Biplanar opening-wedge tibial valgus osteotomy for medial knee OA: Review of 20 year’s experience with tips and tricks
Background: Medial compartment gonarthritis associated with varus malalignment remains a significant cause of cartilage degeneration. While lateral closing-wedge techniques were historically preferred, medial open-wedge biplanar tibial valgus osteotomy using locking plate fixation has emerged as a standard joint-preserving intervention.
Objective: This article provides a clinical algorithm and technical framework for performing medial open-wedge biplanar tibial valgus osteotomy, focusing on patient selection, preoperative planning, and intraoperative maneuvers to optimize alignment and minimize complications.
Key Points: Success depends on precise deformity analysis using the Mikulicz line, medial proximal tibial angle (MPTA), and joint line obliquity. Indications include symptomatic Outerbridge grade 1–3 medial cartilage lesions with varus deformity exceeding 3°. Critical surgical steps involve a subperiosteal release of the superficial medial collateral ligament to prevent increased medial compartment pressure and a multi-chisel technique to create a stable lateral hinge. The biplanar cut protects the tibial tuberosity and allows for sagittal plane adjustments, such as slope reduction to address extension deficits. Locking plate fixation, specifically the Tomofix system, provides primary stability without the necessity for bone grafting in most cases. Long-term data from 92 patients demonstrate high union rates and significant pain reduction, with a mean correction angle of 9.2°. Potential complications include lateral hinge fractures, thromboembolism, and rare neurovascular injuries.
Conclusion: Medial open-wedge biplanar osteotomy is an effective, reproducible procedure for medial gonarthritis. Adherence to a structured surgical protocol and precise intraoperative alignment control are essential for achieving durable clinical outcomes and delaying the requirement for arthroplasty.
Introduction
Frontal plane leg alignment correction is an important pillar of treatment during joint-sparing knee surgery for medial gonarthritis. A varus deformity of the knee joint represents a significant risk factor for the development and further progression of medial cartilage lesions [1−3]. Tibial valgus osteotomy, potentially in combination with femoral osteotomy (double osteotomy) has gained significant importance in the past few years, thanks to improved planning and fixation techniques with locking plates. Whereas lateral closing wedge tibial plateau osteotomy was the preferred surgery method in the past, today it is medial open-wedge biplanar tibial valgus osteotomy with a locking plate implant [4−9]. The number of relevant complications could also be reduced using locking implants and refined surgery techniques [10].
Good long-term outcomes can be expected with careful patient selection and precise surgical technique [11]. The authors are presenting a practice-oriented algorithm with tips and tricks of a medial open-wedge biplanar tibial valgus osteotomy based on more than 20 years of experience.
Patient selection
Indication for valgus osteotomy of the knee
- Symptomatic patient with Outerbridge Grade 1−3 cartilage lesions [12] of the medial compartment with varus deformity > 3° in the whole leg radiograph, with or without partial loss of the medial meniscus.
- In exceptional cases or in combined procedures with cartilage surgery without arthrosis realignment can also be performed even from 1 to 2° varus deformity only.
- An additional anterior cruciate ligament (ACL) insufficiency can be treated and a pathological slope should also be corrected during this procedure.
- Outerbridge grade 4 cartilage lesions [12] are not a contraindication, but it must be discussed with the patient that the long-term results are somewhat poorer, and a total knee replacement may need to be implanted early.
Contraindications
- Lack of patient motivation: the patient must be aware that there may be prolonged pain after surgery. Furthermore, there is a unilateral change to the leg alignment that can be aesthetically conspicuous in major corrections and needs to be accepted. We have had the experience that this issue often raises concerns with younger male and female patients.
- Extension deficit of >10°
- Nicotine consumption that cannot be plausibly stopped 6 weeks prior to surgery. However, use of an autologous tricortical iliac crest bone graft can make surgery also possible for smokers.
- Diffuse chondrocalcinosis
- Arthritic involvement of the lateral compartment > Outerbridge grade 2 [12]
- Untreated osteoporosis
- Vitamin D3 deficiency: we measure the level and substitute it to a high normal level prior to surgery.
- Absent or attenuated foot pulses require further diagnostic workup
- Age: the biological age is more important than the chronological age; as a rule of thumb, an upper limit of 65 years applies in males, 55–60 years in women.
Preoperative examinations
Clinical examination
Extent of any ROM deficit, tendon instabilities, patella pain, patella maltracking, the hip (impaired mobility), the back and the foot (ruling out a flat foot that can be exacerbated by valgus angle correction of the leg axis), identification of leg length differences, foot pulses (must be present).
Radiological examinations
1. AP radiograph of the knee, lateral view and patella tangential in 30° and 60° flexion
2. PA radiograph of the knee with weight-bearing and 45° flexion (Rosenberg view)
3. Upright whole leg radiograph (patella centred, maximum extension). It is important that the patella is centred, external rotation of the knee increases the varus angle, internal rotation reduces it (the measurement error can be up to 2°). An extension deficit also distorts the alignment. If the patella has a lateral shift or is subluxated the rotation should be adjusted such that one third of the fibula head is covered by the tibia.
4. MRI of the knee, potentially to determine the retropatellar cartilage lesions.
5. In cases with clinically suspected torsion defect of the leg or a (sub)luxated patella in the tangential X-ray image we perform a rotation profile of the leg by CT.
Planning the operation
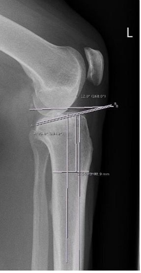
Preoperative deformity analysis in the frontal plane according to Paley [13]
Determination of weight bearing line (Mikulicz line), MPTA (medial proximal tibia angle), mLDFA (mechanical lateral distal femoral angle) and the mechanical varus angle are the 4 key parameters of analysis in the frontal plane (Fig. 1a). The joint line obliquity (JLO) and joint line congruence angle (JLCA) are used as extended parameters for the planning of a double level osteotomy (DLO) in varus deformities on the femur and the tibia as well as the bony correction angle in any varus thrust (Fig. 1b).


Praeoperative Deformitätenanalyse in Sagittalebene (Abb 1 c)
Preoperative deformity analysis in the sagittal plane
In the sagittal plane the tibial slope should be measured to exclude any deformity that should be corrected during osteotomy (Fig. 1 C)

Planning the extent of the correction in the frontal plane
The objective of a correction is the shift of the weight bearing line to lateral of the eminence in a tightly defined target range and simultaneous achievement of full knee extension.
Fujisawa [15] defined the ideal correction at around 35% lateral of the eminence for all grades of cartilage lesions (Fig. 1d).

We adjust the extent of the correction or the lateral shift of the weight line to the individual degree of cartilage lesions [14].
Grade 1−2 10−20%
Grade 3 20−25%
Grade 4 30−35%
With a medial open-wedge correction of the tibia, the MPTA angle should be no more than 94° after the correction, because otherwise the joint line obliquity (JLO) is more than plus 4°, which results in clinically relevant shear forces in the joint and to poorer clinical outcomes.
Cases of major correction (>10°) are almost always due to a combined deformity of femur and tibia. If the deformity is mainly on the femur, the correction must be performed at the femur. In around 10−15% of cases no acceptable joint line obliquity (JLO) can be achieved with only one correction on femur or tibia. In these cases a simultaneous double level osteotomy (DLO) correction on the femur (lateral closing wedge) and tibia (medial open wedge) should be performed [16−17].
Planning with calculation of the correction angle was performed according to Miniaci [18] (Fig. 1e). Planning can be performed either manually or using digital software. It is important when planning the bone correction angle that an abnormal joint line convergence angle (JLCA) (see Fig. 1b) is included in the planning (alpha angle minus JLCA >2°) because otherwise the osteotomy will result in an overcorrection to valgus deformity.

Surgical procedure
The surgery is performed in the supine position either under general or spinal anaesthesia. We administer tranexamic acid systemically and topically [19].
Before disinfection we label the centre of the femoral head and the centre of the ankle joint with the image intensifier (knee in neutral rotation and patella in the centre), draw the Mikulicz line on the knee with a rod and compare it with the preoperatively obtained whole leg radiograph. The whole leg is disinfected including the iliac crest (so that bone can be harvested later if necessary). For complex corrections we use computer-assisted navigation, which we would apply after the arthroscopy (Fig. 2).

Arthroscopy
We always perform an arthroscopy of the knee, in most cases without tourniquet, with evaluation of the 3 knee compartments, potentially with meniscus surgery. In arthritic knee joints we do not perform any further cartilage surgery (microfracture, mosaicplasty or autologous cartilage transplantation). Osteophytes of the notch and the eminence that impair full extension of the knee are removed. Clinically interfering osteophytes on the medial condyle margin are removed. The lateral meniscus should be intact. Lateral grade I–II cartilage lesions are accepted for osteotomy. In case of simultaneous ACL surgery we use the semitendinosus tendon graft and drill the appropriate channels before the osteotomy.
Access with preparation of an anterior pedicled periosteal flap for subsequent covering of the osteotomy gap
We usually do not use a tourniquet for osteotomy. The skin incision is a medial longitudinal incision, especially with a view to any subsequent revision surgery with knee replacement or if an arthrotomy for a cartilage procedure is required in the same session. Alternatively, an oblique incision can be made at the level of the pes anserinus.
Now the superior margin of the pes anserinus is exposed, then the anterior portion of the superficial medial collateral ligament and the tuberosity. We prepare (with the knife) a periosteal flap from the lateral side at the anterior margin of the medial collateral ligament, and superior margin of the pes anserinus up to the tuberosity. This periosteal flap is pedicled to the tuberosity and by incising it on the cranial portion it can be pivoted and be used to mostly cover the osteotomy site after the plate fixation (Fig. 3).

Distal release of the superficial medial collateral ligament
Subperiosteal release of the superficial medial collateral ligament at the tibal insertion is a central element to ensure that the pressure in the medial compartment does not increase with the subsequent opening of the osteotomy [20−21]. The periosteal elevator is used to go below to the superficial medial collateral ligament to the distal and dorsal side and to perform complete subperiosteal release [22] (Rule of thumb: there must be space for one finger width below the collateral ligament) (Fig. 4).

Insufficient release also has the consequence that the osteotomy opens less well on the dorsal side than on the ventral side, which will increase the slope. Thereafter, the periosteum is detached to the dorsal side with the angled periosteal elevator. Then a blunt Hohmann retractor is inserted on the dorsal tibia edge along the osteotomy site to protect the popliteal artery/vein and the tibial nerve.
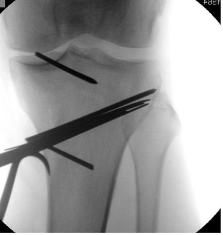
Determination of the osteotomy plane with 2 K-wires.
A first K-wire (3.0) is inserted under image intensifier monitoring from the dorsal superior margin of the pes anserinus to the superior margin of the tibiofibular joint. In order to be able to expose the tibiofibular joint, the knee is brought to 30° IR. The intraosseous length of the K-wire is measured at the same time.
A second K-wire (3.0) is positioned further anterior under image intensifier control so that the two wires are exactly superimposed. This requires that the lateral tibia plateau in the AP image only shows one line. Thus, the osteotomy plane matches the natural tibia slope in the lateral view (Fig. 5a). Thereafter, the length of the two wires is determined (ventrally usually about 10 mm shorter than dorsally).


Placement of parallel K-wires for intraoperative control of the tibial slope and rotation
Now a third K-wire (3.0) is introduced centrally in the proximal tibia with neutral rotation (patella in the center). At the same time, the knee should be flexed under image intensifier control so that the lateral tibia plateau appears as one line. This K-wire now has to appear in the image intensifier as a dot and is thus parallel to the tibial slope (Fig. 5 b).
After predrilling, a fourth K-wire (3.0) is inserted parallel to the third K-wire distal to the osteotomy surface on the anterior tibia (Fig. 5 b). Together with the third K-wire this fourth K-wire permits control of tibial slope and rotation change during the operation.



Procedure for (ascending) biplanar osteotomy
Now a blunt Hohmann retractor is placed dorsally directly on the bone, which displaces the critical structures (nerves, vessels and popliteal muscle) to the dorsal side and provides protection during the cutting. The knee is then positioned in 90° flexion. For the osteotomy we use three new and different saw blades. The first part of the osteotomy is performed with a short saw blade with markings (50 mm, 0.9 mm thickness) from medial below the K-wires (up to around 10 mm before the lateral cortex); this should be performed with continuous irrigation for cooling (Fig. 6a).

Thereafter, the anterior cortex is cut with the same saw blade (Fig. 6b). It is important that the dorsolateral cortex is completely divided (we use a second longer saw blade for this). With internal rotation of the tibia this can be presented well under image intensifier control. Due to the triangular form of the tibia the dorsal cut must be longer than the ventral one.

The ascending tuberosity osteotomy is performed with a thinner saw blade (50 mm, 0.7 mm thickness) in 90° flexion with an angle of around 110° to the horizontal and parallel to the ventral tibial edge (Fig. 6c). The thickness of the tuberosity fragment should be 1−2 cm. The tuberosity osteotomy must go through the lateral cortex to facilitate subsequent mobilization.



Distraction of the osteotomy (multi-chisel technique) and plastic deformation of the lateral hinge with the distractor
Introduction of a first chisel (20 mm size) below the K-wires. This is advanced under image intensifier control up to around 5 mm before the lateral cortex. The next chisel (20 mm size) is advanced below it, also up to around 5 mm from the cortex. Thereafter, a further chisel (25 mm size) is carefully advanced between these two chisels up to around 15 mm from the lateral cortex. The chisels should be introduced slowly (Fig. 7a).


This creates a plastic deformation of the hinge with controlled microfractures that taper parallel to the first two chisels. With larger corrections another 2−4 chisels can be introduced; each one is introduced a little less far than the previous ones. Thereafter we remove the two K-wires and the chisels. At this time in the operation the lateral hinge should still be sufficiently stable under image intensifier control and should not be shifted. However, if the osteotomy tools are advanced too far it can result in uncontrolled fractures of the hinge and even opening up or shifting of the osteotomy at the lateral hinge.
As the next step, an arthrodesis distractor is fully inserted dorsally and slowly distracted. We close and open the distractor carefully several times. This gives an indication of the elasticity of the osteotomy. If there is still a lot of resistance it can be either due to an insufficient release of the superficial medial collateral ligament or to an incomplete dorsolateral osteotomy. With an incomplete osteotomy the dorsolateral cortex can be further weakened with a rounded chisel under image intensifier control. The hinge should have good mobility but must be preserved.
Control of the correction in the frontal and sagittal plane
Now we position the knee in extension, support the heel with a roll. The knee should be fully extended. This is particularly important in knees with a preoperative extension deficit. Any extension deficit hast to be corrected during the operation. This is achieved by a reduction of the tibial slope by pushing the knee down in full extension by the assistant. We control the change of the tibial slope with the two anterior K-wires (Fig. 7b).


Due to the triangular form of the tibia the biplanar osteotomy is always opened about 30% more dorsally than anteriorly [25]. Now we measure the size of the correction on the central tibia edge and compare it against our plan (Fig. 7c).

Then the intraoperative Mikulicz line in full extension of the knee is documented under image intensifier control. The anterior K wires introduced at the start of the operation accurately show us any changes to the rotation and the slope (Fig. 7d). The use of computer-assisted navigation is helpful in complex two-dimensional corrections (Fig. 7e).



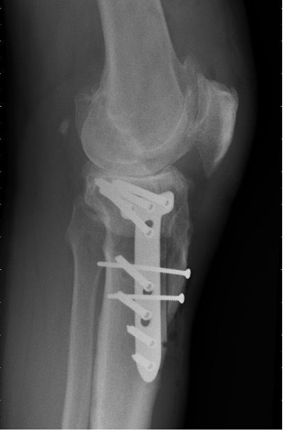
Osteosynthesis with locking plate and compression of the lateral hinge
For the osteosynthesis we use the Tomofix plate with locking screws (Depuy-Synthes). Now the Tomofix plate is fitted with distance spacers in positions D and 3 or 4 (Fig. 8a).


The plate should be positioned 1-2 cm below the joint line and as far dorsally possible at the proximal tibia. The plate is then fixed temporarily on the proximal side with a K-wire through one of the sleeves. The K-wire is advanced and the position versus the tibia plateau is checked in the image intensifier. The long arm of the plate should not overhang at the distal tibia shaft on the dorsal or anterior edge (= centred plate) (Fig. 8b)

Then the proximal three locking screws are attached (Fig. 8c); the screws should not be bicortical, because the perforation of the dorsal cortex bears the risk of injury to the dorsal vessels. The dorsal screw is the shortest one.
Now a tension screw is placed in combi hole 1 (below the osteotomy). On the one hand it can effect repositioning in case of distal tibia shift due to an instable lateral hinge, on the other hand this screw results in pretensioning of the plate with subsequent hinge compression (Fig. 8d).




With soft bone we fill the distal wholes with bicortical screws, otherwise long monocortical screws can also be used. Once the distance spacer is removed, a screw is placed in hole D. Finally, the tension screw in position 1 is replaced with a locking screw. As a rule, we do not fill the osteotomy gap with a bone graft. The osteotomy gap is now covered with the periosteal flap prepared at the start. However, this should not fold into the gap and should be tightened against the medial collateral ligament with sutures.
Checking the foot pulses
If a tourniquet was used, it should be now released and the foot pulses are checked. Attenuation or absence of any preoperatively present foot pulse can be a sign of vascular injury. At the same time, it must be checked whether there is any bleeding from dorsal vessels. Two drains without suction are installed (1 intraarticular and 1 above the osteotomy).
Follow-up treatment
Check for incipient compartment syndrome and check foot pulses over the first 12−24 hours. Mobilization with 20 kg weight bearing for 4 weeks, then transition to full weight bearing. In case of lateral hinge fracture partial weight bearing for 6−8 weeks. Consistent postoperative lymph drainage and radiographic monitoring. Thrombosis prophylaxis until full mobilization is achieved.
Discussion
The objective of valgus tibial plateau osteotomy in varus gonarthrosis is to perform an angle correction such that the Mikulicz line or the weight line is lateral of the eminence in the frontal plane and thus brings about easing of the strain on the medial compartment. The size of the correction in the frontal plane is adapted to the extent of the medial cartilage lesions. The tibial slope in the sagittal plane should not be changed. One exception is the reduction of the slope for correction of an extension deficit or in case of insufficient ACL.
Over- or undercorrection: The long-term outcomes are poorer in case of undercorrection in the frontal plane (persistence of the centred or medial weight line) [26−27]. In these cases, a revision can be performed with enlargement of the correction, or in the longer term, a uni- or bicondylar knee arthroplasty can be implanted if the revision fails prematurely. An overcorrection (postoperative Mikulicz line is lateral of the centre of the lateral tibia plateau) is an aesthetic problem on the one hand, on the other hand it is also associated with a significant change to the gait. It can also cause painful traction on the medial collateral ligament whilst walking. We discuss any early revision with correction with the patient if an overcorrection is confirmed in the postoperative radiograph and in a whole leg radiograph.
The preoperative planning to achieve a correct postoperative correction angle is very important, although this is subject to uncertainty factors: for example, a preoperative extension deficit or a rotation defect in the radiograph can be a significant source of error. In one of our studies [28] we investigated the impact of 15° external or internal rotation and the extension deficit on the mechanical axis in the whole leg radiograph. If there is no extension deficit, then the mechanical varus angle is 1−2° larger with 15° external rotation, 0−1° smaller with 15° internal rotation. If an extension deficit persists with 15° external rotation, the mechanical varus angle increases by 2−6°.
Despite careful preoperative planning of the osteotomy size the weight line must therefore be marked and checked during surgery with the image intensifier. The alternative is control via computer-assisted navigation, which has also been tried and tested in our hands.
Full knee extension is the second objective of the correction. A spontaneous improvement of the extension can sometimes already be seen during surgery after correction of the varus angle and complete release of the superficial medial collateral ligament On the other hand, the tibial slope can be reduced by 3−6° if there is any extension deficit; technically, the distractor must be fitted on the posterior edge. With the two anterior K-wires the slope change is easily visible and is then checked in the lateral image intensifier image with the long rod (attached laterally). In case of ACL insufficiency we also reduce the slope. However, we generally perform a simultaneous ACL plasty in osteotomies with concomitant ACL insufficiency.
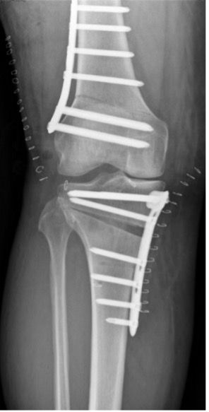
Although the medial open wedge and the lateral closing wedge tibial plateau osteotomies have comparable results in long term courses with correct postoperative alignment [11], the risk of injury to the peroneal nerve is lower in medial open-wedge tibial valgus osteotomy; moreover, it requires no fibula osteotomy and the fine adjustment of the correction angle is simpler [9]. We now perform a lateral closing wedge tibia osteotomy only in cases of a pre-existing leg length difference or a patella baja. However, biplanar descending osteotomy is an alternative in patella baja. There the osteotomy of the tuberosity is tapered towards the distal side and should be fixed with 2 screws (Fig. 9a).


One of the central questions is how far the proximal metaphyseal tibia angle may be changed, or how much joint line obliquity (JLO) can be tolerated. For Song [29], the limit of the MPTA is between 94 and 96°. Corrections with a greater angle have poorer long-term outcomes. However, Akamatsu [30] reports good short-term results in corrections of more than 95° MPTA. If the extent of the corrections is so large that the critical medial proximal tibia angle is exceeded (MPTA >94°) or there is already a JLO >4° during planning, then double osteotomy is the therapy of choice; we then correct the femur first (lateral closing wedge) and can then adjust the tibia correction somewhat (Fig. 9b).

Infections: A meta analysis of 26 studies [31] revealed 1−9% superficial wound infections and 0.5−4.7% deep infections. A further study [32] investigated longitudinal versus oblique access and found a significantly higher rate of infection with oblique access. We use a longitudinal access also with a view to any future revision, cover the osteotomy with the above-mentioned periosteal flap and attempt to reduce the risk of postoperative haemorrhage to a minimum with administration of intravenous and topical tranexamic acid, closed-suction drainage and additional careful wound closure with simple interrupted sutures. In cases of late infection in healed osteotomy, the plate can be removed, cleaned up and antibiotic therapy. In case of early infection we attempt cleaning, debridement whilst leaving the plate in situ and antibiotic therapy; alternatively, we fit an external fixator. Early detection of any infection is similar to knee arthroplasty, which is why we perform continuous early monitoring of the CRP values (they should reduce from Day 5 post surgery and be normal after 14−21 days). If there is an early increase of the CRP value, infection is suspected and we perform any puncture under sterile conditions in the area of the osteotomy.
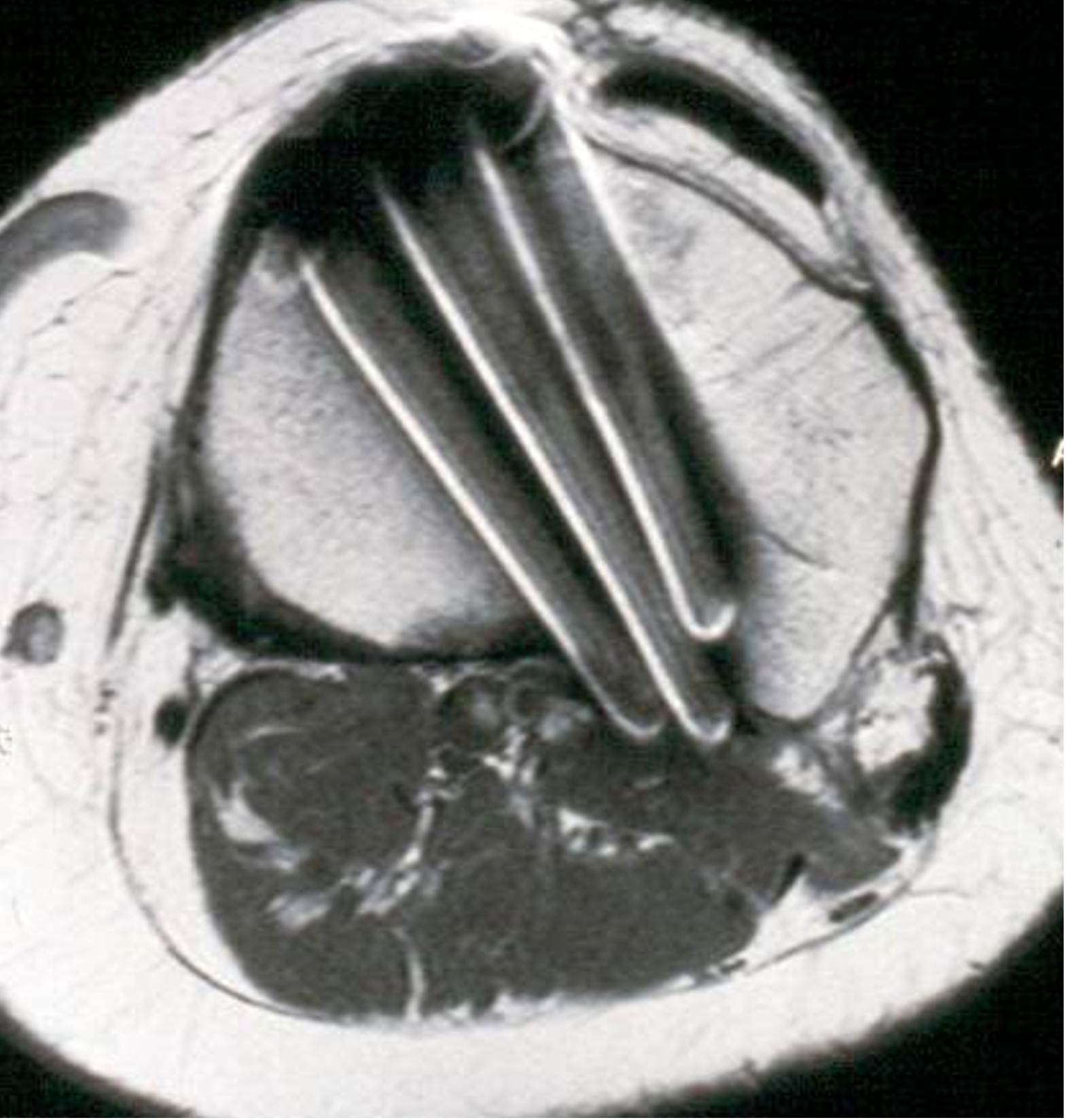
Arterial vascular complications: Klecker [33] reported in an MRI-based study of 1116 knee MRIs a 2.1% incidence of a high branching of the anterior tibial artery before the popliteal muscle with direct proximity to the posterior cortex of the lateral tibia (Fig. 10).

To prevent damage in these cases it is necessary to introduce a Hohman retractor or a special retractor under image intensifier control during the operation directly on the posterior bone along the osteotomy plane up to the lateral edge. Damage to the anterior tibial artery can cause a pseudoaneurysm and this might manifest as attenuation or absence of the dorsal pedal artery pulse. Therefore, preoperative and postoperative monitoring of the dorsal pedal artery pulse is very important.
The incidence of thromboembolic events is around 2−5% [34, 35] In a venographic study [35] the incidence was as high as 41% although only 15% were clinically manifest, which shows that postoperative thrombosis prophylaxis is useful even for a longer period. We perform drug-based thrombosis prophylaxis combined with support stockings until the patient is safely and fully mobilized.
According to Tunggal et al [34] compartment syndrome is a very rare complication (0.9%). Therefore, monitoring should be performed post surgery for at least the first 12−16 hours.
Hinge fractures on the lateral cortex are classified according to Takeuchi [36] (Fig. 11).

The Type I fracture is at the level of the tibiofibular joint and can be easily stabilized by use of the plate fixator. The Type II fracture reaches the distal portion of the tibiofibular joint and can result in instability and overcorrection [37]. The Mikulicz line should be checked again during surgery and the osteotomy reverse corrected if necessary; in our experience, stabilization with a plate fixator combined with a somewhat prolonged partial weight bearing of 6−8 weeks is also sufficient for recovery. Type III fractures reach the proximal portion and can result in intraarticular step formation. These can be treated with a lateral screw osteosynthesis under arthroscopic control [37]. Type II and III fractures can be largely prevented in our opinion with the multi-chisel technique, where two chisels are advanced in parallel almost to the cortex, with a third one then causing a controlled weakening or even opening of the medial hinge.
Empirical results
The table shows our long term results following medial opening wedge tibial valgus osteotomy with locking plate [4]
- n = 92
- Follow-up period 2000−2002
- Mean age 50 years (18−75 years)
- Correction angle 9.2 ± 3.41 (2°−20°)
- All 92 healed (2 with delayed bone fusion in strong smokers)
- No loss of correction
- Full weight bearing after 10 weeks
- Full mobility after 12 weeks
- Pain: VAS 4 pre surgery 2 post surgery
- 3 reoperations (total knee replacement)
conclusion
Medial open-wedge biplanar tibial valgus osteotomy is an important standard intervention in joint-sparing knee surgery. Good patient selection, detailed planning and careful surgical procedures with intraoperative control of the correction in the frontal plane and sagittal plane are the central elements of this method. The rate of complications can be reduced to a reasonable level with the described surgical technique. Additional interventions to the cartilage and anterior cruciate ligament are easily possible.
References
[1] Sharma L, Chmiel JS, Almagor O, Felson D, Guermazi A, Roemer F et al. The role of varus and valgus alignment in the initial development of knee cartilage damage by MRI: the MOST study. Ann Rheum Dis 2013 Feb;72(2):235-40. doi: 10.1136/annrheumdis-2011-201070.
[2] Cerejo R, Dunlop DD, Cahue S, Channin D, Song J, Sharma L. The influence of alignment on risk of knee osteoarthritis progression according to baseline stage of disease. Arthritis Rheum 2002 Oct;46(10):2632-6. doi: 10.1002/art.10530.
[3] Brouwer GM, van Tol AW, Bergink AP, et al. Association between valgus and varus alignment and the development and progression of radiographic osteoarthritis of the knee. Arthritis Rheum. 2007 Apr;56(4):1204-11. doi: 10.1002/art.22515.
[4] Staubli AE, De Simoni C, Bapst R, Lobenhoffer P. TomoFix: a new LCP-concept for open-wedge osteotomy of the medial proximal tibia – early results in 92 cases. Injury 2003 Nov;34 Suppl 2:B55-62. doi: 10.1016/j.injury.2003.09.025.
[5] Staubli AE, Jacob HAC. Evolution of open-wedge high-tibial osteotomy: experience with a special angular stable device for internal fixation without interposition material. Int Orthop. 2010 Feb;34(2):167-72. doi: 10.1007/s00264-009-0902-2.
[6] Lobenhoffer P, Agneskirchner J. Improvements in surgical technique of valgus high tibial osteotomy. Knee Surg Sports Traumatol Arthrosc 2003 (11): 132–138
[7] Agneskircher J, Hurschler C, Strukenborg-Colsman C et al. Primary stability of opening wedge high tibial osteotomy. Knee Surg Sports Traumatol Arthrosc. 2006 Mar;14(3):291-300. doi: 10.1007/s00167-005-0690-1.
[8] Hofmann, S., Lobenhoffer, P., Staubli, A. et al. (2009) Osteotomien am Kniegelenk bei Monokompartmentarthrose. Orthopäde 38, 755–770. https://doi.org/10.1007/s00132-009-1458-y
[9] Lobenhoffer P, van Heerwaarden RJ, Staubli AE, Jakob RP, (2009) Osteotomies around the Knee: Indications – Planning – Surgical tecniques using Plate Fixators. Thieme Verlag
[10] Floerkemeier S, Staubli AE, Schroeter S et al. Outcome after high tibial open wedge osteotomy: a retrospective evaluation of 533 patients. Knee Surg Sports Traumatol Arthrosc. 2013 Jan;21(1):170-80. doi: 10.1007/s00167-012-2087-2.
[11] Ollivier B, Berger P, Depuydt C, Vandenneucker H. Good long-term survival and patient reported outcomes after high tibial osteotomy for medial compartment osteoarthritis. Knee Surg Sports Traumatol Arthrosc. 2020 Sep 9. doi: 10.1007/s00167-020-06262-4.
[12] Outerbridge RE. The etiology of chondromalacia patellae. J Bone Joint Surg Br. 1961;43:752–757.
[13] Paley D, Herzenberg JE, Tetsworth K, McKie J, Bhave A. Deformity planning for frontal and sagittal plane corrective osteotomies. Orthop Clin North Am. 1994 Jul;25(3):425-65
[14] Jakob RP, Murphy SB. Tibial osteotomy for varus gonarthrosis: indication, planning, and operative technique. Instr Course Lect. 1992;41:87-93
[15] Fujisawa Y, Masuhara K, Shiomi S. The effect of high tibial osteotomy on osteoarthritis of the knee. An arthroscopic study of 54 knee joints. Orthop ClinNorth Am. 1979;10(3):585–608
[16] Nakayama H, Iseki T, Kanto R, Kambara S, Kanto M, Yoshiya S, Schröter S (2018) Physiologic knee joint alignment and orientation can be restored by the minimally invasive double level osteotomy for osteoarthritic knees with severe varus deformity. Knee Surg Sports Traumatol Arthrosc 2020 Mar;28(3):742-750. doi: 10.1007/s00167-018-5103-3
[17] Schroter S, Nakayama H, Yoshiya S, Stockle U, Ateschrang A, Gruhn J. Development of the double level osteotomy in severe varus osteoarthritis showed good outcome by preventing oblique joint line. Arch Orthop Trauma Surg. 2019 Apr;139(4):519-527. doi: 10.1007/s00402-018-3068-9
[18] Miniaci A, Ballmer FT, Ballmer PM, Jakob RP. Proximal tibial osteotomy. A new fixation device. Clin Orthop Relat Res. 1989 Sep;(246):250-9.
[19] Kang-Il K, Hwan JK, Gi BK , Seong HB. Tranexamic acid is effective for blood management in open-wedge high tibial osteotomy. Orthop Traumatol Surg Res. 2018 Nov;104(7):1003-1007. doi: 10.1016/j.otsr.2018.07.019
[20] Agneskirchner JD , Hurschler C,. Wrann C, D.V.M.,Lobenhoffer P. The Effects of Valgus Medial Opening Wedge High Tibial Osteotomy on Articular Cartilage Pressure of the Knee: A Biomechanical Study Arthroscopy: The Journal of Arthroscopic and Related Surgery. Arthroscopy. 2007 Aug;23(8):852-61. doi: 10.1016/j.arthro.2007.05.018
[21] Pape D, Duchow J, Rump S et al. Partial release of the superficial medial collateral ligament for open-wedge high tibial osteotomy. A human cadaver study evaluating medial joint opening by stress radiography. Knee Surg Sports Traumatol Arthrosc 2006 Feb;14(2):141-8.doi: 10.1007/s00167-005-0649-2
[22] LaPrade RF, Engebretsen AH, Ly TV, Johansen S, Wentorf FA, Engebretsen L. The Anatomy of the Medial Part of the Knee. J Bone Joint Surg Am. 2007 Sep;89(9):2000-10. doi: 10.2106/JBJS.F.01176.
[23] Krause M, Drenck TC, Korthaus A, Preiss A, Frosch KH, Akoto R. Patella height is not altered by descending medial open-wedge high tibial osteotomy (HTO) compared to ascending HTO. Knee Surg Sports Traumatol Arthrosc. 2017;26(6):1859–1866 25.
[24] Gaasbeek RD, Sonneveld H, van Heervaarden RJ et al. Distal tuberosity osteotomy in open wedge high tibial osteotomy can prevent patella infera; a new technique. Knee. 2004 Dec;11(6):457-61. doi: 10.1016/j.knee.2004.02.002
[25] Noyes FR, Goebel SX, West J. Opening wedge tibial osteotomy: the 3-triangle method to correct axial alignment and tibial slope. Am J Sports Med. 2005 Mar;33(3):378-87. doi: 10.1177/0363546504269034.
[26] Smith TO, Sexton D, Mitchell P, Hing CB. Opening- or closing-wedged high tibial osteotomy: a meta-analysis of clinical and radiological outcomes. Knee. 2011 Dec;18(6):361-8. doi: 10.1016/j.knee.2010.10.001
[27] Hernigou PH, Medeville D, Debeyre J, Goutallier D. Proximal tibial osteotomy fpr osteoarthritis with varus deformity: A Ten to thirteen-year followup study. J Bone Joint Surg 1987;69(3):332-54
[28] Henkel T, Jakob R, Gerber C. (1997) Valgisierende Tibiakopfosteotomie; Qualität der der kurz-und mittelfristigen Achsenkorrektur einer modifizierten Tibiakopfosteotomie zur Behandlung der medialen Gonarthrose. Inauguraldissertation Universität Zürich.
[29] Song JH, Bin SI, Kim JM, Lee BS. What is an acceptable limit of joint-line obliquity after medial open wedge high tibial osteotomy? Analysis based on midterm results. Am J Sports Med. 2020 Oct;48(12):3028-3035. doi: 10.1177/0363546520949552.
[30] Akamatsu Y, Kumagai K, Kobayashi H, Tsuji M, Saito T. Effect of increased coronal inclination of the tibial plateau after opening wedge high tibial osteotomy. Arthroscopy. 2018 Jul;34(7):2158-2169. doi: 10.1016/j.arthro.2018.01.055
[31] Anagnostakos K, Mosser P, Kohn D, Infections after high tibial osteotomy. Knee Surg Sports Traumatol Arthrosc 2013;21:161-169, doi: 10.1007/s00167-012-2084-5
[32] Reischl N, Wahl P,Jacobi, M,Clerc S, Gautier E, Jakob RP. Infections after high tibial open wedge osteotomy: a case control study. Arch Orthop Trauma Surg 2009;129:1483-1487, doi:10.1007/s00402-008-0773-9
[33] Klecker RJ, Winalski CS, Allabadi P, Minas T. The aberrant anterior tibial artery: magentic resonance appearance, and surgical implications. Am J Sports Med. 2008 Apr;36(4):720-7. doi: 10.1177/0363546507311595
[34] Tunggal JAW, Higgins GA, Waddel JP; Complications of closing wedge high tibial osteotomy. International Orthopaedics 2010; 34:255-261, doi 10,1007/s00264-009-0819-9
[35] Turner RS, Griffiths H, Heately FW, The incidence ode deep-vein thrombosis after upper tibial osteotomy. A venographic study. J Bone Joint Surg Br 1993;75(6):942-4, doi: 10.1302/0301-620X.75B6.8245088
[36] Takeuchi R, Ishikawa H, Kumagai K et al. Fractures around the lateral cortical hinge after a medial opening-wedge high tibial osteotomy: a new classification of lateral hinge fracture. Comparative Study. Arthroscopy. 2012 Jan;28(1):85-94. doi: 10.1016/j.arthro.2011.06.034.
[37] Pape D, Adam F, Rupp S, Seil R, Kohn D, Stability, bone healing and loss of correction after valgus realignement of the tibial head. A roentgen stereometry analysis. Orthopade 2004;33(2):208-17, doi: 10.1007/s00132-003-0591-2