Evolution of metal ions following knee prosthesis implantation
Background: Total knee arthroplasty (TKA) is a standard intervention for end-stage degenerative and inflammatory joint diseases. However, the use of metallic alloys, including cobalt-chromium and titanium, is associated with the release of metallic ions and debris into the periprosthetic environment. This phenomenon, driven by mechanical wear and electrochemical corrosion, presents significant clinical challenges regarding implant longevity and systemic biocompatibility.
Objective: This review examines the multifactorial mechanisms of metallic degradation in knee prostheses, the subsequent biological responses to particulate and ionic debris, and the diagnostic and therapeutic strategies for managing associated complications.
Key Points: Implant degradation occurs through mechanical wear—including abrasion and third-body interactions—and various forms of corrosion, such as galvanic, fretting, and stress-induced processes. These mechanisms are exacerbated by modularity and increased constraint in revision systems. Released debris, ranging from nanometric particles to soluble ions, triggers a complex biological cascade. Macrophage activation and pro-inflammatory cytokine secretion stimulate osteoclastogenesis, leading to periprosthetic osteolysis and aseptic loosening. Local complications include metallosis, pseudotumors, and Type IV hypersensitivity reactions, while systemic distribution may affect neurological, renal, and hematopoietic functions. Diagnostic protocols involve joint aspiration for ion quantification and specialized immunological testing, although definitive blood level thresholds remain unestablished. Surgical management typically requires synovectomy and revision using hypoallergenic materials, such as ceramic-coated components or zirconium alloys, when hypersensitivity is confirmed.
Conclusion: Metallic ion release is an inherent consequence of knee arthroplasty, particularly in complex revision scenarios. Given the non-specific clinical presentation, diagnosis requires the systematic exclusion of periprosthetic joint infection. Management must be individualized, prioritizing conservative monitoring in asymptomatic patients while utilizing specialized implants for those with proven metal intolerance.
Introduction
Knee replacements are widely used in orthopaedic surgery, primarily to treat osteoarthritis but also in cases of conditions that promote rapid joint degradation (e.g., inflammatory diseases, haemophilia). They are also important in revision arthroplasty, where the question of the level of constraint arises to relieve the patient’s symptoms whilst also ensuring rapid and stable mobilisation over time. Knee and hip prostheses are predominantly composed of cobalt-chromium alloys, but also titanium and molybdenum. Despite their routine clinical use, they can present certain drawbacks, such as the release of metallic ions into the body. This phenomenon results from the wear and corrosion of the metallic materials composing these prostheses. Metal ion release can have various local, regional, and systemic biological consequences, ranging from local inflammatory reactions to more severe complications such as hypersensitivity reactions to one or more metals, systemic toxicity, or even implant loosening. This issue of metal ion release therefore presents both clinical and scientific challenges for surgeons and manufacturers involved in the patient care pathway.
Wear and corrosion of metallic prosthetic materials
Total Knee Replacements (TKRs) are subjected to very significant mechanical and chemical stresses. In revision surgery, the level of constraint and the modularity of the system implemented to address bone defects, ligamentous instability, etc., add to these stresses. The extensive use of orthopaedic cement, which has limited mechanical strength, will add significant mechanical stress to the implants, increasing their degree of wear. The human biological environment plays an important role in the corrosion of implants, particularly in the presence of inflammation.
Implant wear corresponds to the progressive degradation of the prosthesis’s contact surfaces, at the metal-on-polyethylene bearing, sometimes at metal-on-metal interfaces in modular components, or at a potential hinge mechanism. Corrosion, on the other hand, is an electrochemical reaction inherent to fluids – in this case, biological fluids – occurring between the implant alloys and the ions and proteins present in the biological environment.
Implant Wear:
Micro-movements: slight displacements between prosthetic components, such as in some hinged prostheses, which can promote surface abrasion (Figures 1 to 3).


Repeated mechanical stresses: related to the movement of implants during knee mobilisation, leading to surface abrasion.
Third-body wear: inherent to the presence of particles or foreign bodies at the articulating surfaces, such as polyethylene debris, bone fragments, or PMMA cement.
Corrosion of Metallic Materials
Uniform (passive) corrosion: linked to the oxidation of metal ions in the biological environment, which creates a cathode and an anode on the implant, promoting ionic release. This corrosion is largely theoretical as it is very minimal due to the use of metal alloys, accounting for less than 0.1 micrometres per year.
Galvanic corrosion: secondary to the combination of two different metals within a conductive environment (synovial fluid). The more oxidisable metal becomes the anode and the less oxidisable becomes the cathode, promoting electron transfer from the anode to the cathode. The passivation layer on the implant surface theoretically protects them from oxidation. If this passivation layer is breached, corrosion of the implants progresses more easily, thereby degrading the implants.
Stress corrosion cracking: linked to the combination of mechanical stress and a corrosive environment, promoting material cracking.
Tribocorrosion (fretting corrosion): involving micromovements and friction between metallic surfaces, it causes accelerated wear and the release of metal ions from the implant.
Crevice corrosion: linked to localised exposure of the implant to an aggressive environment
Effect of metal ion release on the prosthetic environment
The release of metallic debris is insidious as it is often asymptomatic. However, the associated complications are very real. They are linked to two types of particles or debris: particles ranging in size from nanometres to millimetres, and soluble (or ionic) debris [1] Hallab NJ, Jacobs JJ. Biologic effects of implant debris. Bull NYU Hosp Jt Dis. 2009;67(2):182-8. . Small particles (less than 150 nm) can be incorporated by neighbouring cells (endocytosis) and then digested [2], Shanbhag AS, Jacobs JJ, Black J, Galante JO, Glant TT. Human monocyte response to particulate biomaterials generated in vivo and in vitro. J Orthop Res. sept 1995;13(5):792-801. [3] Shanbhag AS, Macaulay W, Stefanovic-Racic M, Rubash HE. Nitric oxide release by macrophages in response to particulate wear debris. J Biomed Mater Res. 5 sept 1998;41(3):497-503. . Larger debris (up to 10 µm) can be phagocytosed by osteoblasts, fibroblasts, endothelial cells, and macrophages [1] Hallab NJ, Jacobs JJ. Biologic effects of implant debris. Bull NYU Hosp Jt Dis. 2009;67(2):182-8. . However, this elimination is only partial; the body only manages to eliminate a fraction of the metallic debris. The rest accumulates around the joint to form larger residues that are difficult, if not impossible, to eliminate. Numerous studies report high concentrations of polyethylene debris, titanium/aluminium/vanadium alloy debris, and chromium/cobalt/molybdenum debris in the peri-prosthetic environment during revision arthroplasty procedures [4], Mavrogenis AF, Nomikos GN, Sakellariou VI, Karaliotas GI, Kontovazenitis P, Papagelopoulos PJ. Wear debris pseudotumor following total knee arthroplasty: a case report. J Med Case Rep. 29 nov 2009;3:9304. [5] Delaunay C, Petit I, Learmonth ID, Oger P, Vendittoli PA. Metal-on-metal bearings total hip arthroplasty: the cobalt and chromium ions release concern. Orthop Traumatol Surg Res. déc 2010;96(8):894-904. . This metallic debris can also cross vascular walls and concentrate in certain organs (liver, lungs, kidneys, bone marrow, brain) [6] Case CP, Langkamer VG, James C, Palmer MR, Kemp AJ, Heap PF, et al. Widespread dissemination of metal debris from implants. J Bone Joint Surg Br. sept 1994;76(5):701-12. .
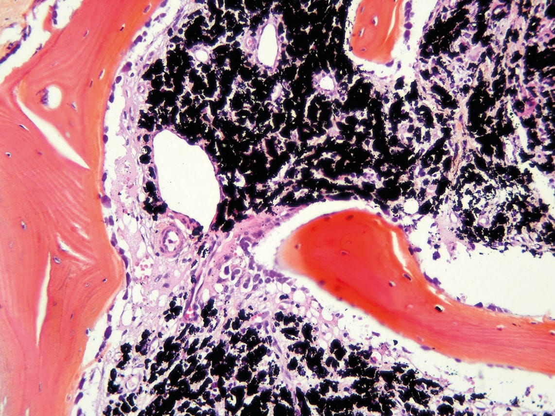
Beyond their direct impact on biomaterial wear, the release of debris, particularly cobalt ions, can lead to damage to surrounding cells and their DNA, theoretically increasing the risk of cancer, although some published series have not observed the appearance of malignant lesions after 19 years of follow-up [7] Lass R, Grübl A, Kolb A, Stelzeneder D, Pilger A, Kubista B, et al. Comparison of synovial fluid, urine, and serum ion levels in metal-on-metal total hip arthroplasty at a minimum follow-up of 18 years. J Orthop Res. sept 2014;32(9):1234-40. . Destruction of the vascular walls of endothelial cells can also be observed, thereby disrupting vascular distribution and promoting long-term tissue necrosis [8] Daley B, Doherty AT, Fairman B, Case CP. Wear debris from hip or knee replacements causes chromosomal damage in human cells in tissue culture. J Bone Joint Surg Br. mai 2004;86(4):598-606. . These alterations can, in the long term, lead to metallosis and pseudotumours [4] Mavrogenis AF, Nomikos GN, Sakellariou VI, Karaliotas GI, Kontovazenitis P, Papagelopoulos PJ. Wear debris pseudotumor following total knee arthroplasty: a case report. J Med Case Rep. 29 nov 2009;3:9304. , a prolonged inflammatory response [9] Gallo J, Goodman SB, Konttinen YT, Wimmer MA, Holinka M. Osteolysis around total knee arthroplasty: a review of pathogenetic mechanisms. Acta Biomater. sept 2013;9(9):8046-58. , hypersensitivity to metallic debris [10] Granchi D, Cenni E, Trisolino G, Giunti A, Baldini N. Sensitivity to implant materials in patients undergoing total hip replacement. J Biomed Mater Res B Appl Biomater. mai 2006;77(2):257-64. , not to mention the risk of infection, which is promoted by the presence of foreign bodies. Some authors have observed an abnormal increase in cellular necrosis around nickel implants [11] Wataha JC. Principles of biocompatibility for dental practitioners. Journal of Prosthetic Dentistry. 1 août 2001;86(2):203-9. . There was a positive correlation between the decrease in necrosis and the increase in distance from the implant, as necrosis decreased proportionally when the distance from the implant increased. According to Milosev, the rate of prosthesis loosening would be directly linked to the rate of peri-prosthetic necrosis [12] Miloŝev L, Antoliĉ V, Minoviĉ A, Cör A, Herman S, Pavlovcic V, et al. Extensive metallosis and necrosis in failed prostheses with cemented titanium-alloy stems and ceramic heads. J Bone Joint Surg Br. avr 2000;82(3):352-7. . Metallosis therefore corresponds to the process by which periprosthetic tissues acquire a greyish/blackish discolouration due to prolonged and significant exposure to a foreign body (the implant itself or its associated debris). This exposure generates a significant inflammatory response. This metallosis is primarily linked to debris present in the prosthetic environment rather than that generated by the implants themselves [13] Kraft CN, Diedrich O, Burian B, Schmitt O, Wimmer MA. Microvascular response of striated muscle to metal debris. A comparative in vivo study with titanium and stainless steel. J Bone Joint Surg Br. janv 2003;85(1):133-41. (Figures 4 and 5).

The magnitude of the immune response depends on the nature of the debris, their number, shape, size, and duration of exposure [14] Tsaousi A, Jones E, Case CP. The in vitro genotoxicity of orthopaedic ceramic (Al2O3) and metal (CoCr alloy) particles. Mutat Res. 29 mars 2010;697(1-2):1-9. . Numerous cells (osteoblasts, endothelial cells, macrophages) then attempt to phagocytose the debris, which are recognised as undesirable foreign bodies [9] Gallo J, Goodman SB, Konttinen YT, Wimmer MA, Holinka M. Osteolysis around total knee arthroplasty: a review of pathogenetic mechanisms. Acta Biomater. sept 2013;9(9):8046-58. . Pioletti et al. indicate that particles can inhibit collagen synthesis by inducing apoptosis of osteoblastic cells [15] Pioletti DP, Leoni L, Genini D, Takei H, Du P, Corbeil J. Gene expression analysis of osteoblastic cells contacted by orthopedic implant particles. J Biomed Mater Res. 5 sept 2002;61(3):408-20. . Furthermore, when macrophages are activated, they promote the secretion of various pro-inflammatory cytokines [16] Schmalzried TP, Callaghan JJ. Wear in total hip and knee replacements. J Bone Joint Surg Am. janv 1999;81(1):115-36. which stimulate the differentiation of osteoclast precursors into mature osteoclasts [1] Hallab NJ, Jacobs JJ. Biologic effects of implant debris. Bull NYU Hosp Jt Dis. 2009;67(2):182-8. . This results in increased bone resorption in the peri-prosthetic area, thereby increasing the risk of prosthetic loosening [9], Gallo J, Goodman SB, Konttinen YT, Wimmer MA, Holinka M. Osteolysis around total knee arthroplasty: a review of pathogenetic mechanisms. Acta Biomater. sept 2013;9(9):8046-58. [17] Yao J, Glant TT, Lark MW, Mikecz K, Jacobs JJ, Hutchinson NI, et al. The potential role of fibroblasts in periprosthetic osteolysis: fibroblast response to titanium particles. J Bone Miner Res. sept 1995;10(9):1417-27. . The extent of this osteolysis appears to be proportional to the quantity of debris released into the biological environment [18] Wilkinson JM, Hamer AJ, Stockley I, Eastell R. Polyethylene wear rate and osteolysis: critical threshold versus continuous dose-response relationship. J Orthop Res. mai 2005;23(3):520-5. (Figure 6).

Clinical manifestations of metal ion release
Well-documented in the literature, these can be subdivided into two categories: local and systemic.
Local manifestations can be insidious and non-specific. These include chronic pain, local inflammatory phenomena (oedema, warmth, redness), recurrent joint effusions, osteolysis, or pseudotumoural reactions, also known as ALVAL (Aseptic Lymphocyte-Dominated Vasculitis-Associated Lesions), which are well-described in metal-on-metal hip replacements [5] Delaunay C, Petit I, Learmonth ID, Oger P, Vendittoli PA. Metal-on-metal bearings total hip arthroplasty: the cobalt and chromium ions release concern. Orthop Traumatol Surg Res. déc 2010;96(8):894-904. .
Systemic manifestations, which are rarer, are linked to the tropism of metallic ions for certain organs [19] Zhong Q, Pan X, Chen Y, Lian Q, Gao J, Xu Y, et al. Prosthetic Metals: Release, Metabolism and Toxicity. Int J Nanomedicine. 2024;19:5245-67. . Thus, neurological symptoms are described, such as paraesthesia, memory disturbances, and headaches (cobalt). The kidneys can also be a site of ion accumulation, and proteinuria is described. In rare cases, renal failure is possible after prolonged exposure to ions (cobalt). Anaemia and/or leucopenia are also described in the literature, as is cardiac involvement.
The Case of Hypersensitivity: These are delayed-type hypersensitivity reactions (type IV), characterised by the activation, by an antigen, of sensitised T-lymphocytes which release various cytokines that can activate osteoclasts and lead to bone resorption. Some studies describe that approximately 17% of the population is reportedly hypersensitive to metals. Approximately 1% of patients with TKRs and/or THRs (Total Hip Replacements) are susceptible to this hypersensitivity. Over time, some patients who have undergone prosthesis implantation develop hypersensitivity to metallic elements [20] Mitchelson AJ, Wilson CJ, Mihalko WM, Grupp TM, Manning BT, Dennis DA, et al. Biomaterial hypersensitivity: is it real? Supportive evidence and approach considerations for metal allergic patients following total knee arthroplasty. Biomed Res Int. 2015;2015:137287. . Consequently, the risk of allergy to metallic ions is often investigated before total knee revision arthroplasty when there are unclear circumstances regarding the reason for primary prosthesis failure, or in cases of a known history of metal intolerance (e.g., to costume jewellery).
Role of implants in metal ion release
Total knee replacements, much like hip replacements, represent a significant vector for metal ion release. Numerous studies show a change in chromium and cobalt ion levels in patients undergoing primary knee replacement surgery [21], Luetzner J, Krummenauer F, Lengel AM, Ziegler J, Witzleb WC. Serum metal ion exposure after total knee arthroplasty. Clin Orthop Relat Res. août 2007;461:136-42. [22] Brüggemann A, Hailer NP. Concentrations of Cobalt, Chromium and Titanium and Immunological Changes after Primary Total Knee Arthroplasty-A Cohort Study with an 18-Year Follow-Up. J Clin Med. 7 févr 2024;13(4):951. , despite the theoretical absence of contact between the tibial baseplate and the femoral component due to the polyethylene insert. This is more likely related to the large metallic surface area exposed within the articular environment, promoting corrosive phenomena, which are amplified by implantation abnormalities that can cause abnormal contact between the two metallic components (e.g., rotational malalignment, pathological laxity, abnormal functioning of a rotating platform/polyethylene dislocation) or in cases of a metal-backed femoropatellar interface.
Revision prostheses are more implicated in metal ion release phenomena. Several elements contribute to this: the mechanical stresses applied to the implanted device, stresses which increase proportionally with the level of joint destruction and the degree of capsuloligamentous damage which, if severe, can cause very significant stresses on a hinge mechanism. The increased exposure of the prosthetic surface to the biological environment and the modularity required for knee reconstruction after implant removal [23] Laitinen M, Nieminen J, Reito A, Pakarinen TK, Suomalainen P, Pamilo K, et al. High blood metal ion levels in 19 of 22 patients with metal-on-metal hinge knee replacements. Acta Orthop. juin 2017;88(3):269-74. are factors promoting metal ion release. This modularity, whether in the form of Morse tapers, impaction/screw fixation, or a combination of these different modalities, will promote metallic release in these sensitive zones.
Numerous studies in the literature find higher levels of metallic ions with hinge-type prostheses, with differences depending on their fixation method [24] Gramlich Y, Hofmann L, Kress S, Ruckes C, Kemmerer M, Klug A, et al. Critically high metal ion levels found in metal-on-metal modular hinged knee arthroplasty : a comparison of two different systems. Bone Joint J. mars 2022;104-B(3):376-85. , without, however, influencing clinical outcomes and postoperative pain levels.
Some studies show no notable impact of titanium nitride coating on metal ion release compared to the type of hinge employed [24] Gramlich Y, Hofmann L, Kress S, Ruckes C, Kemmerer M, Klug A, et al. Critically high metal ion levels found in metal-on-metal modular hinged knee arthroplasty : a comparison of two different systems. Bone Joint J. mars 2022;104-B(3):376-85. . The latter, depending on the degree of freedom offered, could be vectors for more or less significant ionic release in the patient. Unfortunately, literature series are not numerous, and sample sizes remain modest, as does the duration of clinical follow-up.
Management
Diagnosis
Due to the variety of non-specific symptoms presented, diagnostic and therapeutic management can represent a challenge for the orthopaedic surgeon. In cases of chronic pain, recurrent joint effusions, or signs of rapid loosening on imaging studies, a knee aspiration should be considered to avoid overlooking a periprosthetic joint infection. This will also allow for joint fluid ion level measurement. A blood test can be performed to look for systemic distribution of chromium and cobalt ions. However, there are currently no consensus threshold values for blood cobalt and chromium levels to guide therapeutic management. Concerning allergy, the use of metal ion-specific patch tests is a simple means of verifying this hypersensitivity and provides results within a few days. However, the efficacy of these tests is debated by some teams [25] Pequignot A, Cola M, Berard F, Hacard F, Nicolas JF, Nosbaum A. Place des pricks tests dans la prise en charge des allergies aux implants métalliques. Revue Française d’Allergologie. 1 avr 2023;63(3):103435. , highlighting the need for a body of evidence beyond these results alone. Histology, lymphocyte transformation tests, memory lymphocyte immunostimulation (MELISA®) tests, leucocyte migration inhibition tests, and lymphocyte activation tests are more specific but have limited or no availability in France, currently requiring samples to be sent to Germany or Switzerland, and are not reimbursed (approximately €100). Organ complications should also be investigated through a thorough clinical examination. Renal function should be assessed, even though literature data show a low impact of ions on it, even in the long term [26] Manninen E, Lainiala O, Karsikas M, Reito A, Jämsä P, Eskelinen A. Do cobalt or chromium accumulate in metal-on-metal hip arthroplasty patients who have mild, moderate, or severe renal insufficiency? Bone Joint J. juill 2021;103-B(7):1231-7. .
Therapy
Common surgical treatments include debridement, synovectomy, removal of metallic debris, and single-stage revision arthroplasty. Therapeutic management should be initiated on a case-by-case basis and should remain cautious. For a knee with no significant functional abnormality and moderate blood ion release, simple monitoring will precede any surgical revision. In cases of significant blood ion release or clinical organ manifestation, prosthetic replacement should be performed promptly. Several options exist for patients with proven or suspected metal hypersensitivity, including ceramic-based materials, titanium, Oxinium, or modified surfaces. Management will be all the more delicate in cases of iterative revision due to the few hypoallergenic reconstruction implants available on the market.
Conclusion
Metal ion release is currently a constant phenomenon in patients with knee arthroplasty, whether partial, total, or reconstructive. The clinical presentation is often insidious and polymorphic. Periprosthetic joint infection must be systematically investigated before other causes of prosthesis failure. The diagnosis of arthroplasty failure due to significant metal ion release is delicate and must remain a diagnosis of exclusion. The lack of consensus on tolerable limit values for metallic ions in the blood also calls for caution before any surgical revision.
References
1. Hallab NJ, Jacobs JJ. Biologic effects of implant debris. Bull NYU Hosp Jt Dis. 2009;67(2):182-8.
2. Shanbhag AS, Jacobs JJ, Black J, Galante JO, Glant TT. Human monocyte response to particulate biomaterials generated in vivo and in vitro. J Orthop Res. sept 1995;13(5):792-801.
3. Shanbhag AS, Macaulay W, Stefanovic-Racic M, Rubash HE. Nitric oxide release by macrophages in response to particulate wear debris. J Biomed Mater Res. 5 sept 1998;41(3):497-503.
4. Mavrogenis AF, Nomikos GN, Sakellariou VI, Karaliotas GI, Kontovazenitis P, Papagelopoulos PJ. Wear debris pseudotumor following total knee arthroplasty: a case report. J Med Case Rep. 29 nov 2009;3:9304.
5. Delaunay C, Petit I, Learmonth ID, Oger P, Vendittoli PA. Metal-on-metal bearings total hip arthroplasty: the cobalt and chromium ions release concern. Orthop Traumatol Surg Res. déc 2010;96(8):894-904.
6. Case CP, Langkamer VG, James C, Palmer MR, Kemp AJ, Heap PF, et al. Widespread dissemination of metal debris from implants. J Bone Joint Surg Br. sept 1994;76(5):701-12.
7. Lass R, Grübl A, Kolb A, Stelzeneder D, Pilger A, Kubista B, et al. Comparison of synovial fluid, urine, and serum ion levels in metal-on-metal total hip arthroplasty at a minimum follow-up of 18 years. J Orthop Res. sept 2014;32(9):1234-40.
8. Daley B, Doherty AT, Fairman B, Case CP. Wear debris from hip or knee replacements causes chromosomal damage in human cells in tissue culture. J Bone Joint Surg Br. mai 2004;86(4):598-606.
9. Gallo J, Goodman SB, Konttinen YT, Wimmer MA, Holinka M. Osteolysis around total knee arthroplasty: a review of pathogenetic mechanisms. Acta Biomater. sept 2013;9(9):8046-58.
10. Granchi D, Cenni E, Trisolino G, Giunti A, Baldini N. Sensitivity to implant materials in patients undergoing total hip replacement. J Biomed Mater Res B Appl Biomater. mai 2006;77(2):257-64.
11. Wataha JC. Principles of biocompatibility for dental practitioners. Journal of Prosthetic Dentistry. 1 août 2001;86(2):203-9.
12. Miloŝev L, Antoliĉ V, Minoviĉ A, Cör A, Herman S, Pavlovcic V, et al. Extensive metallosis and necrosis in failed prostheses with cemented titanium-alloy stems and ceramic heads. J Bone Joint Surg Br. avr 2000;82(3):352-7.
13. Kraft CN, Diedrich O, Burian B, Schmitt O, Wimmer MA. Microvascular response of striated muscle to metal debris. A comparative in vivo study with titanium and stainless steel. J Bone Joint Surg Br. janv 2003;85(1):133-41.
14. Tsaousi A, Jones E, Case CP. The in vitro genotoxicity of orthopaedic ceramic (Al2O3) and metal (CoCr alloy) particles. Mutat Res. 29 mars 2010;697(1-2):1-9.
15. Pioletti DP, Leoni L, Genini D, Takei H, Du P, Corbeil J. Gene expression analysis of osteoblastic cells contacted by orthopedic implant particles. J Biomed Mater Res. 5 sept 2002;61(3):408-20.
16. Schmalzried TP, Callaghan JJ. Wear in total hip and knee replacements. J Bone Joint Surg Am. janv 1999;81(1):115-36.
17. Yao J, Glant TT, Lark MW, Mikecz K, Jacobs JJ, Hutchinson NI, et al. The potential role of fibroblasts in periprosthetic osteolysis: fibroblast response to titanium particles. J Bone Miner Res. sept 1995;10(9):1417-27.
18. Wilkinson JM, Hamer AJ, Stockley I, Eastell R. Polyethylene wear rate and osteolysis: critical threshold versus continuous dose-response relationship. J Orthop Res. mai 2005;23(3):520-5.
19. Zhong Q, Pan X, Chen Y, Lian Q, Gao J, Xu Y, et al. Prosthetic Metals: Release, Metabolism and Toxicity. Int J Nanomedicine. 2024;19:5245-67.
20. Mitchelson AJ, Wilson CJ, Mihalko WM, Grupp TM, Manning BT, Dennis DA, et al. Biomaterial hypersensitivity: is it real? Supportive evidence and approach considerations for metal allergic patients following total knee arthroplasty. Biomed Res Int. 2015;2015:137287.
21. Luetzner J, Krummenauer F, Lengel AM, Ziegler J, Witzleb WC. Serum metal ion exposure after total knee arthroplasty. Clin Orthop Relat Res. août 2007;461:136-42.
22. Brüggemann A, Hailer NP. Concentrations of Cobalt, Chromium and Titanium and Immunological Changes after Primary Total Knee Arthroplasty-A Cohort Study with an 18-Year Follow-Up. J Clin Med. 7 févr 2024;13(4):951.
23. Laitinen M, Nieminen J, Reito A, Pakarinen TK, Suomalainen P, Pamilo K, et al. High blood metal ion levels in 19 of 22 patients with metal-on-metal hinge knee replacements. Acta Orthop. juin 2017;88(3):269-74.
24. Gramlich Y, Hofmann L, Kress S, Ruckes C, Kemmerer M, Klug A, et al. Critically high metal ion levels found in metal-on-metal modular hinged knee arthroplasty : a comparison of two different systems. Bone Joint J. mars 2022;104-B(3):376-85.
25. Pequignot A, Cola M, Berard F, Hacard F, Nicolas JF, Nosbaum A. Place des pricks tests dans la prise en charge des allergies aux implants métalliques. Revue Française d’Allergologie. 1 avr 2023;63(3):103435.
26. Manninen E, Lainiala O, Karsikas M, Reito A, Jämsä P, Eskelinen A. Do cobalt or chromium accumulate in metal-on-metal hip arthroplasty patients who have mild, moderate, or severe renal insufficiency? Bone Joint J. juill 2021;103-B(7):1231-7.