PCL reconstruction using INLAY technique tips and tricks

Summary

Background: Posterior cruciate ligament (PCL) injuries frequently result from high-energy trauma and often present as multiligamentous complexes. Chronic PCL insufficiency alters knee kinematics, increasing anteromedial and patellofemoral joint pressures, which predisposes the patient to secondary osteoarthritis. Despite these risks, posterior instability remains frequently underdiagnosed, necessitating standardized clinical and radiological evaluation algorithms.

Objective: This article describes a systematic approach to the diagnosis of PCL instability and details an arthroscopic inlay reconstruction technique using a quadriceps tendon autograft with an integrated bone block.

Key Points: Clinical evaluation utilizes the posterior sag sign and measurement of anteromedial step-off, supplemented by the dial test to assess posterolateral corner involvement. Radiological screening includes standing long-film radiographs for alignment and Bartlett kneeling stress views to quantify posterior translation. Surgical intervention is indicated for instability exceeding 8 mm or cases with associated rotatory laxity. The described arthroscopic inlay technique employs a quadriceps tendon graft with a 10 mm bone block, fixed in a tibial socket created via retro-drilling. This approach aims to mitigate the "killer turn" effect associated with traditional transtibial tunnels, which biomechanical studies suggest leads to graft elongation. Postoperative management requires a specialized PCL brace and a protected rehabilitation protocol focusing on quadriceps strengthening and gravity-controlled flexion.

Conclusion: Arthroscopic PCL inlay reconstruction using a quadriceps tendon autograft provides a viable alternative to transtibial techniques. Precise tunnel placement and a cautious, gravity-protected rehabilitation program are essential to maintain graft integrity and restore joint stability in chronic cases.

Introduction

High energy trauma represents with 82 % the most frequent etiology of PCL injuries. 92 % of these occur in combination with other ligaments and are diagnosed as complex knee ligament injuries. Only 18 % are diagnosed as isolated PCL ruptures and are most commonly related to sports injuries. Chronic PCL instability leads to change of knee kinematics with increased anteromedial joint pressure force by negative Bandi effect as well as to increased patellofemoral pressure and secondary osteoarthritis.

The natural history of the posterior knee instability leads to:

- Increased posterior translation of the tibia
- Change of center of rotation
- Increased cartilage damage of the anteromedial tibia plateau
- Increased pressure on the patellofemoral joint and osteoarthritis

Posterior knee instability is still nowadays under diagnosed and therefore a detailed algorithm for clinical evaluation of knee instability is necessary.

Clinical Examination

Anterior Knee Instability is diagnosed by using Lachman- test and the amount of instability is graded +/ ++/ ++ (0 – 15 mm). The anterior drawer test is carried out as well and performed in internal – neutral and external rotation to detect additional peripheral instability.

PCL Instability is clinically diagnosed by using the posterior sag sign and additional evaluation of the amount of anteromedial step off. As PCL injuries are often associated with peripheral instability clinical examination of these structures has to be carried out also. Therefore, detailed clinical examination of medial and lateral and especially posteromedial and posterolateral instability has to be adressed. Instability of popliteal corner is seen by using recurvatum test and dial test.

Imaging Screening

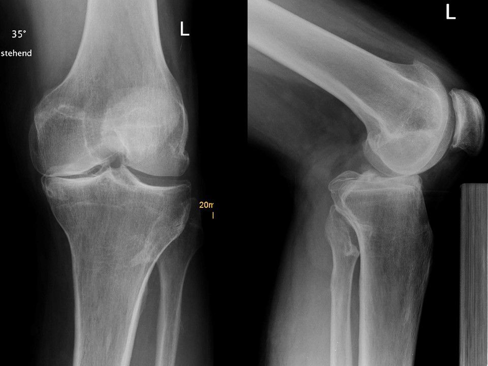
After clinical examination normal x-rays of the knee ap and lateral view is performed. In chronic posterior knee instability, we add standing long film ap x-rays bilateral as well as lateral long film (1/3 Femur and 2/3 Tibia) to detect hyperextension and to measure the slope (Fig 1).

Fig 1 - X- RAY: Long Standing Film  for Alignement Evaluation  and Lateral Hyperextension for Slope Evaluation

This is followed by stress x-rays routinely. In contrast to Telos used stress x-rays we prefer the kneeling view according to Bartlett which does not allow muscular compensation of the instability (Fig 2). MRI is also performed routinely to get information about the personality of PCL rupture and associated lesions.

Fig 2 - Bartlett Stress View bilateral


Indication for conservative treatment

Indication for conservative treatment for posterior knee instability is described for isolated PCL ruptures with maximum 8 mm unidirectional posterior knee translation and normal frontal alignment. Conservative treatment is carried out using a posterior sag protection brace for minimum 8 weeks and intensive quadriceps strengthening rehabilitation.

Indication for operative treatment

The Indication for operative treatment is based on the amount of posterior translation (borderline according to literature 8 mm) and the additional peripheral instability, which leads to increased posteromedial or posterolateral rotational instability. The indication goes along with the degree of increased rotatory instability and malalignment (Fig 3).

Fig 3 - Radilogical Documentation of Chronic PCL Instability

Technique for PCL reconstruction

Different techniques are described in the literature:

- Inlay technique (Fig 4 & 5) versus transtibial tunnel technique (Fig 6 & 7)
- Single bundle versus double bundle

Fig 4 and 5 Transtibial Drilling Technique ( Killer Turn )
Fig 4 and 5 Transtibial Drilling Technique ( Killer Turn )
Fig 6 and 7 Inlay Technique
Fig 6 and 7 Inlay Technique

The final outcome of the different techniques in the literature is similar when autografts are used. In biomechanical studies the inlay technique is superior to transtibial technique as the second one leads to more postoperative graft elongation due to the killer turn when the graft goes around the posterior tibia. Allografts (availability depends on legal issues of the different countries) are used in reconstruction of complex knee instability and knee dislocations or PCL revision reconstruction. Their outcome as substitute for autologous PCL graft is described in most of the literature inferior compared to autografts. Today there is no indication using synthetic grafts as PCL substitute anymore. There is a small window using fiber tapes as augmentation and ligament bracing in acute PCL reconstructions. We have been performing open inlay technique for many years and changed to arthroscopic inlay technique 10 years ago.

Technique tips and tricks

Required special instruments: 

- Electric leg holder with integrated tourniquet
- Imaging intensifier
- 30° + 70° arthroscope
- Retro-drill
- Flip cutter

Patient is placed in supine position and an electric leg holder with integrated tourniquet is used (Fig 8).

Fig 8 - Operative Set-up

The quadriceps tendon is used as graft for this procedure. The graft is harvested through a 8 - 10 cm longitudinal incision. This procedure can also be performed using a 4 – 5 cm horizontal incision and harvested subfascial using special graft harvesting instruments (Fig 9).

Fig 9 - Quadriceps tendon harvesting

The fascia is longitudinal incised and the graft with partial thickness is incised and finally the bone block of the superior pole of patella is taken using an oscillating saw. The tendentious part is minimum 8 cm in length / 11mm wide and 7mm deep. The adjacent osseous part of the graft is 11mm long / 11mm wide with a thickness of 10mm (Fig 10).

Fig 10 - Graft dimensions

The tendinous part is armed using a fiberloop at the last 3 cm and a 2mm central drill hole is made in the bone block (Fig 11).

Fig 11 - Reinforcement with fiber wire n5

Afterwards the bone block is downsized to a round block (11 /11 / 10 mm) using a high-speed oscillating saw (Fig 12). A fiber wire Nr 5 is armed with a small two-hole plate -which lies on the cortical side of the bone block – and inserted through the central drill hole (Fig 13). The dimension of the graft is measured (Fig 14).

Fig 12 - Technique of round shaping the bone block with central drill hole
Fig 13 - Fibre wire with bone block
Fig 14 - Graft size measurement using measuring gauge



The portals for arthroscopy are primarily made anteromedial and anterolateral adjacent to the apex of the patella (Fig 15 & 16).

Fig 15 and 16 - Postion of arthroscopic approaches
Fig 15 and 16 - Postion of arthroscopic approaches

First a 30° scope is used and diagnostic arthroscopy with inspection of all 3 compartments is carried out. Meniscus surgery is performed if necessary. This is followed by dynamic examination under arthroscopic visualization (Fig 17).

Fig 17 - Arthroscopic dynamic instability evaluation of posterolateral corner

Scar tissue formation of the ruptured PCL is debrided using the coblator and the PCL insertion on the femoral condyle is identified.

Now the 30° optic is changed to 70° optic for better visualization of the posterior slope of the tibia to evaluate the insertion side of the PCL. An 18-gauge needle is inserted from posteromedial to evaluate the correct entry point for inserting the working cannula. Following the posterior incision, the 7mm cannula is inserted and fixed by a suture. From the posteromedial portal under direct visualization with the 70° scope debridement of the PCL remnants is carried out from anteromedial (Fig 18).

Fig 18 - Arthroscopic release of tibial PCL remnants

Now the retrodrill guide system with the 12mm cutter from anterior is brought in and the position of the cutter is controlled by lateral view under fluoroscopy (Fig 19).

Fig 19 - Arthroscopic view – 70° scope and fluoroscopic control

Then a 10mm socket on the posterior tibia at the level of the previous physis line is drilled and the retrodrill while leaving the cannulated pin is withdrawn (Fig 20). A fiber stick suture is inserted in the cannulated pin and temporarily pulled out posteromedial. The femoral tunnel in size congruent to the tendon part of the graft is drilled with the retrodrill system. A tiger stick suture is inserted femoral from outside-in and catched together with the previous tibial inserted fiber stick (Fig 21) intraarticular and pulled out through the anteromedial portal.

Fig 20 and 21 - Drilling the tibial 12 x 10 mm socket at previous physis line and visualization of posterior socket from posteromedial
Fig 20 and 21 - Drilling the tibial 12 x 10 mm socket at previous physis line and visualization of posterior socket from posteromedial


The graft with the bone block first is inserted over the anteromedial portal and pulled into the tibial socket until it rests fix (Fig 22 & 23).

Fig 22 and 23 - Moving in the graft through anteromedial portal by pulling the catching sutures from tibial  anterior
Fig 22 and 23 - Moving in the graft through anteromedial portal by pulling the catching sutures from tibial  anterior

This can be controlled easily under fluoroscopy as the bone block is marked with the 2-hole plate (Fig 24 to 26). The sutures of the bone block are pulled out anteriorly on the tibia and fixed again over a button and in hybrid fixation technique fixed with push lock anchors.

Fig 24 - Arthroscopic  and fluoroscopic control of correct resting position of the bone block in the socket
Fig 25 and 26 - Arthroscopic ( 30° ) and schematic view of the fixed graft
Fig 25 and 26 - Arthroscopic ( 30° ) and schematic view of the fixed graft

Now the tendon part of the graft is inserted by the help of the tiger stick.

During anterior drawer in 90° of flexion the graft inside the femoral tunnel is fixed by an interference screw and again back-up fixation with push lock anchors are performed.

Intraoperative stability testing is carried out by anterior - posterior drawer test as well as by testing peripheral secondary ligaments. This clinical testing may be carried out using fluoroscopy to define the neutral position of the knee.

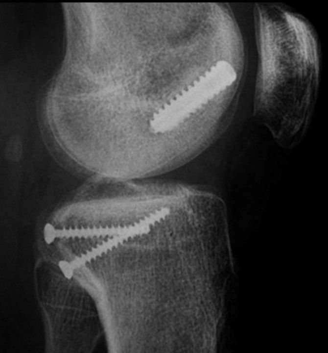
Postoperative X-rays control and CT imaging control is carried out for quality documentation. (Fig 27 + 28).

Fig 27 - Postoperative  x-rays
Fig 28 - Postoperative 3D CT for documentation of tunnel placement

Postoperative rehab programm

Postoperative the knee is held in extension using a fix brace with posterior calf support for 2 weeks which then is changed to a PCL brace for 10 more weeks with slowly increasing flexion angle. Weight bearing is partially for the first 3 – 4 weeks and then gradually increased as tolerated. Flexion exercises are carried out for the first 8 weeks only in supine position.

Therapy is significantly slower compared to the rehabilitation program after ACL reconstruction which is mainly influenced by the gravity of the tibia during flexion and the concomitant stress on the graft during flexion.

Our own data of arthroscopic PCL Inlay reconstruction technique using quadriceps tendon autograft with bone block show similar results to transtibial tunnel technique in the minimum 5-year follow up (Fig 29).

Fig 29 - Graphics of clinical results preoperative versus postoperative

References

- Graft Considerations in Posterior Cruciate Ligament Reconstruction. Johnson P, Mitchell SM, Görtz S.Curr Rev Musculoskelet Med. 2018
- Treatment Outcome of Reconstruction for Isolated Posterior Cruciate Injury: Subjective and Objective Evaluations. Ochiai S, Hagino T, Senga S, Yamashita T, Haro H. J Knee Surg. 2018
- Location of the femoral tunnel aperture during single-bundle posterior cruciate ligament reconstruction: outside-in versus inside-out techniques.Kim JH, Kim HY, Lee DH. Int Orthop. 2018
- Open Tibial Inlay PCL Reconstruction: Surgical Technique and Clinical Outcomes.Vellios EE, Jones KJ, McAllister DR. Curr Rev Musculoskelet Med. 2018
- Single Versus Double-Bundle PCL Reconstruction: Scientific Rationale and Clinical Evidence. Tucker CJ, Joyner PW, Endres NK. Curr Rev Musculoskelet Med. 2018
- Posterior Cruciate Ligament Reconstruction With Transtibial or Tibial Inlay Techniques: A Meta-analysis of Biomechanical and Clinical Outcomes. Lee DY, Kim DH, Kim HJ, Ahn HS, Lee TH, Hwang SC.Am J Sports Med. 2018
- Tibial Onlay Posterior Cruciate Ligament Reconstruction: Surgical Technique and Results. Salim R, Nascimento FMD, Ferreira AM, Oliveira LFL, Fogagnolo F, Kfuri M. J Knee Surg. 2018
- What Role Does Low Bone Mineral Density Play in the "Killer Turn" Effect after Transtibial Posterior Cruciate Ligament Reconstruction? Li Y, Chen XZ, Zhang J, Song GY, Li X, Feng H. Orthop Surg. 2016
- No Clinically Important Difference in Knee Scores or Instability Between Transtibial and Inlay Techniques for PCL Reconstruction: A Systematic Review. Shin YS, Kim HJ, Lee DH. Clin Orthop Relat Res. 2017
- Biomechanical Comparison of Five Posterior Cruciate Ligament Reconstruction Techniques. Nuelle CW, Milles JL, Pfeiffer FM, Stannard JP, Smith PA, Kfuri M Jr, Cook JL. J Knee Surg. 2017
- Arthroscopic All-Inside Posterior Cruciate Ligament Reconstruction: Overcoming the "Killer Turn".Vasdev A, Rajgopal A, Gupta H, Dahiya V, Tyagi VC. Arthrosc Tech. 2016.
- Inside-Out Antegrade Tibial Tunnel Drilling Through the Posterolateral Portal Using a Flexible Reamer in Posterior Cruciate Ligament Reconstruction. Alentorn-Geli E, Stuart JJ, Choi JH, Toth AP, Moorman CT 3rd, Taylor DC. Arthrosc Tech. 2015
- Graft Bending Angle at the Intra-articular Femoral Tunnel Aperture After Single-Bundle Posterior Cruciate Ligament Reconstruction: Inside-Out Versus Outside-In Techniques. Jang KM, Park SC, Lee DH. Am J Sports Med. 2016
- Comparison of Tibial Tunnel Techniques in Posterior Cruciate Ligament Reconstruction: C-Arm Versus Anatomic Fovea Landmark. Lee YS, Ko TS, Ahn JH, Kang SG, Choi UH, Elazab A, Lee HR.Arthroscopy. 2016
- Posterior cruciate ligament reconstruction via tibial inlay technique in multiligament knee injuries. Zehir S, Elmalı N, Şahin E, Çalbıyık M, Karakaplan M, Taşdemir Z. Acta Orthop Traumatol Turc. 2015
- Posterior cruciate ligament reconstruction with "all-inside" technique: a technical note. Bait C, Denti M, Prospero E, Quaglia A, Orgiani A, Volpi P. Muscles Ligaments Tendons J. 2015
- Comparison of the operation of arthroscopic tibial inlay and traditional tibial inlay for posterior cruciate ligament reconstruction. Lu D, Xiao M, Lian Y, Zhou Y, Liu X. Int J Clin Exp Med. 2014
- In vivo evaluation of femoral and tibial graft tunnel placement following all-inside arthroscopic tibial inlay reconstruction of the posterior cruciate ligament. Osti M, Krawinkel A, Benedetto KP. Knee. 2014
- Tibial Inlay Press-fit Fixation Versus Interference Screw in Posterior Cruciate Ligament Reconstruction. Ettinger M, Büermann S, Calliess T, Omar M, Krettek C, Hurschler C, Jagodzinski M, Petri M. Orthop Rev (Pavia). 2013
- The Arthroscopic All-Inside Tibial-Inlay Reconstruction of the Posterior Cruciate Ligament: Medium-Term Functional Results and Complication Rate. Osti M, Hierzer D, Seibert FJ, Benedetto KP. J Knee Surg. 2017
- The predictive effect of anatomic femoral and tibial graft tunnel placement in posterior cruciate ligament reconstruction on functional and radiological outcome. Osti M, Hierzer D, Krawinkel A, Hoffelner T, Benedetto KP. Int Orthop. 2015
- The effectiveness of skeletal imaging for quality assessment in posterior cruciate ligament reconstruction: reliability and validity of radiographs and computed tomography. Osti M, Krawinkel A, Gohm A, Muxel B, Benedetto KP. Arch Orthop Trauma Surg. 2014
- Skeletal imaging following reconstruction of the posterior cruciate ligament: in vivo comparison of fluoroscopy, radiography, and computed tomography. Osti M, Krawinkel A, Benedetto KP. Skeletal Radiol. 2014
- The biomechanical characteristics of arthroscopic tibial inlay techniques for posterior cruciate ligament reconstruction: in vitro comparison of tibial graft tunnel placement. Benedetto KP, Hoffelner T, Osti M. Int Orthop. 2014
- Posterolateral corner of the knee: microsurgical analysis of anatomy and morphometry. Osti M, Tschann P, Künzel KH, Benedetto KP. Orthopedics. 2013
- Chronic posterolateral rotatory instability of the knee. Hughston JC, Jacobson KE. J Bone Joint Surg Am. 1985
- Stress radiography and posterior pathological laxity of knee: comparison between two different techniques. Garofalo R, Fanelli GC, Cikes A, N'Dele D, Kombot C, Mariani PP, Mouhsine E. Knee. 2009