Femoro-acetabular impingement (FAI): Is there still a place for open surgery?
Background: Femoroacetabular impingement (FAI) is a dynamic hip dysfunction caused by morphological alterations of the acetabulum, femoral head-neck junction, or femoral torsion. If left untreated, the resulting labral and chondral damage may progress to premature coxarthrosis in young, active populations.
Objective: This review evaluates the diagnostic imaging requirements for FAI and defines the specific clinical indications for arthroscopic versus open surgical interventions, including pelvic and femoral osteotomies.
Key Points: Diagnosis requires standardized pelvic radiographs and arthro-MRI to quantify acetabular coverage (Lateral Center Edge angle >33°), alpha angles, and torsional deformities. While conservative management is the initial approach, surgical intervention is indicated upon failure. Hip arthroscopy is effective for labral repair and focal osteochondroplasty but has limitations in addressing global acetabular retroversion or significant torsional abnormalities. Open surgical dislocation provides circumferential joint access for complex cam morphologies and focal retroversion (<30%). For global acetabular retroversion (>30%), periacetabular osteotomy (PAO) demonstrates superior long-term joint survivorship compared to rim trimming. Femoral derotation osteotomy is specifically indicated for impingement secondary to femoral retroversion (<0°) or excessive anteversion (>35°).
Conclusion: Surgical management of FAI must be tailored to the specific morphological deformity. While arthroscopy is a primary minimally invasive option, open surgical dislocation, PAO, and femoral osteotomy remain essential for correcting global version abnormalities and complex femoral deformities to optimize clinical outcomes and joint preservation.
Introduction
Femoro-acetabular impingement (FAI), described by Ganz in 2003 (1), is a frequent cause of hip joint pain in young adult athletes. Morphological alterations of the acetabulum (pincer effect), of the head-neck junction (cam effect), or femoral torsional deformities are the main causes of this dynamic impingement (Figure 1).

This leads to labrum and cartilage damage, which can progress in long-term to coxarthrosis, so early diagnosis and appropriate management are essential. The questions addressed in this article are the following:
1. What imaging modalities and measurements are needed for FAI assessment
2. With the advancement of hip arthroscopy, what is the place of open surgery in the treatment of FAI.
Diagnosis of femoro-acetabular impingement
FAI is mainly diagnosed in young adults playing certain sports with repetitive hip movements, such as hockey, martial arts or football. More recently it has also been demonstrated in other sports such as table tennis or golf. While the pain is typically located in the groin, it can also occur in the region of the greater trochanter or in the thigh. No clinical test is specific for FAI, but pain for anterior impingement is often reproduced during a 90° flexion, adduction and internal rotation (FADIR) maneuver. Sometimes a posterior impingement can be demonstrated by flexion, abduction and external rotation (FABER) maneuver. Range of motion may be limited, especially in internal rotation. On clinical examination, hip rotations in extension and prone position allow estimation of femoral torsional deformities (2). Decreased internal rotation will point to femoral retroversion and increased internal rotation will point to exaggerated femoral anteversion.
The work-up should be completed with a standard X-ray and contrast Arthro-MRI to measure femoral torsion and acetabular version, and 3D reconstructions that can detect areas of FAI.
Standard radiographs with good quality are essential and represent the most important imaging modality. It should include a frontal view correctly centered on the pelvis and an axial view of the hip (3). These radiographs allow assessment of acetabular coverage, acetabular orientation, cervical/cephalic junction deformity, and arthritic degeneration according to Tönnis classification.
Excessive coverage of the acetabulum can lead to a pincer-type FAI. This is seen with a Wiberg Lateral Center Edge (LCE) angle greater than 33° (4) (Figure 2). Pincer-type FAI may also occur in cases of acetabular protrusion (Figure 3) when the femoral head is medial to the ilio-ischial line.


The orientation of the acetabulum is important to assess, as it can also be the source of a pincer-type FAI if the acetabulum is retroverted (Figure 4).

The retroversion of the acetabulum may be focal (<30%) or global (>30%) depending on the crossing sign size. Posterior wall sign (posterior wall medial to the center of the femoral head), and ischiatic spine sign (visible on front pelvic film beyond the iliopubic line) are the two other signs for acetabulum retroversion. The filling of the cervico-cephalic junction can cause a cam effect (Figure 5), sometimes with a pistol grip appearance. The cam effect can be quantified using the alpha angle measured on the axial radiograph.

Finally, radiographs can exclude the presence of advanced arthritic changes, for which conservative hip surgery is no longer appropriate, and arthroplasty options should be considered. Arthro-MRI is the imaging procedure of choice for assessing the labrum and cartilage. Injection of contrast material into the hip joint allows better visualization of the labrum and cartilage. Lesions of the labrum (Figure 6) are most often found in the anterosuperior part of the joint. MRI with radial reconstructions allows better localization and quantification of the cam effect morphology (Figure 7). The alpha angle can also be measured on this imaging modality.


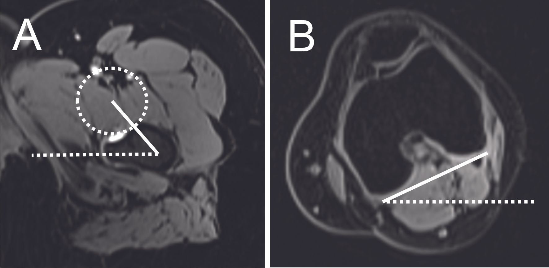
Measurement of femoral torsions by MRI or CT scan is essential (Figure 8). There are many methods of calculating torsions (5), of which Murphy's method is the most reproducible. A femoral torsion problem can be a cause of FAI (6). Femoral retroversion (<0°) may result in an anterior FAI, between the anterior-inferior iliac spine and the proximal femur. Increased femoral anteversion (>35°) may result in posterior ischiofemoral FAI between the lesser or greater trochanter and the ischial tuberosity.

Conservative treatment
Conservative management of FAI should be offered before considering surgery (7). Treatment is multi-modal and includes patient education, activity modification, anti-inflammatory drugs, physiotherapy, and intra-articular injections. Conservative treatment is usually effective, and can relieve the pain of FAI, but not correct the existing deformity. Before considering surgery, an intraarticular injection is recommended for analgesic purposes but above all for diagnostic purposes to ensure the intra-articular origin of the pain. There are few studies that have compared conservative versus surgical treatment (8). A recent randomized clinical trial showed superior short-term clinical improvement with surgery compared to physiotherapy (9). However, there are no studies on long-term outcomes or osteoarthritic progression comparing these two treatments.
Arthroscopic treatment
The treatment of FAI by hip arthroscopy is becoming more and more popular. Hip arthroscopy generally uses three portals, to access the joint compartment under traction and the peripheral compartment after release of traction. The intra-articular approach allows treatment of labrum lesions and to partially address the pincer effect by performing an acetabuloplasty. A protruding anterior-inferior iliac spine inserted near the acetabular rim (type 2 or 3 of Hestroni, 2013) is trimmed at its base. During the peripheral approach, the cam-type FAI can be treated by resecting the excess bone and fibrocartilage with a burr. Arthroscopy has the advantage of being less invasive than open surgical hip dislocation surgery, with a shorter hospital stay and faster rehabilitation. It allows good visualization of the peripheral compartment to correct the cam effect (Figure 9).

The disadvantages include difficulty in accessing the ligamentum teres and the lower and posterior part of the joint, as well as the risk of damaging the retinacular vessels coming from the medial circumflex if the cam resection is extended posteriorly. In addition, there are some rare complications, such as pudendal neurapraxia related to traction, neurapraxia of the lateral femoral cutaneous nerve related to portals, and postoperative adhesions sometimes requiring a secondary operation with arthrolysis. Finally, hip arthroscopy is a technique that requires a long learning curve. The results of hip arthroscopy treatment of FAI (10) are good with an improvement in alpha angle and clinical scores, and a high return to sport rate (87%). The complication rate varies from series to series, ranging from 1.7% to 4% (11,12), with a major complication rate of 0.3%.
Although hip arthroscopy shows good results, this technique has limitations. Indeed, it cannot correct a global retroversion of the acetabulum and cannot address a problem of femoral torsion. Moreover, a large cam, particularly a posterior one, is difficult to access by arthroscopy. Thus, certain specific indications still leave an important place for open surgery.
Open surgery for surgical dislocation of the hip
Open surgical hip dislocation (Figure 10) is used to address FAI (13). It consists of a lateral hip approach with an osteotomy of the greater trochanter, using an inter-nerve and inter-muscular interval, thus preserving muscle quality. After capsulotomy and resection of the ligamentum teres, the hip joint can be dislocated, allowing full access to the joint on both the femoral and acetabular sides.

Open hip dislocations allows visualization of the entire femoral neck, allowing correction of large cams or posterior cams that cannot be addressed arthroscopically. The sphericity of the head can be assessed using a spherical model, allowing the degree of severity of the cam to be judged. Furthermore excess coverage of the acetabulum can be addressed also (figure 11).

In addition open dislocation allows treatment of pincer-type FAI in cases of proximal focal retroversion of the acetabulum (Figure 12), where the crossing sign is visualized with <30% retroversion. It can also be used to treat a pincer-type FAI in cases of excessive coverage of the anterior wall. Indeed, after disinsertion of the labrum, trimming of the anterior wall is easily accessible by this technique, followed by repair of the labrum. Furthermore, it is possible to clinically test the mobility of the hip during the operation, before and after the correction of the FAI, to check the gain of joint range of motion.

However, open dislocation is a more invasive surgery than arthroscopy and is reserved for young patients. The risk of nonunion of the greater trochanter has been reported but remains exceptional in young patients. The fixation hardware of the osteotomy may cause discomfort and a secondary operation to remove the hardware is usually necessary. With this approach, the ligamentum teres is sacrificed to dislocate the hip. Blood loss is greater with open surgery and rehabilitation is longer due to the greater trochanter osteotomy for which partial weight bearing is recommended for six weeks.
The results of open surgery are good and remain comparable to those of hip arthroscopy. Most studies comparing arthroscopic treatment and open surgery are reviews of the literature. There is an improvement in clinical scores, with comparable results between arthroscopic treatment and open surgery. There is only one prospective comparative study that has shown favorable results with both techniques (14). However, some studies report a higher complication rate with open surgery, but a greater alpha angle correction compared to arthroscopy (15).
While the results are comparable between these two techniques, there is probably a patient selection bias in studies comparing open treatment and arthroscopy. Indeed, both techniques offer advantages over each other. The indication for open or arthroscopic treatment should therefore be chosen carefully and adapted to the type of FAI, its morphology and severity.
Femoral derotation osteotomy
The femoral derotation osteotomy is performed through a lateral hip approach with a subvascular passage. The femoral osteotomy is performed at the subtrochanteric or intertrochanteric level (in case of an associated varus osteotomy) and stabilized with a plate (figure 13). Partial loading is recommended after surgery to protect the osteotomy.

A femoral internal derotation osteotomy may be proposed in cases of anterior FAI where there is femoral retroversion (<0°). In this case, the distal fragment will be internally derotated to increase internal rotation. A femoral external derotation osteotomy can also be proposed in cases of posterior FAI where, conversely, exaggerated femoral anteversion (>35) exists. The purpose of this external derotation osteotomy of the distal fragment is to increase external rotation. Imaging with torsion measurement is therefore essential, as well as a dynamic 3D examination to check for anterior or posterior FAI.
Some studies have found that correction of femoral torsion does not influence the outcome of arthroscopic surgery for the treatment of FAI (16). However, other studies (17) have shown good clinical results following internal femoral derotation osteotomy in anterior FAI with femoral retroversion. One study (18) also showed that external femoral derotation osteotomy in posterior FAI with exaggerated anteversion resulted in a gain in external rotation (16° to 44°), an improvement in symptomatology, and a satisfaction rate of 80% of patients who would repeat the surgery. Thus, femoral derotation osteotomy remains a treatment option to be considered in some patients with FAI with a femoral torsion disorder (retroversion or exaggerated anteversion).
Anteversion periacetabular osteotomy
The periacetabular osteotomy (PAO) was initially described to treat dysplasia, and then the anteversion periacetabular osteotomy (19) was described to treat retroversion of the acetabulum that can lead to FAI (Figure 14).

The surgery is performed using a modified anterior Smith-Petersen approach. The principle is based on several osteotomy cuts, at the level of the ischium, the superior branch of the pubis, the supra-acetabular region and the retroacetabular region, while keeping the posterior column in continuity. Mobilization of the fragment comprising the acetabulum allows reorientation and thus correction of the version of the acetabulum. This fragment is then stabilized with screws.
This is a more extensive surgery, reserved for young patients under 40 years of age (20) in cases of global retroversion of the acetabulum with a retroversion >30% (Figure 15).

In the case of associated cam impingement, it is common to combine this with a procedure on the femur, either arthroscopically or by minimally invasive anterior approach. While short-term results seem promising, few studies have shown long-term results. Peters' 2011 study (21) proposed a decision algorithm between anteversion PAO or surgical hip dislocation for correction of acetabular retroversion. Anteversion PAO would be indicated in cases of acetabular retroversion with insufficient posterior and/or lateral coverage, associated with intact hyaline cartilage. A surgical hip dislocation with resection of the anterior part of the acetabulum would be indicated in cases of acetabular retroversion with excessive anterior coverage but sufficient posterior coverage. A recent study by Zurmühle in 2017 (22) showed a higher 10-year survival rate with PAO (86%) than with acetabular resection by surgical hip dislocation (23%) in cases of acetabular retroversion resulting in FAI. The failure is probably caused by the decreased surface area in case of retroversion with anterior wall resection, resulting in hip dysplasia and thus an increased risk of coxarthrosis (23).
This is a complex surgery that requires a well-trained surgical team to reorient the acetabulum in case of FAI. Patients must be carefully selected, and further research is needed to better define the indications.
Conclusion
FAI is a frequent source of hip joint and groin pain and involves a dynamic mechanism with abnormalities in the femur (cam type), acetabulum (pincer type) or femoral torsion. The diagnosis is based on clinical symptoms and radiological patterns. The standard X-ray is of primary importance. Arthro-MRI is used to complete the assessment to visualize the labrum and better define the morphology of the cam. The measurement of femoral torsions must also be an integral part of the radiological assessment, in order to detect a femoral anteversion pathology which could lead to a femoral derotation osteotomy.
Treatment should be conservative in the first instance, combining activity modification, physiotherapy measures and intra-articular infiltrations. Surgical treatment should be offered if conservative treatment fails. Several surgical modalities are possible. Hip arthroscopy remains a minimally invasive option that allows correction of certain cam or pincer type FAIs with retroversion of the upper part of the acetabulum only. Open surgery with surgical dislocation of the hip makes it possible to address certain cams that are not accessible by arthroscopy, and combine it with procedures on the anterior part of the acetabulum in the case of excessive coverage of the acetabulum (increased VCE angle or focal retroversion <30%). The femoral derotation osteotomy allows FAI to be addressed in cases of excessive femoral anteversion (>35°) or retroversion (<0°). Anteversion PAO allows correction of acetabular orientation in cases of global retroversion of the acetabulum (retroversion >30%). Thus, the surgical modalities must be carefully chosen, adapted to the morphology of the cam and the acetabular coverage and orientation. Open surgery therefore retains an important place in the management of FAI in well selected cases.
References
1. Ganz R, Parvizi J, Beck M, Leunig M, Nötzli H, Siebenrock KA. Femoroacetabular impingement: a cause for osteoarthritis of the hip. Clin Orthop Relat Res. 2003 Dec;(417):112–20.
2. Chadayammuri V, Garabekyan T, Bedi A, Pascual-Garrido C, Rhodes J, O’Hara J, et al. Passive Hip Range of Motion Predicts Femoral Torsion and Acetabular Version. J Bone Joint Surg Am. 2016 Jan 20;98(2):127–34.
3. Mannava S, Geeslin AG, Frangiamore SJ, Cinque ME, Geeslin MG, Chahla J, et al. Comprehensive Clinical Evaluation of Femoroacetabular Impingement: Part 2, Plain Radiography. Arthrosc Tech. 2017 Oct;6(5):e2003–9.
4. Tannast M, Hanke MS, Zheng G, Steppacher SD, Siebenrock KA. What Are the Radiographic Reference Values for Acetabular Under- and Overcoverage? Clinical Orthopaedics & Related Research. 2015 Apr;473(4):1234–46.
5. Schmaranzer F, Lerch TD, Siebenrock KA, Tannast M, Steppacher SD. Differences in Femoral Torsion Among Various Measurement Methods Increase in Hips With Excessive Femoral Torsion. Clin Orthop Relat Res. 2019 May;477(5):1073–83.
6. Lerch TD, Schmaranzer F, Hanke MS, Leibold C, Steppacher SD, Siebenrock KA, et al. [Torsional deformities of the femur in patients with femoroacetabular impingement : Dynamic 3D impingement simulation can be helpful for the planning of surgical hip dislocation and hip arthroscopy]. Orthopade. 2020 Jun;49(6):471–81.
7. Wall PDH, Fernandez M, Griffin DR, Foster NE. Nonoperative treatment for femoroacetabular impingement: a systematic review of the literature. PM R. 2013 May;5(5):418–26.
8. Fairley J, Wang Y, Teichtahl AJ, Seneviwickrama M, Wluka AE, Brady SRE, et al. Management options for femoroacetabular impingement: a systematic review of symptom and structural outcomes. Osteoarthritis Cartilage. 2016 Oct;24(10):1682–96.
9. Griffin DR, Dickenson EJ, Wall PDH, Achana F, Donovan JL, Griffin J, et al. Hip arthroscopy versus best conservative care for the treatment of femoroacetabular impingement syndrome (UK FASHIoN): a multicentre randomised controlled trial. Lancet. 2018 Jun 2;391(10136):2225–35.
10. Minkara AA, Westermann RW, Rosneck J, Lynch TS. Systematic Review and Meta-analysis of Outcomes After Hip Arthroscopy in Femoroacetabular Impingement. Am J Sports Med. 2019 Feb;47(2):488–500.
11. Kowalczuk M, Bhandari M, Farrokhyar F, Wong I, Chahal M, Neely S, et al. Complications following hip arthroscopy: a systematic review and meta-analysis. Knee Surg Sports Traumatol Arthrosc. 2013 Jul;21(7):1669–75.
12. Nakano N, Lisenda L, Jones TL, Loveday DT, Khanduja V. Complications following arthroscopic surgery of the hip: a systematic review of 36 761 cases. Bone Joint J. 2017 Dec;99-B(12):1577–83.
13. Steppacher SD, Schwab JM, Siebenrock KA, Tannast M. Actual management of femoroacetabular impingement. Minerva Orthopedica e Traumatologica. 2012;63(5):365–78.
14. Domb BG, Stake CE, Botser IB, Jackson TJ. Surgical dislocation of the hip versus arthroscopic treatment of femoroacetabular impingement: a prospective matched-pair study with average 2-year follow-up. Arthroscopy. 2013 Sep;29(9):1506–13.
15. Qiao H-Y, Zhang Y-H, Ren Y-M, Tian M-Q. Arthroscopic versus open treatment for femoroacetabular impingement: A systematic review and meta-analyses. Medicine (Baltimore). 2020 Nov 20;99(47):e23364.
16. Wang C, Sun Y, Ding Z, Lin J, Luo Z, Chen J. Influence of Femoral Version on the Outcomes of Hip Arthroscopic Surgery for Femoroacetabular Impingement or Labral Tears: A Systematic Review and Meta-analysis. Orthop J Sports Med. 2021 Jun;9(6):23259671211009190.
17. Mastel MS, El-Bakoury A, Parkar A, Sharma R, Johnston KD. Outcomes of femoral de-rotation osteotomy for treatment of femoroacetabular impingement in adults with decreased femoral anteversion. J Hip Preserv Surg. 2020 Dec;7(4):755–63.
18. Lerch TD, Schmaranzer F, Steppacher SD, Ziebarth K, Tannast M, Siebenrock KA. Most of patients with femoral derotation osteotomy for posterior extraarticular hip impingement and high femoral version would do surgery again. Hip Int. 2020 Aug 31;1120700020953100.
19. Siebenrock KA, Attinger MC, Steppacher SD, Tannast M. Femoroacetabular impingment – Current understanding. Current Progress in Orthopedics 1. :1–26.
20. Lerch TD, Steppacher SD, Liechti EF, Tannast M, Siebenrock KA. One-third of Hips After Periacetabular Osteotomy Survive 30 Years With Good Clinical Results, No Progression of Arthritis, or Conversion to THA. Clinical Orthopaedics & Related Research. 2017 Apr;475(4):1154–68.
21. Peters CL, Anderson LA, Erickson JA, Anderson AE, Weiss JA. An algorithmic approach to surgical decision making in acetabular retroversion. Orthopedics. 2011 Jan 3;34(1):10.
22. Zurmühle CA, Anwander H, Albers CE, Hanke MS, Steppacher SD, Siebenrock KA, et al. Periacetabular Osteotomy Provides Higher Survivorship Than Rim Trimming for Acetabular Retroversion. Clin Orthop Relat Res. 2017 Apr;475(4):1138–50.
23. Steppacher SD, Lerch TD, Gharanizadeh K, Liechti EF, Werlen SF, Puls M, et al. Size and shape of the lunate surface in different types of pincer impingement: theoretical implications for surgical therapy. Osteoarthritis Cartilage. 2014 Jul;22(7):951–8.