Adjusted mechanical alignment to achieve a well-balanced knee with less soft tissue releases: Surgical tips and tricks for a modified “extension gap first technique” in TKA
Background: Traditional mechanical alignment in total knee arthroplasty aims for a neutral limb axis to ensure implant longevity, yet approximately 20% of patients report functional dissatisfaction. This has prompted interest in alternative alignment philosophies, such as adjusted mechanical alignment, which prioritize patient-specific anatomy and soft tissue tension over systematic neutral targets.
Objective: This article describes a surgical technique for adjusted mechanical alignment using a modified extension gap-first approach and a guided-motion total knee system to improve functional outcomes in varus osteoarthritis.
Key Points: The technique utilizes preoperative long-leg radiographs to differentiate between osteoarthritic and constitutional varus. Intraoperatively, an adjustable distal femoral cutting block allows for a maximum of 2.5° additional medial varus to balance the extension gap, reducing the need for extensive medial soft tissue releases. Femoral rotation is determined by soft tissue tension using a quantitative laminar tensioner, with bony landmarks serving as secondary controls. Clinical data from 600 patients demonstrated a mean postoperative hip-knee-ankle angle of -2.9° ± 2.1°, indicating a deliberate residual varus. A randomized trial of 75 patients showed that this adjusted approach yielded significantly higher Knee Society Scores (178.5 vs. 162.4) and Forgotten Joint Scores (78.2 vs. 64.1) at 24-month follow-up compared to traditional mechanical alignment.
Conclusion: Adjusted mechanical alignment combined with gap balancing effectively restores knee function and improves patient satisfaction scores. By allowing conservative deviations from a neutral axis, surgeons can achieve symmetrical ligament tension while maintaining safe implant alignment parameters.
Introduction
In total knee arthroplasty (TKA), one of the primary goals has been a well-balanced stable knee with a neutrally aligned lower limb because this has been considered to be necessary for positive clinical outcomes and implant survivorship [1]. Mechanical alignment (MA) technique for TKA aims to systematically create a “biomechanically friendly prosthetic knee” rather than restore the constitutional patient-specific anatomy [1,2]. MA technique has three aims. The first aim is to create a neutral frontal limb mechanical axis with the femorotibial joint line perpendicular to this mechanical axis. The second aim is to align the femoral component parallel to the trans-epicondylar axis (TEA) in the axial plane. Third, the MA technique aims to align the extensor mechanism to the components in all three planes [3]. It has been recommended that this implant positioning prevents patella instability and maltracking, early implant loosening and accelerated polyethylene wear because it generates less and more-evenly-distributed stress inside the joint and at the bony interfaces [1]. This concept aims for a “systematic target” rather than a restoration of the patient anatomy, and it can therefore be defined as the “systematic approach for TKA implantation” [1].
Although MA technique provides good long-term implant survivorship, the functional outcomes of MA TKAs are disappointing, with residual symptoms and high rates of dissatisfaction [4]. This is in spite of the many improvements in the design of the implants and more precision of the surgery using better instruments, navigation systems, patient-specific instrumentation and robotics [5].
Efforts to find improved functional outcomes and more natural knee kinematics of TKA have led to a renewed interest in alternative surgical techniques. They all are based on a more native ligament tension using more patient specific alignment targets [6]. These new concepts include kinematical alignment (KA), restricted KA and adjusted MA, the latter of which was originally described as constitutional alignment [2] (Diagram).
These new techniques represent an ongoing controversy, and there is currently no evidence that any of them lead to superior clinical outcome and long-term implant survival when compared to the classical MA technique. Nevertheless, there is a growing interest for these new techniques, since many surgeons believe that the classical MA concept is responsible for the 20% dissatisfaction rate in TKA. In this paper, we describe our preferred surgical technique for the adjusted MA philosophy using a modified extension gap first technique with less soft tissue releases and a guided-motion total knee design (Journey II BCS system, Smith & Nephew, Memphis, TN) (Figure 1).

Imaging screening
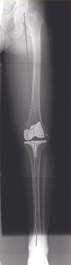
All patients undergo standard anteroposterior and lateral view radiography and a full long leg (hip-knee-ankle angle [HKA]) standing radiograph. The mechanical medial proximal tibia angle (mMPTA) and the mechanical lateral distal femur angle (mLDFA) are evaluated in order to differentiate between osteoarthritis-based varus and bony varus deformity.
Indications for the use of knee balancer
Patients with primary or secondary osteoarthritis requiring primary knee arthroplasty are eligible. Exclusion criteria are: varus malalignment > 20°; preoperative knee joint instability; valgus osteoarthritis.
Preparation and surgical technique
MediCAD (mediCAD Hectec GmbH) is used for preoperative planning (Figure 2). Surgical planning begins with a neutral hip-knee-ankle angle in the coronal plane. In the sagittal plane, 4° femoral component flexion in relation to the femoral sagittal mechanical axis and 3° tibial slope are targeted. Femoral rotation parallel to the anatomical (true) TEA is set intraoperatively by identifying the medial and lateral epicondyles. A medial parapatellar approach is used for all surgeries.

Standard instrumentation is used, with intramedullary alignment guides on both the femoral and the tibial side (Figures 3 - 4).


Resection of the amount of bone to be replaced by the implant takes place from the proximal tibia (9 mm from the lateral side) and from the distal femur (9 mm from the prominent side) in accordance with the preoperative planning. The marked TEA and Whiteside line on the distal femur resection represent additional landmarks for the ligament-based femoral rotation (balanced gap technique) (Figure 5), which will be described later.

An essential step of this functional alignment technique is the removal of any lateral, medial and accessible posterior femoral osteophytes before balancing the ligaments, in order to avoid any influence of the osteophytes on ligament tension [7,8] (Figure 6).

After the femoral and tibial bone cuts have been made, a spacer block is used for a first assessment of the joint gap to determine the initial distraction height of the balancer and to verify the accuracy of the resections, using an alignment rod (Figure 7).

Next, the quantitative laminar tensioner device (Smith & Nephew Inc., Memphis (TN), USA) is inserted and spread by hand to tension until the previously calculated inlay thickness is obtained, which can be read on the tensioner device. The resulting extension gap is assessed (Figures 8 - 9). In order to avoid an artificial gap mismatch, this must be done carefully and with reproducible force [9]. The asymmetry is indicated by the mobile femoral rocker, so the size of the gap and the difference in ligament tension between medial and lateral can be determined (Figure 8).

In many varus knees there is a gap asymmetry, and the extension gap is typically narrower medially. In the classical MA technique, this asymmetry is solved by a release of the medial soft tissue structures using different techniques, which sometimes has to include the superficial medial collateral ligament (MCL). In the adjusted MA technique, the target of implant positioning is equal ligament tension rather than a neutral axis. This allows the adjustment of the distal femoral resection by a maximum of 2.5° additional medial varus correction cut. This will solve the extension gap asymmetry with no or less medial releases in most cases. An adjustable distal femoral cutting block that was developed especially for our surgical technique is used to achieve this adjusted MA alignment target (Figure 9).

Once the corrective cut of the distal femur has taken place, the extension gap is reassessed. Final femur preparation is continued if there is a symmetrical extension gap with balanced lateral and medial soft tissue tension. (Figure 10).

The ligament tensioner is then used to tension and assess the future flexion gap at 90° of flexion (Figure 11).

In our gap technique, the femoral rotation is determined by the soft tissue tension, and the bony landmarks (epicondylar and Whiteside line) are used as secondary control only [6]. At this stage, the flexion gap is usually still tighter on the medial side, so the femoral component position will rotate by the mobile rocker of the tensioner externally until it achieves a rectangular flexion gap with equal ligament tension. The resulting flexion gap height and symmetry is again measured with the tensioner. The flexion gap should now be matched to the extension gap that was previously measured before performing the final femur resections. If the extension and flexion gaps are balanced, it is then possible to use the classic 4-in-1 cutting block to carry out the final resection of the femur, preparation of the tibia, and implant the components (Figure 12).

The tibial cut and the tibial rotation are set by repeated flexion-extension cycles with the trial components in place. The Akagi-line from the center of the posterior cruciate ligament (PCL) to the medial border of the tibial tuberosity (PCL-TT1) is used for verification purposes. A slight external rotation of the tibial component is used in case of any doubt.
Technique tips and tricks
Severe varus deformities >20° are not indicated for this technique, since this would require extensive medial releases to balance the extension gap to avoid major undercorrection. Once the superficial MCL is released, the balanced gap technique does not work anymore for the flexion gap. The same occurs with medial ligaments insufficiencies and knees with severe varus thrust.
It is pivotal to take osteophytes into account when determining the height of the flexion and extension gap and their symmetry. Osteophytes should therefore be removed before correction cuts for the frontal alignment are performed. After removal of large posterior osteophytes, the tension of the posterior capsule changes and the extension gap increases. To compensate for such reduced capsular tension, a reduction of the tibial resection height by approximately 2 mm may be useful to prevent the use of a too-thick inlay (Figures 13 - 14).


In case of doubt that an optimal femoral axial component alignment has been achieved by the balanced gap technique, the 90° tibia cut and the soft tissue tension should be assessed again. In some exceptional cases, the rotation of the femoral component must be adapted to functional measures like flexion gap stability and patellofemoral tracking. This will require additional soft tissue releases to balance the flexion gap or, alternatively, an increased degree of constraint should be considered. Depending on the personal preferences of the surgeon, the gap balancing technique can also be combined with patient-specific instrumentation, surgical navigation or robotic surgery.
Postoperative rehab program
Weight bearing is started on the first postoperative day. Full weight bearing with two crutches is scheduled for the first 4 postoperative weeks, after which the use of the crutches is gradually reduced. Typically, patients are hospitalized for 5 to 7 days, with subsequent rehabilitation in a rehabilitation center for 3 weeks.
Clinical results
Approximately 600 patients were operated in our clinic with the balanced gap technique presented in this paper. In this patient cohort, the HKA changed from -6.7° ± 3.6° (range, -0.5 to -19°) preoperatively to -2.9° ± 2.1° (range, -0.5 to -5.5°) postoperatively. Hence, a residual varus was seen in all patients (Figures 15 - 16).


Furthermore, we conducted a randomized clinical trial in which we compared 75 patients operated with a standard MA technique with our adjusted MA technique. Baseline characteristics of the patients are presented in Table 1.
Postoperatively, all patients were assessed using the Knee Society Score [10], the Forgotten Joint Score [11], and the High Flexion Knee Score [12].
All patients were assessed preoperatively and at 24 months follow-up. There were no revisions in any study group, and all patients attended final follow-up. Clinical results are presented in Table 2.
Discussion/conclusion
In this paper, we present a surgical technique that enables measured resection TKA combined with individual ligament tension based on femoral implant alignment [1]. The technique can be classified as adjusted mechanical alignment according to the classification of Rivère et al [1] (Diagram). Maximally 2.5° deviation from neutral alignment is allowed in the coronal plane [6]. The original concept of constitutional alignment was proposed by Bellemans et al and allows a maximum residual varus of 5° at the femur [13]. In our hospital, we restricted intentional (planned) residual varus to a more conservative value of 2.5°, which would still lead to implant position in the safe area even in the presence of a cutting error of up to 2.5°.
In the classical MA approach, the mechanical axis goes straight through the center of the knee, and the tibial and femoral cuts are perpendicular to the mechanical axis, which creates a non-physiological situation. In the native knee, the joint line is horizontal to the floor during the adduction phase of one leg stance, whereas in a mechanically reconstructed knee, the joint line is oblique.
A major advantage of the Journey BCS system is that it comprises a medial inclination of 3° of the polyethylene and an asymmetric geometry of the femoral condyles; the system, therefore, allows a tibial neutral cut even when a slight varus alignment is targeted.
Working towards a more anatomical knee component alignment can be done in three different ways: adjusting the tibia only, adjusting both the tibia and the femur (as in the classical anatomical and kinematic alignment), and adjusting the femur only. However, studies have shown that deviation from neutral alignment on the tibial component should be avoided, and it is safer to have the alignment change coming from the femoral component [14,15], which is respected in our approach.
In addition, the surgeon still has the possibility of soft tissue release using the technique of Whiteside et al [16] or others. In our experience, however, the initial adjustment is typically sufficient to obtain a balanced ligament tension, and ligament releases are typically not required in non-severe deformed knees with no ligament insufficiencies.
With the gap balancing technique, an accurate proximal tibial cut is of critical importance as any initial alignment errors will have a negative effect on all subsequent cuts, and especially femur rotational alignment will be compromised [17].
A disadvantage of the measured resection technique is that the surgeon is unable to recognize a functionally unfavorable femoral rotation when performing the femur bone cuts. This might lead to flexion gap instability and is recognized at the final ligament balancing at the end of surgery [18]. In contrast, symmetrical ligament tension is always achieved by the gap balancing technique but might lead to pathological femur rotation under several circumstances. For the surgical technique described in this paper, it is necessary to check and adjust the femoral rotation as required prior to femoral resection based on the ligament balance. Internal rotation up to 3° or external rotation up to 6° are still considered to be acceptable as long as the flexion gap is stable and the patella is tracking normal [6,19-22]. If there is any doubt about femoral rotational alignment, it is recommended to adapt the femoral component rotation to functional flexion gap stability and patellofemoral tracking. Alternatively, there is the option of an increased degree of constraint.
Slightly better clinical outcomes were produced by using an adapted MA technique at early-term follow-up. Our study implies that adjusted MA TKA restored function without failure. Further studies with more numbers and longer FU are required to confirm our findings.
References
1. Riviere C, Iranpour F, Auvinet E, Howell S, Vendittoli PA, Cobb J, Parratte S (2017) Alignment options for total knee arthroplasty: A systematic review. Orthop Traumatol Surg Res 103 (7):1047-1056
2. Bellemans J, Colyn W, Vandenneucker H, Victor J (2012) The Chitranjan Ranawat award: is neutral mechanical alignment normal for all patients? The concept of constitutional varus. Clin Orthop Relat Res 470 (1):45-53
3. Matziolis G, Pfiel S, Wassilew G, Boenicke H, Perka C (2011) Kinematic analysis of the flexion axis for correct femoral component placement. Knee Surg Sports Traumatol Arthrosc 19 (9):1504-1509
4. Nam D, Nunley RM, Barrack RL (2014) Patient dissatisfaction following total knee replacement: a growing concern? Bone Joint J 96-B (11 Supple A):96-100
5. Thienpont E, Fennema P, Price A (2013) Can technology improve alignment during knee arthroplasty. Knee 20 Suppl 1:S21-28
6. Hommel H, Perka C, Pfitzner T (2016) Preliminary results of a new surgical technique in total knee arthroplasty (TKA) using the native ligament tension for femoral implant positioning in varus osteoarthritis. Arch Orthop Trauma Surg 136 (7):991-997
7. Baldini A, Scuderi GR, Aglietti P, Chalnick D, Insall JN (2004) Flexion-extension gap changes during total knee arthroplasty: effect of posterior cruciate ligament and posterior osteophytes removal. J Knee Surg 17 (2):69-72
8. Whiteside LA (2004) Ligament balancing: Weichteilmanagement in der Knieendoprothetik. Springer, Berlin
9. Suzuki T, Ryu K, Kojima K, Iriuchishima T, Saito S, Nagaoka M, Tokuhashi Y (2015) Evaluation of spacer block technique using tensor device in unicompartmental knee arthroplasty. Arch Orthop Trauma Surg 135 (7):1011-1016
10. Insall JN, Dorr LD, Scott RD, Scott WN (1989) Rationale of the Knee Society clinical rating system. Clin Orthop Relat Res 248 (11):13-14
11. Behrend H, Giesinger K, Giesinger JM, Kuster MS (2012) The «forgotten joint» as the ultimate goal in joint arthroplasty: validation of a new patient-reported outcome measure. J Arthroplasty 27 (3):430-436 e431
12. Na SE, Ha CW, Lee CH (2012) A new high-flexion knee scoring system to eliminate the ceiling effect. Clin Orthop Relat Res 470 (2):584-593
13. Bellemans J (2011) Neutral mechanical alignment: a requirement for successful TKA: opposes. Orthopedics 34 (9):e507-509
14. Innocenti B, Bellemans J, Catani F (2016) Deviations From Optimal Alignment in TKA: Is There a Biomechanical Difference Between Femoral or Tibial Component Alignment? J Arthroplasty 31 (1):295-301
15. Ritter M, Davis K, Meding J, Pierson J, Berend M, Malinzak R (2011) The effect of alignment and BMI on failure of total knee replacement. J Bone Joint Surg Am 93A (17):1588-1596
16. Whiteside LA (2002) Soft tissue balancing: the knee. J Arthroplasty 17 (4 Suppl 1):23-27
17. Hommel H, Perka C (2015) Gap-balancing technique combined with patient-specific instrumentation in TKA. Arch Orthop Trauma Surg 135 (11):1603-1608
18. Springer BD, Parratte S, Abdel MP (2014) Measured resection versus gap balancing for total knee arthroplasty. Clin Orthop Relat Res 472 (7):2016-2022
19. Schnurr C, Nessler J, Konig DP (2009) Is referencing the posterior condyles sufficient to achieve a rectangular flexion gap in total knee arthroplasty? Int Orthop 33 (6):1561-1565
20. Matziolis G, Boenicke H, Pfiel S, Wassilew G, Perka C (2011) The gap technique does not rotate the femur parallel to the epicondylar axis. Arch Orthop Trauma Surg 131 (2):163-166
21. Pietsch M, Hofmann S (2012) Early revision for isolated internal malrotation of the femoral component in total knee arthroplasty. Knee Surg Sports Traumatol Arthrosc 20 (6):1057-1063
22. Hofmann S, Romero J, Roth-Schiffl E, Albrecht T (2003) [Rotational malalignment of the components may cause chronic pain or early failure in total knee arthroplasty]. Orthopade 32 (6):469-476