pictorial and systematic approach to varus deformity
Background: Varus deformity is the most prevalent malalignment in total knee arthroplasty (TKA), ranging from mild, passively correctable cases to recalcitrant deformities. Traditional correction often involves extensive soft tissue release, yet controversy remains regarding the optimal sequence and necessity of releasing the superficial medial collateral ligament (MCL).
Objective: This article describes a systematic approach to achieving coronal alignment and gap balancing in varus TKA without superficial MCL release, utilizing computer navigation and specific osteotomy techniques.
Key Points: The methodology is based on the premise that the superficial MCL is often tented by osteophytes rather than contracted. Preoperative and intraoperative assessments must identify extra-articular deformities (EAD) and hindfoot valgus, which influence the weight-bearing axis. Following bone resections perpendicular to the mechanical axes, three clinical scenarios guide soft tissue management. Symmetrical gaps require no further release. If the extension gap is tight medially but the flexion gap is symmetrical, a posteromedial capsular release or a sliding medial condylar osteotomy is indicated. If both gaps are tight medially, a reduction osteotomy of the posteromedial tibial flare is performed, followed by semimembranosus release or corrective metaphyseal osteotomy if EAD is present.
Conclusion: Precise alignment and ligamentous balance in severe varus deformity can be achieved by addressing bone morphology and posteromedial structures. This systematic protocol prioritizes preservation of the superficial MCL and utilizes intra-articular or extra-articular osteotomies to manage complex deformities without requiring constrained implants.
Varus deformity is the commonest type of deformity encountered in patients requiring total knee arthroplasty. It can vary from a mild deformity which corrects easily and completely under anesthesia and needs no release to an extremely recalcitrant deformity that can be challenging to correct. A variety of methods and sequences of releases have been proposed in the past.
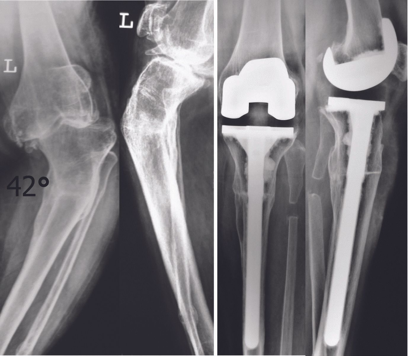
The author has performed over 12000 total knee replacements, over 6000 with computer navigation and has made several observations which are published in scientific studies 1-12. Here is the method followed which has satisfactorily achieved alignment and balance without requiring release of the superficial medial collateral ligament2 and without using constrained implants (only posterior cruciate substituting designs have been used in almost all cases)(Fig 1).

The basic concepts on which the technique is based are as follows:
1. The superficial MCL does not contract in varus deformities
2. The valgus correction angle is extremely variable and needs to be individualised (unless navigation is deployed)5,9
3. Extra-articular femoral and/or tibial deformity needs to be identified and appropriate extra-articular or intra-articular correction performed8
4. Hindfoot valgus (flat foot) needs to be recognised7 (Fig 7)

5. Flexion of the knee relaxes the posterior soft tissues and excludes them from contributing to medio-lateral imbalance
6. The proximal tibial cut affects both flexion and extension gaps equally; the distal femoral cut affects only the extension gap. The posterior femoral cut affects the flexion gap; the anterior femoral cut affects patellar tracking.(Figs 2, 3)


If extra-articular deformity (EAD) is >20 degrees, close to the joint, and resection likely to damage LCL attachment or if the distal tibial axis falls outside of tibial plateau, then EA osteotomy may be required.(Figs 4-6)



Steps to achieving correct alignment and balance
1. Preoperative clinical assessment:
- Flexion deformity/Hyperextension
- Flatfeet
2. Xray assessment
- Osteophyte presence, location and size
- EAD Femur
- EAD tibia
- Valgus correction angle
- Amount of tibial subluxation
- Extent of lateral opening
- Patella tracking
3. Intra-op assessment after excision of both cruciates & menisci
- Maximum varus deformity
- Correctability of varus with valgus stress
- Amount of flexion deformity persisting with extension stress
- Maximum amount of hyperextension possible
- Maximal flexion with gravity with thigh supported

4. Intra-op assessment after excision of osteophytes
- Maximum varus deformity
- Correctability of varus with valgus stress
- Amount of flexion deformity persisting with extension stress
- Maximum amount of hyperextension possible
- Maximal flexion with gravity with thigh supported
5. Perform tibial and distal femoral cuts perpendicular to mechanical axes

6. Check extension gap symmetry with spacer block/tensioner

7. Check flexion gap symmetry with spacer block/tensioner. It helps to have a non-slotted cutting block so the position, rotation and size of the femoral component can be assessed by using a tensioner or spacer block prior to making the bone cuts.

8. Based on the above, there are 3 scenarios with corresponding specific releases which need to be performed.
Scenario 1:

Scenario 2:
- Extension gap tight medially
- Flexion gap symmetrical
- Implies that collaterals balanced
- Therefore either contracture is posteromedial or it implies that there is EAD in the femur. If the former is the case, it should correct with posteromedial capsular release2
- If it doesn’t correct, Sliding Medial Condylar Osteotomy4 may rarely be required.




In the presence of femoral EAD, a persistent trapezoidal extension gap is addressed by distally sliding the medial condyle by the amount required to equalise medial and lateral gaps in extension. As the condyle is not slid anteriorly or posteriorly, it does not affect the flexion gap symmetry.
Scenario 3:
- Extension gap tight medially
- Flexion gap tight medially
- Reduction osteotomy3 of the posteromedial tibial flare helps to achieve correction by reducing the tenting of the MCL
- If a trapezoidal gap persists it implies severe contracture of posteromedial structures and semimembranosus. So the next step is to resect a segment of the posteromedial capsule and release the semimembranosus from its tibial attachment
- If these are released and deformity persists, it implies that there is a tibial EAD. This should have been detected and anticipated in the planning stage. Obtain a rectangular extension gap by re-cutting proximal tibia. Any residual varus deformity is corrected by closed-wedge osteotomy at apex of deformity usually in the tibial metaphysis.





References
1. Mullaji Arun B & Shetty Gautam M. Deformity Correction in Total Knee Arthroplasty. 2014. Springer, New York, USA.
2. Mullaji A, Shetty GM. Correcting deformity in total knee arthroplasty: techniques to avoid the release of collateral ligaments in severely deformed knees. Bone Joint J 2016;98-B:101–4
3. Mullaji A, Shetty GM. Correction of varus deformity during TKA with reduction osteotomy Clin Orthop Relat Res 2014 Jan;472(1):126-32
4. Mullaji A, Shetty GM. Surgical Technique: Computer-assisted Sliding Medial Condylar Osteotomy to Achieve Gap Balance in Varus Knees During TKA Clin Orthop Relat Res 2013 May;471(5):1484-91
5. Shetty GM, Mullaji A, Kanna R, Vadapalli R. The Influence of Preoperative Deformity on valgus correction angle: an analysis of 503 total knee arthroplasties J Arthroplasty 2013; 28: 20-27
6. Mullaji A, Shetty GM. Correction of Severe Deformity in Total Knee Arthroplasty: Decision Making and Key Technical Considerations. Semin Arthro 2012; 23:27-30
7. Mullaji A, Shetty GM. Persistent hindfoot valgus causes lateral deviation of weight-bearing axis after total knee arthroplasty. Clin Orthop Relat Res 2011; 469:1154-60.
8. Mullaji A, Shetty G. Computer-Assisted Total Knee Arthroplasty for Arthritis With Extra-articular Deformity. J Arthroplasty 2009; 24 (8): 1164-1169
9. Mullaji AB, Marawar SV, Mittal V. A Comparison of Coronal Plane Axial Femoral Relationships in Asian Patients With Varus Osteoarthritic Knees and Healthy Knees. J Arthroplasty 2009; 24(6): 861-7
10. Mullaji A, Kanna R, Marawar S, Kanna R. Quantification of Effect of Sequential Posteromedial Release on Flexion and Extension Gaps: A computer-assisted study in cadaveric knees. J Arthroplasty 2009; 24(5):795-805
11. Mullaji AB, Marawar S, Sharma A. Correcting varus deformity. J Arthroplasty 2007; 22(4) 15-19
12. Mullaji AB, Padmanabhan V, Jindal G. Total Knee Arthroplasty for Profound Varus Deformity: Technique and radiological results in 173 knees with varus more than 20 degrees. J Arthroplasty 2005; 20(5): 550-561