Total Knee Arthroplasty in prior anterior cruciate ligament reconstruction: how to manage a peculiar challenge in the robotic era
Background: Patients with a history of anterior cruciate ligament reconstruction (ACLR) increasingly present with secondary knee osteoarthritis. These cases often exhibit unique anatomical features, such as increased posterior tibial slope and coronal plane deformities, which complicate total knee arthroplasty (TKA) and are associated with higher complication rates and longer operative times compared to primary osteoarthritis.
Objective: This article evaluates the technical challenges of TKA following prior ACLR and assesses the efficacy of imageless robotic-assisted surgery and personalized alignment strategies in managing these complex cases.
Key Points: Clinical data from a prospective study of 70 patients demonstrate that the ACLR group had significantly steeper preoperative tibial slopes (12.55° vs. 9.42°) and higher rates of central pivot laxity (54.3%) than controls. Intraoperatively, the ACLR group required longer surgical durations, more frequent tibial recuts (20% vs. 2.8%), and a lower utilization of medial congruent liners. Despite these baseline anatomical and functional disparities, the use of an imageless robotic system facilitated precise implant positioning and soft tissue balancing. At a mean follow-up of over three years, postoperative outcomes including Knee Society Scores and WOMAC indices were comparable between groups, with the exception of a residual reduction in maximum flexion in the ACLR cohort.
Conclusion: Robotic-assisted TKA using a personalized alignment approach effectively mitigates the technical difficulties associated with post-ACLR altered anatomy. This technology enables intraoperative adjustments to constraint levels and soft tissue balancing, resulting in clinical outcomes and complication rates equivalent to those of primary TKA.
Introduction
Anterior cruciate ligament (ACL) injuries have been managed with intra-articular surgical reconstruction since the 1980s [1] Piedade SR, Leite Arruda BP, de Vasconcelos RA, Parker DA, Maffulli N. Rehabilitation following surgical reconstruction for anterior cruciate ligament insufficiency: What has changed since the 1960s?-State of the art. J ISAKOS Jt Disord Orthop Sports Med 2023;8:153–62. https://doi.org/10.1016/j.jisako.2022.10.001.. As a result, there is now a growing number of patients presenting with knee osteoarthritis (OA) following prior ACL reconstruction (ACLR) in clinical practice.
It is therefore essential to understand the specific characteristics of these knees, which often present with unique anatomical and functional features. These features can be better interpreted and managed with the use of robotic-assisted total knee arthroplasty (TKA), although a deeper understanding of them can also prove valuable in conventional TKA.
The aim of this article is to highlight the challenges encountered in TKA for patients with OA following prior ACLR, and to evaluate the role of imageless robotic surgery and a personalized approach through clinical data.
Osteoarthritis in prior acl reconstruction: challenges in tka
ACL injuries are well recognized as a major risk factor for the later development of knee osteoarthritis (OA). The instability that follows trauma often accelerates damage to both cartilage and menisci, with these degenerative changes becoming more pronounced over time, especially in the absence of appropriate treatment [2], Lien-Iversen T, Morgan DB, Jensen C, Risberg MA, Engebretsen L, Viberg B. Does surgery reduce knee osteoarthritis, meniscal injury and subsequent complications compared with non-surgery after ACL rupture with at least 10 years follow-up? A systematic review and meta-analysis. Br J Sports Med 2020;54:592–8. https://doi.org/10.1136/bjsports-2019-100765.[3] Alessio-Mazzola M, Placella G, Zagra L, Leone O, Di Fabio N, Moharamzadeh D, et al. Previous anterior cruciate ligament reconstruction influences the complication rate of total knee arthroplasty: a systematic review and meta-analysis. EFORT Open Rev 2023;8:854–64. https://doi.org/10.1530/EOR-23-0069..
The biomechanical alterations caused by ACL deficiency, primarily knee laxity, can progressively lead to structural deterioration within the joint. This often manifests as coronal plane deformities and wear-related defects, particularly in the posteromedial region of the tibial plateau, due to abnormal joint loading and altered kinematics [4] Simon D, Mascarenhas R, Saltzman BM, Rollins M, Bach BR, MacDonald P. The Relationship between Anterior Cruciate Ligament Injury and Osteoarthritis of the Knee. Adv Orthop 2015;2015:928301. https://doi.org/10.1155/2015/928301..
ACLR is currently the treatment of choice to restore stability and protect the knee from further damage during long-term follow-up [5], Musahl V, Nazzal EM, Lucidi GA, Serrano R, Hughes JD, Margheritini F, et al. Current trends in the anterior cruciate ligament part 1: biology and biomechanics. Knee Surg Sports Traumatol Arthrosc Off J ESSKA 2022;30:20–33. https://doi.org/10.1007/s00167-021-06826-y.[6], Musahl V, Engler ID, Nazzal EM, Dalton JF, Lucidi GA, Hughes JD, et al. Current trends in the anterior cruciate ligament part II: evaluation, surgical technique, prevention, and rehabilitation. Knee Surg Sports Traumatol Arthrosc Off J ESSKA 2022;30:34–51. https://doi.org/10.1007/s00167-021-06825-z.[7] Grassi A, Pizza N, Al-Zu’bi BBH, Fabbro GD, Lucidi GA, Zaffagnini S. Clinical Outcomes and Osteoarthritis at Very Long-term Follow-up After ACL Reconstruction: A Systematic Review and Meta-analysis. Orthop J Sports Med 2022;10:23259671211062238. https://doi.org/10.1177/23259671211062238.. However, despite its benefits, ACLR does not eliminate the risk of OA. In fact, data show that individuals with a history of ACLR are seven times more likely to require TKA within 15 years compared to the general population [8] Leroux T, Ogilvie-Harris D, Dwyer T, Chahal J, Gandhi R, Mahomed N, et al. The risk of knee arthroplasty following cruciate ligament reconstruction: a population-based matched cohort study. J Bone Joint Surg Am 2014;96:2–10. https://doi.org/10.2106/JBJS.M.00393..
Recent meta-analyses have highlighted that patients undergoing TKA following ACLR face higher rates of complications and longer operative times compared to those receiving TKA for primary OA [3] Alessio-Mazzola M, Placella G, Zagra L, Leone O, Di Fabio N, Moharamzadeh D, et al. Previous anterior cruciate ligament reconstruction influences the complication rate of total knee arthroplasty: a systematic review and meta-analysis. EFORT Open Rev 2023;8:854–64. https://doi.org/10.1530/EOR-23-0069.. These cases more frequently require the use of revision components and intraoperative soft tissue releases, reflecting the increased complexity associated with previous ligament surgery.
In response to these challenges, robotic-assisted TKA has emerged as a promising tool. By enabling personalized alignment strategies, robotic systems allow surgeons to better accommodate each patient’s unique biomechanical, anatomical, and kinematic characteristics. Evidence supports that robotic TKA enhances the precision of implant placement, optimizes component alignment, and provides real-time feedback on ligament balance, factors that may contribute to improved functional recovery and greater implant longevity [9], Elliott J, Shatrov J, Fritsch B, Parker D. Robotic-assisted knee arthroplasty: an evolution in progress. A concise review of the available systems and the data supporting them. Arch Orthop Trauma Surg 2021;141:2099–117. https://doi.org/10.1007/s00402-021-04134-1.[10], Mancino F, Rossi SMP, Sangaletti R, Lucenti L, Terragnoli F, Benazzo F. A new robotically assisted technique can improve outcomes of total knee arthroplasty comparing to an imageless navigation system. Arch Orthop Trauma Surg 2023;143:2701–11. https://doi.org/10.1007/s00402-022-04560-9.[11], Rossi SMP, Sangaletti R, Andriollo L, Matascioli L, Benazzo F. The use of a modern robotic system for the treatment of severe knee deformities. Technol Health Care Off J Eur Soc Eng Med 2024. https://doi.org/10.3233/THC-231261.[12] Andriollo L, Benazzo F, Cinelli V, Sangaletti R, Vellutto C, Rossi SMP. The use of an imageless robotic system in revision of unicompartmental knee arthroplasty. Knee Surg Sports Traumatol Arthrosc Off J ESSKA 2024. https://doi.org/10.1002/ksa.12574..
Clinical experience with imageless robotic TKA
To investigate the outcomes of robotic-assisted TKA in patients with a history of ACLR, a prospective study was carried out at a high-volume knee arthroplasty center. The study enrolled all consecutive patients undergoing primary TKA after ACLR between January 2021 and February 2023, using the imageless ROSA® Knee System (Zimmer Biomet, Warsaw, IN, USA). A control group of patients undergoing TKA for primary OA was selected randomly to match the study group in terms of demographics, ensuring comparability.
Only younger patients, under the age of 65, were enrolled, with a minimum follow-up period of two years.
In the ACLR group, patients with a history of additional periarticular procedures, such as osteotomies or fractures, were excluded. In the control group, any patient with a prior surgical intervention was excluded. Furthermore, individuals with autoimmune joint diseases were not included. Patients were also excluded if their preoperative, intraoperative, or follow-up data were incomplete or if a comprehensive robotic data report was unavailable.
Demographic data were collected, including age, gender, and body mass index (BMI). For patients with a history of prior ACLR, additional information was recorded, such as the type of graft used, femoral and tibial fixation methods, and the time elapsed since reconstruction.
Additionally, perioperative data were analyzed, including in-hospital complications (such as deep vein thrombosis, pulmonary embolism, urinary tract infection, heart failure, pneumonia, and acute kidney injury), length of hospital stay, and surgical duration. Data were also collected on the type of prosthesis used, including the level of constraint, the use of cones or augments, and the removal of fixation devices from the prior ACLR. Surgical reports were reviewed to assess the need for recuts during the procedure.
The evaluation also included acute complications, such as post-surgical local hematoma, vascular injury, or nerve injury, as well as follow-up complications, including rates of readmission or reoperation and their respective causes, such as infection, aseptic loosening, thromboembolic events, and wound complications.
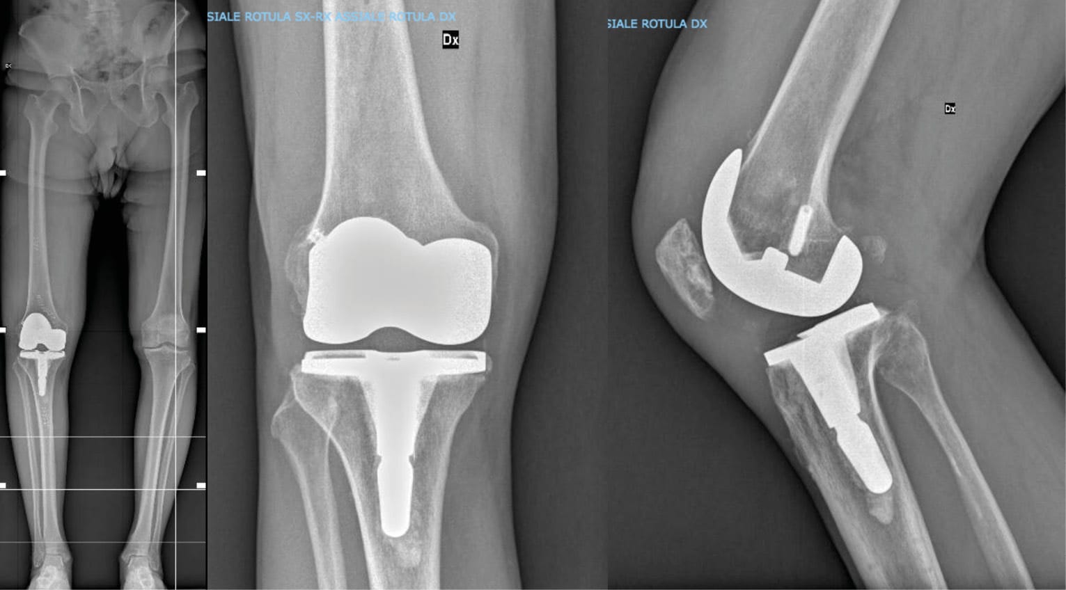
Radiographic evaluations were performed using anteroposterior, lateral, Rosenberg, sunrise, and full-length weight-bearing X-rays (Figure 1). From these, the mechanical hip-knee-ankle angle (mHKA), lateral distal femoral angle (LDFA), medial proximal tibial angle (MPTA), and arithmetic HKA (aHKA) classification were calculated [13] MacDessi SJ, Griffiths-Jones W, Harris IA, Bellemans J, Chen DB. Coronal Plane Alignment of the Knee (CPAK) classification. Bone Jt J 2021;103-B:329–37. https://doi.org/10.1302/0301-620X.103B2.BJJ-2020-1050.R1..

Preoperative data for all patients included knee range of motion (ROM), measured as maximum flexion and extension deficit, as well as the Knee Society Score (KSS) for function and knee components, and the Western Ontario and McMaster Universities Osteoarthritis Index (WOMAC) for pain, stiffness, and function subscales. Pain levels were reported using the Numerical Rating Scale (NRS) (0–100). Additionally, preoperative central pivot stability was assessed using the Lachman test. At the final follow-up, these clinical scores were reassessed, with the addition of the Forgotten Joint Score-12 (FJS-12).
Surgical technique
All patients underwent surgery using the same technique, following an individualized alignment approach, as described by Rossi and Benazzo [14] Rossi SMP, Benazzo F. Individualized alignment and ligament balancing technique with the ROSA® robotic system for total knee arthroplasty. Int Orthop 2023;47:755–62. https://doi.org/10.1007/s00264-022-05671-z.. According to the defined parameters, this technique is based on initial planning of intra-articular corrections with bone resections, followed by a tibial resection, which allows for validation and data implementation in the planning. Next, a re-evaluation of ligament compliance is performed using the FuZion tensioning device (Zimmer Biomet, Warsaw, IN, USA), followed by a distal femoral resection, executed based on ligament constraints after the tibial cut. Finally, FuZion is used for final rotational alignment, and the procedure is completed with 4-in-1 femoral cuts, tibial and patellar preparation, and cementing (Figure 2).

For standard implants, the Persona® (Zimmer Biomet, Warsaw, IN, USA) was used, while for Varus-Valgus Constrained (VVC) implants, the NexGen® Legacy® Constrained Condylar Knee (LCCK, Zimmer Biomet, Warsaw, IN, USA) was utilized.
Results and key findings
A total of 70 patients were included: 35 in the OA after ACLR group and 35 in the primary OA control group. The ACLR group had undergone reconstruction an average of 29.2 years prior to TKA (SD ± 7.5). Graft types varied: 20% received synthetic LARS grafts, 34.3% had hamstring autografts, and 45.7% had bone–patellar tendon–bone (BPTB) grafts. Notably, 20% of patients had sustained a second ACL injury requiring revision surgery.
There were statistically significant differences in the anatomical and functional profiles between the two groups. The ACLR group had a steeper tibial slope (12.55° vs. 9.42°, p = 0.002), reduced knee flexion (106.47° vs. 118.57°, p = 0.021), and greater central pivot laxity (54.3% vs. 17.1%, p = 0.001). Functional scores also reflected this impairment: KSS-knee (61.56 vs. 67.81, p = 0.041), KSS-function (63.68 vs. 69.16, p = 0.032), WOMAC stiffness (6.14 vs. 3.34, p = 0.017), and WOMAC function (52.23 vs. 45.56, p = 0.035) were all significantly worse in the ACLR group.
The complete preoperative characteristics are reported in Table 1.

Medial congruent (MC) liners were used less frequently (17.1% vs. 42.9%, p = 0.017). Conversely, tibial recuts were significantly more common in ACLR patients (20% vs. 2.8%, p = 0.017), reinforcing the need to reassess balance after the tibial cut. The detailed perioperative outcomes are reported in Table 2.

No patient required an osteotomy of the anterior tibial tuberosity due to reduced flexion and/or a low patella. Additionally, no patients required the use of cones or tibial augments, and no in-hospital complications were recorded in either group. Fixation devices were completely removed at the femoral level in 8 patients (22.9%), while they were left in place in 20 patients (57.1%). The remaining 7 patients (20%) exhibited resorption of the fixation devices (Figure 3).

At the tibial level, fixation devices were removed in 18 patients (51.4%), either not removed or only partially removed in 10 patients (28.6%), while 7 patients (20%) exhibited resorption of the fixation devices.
The mean follow-up period was 37.78 months (SD 10.5) in the OA after ACLR group and 36.14 months (SD 8.1) in the primary OA group (p = 0.56).
Postoperative outcomes showed a statistically significant difference in maximum flexion, which was lower in the OA after ACLR group compared to the primary OA group (114.41° vs. 128.61°, p < 0.001). Complete postoperative outcome data are available in Table 3.

The prior ACLR group reported a readmission rate of 5.7%, corresponding to two patients with an intra-articular hematoma requiring non-surgical drainage. Additionally, one patient in this group experienced stiffness, with knee flexion limited to 90° due to patella baja (Modified Insall-Salvati Ratio, mISR = 1.67).
The primary OA group had a readmission rate of 2.9%, also due to non-surgical drainage of an intra-articular hematoma. However, the difference in readmission rates between the two groups was not statistically significant (p = 0.99).
No cases of infection, aseptic loosening, thromboembolic events, wound complications, or other major complications were reported, resulting in a 0% revision rate in both groups at the final follow-up.
The main findings of this clinical experience show that, despite preoperative anatomical differences, particularly in native tibial slope, and significant functional disparities in maximum flexion, KSS-knee, KSS-function, and WOMAC stiffness and function, postoperative outcomes remained comparable between the prior ACLR group and patients with primary OA after an average follow-up of over three years. The only exception was a residual reduction in knee flexion in the ACLR group.
These results were achieved using an imageless robotic system combined with a personalized approach, which led to specific intraoperative differences. These included longer surgical times, the use of different liners, and a higher frequency of tibial recuts in patients with prior ACLR. The complication rate is minimized and comparable between patients undergoing TKA after prior ACLR and those with TKA for primary OA.
TKA after ACL reconstruction: key features to know
Several studies have identified tibial slope as a key risk factor for ACL injury, as an increased posterior slope can contribute to greater anterior tibial translation and increased stress on the ligament [15] Cronström A, Tengman E, Häger CK. Return to Sports: A Risky Business? A Systematic Review with Meta-Analysis of Risk Factors for Graft Rupture Following ACL Reconstruction. Sports Med Auckl NZ 2023;53:91–110. https://doi.org/10.1007/s40279-022-01747-3.. A posterior tibial slope exceeding 10.1° has been linked to an 11-fold higher risk of ACL graft failure, suggesting a biomechanical predisposition to instability and recurrent injury [16] Dracic A, Zeravica D, Zovko I, Jäger M, Beck S. Cut-off value for the posterior tibial slope indicating the risk for retear of the anterior cruciate ligament. Knee Surg Sports Traumatol Arthrosc Off J ESSKA 2024. https://doi.org/10.1002/ksa.12552.. However, an increased posterior tibial slope may not be a significant risk factor for ACL tears in pediatric and adolescent patients [17] Farid AR, Pradhan P, Stearns SA, Kocher MS, Fabricant PD. Association Between Posterior Tibial Slope and ACL Injury in Pediatric Patients: A Systematic Review and Meta-analysis. Am J Sports Med 2024;52:2911–8. https://doi.org/10.1177/03635465231199649.. This highlights the importance of tibial slope, even in healthy knees, suggesting that its evaluation may influence surgical outcomes.
Hoxie et al. reported significant preoperative differences between patients with prior ACLR and those with primary OA, findings that mirror the results observed in the total sample of the present study [18] Hoxie SC, Dobbs RE, Dahm DL, Trousdale RT. Total knee arthroplasty after anterior cruciate ligament reconstruction. J Arthroplasty 2008;23:1005–8. https://doi.org/10.1016/j.arth.2007.08.017.. Systematic reviews have not shown significant differences in post-TKA clinical scores between the previous ACLR group and the control group [19] Chaudhry ZS, Salem HS, Purtill JJ, Hammoud S. Does Prior Anterior Cruciate Ligament Reconstruction Affect Outcomes of Subsequent Total Knee Arthroplasty? A Systematic Review. Orthop J Sports Med 2019;7:2325967119857551. https://doi.org/10.1177/2325967119857551.. The most commonly used scores include the WOMAC score, KSS, and International Knee Society Score (IKS) [3] Alessio-Mazzola M, Placella G, Zagra L, Leone O, Di Fabio N, Moharamzadeh D, et al. Previous anterior cruciate ligament reconstruction influences the complication rate of total knee arthroplasty: a systematic review and meta-analysis. EFORT Open Rev 2023;8:854–64. https://doi.org/10.1530/EOR-23-0069.. Patients with a history of ACLR generally demonstrate postoperative subjective and functional outcomes comparable to those of control patients following TKA [20] Lizaur-Utrilla A, Martinez-Mendez D, Gonzalez-Parreño S, Marco-Gomez L, Miralles Muñoz FA, Lopez-Prats FA. Total Knee Arthroplasty in Patients With Prior Anterior Cruciate Ligament Reconstruction. J Arthroplasty 2018;33:2141–5. https://doi.org/10.1016/j.arth.2018.02.054..
In the two groups evaluated in the present study, statistically significant preoperative differences were found in both WOMAC and KSS scores, suggesting functional heterogeneity between the groups. However, no significant differences were found postoperatively.
Watters et al., in a study conducted on a cohort of 122 patients with prior ACLR, compared to a matched control group, reported higher preoperative KSS scores in the ACLR group [21] Watters TS, Zhen Y, Martin JR, Levy DL, Jennings JM, Dennis DA. Total Knee Arthroplasty After Anterior Cruciate Ligament Reconstruction: Not Just a Routine Primary Arthroplasty. J Bone Joint Surg Am 2017;99:185–9. https://doi.org/10.2106/JBJS.16.00524.. These findings contrast with data of this study, where preoperative KSS scores were significantly lower in patients with a history of ACLR. However, in both studies, no statistically significant differences were observed between the two groups postoperatively.
Several studies have reported greater extension deficits or reduced flexion in the ACLR group. However, at the final follow-up, no significant differences in postoperative range of motion were found between the ACLR and control groups [3], Alessio-Mazzola M, Placella G, Zagra L, Leone O, Di Fabio N, Moharamzadeh D, et al. Previous anterior cruciate ligament reconstruction influences the complication rate of total knee arthroplasty: a systematic review and meta-analysis. EFORT Open Rev 2023;8:854–64. https://doi.org/10.1530/EOR-23-0069.[19] Chaudhry ZS, Salem HS, Purtill JJ, Hammoud S. Does Prior Anterior Cruciate Ligament Reconstruction Affect Outcomes of Subsequent Total Knee Arthroplasty? A Systematic Review. Orthop J Sports Med 2019;7:2325967119857551. https://doi.org/10.1177/2325967119857551..
The literature reports differences in operative times and additional procedures, suggesting that TKA in patients with prior ACLR may involve more complex surgical considerations [22], Suzuki G, Saito S, Ishii T, Motojima S, Tokuhashi Y, Ryu J. Previous fracture surgery is a major risk factor of infection after total knee arthroplasty. Knee Surg Sports Traumatol Arthrosc Off J ESSKA 2011;19:2040–4. https://doi.org/10.1007/s00167-011-1525-x.[23] Anil U, Kingery M, Markus D, Feng J, Wolfson T, Schwarzkopf R, et al. Prior Anterior Cruciate Ligament Reconstruction Does Not Increase Surgical Time for Patients Undergoing Total Knee Arthroplasty. Bull Hosp Jt Dis 2013 2020;78:173–9.. Chong et al. found increased surgical duration in the ACLR group [24] Chong ACM, Fisher BT, MacFadden LN, Piatt BE. Prior Anterior Cruciate Ligament Reconstruction Effects on Future Total Knee Arthroplasty. J Arthroplasty 2018;33:2821–6. https://doi.org/10.1016/j.arth.2018.04.014.. These findings align with the present results, which showed a statistically significant increase in operative time in the group with previous ACLR. Therefore, surgical time and tourniquet duration are consistently longer in patients with a history of ACLR. The increase is primarily due to challenges posed by device removal and the altered knee anatomy resulting from prior surgery, making the procedure more complex compared to patients without prior knee surgery.
Knee deformity is an important factor, especially when TKA is performed with mechanical alignment (MA). The literature reports that when varus or valgus angles exceed certain thresholds, the constraint level of the prosthetic implant is increased to compensate for instability and ensure optimal alignment [11], Rossi SMP, Sangaletti R, Andriollo L, Matascioli L, Benazzo F. The use of a modern robotic system for the treatment of severe knee deformities. Technol Health Care Off J Eur Soc Eng Med 2024. https://doi.org/10.3233/THC-231261.[25] Liu H-X, Shang P, Ying X-Z, Zhang Y. Shorter survival rate in varus-aligned knees after total knee arthroplasty. Knee Surg Sports Traumatol Arthrosc Off J ESSKA 2016;24:2663–71. https://doi.org/10.1007/s00167-015-3781-7.. In cases of major deformities, the use of more constrained implants, such as VVC or constrained PS (CPS), becomes necessary, as they provide additional stabilization, improve functional outcomes, and reduce the risk of postoperative misalignment [26], Capece G, Andriollo L, Sangaletti R, Righini R, Benazzo F, Rossi SMP. Advancements and Strategies in Robotic Planning for Knee Arthroplasty in Patients with Minor Deformities. Life Basel Switz 2024;14:1528. https://doi.org/10.3390/life14121528.[27], Gregori P, Koutserimpas C, Giovanoulis V, Batailler C, Servien E, Lustig S. Functional alignment in robotic-assisted total knee arthroplasty for valgus deformity achieves safe coronal alignment and excellent short-term outcomes. Knee Surg Sports Traumatol Arthrosc Off J ESSKA 2025. https://doi.org/10.1002/ksa.12585.[28] Gregori P, Koutserimpas C, De Fazio A, Descombris S, Servien E, Batailler C, et al. Functional knee positioning in patients with valgus deformity undergoing image-based robotic total knee arthroplasty: Surgical technique. SICOT-J 2025;11:7. https://doi.org/10.1051/sicotj/2025001..
The primary challenge in most ACLR patients was the presence of coronal deformity, accompanied by increased retraction of medial soft tissues, requiring a gradual medial release when using standard techniques such as MA [29], Dejour H, Walch G, Deschamps G, Chambat P. Arthrosis of the knee in chronic anterior laxity. Orthop Traumatol Surg Res OTSR 2014;100:49–58. https://doi.org/10.1016/j.otsr.2013.12.010.[30] Segawa H, Omori G, Koga Y. Long-term results of non-operative treatment of anterior cruciate ligament injury. The Knee 2001;8:5–11. https://doi.org/10.1016/s0968-0160(00)00062-4.. James et al. found an increased use of constrained implants in patients with a history of ACLR compared to those without previous ligament surgeries [31] James EW, Blevins JL, Gausden EB, Turcan S, Denova TA, Satalich JR, et al. Increased utilization of constraint in total knee arthroplasty following anterior cruciate ligament and multiligament knee reconstruction. Bone Jt J 2019;101-B:77–83. https://doi.org/10.1302/0301-620X.101B7.BJJ-2018-1492.R1..
TKA following ACLR carries a higher risk of early reoperation compared to primary TKA in patients without a history of ligament reconstruction. Warren et al. found a significantly higher reoperation risk in the ACLR group, with an incidence more than five times higher than in the control group [21] Watters TS, Zhen Y, Martin JR, Levy DL, Jennings JM, Dennis DA. Total Knee Arthroplasty After Anterior Cruciate Ligament Reconstruction: Not Just a Routine Primary Arthroplasty. J Bone Joint Surg Am 2017;99:185–9. https://doi.org/10.2106/JBJS.16.00524.. The authors also identified a 3.3% infection rate in the ACLR group, whereas no infections were recorded in the matched control cohort.
Lizaur-Utrilla et al., in a study of 74 patients, found that only one patient in the ACLR group reported anterior knee pain at the six-year follow-up [20] Lizaur-Utrilla A, Martinez-Mendez D, Gonzalez-Parreño S, Marco-Gomez L, Miralles Muñoz FA, Lopez-Prats FA. Total Knee Arthroplasty in Patients With Prior Anterior Cruciate Ligament Reconstruction. J Arthroplasty 2018;33:2141–5. https://doi.org/10.1016/j.arth.2018.02.054.. No cases of infection or aseptic loosening were reported in the present study. TKA in patients with prior ACLR appeared more complex and associated with a higher early reoperation risk compared to primary TKA [32] Demey G, Magnussen RA, Lustig S, Servien E, Neyret P. Total knee arthroplasty for advanced osteoarthritis in the anterior cruciate ligament deficient knee. Int Orthop 2012;36:559–64. https://doi.org/10.1007/s00264-011-1306-7..
However, Anil et al. compared postoperative complications between 116 patients undergoing TKA with prior ACLR and 348 patients without prior ACLR. Their results showed no significant differences in wound complications or reoperation rates, suggesting that prior ACLR does not significantly impact perioperative outcomes in TKA [23] Anil U, Kingery M, Markus D, Feng J, Wolfson T, Schwarzkopf R, et al. Prior Anterior Cruciate Ligament Reconstruction Does Not Increase Surgical Time for Patients Undergoing Total Knee Arthroplasty. Bull Hosp Jt Dis 2013 2020;78:173–9..
Robotic TKA: how to better understand the knee
In patients undergoing TKA after ACL reconstruction, intraoperative assessment often reveals central pivot insufficiency. In such cases, knee stability may be partially maintained through bony congruence rather than ligamentous integrity. However, significant variations in joint balance can occur following the tibial cut. For this reason, a tibia-first approach is strongly recommended, allowing for accurate reassessment of soft tissue gaps after the proximal tibial resection.
When central pivot deficiency is compounded by collateral ligament laxity, particularly with varus or valgus thrust, a structured, stepwise evaluation becomes essential to guide the degree of soft tissue release and implant constraint.
These knees frequently exhibit hyperextension relative to the contralateral side, often accompanied by flexion contracture, and achieving more than 110° of postoperative flexion may not always be feasible.
Adopting a functional alignment strategy facilitates the creation of well-balanced flexion and extension gaps. Notably, a slightly tighter medial gap in flexion is generally preferred, as it has been associated with improved postoperative outcomes and joint stability.
Conclusions
Robotic TKA, particularly when combined with a personalized approach, offers significant advantages in managing complex cases such as patients with a history of ACLR. The robot enables greater precision in implant positioning, supports the application of functional alignment, and enhances intraoperative understanding of collateral ligament competence, allowing for real-time adjustments in constraint levels when necessary. This approach not only respects essential pre-robotic surgical principles but also demands a thorough biomechanical interpretation throughout the procedure, especially after the tibial cut, due to possible changes in soft tissue compliance.
Clinical experience confirms that imageless robotic surgery can achieve postoperative outcomes in ACLR patients comparable to those observed in primary OA. Despite potential residual functional differences, robotic assistance has proven to improve soft tissue balancing and mitigate the technical difficulties associated with altered anatomy.
References
1. Piedade SR, Leite Arruda BP, de Vasconcelos RA, Parker DA,
Maffulli N. Rehabilitation following surgical reconstruction for anterior cruciate ligament insufficiency: What has changed since the 1960s?-State of the art. J ISAKOS Jt Disord Orthop Sports Med 2023;8:153–62. https://doi.org/10.1016/j.jisako.2022.10.001.
2. Lien-Iversen T, Morgan DB, Jensen C, Risberg MA, Engebretsen L,
Viberg B. Does surgery reduce knee osteoarthritis, meniscal injury and subsequent complications compared with non-surgery after ACL rupture with at least 10 years follow-up? A systematic review and meta-analysis. Br J Sports Med 2020;54:592–8. https://doi.org/10.1136/bjsports-2019-100765.
3. Alessio-Mazzola M, Placella G, Zagra L, Leone O, Di Fabio N,
Moharamzadeh D, et al. Previous anterior cruciate ligament reconstruction influences the complication rate of total knee arthroplasty: a systematic review and meta-analysis. EFORT Open Rev 2023;8:854–64. https://doi.org/10.1530/EOR-23-0069.
4. Simon D, Mascarenhas R, Saltzman BM, Rollins M, Bach BR,
MacDonald P. The Relationship between Anterior Cruciate Ligament Injury and Osteoarthritis of the Knee. Adv Orthop 2015;2015:928301. https://doi.org/10.1155/2015/928301.
5. Musahl V, Nazzal EM, Lucidi GA, Serrano R, Hughes JD,
Margheritini F, et al. Current trends in the anterior cruciate ligament part 1: biology and biomechanics. Knee Surg Sports Traumatol Arthrosc Off J ESSKA 2022;30:20–33. https://doi.org/10.1007/s00167-021-06826-y.
6. Musahl V, Engler ID, Nazzal EM, Dalton JF, Lucidi GA, Hughes JD, et al. Current trends in the anterior cruciate ligament part II: evaluation, surgical technique, prevention, and rehabilitation. Knee Surg Sports Traumatol Arthrosc Off J ESSKA 2022;30:34–51. https://doi.org/10.1007/s00167-021-06825-z.
7. Grassi A, Pizza N, Al-Zu’bi BBH, Fabbro GD, Lucidi GA, Zaffagnini S. Clinical Outcomes and Osteoarthritis at Very Long-term Follow-up After ACL Reconstruction: A Systematic Review and Meta-analysis. Orthop J Sports Med 2022;10:23259671211062238. https://doi.org/10.1177/23259671211062238.
8. Leroux T, Ogilvie-Harris D, Dwyer T, Chahal J, Gandhi R, Mahomed N, et al. The risk of knee arthroplasty following cruciate ligament reconstruction: a population-based matched cohort study. J Bone Joint Surg Am 2014;96:2–10. https://doi.org/10.2106/JBJS.M.00393.
9. Elliott J, Shatrov J, Fritsch B, Parker D. Robotic-assisted knee arthroplasty: an evolution in progress. A concise review of the available systems and the data supporting them. Arch Orthop Trauma Surg 2021;141:2099–117. https://doi.org/10.1007/s00402-021-04134-1.
10. Mancino F, Rossi SMP, Sangaletti R, Lucenti L, Terragnoli F, Benazzo F. A new robotically assisted technique can improve outcomes of total knee arthroplasty comparing to an imageless navigation system. Arch Orthop Trauma Surg 2023;143:2701–11. https://doi.org/10.1007/s00402-022-04560-9.
11. Rossi SMP, Sangaletti R, Andriollo L, Matascioli L, Benazzo F. The use of a modern robotic system for the treatment of severe knee deformities. Technol Health Care Off J Eur Soc Eng Med 2024. https://doi.org/10.3233/THC-231261.
12. Andriollo L, Benazzo F, Cinelli V, Sangaletti R, Vellutto C, Rossi SMP. The use of an imageless robotic system in revision of unicompartmental knee arthroplasty. Knee Surg Sports Traumatol Arthrosc Off J ESSKA 2024. https://doi.org/10.1002/ksa.12574.
13. MacDessi SJ, Griffiths-Jones W, Harris IA, Bellemans J, Chen DB. Coronal Plane Alignment of the Knee (CPAK) classification. Bone Jt J 2021;103-B:329–37. https://doi.org/10.1302/0301-620X.103B2.BJJ-2020-1050.R1.
14. Rossi SMP, Benazzo F. Individualized alignment and ligament balancing technique with the ROSA® robotic system for total knee arthroplasty. Int Orthop 2023;47:755–62. https://doi.org/10.1007/s00264-022-05671-z.
15. Cronström A, Tengman E, Häger CK. Return to Sports: A Risky Business? A Systematic Review with Meta-Analysis of Risk Factors for Graft Rupture Following ACL Reconstruction. Sports Med Auckl NZ 2023;53:91–110. https://doi.org/10.1007/s40279-022-01747-3.
16. Dracic A, Zeravica D, Zovko I, Jäger M, Beck S. Cut-off value for the posterior tibial slope indicating the risk for retear of the anterior cruciate ligament. Knee Surg Sports Traumatol Arthrosc Off J ESSKA 2024. https://doi.org/10.1002/ksa.12552.
17.
Farid AR, Pradhan P, Stearns SA, Kocher MS, Fabricant PD. Association Between Posterior Tibial Slope and ACL Injury in Pediatric Patients: A Systematic Review and Meta-analysis. Am J Sports Med 2024;52:2911–8. https://doi.org/10.1177/03635465231199649.
18. Hoxie SC, Dobbs RE, Dahm DL, Trousdale RT. Total knee arthroplasty after anterior cruciate ligament reconstruction. J Arthroplasty 2008;23:1005–8. https://doi.org/10.1016/j.arth.2007.08.017.
19. Chaudhry ZS, Salem HS, Purtill JJ, Hammoud S. Does Prior Anterior Cruciate Ligament Reconstruction Affect Outcomes of Subsequent Total Knee Arthroplasty? A Systematic Review. Orthop J Sports Med 2019;7:2325967119857551. https://doi.org/10.1177/2325967119857551.
20. Lizaur-Utrilla A, Martinez-Mendez D, Gonzalez-Parreño S, Marco-Gomez L, Miralles Muñoz FA, Lopez-Prats FA. Total Knee Arthroplasty in Patients With Prior Anterior Cruciate Ligament Reconstruction. J Arthroplasty 2018;33:2141–5. https://doi.org/10.1016/j.arth.2018.02.054.
21. Watters TS, Zhen Y, Martin JR, Levy DL, Jennings JM, Dennis DA. Total Knee Arthroplasty After Anterior Cruciate Ligament Reconstruction: Not Just a Routine Primary Arthroplasty. J Bone Joint Surg Am 2017;99:185–9. https://doi.org/10.2106/JBJS.16.00524.
22. Suzuki G, Saito S, Ishii T, Motojima S, Tokuhashi Y, Ryu J. Previous fracture surgery is a major risk factor of infection after total knee arthroplasty. Knee Surg Sports Traumatol Arthrosc Off J ESSKA 2011;19:2040–4. https://doi.org/10.1007/s00167-011-1525-x.
23. Anil U, Kingery M, Markus D, Feng J, Wolfson T, Schwarzkopf R, et al. Prior Anterior Cruciate Ligament Reconstruction Does Not Increase Surgical Time for Patients Undergoing Total Knee Arthroplasty. Bull Hosp Jt Dis 2013 2020;78:173–9.
24. Chong ACM, Fisher BT, MacFadden LN, Piatt BE. Prior Anterior Cruciate Ligament Reconstruction Effects on Future Total Knee Arthroplasty. J Arthroplasty 2018;33:2821–6. https://doi.org/10.1016/j.arth.2018.04.014.
25. Liu H-X, Shang P, Ying X-Z, Zhang Y. Shorter survival rate in varus-aligned knees after total knee arthroplasty. Knee Surg Sports Traumatol Arthrosc Off J ESSKA 2016;24:2663–71. https://doi.org/10.1007/s00167-015-3781-7.
26. Capece G, Andriollo L, Sangaletti R, Righini R, Benazzo F, Rossi SMP. Advancements and Strategies in Robotic Planning for Knee Arthroplasty in Patients with Minor Deformities. Life Basel Switz 2024;14:1528. https://doi.org/10.3390/life14121528.
27. Gregori P, Koutserimpas C, Giovanoulis V, Batailler C, Servien E,
Lustig S. Functional alignment in robotic-assisted total knee arthroplasty for valgus deformity achieves safe coronal alignment and excellent short-term outcomes. Knee Surg Sports Traumatol Arthrosc Off J ESSKA 2025. https://doi.org/10.1002/ksa.12585.
28. Gregori P, Koutserimpas C, De Fazio A, Descombris S, Servien E, Batailler C, et al. Functional knee positioning in patients with valgus deformity undergoing image-based robotic total knee arthroplasty: Surgical technique. SICOT-J 2025;11:7. https://doi.org/10.1051/sicotj/2025001.
29. Dejour H, Walch G, Deschamps G, Chambat P. Arthrosis of the knee in chronic anterior laxity. Orthop Traumatol Surg Res OTSR 2014;100:49–58. https://doi.org/10.1016/j.otsr.2013.12.010.
30. Segawa H, Omori G, Koga Y. Long-term results of non-operative treatment of anterior cruciate ligament injury. The Knee 2001;8:5–11. https://doi.org/10.1016/s0968-0160(00)00062-4.
31. James EW, Blevins JL, Gausden EB, Turcan S, Denova TA, Satalich JR, et al. Increased utilization of constraint in total knee arthroplasty following anterior cruciate ligament and multiligament knee reconstruction. Bone Jt J 2019;101-B:77–83. https://doi.org/10.1302/0301-620X.101B7.BJJ-2018-1492.R1.
32. Demey G, Magnussen RA, Lustig S, Servien E, Neyret P. Total knee arthroplasty for advanced osteoarthritis in the anterior cruciate ligament deficient knee. Int Orthop 2012;36:559–64. https://doi.org/10.1007/s00264-011-1306-7.