Remplissage when Bankart is not enough!
Background: Glenohumeral instability frequently involves bipolar bone loss, specifically anterior glenoid rim deficiency and Hill-Sachs lesions (HSL). While arthroscopic Bankart repair addresses soft tissue injuries, failure rates reach 67% to 89% in the presence of significant osseous defects. The "glenoid track" concept identifies "off-track" HSL as a primary risk factor for recurrent engagement and dislocation, necessitating surgical techniques that address the humeral defect.
Objective: This article reviews the rationale, surgical technique, and clinical outcomes of arthroscopic remplissage as an adjunct to Bankart repair for managing engaging Hill-Sachs lesions.
Key Points: Remplissage involves the arthroscopic fixation of the infraspinatus tendon and posterior capsule into the humeral defect using suture anchors. This procedure converts an intra-articular compression fracture into an extra-articular structure, preventing engagement with the anterior glenoid rim. Clinical data indicate that combining remplissage with Bankart repair reduces recurrence rates to approximately 5.4%, compared to 4% to 18% for isolated Bankart repair. Technical variations include anchor placement within the defect valley versus the subchondral rim. While the procedure is minimally invasive with a low complication rate (0.6%), potential side effects include a mean reduction in external rotation ranging from 2.6° to 11.3° and transient posterosuperior pain.
Conclusion: Arthroscopic remplissage is an effective, low-morbidity technique for stabilizing the shoulder in patients with engaging Hill-Sachs lesions. It serves as a reliable alternative to more invasive open procedures, though its impact on terminal external rotation warrants consideration in overhead athletes.
Introduction
The shoulder joint is a ball-and-socket joint. Only 25 to 30 % of the humeral head makes contact with the glenoid surface at any position. This explains that the shoulder has the greatest range of movement of all the joints in the body. In contrary the risk of instability is higher than any other congruent joint. The stability of the gleno-humeral joint relies on the joint surfaces and the muscles (concavity-compression effect), on the capsulo-labral structures and at a lower degree, on the negative intra-articular pressure [1]. Any deficiency of these factors, especially the capsulo-labral structure and the bone structures can lead to shoulder instability.
Glenohumeral instability is a frequent pathology especially in the young athletic population. The incidence of shoulder instability in the population has been estimated to be as high as 2% [2] and anterior instability is more frequent than posterior instability. Traumatic dislocations lead to soft tissue injuries (capsular and labral injuries) and osseous injuries (glenoid and humeral head). There are specific patient groups that have a higher risk for recurrent dislocation. The young age [3], the participation in contact sports [4] and the constitutional hyperlaxity [5] have been identified as risk factors. Another important factor is bone deficiency.
Bone lesionsin anterior shoulderinstability
The bone deficiency in anterior shoulder instability is frequent. In recurrent instability cases, the incidence of glenoid deficiency ranges from 46% to 86% [6].
The Hill-Sachs lesion (HSL) is also commonly observed in shoulders with anterior instability. The prevalence of HSL is reported to be 65% to 67% after a first episode of dislocation and 84% to 93% after recurrent dislocation [3,4,5,7].
The lesions induced by shoulder instability, especially the bone lesions, can increase with the subsequent dislocation or subluxation of the glenohumeral joint and literature has shown that the size and the depth of the Hill-Sachs defect increases with the recurrent dislocations [8].
In parallel the increased size of the bone defect increases the risk of further recurrent dislocation. The location, the size and the depth of the Hill-Sachs lesion has been extensively studied. Rowe et al. in 1984 classified the Hill-Sachs defect and reported that high incidence of recurrent dislocation was correlated with the presence of bone loss [9].
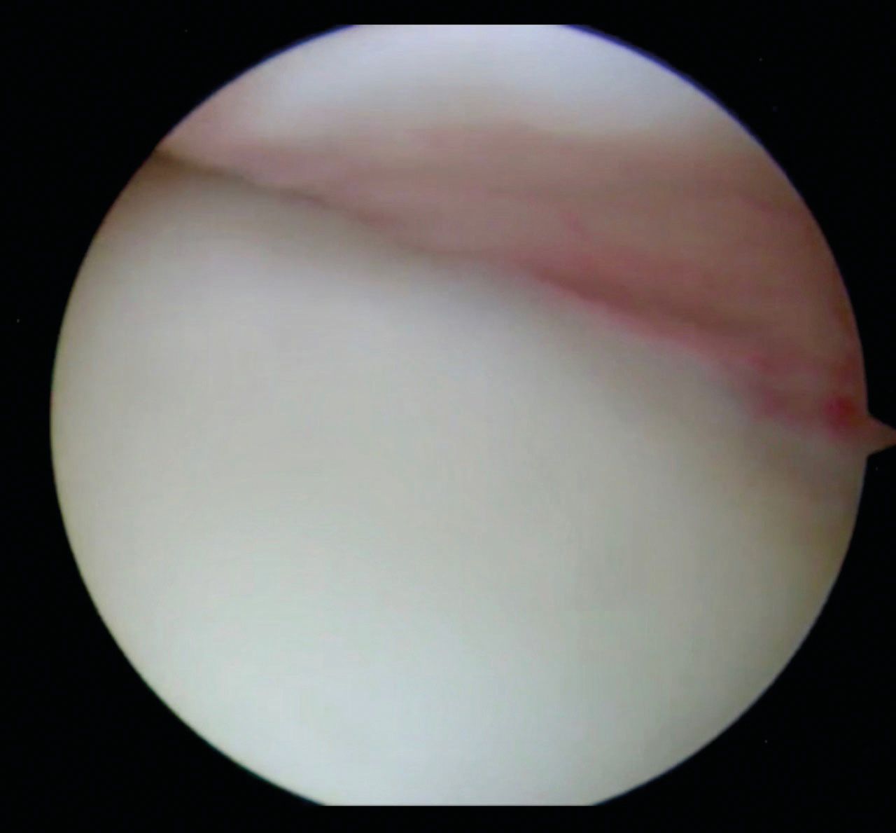
The posterior lateral humeral defect was first described by Malgaigne in 1855, then by Broca and Hartmann in 1890. It was then classified by Hill and Sachs in 1940 [10] and this is the usual name nowadays. The Hill-Sachs defect is a posterior lateral compression fracture on the humeral head which happens during an anterior dislocation when the glenoid anterior rim hits the posterior part of humeral head. Figure 1.

It is located at the posterior aspect of the humeral head. Usually, a small HSL is located close to the greater tuberosity attachment of the infra-spinatus, whereas a large HSL extends more medially.
Concept of engaging and non engaging, off-track and on-track
The HSL is related to the end-range of motion. When the shoulder is in abduction and external rotation the humeral defect can engage with the anterior rim of the glenoid and lead to a dislocation. Therefore the risk of engagement and dislocation is related to the position and the size/depth of the HSL. This is the concept of engaging and non-engaging lesion [11].
For the purpose of better assessing the risk of HSL relative to the glenoid, the glenoid track concept was introduced [12]. The glenoid track is the area of posterior humeral articular surface in contact with the glenoid when the arm moves along the posterior end-range of movement. If the HSL stays within the glenoid track (on-track), no engagement/ dislocation should occur. However, if it goes out of the glenoid track (off-track), the anterior rim of the glenoid may fall into the HSL, causing a dislocation [13]. Figure 2.

Treatment of bone deficiency in shoulderinstability
It is now clearly admitted that the treatment of only the soft-tissue in the case of significant bone defects (either glenoid or humeral) lead to poor results. Burkhart and De Beer were probably the first to highlight this fact. In their report of the outcome of arthroscopic Bankart repair, recurrent instability occurred after 67% of patients with a large osseous defect compared with 4% in those without a large defect . Furthermore, contact athletes with a large osseous defect had an 89% failure rate [14]. Therefore, the bone deficiency in shoulder instability must be addressed.
For the glenoid deficit, the bony Bankart repair and the Latarjet procedure are usually performed. Different solutions were described to address the problem of posterior humeral bone deficiencies [15], such as the Latarjet procedure [16], osteoarticular allograft transplantation [17], rotational humeral osteotomy [18], and transhumeral impaction grafting [19]. Usually these procedures are performed using an open technique and some of them are rarely performed as their morbidity is high. A Latarjet procedure is frequently proposed and performed in case of Hill Sachs lesion. Actually it doesn’t address directly the glenoid deficit but, by increasing the anterior-posterior diameter of the glenoid, it puts the HSL on-track. Iliac crest bone graft reconstruction has been proposed with the same idea to extend the glenoid arc and then to avoid the engagement of the defect on the glenoid rim.
The remplissage has been proposed more recently to specifically address the humeral defects.
History of remplissage and rationale
A method of arthroscopic filling of the HSL using infraspinatus tendon, known as "remplissage", was described in 2004 by Wolf [20]. Since then, this technique has gained popularity in the treatment of HSL.
50 years before his description, McLaughlin proposed a similar concept when he recommended the transposition of the subscapularis tendon into the defect for the treatment of posterior shoulder instability [21]. At this time, the procedure was open.

The concept is to fill (remplissage means filling in french) the humeral defect with soft tissue (posterosuperior capsule along with the infraspinatus tendon). The healing process of the capsule in the defect will convert the intra-articular Hill-Sachs lesion in an extra-articular lesion incapable of engaging with the glenoid. This procedure is combined with the treatment of the anterior capsulo-labral lesion (Bankart). The two procedures are concomitant and performed arthroscopically. Figure 3.
This technique could also have a tenodesis effect on the infra-spinatus, restraining the anterior translation of the humeral head [22]. Ladermann et al., in a cadaveric study, even concluded that the arthroscopic remplissage is a capsulomyodesis of infraspinatus and teres minor rather than a capsulotenodesis of the infraspinatus alone as previously believed [23].
Technique of remplissage procedure
The technique is derived from the technique for partial articular (PASTA) lesion of the cuff. The patient is positioned in lateral or beach chair position. The arthroscopic procedure is performed through the same usual portals used for anterior instability repair: standard posterior portal through the soft point, anterior portal (just superior to the lateral half of the subscapularis tendon), and anterosuperolateral portal.
The exploration of the gleno-humeral joint is realized through the posterior and the anterosuperolateral portals allowing confirmation and evaluation of the anterior capsulolabral lesion and the Hill-Sachs lesion. A dynamic arthroscopic examination can be performed at this stage to confirm the engagement of the humeral defect with the glenoid rim in abduction external rotation.
At this point the surgical procedure can be carried out. It is important to cautiously follow the different steps. Usually, the arthroscope is in the anterosuperolateral portal and the procedure can be achieved through the posterior portal. However, the size and the position of the Hill-Sachs vary, making the standardization of the posterior approach difficult.
An additional posterior portal can be done to provide access directly to the Hill-Sachs lesion. The use of a spinal needle allows the surgeon to choose the optimal position and the correct transtendon angle before performing the portal in order to optimize the orientation of the anchor and the instruments. The surface of the Hill-Sachs lesion is gently freshened with a bur with care taken to remove the minimum amount of surface bone. In addition, the surface of the entire posterior and inferior capsule is freshened with a shaver blade [24].
After insertion of an anchor (usually double loaded) in the bone defect, the cannula is carefully withdrawn from the posterior capsule and infraspinatus tendon but not through the deltoid. Therefore the mouth of the cannula is in the subdeltoid space. At this stage, it is a blind procedure. This position of the cannula and the variation of its angulation allow to pass the anchor and then the penetrating grasper with the suture limbs through different part of the tendon and the capsule. Figure 4.




Once the Hill-Sachs anchors are placed and sutures passed through the infraspinatus tendon, the anterior-inferior capsulolabral repair is performed. Only after finishing the anterior procedure, the posterior humeral sutures are tied, percutaneously, through the deltoid and over the infraspinatus tendon. The mattress sutures draw the infraspinatus and the posterior capsule to the abraded bony surfaces, thus achieving a filling (remplissage) of the Hill-Sachs lesion. Figure 5.


Modifications
The original technique described suture anchors placed into the valley of the defect, with the suture limbs passed directly posterior. Other authors have proposed a modification with a double-pulley technique [25]. One or two anchors can be used depending on the size of the defect. The anchor(s) can be placed in the middle of the valley or into the rim of subchondral bone adjacent to the articular margin [25]. Presently, there is no standardized technique. In vitro, there is no substantial differences between suture anchors placed into the valley of the Hill-Sachs defect vs those placed into the subchondral rim of the humeral head, but a medial suture placement, by its effect on the capsule and the tendon, can result in joint stiffness
and restriction in motion [26]. Figure 6.

Some surgeons prefer to place the arthroscope in the subacromial space when they tie the sutures over the infraspinatus [25] in order to better control the procedure and a suture bridge can be performed between the two anchors.
Postoperative management
Postoperative care is individualized but in general it doesn’t differ from the Bankart postoperative management. Immediate small movements are allowed as long as the arm is not abducted and does not externally rotate beyond neutral. The sling is left for 4 to 6 weeks. Active and resistance exercises are only started after 4 to 6 weeks in physiotherapy. Light activities are allowed during the three postoperative months and they can increase progressively after three months.
Results, advantages and disadvantages
In a series of 45 patients, Wolf [27] reported 2 (4.4%) cases who had a recurrent instability after traumatic dislocations.
In general, the literature shows better results in term of recurrence when the remplissage is performed in association with the Bankart procedure than when only isolated Bankart repair is carried out [28, 29]. In a systematic review, Buza et al. [28] showed that the overall recurrence rate was 5.4% in the 167 patients who underwent arthroscopic remplissage in addition to a standard Bankart repair. Prior studies have indicated failure rates between 4 and 18% following arthroscopic Bankart repair alone [30].
The advantages of this procedure include the ability to address capsulolabral pathology and an engaging Hill-Sachs defect with a minimally invasive arthroscopic approach, avoiding the morbidity of open procedures. It does not require foreign graft material, it is a quick and easy procedure and the cost of the surgery is not much increased.
There are some side effects. Hill-Sachs remplissage is a nonanatomic surgical technique, and for this reason many authors have reported concerns regarding a possible adverse effect on postoperative shoulder motion, especially loss of external rotation. Even if loss of motion has been reported in some studies, the majority have not documented a significant loss of shoulder motion. It is important to notice that Bankart alone can lead to some loss of motion as well.
The rate of complications is very low (0.6% for Buza) confirming the low morbidity of this procedure in comparison to other procedures in shoulder stabilisation. In Buza systematic review, the mean external rotation loss was 2.6 degrees. For Rashid et al., overall, there was a mean reduction in external rotation in adduction of 5.6° (-40 to +30), reduction in external rotation in abduction of 11.3° (-50 to +7) and reduction in internal rotation of 0.9 (-4 to 0) vertebral levels [31].
Muscular damage due to the passage of anchors and the suture/tightening of the tendon and muscular fibers may explain posterosuperior pain sometimes observed in patients who underwent remplissage. Usually this pain is temporary and disappears after a few weeks or months.
Nourissat, in a prospective comparative study (arthroscopic Bankart repair alone vs Bankart and remplissage) concluded that the remplissage technique did not alter the range of motion of the shoulder compared with Bankart procedure alone; however, one third of patients did experience posterosuperior pain [32].
Overall, the remplissage procedure has a low recurrence rate, with minimal complications.
However, in throwing athletes where less substantial loss of external rotation is tolerated, the implications of this procedure must be considered and discussed with the patient. Futhermore, longer term studies are still needed to evaluate long term effects, especially on the risk of osteoarthritis which has not been assessed yet [7].
Place of remplissage in the shoulder instability algorithm treatment
The algorithm treatment in anterior shoulder instability depends on age, patient demand, sport activity, degree of constitutional laxity, number of recurrences and bone deficiency. In some cases, where treating a glenoid lesion only with an arthroscopic Bankart procedure will leave a significant Hill-Sachs lesion (which could compromise the clinical results), a remplissage procedure is indicated. Thereby the remplissage is done when Bankart is not enough.
Usually, when a Latarjet procedure is performed, the remplissage doesn’t need to be carried out as the isolated Latarjet procedure has shown excellent results. However, it can be indicated in conjunction with a Latarjet in case of large bipolar bone lesions particularly in the challenging group of poorly controlled epileptic patients.
Conclusion
The remplissage procedure converts an intra-articular humeral defect into an extra-articular one without the need of any additional graft procedure. It is performed arthroscopically at the same time as the Bankart repair. It is not an anatomic procedure as it changes the footprint insertion and probably the physiology of the infra-spinatus tendon. However, it must be compared to other non-anatomic procedures like Latarjet. It has shown its efficiency when added to the Bankart repair and even if we can’t deny some side effects, they are still limited and usually don’t compromise the return to normal activity. It remains to find its exact place in the treatment algorithm of anterior shoulder instability, especially in comparison with the Latarjet procedure particularly in high-demand population like contact athletes.
This technique must be considered as a safe, effective and reliable procedure for the treatment of anterior shoulder instability with significant Hill-Sachs lesion.
References
1. Itoi E, Morrey BF, an Kn. Biomechanics of the shoulder. In: Matsen FA, Wirth MA, Lippitt SB, Rockwood CA, eds. The shoulder. Fourth ed. Philadelphia: Saunders/Elsevier, 2009:213-265.
2. Hovelius L, Augustini BG, Fredin H, Johansson O, Norlin R, Thorling J. Primary anterior dislocation of the shoulder in young patients. A ten-year prospective study. J Bone Joint Surg Am 1996; 78: 1677-1684.
3. Hovelius L, Olofsson A, Sandström B, Augustini BG, Krantz L, Fredin H, Tillander B, Skoglund U, Salomonsson B, Nowak J, Sennerby U. Nonoperative treatment of primary anterior shoulder dislocation in patients forty years of age and younger. a prospective twenty-five-year follow-up. J Bone Joint Surg Am 2008; 90: 945-952.
4. Taylor DC, Krasinski KL. Adolescent shoulder injuries: consensus and controversies. J Bone Joint Surg Am 2009; 91: 462-473.
5. Owens BD, DeBerardino TM, Nelson BJ, Thurman J, Cameron KL, Taylor DC, Uhorchak JM, Arciero RA. Long-term follow-up of acute arthroscopic Bankart repair for initial anterior shoulder dislocations in young athletes. Am J Sports Med 2009; 37: 669-673.
6. Bigliani LU, Newton PM, Steinmann SP, Connor PM, Mcllveen SJ. Glenoid rim lesions associated with recurrent anterior dislocation of the shoulder. Am J Sports Med 1998; 26: 41-45.
7. Garcia GH, Liu JN, Dines DM, Dines JS. Effect of bone loss in anterior shoulder instability. World J Orthop. 2015 Jun 18;6(5):421-33.
8. Kim DS, Yoon YS, Yi CH. Prevalence comparison of accompanying lesions between primary and recurrent anterior dislocation in the shoulder. Am J Sports Med. 2010 Oct;38(10):2071-6.
9. Rowe CR, Zarins B, Ciullo JV. Recurrent anterior dislocation of the shoulder after surgical repair. Apparent causes of failure and treatment.J Bone Joint Surg [Am] 1984; 66-A:159-168.
10. Hill HA, Sachs MD. The grooved defect of the humeral head: A frequently unrecognized complication of dislocations of the shoulder joint. Radiology 1940;35:690-700.
11. Cho SH, Cho NS, Rhee YG. Preoperative analysis of the Hill-Sachs lesion in anterior shoulder instability: how to predict engagement of the lesion. Am J Sports Med 2011;39:2389-2395.
12. Yamamoto N, Itoi E, Abe H, et al. Contact between the glenoid and the humeral head in abduction, external rotation, and horizontal extension: a new concept of glenoid track. J Shoulder Elbow Surg 2007;16:649-656.
13. Itoi E. 'On-track' and 'off-track' shoulder lesions. EFORT Open Rev. 2017 Aug 1;2(8):343-351.
14. Burkhart SS, De Beer JF. Traumatic glenohumeral bone defects and their relationship to failure of arthroscopic Bankart repairs: significance of the inverted-pear glenoid and the humeral engaging Hill-Sachs lesion. Arthroscopy. 2000 Oct;16(7): 677-94.
15. Morsy MG. Arthroscopic remplissage: Is it still an option? EFORT Open Rev. 2017 Dec 8;2(12):478-483.
16. Latarjet M. Treatment of recurrent dislocation of the shoulder. Lyon Chir 1954;49: 994-997.
17. Kropf EJ, Sekiya JK. Osteoarticular allograft transplantation for large humeral head defects in glenohumeral instability. Arthroscopy 2007;23:322.e1-322.e5.
18. Weber BG, Simpson LA, Hardegger F. Rotational humeral osteotomy for recurrent anterior dislocation of the shoulder associated with a large Hill-Sachs lesion. J Bone Joint Surg [Am] 1984;66-A:1443-1450.
19. Re P, Gallo RA, Richmond JC. Transhumeral head plasty for large Hill-Sachs lesions. Arthroscopy 2006;22:798.e1-798.e4.
20. Wolf E, Pollack M. Hill-Sachs ‘‘Remplissage’’: an arthroscopic solution for the engaging Hill-Sachs lesion. Arthroscopy 2004; 20:e14–e15
21. McLaughlin H. Posterior dislocation of the shoulder. J Bone Joint Surg Am 1952; 24-A:584–590
22. Boileau P, O’Shea K, Vargas P, Pinedo M, Old J, Zumstein M. Anatomical and functional results after arthroscopic Hill-Sachs remplissage. J Bone Joint Surg Am 2012; 94:618–626.
23. Lädermann A, Arrigoni P, Barth J, Narbona P, Hanypsiak B, Burkhart SS, Denard PJ. Is arthroscopic remplissage a tenodesis or capsulomyodesis? An anatomic study. Knee Surg Sports Traumatol Arthrosc. 2016 Feb;24(2):573-7.
24. Purchase RJ, Wolf EM, Hobgood ER, Pollock ME, Smalley CC. Hill-sachs "remplissage": an arthroscopic solution for the engaging hill-sachs lesion. Arthroscopy. 2008 Jun;24(6):723-6.
25. Koo SS, Burkhart SS, Ochoa E. Arthroscopic double-pulley remplissage technique for engaging Hill-Sachs lesions in anterior shoulder instability repairs. Arthroscopy 2009;25:1343-8.
26. Elkinson I, Giles JW, Boons HW, Faber KJ, Ferreira LM, Johnson JA, Athwal GS. The shoulder remplissage procedure for Hill-Sachs defects: does technique matter? J Shoulder Elbow Surg. 2013 Jun;22(6):835-41.
27. Wolf EM, Arianjam A. Hill-Sachs remplissage, an arthroscopic solution for the engaging Hill-Sachs lesion: 2- to 10-year follow-up and incidence of recurrence. J Shoulder Elbow Surg. 2014 Jun;23(6):814-20.
28. Buza JA 3rd, Iyengar JJ, Anakwenze OA, Ahmad CS, Levine WN. Arthroscopic Hill-Sachs remplissage: a systematic review. J Bone Joint Surg Am. 2014 Apr 2;96(7):549-55.
29. Leroux T, Bhatti A, Khoshbin A, Wasserstein D, Henry P, Marks P, Takhar K, Veillette C, Theodoropolous J, Chahal J. Combined arthroscopic Bankart repair and remplissage for recurrent shoulder instability. Arthroscopy. 2013 Oct;29(10):1693-701.
30. Boileau P, Villalba M, Héry JY, Balg F, Ahrens P, Neyton L. Risk factors for recurrence of shoulder instability after arthroscopic Bankart repair. J Bone Joint Surg Am. 2006 Aug;88(8):1755-63.
31. Rashid MS, Crichton J, Butt U, Akimau PI, Charalambous CP. Arthroscopic "Remplissage" for shoulder instability: a systematic review. Knee Surg Sports Traumatol Arthrosc. 2016 Feb;24(2):578-84.
32. Nourissat G, Kilinc AS, Werther JR, Doursounian L. A prospective, comparative, radiological, and clinical study of the influence of the "remplissage" procedure on shoulder range of motion after stabilization by arthroscopic Bankart repair. Am J Sports Med. 2011 Oct;39(10):2147-52.