patella - The Lyon contribution to patellofemoral surgery part 1: from Albert Trillat to Henri Dejour
Background: Patellofemoral instability and pain have historically been managed with varied surgical techniques, often lacking a standardized diagnostic framework. The Lyon School of Knee Surgery has contributed significantly to the understanding of these pathologies over seven decades, transitioning from empirical procedures to a systematic, anatomy-based analytical approach.
Objective: This article reviews the chronological evolution of patellofemoral surgery in Lyon, detailing the development of diagnostic indices, the classification of instability, and the refinement of surgical interventions based on specific morphological abnormalities.
Key Points: Early management focused on distal realignment via medial transfer of the anterior tibial tubercle, notably the Elmslie-Trillat procedure. The introduction of the Caton-Deschamps index provided a reliable measure for patellar height. In 1987, a landmark classification distinguished objective patellar instability from patellofemoral pain syndrome. Four primary factors for instability were identified: trochlear dysplasia, present in 96% of cases, patella alta, an increased tibial tuberosity-trochlear groove distance, and excessive patellar tilt. Trochlear dysplasia is characterized on lateral radiographs by the crossing sign, supratrochlear spur, and reduced trochlear depth. These findings led to the "à la carte" surgical strategy, which addresses specific anatomical deficits, including the development of deepening trochleoplasty to correct high-grade dysplasia. Secondary factors such as femoral anteversion and genu valgum also influence patellar tracking but are less frequently corrected.
Conclusion: The Lyon School’s systematic methodology established a rigorous framework for diagnosing and treating patellofemoral disorders. By identifying specific morphological triggers for instability, surgeons can implement targeted procedures, moving beyond palliative realignment toward anatomical restoration of the extensor mechanism.
Introduction
We wanted to present, chronologically, this remarkable history of the Lyon school’s contribution to patellofemoral surgery over seven decades. This is the work of a school (the LYSKS or LYon School of Knee Surgery). Since 1971, this history, which began in 1959, has been punctuated by the «Journées Lyonnaises de Chirurgie du Genou» (LYSKS Days).
We have learned a great deal from our exchanges with colleagues from numerous countries, who were part of the ISPG (International Patellofemoral Study Group) and also the Patellofemoral Foundation. We are grateful to Professor John Fulkerson, who has always been passionate about patellofemoral disorders.
Albert Trillat and his school, including H. Dejour, took an early interest in the patella, patellofemoral pain, and dislocations and subluxations. However, it was in 1987, following the «Journées du Genou» (LYSKS Days) led by Henri Dejour and Gilles Walch, that the Lyon school gained international recognition in this field. The systematic breakdown of this pathology with a rigorous analytical approach became established within the orthopaedic community. The LYSKS DAYS of 2012 and 2022 were dedicated to the patella. New chapters have opened, and a new generation has taken up the subject. It is this history, this contribution not of one but of several generations, that we wished to recount: it reflects the concept of a school.
The Trillat years
So, let us stride through more than seven decades, much like Albert Trillat here with Madame Simone Weil (Figure 1). This thesis on recurrent subluxations and dislocations of the patella, defended in A. Trillat’s department in 1959 by Madame Jacqueline Ledeuil, marks the beginning of this story (Figure 2). At that time, in the 1950s, patellar dislocations were primarily treated by the Goldthwait procedure, involving medial transfer of the lateral insertion of the patellar tendon onto the tibia, or by the Hauser operation, which consisted of posteriorisation (sinking) of the ATT (Anterior Tibial Tubercle)..


The Maquet operation (Figure 3), deceptively logical and supported by biomechanical concepts that Gilles Bousquet would have described as pseudoscience, aimed to reduce patellofemoral stress. Its results proved to be poor.

A patellectomy was often proposed to treat advanced and disabling patellofemoral osteoarthritis.
Diagnosis relied heavily on the patient’s medical history. The physical examination sought Smillie’s sign (Figure 4), with apprehension when the examiner attempted to displace the patella laterally while moderately flexing the knee. Albert Trillat, for his part, described the bayonet sign (Figure 5), which indicated lateral implantation of the ATT on the tibia. The broken line represented by the axis of the quadriceps tendon and the patella, then the patellar tendon, and finally the ATT, could take the shape of a bayonet. English-speaking colleagues referred to the Q-angle.


These drawings (Figure 6) illustrate the biomechanical concepts presented during the 1st LYSKS Days in 1971. This theory remains valid today, even if it is very incomplete. It depicts the R2 dislocating forces, while tibial internal rotation opposes the lateral displacement of the patella.

It should be emphasised that in humans, the patella only dislocates laterally, although medial subluxation has been reported in cases of extensive sectioning of the lateral retinaculum and the insertion fibres of the vastus lateralis tendon on the patella. This differs from dogs, whose patellae can dislocate medially. This diagram shows that medial transposition of the ATT, i.e., correction of the Bayonet sign, contributes to patellar stabilisation.
The preferred procedure in Lyon was medialisation of the ATT. A wide surgical approach, starting superiorly and laterally and ending inferiorly and medially, known as the “royal road,” allowed for sectioning of the lateral retinaculum, arthrotomy, and medialisation of the ATT. This procedure represented the treatment for patellofemoral problems in young individuals, whether for pain or instability. Women were even more likely to undergo this treatment.
Madame Ledeuil’s thesis work was continued and became the subject of an article in 1964 by Drs Couette, Dejour, and Trillat in the French journal of orthopaedic surgery. In 2020, with Dr Bastos and Dr Wascher, we published all the details concerning the origin and principles of this procedure in JISAKOS. You will find this article in “The Classics” section of JISAKOS 2020.
It all began with César Roux’s article published in 1888 in the “Revue de Chirurgie” (Figure 7). Roux was a general surgeon from Lausanne. Allow me to let Albert Trillat tell you about the authorship of what is commonly known in Europe as the Elmslie-Trillat operation. He explained it to Gerard Gacon in this handwritten letter.

“22nd January 1987.
My dear friend, The history of the publications of the Elmslie technique is really something special. César Roux had published the original technique in 1882 (actually 1888) in the ‘Revue de Chirurgie’, and it hasn’t changed much. It’s a part of the tendon, keeping the patellar tendon insertion on the tibial tuberosity then medial transfer. Very different from the Hauser technique. While visiting London in 1947, I met Jim Seddon, a pupil of Elmslie’s, who explained to me what Elmslie was doing to realign the extensor mechanism. This author had never published anything on the subject. At that time, I was unaware of Roux’s publication and upon my return to France, I named this technique the ‘Elmslie technique’ and this terminology spread very quickly.
Fifteen years later, I finally discovered Roux’s publication (100% identical to Elmslie’s technique). I imagine Elmslie had also found this publication. He never referred to it because I suspect Elmslie thought it was his original idea from his perspective. But when he realised that Roux had published it in a journal that was internationally renowned at the time, he simply decided to continue performing this procedure and not to publish it.
Anyway, it was a very short series.
In summary
- 1888 Roux: a single case performed on a 13-year-old girl followed for 3 months
- Elmslie discovered it perhaps later at publication. Few cases.
- Only known to Seddon...and me.
- Misnaming of the operation
- Rapid dissemination due to publications and the ‘Journées du Genou’
- Poor knowledge of the origin.
- No possibility of changing the given name.
- No interest in adding my name.
That’s all I can say. With my best wishes for the New Year.
A. Trillat.”

In 1977, the third LYSKS DAYS took place with A. Trillat, H. Dejour, Gilles Bousquet (who had moved to Saint-Étienne), and J.L. Lerat. Among the contributions of these LYSKS DAYS were extensor mechanism ruptures.
For the first time, a reliable method for measuring patellar height was available because it was independent of:
- The quality of X-ray films,
- The degree of knee flexion (10 to 80°) with consistently visible landmarks,
- Modifications of the ATT and the patella,
- The size of the knees and the age of the subjects. This index, from 1977 onwards, allowed us to surgically treat height abnormalities precisely by transposing the ATT upwards or downwards.
Lerat (Figure 9), for his part, developed the concept of morphotype. He would delve deeper into the subject during the 1980 SOFCOT (French Society of Orthopaedic and Trauma Surgery) symposium. His work, defining a precise protocol, made it possible to reliably measure lower limb torsional abnormalities and later the TT-TG distance using CT scans.

In 1979, the first congress of the International Knee Society (IKS), which would later become ISAKOS, was organised in Lyon. Due to the quality and number of participants, it was an excellent opportunity to disseminate the technique that continued to be called the Elmslie-Trillat.
The Dejour years
It was during this period, in 1978, that Henri Dejour succeeded A. Trillat.
Paul Grammont (Figure 10), who also designed the first reverse shoulder prosthesis, described the “soft block” technique, an osteoperiosteal elevation of the ATT allowing for ATT medialisation despite open growth plates.

During the 4th Lyon Knee Days, H. Dejour and P. Brugères categorised patellofemoral disorders and, for the first time, distinguished the group of patellar pain syndromes from objective patellar instability. An intermediate group was named patellar instability. It was also at this time that Gerard Deschamps proposed modifying the Caton index in his thesis on low-lying patellae (patella baja). The AT/AP ratio defined point A as the most distal point of the patellar articular surface and no longer the apex of the patella.

The Caton index (Figure 11), which became the Caton-Deschamps index, was considered normal for values between 0.8 and 1.2. Above 1.2, the patella is high or alta. Below 0.8, the patella is low, infera, or baja.


For patellofemoral pathology, the modern era began in 1987 with the 6th LYSKS DAYS organised by H. Dejour and Gilles Walch (Figure 13). This was a real turning point in the understanding of this pathology. The methodology that allowed this categorisation was original. It consisted of comparing different parameters in groups of patients. There was a control group, a group of patients complaining of pain called the patellar pain syndrome group, a group of patients who had experienced one or more patellar dislocations defining the objective patellar instability group, and a group of patients with habitual or permanent patellar dislocation. Normal values were defined and consequently, abnormal values, with a threshold value for certain criteria. These morphological abnormalities were found in some patients who had never experienced a patellar dislocation. This was called the potential patellar instability group. This categorisation or classification of patellofemoral disorders is the key to the diagnosis and management of patellofemoral pathology.

Thus, not just anyone experiences a patellar dislocation. Morphological abnormalities favouring patellar dislocation were identified.
In 1987, trochlear dysplasia, present in 96% of cases, was identified as the fundamental factor.
The three main factors are: patella alta defined by a Caton-Deschamps index greater than 1.2, an excessive TT-TG distance, measured on a knee in extension, greater than 20mm, and a patellar tilt greater than 20° with the quadriceps relaxed. They were termed “main” because there is a threshold value beyond which the morphological abnormality is defined. Abnormal values are frequently present in the objective or major patellar instability group.
Finally, four secondary factors, or “patellar environment” factors, were identified. These are femoral anteversion, genu recurvatum, genu valgum, and female gender. For these factors, there is no threshold value. However, the mean value is higher than in the control group. They are predisposing factors, but their correction is more debatable.
Trochlear Dysplasia.
First, the fundamental factor: Trochlear dysplasia [1], Hallab NJ, Jacobs JJ. Biologic effects of implant debris. Bull NYU Hosp Jt Dis. 2009;67(2):182-8.. A brief historical note: during the preparation for the 1987 LYSKS DAYS, the article by Malghem and Maldague, two Belgian radiologists, was published. Coincidence or not, the Lyon studies and the Belgian publication reached the same conclusion. The analysis of the lateral X-ray view provided previously overlooked information regarding the morphology of the trochlea and its possible dysplasia. Previously, only the axial view was considered.
A good lateral X-ray of the knee meets specific criteria (Figure 14). It is performed at 30° of flexion with the two posterior condyles superimposed. To optimise this superimposition, a brief fluoroscopy may be performed. The patient can be lying on the X-ray table or in single-leg stance.

The axial view of both patellae must be performed with both knees flexed at 30° and no more, as is too often the case. Both knees are on the same cassette. We no longer request a series of views with the knee flexed at 60° and 90° or in external rotation.
On this diagram of the lateral knee (Figure 15), one can recognise the trochlear groove line A, but also the two condyles, lateral B and medial C. This trochlear groove line A remains distant from the lines of the two condyles B and C. In fact, on the axial view, these three lines are found with the medial and lateral facets of the trochlea, as well as the trochlear groove line.

The axial view (Figure 16) is conventionally performed at 30° of flexion. It does not account for the proximal part of the trochlea. The lateral X-ray allows for the analysis of the trochlea from its most proximal part down to the notch.
This is the true value of the lateral view: The analysis of the proximal portion, the upper part of the trochlea.
On this lateral radiograph (Figure 16), one can recognise the trochlear groove line but also the two condyles, lateral and medial. This trochlear groove line remains distant from the lines of the two condyles. In fact, these three lines are found on the axial view, with the medial and lateral facets of the trochlea as well as the trochlear groove line. The trochlear groove line always remains distant from the line of the two condyles, even in its proximal part.


Here is a very clear crossing sign (Figure 17) on the lateral radiograph. From this point upwards, the trochlea is flat or even convex. As the crossing occurs quite low on the trochlea, it is very dysplastic, and this can be diagnosed on the axial view at 30° of flexion.

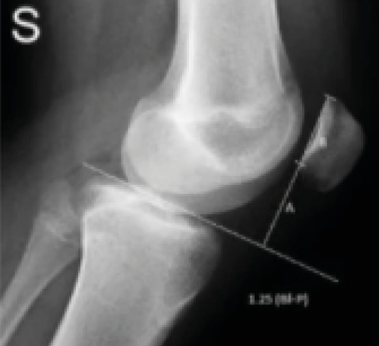
The spur or prominence (Figure 18) is the second essential sign of trochlear dysplasia after the crossing sign. To demonstrate it, a tangent to the anterior cortex is drawn. This line can pass anterior to, at the level of, or posterior to the most anterior point of the trochlear groove line. One can therefore have a negative, zero, or even positive prominence value when this tangent passes posterior to the most anterior point of the trochlear groove.

The mean prominence value was -0.8 mm in a control group, while the mean was 3.2 mm in the group of patients who had experienced one or more patellar dislocations. More importantly, a threshold value of 3 mm could be defined (Figure 19).

This table (Table 1), long forgotten, is extracted from the 1987 Lyon Knee Days. One can note the mean value of the prominence, which is:
- 0.1mm for the control group.
- 0.3mm for the patellofemoral pain syndrome group.
- 2mm for the potential patellar instability group.
- 3.1mm for the objective patellar instability group, now called episodic patellar dislocation (EPD).
- 4.7mm for major patellar instabilities, i.e., habitual or permanent dislocations. Beyond 3mm, the prominence value is abnormal.

Crucially, the 1987 studies confirmed that this abnormal prominence corresponded to a true filling of the trochlear groove and not to hypoplasia of the lateral trochlear facet. It is also clear that this filling contributes to patellar tilt and can generate abnormal patellar tracking (Figure 20).

Trochlear depth is less well known (Figure 21). It is the third factor that we must analyse on a lateral radiograph. It gives us valuable information about the congruence of the trochlea at 15° of flexion. It represents the distance between the trochlear groove line and the lateral facet. It allows us to know if the trochlea deepens distally. Comparing a group of patients who had experienced one or more patellar dislocations and a control group, a threshold value of 4mm was determined.

The depth, measured at 15°, is not deep enough, not congruent enough, if the depth is less than 4mm. This factor, less essential diagnostically, is crucial prognostically and guides our therapeutic choices. If the trochlea is well-grooved at 15° of flexion, then bringing the patella to face this congruent trochlea, for example by distalisation of the ATT, often ensures good patellar stability.
This analytical study of trochlear dysplasia criteria led to a synthetic classification into three types (Figure 22), which was presented in 1987. From type 1 to the more severe type 3, the crossing occurs from the proximal to the distal part of the trochlea. Dysplasia can thus be classified from the first consultation with a simple, correctly performed lateral radiograph.

These diagrams show the three types of trochlear dysplasia. Type 1 often escapes diagnosis if only the axial view is considered. This understanding of the morphology of the dysplastic trochlea led to proposing its correction in this article published in 1990 (Figure 23). This is the deepening trochleoplasty.

Here is a historic photograph of a deepening trochleoplasty (Figure 24). On the trochlea, widely exposed here, the future trochlear groove, slightly oblique superiorly and laterally, and the two junction zones of the condylar-trochlear line are marked with methylene blue. They converge towards the apex of the intercondylar notch. The burr must not venture below these two lines. The burr can be seen being passed around the entire trochlea to deepen it while protecting and preserving the cartilage. The line of the future trochlear groove is incised with a scalpel to allow the creation of the trochlear V, while multiple perforations along the condylar-trochlear lines with a 2mm drill bit weaken the cartilaginous junction and allow it to be shaped without fracturing it.

As early as 1987, H. Dejour had developed a feeler gauge mounted on the burr. This allows one to remain at a distance from the articular surface during burring. The burr/feeler gauge distance is adjustable, and the surgeon chooses, for example, to burr at 3 or 4mm from the articular surface. Some intraoperative views of a deepening trochleoplasty performed with Dr Ate Wymenga in Holland in the 1990s (Figure 25).

You can see the cartilaginous lesions of the patella and the shape of the trochlea before and after the trochleoplasty (Figure 26).

The three main factors
The first of the main factors: patella alta.
It is defined by the Caton-Deschamps index AT/AP greater than 1.2. This is an index that refers to the tibia and not the trochlea. We found patella alta in 30% of patients belonging to the objective patellar instability group.
Perhaps more importantly, up to 40% of recurrent instability cases after surgery may be related to the failure to address patella alta (C. Levigne’s thesis, 1988).
The second so-called main factor is the TT-TG distance.
On radiographs in 1978, Bernageau and Goutallier from Paris defined the “TT-TG,” which measures the lateralisation of the ATT and external femorotibial rotation (Figure 27). In 1987, we measured the TT-TG on CT scan, knee in extension. The TT-TG can be greatly increased by external rotation (Figure 28), particularly in habitual or permanent dislocations. It is therefore not the sole reflection of the lateral implantation of the ATT in cases of permanent or habitual dislocation.


During the 6th LYSKS DAYS, we found that more than half of the patients had a TT-TG greater than 20mm.
The third factor retained in 1987 was patellar tilt.
Patellar tilt is the expression of malalignment of the patella in the horizontal plane. Patellar tilt depends on bone anatomy but also on the retinacula or patellar ligaments and the quadriceps muscle.
This diagram (Figure 29) shows the fibres of the vastus medialis muscle and especially the most horizontal fibres that participate in patellar stabilisation. These most horizontal fibres are intimately linked to the MPFL.

The presence of patellar tilt greater than 20° with relaxed quadriceps was found in 83% of patients belonging to the objective patellar instability group. This tilt was initially attributed to VMO dysplasia. Our subsequent work showed that trochlear dysplasia, patellar height, and the TT-TG value evidently influenced patellar tilt.
On a trochlear section passing through the Roman arch, the patellar tilt, which is the angle formed by a line passing through the long axis of the patella and the tangent to the posterior condyles, is, here, 28° with relaxed quadriceps (Figure 30).

The patellar tilt is 35° with contracted quadriceps. When the patella is high, it is sometimes necessary to superimpose the trochlear and patellar sections (Figure 31).

Secondary factors
Finally, the four secondary factors or “patellar environment” factors for which there is no threshold value. They are predisposing factors, but their correction concerning the first three is rarer and is only considered in particular situations.
In 1987, Henri Dejour proposed the “à la carte” menu (Figure 32), i.e., surgical management of objective patellar instabilities adapted to the diagnosed morphological abnormalities. Distal or medial transfer of the ATT represented the main procedures. However, the fundamental morphological abnormality, trochlear dysplasia, was not subject to specific correction, or at least was only included in the “à la carte” menu later.

One can summarise for each patient the situation concerning the affected knee but also the contralateral knee, which is sometimes asymptomatic and often abnormal, and the normal values. This allows for defining the procedures that can be proposed.
Before 1987 and often thereafter, palliative procedures involving the ATT made it possible to avoid trochleoplasty in these young subjects. The following years, as we shall see, allowed for better definition of its indications.
These surgical procedures are generally not complicated but can lead to significant complications if they are not performed meticulously and rigorously and if the indications are not strictly respected. Surgery is not indicated in patellofemoral pain syndrome. Symptoms can be aggravated by these interventions, often wrongly considered minor, such as sectioning of the lateral retinaculum.
I would like to recall the abundant scientific production of the Lyon school during this period.
First, several theses followed the 1987 LYSKS Days:
- The theme of the thesis defended by Christophe Lévigne in 1988 was Iterative Surgery for Patellar Instabilities and Patellar Pain Syndromes.
- The theme of the thesis defended by Antoine Mironneau in 1988 was Results of Surgical Treatment for Objective Instability.
- The theme of the thesis defended by Laurent Nove-Josserand in 1990 was Factors of Patellar Instability: Study of Pre- and Post-operative CT Scans.
In 1994, Laurent Nove-Josserand reported, in KSSTA, the incomplete correction of patellar tilt after vastus medialis obliquus reefing. Doubts were raised as to the effectiveness of this procedure performed in isolation to control patellar instability [2], Shanbhag AS, Jacobs JJ, Black J, Galante JO, Glant TT. Human monocyte response to particulate biomaterials generated in vivo and in vitro. J Orthop Res. sept 1995;13(5):792-801. .
