Technical Advice for Patellofemoral Arthroplasty
Background: Isolated patellofemoral arthroplasty (PFA) is a bone-preserving intervention for localized compartment disease, offering rapid mobilization and high functional recovery. Despite these advantages, historical data indicate revision rates significantly higher than those of total knee arthroplasty, often attributed to suboptimal implant design and exacting surgical requirements.
Objective: This article aims to delineate specific surgical techniques, preoperative planning strategies, and intraoperative considerations essential for optimizing clinical outcomes and reducing failure rates in PFA.
Key Points: Successful PFA requires stringent patient selection, excluding those with tibiofemoral degeneration or regional pain syndromes. Precise patella preparation must maintain a minimum bone thickness of 12 mm and replicate the native apex position to prevent soft tissue over-tensioning. Trochlea component positioning is critical; current evidence supports an anatomical "inlay" approach to match the patient’s natural tracking rather than adhering to traditional total knee arthroplasty alignment landmarks. Rotational alignment should prioritize lateral marginal congruence to prevent patellar clunking or instability. Intraoperative assessment must evaluate the need for tibial tuberosity osteotomy—specifically distalization for patella alta—and titrated lateral release or medial soft tissue reconstruction to ensure stable tracking from full extension through deep flexion.
Conclusion: While technically demanding, PFA can achieve revision rates comparable to total knee arthroplasty when surgeons prioritize anatomical trochlear orientation and precise soft tissue balancing. Mastery of extensor mechanism realignment and component congruence is fundamental to avoiding common complications such as instability, persistent effusion, and chronic anterior knee pain.
Introduction
Isolated patellofemoral arthroplasty offers many advantages to patients presenting with appropriate patellofemoral disease. The minimal intervention of the procedure, rapid mobilization and higher function above that of total knee replacement make the procedure very appealing. Revision rates however have been historically high, occasionally six times that of total knee replacement (1). Analysis of problems and complications reveals that patellofemoral design may be sufficiently changed to improve outcome, but importantly has identified many surgical techniques which need to be exercised by the operating surgeon in order to assume a successful result. This article details a number of steps and technical tips which will allow the surgeon to successfully perform a technically demanding but rewarding procedure.
1. Preoperative Planning
Patients should be assessed and selected appropriately with bone on bone isolated patellofemoral arthritis which is commonly secondary to lifelong patellofemoral malalignment and should have no tibiofemoral disease. Patients with nonspecific anterior knee pain or regional pain disorders as well as patients with athletic ambitions, should be excluded. Patients should appreciate the implant is a prosthetic and may not perform as well as their own natural knee. Although the procedure is a small isolated partial resurfacing, the patellofemoral arthroplasty is commonly swollen and effused for some weeks after surgery and patients should be warned appropriately. There is also a possibility of conversion due to advancing disease at a later stage and therefore patients should give informed consent.
2. Skin Incision
Many patients present relatively young at forty to sixty years and have had in the past other surgical procedures such as tibial tubercle osteotomy, lateral release or MPFL (medial patellofemoral ligament) reconstructions. Appropriate incisions should be made bearing in mind the vascular supply of the skin anteriorly and if there are no preoperative scars a midline incision is preferred giving the opportunity to offer further surgery at a much later stage should there be advancement of tibial femoral disease.
3. Surgical Approach
A patellofemoral arthroplasty maybe performed through any of the standard surgical approaches used for total knee arthroplasty such as midvastus and subvastus as well as parapatellar approaches. Importantly for PFA (patellofemoral arthroplasty) is the early activation of the vastus medialis obliques (VMO). This leads to early stabilization of the patella and the feeling of patient security. Many patients may well have laxity of the MPFL which may be deficient or pathologically lax. Some surgeons prefer a lateral approach in order to preserve any fibres remaining of the MPFL. However in terms of patella height unlike tibial TKA patients, PFA patients often have thin or deficient lateral patellae and reestablishing normal patella height with a polyethylene prosthesis will lead to tightening of the lateral soft tissue, particularly in absence of trochlea component external rotation. Here the surgeon should be aware that if a medial approach is used, a titrated lateral release or step cut lengthening of the iliotibial band and the capsule as well as the lateral patellofemoral ligament maybe required. Whereas lateral release is rarely required in modern total knee arthroplasty, the nature of the pathology and isolated patellofemoral disease should be in the mind of the operating surgeon as some form of lateral retensioning may be necessary. The majority of the patella implants are dome or oval dome rather than anatomically shaped. Therefore if a natural patella is resurfaced with a dome the resultant implant may cause tilting (figure 1). Therefore close observation of the lateral soft tissues is essential as tightening of the lateral capsule may be caused by inattention to patella resurfacing. Alternatively in the past the patient may have had an overzealous lateral release which may require retensioning or repair by the surgeon.

4. Patella Preparation
The patella preparation is performed first to allow easier displacement of the patella into the lateral gutter without the need of eversion. This relieves the pressure on the soft tissues. The patella synovium and fat are cleared back so the surgeon can see the patella tendon and the quadriceps tendon attachment sites. These form the basis of the patella cut which may be situated here or using a caliper, an appropriate cut made be made to replicate the thickness of a polyethylene dome. Removal of the synovium and fat and scar tissue around the patella circumference greatly aids mobilization of the patella. Some surgeons feel this also deinervates the patella, but the nerve supply of the patella is unclear and the use of this circumcision of the patella is mainly in my view, to allow mobilization more effectively and more accurately placed patella cut. The patella remnant should have a minimum of twelve millimeters of bone to avoid the possibility of patella fracture at a later time. A surgeon should check that once the patella cut is made and the dome has been prepared, the thickness of the patella at the apex should match exactly the thickness of the native patella prior to preparation. My belief is that the positioning of the patella prosthesis should be apex led, that is the apex of the polyethene dome should occupy exactly the position of the patients apex of the native patella. This way no additional stress within in the soft tissues is introduced as the apex cannot be misplaced. Some patella systems have a inset patella with a milling system allowing the polyethene to beinserted within the bony shoulders of the remaining patella. These implants particularly should be orientated to match the patient’s own native apex position.
5. Trochlea Preparation
The preparation of the trochlea and positioning of the trochlea implant is the most controversial and rapidly changing part of the isolated patellofemoral arthroplasty. There is a current debate at this time through the orthopaedic community and surgeons should be aware of the importance of trochlea positioning.
In the past the positioning of the trochlea has been dictated by the same mindset that applies to total knee arthroplasty. The orientation of the anterior cut was performed very much in the same way as a total knee, with adherence to bony landmarks of the posterior condyles, epicondylar line or whitesides line. This may have led to the positioning of the trochlea implant very much that as of a total knee arthroplasty and this may have contributed to historical high failure rates due to soft tissue discomfort and pain around the anterior knee in PFA patients. There is a current move to position the trochlea very much more anatomically within the patients own natural anatomy, replicating the trochlea track that is natural to the patient. This avoids the soft tissue tension that a forced realignment may produce in cases of trochlea internal rotation. In the past it maybe said that the total knee arthroplasty approach to positioning the trochlea will be the equivalent to putting ‘the train on the tracks’ as the patella was forced to adopt a very standard position anteriorly on the knee. The new current awareness of patellofemoral kinematics and soft tissue tensions in PFA patients however dictates we should rotate the trochlea underneath the patella to ensure that soft tissue tension remains minimal. This is equivalent to ‘putting the tracks underneath the train’ thus altering the importance of the total knee school of alignment. This new awareness of patellofemoral tracking and soft tissue tension has led to an improved revision rate in the Southampton patellofemoral study figures. We are now able to match the revision rates of total knee arthroplasty in our patellofemoral study group, having adopted these new soft tissue techniques and having an awareness of the importance of trochlea positioning and matching the natural alignment of the trochlea.
In trochlea preparation the first step would be to remove the synovium and osteophytes from the anterior femur and expose the most proximal extent of the trochlea. This will allow the surgeon to see directly the anterior femoral cortex and therefore the surgeon will make an appropriate judgement for the most posterior position of the trochlea cut. Surgeons should identify whether they are to use an inlay trochlea or an onlay trochlea. The more soft tissue aware surgeons are using inlay trochleas thus that they can match more accurately the articular contour of the trochlea without compromising soft tissue tension. (Figure 2 A – G).


The sizing of the trochlea component should be dependent on the length of the trochlea notch inferior to superior, rather than the medial lateral dimension of the trochlea. A common cause of failure of PFA is the lack of patella engagement in the trochlea implant from the maximum of extension, as flexion is initiated. The trochlea notch in patellofemoral arthroplasty patients is often short and can be combined with patella Alta. This leads to a high propensity for dislocation and clunking, therefore the surgeon should be aware of this when selecting a trochlea implant that is long enough to engage the patella at the extreme of extension. Surgeons may trial for this at time of surgery by replicating the most superior position of the patella using a clip on the quads tendon to pull the patella up in extension.
The first part of sizing is to place the distal tip of the trochlea component at the apex of the intercondylar notch in the knee. It is key to avoid overhang which will lead to ACL impingement in extension. Notch osteophytes should be removed so the anatomic roof may be seen. The positioning of the tip of the implant at the top of the intercondylar notch which is the first point of three points which the surgeon will use to determine the trochlea size and orientation in this surgery.
The proximal extent of the implant should now be observed against a patients natural anterior femoral cortex. The implant should be long enough to fully cover all of the articular surface visible and allow engagement of the patella in extension. This dictates the trochlea size and this point above the proximal articular surface is the second point surgeons should use to enable them to size the trochlea. Valgus varus positioning is determined by lining the component so the proximal trochlea groove and the entry of the patella is at the same point as the natural trochlea.
Orientation of the valgus
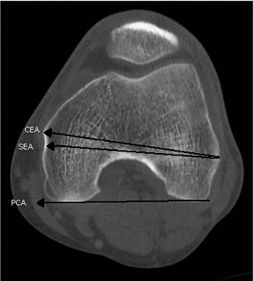
varus positioning of the trochlea to match that of a patient will allow even in cases of severe dysplasia, a normal entry of the patella into the trochlea groove. This approach is markedly different from typical TKA surgery in which the rotation of the femur is determined by the importance of flexion and extension gap balancing. Matching of the extension and flexion gap is aided by the three degree external rotation of the femur secondary to a ninety degrees tibial cut. Whilst this three degrees external rotation has reduced markedly the need for lateral release in total knee arthroplasty, it does not address well the very abnormal orientation of most patients with PFA who will have historic lateral maltracking and different tissue tensions related to the patella in comparison to total knee replacement patients. The third and final point that the surgeons will use to orientate the position of the trochlea component having decided its size and varus valgus orientation, will be the point used to determine rotation of the implant. Here is another point of controversy, should it be the local anatomy (the trochlea itself and anterior distal femur immediately adjacent to the trochlea) or the regional anatomy (that is the posterior condyles, epidcondylar access or whitesides line) (figure 3).

This debate is a continuation of the discussion between TKA surgeons and the developing thoughts of PFA surgeons regarding trochlea component orientation. TKA methods call for a balanced flexion and extension gap which as indicated above, are tied to a tibial cut perpendicular to the long axis. To compensate for the natural tibial plateau varum, the femoral component is externally rotated when the knee is flexed to 90°. It is often taught that the aim in TKA is the ‘the grand piano’ sign that is produced when the anterior cut is at 3° of external rotation (2)The grand piano sign is consistently produced when surgeons use this technique to cut 3° of external rotation relative to the posterior condyle access or by resection parallel to the surgical epicondylar access (figure 4a). The butterfly sign (figure 4b) is produced by resection with 0° of external rotation relative to the posterior epicondylar axis (3).

One might imagine the grand piano sign would be desirable with PFA however it should be noted that PFA, is not one third of a TKA and operative techniques differ very significantly as does the surgical approach. The rational for external rotation in TKA is not to improve patella tracking, but to balance the flexion and extension gaps and therefore this technique may not pass directly to surgery of the patellofemoral joint. I believe that the trochlea should be orientated independently of the tibial femoral joint line or the anatomical axis of the femur and replicate only the orientation of the patients trochlear based on the patients anatomy. This debate still develops and therefore Farr has suggested some recommendations for the rotational position of the trochlear component.
Trochlea Component Rotational Considerations
A) Internal rotation should be avoided as the patella begins tracking laterally from full extension and an internally rotated trochlea would increase lateral soft tissue tension and possibly promote lateral soft tissue pain.
B) Distal native trochlea should be used as a starting rotation orientation with errors to be on the side of external rotation.
C) Excessive external rotation however should be avoided as this will decrease the lateral trochlea implant height and may allow dislocation in the presence of tight lateral structures.
For the third point to allow rotational orientation, the surgeon must be aware if they are using an inlay implant for the trochlea or an onlay implant. For inlay implants bone is removed progressively to allow the implant to sit flush with the articular cartilage both medially and laterally. Surgeons may find it difficult to match perfectly the contours of both the medial and lateral trochlea and therefore the matching of the lateral part of the trochlea takes precedence over the medial. The patella will have a tendency to track much more laterally than medially in these patients and matching the lateral border perfectly and accepting some mismatch medially is desirable to avoid any clicking or clunking during patella tracking. Therefore varus valgus angle is set by the second anatomic point determined by the natural trochlea groove position of the patient and rotation is set by matching the lateral contour of the patients own trochlea. Inlay surgeons tend to use the local anatomy as a guide rather than regional anatomy to set the position of the trochlea. It may be difficult to accurately match all the requirements of the natural trochlea anatomy and therefore a ‘priority of congruence’ is useful in determining the optimal trochlea position.
Priority of Trochlea Implant Marginal Congruence
A) Distal tip of the implant cannot be proud or below the roof of the notch.
B) Distal triangular area of the implant congruent or slightly below the adjacent articular cartilage.
C) Proximal implant margin should avoid notching the anterior distal femur.
D) Lateral and medial proximal implant margins with rotational limitations as discussed under trochlea component rotation.
Surgeons using an onlay technique tend to be more guided by the anatomical considerations of a total knee arthroplasty as onlay often replaces more of the trochlea bone and the implant often resembles much more the anterior one third of cortex of a total knee replacement.
6. Tuberosity Surgery
The tuberosity maybe moved medially, laterally or distally. Proxmilization is not entertained as patella infra and is a contra indication to PFA. Distilization and medialization is the most common movement of the tuberosity and would be performed if after an optimally sized and orientated trochlea component trial is implanted and the patella does not engage in the trochlea notch. The surgeon should assess this by replicating quadriceps tendon tracks in by pulling upwards on the quadriceps traction to simulate quads activation and maximal knee extension. If the patella prosthesis does not appropriately engage with the trochlea component at this stage, the surgeon should entertain distilization of the tibial tuberosity as dislocation and failure to engage will occur in the postoperative phase, a common cause of PFA revision. The tuberosity will be distilized appropriately to allow engagement of full extension in the quadriceps active position. The decision to distilize the tibial tuberosity is made at the perioperative stage, but the surgeon may prepare for this possibility by measuring the patellotendon ratios prior to surgery on a lateral film. Extensive patella alta would warn the surgeon that distilization may be required at the time of surgery. Equally the tibial tuberosity maybe moved medially or laterally and again this can be determined preoperatively by measuring the TT/TG distance.
Measurements in asymptomatic patients in most studies indicate that they range from 10 to 12mm. Anything above this may indicate excessive lateral positioning of the tuberosity. Surgeons should also be aware that over medialization of the tibial tuberosity has deleterious effects on the medial patellofemoral as well as the tibial femoral forces as shown by Feller(4). Thus surgeons should have a goal of normalization of the position of the tuberosity rather than medialization. Many patients may well have had an overzealous medialization by a surgeon previously and there are some cases where the tibial tuberosity may have to be positioned more laterally by the operating surgeon to allow a normalization of the patella track and reduction of patellofemoral pressure.
7. Assessing Tracking and Trials
This is the most important part of the surgery and attention should be made to smooth and progressive tracking of the patella within the trochlea. Failure to observe a problem at this point will result in a less satisfactory result for the patient in the postoperative phase.
Tracking with the trials should be smooth with articulation of the patella component in the trochlea from the beginning at maximal extension with traction on the quadriceps tendon proximally to reproduce the effects of quadriceps force (to the exit into the intercondylar notch and passage of the patella prosthesis onto the two femoral condyles in deep flexion). The surgeon should then assess the tracking from flexion to extension to ensure that there are no abrupt movements or patella clunking or obvious clicks. Ideally, the patella should move easily without capsular reconstruction, indicating the surgeon has got satisfactory soft tissue tension. If there is a tendency for the patella to move too much laterally, the medial retinacula should be reconstructed by the use of two stay sutures to replicate the effect of the MPFL and the tracking should be reobserved. Obvious clunking of the patella as it tracks over the trochlea is often due to the trochlea component being proud at some point or the trials moving and attention should be paid to this and the trochlea component reseated to ensure that it is a little under the articular margin laterally.
If the patella component becomes tilted laterally or rides laterally despite the use of stay sutures on the medial capsular incision, surgeons should entertain the prospect of lateral lengthening or lateral release in order to balance the patella and release some of the over tight soft tissues laterally. Lateral release in total knee surgery may be perceived as a failure of appropriate femoral component rotation, but in PFA surgery due to the abnormal nature of the retinacula tissues it is much more common to release some overtight tissues. Equally the lateral side of the patella is often extremely thin in patients with lateral patellofemoral maltracking and the use of a standard dome or oval dome patella prosthetic will often have the effect of over thickening the lateral aspect of the patella unnaturally tightening the lateral retinacular structures which will have to be released as a result.
Attention should be paid to this area particularly as it is one of the most common areas of complaint for patients in the postoperative period reporting pain related to flexion.
If maltracking persists despite correct positioning and correct sizing of the trochlea component and attention to the soft tissue tensions both medially and laterally, surgeons should turn their attention to the position of the apex of the patella prosthetic. Occasionally the position of the patella prosthetic maybe altered at this stage in order to reduce any maltracking.
8. Closure of the Retinacular Tissues
Here the goal is not to over constrain the patella. Most commonly the approach will be medial and the MPFL check reins the patella from abnormal lateral displacement rather than constraining or pulling the patella into position. It is therefore not necessary for the surgeon to overtighten or ‘double breast’ the retinacular tissues and therefore overtighten or constrain the patella. As the surgeon observes the tension in the soft tissues it will be noted that the lateral soft tissues have an increased tension in flexion and the medial soft tissues have less tension in flexion and the surgeon should test the knee in all degrees of flexion and extension to observe these different tensions. If the patella is still maltracking at this point the surgeon should address the maltracking with soft tissue tightening or release as is appropriate.
Awareness of Common Causes of Failure
By being aware of the historical causes of failure, surgeons can perhaps guard against repeating the errors of their colleagues in the past
1. Patella instability
The most common reason for patella instability is overlaxity of the medial patellofemoral ligament (MPFL). Not immediately obvious to most surgeons but lateral restraints (iliotibial patella ligament) and deep lateral patellofemoral ligament (LPFL) also served to restrain and reduce lateral instability (5). Patients who have dysplasia of the trochlea notch may exhibit recurrent instability in their youth followed by a time of stability which is secondary to arthrosis. These patients initially stable, may return to instability after patellofemoral arthroplasty as the coefficient of friction is decreased and the instability returns. Additionally many patients will have undergone previous lateral releases which will also decrease the restraint to lateral patella stability. These problems are exacerbated by the presence of patella Alta. If the surgeon is aware of these potential problems then the stability of the PFA may be assessed at the time of operation and any abnormalities addressed to avoid patella instability. The modern minimally constrained PFA is not designed to afford primary stability. Historically many trochleas were over deepened and over constrained to avoid patella dislocation. This led to excessive soft tissue tension and subsequent high levels of anterior knee pain in older designed devices.
Patients with a high patella height and abnormal soft tissue restraint should have these abnormalities altered by the surgical technique at the time of operation. If the patient has patella Alta that does not allow engagement, the tibial tuberosity should be distilized. The soft tissue check rein should be reevaluated at this point and any abnormality should be addressed by establishing the medial and lateral physiologic tensions through either a reconstruction (MPFL reconstruction) or a repair or tightening. Each case will have a different variant of anatomy and soft tissue tension and the surgeon should be comfortable in addressing all forms of instability before embarking on PFA. This implies a great familiarity with the different methods of MPFL reconstruction and tibial tuberosity osteotomy.
2. Patella Baja
Patella Baja is rare in a knee without previous injury or surgery. It is however a contra indication for PFA. Surgeons are not advised to progress with PFA in patients with established patella Baja although there are descriptions of a two stage procedure in which the patella is proximalised and subsequently an arthroplasty is inserted. The absence of arthrofibrosis after the first procedure should be definitely confirmed before a second procedure of PFA undertaken in these cases.
3. Tibial Femoral OA Progression
The absence of risk factors for generalized arthritis, a well-positioned PFA should last as long as a total knee prosthesis and has excellent longevity potential. Patients with marginal risk factors who have an able and component surgeon may expect revision rates very similar to total knee replacement. Patients with lateral maltracking and isolated patellofemoral disease often present earlier than there TKA counterparts and will be willing to except possible longer term wear or failure if there are in their forties and will later entertain a total knee arthroplasty in their sixties. Additionally there is the growing practice of adding a unicompartmental prosthesis to a tibiofemoral joint where the PFA is performing well in the long term.
4. Patella Clunking
Patella clunking is caused by the extensor mechanism over the component cartilage junction or the presence of scar tissue in the post-surgery period. Whilst the scar tissue issue will settle with a passage of time and can be addressed arthroscopically, clunking secondary to component malposition will not correct. This underlines the importance of appropriate trialing and assessment of the tracking at the perioperative phase. The most problematic clunking occurs as a result of the abnormal movement of the patella component as it enters or exits the trochlea component and is clearly audible and visible to the patient. This may be avoided by proper assessment during the operation by passively testing the quadriceps tendon to evaluate the most proximal position of the patella and observing the trochlear entrance of the patella with the knee moving from the maximum extension to flexion and vice versa. If clunking occurs during trialing the trochlea should be evaluated for size and orientation. If the trochlea is of optimal size and orientation and clunking still occurs, attention should then be given to the tracking of the patella and the possibility of tibia tuberosity osteotomy to allow appropriate tracking. Clunking may also be prevented by very closely matching the component alignment along the distal trochlea margin laterally and once again it is attention to detail on the part of the surgeon that allows this to occur normally.
5. Recurrent Effusions
Infections, gout, pseudo gout or inflammatory arthropathy should be excluded if the patients report effusions in the post-operative phase. If these effusions are non-inflammatory, the most common cause in PFA is chondral debris as a result of patella component wear on articular cartilage at the intercondylar notch or the arthritic progression in tibial femoral compartments. It is often noted however that an effusion or swelling remains for several months after patellofemoral arthroplasty due to the proximity of the articulation just below the skin of the patient and the patients should be warned that the swelling will take some time to regress. For some patients chondral shedding or wear occurs in the first months after PFA as knee flexion and other activities are increased but may gradually subside as the chondral wear stabilizes. If the effusion persists it may well be due to chondral wear arising from notch osteophytes or mismatch between the patella component and the dimensions of the notch. This may be avoided preoperatively by clearing protruding osteophytes and making sure the articulation of the patella component during the notch is normal during patella component sizing. Here the technique in total knee arthroplasty is to use the largest patella possible to cover throughout all the native patella bone following the patella cut. In PFA however one may use a smaller patella prosthesis, particularly if there is deficient bone stock of the lateral patella. This should be borne in mind when assessing the patella component within the intercondylar notch. There is also a technique in TKA to improve patella tracking in the prosthetic femur by medializing the patella button. However this is not necessary in PFA where the patella apex position should be replicated by the apex of the patella prosthesis. Therefore recurrent effusions may be minimalized by attention to detail of the patella preparation and selection of the patella prosthetic size.
6. Persistent Patellofemoral on Soft Tissue Pain
The most important aspect of avoiding patella pain post operatively is to make an accurate diagnosis and to ensure that patients only with isolated patellofemoral arthritis undergo PFA. Other causes such as anterior knee pain, reflex sympathetic dystrophy and pain referred form other parts of the body are a cause for persistent pain after PFA. Some patients develop a muscle dehabilitation pain which is a cause of chronic dysfunction even after PFA and a structured rehabilitation program with emphasis on core strengthening and balancing may improve pain problems.
Additionally after PFA a normal patella thickness is achieved where over the years the patella will have become thinner with progressive wear.
The new correct patellofemoral thickness may lead to increasing the tension in the medial and lateral reatinacular soft tissues. The lateral tissue tightens during flexion and the MPFL loosens during flexion and therefore the patient reports discomfort on the lateral side in flexion. Surgeons should be aware not to over thicken the patella at the time of surgery and those using an onlay trochlear component are particular liable to ‘overstuff’ the patellofemoral joint. The use of an inlay component and attention to ensuring that the inlay lies below the surface lessens this possibility.
Conclusion
Patellofemoral arthroplasty is entering a new age with a growing understanding of patellofemoral kinematics and soft tissue balance of the patellofemoral joint. Improving the implant design using inlay implants along with an awareness of the surgical techniques necessary and patellofemoral tracking lead to the possibility of a much reduced revision rate and excellent results over the long term in patients with established isolated patellofemoral arthritis. Patellofemoral arthroplasty is particularly demanding for the surgeon’s technical skill and ability and awareness of soft tissue tension.
Surgeons undertaking this procedure shoulde ensure that they are appropriately skilled and aware of the techniques and surgical procedures performing a satisfactory patellofemoral arthroplasty.
With acknowledgment and thanks to Jack Farr, this article is an updated and altered version of that written by Jack Farr and David Barrett for The Knee in 2008.
I am grateful to Jack Farr for the illustrations of the original article.
References
1. The National Joint Registry for England and Wales 11th Annual report 2014
2. Qcui W.Q et al, variations of the grand piano sign during total knee replacement. Journal of bone and joint surgery, 2006, 88 8 page 1441 – 1147
3. Palley, D, Surgical Plain Knee consideration in Palley D, Principles of Deformity Correction, Berlin; Springover-Verlag, 2005, pages 509 -569
4. Feller, J.A et Al, Surgical Biomechanics of the Patellofemoral joint, Arthroscopy 2007, volume 23 page 542 – 553
5. Desio, S.M et Al, Soft tissue restraint to lateral patella translation in the human knee, American Journal of Sports medicine, 1998, volume 26, page 59265