Current techniques in arthroscopic Bankart repair
Background: Since its initial description, Bankart repair techniques have transitioned from open procedures to arthroscopic stabilization, which is now the preferred intervention for over 90% of surgeons. While open techniques were historically the gold standard, concerns regarding postoperative external rotation restrictions and secondary osteoarthritis have led to the increased adoption of arthroscopic methods. Modern advancements in suture anchor technology and instrumentation have improved success rates, making arthroscopic outcomes comparable to open repair.
Objective: This article details a standardized arthroscopic Bankart repair technique using suture anchors, emphasizing patient selection, portal placement, and specific intra-operative maneuvers to optimize clinical outcomes.
Key Points: Successful stabilization requires a comprehensive preoperative work-up, including 3D-CT to quantify glenoid bone loss and Hill-Sachs lesions. The procedure is performed in the lateral decubitus position using three portals. Critical technical steps include the complete mobilization of the capsulolabral complex from the glenoid neck until subscapularis fibers are visible and the preparation of the glenoid rim to facilitate biological healing. The authors utilize 1.8mm all-suture anchors, typically placing three anchors starting from the 5:30 position. Labral tension is maintained during the application of sliding Duncan loop knots to ensure anatomical restoration of the native joint stability.
Conclusion: Arthroscopic Bankart repair is an effective treatment for anterior shoulder instability in patients without significant bone loss. Success depends on meticulous labral mobilization and anatomical fixation, which restores the native stabilizers of the glenohumeral joint.
Introduction
Bankart repair techniques have improved significantly over the last 90 years since Bankart initially described this lesion[1]. Various open and arthroscopic techniques have been developed over the time to address the glenohumeral joint instability with the ultimate goal of restoring the normal shoulder function and lowering the rates of recurrent instability. Arthroscopic Bankart repair is currently the treatment of choice according to various surveys of surgeons, with > 90% of surgeons choosing the Bankart procedure as initial repair procedure. The open Bankart repair was the gold standard for years, with success rates ranging from 75% to 100%; however, postoperative concerns such as restriction of external rotation and secondary osteoarthritis were raised[2,3].
Arthroscopic Bankart repair gained popularity since it began almost 30 years ago because of improved arthroscopic equipments and increased experience of surgeons. There is a significant increase in the percentage of arthroscopically performed Bankart repairs over time. Compared with the open techniques, arthroscopic Bankart repair gives the potential advantages of smaller skin incisions, shorter surgical times, less postoperative pain, decreased blood loss, decreased narcotic usage, decreased rates of complications, and improved post-operative shoulder range of motion. One of the major advantages of the arthroscopic surgery is the precise identification of the intra-articular pathology with minimal soft tissue dissection[4].
First-generation arthroscopic techniques demonstrated higher recurrence rates, but as the techniques and implants continued to improve, results have become comparable or even better than the gold standard open repair. Initial arthroscopic fixation was performed by staple capsulorrhaphy, which resulted in unacceptable incidence of recurrent instability[5]. Other methods of fixation have included transosseous suturing and bioabsorbable tacks, both of which have had lower success rates than the open repair[6-8]. As technology evolved, modern day suture anchors were developed that have improved the success rates of arthroscopic repair. With continuously evolving technology, surgeons must regularly re-evaluate and modify the long followed techniques to improve the efficacy and clinical outcomes. This article describes the currently most widely followed arthroscopic technique using suture anchors for Bankart repair used at our institution with high success.
Technique
Pre-operative work-up
The decision for an operative intervention can be reached only after a detailed history, relevant clinical examination and necessary radiological investigations. Important aspects of the history include the total number of episodes of dislocations, duration since the first and recent most dislocation, mode of injury, reduction maneuvers and post-reduction rehabilitation. History of a dislocation during sleep is usually indicative of an associated glenoid bone loss. Clinical examination follows the standard protocol of inspection, palpation, movements and measurements. It is of vital importance to rule out a generalized hyperlaxity using Beighton score, as these are not the ideal candidates for a surgical intervention. The range of movements should be compared to the contralateral side. Special tests include the apprehension test, drawers test, load and shift test and the sulcus sign.
Radiographs remain the most commonly performed radiological investigation in the outpatient clinical setting. True anteroposterior or the Grashey view and the axillary lateral view are the routinely performed ones. Radiographs help to understand the alignment of the joint, rule out any bony injury in acute settings. Stryker notch view can help to detect a Hill-Sachs lesion. Role of MRI is important in order to assess the extent of the labral tear, rule out associated pathologies such as a humeral avulsion of glenohumeral ligament (HAGL), superior labral tear anteroposterior (SLAP). But the most crucial information remains the amount of glenoid bone loss and quantification of Hill-Sachs lesion, which can be calculated accurately only on a three-dimensional CT. Arthroscopic Bankart repair is the preferred modality in patients without critical glenoid bone loss or an off-track Hill-Sachs lesion. Outcomes of various modalities can be discussed in depth, but in this article we plan to focus on the technique of an arthroscopic Bankart repair.
Positioning
An interscalene block with general anaesthesia is the routinely followed mode of anaesthesia. The preferred position for a glenohumeral procedure remains the lateral decubitus in view of better joint distraction and thus a better access to the anteroinferior capsulolabral tissue. Traction is applied with the help of a three-point distraction system and the limb is positioned in 45 degrees of abduction and 15 degrees of forward flexion with total traction weight of around 4Kg (Figure 1). Adequate padding is ensured for the bony prominences, especially the fibular head of contralateral limb, in order to avoid a neuropraxia of the common peroneal nerve.

Portals
Bankart repair requires three portals, namely the posterior (P), anterosuperior (AS) and anteroinferior (AI) portals (Figure 2).


Procedure starts with the posterior portal being the viewing portal, which is established 2cm inferior and 1cm medial to the posterolateral corner of the acromion. 15-point diagnostic arthroscopy is performed using a 30 degree arthroscope. Any associated pathologies or incidental findings are noted. Anterosuperior (through the rotator interval just anterior to the anterolateral acromion) and anteroinferior (just superior to subscapularis and lateral to the tip of coracoid) portals are created by outside-in technique using an 18G spinal needle (Figure 3,4).


Glenoid preparation
After the diagnostic arthroscopy, viewing portal is switched to the anterosuperior one, whereas the anteroinferior and the posterior portals act as the working portals with 7mm and 5mm cannulae, respectively. Labral tear extent is assessed with a probe (Figure 5).

Capsulolabral tissue is mobilized using 15 and 30 degree arthroscopic tissue elevators sequentially (Figure 6).

Adequate mobilization of the labral tissue from glenoid neck remains a crucial step for an effective Bankart repair. Adequacy of the labral mobilization is indicated by floating of the labral tissue at the level of articular surface of the glenoid. Care should be taken while liberating the labral tissue at 6 O'clock position in order to prevent an injury to the axillary nerve. Frayed tissue at the edge of the glenoid is cleared using a motorized 3.5mm arthroscopic shaver (Figure 7). Anterior glenoid bony surface is freshened with the help of a rasp in order to promote healing (Figure 8).


Anchor placement
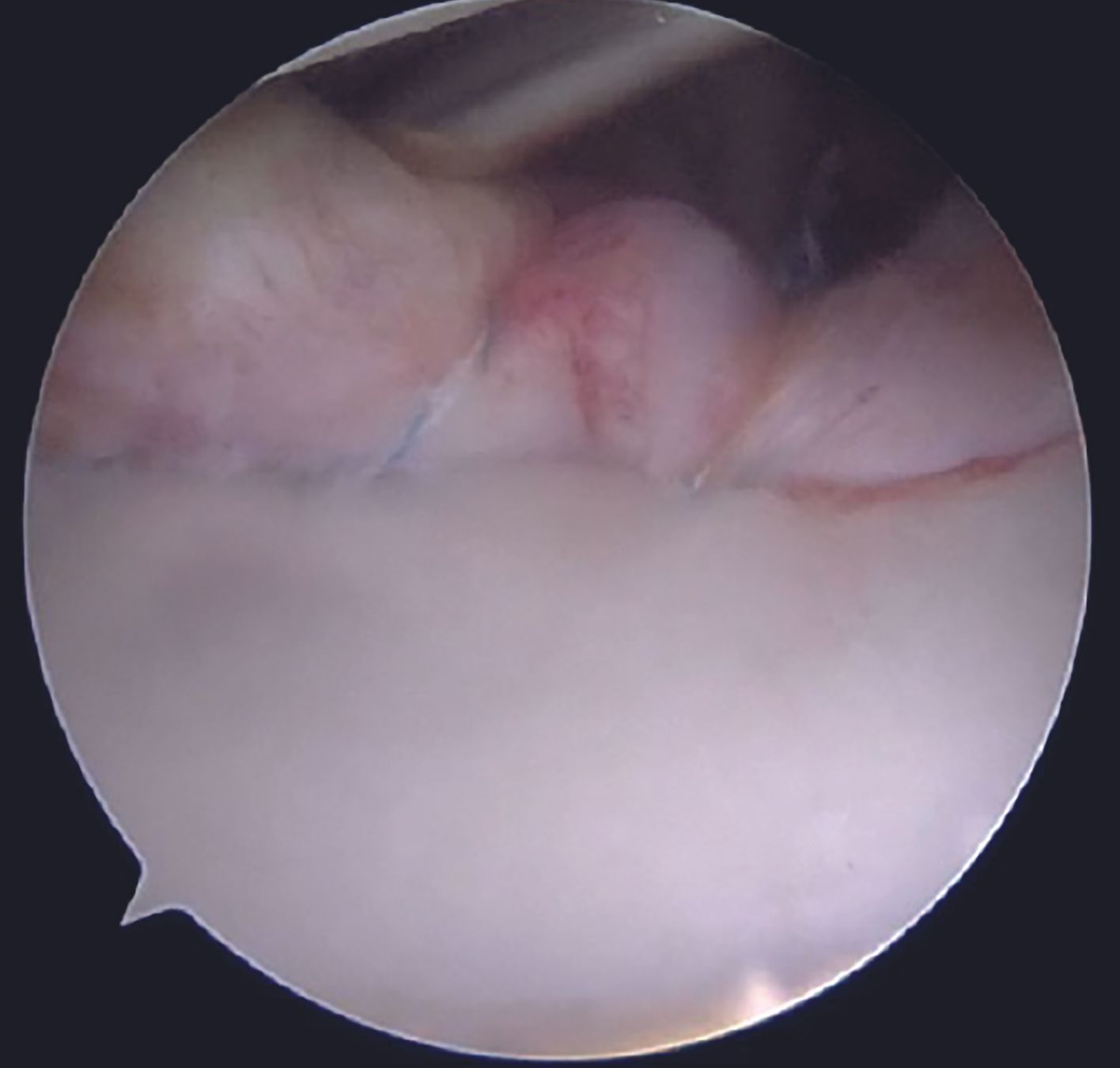
For an isolated Bankart lesion, 3 anchors are usually sufficient. Our preferred choice for the anchor is 1.8mm all-suture anchor as the affected patients are young and thus possess a good quality of the subchondral bone. Advantages of all-suture anchors such as absence of metal implants, no interference with post-operative imaging, easier revision, are well known. Anchor with a tape is preferable to avoid cut-through through the labral tissue. Inferior most anchor is placed first at 5-5.30 O'clock position after drilling a hole using a sleeve through the AI portal (Figure 9). After tapping the anchor in, it is important to pull the tapes so that the anchor bunches up beneath the subchondral bone (Figure 10). Free passage of the tapes is ensured.


Shuttling the tapes and knot tying
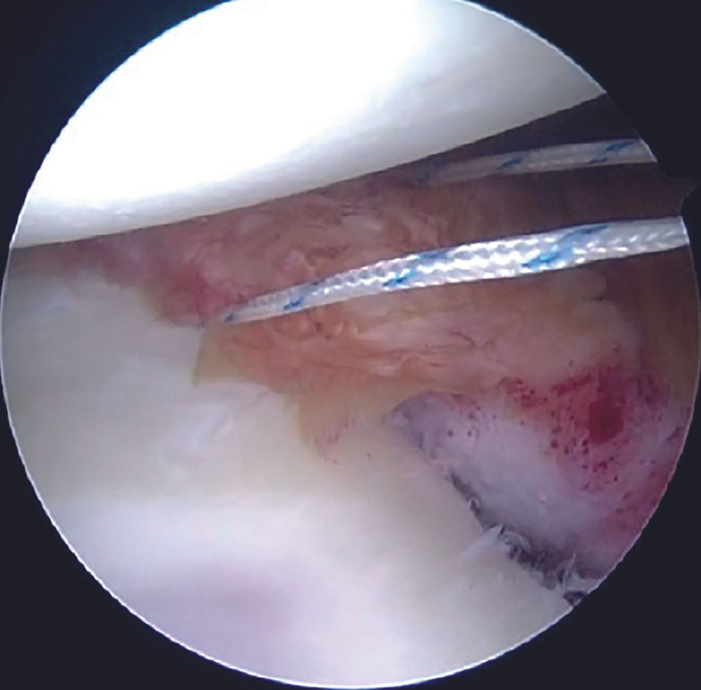
One of the tapes is then retrieved through the posterior portal with a tape retriever (Figure 11) and then shuttled through the labral tissue using a suture passer device (Figure 12,13).



A grasper can be utilized for holding the labral tissue in order to allow easy passage of the suture passer device. With both the tapes in the AI portal, a sliding Duncan loop knot is first tied (Figure 14), followed by at least three half hitches.

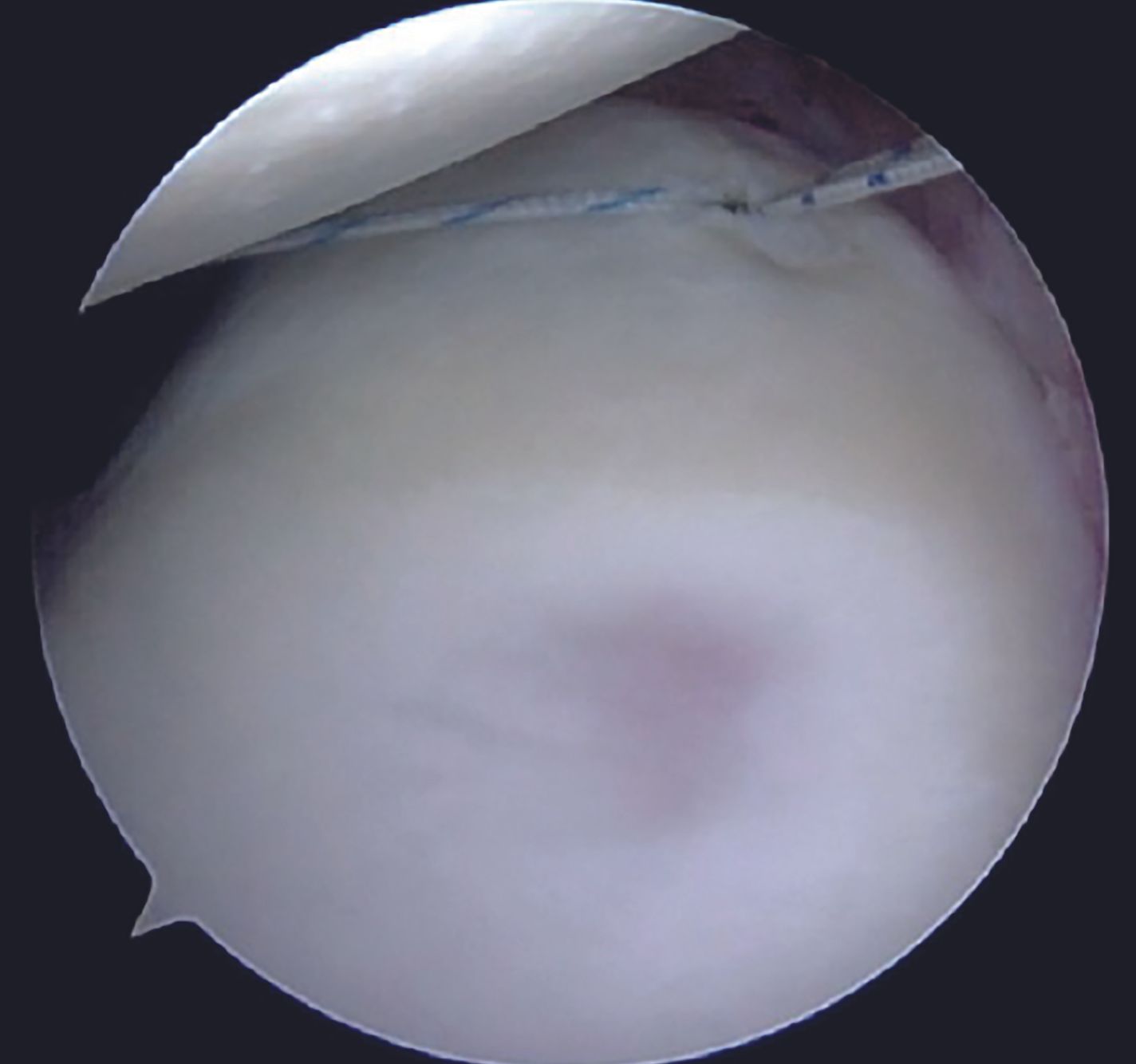
Care is taken to keep the knots away from the face of the glenoid by using the shuttled tape as a post and the other one as a throw. Before tying the sliding knot, utmost attention should be paid to provide adequate tension to the labral tissue by pulling the labrum superiorly with a grasper. Tapes are cut with an arthroscopic cutter around 4 to 5mm distal to the knot. One anchor each is placed at 4 and then at 3 O'clock position following a similar steps. After completion of the repair (Figure 15, 16), its integrity and stability is confirmed with a probe. After a thorough wash, closure is done with mattress sutures using 3-0 Ethilon.


Conclusion
Anterior instability of shoulder is a frequently encountered pathology in day to day clinical practice. Multiple factors play a role in deciding the modality of treatment including the extent of glenoid bone loss, patient's age, level of physical activity, involvement in a contact or overhead sport and potential compliance to rehabilitation. Soft tissue Bankart repair aims to restore the anatomy, thus imparting the native stability to the joint. Success of the procedure depends on the anatomical healing of the labrum, anchors being only a tool for the repair.
References
1. An V.V, Sivakumar B.S, Phan K, Trantalis J. A systematic review and meta-analysis of clinical and patient-reported outcomes following two procedures for recurrent traumatic anterior instability of the shoulder: Latarjet procedure vs. Bankart repair. J Shoulder Elbow Surg. 2016; 25: 853-863.
2. Owens B.D, Cameron K.L, Peck K.Y.et al. Arthroscopic versus open stabilization for anterior shoulder subluxations. Orthop J Sports Med. 2015; 3 (2325967115571084)
3. Cole B.J, L'Insalata J, Irrgang J, Warner J.J. Comparison of arthroscopic and open anterior shoulder stabilization. A two to six-year follow-up study. J Bone Joint Surg Am. 2000; 82: 1108-1114.
4. Levy D.M., Cole B.J., Bach B.R. History of surgical intervention of anterior shoulder. J Shoulder Elbow Surg. 2016;25:e139–e150.
5. Van Oostveen D.P, Schild F.J, van Haeff M.J, Saris D.B. Suture anchors are superior to transglenoid sutures in arthroscopic shoulder stabilization. Arthroscopy. 2006; 22: 1290-1297.
6. Castagna A, Markopoulos N, Conti M, Delle Rose G, Papadakou E, Garofalo R. Arthroscopic Bankart suture-anchor repair: Radiological and clinical outcome at minimum 10 years of follow-up. Am J Sports Med. 2010; 38: 2012-2016
7. Cho N.S, Lubis A.M, Ha J.H, Rhee Y.G. Clinical results of arthroscopic bankart repair with knot-tying and knotless suture anchors. Arthroscopy. 2006; 22: 1276-1282.
8. Ide J, Maeda S, Takagi K. Arthroscopic Bankart repair using suture anchors in athletes: Patient selection and postoperative sports activity. Am J Sports Med. 2004; 32: 1899-1905.