Acetabular reconstruction using a Kerboull-Tanaka reinforcement device
Background: Acetabular bone loss presents a significant challenge in revision total hip arthroplasty, necessitating robust reconstruction techniques to ensure implant longevity. While the Kerboull cross-plate and structural allografts provide effective stabilization, anatomical restoration can be technically demanding, particularly when limb length management or limited graft availability complicates the procedure.
Objective: This article describes the design, indications, and surgical application of the Kerboull-Tanaka (KT) reinforcement device, a modified titanium cross-plate developed to address complex acetabular defects and facilitate adjustable hip center positioning.
Key Points: The KT device features a distal hook for inferior rim fixation and a proximal plate for iliac screw stabilization. It is available in three models allowing for anatomical placement or superior displacement of the center of rotation by 10 mm or 15 mm. This flexibility assists in managing limb length discrepancies and reducing graft volume requirements in cases of high-riding stable stems or pelvic obliquity. Surgical success relies on precise preoperative 3D planning and the use of structural allografts, autografts, or hydroxyapatite granules to restore cavitary and segmental deficits. Clinical data indicate a 10-year survival rate of 94.8% for AAOS type III defects. The device provides mechanical support that reduces stress on structural grafts, preventing collapse in massive bone loss and pelvic discontinuity.
Conclusion: The KT reinforcement device combined with structural allografting is a reliable method for managing severe acetabular bone loss. It offers a versatile alternative to cementless jumbo cups or trabecular metal augments by restoring bone stock and allowing controlled hip center elevation.
Introduction
Revision total hip replacements (THR) are becoming increasingly common. However, the loss of acetabular bone stock means reconstruction is required in order to ensure the longevity of the new implant. During a visit to Professor Marcel Kerboull at Cochin Hospital in 1990, I learned a lot about total hip prosthesis and I was in particular impressed by his acetabular reconstruction technique using the Kerboull cross plate and allografts. It is a brilliant technique which produces excellent results (1). Nevertheless, upon returning to Japan, I encountered several difficulties when trying to copy this same technique. First, allografts were not always available at my hospital. I had to use autografts and hydroxyapatite (HA) granules as my bone replacement, a technique I learned from Professor Hironobu Oonishi. Second, when performing single component revisions to rectify a loosened cup that had initially been implanted higher than the centre of rotation, and where the stem was still stable but was also too high to counter the abnormal acetabular position, I found it hard to reconstruct the true original form of the acetabulum. In these cases, placing the reconstruction device in the anatomical position invariably resulted in unacceptable lengthening of the limb. I therefore designed my own version of the Kerboull cross which allowed me to reposition the centre of rotation up to 15 mm above the inferior acetabular rim. This modification also saved on the amount of graft needed for the roof region. I asked Professor Kerboull for permission to use this new plate. He kindly said I could do so, and dubbed this variant the KT (Kerboull-Tanaka) reinforcement device, or cross.
It was in 1993 that I began performing acetabular reconstructions using the Kerboull cross with HA, after first reconstructing the main wall with autografts. We have already experienced very good mid- and long-term outcomes (2, 3). Since 2003, I have been using femoral head allografts from the local hospital's bone bank. I now reconstruct the acetabulum using a KT cross and mainly allografts, with or without hydroxyapatite granules. This technique makes it possible to restore both cavitary and segmental deficits.
The KT acetabular reinforcement device
Features: the KT cross (Kyocera Medical Co Ltd., Osaka, Japan) is a modified Kerboull cross made from titanium. The vertical arm ends distally in a hook which gets inserted beneath the inferior rim, and proximally in a circular plate for iliac screw fixation. It guides the orientation and positioning of the reconstruction. The KT cross comes in a number of models, which vary by type of offset and vertical length. It comes in three different models, allowing for up to a 15 mm offset in the hip centre of rotation (anatomical location, 1 cm higher and 1.5 cm higher) (Fig. 1).

The rationale for proximalising the position by up to 1.5 cm comes from a clinical study which found that reconstructing the hip centre of rotation within zone A (up to 1.5 cm) produced the significantly lowest rate of radiographic failure of the acetabular component (5) (Fig. 2).

Indication: the KT cross is indicated for primary acetabular revisions with major bone loss, where the acetabulum has been badly damaged (e.g. rapidly destructive osteoarthritis of the hip (6)). Usually, revision hip replacements will use the anatomical acetabular location (Fig. 3).

The longer version of the device can be used to adjust the length of the limb in cases of a well-fixed stem, fixed pelvic obliquity and severe contracture. In Japan, osteoarthritis is commonly caused by developmental dysplasia of the hip (DDH). A higher cup location combined with a higher stem fixation is sometimes used for primary THR. For acetabular revisions, the cup is sometimes positioned slightly higher in order to adjust the length of the leg (Fig. 4).

This technique can also be used in difficult cases in order to obtain a sufficient quantity of graft tissue (allograft etc.). I use the anatomical model for 63% of my revision indications, the +1 cm model in 35% of cases and the +1.5 cm model in only 2%.
Preoperative planning
Preoperative planning is usually performed using software and scanned images in order to produce a 3D model (Kyocera) (Fig. 5).

The anterior-posterior diameter of the acetabulum determines the size of the KT cross. A pitfall to avoid is choosing a plate that is too large based solely on AP x-ray images. As shown in Case 1, the correct size and shape of the structural allograft can be estimated in advance, and the surgeon can determine the spatial relationship between the anatomical markers and the KT cross (Fig. 6).

This works as a guidance system. In Case 2, the medial wall and acetabular notch have been destroyed.

The medial wall, acetabular notch and weight-bearing zone need to be reconstructed. An angioscan can help avoid vascular complications by showing the acetabular markers and the vascularisation in the event of protrusion.
Surgical technique
1. Positioning (installation): lateral decubitus is best.
2. Approach: I normally use the transtrochanteric approach, although sometimes I opt for a transgluteal approach.
3. Cup removal and acetabular exposure: a cemented cup that has come completely loose can usually be removed without any problem. Non-loosened or cementless cups need to be separated from the bone carefully to avoid worsening the bone damage caused by the peri-acetabular osteolysis. All fibrous tissue coating the acetabulum must then be removed, especially from the lower side in order to clearly expose the inferior rim (Fig. 8a).

4. Adjusting the trial KT cross: the trial component selected using the 3D templating is put in place. Acetabular osteophytes can often obstruct this process and must be removed. The cross's hook is fixed beneath the acetabular notch, and then the device laid vertically. The device is in the optimal position once the hook has been fixed against the posterior part of the inferior rim and the screw plate is oriented towards the top of the roof. Ideally, there should be no anteversion of the device in order to avoid the anterior arm protruding beyond the bone wall. The spatial correlation between the acetabular bony markers and the edges of the device must then be checked against the preoperative plans.

5. Preparing the femoral head allograft: the KT cross is used as a guide for the reconstruction. Any space between the plate and the remaining acetabular bone is therefore where bone loss has occurred and requires reconstruction. The KT cross should never be twisted to better fill a defect. The superior bone loss is reconstructed using a head fragment. Head slices are then used to rebuild the medial wall and the anterior and posterior walls. Fragments of cancellous bone or granules of hydroxyapatite are then used to fill any remaining gaps and cavitary defect, especially by the ilium and ischiopubic ramus.

If major bone loss has destroyed the interior rim, it is possible to use a massive structural allograft, for example harvested from the distal femur or proximal tibia, in order to reconstruct the whole defect in one piece. It may be easier to first attach the main femoral head allograft using two temporary Kirschner pins, before fixing it in place with one or two screws (Fig. 10a). This main allograft should be shaped using an acetabular reamer in order to mould the lateral profile to fit the KT cross.

6. Fixing the KT cross: The reinforcement device is placed in contact with the superior reconstruction, ensuring that the hook is firmly engaged beneath the inferior rim. Ideally, the proximal part and the dome of the device should fit perfectly with the femoral head. The distalmost screw is inserted first, and by being oriented perpendicular to the device it serves to stabilise the plate by tensioning the hook beneath the inferior rim (Fig.11). The anterior screw is then tightened to neutralise any anteversion. The other screws may be used depending on the extent of the defect and the quality of the host bone stock, especially in cases of pelvic discontinuity (Fig. 12).


7. Completing the reconstruction: Head slices are used to reconstruct the anterior wall and/or posterior wall (Fig. 10b). Figure 13 shows an acetabulum reconstructed using HA granules and allografts.


8. Checking the stability of the cross: the stability of the device can be tested by pressing on the distal end of the plate with a rod (Fig. 14a). If the cross moves, check whether the main bone graft or the medial wall is pushing on the dome of the plate, and whether the hook is disengaging from the acetabular notch. If so, the size of the graft needs to be reduced to better fit the convexity of the device. Sometimes, poor reconstruction of the roof will allow the device to migrate vertically when the screws are tightened, causing the hook to disengage. In these cases, a slice of bone should be inserted beneath the plate and the screws refastened (Fig. 14b).

9. Cementing the new cup: the new cup is usually fixed using the normal technique (Fig. 15).

Video
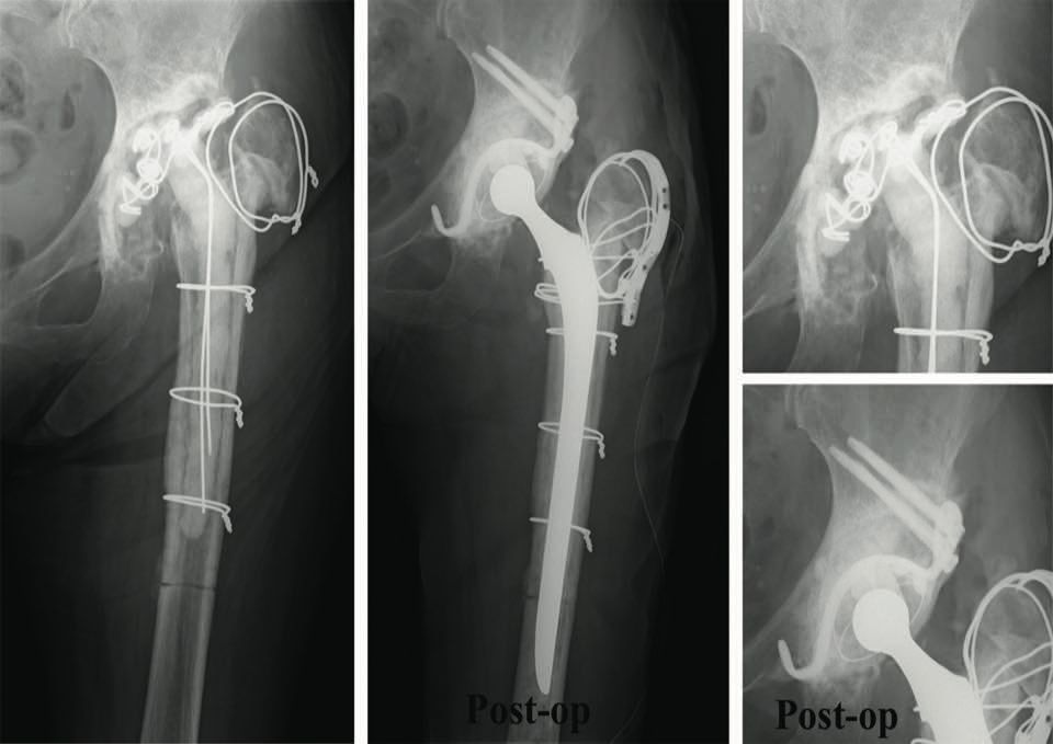
The video demonstrates the technique for reconstructing the acetabulum using an allograft and KT device (Fig. 16). It shows a two-stage revision hip replacement due to an infection. The bone defect was classified during the preoperative planning as AAOS III (combined defect).

Figures 17 and 18 show the preoperative x-rays and 3D CT images. The acetabulum was reconstructed using a KT cross and allografts.


The segmental and cavitary defects were successfully filled. Figures 19 and 20 show the postoperative images.


Case studies
Below are some images of acetabulae reconstructed using different types of graft (Fig. 21). The contralateral femoral head was harvested for Case A (20 years post-op), hydroxyapatite granules were used for Case B (21 years post-op) and femoral head allografts were harvested for Case C (17 years post-op).

Discussion
Reconstructing the acetabulum into the anatomical position is ideal, from both a mechanical (12) and functional viewpoint. This can be achieved excellently using the Kerboull cross-plate. The obturator hook is a brilliant idea. Kerboull reported excellent results in 2000 from using this device to perform structural allografts for defects graded AAOS III (combined bone defects) and IV (pelvic discontinuity). The 13-year survival rate was 92.1 %, based on acetabular component loosening as the endpoint (1). However, although this is an excellent solution, it is technically difficult to implement. Massive bone defects can make it technically very hard to reconstruct the hip centre of rotation in the anatomical position. In addition, a large amount of bone graft and/or substitute is needed. If the stem was firmly fixed in a superior position during the primary surgery, reconstructing the acetabulum in a slightly higher position is sensible to avoid lengthening the limb. The same compromise can be used for fixed pelvic obliquity caused by a spinal problem. In these cases, the KT cross is a useful device as it can be used to adjust the centre of rotation (Fig. 2).

I use the KT cross plate in the anatomical position for around two thirds of my patients. We have published the long-term results of acetabular reconstructions using the KT reinforcement device and hydroxyapatite granules (2, 3). The 10-year survival was 94.8 % for type III defects. We have obtained similar interim results with the KT cross and structural allografts in Japan (13, 14, 15). The KT cross is the most common device used for acetabular revisions in my country, according to the records kept by the Japanese society of hip arthroplasty. There are several articles suggesting that large cementless cups can be used successfully for the same indications (16, 17, 18, 19). However, Paprosky III defects (20) and pelvic discontinuity appear to be harder to treat with this technique (18, 19, 21).
As regards the choice of graft, a number of options have been tested. Harvesting an autograft from the ilium, fibula (22) or contralateral femoral head is in theory tempting, but will not produce enough substance to fill a major defect. An artificial bone substance such as hydroxyapatite has great bone conductor potential and is highly effective at filling cavitary defects, meaning it can be used alongside autografts and allografts for wall reconstruction. Very good long-term results have been reported (2, 3, 23, 24). However, hydroxyapatite is expensive and can never be remodelled like bone. In practice, the most successful solution is an allograft (1, 25, 26). Allografts are an effective way of restoring bone stock. Abolghasemian et al. found a 62% rate of bone stock restoration during their re-revisions of massive acetabular defects reconstructed using allograft with cage or ring reinforcement (27). Some surgeons prefer morselised impaction bone grafting combined with cages, and have reported excellent results (25, 28). The results are usually good for cavitary defects where the walls are intact or for isolated medial wall defects. Larger loss of substance with wall defects may require other reconstruction solutions, in particular if there is also pelvic discontinuity (29, 30). Kerboull acetabular reinforcement devices and anti-protrusio cages (Burch-Schneider, customised implants) with bulk allografts are usually indicated for massive defects, including Paprosky III bone loss with or without pelvic discontinuity (1, 26). Using a Burch-Schneider cage with a bulk allograft has been described as an effective solution for the treatment of pelvic discontinuity. Regis et al. report a cumulative survival rate at 16.6 years with unhealing of the discontinuity as the end point of 72.2 % (26). According to Sembrano et al., this technique has a survival rate of between 69% and 100% when comparing series but with a different follow-up (31). The Burch-Schneider implant carries a higher risk of posterior dislocation and sciatic nerve damage because a very wide exposure of the ilium and ischium is required in order to anchor the distal plate to the ischium (32, 33). As I have said, Kerboull reported excellent results in 2000 from using this device to perform structural allografts for defects graded AAOS III and IV (pelvic discontinuity), with a lower risk of complications (1). Structural acetabular allografts without any reconstruction device are associated with higher rates of complications when the allograft supports more than 50% of the new implant (34). One finite element analysis found that acetabular reinforcement devices such as the KT cross reduce the stress by half and prevent the collapse of structural allografts (35). This explains the excellent results achieved with Kerboull-type devices.
Trabecular metal cups and augments are a relatively new option for reconstructing major acetabular defects. The trabecular metal components provide an excellent support for Paprosky II and IIA defects without pelvic discontinuity, and good mid-term results have been reported (36, 37, 38). The failure rate is higher for Paprosky IIIB defects with or without pelvic discontinuity. Konan et al. have reported excellent results at 10 and 12 years for 46 hips with a Paprosky II or III bone defect. The survivorship of the porous tantalum acetabular component was 96%. However, two out of the four hips with a type IIIB defect failed and required revision (39). According to Abolghasemian et al., out of 18 hips with the same acetabular defect reconstructed using this technique, there were three loosenings of the construct after a 64.5 month follow-up (40). The cup-cage (CC) construct, where an ilioischial cage is cemented within a biologically fixed porous metal cup, has emerged as an excellent option to treat pelvic discontinuity (41). The rate of revision for any cause was 9% (4 out of 45) after an average follow-up of 77 months (24-135 months) (41). Acetabular distraction with a porous cup is a new technique for managing pelvic discontinuity. It has produced promising interim results (42). One of the 20 patients required re-revision for aseptic loosening and four patients had early migration of their acetabular component but thereafter remained clinically asymptomatic, with a follow-up of 2-7 years. There were no postoperative dislocations; however, one patient had an infection, one a vascular injury, and one a bowel injury. The potential issue with reconstructions using a ‘ ’ or trabecular metal cup could be the extent of the bone loss if a re-revision is required. Trabecular metal "augments" do not appear to match up to allografts, which are able to restore bone stock. In addition, the potential for metal debris may warrant further studies to analyse the effects of tantalum on surrounding tissue (21). As regards pelvic discontinuity, Kerboull et al. and Regis et al. have reported better long-term results than other authors (1, 26).
Conclusion
For moderate to severe acetabular defects without pelvic discontinuity, there are numerous cemented and cementless reconstruction techniques that produce reliable outcomes, including in the long term. However, when treating a severe defect with or without pelvic discontinuity, one of the most reliable methods is a Kerboull reinforcement device with a structural allograft, which produces excellent long-term results despite the demanding surgical technique involved.
References
1) Kerboull M, Hamadouche M, Kerboull L: The Kerboull acetabular reinforcement device in major acetabular reconstructions. Clin Orthop 378:155-168, 2000.
2) Tanaka C, Shikata J, Ikenaga M, et al. Acetabular reconstruction using a Kerboull-type acetabular reinforcement device and hydroxyapatite granules: a 3- to 8-year follow-up study. J Arthroplasty; 18:719-725,2003
3) Kim Y, Tanaka C, Kanoe H: Long-Term Outcome of Acetabular Reconstruction Using a Kerboull-Type Acetabular Reinforcement Device with Hydroxyapatite Granule and Structural Autograft for AAOS type II and III Acetabular Defects. J Arthroplasty 30;1810-1814,2015.
4) Tanaka C: Acetabular revision. Knacks & Pitfalls in Hip Surgery; 320-325, Bunkodo, Tokyo, 2005.
5) Tanaka C, Houvet P, Huten D, Duparc J: Reconstruction of the aseptic acetabular loosening: 107 hips followed up for more than five years. J. Jpn. Orthop. Assoc. 65:S5-6, 1991.
6) Kawai T, Tanaka C, Ikenaga M, Kanoe H, Okudaira S: Total hip arthroplasty using Kerboull-type acetabular reinforcement device for rapidly destructive coxarthrosis. J Arthroplasty 25;432-436, 2010.
7) Tanaka C: Critical points of the acetabular reconstruction using cross plates. Hip Joint 29;35-40, 2003.
8) Tanaka C: Acetabular revision using KT plate for aseptic loosening. Surgery of the Pelvis and the Hip. Illustrated Handbook of Orthopaedic Surgery; 174-180, Nakayama Shoten, Tokyo, 2012.
9) Tanaka C: Revision THA using KT plate. Japanese J Orthopaedic Surgical Technique 6;194-200, 2016.
10) Tanaka C: Acetabular revision using Cross plate - indications and techniques. Monthly Book Orthopaedics 22: 9-15,2009.
11) Tanaka C: Acetabular reconstruction using reconstruction cross plate. J Joint Surgery 29:1102-1109, 2010
12) Johnston RC, Brand RA, Crowninshield RD: Reconstruction of the hip. A mathematical approach to determine optimum geometric relationships. J Bone Joint Surg Am 61(5):639-52, 1979.
13) Tanaka C: Pearls of acetabular reconstruction with Kerboull-type reinforcement device. Proceedings of 2014 Pacific Rim Orthopaedic Symposium, p162, 2014.
14) Baba T, Shitoto K: Revision of total hip arthroplasty using Kerboull and KT plates. Int Orthop 34;341-347, 2010.
15) Hori J, Yasunaga Y, Yamasaki T, Yoshida T, Oshima S, Yamasaki K, Matsuo T, Ochi M: Mid-term results of acetabular reconstruction using a Kerboull-type acetabular reinforcement device. Int Orthop 36;23-26,2012.
16) Trumm BN, Callaghan JJ, Liu SS, Goetz DD, Johnston RC: Revision with cementless acetabular components. A concise follow-up, at a minimum of twenty years, of previous reports. J Bone Joint Surg Am 94;2001-2004,2012.
17) Lachiewicz PF, Soileau ES: Fixation, survival, and dislocation of jumbo acetabular components in revision hip arthroplasty. J Bone Joint Surg Am 95;543-548, 2013.
18) Gustke KA, Levering MF, Miranda, MA: Use of jumbo cups for revision of acetabulae with large bony defects. J Arthroplasty 29;199-203,2014.
19) Wysocki RW, Della Valle CJ, Shott S, Rosenberg AG, Berger RA, Galante JO: Revision of the acetabulum with a contemporary cementless component. J Arthroplasty 24; 58-63, 2009.
20) Paprosky WG, Perona PG, Lawrence JM: Acetabular defect classification and surgical reconstruction in revision arthroplasty. A 6-year follow-up evaluation. J Arthroplasty 9;33-44, 1994.
21) Ahmad AQ, Schwarzkopf R: Clinical evaluation and surgical options in acetabular reconstruction. A literature review. J Orthopaedics 12; s238-s243,2015.
22) Noailles T, Tanaka C, Lintz F, Collon S, Bargoin K, Gouin F: Acetabular reconstruction using a free fibular autograft in total hip arthroplasty revisions. Int Orthop 38:2447-2453, 2014.
23) Oonishi H, Iwaki Y, Kin N et al : Hydroxyapatite in revision of total hip replacements with massive acetabular defects. 4- to 10-year clinical results. J Bone Joint Surg Br 79:87-92, 1997.
24) Schwartz C, Vautrin M: Phosphocalcium ceramics are efficient in the management of severe acetabular loss in revision hip arthroplasty. A 22 cases long-term follow-up study. Eur J Orthop Surg Traumatol 25;227-232,2015.
25) Rigby M, Kenny PJ, Sharp R, Whitehouse SL, Gie GA, Timperley JA: Acetabular impaction grafting in total hip replacement. Hip Int 21;399-408,2011.
26) Regis D, Sandri A, Bonetti I, Bortolami O, Bartolozzi P: A minimum of 10-year follow-up of the Burch-Schneider cage and bulk allografts for the revision of the pelvic discontinuity. J Arthroplasty 27;1057-1063, 2012.
27) Abolghasemian M, Sadeghi Naini M, Tangsataporn S, Lee P, Backstein D,Safir O, Kuzyk P, Gross AE: Reconstruction of massive uncontained acetabular defects using allograft with cage or ring reinforcement: an assessment of the graft’s ability to restore bone stock and its impact on the outcome of re-revision. Bone Joint J 96-B;319-324,2014.
28) Te Stroet MA, Keurentjes JC, Rijnen WH, Gardeniers JW, Verdonschot N, Slooff TJ, Schreurs BW: Acetabular revision with impaction bone grafting and a cemented polyethylene acetabular component: comparison of the Kaplan-Meier analysis to the competing risk analysis in 62 revisions with 25-30 years follow-up. Bone Joint J 97B;1338-1344, 2015.
29) Garcia-Rey E, Madero R, Garcia-Cimbrelo, E: THA revisions using impaction allografting with mesh is durable for medial but lateral acetabular defects. CORR 473;3882-3891, 2015.
30) Garcia-Cimbrelo E, Garcia-Ray E: Bone defect determines acetabular revision surgery. Hip Int 24 Suppl 10;S33-36, 2014.
31) Sembrano JN, Cheng EY: Acetabular cage survival and analysis of factors related to failure. CORR 466:1657-1665, 2008.
32) Goodman S, Saastamoinen H, Shasha N, Gross A: Complications of ilioischial reconstruction rings in revision total hip arthroplasty. J Arthroplasty 19;436-446, 2004.
33) Taunton MJ, Fehring TK, Edwards P, Bernasek T, Holt GE, Christie MJ: Pelvic discontinuity treated with custom triflange component. A reliable option. CORR 470;428-434, 2012.
34) Paprosky WG, Martin EL: Structural acetabular allograft in revision total hip arthroplasty. Am J Orthop (Belle Mead, NJ) 31;481-484, 2002.
35) Kawanabe K, Akiyama H, Goto K, Maeno S, Nakamura T: Load dispersion effects of acetabular reinforcement devices used in revision total hip arthroplasty. J Arthroplasty 26;1061-1066, 2011.
36) Van Kleunen JP, Lee GC, Lementowski PW, Nelson CL, Garino JP: Acetabular revision using trabecular metal cups and augments. J Arthroplasty 24(6 Suppl);64-68, 2009.
37) Sporer SM, Paprosky WG: The use of a trabecular metal acetabular component and trabecular augment for severe acetabular defects. J Arthroplasty 21(6Suppl2);83-86, 2006.
38) Whitehouse MR, Masri BA, Duncan CP, Garbuz DS: Continued good results with modular trabecular metal augments for acetabular defects in hip arthroplasty at 7-11 years. CORR 473;521-527,2015.
39) Konan S, Duncan CP, Masri BA, Garbuz DS: Porous tantalum uncemented acetabular components in revision total hip arthroplasty. A minimum ten-year clinical, radiological and quality of life outcome study. Bone Joint J 98-B;767-771, 2016.
40) Abolghasemian M, Tangsataporn S, Sternheim A, Backstein D, Safir O, Gross AE: Combined trabecular metal acetabular shell and augment for acetabular revision with substantial bone loss: a mid-term review. Bone Joint J 95B;166-172, 2013.
41) Amenabar T, Rahman WA, HetaimishBM, Kuzyk PR, Safir OA, Gross AE: Promising mid-term results with a cup-cage construct for large acetabular defects and pelvic discontinuity. CORR 474;408-414, 2016.
42) Sporer SM, Bottros JJ, Hulst JB, Kancheria VK, Moric M, Paprosky WG: Acetabular distraction. An alternative for severe defects with chronic pelvic discontinuity? CORR 470;3156-3163, 2012.
vic discontinuity? CORR 470;3156-3163, 2012.