challenges of total knee arthroplasty in posttraumatic osteoarthritis: A cook book approach
Background: Posttraumatic osteoarthritis of the knee presents unique surgical challenges compared to primary osteoarthritis due to complex intraarticular and extraarticular deformities, ligamentous instability, and preexisting hardware. While total knee arthroplasty (TKA) can provide satisfactory outcomes, the heterogeneity of these deformities requires specialized preoperative planning and surgical techniques to address malalignment and stiffness.
Objective: This article aims to provide a systematic framework for performing primary TKA in patients with complex posttraumatic lower extremity deformities, focusing on indications for deformity correction, implant selection, and exposure strategies.
Key Points: Extraarticular coronal deformities exceeding 20 to 25 degrees generally require staged or concurrent corrective osteotomy, as intraarticular balancing alone may be insufficient. Preoperative assessment must include hip-to-ankle standing radiographs and potentially axial imaging to evaluate rotational malalignment. For intraarticular pathology, surgeons must address joint subluxation and significant bone loss. Posterior or anterior knee dislocations often necessitate constrained or hinged implants, particularly when preoperative range of motion is less than 80 degrees or when extensive distal femoral resection is required for extension. Medial hardware can typically be removed during the primary TKA approach, whereas lateral hardware may require staged removal. In the stiff knee, a systematic medial release—including the medial collateral ligament if necessary—is essential for adequate exposure.
Conclusion: Successful TKA in posttraumatic cases depends on precise deformity analysis and a low threshold for using constrained components. While technically demanding and associated with higher complication rates than primary TKA, adherence to established alignment principles and careful soft tissue management can achieve stable, functional results.
Introduction
Trauma can initiate the deterioration of cartilage inside the knee and result in end-stage osteoarthritis requiring a total knee arthroplasty. However, intra- and extraarticular deformities as result of trauma trigger osteoarthritis through different mechanisms and pose different challenges at the time of knee replacement surgery.
Extraarticular deformities as a result of a femur or tibia fracture usually initiate the development of osteoarthritis through malalignment of the knee. Since they usually are not associated with direct knee injuries the range of motion and overall stability of the knee resembles the clinical picture of primary osteoarthritis of the knee. However, its surgical correction is much more complex since normal alignment of the knee can usually only be achieved in a one stage total knee replacement if either the extraarticular deformity is corrected via a corrective osteotomy at the time of surgery or the extraarticular deformity is corrected through intraarticular soft tissue balancing [1]. In this group of patients, the most challenging clinical question is whether an extraarticular corrective osteotomy is needed prior to joint replacement. Careful planning considering the extend of the coronal deformity on hip to ankle standing views and extend of rotational deformity of the femur are required to make this decision. In addition rotational deformities need to be recognized and might require axial CT or MRI imaging to guide correction.
Intraarticular trauma can result in osteoarthritis through direct damage of the cartilage in intraarticular fractures or through instability or dysbalance of the soft tissue stabilizers secondary to ligamentous injuries. In this group of patients, one first needs to access whether or not the joint itself is reduced. Secondly the extend of intraarticular deformity needs to be investigated to make sure that placement of a standard total knee replacement is possible and finally the demand of the coronal or sagittal instability on implant design need to be taken into consideration to select an appropriate implant design. Posttraumatic stiffness is very common in this group of patients and its treatment require a systematic approach [2].
The current paper summarizes my personal experience performing primary total knee arthroplasties for complex posttraumatic deformities of the lower extremity. This is an extremely heterogenous group of patients and deformities, however, I feel that if some basic principles are observed quite satisfactory outcomes can be achieved for the majority of patients.
Osteoarthritis in patients with extraarticular deformities
A hip-to-ankle standing view should be routine for the planning of any total knee arthroplasty. Extraarticular deformities after femur or tibia fractures are frequently overlooked at the time of surgery if the surgeon relies solely on the standard 3 views of the knee itself. In addition, lateral views of the entire femur and tibia can help to asses sagittal deformities once a femur or tibia fracture is identified on hip to ankle views. Rotational CT scan imaging can be considered to analyze rotational deformities especially in patients with fractures of the femur.
To make the decision, whether to correct the coronal deformity in a one stage or two stage fashion or to proceed with a primary total knee replacement the amount of angular deformity at the level of the knee provides the most reliable guidance. No matter where the extraarticular deformity is located doe the purpose of knee arthroplasty the overall mechanical deformity is measured as an angle between the mechanical axis of the femur (line through the center of the hip and the center of the distal femoral condyles) and the mechanical axis of the tibia (line through the center of the talus (ankle) and the center of the tibial plateau). A mechanical deformity in excess of 20-25 degrees usually suggests that a primary knee replacement without deformity correction is not possible. In these cases usually the deformity needs to be corrected first. For the correction of extraarticular deformities different options including correction over a nail, open osteotomy with plate fixation or external fixator exist. In my opinion the technique that interferes the least with the later total knee replacement should be favored. Open ostoeotomies and plate fixation should take into consideration the potential need for hardware removal at the time of surgery and plates should be placed medial along the standard medial parapatellar approach as often as possible. Correction using an intramedullary nail need to make sure that the nail does not extend into the bed of the primary knee implants and options for extramedullary alignment need to be available at the time of total knee arthroplasty (navigation, robotic or extramedullary alignment jigs) [3]. Finally, when using an external fixator, the risk of pin tract infection and osteomyelitis needs to be carefully weighed versus the ability for advanced 3-dimensional correction of the deformity. I personally had very good results with 2 stage correction using an external fixator or one stage correction using either an open plate fixation or intramedullary fixation using the stem of a revision femoral or tibial component. The later is especially appealing if the center of rotation and angulation (CORA) is close to the knee. Bony correction of the preexisting deformity renders the soft tissue balancing at the time of total knee replacement much easier and is usually indicated for less experienced surgeons. Rule of Thumb: For me a coronal deformity exceeding 25 degrees is an absolute and a deformity exceeding 20 degrees is a relative indication for a one stage or two stage correction of a preexisting extraarticular deformity (Figure 1a, b, c).
Is a deformity correction needed before total knee replacement?
1. Hip to ankle standing view. Draw the mechanical axis of the femur and tibia and measure the overall mechanical deformity.
2. A mechanical deformity in excess of 25 degrees is an absolut indication for prior deformity correction at the level of the CORA and staged total knee arthroplasty
3. A mechanical deformity of 20. to 25 degrees is a relative indication for prior deformity correction at the level of the CORA depending on surgical experience
The usual back-up option of a hinge knee replacement does not exist in many of these patients since large extraarticular deformities away from the knee result in changes of the anatomical axis of the distal femur and proximal tibia and no longer allow for the use of a stemmed revision hinge implant. Occasionally in patients with a center of rotation and angulation (CORA) close to the knee one stage deformity correction can be done in the metaphyseal-diaphyseal junction using a intramedullary stem at the time of total knee arthroplasty. Care should be taken to secure rotational stability through implant press fit, alignment of the corrective osteotomy or an additional small plate.
While I personally favor a posterior stabilized implant design whenever I correct an extraarticular deformity through an intraarticular soft tissue release, the combination of a posterior cruciate ligament (PCL) release with a deep dished or ultra-congruent cruciate retaining implant design should be possible for mechanical deformities up to 10-15 degrees. I personally discourage the use of PCL preserving cruciate retaining designs since the intraarticular correction of an extraarticular deformity by definition makes it challenging to preserve the level of the joint line.
What type of implant should be used?
1. Up to 10 deg. of mechanical deformity and minimal rotation deformity a posterior cruciate ligament release with either a CR femur and deep dish insert or PS femur and PS insert can be used at the surgeons discretion
2. 10 to up to 25 degrees of mechanical deformity require a PS insert with a non-stemmed constraint back up option.
3. In case of excessive patella tilt the surgeon should favor a PS insert since flexion space instability is likely.
4. In case of more than 25 degrees mechanical deformity one or two staged deformity correction is advised. Constraint at the time of a one stage deformity correction is guided by level of instability after the soft tissue release. To minimize strains on the side of the osteotomy I prefer the use of standard PS inserts.
Care should be taken to perform minimal bone resection when faced with a more significant deformity. Planning of the resection level using preoperative templating along a 90 degree angle to the mechanical axis of the femur and tibia allow us to anticipate the resection level. As in patients with major primary varus - or valgus deformity of the knee it is important to minimize bone resection on the tibia when faced with major deformities. Once the proximal tibia and distal femur resection is made at 90 degrees to the mechanical axis of the tibia and femur respectively a step wise release of the medial soft tissue for a varus deformity and lateral soft tissue for a valgus deformity is performed.
This article does not focus on soft tissue release techniques but I usually follow the standard (cook book) release of the varus knee including
1. removal of medial osteophytes,
2. medial capsular release extending around the medial tibia towards the insertion of the semimembranosus,
3. release of the semimembranosous tendon insertion of the tibia,
4. medial reduction osteotomy of the tibia if possible,
5. pie crusting of the medial collateral ligament and finally (Figure 2 ),
6. periosteal elevation of the medial soft tissue sleeve and superficial medial collateral ligament using a periosteal elevator,
7. whenever these steps are not sufficient to restore ligament balance in extension switching to a constraint implant design might be necessary to achieve stability, however, care needs to be taken at this time point to make sure a varus knee is not left in mechanical varus (trim bone of the distal lateral femur or tibia).

The standard release of the valgus knee always includes a combination of a
1. Release of the iliotibial band (I prefer complete release at the level of the joint line, but pie crusting has been reported by other authors), (Figure 3a).
2. A posterolateral corner and lateral collateral ligament release [4], (Figure 3b).
3. Whenever these steps are not sufficient to restore ligament balance in extension switching to a constraint implant design might be necessary to achieve stability, however, care needs to be taken at this time point to make a valgus knee is not left in mechanical valgus (trim bone of the distal medial femur).
Rarely excessive stiffness is encountered when addressing osteoarthritis of the knee in the presence of an extraarticular deformity. Therefore, a standard approach by surgeon’s choice can be utilized. I strongly discourage the use of a lateral approach to the knee. I have never seen a benefit of this approach for the correction of an intraarticular deformities and strongly suggest that all deformities of the knee should be addressed from medial, no matter how tempting it is to approach the valgus knee in the presence of a valgus extraarticular deformity of the femur through a lateral approach.
Why am I so reluctant to utilize a lateral approach?
1. a lateral release to improve patella tracking is more frequently necessary in valgus knees and the lack of capsular closure increase the risk of continued postoperative drainage if the incision is also placed lateral,
2. the alignment of the anatomical axis of the femur aims medial which makes it more difficult to push the patella aside to get exposure to the femur when approaching the knee from lateral,
3. it is easier to expose the proximal tibia by externally rotating the tibia using a medial approach than by internally rotating the tibia using a lateral approach,
4. revision surgeries usually require a medial parapatellar approach and approaches on both side of the patella should be avoided,
5. Above all, after doing over 750 valgus knees, I have never been unhappy with my ability to achieve soft tissue balance from medial and therefor quite frankly never felt the need to expose the knee from lateral. In addition, the few times I have seen surgeons struggle through a lateral approach during my training or visitations make me believe this approach is not as easy as it might sound when listening to an expert speaking from the podium.
Sagittal deformities need to be taken into consideration when addressing an extraarticular deformity [5]. Usually this can be done quite simply by adjusting the slope of the tibial component in case of a flexion (decrease the slope) or extension deformity (increase the slope) after a tibia fracture. I usually guide my slope by adjusting the extramedullary cutting jig position in relation to the distal tibia. On the femoral side it can be worth while to use navigation or robotics to restore the flexion alignment of the femoral component. Care needs to be taken to avoid notching in case of a flexion deformity of the femur. When making a compromise in the sagittal alignment keep in mind that flexion of the femoral component reduces extension of the knee, closes the flexion gap and might cause mid flexion instability.
It goes without saying that any sagittal deformity requires the use of a ultracongruent insert or posterior stabilized insert since a normal kinematic is not possible when there is a meaningful sagittal deformity.
Last but not least, I rarely consider rotational malalignment an indication for a corrective osteotomy prior to knee replacement. Almost all femur fractures are within 20 degrees of rotation alignment and since I do not adjust femoral component rotation with varying degrees of femoral anteversion I feel little adjustments are needed to address rotational malalignment. Having said this, rotational deformities are of increasing importance the closer they are to the knee. I personally guide the need for CT imaging to rule out rotational malalignment by the degree of patella tilt on preoperative merchant views of the knee. If the patella tracks well on the standard preoperative merchant view I usually do not order a preoperative CT, however, if I encounter frank subluxation or excessive tilting of the patella on merchant radiographs, I prefer a preoperative version CT to guide femoral component rotation and optimize patella tracking. In my personal experience femoral component external rotation is the most powerful tool to correct patella maltracking. Relative internal rotation of the femoral component can have major consequences for patella tracking and while intraoperative tracking might be restored by an extended lateral release, functionally these knees will no longer be up to par when it comes to more complex demands like stair climbing without support of the railing. While a balanced flexion space and adequate femoral component external rotation is crucial for more complex knee function in patients undergoing total knee arthroplasty, both cannot always be achieved in posttraumatic osteoarthritis of the knee and patella tracking in my mind is more important than a balanced flexion space, especially when dealing with stiff posttraumatic knees that require a posterior stabilized or constrained insert.
Approach to Rotational Deformity after Femur Fracture:
1. Hip to ankle standing view to identify femur fracture.
2. Merchant view shows normal patella tracking or minimal tilt: No CT imaging to analyze rotational malalignment of the femur.
3. Merchant view of the patella shows excessive tilting or subluxation: use version CT imaging on both side to measure change in rotational alignment.
4. Consider correction of rotational malalignment if more than 25 degrees difference in rotation and excessive patella tilt or subluxation.
For torsional deformities of the tibia only deformities proximal to the tibia tubercle are clinically relevant for TKA, since this has an influence on patella tracking. Deformities distal to the tibia tubercle have an influence on the gait only and are usually compensated by the ankle. However, especially internal rotation of the foot secondary to a distal rotation deformity can have a major impact on gait and is less well tolerated. Tibia tubercle and trochlea can be aligned by either adjusting rotation of the tibial component or by adding a tibia tubercle osteotomy to correct the proximal tibia torsional deformity.
Osteoarthritis in patients with a subluxated or dislocated knee
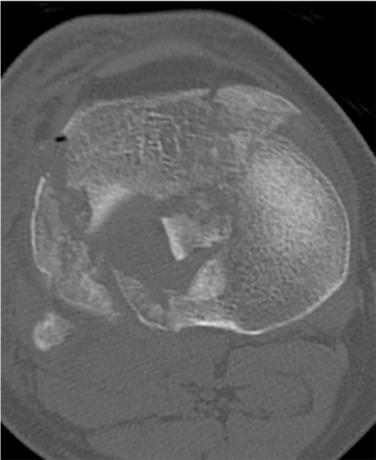
The stiff and subluxated knee can be a very challenging problems to deal with. First one needs to have a level of suspicion when encountering severe flexion contractures after ligament injuries or knee dislocation. While some posterior subluxation of the femur on the tibia is the hallmark of progressive osteoarthritis in the anterior cruciate ligament (ACL) deficient knee it is important to identify patients with more advanced subluxation/dislocation (Figure 4a) of the femur. In my experience a warning sign is when the insertion of the MCL in the center of the femoral condyle moves beyond a line on the posterior cortical bone of the tibia (Figure 4b). In the presence of stiffness I strongly encourage a preoperative vascular work up. I well remember the one patient that I accidently opened the popliteal artery when trying to mobilize a posterior subluxated femur. Luckily, I had anticipated the complication because of the proximity of the popliteal artery to the posterior condyle of the femur on preoperative MRI imaging (Figure 4c) and the standby vascular surgeon was able to close the vascular injury from anterior enjoying the perfect exposure of an open flexion space with laminar spreaders in place.
This patient never had any complications from the arterial injury, did not require a release of the compartments and would not have recognized the complication if I had not talked to him about it after the surgery. It goes without saying that having a vascular surgeon on stand by and addressing the injury before cementing the components makes all the difference.
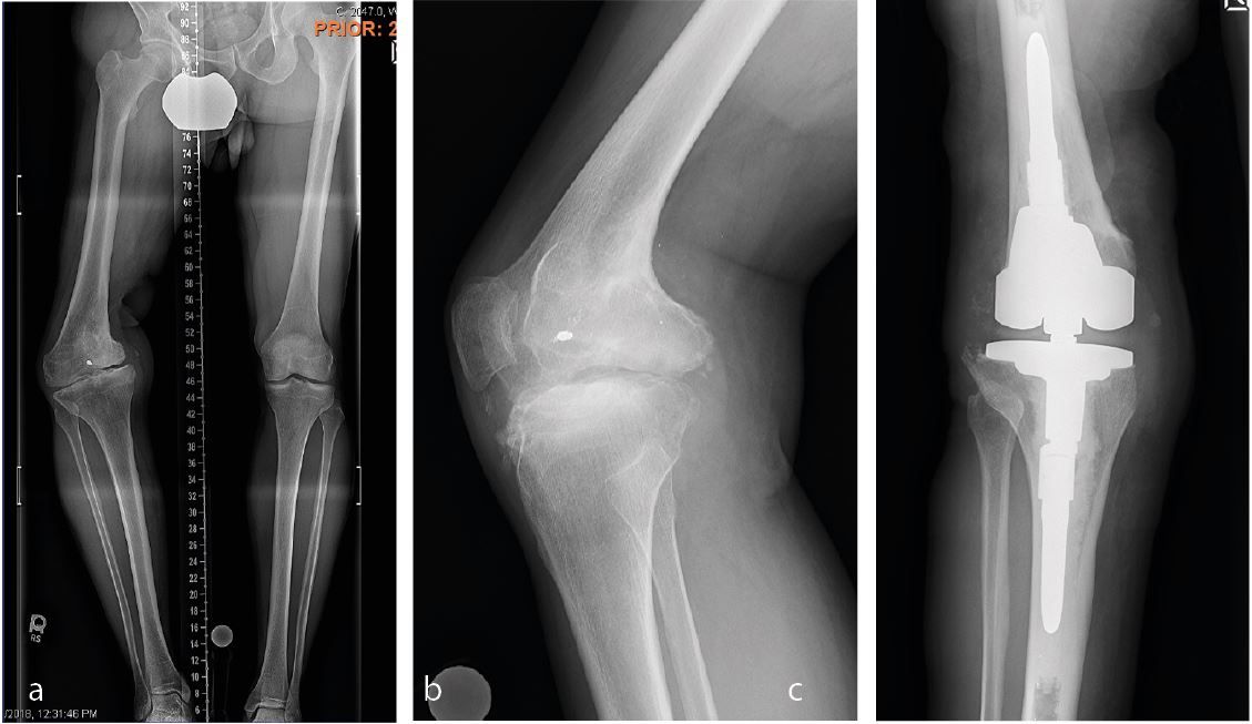
The risk of vascular injury and the difficulty of exposure is less when the femur is subluxated anterior, however, this situation is not without difficulties itself. Usually anterior subluxation of the femur on the tibia results in a significant flexion contracture and significant distal femur resection is needed to allow full extension of the knee and balance flexion and extension space. Based on my personal experience I strongly favor a hinge implant for posttraumatic anterior or posterior dislocations of the femur (Figure 5a, b, c, d).
My rational for this implant choice is that in severe anterior dislocation of the femur, often, the insertion of the collateral ligaments gets compromised when additional distal femur resection is needed to allow full extension. In addition, it is difficult to achieve reliable postoperative range of motion when encountering a knee subluxation in the presence of preoperative stiffness (less than 80 degrees arc of motion). Since the combination of a traumatic dislocation is seldom associated with an addition extraarticular deformity stemmed hinge implants can usually be used without problems.
What to observe when dealing with anterior or postderior subluxation and dislocation of the knee?
1. ACL deficient knees usually show more posterior wear and subluxation of the femur posterior. Their correction is straight forward and chronic posterior subluxation of the knee in patients with ACL deficiency needs to be differentiated from posterior dislocated knees after traumatic knee dislocation.
2. Posterior dislocation of the femur on the tibia requires a stand by vascular surgeon because of the increased risk of vascular injury.
3. Consider a hinge when anterior dislocation of the femur in combination with a flexion contracture require more than 4 mm additional distal bone resection to achieve extension.
4. I favor hinge implants for patients with anterior and posterior knee dislocations and an overall arc of motion of less than 80 degrees.
Osteoarthritis in patients with intraarticular fractures and/or ligament injuries
In the absence of an intraarticular fracture deformity the presence of an injury of the collateral ligaments or cruciate ligaments is with relatively little consequence for the implantation of a total knee arthroplasty. Injuries of the collateral ligaments especially when accompanied with a thrust while walking require careful correction of the mechanical alignment and might benefit from a constraint insert, however, otherwise these surgeries are rather straight forward. Intraarticular fractures that are associated with an altered intraarticular anatomy of the femur and tibia and stiffness can, however, be quite challenging.
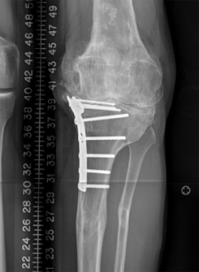
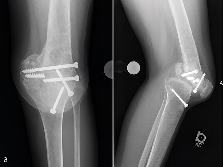
Often the first question is whether or not to remove preexisting hardware at the time of surgery or two-stage prior to knee replacement. Although there have been reports of positive cultures when evaluating removed hardware, I don’t think that prior hardware always needs to be removed before attempting a total knee replacement. Medial hardware on the proximal tibia or distal femur can usually be removed without difficulty through a standard medial parapatellar approach at the time of total knee replacement (Figure 6a, b).


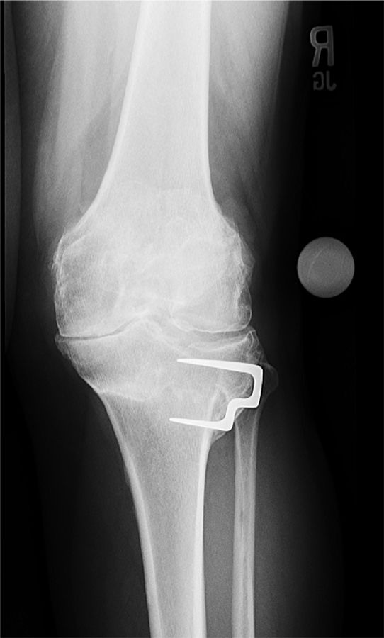
I usually take a careful history of prior infections, open fracture and delayed wound healing after the initial open reduction and internal fixation. I have a low threshold to aspirate knees prior to implantation to exclude the remote possibility of a chronic infection or change my plan to a two-stage procedure if the removed hardware looks suspicious. An MRI imaging might help to detect evidence of osteomyelitis. In the presence of lateral hardware, I usually prefer to remove the hardware in a two-stage fashion. I don’t feel comfortable having a second incision around the knee at the time of a total knee replacement (Figure 7a, b).


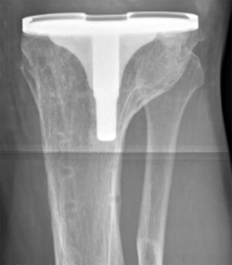
At times I might retain hardware and proceed directly to a total knee arthroplasty without removal of the hardware (Figure 8a, b).


Should Hardware be removed prior to total knee replacement?
1. Medial Hardware that can be excessed at the time of medial parapatellar approach can be removed at the time of total knee replacement
2. Lateral Hardware that is not compromising insertion of a total knee might be retained.
3. Lateral Hardware with extension into the metaphysis and diaphysis compromising total knee replacement should be removed in a two-stage fashion.
4. Consider two-stage hardware removal for patients with open reduction of an open fracture around the joint, wound infection or extended drainage after the primary osteosynthesis.
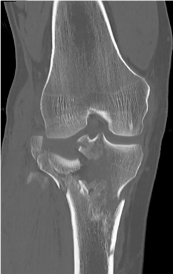
Exposure of the knee can be quite difficult especially if the stiffness is the result of bony impingement. I remember a few patients with intraarticular distal femur fractures that had healed in such a malposition that the resulting step off blocked the flexion of the knee (Figure 9a, b, c).
Dealing with this situation in a knee with less than 45 degrees of flexion requires a very careful step by step exposure. Usually I start by performing a medial capsular release to be able to externally rotate the tibia as far as possible. Once this allows flexion of the knee to 40 to 60 degrees distal resection of the femur can be attempted. Further flexion is achieved with a free hand cut of the proximal tibia to disengage the bony impingement. Despite opening up the extension gap it can be difficult to flex the knee and expose the tibia without a femoral peel and release of the MCL (Figure 10) to allow for separation of the femur from the tibia [6].
A medial femoral peel of the MCL does not always require a hinge, however, personally I have a low threshold to utilize a hinge implant design since patients with extreme preoperative stiffness will not always achieve good range of motion without release of the collateral ligaments and use of a hinge.
How to achieve exposure in the very stiff knee?
1. Release the capsule medially all the way to the insertion of the semimembranosus.
2. Release the semimembranosus and maximize external rotation of the tibia.
3. Distal osteotomy as soon as intramedullary access for the distal cutting jig is achieved. Remove the resected bone and any osteophyte.
4. Free hand proximal tibia rough cut to disengage any bony impingement.
5. If unable to flex the knee and expose the proximal tibia a medial femoral peel, releasing the MCL and externally rotating the tibia and applying valgus stress should allow for adequate exposure.
Unfortunately, many patients with intraarticular fractures and stiffness are younger than 40 years with high expectations and the overall longevity of the implant is a major concern. It pays off to communicate realistic expectations before surgery, nothing can be more frustrating for a young patient than being informed that the now well-functioning postoperative knee should not be put to use on the tennis court. I have made it a habit of meeting the patient at least twice preoperatively to discuss risks and benefits of the surgery and communicate realistic expectations. It gives the patient time to review the options and ask questions. Good communication also makes it easier to deal with a less than perfect outcome. There is no question that patients with intraarticular fractures are more likely to have complications following TKA and they need to be aware of this [7,8].
Knees with preoperative stiffness following intraoperative fractures or knee dislocations are challenging for every surgeon and their outcome is the least predictable of all total knee arthroplasties.
Acute Total Knee Replacement for intraarticular fractures
I have rarely encountered a patient with an indication for a total knee arthroplasty following an acute intraarticular fracture and most studies in the literature are case reports [9]. In part this might be the result of trauma surgeons being the gate keeper for these patients, usually not considering a total knee replacement as a first line treatment. A total knee replacement requires a stable bony support and therefore usually union of the fracture (Figure 11a, b) [10].


With the development of more sophisticated revision implant designs and the ability to transfer loads in the metaphysis using cones, the indication for primary total knee replacement might become more common especially in older less mobile patients that require early weight bearing and rehabilitation (Flow chart 1) [11]. Results of primary total knee replacement are encouraging in older patients with poor bone quality [12].

Flow Chart 1: Basic principles of reconstruction of bony defects in revision total knee
replacement can be applied to bone defects following acute fractures.
Patients with proximal tibia fractures with minimal extension into the metaphysis and comminuted distal femur fractures in the elderly patient with poor preoperative function and bone quality are the ideal candidate to pursue a primary total knee replacement (Figure 12a, b).


The low number of cases we see currently suggest that primary total knee replacement is an underutilized treatment option and good communication between the experienced joint replacement surgeon and trauma surgeon is needed to better define the indication for primary total knee replacement. As long as the primary care of the intraarticular and periarticular fractures around the knee is the domain of the trauma surgeon it is important to remember that many patients with preexisting osteoarthritis or intraarticular fracture extension might require later total knee arthroplasty and medial plate and screw fixation can greatly facilitate removal of hardware and one stage total knee replacement.
When should we consider a primary total knee replacement?
1. Primary joint replacement is preferred for patients beyond 75 years of age with severe OA, with poor bone quality and immobility that compromises partial weight bearing.
2. Primary osteosynthesis is preferred for younger patients without osteoarthritis.
3. Pure depression or apple bite fractures with less than 25% involvement of the tibia plateau in the elderly with or without osteoarthritis can easily be fixed with a standard total knee replacement.
4. Distal femur fracture can be treated with distal femur replacements in older, less mobile patients with poor bone stock (Figure 12) even in the absence of OA.
5. Avoid posterior and lateral hardware placement when attempting an osteosynthesis when preexisting osteoarthritis or comminution of the fracture make posttraumatic osteoarthritis likely.
Summary
Total Knee Arthroplasty in the stiff knee with posttraumatic osteoarthritis is extremely challenging and does not belong in the hand of a low volume or inexperienced surgeon. Patients with significant extraarticular deformities exceeding 20-25 degrees benefit from one- or two stage correction of the deformity prior to total knee arthroplasty. Keep in mind that for these patients stemmed components are usually not possible except when correcting the extraarticular deformity at the time of surgery and this needs to be taken into consideration for young patients with a need for future revision surgeries. Posterior dislocation and severe subluxation following trauma require vascular clearance and availability of a vascular surgeon during the procedure in case of a vascular injury. Dislocation of the knee in the presence of stiffness usually requires a hinged implant. Patients with severe stiffness and deformity secondary to an intraarticular deformity can make the exposure challenging and often benefit from a hinged implants and release of the collateral ligaments. Despite the complex nature of these patients’ good outcomes are possible in patients with posttraumatic osteoarthritis (Flow Chart 2) [13].

Flow Chart 2: Step wise approach to total knee arthroplasty in complex intra- and extraarticular deformities.
References
1. T Hosokawa, Y Arai, S Nakagawa, T Kubo. Total knee arthroplasty with corrective osteotomy for knee osteoarthritis associated with malunion after tibial plateau fracture: A case report. BMC 2017; 10(1): 2
2. A Baldini, L Castellani, F Traverso F, A Balatri, G Balato, V Franceschini. The difficult primary total knee arthroplasty. A review. Bone Joint J 2015;97-B(10 Suppl A):30–9.
3. Dae Kyung Bae et al. A Comparison of the Medium-Term Results of Total Knee Arthroplasty Using Computer-Assisted and Conventional Techniques to Treat Patients With Extraarticular Femoral Deformities. J Arthroplasty 2017, 32: 71-78
4. F Boettner, L Renner, DA Narbarte, C Egidy, M Faschingbauer. Total Knee Arthroplasty for Valgus Osteoarthritis: Results of a standardized Soft tissue release technique. Knee Surg Sports Traumat, 2016, 24(8): 2525-31
5. Keisuke Yagi et al. Treatment of knee osteoarthritis associated with extraarticular varus deformity of the femur: staged total knee arthroplasty following corrective osteotomy. J Orthop Sci 2006, 11: 386-389
6. JB Monsef, F Boettner. Medial Collateral Ligament Release Fascilitates Exposure in Revision Total Knee Arthroplasty. Journal of Knee Surg Reports 2015: 1: 39-43
7. N Weiss, J Parvizi, RT Trousdale, RD Bryce, DG Lewallen. Total Knee Arthroplasty in Patients with a prior Fracture of the tibial plateau. J Bone J Surg. 2003; 85-A: 218-221
8. I Stevenson, TE McMillan, S Baliga. Primary and Secondary Total Knee Arthroplasty for Tibial Plateau Fractures. J Am Acad Orthop Surg 2018: 26: 386-395
9. JF Huang, JJ Shen, JJ Chen, PF Tong. Primary total knee arthroplasty for elderly complex tibial plateau fractures. Acta Orthop Traumatol Turc 2016; 50(6): 702-5
10. S Parratte, M Ollivier, JN Argenson. Primary total knee arthroplasty for acute fracture around the knee. Orthop Traumatol Surg Res 2018: 104(1S): S71-S80
11. H Sivasubramanian, SG Kini, KY Ang, SS Sathappan. Use of tantalum cones in primary arthroplasty of acute proximal tibial fractures. Acta Orthop Belg 2016; 82(3): 593-8
12. M Jabalameli, HA Hadi, A Bagherifard, M Rahbar, M Minator Sajjadi. Long stem total knee arthroplasty for proximal tibial stress fractures in the elderly patients. Arch Bone Jt Surg. 2018; 6(5): 376-380
13. A. Khoshbin, A Stavrakis, A. Sharma, P Woo, A Atrey, YL Lee, A Joseph, D Padgett. Patient-Reported Outcome Measures of Total Knee Arthroplasties for Post-Traumatic Arthritis versus Osteoarthritis: A Short-Term (5- to 10-year) Retrospective Matched Cohort Study. J Arthroplasty 2019: 1-5.