Management of infections with antibiotic bone cement in trauma and orthopedic surgery
Background: Osteoarticular infections and major bone defects following high-kinetic trauma or arthroplasty remain significant challenges in orthopedic surgery, often resulting in severe functional impairment. While systemic antibiotic therapy is standard, its efficacy is frequently limited by poor local vascularization and the formation of bacterial biofilms on internal fixation devices.
Objective: This article evaluates the clinical indications, microbiological considerations, and therapeutic advantages of using antibiotic-impregnated bone cement in the management of open fractures, septic pseudarthroses, and prosthetic joint infections.
Key Points: The use of antibiotic-laden spacers is a critical component of the two-stage Masquelet technique, providing mechanical stability and promoting the formation of an induced membrane for subsequent bone grafting. Local delivery achieves tissue concentrations up to 1,000 times higher than systemic administration without increasing systemic toxicity. While gentamicin-impregnated cement is effective against common Gram-positive and Gram-negative pathogens during initial debridement, data suggest that dual-antibiotic combinations, such as gentamicin and clindamycin, are superior for preventing superinfections and inhibiting biofilm formation. In hemiarthroplasty for femoral neck fractures, high-dose dual-impregnated cement significantly reduces deep infection rates compared to low-dose single-antibiotic cement (1.1% vs 3.5%) without increasing bacterial resistance.
Conclusion: Antibiotic bone cement is an essential adjuvant tool that optimizes the management of complex osteoarticular infections. Utilizing dual-antibiotic formulations enhances antimicrobial synergy, reduces biofilm-related failures, and improves clinical outcomes in both trauma reconstruction and revision arthroplasty.
Introduction
Over the past few years, arthroplasty and trauma surgery has made significant progress, and has become increasingly accurate and effective. However, osteoarticular infections remain a major public health problem and their management may be challenging. Failures in the treatment of these osteoarticular infections have major functional consequences for patients. The use of antibiotic bone cement is an essential tool in the management of these osteoarticular infections and must be mastered by the orthopedic surgeon. The aim of this article is to report and discuss the three indications for the use of antibiotic bone cement in trauma and orthopedics.
1. Management of open fractures with major bone defects
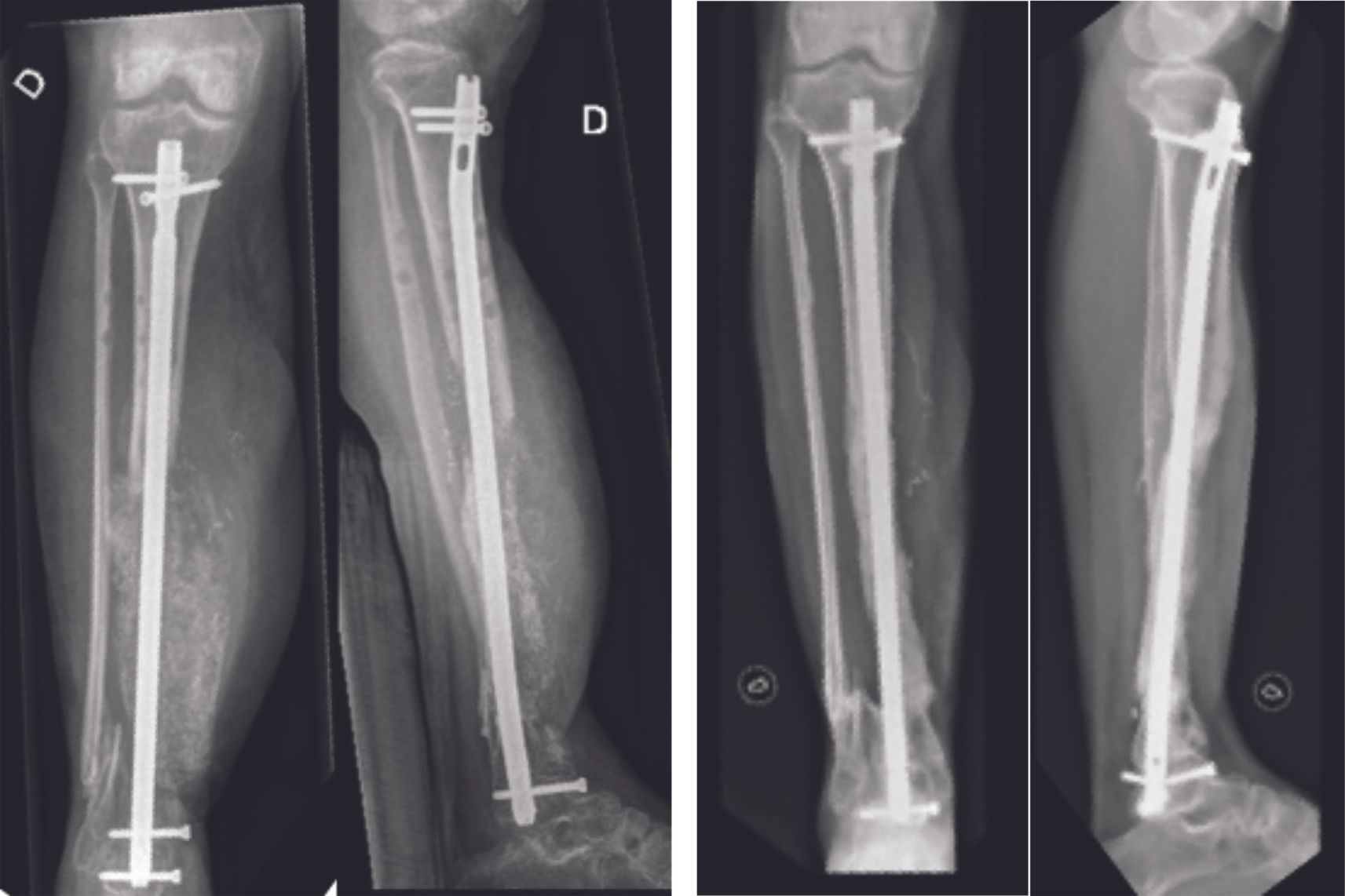
Gustilo III open fractures secondary to high-kinetic trauma pose two main treatment problems. Skin opening and injury to the soft tissues lead to a high risk of infection. Fractures, in particular those of the leg, may be accompanied by a major bone defect, requiring potentially complex bone reconstruction that may not be feasible at an early stage. In these circumstances, the use of a temporary antibiotic bone cement spacer provides benefits in the management of these two problems. When extensive soft tissue lesions associated with bone defects of varying dimensions are present (Fig. 1 and 2), amputation may be discussed as a salvage procedure.


In most cases, however, patients are young, active and present with few comorbidities therefore bone reconstruction should be the treatment of choice. Before suggesting preservative treatment, it is important to ensure that there are no extensive vascular or neurological lesions that might justify amputation.
For these reconstruction cases many surgeons prefer the Masquelet technique in this situation. Following emergency care, the first surgical stage consists of bone debridement, inserting an antibiotic bone cement spacer and immobilizing the limb with an external fixator (or performing a temporary osteosynthesis) (Fig 3). Once the fracture location is stabilized, the soft tissue lesions can be managed, by extensive debridement followed by flap coverage, and treating any infection with local and systemic antibiotics. The Masquelet technique builds an induced membrane around the cement spacer within a month.

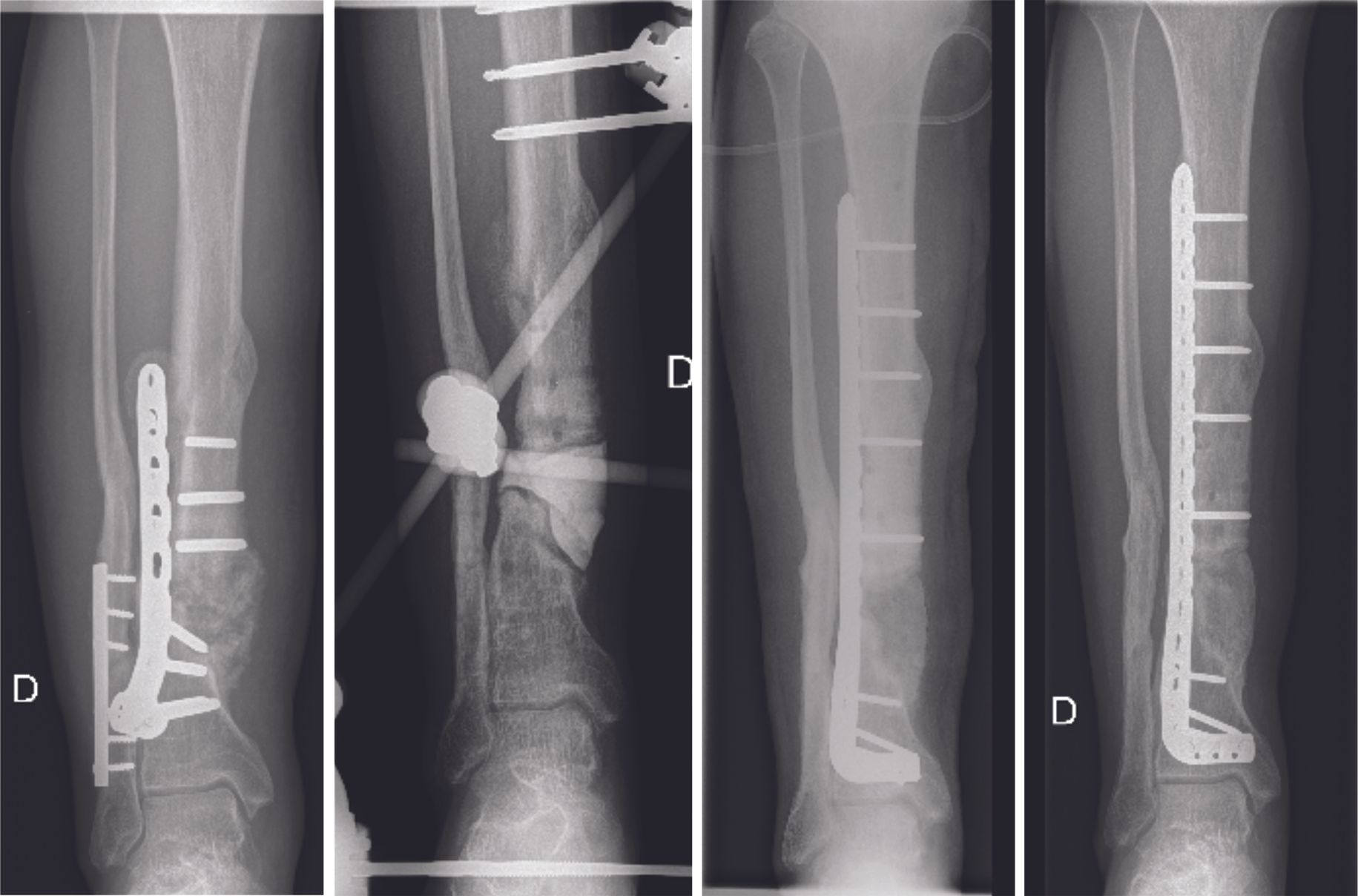
The second surgical stage includes removal of the cement spacer, bony reconstruction by bone grafting and final osteosynthesis (Fig. 4 and 5). The spacer is replaced by bone grafts harvested using the RIA (reamer – irrigator – aspirator) technique. The RIA technique allows large amounts of quality bone graft to be harvested if necessary. The induced membrane of the Masquelet technique avoids resorption of the bone graft and allows secondary bone healing.


The use of antibiotic bone cement in major bone defects after an open fracture has an important mechanical function, as it provides fracture stability and alignment, as well as promoting the formation of an induced membrane, which is the first stage of the Masquelet technique. The local antibiotics in the cement optimize systemic antibiotic therapy when treating an early infection at the fracture site and decreases the risk of late-onset infection.
2. Management of septic pseudarthrose
2.1. The issue of septic pseudarthroses
The management of septic pseudarthroses is complex and outcomes are uncertain. It combines an infectious problem with a mechanical problem which both require specific management.
Intravenous antibiotic therapy alone is insufficient to treat the infection. The pseudarthrosis consists of poorly vascularized, non-vascularized bone or sequestrate, where intravenous antibiotic therapy alone is ineffective. Patients with implanted osteosynthesis devices may also fail to respond to antibiotic therapy due to biofilm formation. The osteosynthesis device must be replaced during revision surgery.
Mechanically, pseudarthrosis results in bone loss of varying degrees, depending on the extent of the infected bone which has to be removed. The bone loss must be compensated by a bone graft and fixed by an appropriate osteosynthesis device or by an intercalary prosthesis. Mechanical reconstruction must be performed once the infection is under control. Masquelet two-stage reconstruction, described above, is the most widely used surgical technique for infected pseudarthrosis with substantial bone defect after debridement.
Although this pathology has often been described, it is rarely encountered and there are few well-established recommendations regarding its medical management (due to small sample sizes and missing randomized studies). Data on pathogens involved and long-term results are limited. A multidisciplinary approach for the management of these septic pseudarthroses is necessary, based on each specialist’s personal experience. Furthermore, each septic pseudarthrosis is unique regarding the location and extent of bone loss, the type of pathogen involved and the patient’s overall state and functional demand. Management of these pseudarthroses must therefore be tailored to each patient.
2.2. Purposes of antibiotic bone cement
Local antibiotics are considered as an adjuvant treatment to intravenous antibiotic therapy. They may not be used as a replacement therapy. These local antibiotics deliver a very high concentration of antibiotics over a short period of time at an infected and poorly vascularized site where intravenous antibiotic therapy has limited efficacy. Local and systemic antibiotics provide in situ tissue concentrations that are up to 1,000 times higher than in cases treated by isolated systemic antibiotic therapy. By using local antibiotics, these high levels of tissue concentration can be reached without excessive systemic toxicity.
The first objective is to treat the initial infection that was present after bone resection. The main difficulty when treating this type of infection is that the pathogen is not identified at the time of the first surgical procedure in most cases. The choice of antibiotic therapy is thus based on an empirical approach during initial treatment. The second objective is to prevent the occurrence of superinfections, which are initially absent but may appear during the second surgical stage involving bone reconstruction.
The therapeutic strategy is to perform a resection of the pseudarthrosis until healthy bone is encountered (Fig. 6 A), insert an antibiotic bone cement spacer (Fig. 6 B) and then combine these local antibiotics with intravenous antibiotic therapy. In a second stage, which should be performed at least 6 weeks later, the surgeon replaces the spacer with a bone graft using the Masquelet technique or an intercalary prosthesis (Fig. 6 C). Intravenous antibiotic therapy should continue for several weeks post-surgery, depending on the type of infection.

2.3. Which antibiotic therapy should be used locally?
Bacterial epidemiology
In order to treat the initial infection effectively during resection and to prevent potential superinfection following the second procedure, empirical antibiotic therapy should be given until microbiological confirmation is obtained. The pathogen is rarely known during bone resection and is identified subsequently from samples taken during surgery. It is thus important to know the epidemiology of pathogens found in septic pseudarthrosis and superinfections.
However, there are few scientific data currently available and the low rate of infected pseudarthrosis further limits epidemiological data on the most frequently encountered pathogens. Nevertheless several studies1,2 have reported data on pathogens identified during the management of post-traumatic bone infection using the Masquelet technique. The most frequently observed pathogens are Staphylococcus aureus, Staphylococcus epidermidis, Pseudomonas aeruginosa, Enterococcus faecalis and Escherichia coli.
Antibiotic spectrum for the initial infection
The antibiotics included in the cement should meet a number of criteria. Initially, they should be broad spectrum and cover the potential pathogens. Vancomycin and clindamycin cover only Gram-positive organisms. Gentamicin is often used for these indications and covers Gram-positive and Gram-negative bacteria. Giannoudis et al.1 reported in a study of 43 patients that Gram-negative bacteria are encountered quite frequently. In these indications where the pathogen has not yet been identified, gentamicin has an important role to play, as it has been shown to be effective against a broad spectrum of organisms.
We studied 18 patients treated for septic pseudarthrosis at the Reference Centre for Osteoarticular Infections in Lyon in 2015 and 2016. The results of bacteriological sampling during bone resection revealed a predominance of Gram-positive staphylococci, but also Gram-positive anaerobes, gram-positive bacilli and Gram-negative bacilli. These septic pseudarthroses had been managed in two stages and a gentamicin-impregnated spacer (500 mg of gentamicin in 40 g of cement) was inserted during bone resection. All identified bacteria were gentamicin-sensitive, thus indicating that it should be the local antibiotic therapy of choice. One fungal infection was also identified (Fig. 7).

Prevention of superinfections
The second objective of local antibiotics is to prevent the occurrence of superinfections. These are new infections that are initially absent during bone resection but may appear during the second surgical procedure involving bone grafting. To prevent these superinfections, it is crucial to know their bacterial epidemiology, but there are again few scientific data currently available.
In the 18 patients treated at our center, none of the pathogens identified during bone resection in the first stage were detected during the second surgical procedure. However, 4 patients (22%) developed a superinfection, and 3 of these included methicillin- and gentamicin-resistant (coagulase-negative) Staphylococcus epidermidis. Local antibiotic therapy using gentamicin alone is thus effective in treating initial infections but is apparently not sufficient to prevent superinfections.
Two methods can improve superinfection prevention. Firstly, the local gentamicin dose can be increased. Indeed, as was demonstrated by Kuehn3 cement containing 500 mg of gentamicin in 40 g of cement (PALACOS R+G) delivers gentamicin over 3 days at a concentration that is higher than the MIC (minimum inhibitory concentration) of gentamicin. The high local concentration of antibiotics disappears after 3 days and thereafter, only intravenous antibiotic therapy is still effective. However, if a combination of 1 g of gentamicin and 1 g of clindamycin in 40 g of cement is used, the concentration of gentamicin and clindamycin remains above the MIC of gentamicin for more than 10 days, thus increasing the chances of preventing superinfection (Fig. 8).

Secondly, a combination of two antibiotics that are active against staphylococci is frequently used intravenously to treat staphylococcal infections. This approach can also be used locally. In vitro studies4 have shown that vancomycin can be used as an extracellular bactericidal agent and clindamycin as an intracellular bactericidal agent against Staphylococcus aureus. The combination of gentamicin with vancomycin or clindamycin will thus have a synergistic effect on staphylococcal infections. Clindamycin potentiates the action of gentamicin more efficiently than vancomycin.
Which antibiotic can be used for bone cement.
Antibiotics should retain their antibacterial effects and must have specific characteristics.
• withstand the high temperatures during polymerization of the bone cement
• remain stable over time
• be released at effective concentrations
• available as a sterile powder can be added to cement
Few antibiotics meet these criteria, but the most common used are vancomycin, clindamycin, erythromycin, colimycin and gentamicin. Several industrial produced ready-to-use combinations are available:
- Primary cements: 40 g with 1 g of gentamicin or 1 g of tobramycin
- Revision cements: 40 g with 1 g of gentamicin and 1 g of clindamycin or 0.5 g of gentamicin and 2 g of vancomycin or 0.5g of erythromycin and 3 million IU of colistimethate sodium
- PMMA bead chains each containing 4.5 mg of gentamicin
2.4. Local antibiotics and biofilms
In addition to their low toxicity and their efficacy in the treatment of initial infections and the prevention of superinfections, these local antibiotics can also prevent the formation of a biofilm on osteosynthesis or implant material. Ensing5 demonstrated in an in vitro study that the combination of gentamicin and clindamycin inhibits biofilm formation, as opposed to standard cement without antibiotics. In contrast, when cement impregnated with gentamicin alone is used, biofilm formation was similar to that observed on antibiotic-free cement. This characteristic is of great importance when performing osteosynthesis for pseudarthrosis but also for arthroplasty surgery.
3. Antibiotic bone cement for arthroplasty surgery
Biofilm reduction on implant material using cement with two antibiotics is also relevant in arthroplasty surgery. When a temporary spacer is used to treat septic pseudarthroses, open fractures or infected prostheses, the mechanical stability of the cement may be limited. The mechanical properties of the cement spacer are less important than in the case of definite prostheses fixation during reimplantation with antibiotic bone cement. In this case, ready-to-use combinations should be preferred, as these will not alter the long-term stability of the cement or increase the rate of aseptic loosening.
The use of antibiotic bone cement during primary arthroplasties is still a matter of debate. In some situations (e.g. a history of previous surgery on the joint or individual risk factors for infection such as diabetes), the use of antibiotic bone cement is recommended to decrease the risk of infection. The evidence for general use of antibiotic bone cement for infection prophylaxis during primary arthroplasty remains still inclusive. For fixation during primary arthroplasty surgery, ready-to-use antibiotic bone cement should be used. Combining the antibiotics with the cement by hand can degrade the cement and alter its mechanical properties, depending on which antibiotics are used and their concentration in the cement.
Several authors have concluded that the use of antibiotic bone cement during primary hip prostheses following femoral neck fractures decreases the risk of infection. An RCT study investigated the rate of deep infections following hip hemiarthroplasty for fracture of the femoral neck. One group (n=448) received gentamicin bone cement only (500 mg of gentamicin in 40 g of cement) vs a second group (n= 400) received combined gentamicin (1 g) and clindamycin (1 g) in 40 g cement. A significantly lower rate of deep infections was reported in the group receiving dual-impregnated antibiotic-laden cement (1.1%) compared to the group receiving low-dose gentamicin-impregnated cement (3.5%).7 It has also been demonstrated that patients receiving a cement combining high doses of gentamicin and clindamycin do not develop greater resistance to these two antibiotics than patients receiving low-dose gentamicin bone cement. The use of dual-impregnated antibiotic bone cement thus limits the growth of biofilm on the prosthesis material and also decreases the risk of deep infection following hip hemiarthroplasty for fracture of the femoral neck, without any increasing the risk for developing additional antibiotic resistance.
Conclusion
Antibiotic bone cement spacers are commonly used to treat open fractures with a major bone defect, during revision surgery for septic pseudarthroses, or for two stage revision surgery in infected arthroplasties. Local antibiotics deliver a very high concentration of antibiotics over a short period of time at a poorly vascularized site without excessive systemic toxicity. In addition to the mechanical benefits of using spacers in major bone defects, local antibiotics improve the treatment of initial osteoarticular infections and reduce the risk of superinfections. The combination of two staphylococcal active antibiotics has a synergistic effect on the prevention of this risk and also reduces the risk of biofilm formation on osteosynthesis and implant material.
References
1. Giannoudis PV, Harwood PJ, Tosounidis T and Kanakaris NK. Restoration of long bone defects treated with the induced membrane technique: protocol and outcomes. Injury. 2016; 47 Suppl 6: S53-S61.
2. Wang X, Luo F, Huang K and Xie Z. Induced membrane technique for the treatment of bone defects due to post-traumatic osteomyelitis. Bone Joint Res. 2016; 5: 101-105.
3. Kuehn KD, Ege W and Gopp U. Acrylic bone cements: mechanical and physical properties. Orthop Clin North Am. 2005; 36: 29-39, v-vi.
4. Valour F, Trouillet-Assant S, Riffard N, et al. Antimicrobial activity against intraosteoblastic Staphylococcus aureus. Antimicrob Agents Chemother. 2015; 59: 2029-2036.
5. Ensing GT, van Horn JR, van der Mei HC, Busscher HJ and Neut D. Copal bone cement is more effective in preventing biofilm formation than Palacos R-G. Clin Orthop Relat Res. 2008; 466: 1492-1498.
6. Sprowson AP, Jensen CD, Gupta S, et al. The effect of high dose antibiotic impregnated cement on rate of surgical site infection after hip hemiarthroplasty for fractured neck of femur: a protocol for a double-blind quasi randomised controlled trial. BMC Musculoskelet Disord. 2013; 14: 356.
7. Sprowson AP, Jensen C, Chambers S, et al. The use of high-dose dual-impregnated antibiotic-laden cement with hemiarthroplasty for the treatment of a fracture of the hip: The Fractured Hip Infection trial. Bone Joint J. 2016; 98-B: 1534-1541.