Preoperative considerations and how I perform a fixed bearing Lateral Unicompartmental Knee Arthroplasty
Background: Lateral unicompartmental knee arthroplasty (LUKA) remains underutilized compared to total knee arthroplasty for treating isolated lateral compartment osteoarthritis (OA), despite its potential to preserve joint kinematics and cruciate ligament integrity. While population-based data suggest that approximately 10% of knee OA involves the lateral compartment, surgical utilization rates reported in arthroplasty registries remain historically low.
Objective: This article describes the clinical indications, radiographic assessment, biomechanical principles, and specific surgical techniques required to achieve successful outcomes in LUKA.
Key Points: Appropriate patient selection requires bone-on-bone lateral OA, a functionally intact anterior cruciate ligament, and a correctable valgus deformity indicating a competent lateral collateral ligament. Contraindications include inflammatory arthritis, severe patellofemoral OA, and significant flexion contractures exceeding 20 degrees. Biomechanically, the lateral compartment exhibits greater physiological laxity in flexion compared to the medial side; therefore, surgical balancing should not aim for symmetric gaps. Technical precision is required for the sagittal tibial cut, often performed via a partial vertical split of the patellar tendon, and for femoral component positioning to avoid patellar impingement. Fixed-bearing implants with cementless femoral and cemented tibial fixation are utilized to resurface the compartment while restoring the patient's pre-disease alignment.
Conclusion: LUKA is a viable, bone-sparing alternative to total knee arthroplasty for isolated lateral OA. Success depends on strict adherence to selection criteria, preservation of natural ligamentous tension, and specialized surgical techniques that accommodate the unique kinematic properties of the lateral compartment.
Background
Unicompartmental treatment of knee osteoarthritis (OA) has been available to surgeons for decades. However, on nationwide scales, as reported by arthroplasty registries, the utilization rates of lateral unicompartmental knee arthroplasty (LUKA) have historically been low. For the vast majority of surgeons, TKA has been the choice of treatment for lateral OA. In correctly selected patients, LUKA offers the advantages of unicompartmental treatment in general, as it is cartilage and cruciate sparing. This allows ligaments with natural laxity / tension to guide the kinematics of the arthroplasty treated knee joint. These unique features of unicompartmental knee arthroplasty correlates with the great improvements in knee function and low knee awareness observed by patients.
When LUKA is performed in correctly selected patients and by trained surgeons there are reports of excellent short and long term follow-up for cases with primary OA and posttraumatic OA (1,2).
Frequency of lateral OA
Population based numbers estimate that approximately 10 % of knee OA is developed based in the lateral compartment. The specific rate of symptomatic patients requiring realigning procedures or knee arthroplasty surgery is unknown. In my practice I perform 12 % of primary knee arthroplasties as LUKA.
Clinical presentation and assessment
Patients present with pain, functional disability and instability. The knee axis will be in valgus. The pain is present during ADL functions with loading of the knee joint, and may develop into nightly pain or discomfort from the knee. I don’t consider anterior knee pain or medial pain as contraindications to perform LUKA, as long as the radiographic evaluation (see section below) shows no contraindications with respect to the medial and patella-femoral compartments. Even one-compartment OA will often be characterized by a general inflammatory response in the remaining joint. As a somewhat frequent and unique feature, patients with lateral OA often feel instability of the knee when going from flexion to extension and vice versa. This can make climbing stairs, sports or recreational activities and even getting up from a chair highly uncomfortable. This functional instability is a result of the wear pattern primarily affecting the flexion gap (posterior femoral condyle and tibia). Clinical examination should address if the valgus deformity is correctable. If this is the case the LCL may be considered functionally intact. The sagittal stability should be examined, for example by the Lachmann test, to assess ACL function. An examination of ROM should be performed to address if there is a flexion contracture and / or limited knee flexion. If there is gross flexion contracture
(> 10-20 degrees) and /or limited knee flexion (limited to 90-100 degrees or less) this is often a sign of more severe, generalized knee OA with functional compromise of ligaments.
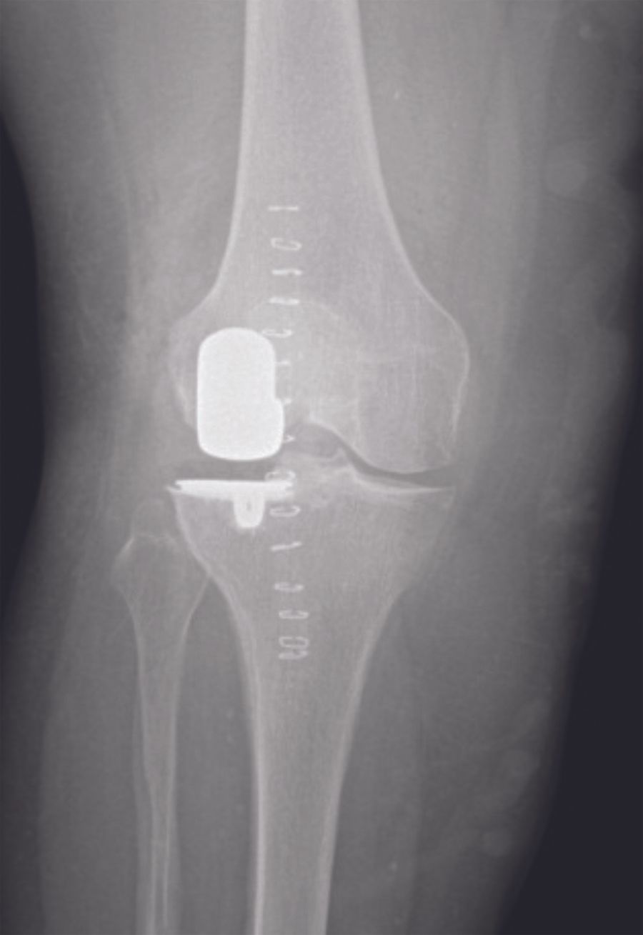
Radiographic assessment (fig. 1A-C)



My routine radiographic examinations of patients referred with pain believed to origin from knee OA include weight-bearing AP, lateral, and skyline views. These may be supplemented by valgus and varus stress radiographs, a Rosenberg view and / or MRI of the knee as needed. It is fundamental to establish bone-on-bone OA in the lateral compartment. Due to the specific features of lateral compartment OA bone-on-bone may not present on the weight-bearing radiograph with the knee extended. If there is any doubt about the bone-on-bone diagnosis in the lateral compartment supplemental imaging should be applied. On the weight-bearing AP view it is also assessed if there is preserved cartilage in the medial compartment. If in doubt a varus-stress radiograph may be helpful to assess this, and at the same time a varus stress will show correction of valgus deformity, opening of the lateral compartment, and indirectly that the LCL is functionally intact. In the lateral radiographic view the relative position of the femur and tibia should be assessed. If the femur is very posteriorly positioned it may be a sign that the ACL is degenerative and torn. The skyline view is specifically assessed for the presence of severe bone-on –bone OA. In general I only find MRI examination necessary in younger patients, particularly if the knee hos posttraumatic OA, in which case MRI can give good information about cartilage damage and degeneration in the lateral and the remaining compartments, as well as the status of cruciate ligaments.
Criteria for LUKA surgery
The following criteria must be fulfilled for appropriate use of LUKA:
- Bone-on-bone OA in the lateral compartment.
- Preserved medial compartment (if there are marginal medial osteophytes I disregard these).
- Correctable valgus deformity (functionally intact LCL). The limb should only be corrected to the thought pre-disease
status.
- Functionally intact ACL.
- If there is severe patella-femoral OA LUKA should not be performed. Despite the off-loading of the patella-femoral joint resulting from the deformity correction the effect of severe OA is not fully understood.
- If there is a flexion contracture of > 10-20 degrees this is likely a sign of more severe, generalized OA with ACL
compromise and LUKA should not be performed.
- If there is limited knee flexion (limited to 90-100 degrees or less) this is often a sign of more severe, generalized knee OA with functional compromise of ligaments and LUKA should not be performed. Knee flexion of at least 100-110 degrees will allow for a proper preparation of the lateral femoral condyle.
- Unicompartmental knee arthroplasty is in general contraindicated in inflammatory arthritis as these diseases are characterized by generalized joint affection and progression.
Biomechanical considerations about the lateral compartment
The lateral compartment in the natural knee is characterized by being highly stable in the fully extended position. Going into flexion the lateral compartment shows a high degree of laxity. Using arthroplasty terms one would expect the flexion gap to be looser than the extension gap. These unique features will allow the natural kinematics in which relative large translations occur in the lateral compartment with a preserved pivot in the medial compartment. Therefore, when performing a LUKA the extension and flexion gaps should not be balanced or symmetric like in the medial UKA, unless this is the state of the specific knee operated on.
Surgical technique - pitfalls and tips
- Choice of implant :
For LUKA surgery I use the Oxford, fixed bearing, lateral partial knee (ZimmerBiomet, Warsaw, IN). The femoral
component is the same two-pegged implant that I use for medial UKA (Oxford, mobile bearing, medial partial knee) and I use cementless femoral fixation. I always have components for cemented femoral fixation available should this, unexpectedly, be needed. The tibia component is side specific and designed for optimal bony coverage. It has an undersurface with a keel formation and is cemented. The polyethylene surface is flat.
- Surgical goals :
The overall goal of the surgery is a “resurfacing” of the lateral compartment establishing a stable knee, with natural ligament tension (LCL) in full extension. I do not think of the procedure as a realigning procedure, but a procedure that will bring the ligaments in the knee to work according to their natural state. It should be kept in mind that reestablishing knee alignment to the pre-disease state has an individual target for each patient. Overcorrecting the deformity may lead to detrimental results with discomfort from the tight LCL and progression of OA in the medial compartment. As mentioned, the flexion gap in the natural knee is “loose” compared with the extension gap which allows for relative large translations occurring during the arch of flexion. Thus, the flexion gap should not be controlled or balanced against the extension gap during surgery.
- Patient positioning (figure 2)

I prefer to position the leg to be operated in a leg holder / thigh support on the side of the table. The table is not otherwise modified. The hip is flexed approximately 30 degrees, leaving the knee flexed about 120 degrees, which allows for proper preparation of the femoral condyle. I stand up while performing the operation. I find it needed to apply a tourniquet (never at more than 250 mmHg) as bleeding will otherwise be “trapped” in the surgical field and reduce visibility significantly. Unlike TKA surgery, the blood can’t easily escape.
- Incision and joint inspection (figures 3a, 3b)


The skin incision is made from a little below the top of the patella to the level of the tibial tuberosity. The incision is made slightly medial to the lateral margin of the patella and along the lateral border of the patella tendon. This position of the incision helps to facilitate the ease of the partial vertical split of the patellar tendon and the entry of the saw blade for the sagittal tibia cut through the split. The capsular incision is made lateral para-patellar.
The joint is then inspected to secure that the indications to perform LUKA is still fulfilled. Osteophytes are removed from the lateral margin of the lateral condyle and from both sides of the intercondylar notch around the ACL. Any osteophytes anterior to the ACL footprint anterior on the tibia are removed. Any postero medial osteophytes on the lateral condyle are removed to ensure smooth and unforced introduction of the saw blade for the sagittal tibia cut. The front of the tibia is exposed between tibial tuberosity and to Gerdy’s tubercle and the visible part of the lateral meniscus is excised.
- Bony cuts
* The tibia (figures 4, 5, 6)



An extramedullary guide is placed parallel to the tibia spine (when viewed from the anterior and lateral view). This will facilitate a perpendicular component alignment and a posterior slope aiming for 7 degrees of posterior slope. At the upper end the guide must be placed against the bone and the aim is that the horizontal resection is made 1-2 mm below the most worn part of the tibia. One pin is enough to secure the upper end of the guide. I make the sagittal saw cut first and aim to make the resection just off the lateral, intercondylar tibia spine and with the saw blade pointing towards the anterior superior iliac spine (marked by the assistant) to get proper medial-lateral and rotational orientation of the implant. The sagittal saw cut is made through a splice in the mid substance of the patellar tendon. If the saw blade is introduced from the lateral side of the tendon it may be forced in external rotation. I usually mark the anterior part of the desired sagittal saw cut with the “burning stick”. This will make saw blade positioning easier and more stable. When making the saw cut it must extend to the posterior cortex and the saw must remain parallel to and not below the level of the upper end of the tibia guide. The horizontal cut is made through a slotted shim is placed at the upper end of the tibia guide (replacing the non-slotted shim used for the sagittal saw cut) maintaining the intended 7 degree posterior slope. A retractor should always be in place at the level of the horizontal cut protecting the LCL. The resected specimen is removed. In full extension, using feeler gauges, it is secured that the depth of tibia resection will allow for a size 4 implantation (the smallest possible is a size 3). If not the tibia is recut simply by removing the slotted shim and cutting directly against the upper end of the tibia guide.
* The femur (fig. 7, 8, 9, 10, 11)





The first step of femur preparation is introduction of an intramedullary rod. The entry-point should be placed lateral to the intercondylar midline and should be as lateral as the anterior extension of the medial wall of the lateral femoral condyle. If positioned too medial (mid-line) it may be difficult to pass the patella medial to the rod when flexing the knee. If this is still impossible after correct positioning of the entry-point there are several steps to make in a step-wise manner to mobilize the patella:
1) excise osteophytes from the lateral margin of the patella;
2) extend the proximal incision and break down any intraarticular, supra-patellar adhesive strings;
3) resection of up to ½ cm from the lateral margin of the patella.
If the patella can still not be passed around the intramedullary rod in flexion of the knee the intramedullary guide system must be abandoned and the drill guide for femoral preparation place by extramedullary guidance. If the patella is successfully passed medial to the rod in flexion of the knee the femoral drill guide is linked to the rod securing proper alignment of the femoral component. Using special saw guides and in a stepwise manner the femur is prepared starting by a posterior cut. During every saw cut retractors are used to protect the LCL and soft tissue envelope in general. After the posterior cut I remove the remaining parts of the lateral meniscus. Next the femoral condyle is shaped using a milling technique and instruments. After the first shaping of the femoral condyle, trial components are inserted, and using feeler gauges it is determined what size implant may be inserted in full extension. From this assessment it is determined how much bone should be milled /removed from the extension gap at the second milling. The flexion gap is assessed with feeler gauges to make sure that it is loose when inserting the targeted implant size for extension. After final milling of the distal femur (extension gap), removal of posterior osteophytes and preparation of the tibial plateau (the slot for the tibial keel) the final component trials are inserted to demonstrate the kinematics and knee balance during range of movement.
- Final implantation (fig. 12)

The first step is to cement in the tibia implant. I use the following sequence during cementation: lavage of the tibia; cement on implant first to secure a strong bond of cement to the implant; cement on the bone with pressurization of cement into the bone; insert the implant while pushing it down posteriorly first and then gradually pushing it down in the anterior direction. This way only minimal cement will escape posterior to the implant. I often use a flat instrument like an osteotome to push down the implant in a controlled manner that will allow the cement to penetrate into the bone. The insertion is completed with impaction. Cement is removed around the edges of the implant. The knee is brought to 45 degrees of flexion and an appropriately sized feeler gauge is positioned between the tibia and the femur while pressurizing the cement further keeping this position. When the cement has hardened I proceed with implantation of the cementless femoral component.
Implantation of the cementless femoral component is often made difficult because of the patella being in the way. Often the knee has to be put in a semi-flexed position making manipulation of the patella possible. The component is then gradually introduced to its position as the knee is put in flexion. Placing the knee in a figure-of-4 position is often required to open and flex the knee joint at the same time.
I close the knee using uninterrupted suture in the capsule, interrupted suture of the subcutaneous layer and staples in the skin
Perioperative treatment and mobilization
All patients are enrolled in our fast-track arthroplasty concept. Just prior surgery they receive Tranexamic Acid (i.v., 1 g – repeated 3 hours later), Antibiotic prophylaxis (repeated one time after surgery), Methylprednisolone (i.v., 125 mg – single dose). During surgery local infiltration analgesia is administered.
Patients are mobilized with full weight bearing on the day of surgery and patients with LUKA procedures are often discharged to their own homes the day after surgery.
References
1. Lustig S, Lording T, Frank F, Debette C, Servien E, Neyret P. Progression of medial osteoarthritis and long term results of lateral unicompartmental arthroplasty: 10 to 18 year follow-up of 54 consecutive implants. Knee. 2014;21 Suppl 1:S26-32
2. Lustig S, Parratte S, Magnussen RA, Argenson JN, Neyret P. Lateral unicompartmental knee arthroplasty relieves pain and improves function in posttraumatic osteoarthritis. Clin Orthop Relat Res. 2012 Jan;470(1):69-76