Practical approach to modern cartilage repair combined with realignment osteotomy of the knee joint
Background: Realignment osteotomies are established procedures for treating unicompartmental knee osteoarthritis and focal cartilage injuries. However, persistent mechanical malalignment frequently compromises the success of cartilage restoration. Addressing the load-bearing axis is essential when treating deep-seated defects to prevent graft overload and subsequent failure.
Objective: This article reviews the clinical indications, surgical planning, and technical execution of combining various cartilage repair techniques with realignment osteotomies in patients presenting with concomitant bony deformities.
Key Points: Preoperative assessment requires comprehensive radiographic deformity analysis, including weight-bearing long-leg films to evaluate the mechanical axis. For defects smaller than 1.5 cm², microfracture or osteochondral transfer are viable options. Matrix-augmented bone marrow stimulation (M-BMS) serves as a single-stage alternative for medium-sized defects. Matrix-associated autologous chondrocyte transplantation (M-ACT) remains the gold standard for defects exceeding 2.5 cm², although it necessitates a two-stage approach and higher costs. Emerging techniques like autologous minced cartilage offer single-stage biological restoration but require further comparative evidence. Surgical sequencing typically involves performing the osteotomy first to ensure a stable mechanical environment before graft implantation. Postoperative protocols generally mandate six weeks of restricted weight-bearing to protect the regenerative tissue.
Conclusion: Integrating realignment osteotomy with cartilage repair provides a comprehensive approach to unicompartmental pathology. Success depends on precise axis correction—typically indicated for malalignment exceeding 3°—and selecting a restoration procedure tailored to the specific ICRS grade and defect dimensions.
Introduction
Realignment osteotomies are reliable procedures that have been tried and tested for decades for the treatment of isolated focal cartilage injuries, unicompartmental OA of the femorotibial joint and, in rarer cases, for the femoropatellar joint also. In practice, most realignments osteotomies are performed for the treatment of knee OA with degenerative, poorly defined and extensive cartilage damage. In these cases, unloading of the affected knee joint compartment is the primary surgical procedure and is usually combined with an arthroscopic resection of the meniscus which is almost always also affected and smoothing or debridement of the damaged cartilage areas. For extensive fourth-degree cartilage damage, a careful chondroplasty might be performed, which is not suitable for focal special cartilage restoration procedures. Very good results can be achieved with this combined technique for knees with OA after an appropriate deformity analysis of the leg axis and precise surgery technique. [1]
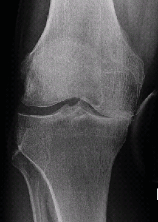
Defined, deep-seated cartilage defects should be treated with various cartilage restoration procedures. Also for these cartilage repair techniques the key for successful treatment is the as-sessment of the load-bearing axis of the leg. If there is malalignment causing stress for the defect this must be corrected before or during the cartilage restoration surgery (Fig 1).

Ongoing over-loading of the affected compartment essentially affects the success of any cartilage repair sur-gery. Cartilage repair procedures of the patellofemoral joint are also common in practice. Malalignment of the extensor mechanism represents the usual cause for the cartilage damage, which can be treated in more complex cases with bone correction in the axial plane and patella surgery to stabilize the soft tissue. In combined cartilage damage of the patellofemoral and femorotibial joint it is possible to influence the resulting patella height with the choice of the osteotomy cut. For example, in case of varus deformity and additional patellofemoral cartilage damage, a high tibial osteotomy (HTO) procedure with a descending tuberosity cut can reduce the mechani-cal pressure on the femoropatellar joint. This is also recommended in already existing patella baja or large corrections to prevent the risk of developing patella baja. [24]
The following article shall illustrate the practical aspects for cartilage repair therapy of the knee joint in combination with realignment osteotomy for knees with bony deformities.
Indication
The indication for the treatment of deep-seated defined cartilage defects in combination with realignment osteotomies follows the guidelines of the respective expert associations. The main criteria are the depth of the damage and extent of the size of the defect based on the ICRS classifi-cation (Fig 2).

Whether asymptomatic defects also require treatment is also subject to controver-sial debate. General factors such as age, weight, stress at work and patient expectation for physical and general performance must be carefully evaluated. Intensive running training and contact sports are not recommended following cartilage restoration therapy as constant heavy lifting at work or at home.
The old adage “hyaline cartilage does not repair” continues to hold true and should be communicated to patients, despite all modern cartilage restoration procedures. Whilst all surgery tech-niques including the latest generation of modern autologous chondrocyte transplantation (ACT) allows replacing the cartilage defect with a similar, histologically high-quality (hyaline-like) structure, this transplant is not identical to natural cartilage (Fig 3).

Limitations of joint regeneration during scheduled cartilage surgery, for example by recurrent inflammatory exacerbation of the joint environment should be evaluated when defining the indication. Ultimately, further causes of the cartilage damage should be identified in addition to the malalignment. Thus, the ligament stability and the consistency of the meniscus tissue must also be documented. Major instabilities must be included in the treatment algorithm and may need to be corrected. This happens either by changing the joint kinematics in the context of the alignment correction (e.g. slope correction with the common anterior or, more rarely, with posterior cruciate ligament insufficiency) or with appropriate ligament replacement surgery.
The correction of commonly occurring medial meniscus posterior horn root insufficiency and secondary medial meniscus extrusion with varus stress of the medial joint compartment should be included in this concept. Modern techniques combine all-inside sutures or transosseous inside out sutures for the root lesion with the osteotomy to correct malalignment. Whilst meniscus repair is normally possible with this method, an improvement of the clinical outcomes compared to axis correction alone without meniscus treatment has not been proven to date [22, 23].
Overview of current cartilage repair procedures
In general, we need to differentiate between purely chondral defect constellations and those that also affect the subchondral bone. There is consensus that debridement or smoothing for focal cartilage defect (ICRS type 2−3) facilitate neither regeneration nor healing of the cartilage defect. Debridement should therefore be performed only in mechanically interfering cartilage defects with major delamination [16].
Microfracture surgery (Mfx)
For purely chondral focal defects affecting the full layer (ICRS type 3−4), microfracture surgery (Mfx) still constitutes the most commonly performed surgical procedure [4], because it is fast, technically simple and cheap to perform. However, Mfx is increasingly losing its significance in the treatment of larger defects, because the produced fibrous cartilage appears to be inferior to more expensive procedures, probably due to its histological structure. [4, 15, 19]. Compared to Mfx, more complex cartilage repair procedures such as matrix-associated bone marrow stimulation (M-BMS) and matrix-associated autologous chondrocyte transplantation (M-ACT) feature a lower reoperation rate [8] [6] better clinical scores, longer survival time and higher histological quality [15]. They can be used both for chondral and osteochondral defects. According to the extensive study data evidence, microfracture surgery (Mfx) is no longer recommended for focal defects greater size of about 2 cm2 [3].
Matrix Bone Marrow Stimulation (M-BMS)
These techniques are benefitting from highest clinical attention to facilitate comparable high-quality results compared to M-ACT. M-BMES needs only single-stage surgery methods with simple availability, shortened rehabilitation time, low implant costs and a comparably certain cost acceptance by the insurance funders. For cartilage defects from a medium extent of about 2.5 cm2 the M-BMS procedures have been established as single-stage procedures in the past few years. Whilst scientific evidence was still limited a few years ago general recommendation could not be made for the M-BMS technique. Whilst Stein-wachs et al. were not able to issue a recommendation in 2014 for the Autologous Matrix-Induced Chondrogenesis (AMIC) procedure [9], the study data was suf-ficient in 2019 for the same authors to recommend this technique [10]. The superiority of the AMIC procedure using the Chondro-Gide® membrane (Geistlich) compared to micro-fracture surgery was proven in a multi-centre study [8] (Fig 4).

The growing study data provides now sufficient evidence for the superiority of M-BMS compared to Mfx surgery (also due to the pressure caused by non-availability of M-ACT). This recommendation was also included in the 2018 consensus paper of the cartilage therapy working group of the DKOU (German Conference for Orthopaedics and Trauma Surgery) [17] (Fig 5). This consensus paper also listed and compared the various new biomaterials of the M-BMS procedures.

The M-BMS techniques results in some benefits for the surgical procedure:
unlike M-ACT, the available biomaterials (scaffolds) of M-BMS are not subject to any regulatory control.
good evidence for defects of varying size
simple availability of the implant, even in unplanned cases
significantly lower implant costs
single-stage procedure with shorter rehabilitation time
Matrix-associated autologous chondrocyte transplantation (M-ACT)
In practice, M-ACT, as a two-stage procedure, involves a higher logistical effort compared to the single-stage procedures (Mfx, M-BMS). Further the fact that the M-ACT procedure incurs considerable costs for the hospital and the health insurance companies medical service subjects the indication criteria to a detailed analysis. Minor deficiencies in the documentation and definition of the indication easily result in non-reimbursement of the bill or require extensive written expert opinions. It is not uncommon that they are unsuccessful, causing problems in clinical practice.
For these economic reasons, some hospitals already no longer offer M-ACT. Whilst the use of M-ACT results in very high-quality cartilage replacement tissue the rehabilitation time and the cultivation time of the product is 4−8 weeks longer, depending on the supplier. In addition, two operations need to be performed. In Germany, product lines by co.don AG and Tetec AG are currently available, and they are recommended based on good study data. There is an European Marketing Authorization available also for Spherox® (co.don AG). M-ACT and the various biomaterials of M-BMS are the gold standard for defects from a size of 2.5 cm2. For larger defects still M-ACT is superior to M-BMS and is therefore recommended by the cartilage therapy working group of the DGOU (Fig 5). Both methods can be used for purely chondral and osteochondral defects. Defects of the deeper bone can be augmented in both methods with autologous spongiosa or corticospongious chips from the tibial head or iliac crest.

Osteochondral transfer (OCT)
With this technique autologous transplantation of the subchondral bone can be performed together with the cartilage. This procedure can be used both with small, purely chondral defects and with additional damage to the subchondral bone. On the one hand, the harvest site of the bone cylinder remains a problem, on the other hand, good long-term results are limited to a defect area of no more than 1.5 cm2. With larger defects OCT appears to be inferior to M-ACT in terms of service life and clinical scores [20, 21].
Autologous chondrocyte chips (Minced Cartilage - MC)
The “minced” procedure has currently gained more attention, although the technique is not new. However, the study data is still poor compared to the listed established procedures. It is of great clinical interest and can be performed as a single-stage procedure, similar to M-BMS. The biological principle is completely different and achieves activation and growth of the harvested chondrocytes in the defect. The activity of the harvested chondrocytes is stimulated by mincing the initially collected cartilage segments and the cells are then reimplanted in the defect in a single-stage procedure. Compared to the established procedures Mfx, M-BMS and M-ACT, this technique still requires clarification of a large number of questions about the optimum defect size, histological tissue quality, best practical technique and combination with other procedures. First scientific studies on 2-year results are available which can demonstrate a clinical improvement versus baseline with the “minced” technique [13, 14]. However, the evidence is still insufficient, especially for comparative studies on the medium- and long-term outcomes with the established procedures of M-BMS and M-ACT.
Practical planning of cartilage repair combined with osteotomy
The treatment of unicompartmental bone damage requires accurate axis and stress analysis of the knee joint. Malalignment stresses the compartment, with relevant overload of the repair that requires correction. In our hospital we recommended the patients correction of the leg axis with >3° of malalignment in combination with cartilage repair surgery. Overall, axis realignment is the most common additive surgical measure for cartilage repair surgery [11].
An exact clinical examination of the joint kinetics is a mandatory prerequisite for successful treatment of any unicompartmental defect of the knee joint. Not every young varus patient re-quires realignment and not every elderly patient a partial or complete joint replacement. It is im-portant to identify the predominant malalignment parameters (intraarticular versus extraarticular). A varus malalignment when standing does not mean we indiscriminately accept that this is a bony deformity.
Radiographic analysis requires a weight-bearing full leg and lateral knee joint x-ray and a standard axial image of the patella. In addition, the extent of the narrowing of the joint space in the affected joint compartment should be assessed with a Rosenberg view (p.a. radiograph with weight-bearing and 45 degrees of flexion) or stress x-rays with varus/valgus stress. Since large numbers of unicondylar knee replacements are performed in our hospital, stress radiographs are standard for any unicompartmental OA requiring surgical treatment. The extent of the joint collapse and the stability of the joint can be diagnosed by these radiographs (Fig. 6, 7).


The deformity analysis of the full radiograph with the relevant measurements according to Dror-Paley (weight bearing line, mechanical axis, LDFA and MPTA) as well as the assessment of the joint line obliquity (JLO) and joint line convergence angle (JLCA) are of central importance. The planning for realignment osteotomy is standardized with an appropriate digital planning tool (e.g. mediCAD®). (Fig. 8)

An osteotomy will be revised with a total knee arthroplasty (TKA) after a mean service life of around 10−12 years. It can be technically very difficult to get a well-balanced TKA in a leg that has been overcorrected beyond the useful limits with any associated ligament mismatch or pathological jointline orientation [12] (Fig. 9).

For this reason, any overcorrection > 35% of the lateral tibia plateau (Fujisawa point) should be avoided and tighter correction limits for the joint line orientation (JLO) have emerged by now for the planning of axis correction. In practice this means that a correction of a high tibial osteotomy should not exceed the medial proximal tibial angle (MPTA) of 94°. In around 15% of cases a double level osteotomy is required to achieve this objective. A correctly indicated combination of cartilage repair and axis correction achieves good to very good results compared to the individual measures alone.
Surgical technique Tips & Tricks
A purely arthroscopic procedure is of course always desirable and is also promoted by the individual suppliers as well as in lecture series. However, in our opinion there should be no compromise in the preparation of defects and cartilage treatment. The principle “quality wins over scar length” means that the procedure should be swiftly converted to a mini-open arthrotomy, if sufficient arthroscopic visualization cannot be achieved in a relatively short space of time. Ultimately, the surgery time is shorter in most cases and the outcome equivalent, if not better, compared to a pure arthroscopy procedure. (Fig. 10)

Mfx is not a major challenge for the surgery sequence and can be performed with the initial arthroscopy and the osteotomy can follow thereafter. If an M-BMS or the minced procedure is selected, the osteotomy is performed first following arthroscopic confirmation of the indication with the chondrocyte procedure as the final step. This avoids manipulation of the knee joint after implantation of the scaffolds or chondrocytes. If an M-ACT is required, we recommend that the main interventions of chondrocyte implantation and axis correction are spread over the two surgery stages, especially in view of the high implant costs. In this way cost acceptance by the insurance company that is matched to the expenditure can be achieved. The first operation includes the diagnostic arthroscopy, chondrocyte harvesting and the realignment osteotomy. The definitive M-ACT implantation is then performed during the second operation. A redon drain is inserted only with the Mfx technique and is not recommended in other procedures in order not to jeopardize the cell or membrane implantation.
Microfracture surgery (Mfx)
It can be performed quickly, without complications, cheap and with surgery instruments that are available at any time (Fig. 11).

In practice, care must be taken to clean up the subchondral calcifying layer without grossly damaging the subchondral lamella (Fig. 12).

If possible, the use of finer grade reamers called “nano fracturing”, (Fig. 13) or low-speed microdrilling (Fig. 14) with K-wires (1.0−1.6 mm) should be favoured.


The common larger chondro picks tend to result in confluent fine subchondral fractures and increase the risk of intralesional osteophyte formation (Fig. 15) and subchondral cyst formation.

Osteochondral transfer (OCT)
The OCT cylinder should line the defect without steps. It is therefore advisable to subject the surface finish of the defect to be treated and the depth of its size to an exact assessment before harvesting the donor cylinder. In practice, the surface curvature of the transplant can no longer be changed after harvesting. Furthermore, a cylinder that has been harvested too short also makes reconstruction more difficult. There are several hollow punches or burrs available for harvesting, ideally with finely graded depth and rotation markers. However, the defect size to be repaired should be limited to a maximum size of 1.5 cm2 and designed for no more than two OCT cylinders bearing in mind the resulting harvesting defects. (Fig. 16). In easily accessible areas the respective punches can be used to potentially treat the defect by arthroscopy or via mini-open arthrotomy (Fig. 17).


Matrix-augmented bone marrow stimulation (M-BMS)
The initial “treatment gap” for defect sizes between Mfx and M-ACT has been closed by now with the use of M-BMS scaffolds. Various biomaterials are available (Fig. 18, 19) [17].


The AMIC procedure has been used in our hospital for many years. In general, a diagnostic arthroscopy is performed first with treatment of the comorbidities (meniscus, arthrolysis, etc.). The indication is verified and documented. Then the osteotomy is performed. For the cartilage treatment the knee joint has previously been subjected to a short arthrotomy as a standard treatment. By now, arthroscopy instruments are available for some biomaterials. During preparation, the defect is stabilized at the margins or punched by arthroscopy and the base of the defect is debrided in stages and the subchondral layer is cleaned up. At this point, inferior subchondral bone can still be additively augmented with autologous spongiosa. During an osteotomy the spongiosa specimen can be harvested without problems from the osteotomy gap. After preparing the base of the defect, the size of the defect is measured via a foil template, transferred to the membrane and cut to size. In case of purely chondral defects, the subchondral holes are now drilled (Mfx or micro-drilling). The membrane is then inserted to the defect with the rough side and fixed either with fibrin glue or circular with fine (6-0) PDS sutures. (Fig. 21, 22).



In the arthroscopy procedure the defect is cut out via a hollow punch, the microdrilling is performed with K-wires via an arthroscopy sleeve guide and the membrane is glued in via the trocar (Fig 23 a−c and 24). Finally, the joint is moved through its entire range and the stability of the scaffold is verified.


Matrix-associated autologous chondrocyte transplantation (M-ACT)
For the M-ACT it is recommended in clinical practice to compile the consent forms and any reporting to the chondrocyte registry in advance and to arrange the harvesting and implant dates with the patient directly according to the cell expansion time. During the first procedure an arthroscopy is performed to confirm the indication and the defect is debrided thoroughly (Fig. 25).

Chondrocyte harvesting is performed after careful defect documentation. The cells can be cultivated in gel form, membrane associated for suture fixation or as spheroids. Depending on the system, cartilage biopsies are harvested for cell cultivation (e.g. 2−3 small cylinders), usually from the cranial notch (Fig. 26). The biopsy cylinders are sent for cultivation. This is followed by the realignment osteotomy in the same session.

The chondrocyte implant is implanted in a second procedure according to the matrix used. When using gel-like matrix or spheroids, the substrate can usually be reinserted by arthroscopy without problems. Draining of the arthroscopy water is usually sufficient for defects in the femorotibial area. In case of poorly accessible defects (dorsal condyles/retropatellar) the option of using CO2 gas from general surgery can be considered to better visualize the defect. The matrix forms a gel within a few minutes, has a moderate haemostatic effect and remains within the defect after moving the joint through its full range. Performing the necessary defect debridement during the first stage has proven successful, because further extensive manipulation of the base of the defect can result in increased subchondral haemorrhage and poorer view. If inferior subchondral bone has to be constructed, then this is augmented prior to the M-ACT implantation by autologous spongiosa or corticospongious chips. The chondrocyte implantation can of course also be per-formed via a mini-open arthrotomy. The application sequence is identical (Fig. series 27).

Autologous chondrocyte chips (Minced Cartilage - MC)
The defect size is documented via an arthroscopy, as with all previous procedures. The chondrocytes can also be harvested by arthroscopy with a collection container fitted between the shaver attachment. It is currently being discussed whether this results in undesirable excessive damage to the chondrocytes. To circumvent this, the cartilage fragments can also be collected in an open procedure and manually chopped with the scalpel. Well preserved cartilage fragments from the defect and non-weight bearing points (i.e. notch roof) are suitable harvest sites (Fig. 28, 29). In particular, it must be ensured during the arthroscopy procedure that only well-preserved cartilage tissue is harvested and not contaminated by other soft tissue (Synovia, Hoffa etc.).


The harvested paste-like chondrocyte mass can be enriched with platelet rich plasma (PRP) or platelet rich fibrin (PRF) (Fig. 30), which is centrifuged from the patient’s whole blood during the surgery (Fig. series 31).


The produced cell mixture is then introduced into the defect and stabilised with fibrin glue (Fig 33). In addition, the product can be secured by a membrane against shear forces, as in the AMIC procedure and stabilized with fibrin glue or sutures. In the current trial phase further different combinations of the “minced” technique are being tested, although microfracture surgery or microdrilling may also be additionally performed.

Postoperative follow-up treatment
The follow-up treatment is guided by the technique of the respective cartilage operation. 6 weeks of non-load bearing with forearm crutches with maximum partial weight bearing of 5 kg are pre-scribed for the femorotibial joint. The osteotomy treatment is thus fully covered with the use of present-day locking implants. Functional non-splint follow-up treatment can be performed for the joint function and osteotomy. Mobility is usually achieved early and without problems and requires no further restrictions. Depending on the location, functional orthotic devices can be useful for the cartilage treatment, to release the flexion in stages. Strict flexion limitations after the cartilage treatment are not mandatory for the femorotibial joint. In case of abnormal findings that also affect the patellofemoral compartment, orthotic devices are useful to prevent overloading the cartilage regeneration with too early and too deep flexion. For the cartilage reconstruction of the patellofemoral joint, we prescribe 2 weeks of a fully extended position, in the 3rd to 4th week extension/flexion 0−0−45°, in the 5th to 6th week e/f 0−0−60.
Conclusion
Modern cartilage repair procedures with ICRS type 3−4 defects produce good to very good long-term outcomes in combination with realignment osteotomy. Deformity analysis of the weight-bearing axis of the knee joint should be performed before any cartilage repair therapy. Axis deviations of more than 3° should be corrected before or jointly with the cartilage surgery with an appropriate realignment osteotomy. Fine microfracture surgery (Mfx) or microdrilling can be performed for small defects below 1.5 cm2. Osteochondral transfer (OCT) delivers good clinical out-comes for chondral and subchondral defects with a defect size up to 1.5 cm2.
For larger defects from around 2.5 cm2 matrix-associated autologous chondrocyte transplantation (M-ACT) is a tried and tested procedure with comprehensive, good study data, which provides histologically hyaline-like cartilage replacement tissue. However, it causes higher logistical effort and high costs, requires also a two-stage treatment principle and is not generally available.
Matrix-augmented bone marrow stimulation (M-BMS) techniques represent a safe alternative for various defect sizes because they can be performed in a single-stage procedure, are cheap and always available. The surgery techniques of M-BMS and M-ACT can be augmented with autologous spongiosa plasty or corticospongious chips in subchondral defects.
The minced cartilage (MC) restoration procedure using autologous chondrocyte chips which can be secured with an M-BMS membrane or can be combined with microdrilling in a single-stage procedure has also gained more attention. Various aspects of the surgery technique have yet to be clarified. Evidence is still pending, especially in comparative studies versus the procedures of M-BMS and M-ACT that are supported with sufficient scientific evidence.
References
1. St. Floerkemeier, A. Staubli, St. Schroeter, S. Goldhahn, Ph. Lobenhofer. Outcome after high tibi-al osteotomy: a retrospective evaluation of 533 patients. Knee Surg Sports Traumat 2013, 21: 170-180
2. Gelse K, Angele P, Behrens P, Brucker PU, Fay J, Günther D, Kreuz P, Lützner J, Madry H, Müller PE, Niemeyer P, Pagenstert G, Tischer T, Walther M, Zinser W, Spahn G. Stellenwert des Débridements bei der Behandlung fokaler (Grad II – III) Knorpelschäden des Kniegelenks. Syste-matische Literaturübersicht und Empfehlungen der AG Geweberegeneration (DGOU) [Debride-ment in Focal Cartilage Damage of the knee. Systematical review of the literature and recommen-dations of the working group "clinical tissue regeneration" of the German Society of Orthopaedics and Trauma (DGOU)]. Z Orthop Unfall. 2018 Aug;156(4):423-435.
3. Cole, Brian, MD, MBA, Pascual-Garrido, Cecilia, Grumet, Robert. Surgical Management of Ar-ticular Cartilage Defects in the Knee. J Bone Joint Surg Am. 2009;91(7):1778-1790
4. Mithoefer K, McAdams T, Williams RJ, Kreuz PC, Mandelbaum BR. Clinical efficacy of the mi-crofracture technique for articular cartilage repair in the knee: an evidence-based systematic analysis. Am J Sports Med. 2009 Oct;37(10):2053-63.
5. Solheim E, Hegna J, Inderhaug E, Øyen J, Harlem T, Strand T. Results at 10-14 years after mi-crofracture treatment of articular cartilage defects in the knee. Knee Surg Sports Traumatol Ar-throsc. 2016 May;24(5):1587-93.
6. Niemeyer P, Schubert T, Grebe M, Hoburg A. Matrix-Associated Chondrocyte Implantation Is Associated With Fewer Reoperations Than Microfracture: Results of a Population-Representative, Matched-Pair Claims Data Analysis for Cartilage Defects of the Knee. Orthop J Sports Med. 2019 Oct 21;7(10):2325967119877847
7. Ph. Niemeyer, C. Becher, P.U. Brucker, et al. Stellenwert der matrixaugementierten Knochen-markstimulation in der Behandlung von Knorpelschäden des Kniegelenks: Konsensusempfehlung der AG Klinische Geweberegeneration der DGOU. Orthopädie und Unfallchirurgie 2018, 156(5)
8. Volz M, Schaumburger J, Frick H, Grifka J, Anders S. A randomized controlled trial demonstrat-ing sustained benefit of Autologous Matrix-Induced Chondrogenesis over microfracture at five years. Int Orthop. 2017 Apr;41(4):797-804.
9. M. Steinwachs et al. Regenerative Knorpeltherapie. Orthopädie und Unfallchirurgie 2014, 279-301
10. Steinwachs MR, Gille J, Volz M et al. Systematic Review and Meta-Analysis of the Clinical Evidence on the Use of Autologous Matrix-Induced Chondrogenesis in the Knee. Cartilage. 2019 Sep 11:1947603519870846.
11. Lungwitz S, Niemeyer P, Maurer J, Fritz J, Albrecht D, Angele P, Fickert S, Gelse K, Zinser W, Hofmann GO, Spahn G. Degenerative Cartilage Lesions of the Medial Knee Compartment. Asso-ciated Factors, Operative Options, and Preliminary Results from the Cartilage Registry DGOU. Z Orthop Unfall. 2019 Oct;157(5):515-523.
12. Schallberger A, Jacobi M, Wahl P, Maestretti G, Jakob RP. High tibial valgus osteotomy in unicompartmental medial osteoarthritis of the knee: a retrospective follow-up study over 13-21 years. Knee Surg Sports Traumatol Arthrosc. 2011 Jan;19(1):122-7.
13. Salzmann GM, Ossendorff R, Gilat R, Cole BJ. Autologous Minced Cartilage Implantation for Treatment of Chondral and Osteochondral Lesions in the Knee Joint: An Overview. Cartilage. 2020 Jul 25:1947603520942952. doi: 10.1177/1947603520942952.
14. Massen FK, Inauen CR, Harder LP, Runer A, Preiss S, Salzmann GM. One-Step Autologous Minced Cartilage Procedure for the Treatment of Knee Joint Chondral and Osteochondral Le-sions: A Series of 27 Patients With 2-Year Follow-up. Orthop J Sports Med. 2019 Jun 13;7(6):2325967119853773. doi: 10.1177/2325967119853773.
15. Saris DB, Vanlauwe J, Victor J, Almqvist KF, Verdonk R, Bellemans J, Luyten FP; TIG/ACT/01/2000&EXT Study Group. Treatment of symptomatic cartilage defects of the knee: characterized chondrocyte implantation results in better clinical outcome at 36 months in a ran-domized trial compared to microfracture. Am J Sports Med. 2009 Nov;37 Suppl 1:10S-19S
16. Gelse K, Angele P, Behrens P, Brucker PU, Fay J, Günther D, Kreuz P, Lützner J, Madry H, Müller PE, Niemeyer P, Pagenstert G, Tischer T, Walther M, Zinser W, Spahn G. Stellenwert des Débridements bei der Behandlung fokaler (Grad II – III) Knorpelschäden des Kniegelenks. Syste-matische Literaturübersicht und Empfehlungen der AG Geweberegeneration (DGOU) [Debride-ment in Focal Cartilage Damage of the knee. Systematical review of the literature and recommen-dations of the working group "clinical tissue regeneration" of the German Society of Orthopaedics and Trauma (DGOU)]. Z Orthop Unfall. 2018 Aug;156(4):423-435.
17. Niemeyer P, Becher C, Brucker PU, Buhs M, Fickert S, Gelse K, Günther D, Kaelin R, Kreuz P, Lützner J, Nehrer S, Madry H, Marlovits S, Mehl J, Ott H, Pietschmann M, Spahn G, Tischer T, Volz M, Walther M, Welsch G, Zellner J, Zinser W, Angele P. Stellenwert der matrixaugmentierten Knochenmarkstimulation in der Behandlung von Knorpelschäden des Kniegelenks: Konsen-susempfehlungen der AG Klinische Geweberegeneration der DGOU [Significance of Matrix-augmented Bone Marrow Stimulation for Treatment of Cartilage Defects of the Knee: A Consen-sus Statement of the DGOU Working Group on Tissue Regeneration]. Z Orthop Unfall. 2018 Oct;156(5):513-532.
18. Harris JD, McNeilan R, Siston RA, Flanigan DC. Survival and clinical outcome of isolated high tibial osteotomy and combined biological knee reconstruction. Knee. 2013 Jun;20(3):154-61.
19. Zamborsky R, Danisovic L. Surgical Techniques for Knee Cartilage Repair: An Updated Large-Scale Systematic Review and Network Meta-analysis of Randomized Controlled Trials. Arthroscopy. 2020 Mar;36(3):845-858
20. Bentley G, Biant LC, Vijayan S, Macmull S, Skinner JA, Carrington RW. Minimum ten-year re-sults of a prospective randomised study of autologous chondrocyte implantation versus mosa-icplasty for symptomatic articular cartilage lesions of the knee. J Bone Joint Surg Br. 2012 Apr;94(4):504-9.
21. Zaffagnini S, Boffa A, Andriolo L, et al. Mosaicplasty versus Matrix-Assisted Autologous Chon-drocyte Transplantation for Knee Cartilage Defects: A Long-Term Clinical and Imaging Evaluation. Applied sciences. 2020;10(13):4615.
22. Ke X, Qiu J, Chen S, Sun X, Wu F, Yang G, Zhang L. Concurrent arthroscopic meniscal repair during open-wedge high tibial osteotomy is not clinically beneficial for medial meniscus posterior root tears. Knee Surg Sports Traumatol Arthrosc. 2020 May 10
23. Lee DW, Lee SH, Kim JG. Outcomes of Medial Meniscal Posterior Root Repair During Proxi-mal Tibial Osteotomy: Is Root Repair Beneficial? Arthroscopy. 2020 Sep;36(9):2466-2475
24. Han C, Li X, Tian X, Zhao J, Zhou L, Tan Y, Ma S, Hu Y, Chen H, Huang Y. The effect of distal tibial tuberosity high tibial osteotomy on postoperative patellar height and patellofemoral joint degeneration. J Orthop Surg Res. 2020 Oct 9;15(1):466