diagnostic algorithm for acute syndesmotic injuries or ”high ankle sprains”: history, physical findings and imaging
Background: The distal tibiofibular syndesmotic complex is essential for talocrural joint stability, yet isolated injuries remain challenging to diagnose due to the low accuracy of physical examinations and standard radiography. Failure to identify and treat these "high ankle sprains" can result in chronic instability, persistent pain, and secondary osteoarthritis.
Objective: This article aims to provide a comprehensive review of syndesmotic anatomy, evaluate the diagnostic efficacy of clinical and imaging modalities, and present an algorithmic approach to therapeutic management.
Key Points: The syndesmosis comprises the anterior-inferior tibiofibular, posterior-inferior tibiofibular, interosseous, and inferior transverse ligaments. Clinical tests, including the external rotation stress, squeeze, and Cotton tests, demonstrate variable reliability, with the external rotation test showing the highest inter-rater reliability (0.73–0.74). While standard radiographs have high specificity (0.98) but low sensitivity (0.53), MRI and CT offer superior diagnostic accuracy; MRI sensitivity and specificity for ligamentous tears reach 93–100%. Arthroscopy remains the diagnostic gold standard. Management of stable Grade I and II injuries is typically conservative, involving protected weight-bearing and functional rehabilitation. Conversely, Grade III injuries or those with demonstrated instability require surgical stabilization using syndesmotic screws or suture-button constructs to restore the physiological envelope of motion.
Conclusion: Accurate diagnosis of syndesmotic injuries requires integrating patient history, combined physical examination maneuvers, and advanced imaging. An algorithmic approach utilizing MRI or arthroscopy is recommended to prevent long-term sequelae associated with missed syndesmotic instability.
Introduction
The syndesmotic ligamentous complex plays an important role in the stability of the talocrural joint. Understanding the anatomy of the structures is mandatory for interpretation of clinical symptoms, radiographs, CT, MRI and ankle arthroscopy. [1]
The distal tibiofibular syndesmosis includes four main structures. The anterior-inferior tibiofibular ligament (AiTFL) connects the anterolateral tubercle of the distal tibia to the anterior tubercle of the distal fibula. An accessory anterior-inferior tibiofibular ligament, also called Bassett’s ligament, is described in the literature.[2] (Figure 1) The posterior-inferior tibiofibular ligament (PiTFL) connects the posterior tubercle of the distal tibia to the posterior part of the distal fibula. The interosseous ligament (IOL) is a distal thickened continuation of the interosseous membrane.

The interosseous ligament (IOL) lies 0.5 to 2 cm above the joint line. The area underneath the interosseous ligament is generally filled with the synovial plica from the tibiotalar joint. [3, 4] The inferior transverse ligament (ITL) forms the most distal aspect of the tibiotalar articulation and functions as a labrum. The PiTFL, like the AiTFL, consists of multiple collagen bundles and fat. Its most distal fibres sometimes seem continuous with the transverse ligament. (Figure 2) [3]

The syndesmotic ligaments connect the distal fibula tightly to the distal tibia. The physiological envelope of motion of the syndesmotic ligamentous complex is approximately 1mm in translation and 4 degrees of rotation. [5-7] The main stabilizer of the talus underneath the tibia however is the deltoid ligament. [8-10] Syndesmotic injuries in combination with deltoid ligament injuries render the ankle joint highly unstable. [11]
Several mechanisms of syndesmotic injury have been reported. Dorsiflexion and external rotation is most commonly described. Syndesmotic injuries frequently occur in athletes, mostly in collision sports. Fritschy noted syndesmotic injuries in skiing with the introduction of more firm skiing boots extending above the ankle. [12] He observed syndesmotic injuries when the foot and ankle experienced forced external rotation within the ski boot. Also in the classical work of “ligamentous ankle fractures”, Lauge-Hansen reported the external rotation of the foot causing AiTFL ruptures. [13]
The incidence of syndesmotic injuries is thought to be 0.5% of all ankle sprains without fracture and 13% of all ankle fractures. Isolated syndesmotic injuries are more difficult to diagnose than those that result from ankle fractures. There is a lack of consensus on diagnostic criteria for isolated acute syndesmotic injuries. The low accuracy of several physical and radiological tests may predispose to late or missed diagnosis. Inappropriate (under-)treatment might ultimately lead to chronic syndesmotic insufficiency, chronic ankle pain, and eventually osteoarthritis of the ankle joint. [14] In this paper the history, clinical examinations, imaging modalities and therapeutic options will be described using an algorithmic approach.
History
The physician should be aware of the patient that has a higher a-priori chance of having a syndesmotic injury. A young athlete performing contact/collision sports, having suffered a pivoting trauma with the ankle joint is suspected for a syndesmotic injury. Patients with isolated syndesmotic injuries, or so-called high ankle sprains, generally present with acute ankle instability, pain, and functional deficits. [15] The history should include the mechanism of injury, previous injuries or surgical procedures, and symptoms of instability.
Physical examination
There are 6 different clinical tests mentioned in the literature (Table 1), which will be described in more detail. According to a recent review three of them seem to be the most accurate ones marked with* [16].

Palpation pain test (Figure 3)
The patient typically presents with limited swelling but marked pain over the syndesmotic ligaments. In most cases only the AiTFL is ruptured, therefore the pain is located on the anterior side, more than on the posterior side of the ankle joint.

External rotation stress test (Figure 4)
The external rotation stress test consists of stabilization the leg with the knee in 90 degrees of flexion, followed by manual external rotation of the foot. A positive result is when the patient reports pain over de syndesmosis. [17-19]

Squeeze test (Figure 5)
The squeeze test consists of applying compression of the proximal part of the fibula to the tibia, separating the two bones distally. A positive result is when the patient reports pain over the syndesmosis. [19, 20]

Cotton test (Figure 6)
The Cotton test is performed by translating the talus within the ankle mortise from medial to lateral. Increased translation or pain may suggest syndesmosis involvement, as well as a deltoid (medial) ligament injury.

Fibula translation test (Figure 7)
With the fibula translation (drawer) test, the examiner attempts to translate the fibula from anterior to posterior. In the normal ankle, there is a firm end point and little movement. Increased translation relative to the contralateral side and pain indicate a positive test result.

Stabilization test (Figure 8)
Amendola has described the “stabilization test,” [21] which can be useful to confirm diagnosis during the subacute or chronic phase of injury once acute swelling and pain have subsided. This test is performed by tightly applying several layers of 1.5-in athletic tape just above the ankle joint to stabilize the distal syndesmosis. The patient is then asked to stand, walk, and perform a toe raise and jump. The test result is positive if these maneuvers are less painful after taping.

Accuracy of different clinical tests
Biomechanical evaluation of the four most common clinical tests showed that accurate prediction of the degree of mechanical injury is not possible with clinical testing alone. [22]
Diagnostic accuracy of several physical tests was reviewed systematically. [23] Two studies [18, 24] investigated diagnostic accuracy. The Cotton test (42.9%), the external rotation test (33.3%), the fibula translation test (61.9%), and the squeeze test (42.9% - 63.3%) all have limitations.
The same systematic review [23] also looked at inter-rater reliability of two studies [24, 25] Good reliability was found for the external rotation test (0.73 and 0.74). Fair reliability was found for the squeeze test (0.46 and 0.49) and ligament palpation (0.49). Poor reliability was found for the Cotton test (0.16) and the fibula translation test (0.28).
In 2015 the Australian research group that wrote the systematic review presented their results of a cross-sectional diagnostic accuracy study in 87 participants (78% male). [16] They found diagnostic accuracy to be 66.7% for the external rotation stress test, 56.3% for local tenderness of the ligaments, and 60.9% for the squeeze test.
Imaging
Radiographs (Figure 9)
Standard x-rays (AP/mortise and lateral) of the ankle are generally used to rule out malleolar fractures. A useful tool in detecting syndesmotic diastasis may be the evaluation of the space between tibia and fibula, measured on the injured and healthy side. With syndesmotic instability, the clear space widens (diastasis) while the overlap is reduced. Generally, a tibiofibular clear space of less than 6 mm in the mortise view is considered normal [26] In a systematic review looking at accuracy of imaging, the pooled sensitivity for X-ray was 0.53 and the specificity was 0.98 respectively. [27]

Computertomography (Figure 10)
CT scanning is an accurate method of detecting syndesmotic injuries. CT scanning of both ankles allows determination of fibular shift, rotation, shortening and the exact location of bony avulsions. Care is taken to evaluate the fibular rotation and tibiofibular distance in the horizontal plane at exactly the same level as on the uninjured side. Coronal reconstruction allows exact determination of a lateral shift of the talus and measuring of the fibular length. Generally, side-to-side differences of more than 2 mm are considered pathologic. In a recent study the three most responsive CT measurements for detecting isolated syndesmotic malreduction were described. [28] The clear space for lateral translation (Leporjärvi), the anterior tibiofibular distance for posterior translation as well as the talar dome angle for external rotation of the fibula (Nault). In diagnostic meta-analysis, the pooled sensitivity and specificity were 0.67 and 0.87 for CT respectively.[27]


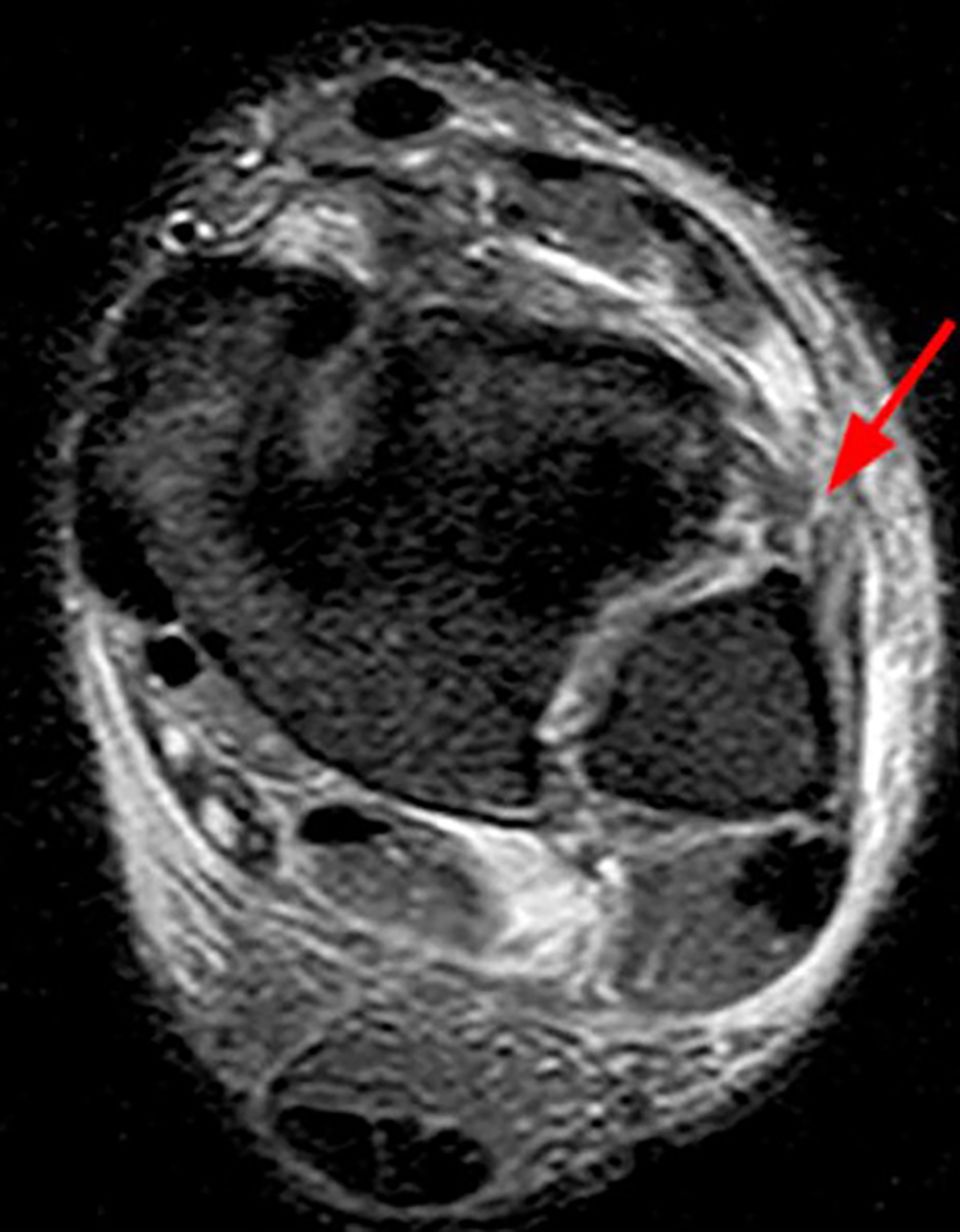
MR- Imaging (Figure 11)
MRI has been shown to effectively display the components of the syndesmotic complex with high interobserver agreement.[29] MRI has 93% specificity and 100% sensitivity for injury of the AiTFL, and 100% specificity and sensitivity for injury of the PiTFL compared with arthroscopy in acute injuries.[30] In diagnostic meta-analysis, the pooled sensitivity and specificity were 0.93 and 0.87 for MRI. [27]

Ultrasound (Figure 12)
Side to side difference of tibiofibular clear space can be evaluated with ultrasound. Differences were less than 1mm in all positions with high ICC values between ankles in one study. [31] The authors conclude that by using 3D-US, they were able to consistently evaluate the clear space with good reliability. One other study reported a sensitivity of 0.89 and specificity of 0.97 for diagnosing syndesmotic insufficiency. [32]

Arthroscopy (Figure 13)
Arthroscopy is the gold standard for diagnosis of ankle syndesmosis injury. [30, 33, 34] However the arthroscopy is a surgical intervention, unlike other imaging modalities, which are non-invasive. Recent developments such as the NanoscopeTM (Arthrex Gmbh, Munich, Germany), a needle arthroscopy tool, may become beneficial.

Bone Scintigraphy (Figure 14)
Standard three-phase TC bone scan is a less common used imaging test with low specificity. During the third “bone” phase using high-resolution collimators the anterior, medial, and lateral views of the ankles are used for analysis. In addition, special anterior views with the feet internally rotated by approximately 25° to 35° may be beneficial. One study reported 100% sensitivity, 71% specificity, and 93% accuracy in diagnosing a syndesmotic lesion in the absence of a fracture. [35, 36]

Therapeutic options
Non-surgical
The recovery from a syndesmotic injury takes longer than that for an inversion ankle sprain. Stable grade I sprains are treated with RICE (rest, ice, compress, elevate) for 5-7 days to allow the acute inflammation and swelling to subside. Since clinical testing and radiographic criteria do not have perfect accuracy, patient follow-up is mandatory to ensure improvement in physical signs and symptoms. After the first week, weight bearing is allowed as tolerated in a boot and range of motion exercises arte initiated under supervision of a physical therapist. When the patient becomes pain free (on average 2 weeks after trauma) a stabilizing brace is applied, and further functional exercises commence. Grade II injuries can also be managed non-surgically. However when there is a grade II injury seen on MRI but clinical testing reveals instability or an accompanying deltoid lesion, it is necessary to proceed with a fluoroscopic examination (stress-testing) or arthroscopy to assess the syndesmotic stability.[37] Widening of more than 2mm warrants fixation.
Surgical
Grade III lesions commonly occur with fractures or in combination with deltoid ligament lesions. However, isolated grade III injuries of the AiTFL also occur and are best managed operatively. Fixation of the fibula in the incisura can be performed with screws, suture buttons or a combination of the two. Some surgeons prefer the use of screws in order to achieve the most stable construct, thereby allowing the torn ligaments to heal in the tightest configuration. Some surgeons prefer the use of suture buttons in order to achieve the most natural physiological envelope of motion within the tibio-fibular joint.
Conclusion and recommendations
No single physical examination test is accurate enough to establish the diagnosis of an isolated syndesmotic injury. A combination of tests could confirm ankle syndesmosis involvement after ankle injuries. An inability to hop, local syndesmosis ligament tenderness, the external rotation and squeeze stress tests may be useful. My personal recommendation is to use the Amendola stabilization test with tape. Although this test has not been validated, in my opinion it is of additional value.
Regarding imaging, in patients with ankle fractures, standard radiographs have good specificity. In cases of isolated syndesmotic injury, X-rays are of limited value. CT and MRI have high sensitivity and specificity irrespective of any accompanying fracture. However the investigations are costly and static. Ideally testing syndesmotic insufficiency requires a dynamic tool. Ultrasound has a great diagnostic potential. The Boston group of DiGiovanni is expected to publish on this topic in the near future. Arthroscopy until now still remains the “gold standard”. MRI has similar accuracy to arthroscopic findings but will not be invasive.
The diagnostic algorithm for acute syndesmotic injuries therefore consists of proper history taking (a-priori chance in athletes), a combination of physical examinations with functional tests and MRI. In the near future dynamic CT or ultrasound might become alternatives.
References
1. Hermans, J.J., et al., Anatomy of the distal tibiofibular syndesmosis in adults: a pictorial essay with a multimodality approach. J Anat, 2010. 217(6): p. 633-45.
2. Bassett, F.H., 3rd, et al., Talar impingement by the anteroinferior tibiofibular ligament. A cause of chronic pain in the ankle after inversion sprain. J Bone Joint Surg Am, 1990. 72(1): p. 55-9.
3. Ebraheim, N.A., et al., Anatomical evaluation and clinical importance of the tibiofibular syndesmosis ligaments. Surg Radiol Anat, 2006. 28(2): p. 142-9.
4. Bartonicek, J., Anatomy of the tibiofibular syndesmosis and its clinical relevance. Surg Radiol Anat, 2003. 25(5-6): p. 379-86.
5. Beumer, A., et al., Kinematics of the distal tibiofibular syndesmosis: radiostereometry in 11 normal ankles. Acta Orthop Scand, 2003. 74(3): p. 337-43.
6. Bragonzoni, L., et al., The distal tibiofibular syndesmosis during passive foot flexion. RSA-based study on intact, ligament injured and screw fixed cadaver specimens. Arch Orthop Trauma Surg, 2006. 126(5): p. 304-8.
7. Rasmussen, O., I. Tovborg-Jensen, and S. Boe, Distal tibiofibular ligaments. Analysis of function. Acta Orthop Scand, 1982. 53(4): p. 681-6.
8. Hintermann, B., C. Sommer, and B.M. Nigg, Influence of ligament transection on tibial and calcaneal rotation with loading and dorsi-plantarflexion. Foot Ankle Int, 1995. 16(9): p. 567-71.
9. Rasmussen, O., Stability of the ankle joint. Analysis of the function and traumatology of the ankle ligaments. Acta Orthop Scand Suppl, 1985. 211: p. 1-75.
10. Rasmussen, O., C. Kromann-Andersen, and S. Boe, Deltoid ligament. Functional analysis of the medial collateral ligamentous apparatus of the ankle joint. Acta Orthop Scand, 1983. 54(1): p. 36-44.
11. Boden, S.D., et al., Mechanical considerations for the syndesmosis screw. A cadaver study. J Bone Joint Surg Am, 1989. 71(10): p. 1548-55.
12. Fritschy, D., An unusual ankle injury in top skiers. Am J Sports Med, 1989. 17(2): p. 282-5; discussion 285-6.
13. Lauge-Hansen, N., Ligamentous ankle fractures; diagnosis and treatment. Acta Chir Scand, 1949. 97(6): p. 544-50.
14. Espinosa, N., J.P. Smerek, and M.S. Myerson, Acute and chronic syndesmosis injuries: pathomechanisms, diagnosis and management. Foot Ankle Clin, 2006. 11(3): p. 639-57.
15. Pena, F.A. and J.C. Coetzee, Ankle syndesmosis injuries. Foot Ankle Clin, 2006. 11(1): p. 35-50, viii.
16. Sman, A.D., et al., Diagnostic accuracy of clinical tests for ankle syndesmosis injury. Br J Sports Med, 2015. 49(5): p. 323-9.
17. Boytim, M.J., D.A. Fischer, and L. Neumann, Syndesmotic ankle sprains. Am J Sports Med, 1991. 19(3): p. 294-8.
18. Nussbaum, E.D., et al., Prospective evaluation of syndesmotic ankle sprains without diastasis. Am J Sports Med, 2001. 29(1): p. 31-5.
19. Frick, H., [Diagnosis, therapy and results of acute instability of the syndesmosis of the upper ankle joint (isolated anterior rupture of the syndesmosis)]. Orthopade, 1986. 15(6): p. 423-6.
20. Hopkinson, W.J., et al., Syndesmosis sprains of the ankle. Foot Ankle, 1990. 10(6): p. 325-30.
21. Williams, G.N., M.H. Jones, and A. Amendola, Syndesmotic ankle sprains in athletes. Am J Sports Med, 2007. 35(7): p. 1197-207.
22. Beumer, A., et al., A biomechanical evaluation of clinical stress tests for syndesmotic ankle instability. Foot Ankle Int, 2003. 24(4): p. 358-63.
23. Sman, A.D., C.E. Hiller, and K.M. Refshauge, Diagnostic accuracy of clinical tests for diagnosis of ankle syndesmosis injury: a systematic review. Br J Sports Med, 2013. 47(10): p. 620-8.
24. Beumer, A., B.A. Swierstra, and P.G. Mulder, Clinical diagnosis of syndesmotic ankle instability: evaluation of stress tests behind the curtains. Acta Orthop Scand, 2002. 73(6): p. 667-9.
25. Alonso, A., L. Khoury, and R. Adams, Clinical tests for ankle syndesmosis injury: reliability and prediction of return to function. J Orthop Sports Phys Ther, 1998. 27(4): p. 276-84.
26. Rammelt, S., H. Zwipp, and R. Grass, Injuries to the distal tibiofibular syndesmosis: an evidence-based approach to acute and chronic lesions. Foot Ankle Clin, 2008. 13(4): p. 611-33, vii-viii.
27. Chun, D.I., et al., Diagnostic Accuracy of Radiologic Methods for Ankle Syndesmosis Injury: A Systematic Review and Meta-Analysis. J Clin Med, 2019. 8(7).
28. Schon, J.M., et al., Defining the three most responsive and specific CT measurements of ankle syndesmotic malreduction. Knee Surg Sports Traumatol Arthrosc, 2019. 27(9): p. 2863-2876.
29. Muhle, C., et al., Tibiofibular syndesmosis: high-resolution MRI using a local gradient coil. J Comput Assist Tomogr, 1998. 22(6): p. 938-44.
30. Takao, M., et al., Diagnosis of a tear of the tibiofibular syndesmosis. The role of arthroscopy of the ankle. J Bone Joint Surg Br, 2003. 85(3): p. 324-9.
31. Cha, S.W., et al., Reliable measurements of physiologic ankle syndesmosis widening using dynamic 3D ultrasonography: a preliminary study. Ultrasonography, 2019. 38(3): p. 236-245.
32. Christodoulou, G., et al., The use of sonography for evaluation of the integrity and healing process of the tibiofibular interosseous membrane in ankle fractures. J Orthop Trauma, 1995. 9(2): p. 98-106.
33. Ogilvie-Harris, D.J. and S.C. Reed, Disruption of the ankle syndesmosis: diagnosis and treatment by arthroscopic surgery. Arthroscopy, 1994. 10(5): p. 561-8.
34. Takao, M., et al., Arthroscopic diagnosis of tibiofibular syndesmosis disruption. Arthroscopy, 2001. 17(8): p. 836-43.
35. Frater, C., et al., Scintigraphy of injuries to the distal tibiofibular syndesmosis. Clin Nucl Med, 2002. 27(9): p. 625-7.
36. Marymont, J.V., M.A. Lynch, and C.E. Henning, Acute ligamentous diastasis of the ankle without fracture. Evaluation by radionuclide imaging. Am J Sports Med, 1986. 14(5): p. 407-9.
37. Hunt, K.J., et al., High Ankle Sprains and Syndesmotic Injuries in Athletes. J Am Acad Orthop Surg, 2015. 23(11): p. 661-73.