specialized views, such as Gedda’s (Bett’s) and dynamic radial/ulnar deviation images, are necessary to visualize the scaphotrapeziotrapezoid (STT) joint. Quantitative measures of trapezial dysplasia include the trapezial tilt (Dévers angle) and trapezial inclination. While CBCT provides high-resolution cartilage evaluation with lower radiation doses, arthroscopy remains the most definitive method for assessing the topography of chondral damage. Notably, radiographic severity does not always correlate with clinical pain levels.
Conclusion: Accurate diagnosis of basal thumb arthritis necessitates a comprehensive radiographic protocol and specialized technician training. Integrating dynamic views and advanced imaging ensures a precise anatomical assessment, though clinical symptoms must remain the primary indication for surgical intervention.
Introduction
When managing patients with trapeziometacarpal (TMC) joint pain, imaging will be a useful tool to understand the extent of joint degeneration, and consequently provide the patient with accurate information.
Radiology is often the only technical instrument needed for appropriate management of basal thumb arthritis [1] Forestier. L’osteoarthrite sèche trapezométacarpienne (Rhizarthrose du pouce). Presse Med 1937; 315 – 7. Traditional radiology of the thumb base presents challenges as it is complex to perform, but this is sometimes not appreciated by either radiologists or referring doctors
The aim of this article is to offer a thorough description of the importance of static and dynamic radiology [2] Teixier P. Incidence complémentaire du poignet: Région trapézo-métacarpienne. In: Guide Technique et Imagerie La Main et Le poignet. Springer-Verlag France. Paris, 1999: 122 – 123, the usefulness of additional examinations such as Cone Beam CT [3] De Cock J, Mermuys K, Goubau J, Van Petegem S, Houthoofd Br, Casselman JW. Cone-beam computed tomography: a new low dose, hight resolution imaging technique of the wirst, presentation of three cases with technique. Skeletal Radiol. 2012 Jan;41(1):93-6 with or without contrast material and finally the value of diagnostic arthroscopy. It will set out the angles that can be used to define trapezial dysplasia and current descriptions of trapezial morphology.
The end goal of a radiology examination is to obtain good quality imaging through the lowest number of images. To achieve this, it is crucial to follow thumb positioning criteria to obtain the right views so that the most accurate diagnosis can be made. This requires a motivated radiology department who have had specific training in this type of radiology so that the best possible imaging of the trapeziometacarpal joint can be obtained [1] Forestier. L’osteoarthrite sèche trapezométacarpienne (Rhizarthrose du pouce). Presse Med 1937; 315 – 7. Often, a lack of interest on the part of many radiologists when it comes to taking these views will prompt the hand surgeon to thoroughly master the different positions that are important, so that reference images can be obtained to assess the state of the trapeziometacarpal joint, as well as the joints proximal and distal to it. This is why it is useful for radiology technicians to be well-trained and to take the initiative as a hand surgeon by training them in this topic [2] Teixier P. Incidence complémentaire du poignet: Région trapézo-métacarpienne. In: Guide Technique et Imagerie La Main et Le poignet. Springer-Verlag France. Paris, 1999: 122 – 123.
The trapeziometacarpal joint
Radiological classifications of basal thumb arthritis
There are three classifications in use today: Eaton is more commonly used in English-speaking countries [4], Eaton RG, Littler JW. Ligament reconstruction for the painful thumb carpometacarpal joint. J Bone Joint Surg Am 1973;55:1655-66[5] Eaton RG, Lane LB, Littler JW, Keyser JJ. Ligament reconstruction for the painful thumb carpometacarpal joint: a long-term assessment. J Hand Surg Am 1984; 9A (5), 692-9, while Dell is more common in Europe and France [6] Dell PC, Brushart TM, Smith RJ. Treatment of trapeziometacarpal arthritis: results of resection arthroplasty. J Hand Surg Am 1978;3: 243-9. In 2011, Allieu developed a further, more accurate classification [7] Allieu Y : Anatomically based radiological classification of thumb basal joint arthritis. Hand Surg Rehabil 2021;40:S15-S20. All of these classifications are based on measurements of frontal views of the joint. It is worth mentioning that a lateral view of the TMC joint initially allows for a better appreciation of the extent of joint space degeneration as long as the projection has been set up perfectly.
Dell classification
This is the most popular classification in France.
It is divided into four stages. The first stage consists of mild sclerosis. In the second, there is subluxation with the first metacarpal shifting by less than one third of the base and osteophyte formation at the ulnar border, although this is all said to be reducible. In stage 3 subluxation exceeds one third of the thumb base, there is increased osteophyte formation, and hyperextension of the metacarpophalangeal (MCP) joint of the thumb will result if the metacarpal head shape allows. Stage 4 involves almost total immobility due to the joint degeneration.

Eaton classification
This is also divided into four stages, with normal joint space preserved in the first stage, combined with joint swelling and presumed preservation of joint cartilage. The second stage shows slight joint space narrowing with the joint contour preserved. Bone debris, if present, measures under 2mm. It is assumed that there is moderate joint cartilage degeneration. At stage 3 joint involvement is already very marked. Sclerosis is seen as well as subchondral cystic changes. Osteophytes are larger than 2mm. The triscaphoid joint, however, seems normal. At stage 4, very pronounced joint involvement is seen at both the TMC joint and the triscaphoid joint. This fourth part of the classification was added to the initial classification dating from 1973 [4] Eaton RG, Littler JW. Ligament reconstruction for the painful thumb carpometacarpal joint. J Bone Joint Surg Am 1973;55:1655-66 on Eaton’s second publication in 1984 [5] Eaton RG, Lane LB, Littler JW, Keyser JJ. Ligament reconstruction for the painful thumb carpometacarpal joint: a long-term assessment. J Hand Surg Am 1984; 9A (5), 692-9.

Allieu classification
This last classification is the most complete. It looks at the extent of TMC joint degeneration, primary instability and triscaphoid involvement.
It grades TMA (trapeziometacarpal osteoarthritis) – joint space involvement – from 0 to 3 starting from a preserved joint space (TMA 0), joint space narrowing under 50% (TMA 1), joint space narrowing over 50% (TMA 2) and finally disappearance of the joint space (TMA 3). TMI (trapeziometacarpal instability) looks at the extent of instability, with TMI 0 being reducible subluxation at the base of the first metacarpal, and TMI 1 also being reducible subluxation although the first metacarpal does not fully reintegrate into the saddle-shaped trapezium. At TMI 2 subluxation is no longer reducible but affects less than 1/3 of the joint surface. At TMI 3, subluxation of the first metacarpal exceeds 1/3 of the base.
Finally, the STT part of the classification looks at the triscaphoid joint (also known as the scaphotrapeziotrapezoid, STT) and the extent of OA: STT 0 means no joint change. At stage STT 1 there is joint space narrowing of under 50%, while at STT 2 the joint space is narrowed by more than half. Stage STT 3 shows erosions, sclerosis and irregularities. This classification has greater intra-observer reproducibility that is better than its inter-observer reproducibility. However, the TMI aspect is less reproducible, and potentially insufficient [8] Vigouroux F, Rabarin F, Jeudy J, Bigorre N, Saint Cast Y, Pechmajou L, Raimbeau G. Peritrapezial osteoarthritis: Inter – and intraobserver reliability of the Allieu classification. Hand Surg Rehab 36 (2017) 363-367 .

Radiography
View and positioning
The standard frontal and lateral projections required to achieve good visualisation of the joint have been thoroughly described by Kapandji [9], Kapandji AI, Moatti E, Raab C. La radiographie spécifique de l’articulation trapézo-métacarpienne. Sa technique, son intérêt. Ann Chir Main 1980;34:719-26.[10] Kapandji TG, Kapandji AI. Nouvelles données radiologique sur la trapézo-métacarpienne. Résultats sur 330 dossiers. Ann Chir Main 1993, 12 , N°4, 263-274 and these are still an excellent reference. A posteroanterior projection (Figure 1) is used for the frontal view otherwise the metacarpophalangeal and interphalangeal joints would be visualised first (Figure 1). The lateral view is achieved through an ulnar to radial projection (Figure 2). Across the Atlantic, variations to these projections exist and some useful additions are made. Robert’s view [11] Robert P. La radiographie de l’articulation trapézo-métacarpienne. Les arthroses de cette jointure. Bulletins et mémoires de la Société de Radiologie Médicale de France. 1936;24:687-90. is a variant of the Kapandji frontal view that uses an AP rather than PA projection and is very popular in the English-speaking world. We should not forget comparative images, such as the Eaton view with and without stress. To assess the triscaphoid it is important to include Gedda’s view [12] Gedda KO (1954). Studies on Bennett’s fracture: anatomy, roentgenology and therapy. Acta Chirurgica Scandinavica, 193(Suppl): 1. , also known as Bett’s view [13] Taleisnik J. The Wrist, 1st edn. New York, Churchill Livingstone, 1985: 95–96. , among dynamic views in ulnar and radial deviation. We will move on to a detailed discussion of the key views and their positioning.


Radiography of the distal interphalangeal
(DIP) and metacarpophalangeal (MCP) joints of the thumb.
Frontal views : This radiography is performed using dorsopalmar and lateral projections. For the frontal view it is crucial for the sesamoids to project over the first metacarpal head. (Figure 1). These frontal images clearly show the IP and thumb MCP joint spaces. The TMC joint space, however, cannot be visualised simultaneously.
Lateral views : These are carried out in the exact same way as Kapandji’s lateral views: it is key to make sure the sesamoids are superimposed on lateral views as this will demonstrate the concave base of the first metacarpal and the convexity of the trapezium while enabling the base of the second metacarpal to be slightly superimposed. (Figure 2) This view allows for a very good appreciation of the involvement of the MCP and IP joints.
Trapeziometacarpal joint
Kapandji’s frontal view equates to the Eaton view without stress, and involves placing the thumb in extension while moving the wrist into slight ulnar deviation (Figure 3). This offers good visualisation of the trapeziometacarpal joint.

Eaton’s views are the same as Kapandji’s frontal view, except that in the Eaton series the images are comparative (Figure 4), which means that a stress view (Figure 5) is taken so that the joint space can be assessed for any collapse when put under stress.


In 1936 the French radiologist Robert [8] Vigouroux F, Rabarin F, Jeudy J, Bigorre N, Saint Cast Y, Pechmajou L, Raimbeau G. Peritrapezial osteoarthritis: Inter – and intraobserver reliability of the Allieu classification. Hand Surg Rehab 36 (2017) 363-367 (Figure 6) described an anteroposterior view of the TMC performed in maximum anteroposterior pronation that it is useful to be familiar with. This view is very popular in the USA. It is taken with the patient’s back facing, avoiding irradiating the lower limbs.

Proximal joints: the scaphotrapezial and scaphotrapezoid joints
Finally, we must not overlook visualisation all of the peritrapezial joints, better known as the view described by Gedda [9] Kapandji AI, Moatti E, Raab C. La radiographie spécifique de l’articulation trapézo-métacarpienne. Sa technique, son intérêt. Ann Chir Main 1980;34:719-26. and popularised by Taleisnik as Bett’s view [10] Kapandji TG, Kapandji AI. Nouvelles données radiologique sur la trapézo-métacarpienne. Résultats sur 330 dossiers. Ann Chir Main 1993, 12 , N°4, 263-274, which frees up the trapezium perimeter to offer very good visualisation of the whole area (Figure 7). To obtain good quality visualisation of the triscaphoid joint it is useful to take frontal views in ulnar and radial deviation. Some triscaphoid joints appear ‘normal’ on imaging at rest and collapse completely in radial deviation (Figure 8).


View and pathological cases
From a perspective of pathology, it is useful to order comparative imaging from the start.
Radiological assessment of painful basal thumb arthritis will consist of Kapandji’s frontal and lateral views, an Eaton frontal view (which can replace Kapandji’s frontal view if necessary) and stress view of the TMC, a dynamic triscaphoid view and a Gedda's (Bett’s) view [12], Gedda KO (1954). Studies on Bennett’s fracture: anatomy, roentgenology and therapy. Acta Chirurgica Scandinavica, 193(Suppl): 1. [13] Taleisnik J. The Wrist, 1st edn. New York, Churchill Livingstone, 1985: 95–96. (Figure 9).

The aim here is not to describe all pathological cases, but to use specific examples to show how easy and sometimes how difficult positioning and radiography can be in very advanced cases.
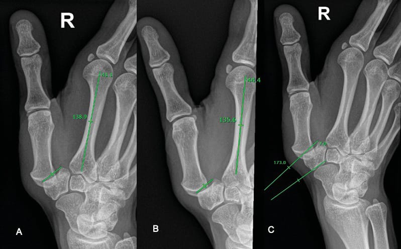
When a young patient presents with pain at the thumb base, we can expect concern over instability due to laxity or often further to dysplasia. This can be measured by using either the trapezial tilt (Dévers angle) as described by Kapandji and Heim [13] Taleisnik J. The Wrist, 1st edn. New York, Churchill Livingstone, 1985: 95–96. , or the trapezial inclination, more recently described by Van Royen [15] Van royen K, Gevers M, Vanmierlo B, Scheerlinck T, Goubau J. Radiological Measurment of trapezial Dysplasia – Variation of trapezial tilt and trapezial inclination. Hand Surg Rehab. 40 (2021) 44-50. The trapezial tilt is measured from the distal joint surface of the trapezium on a Kapandji frontal view and the axis of the second metacarpal. It measures 129° +/- 6° on average. The trapezial inclination, which its authors believe to be more consistent [15] Van royen K, Gevers M, Vanmierlo B, Scheerlinck T, Goubau J. Radiological Measurment of trapezial Dysplasia – Variation of trapezial tilt and trapezial inclination. Hand Surg Rehab. 40 (2021) 44-50, is measured between the proximal articular surface of the trapezium (PAST) and the distal articular surface of the trapezium (DAST). It measures 10° +/- 5° on average. The inconsistency of the trapezial tilt is illustrated in figure 9. This can be explained by the ‘cantilever’ bending of the trapezium, as described by Van Royen et al. [15] Van royen K, Gevers M, Vanmierlo B, Scheerlinck T, Goubau J. Radiological Measurment of trapezial Dysplasia – Variation of trapezial tilt and trapezial inclination. Hand Surg Rehab. 40 (2021) 44-50.
It is important to reiterate that radiology of the thumb base is not capable of reflecting patient pain (Figure 11). A patient showing Dell stage 1 (or Eaton stage 1 or a TMA1, TMI 0 and STT 0) may be in very significant pain, which may make them a candidate for joint replacement surgery (Figure 10).


The value of dynamic views is illustrated very clearly in Fig. 12, showing a Dell stage II, Eaton stage 3, TMA 1, TMI 1, STT 0 joint, which, when seen under stress, suddenly becomes Dell stage II (unchanged) Eaton stage 3 and TMA 3, TMI 1, STT 0 (Figure 13). This demonstrates that Allieu’s classification has greater precision for the TMA [8] Vigouroux F, Rabarin F, Jeudy J, Bigorre N, Saint Cast Y, Pechmajou L, Raimbeau G. Peritrapezial osteoarthritis: Inter – and intraobserver reliability of the Allieu classification. Hand Surg Rehab 36 (2017) 363-367 .


Additional examinations
CBCT (Cone Beam Computed Tomography)
If there is any uncertainty, a CT scan will be carried out, preferably CBCT (3) as it offers greater detail and delivers lower radiation with contrast (Figure 14). This will allow an evaluation of cartilage quality. A trapeziometacarpal arthroscopy is better still (Figure 15).

Arthroscopy
An arthroscopy offers improved assessment of damage if conventional radiology is not conclusive. It replaces CT arthrogram and provides a better insight into the variability (Figure 15) of cartilage involvement at the trapezium and the articulating surface of the first metacarpal.

Conclusion
The importance of choosing the right views in the diagnosis of trapeziometacarpal osteoarthritis, or basal thumb arthritis, cannot be overstated [1] Forestier. L’osteoarthrite sèche trapezométacarpienne (Rhizarthrose du pouce). Presse Med 1937; 315 – 7. If the radiology technician has had high quality training, this will lead to a clear and correct diagnosis, which in turn often means non-surgical management for patients with this pathology. By following the adage ‘Don’t treat the pictures, treat the patient’ we ensure that we offer, through radiology that is performed well, treatment that is useful to our patients. It is important to remember that sometimes patients with radiographs showing minimal TMC involvement can be in more pain (Figure 10) than patients at the most advanced stage of degene18ration (Figure 13). Finally, history has shown us that of the radiological views that are useful in imaging the degenerative TMC joint, they may not all be French, but they originate almost exclusively from Europe.


References
1. Forestier. L’osteoarthrite sèche trapezométacarpienne (Rhizarthrose du pouce). Presse Med 1937; 315 – 7
2. Teixier P. Incidence complémentaire du poignet: Région trapézo-métacarpienne. In: Guide Technique et Imagerie La Main et Le poignet. Springer-Verlag France. Paris, 1999: 122 – 123
3. De Cock J, Mermuys K, Goubau J, Van Petegem S, Houthoofd Br, Casselman JW. Cone-beam computed tomography: a new low dose, hight resolution imaging technique of the wirst, presentation of three cases with technique. Skeletal Radiol. 2012 Jan;41(1):93-6
4. Eaton RG, Littler JW. Ligament reconstruction for the painful thumb carpometacarpal joint. J Bone Joint Surg Am 1973;55:1655-66
5. Eaton RG, Lane LB, Littler JW, Keyser JJ. Ligament reconstruction for the painful thumb carpometacarpal joint: a long-term assessment. J Hand Surg Am 1984; 9A (5), 692-9
6. Dell PC, Brushart TM, Smith RJ. Treatment of trapeziometacarpal arthritis: results of resection arthroplasty. J Hand Surg Am 1978;3: 243-9
7. Allieu Y : Anatomically based radiological classification of thumb basal joint arthritis. Hand Surg Rehabil 2021;40:S15-S20
8. Vigouroux F, Rabarin F, Jeudy J, Bigorre N, Saint Cast Y, Pechmajou L, Raimbeau G. Peritrapezial osteoarthritis: Inter – and intraobserver reliability of the Allieu classification. Hand Surg Rehab 36 (2017) 363-367
9. Kapandji AI, Moatti E, Raab C. La radiographie spécifique de l’articulation trapézo-métacarpienne. Sa technique, son intérêt. Ann Chir Main 1980;34:719-26.
10. Kapandji TG, Kapandji AI. Nouvelles données radiologique sur la trapézo-métacarpienne. Résultats sur 330 dossiers. Ann Chir Main 1993, 12 , N°4, 263-274
11. Robert P. La radiographie de l’articulation trapézo-métacarpienne. Les arthroses de cette jointure. Bulletins et mémoires de la Société de Radiologie Médicale de France. 1936;24:687-90.
12. Gedda KO (1954). Studies on Bennett’s fracture: anatomy, roentgenology and therapy. Acta Chirurgica Scandinavica, 193(Suppl): 1.
13. Taleisnik J. The Wrist, 1st edn. New York, Churchill Livingstone, 1985: 95–96.
14. Kapandji AI, Heim UFA, L’oséotomie de réorientation de la selle trapézienne. Chir Main 2002;21:124-33
15. Van royen K, Gevers M, Vanmierlo B, Scheerlinck T, Goubau J. Radiological Measurment of trapezial Dysplasia – Variation of trapezial tilt and trapezial inclination. Hand Surg Rehab. 40 (2021) 44-50
16. De Cock J, Mermuys K, Goubau J, Van Petegem S, Houthoofd B, Casselman JW. Cone-beam computed tomography: a new low dose, high resolution imaging technique of the wrist, presentation of three cases with technique. Skeletal Radiol 2012;41:93-6.