Lateral unicompartmental knee arthroplasty with mechanical instrumentation : tips and tricks to guarantee excellent long-term outcomes
Background: Lateral unicompartmental knee arthroplasty (UKA) is performed significantly less frequently than medial UKA, primarily due to the lower prevalence of valgus deformities. Despite potential benefits, many surgeons prefer total knee arthroplasty (TKA) due to historical concerns regarding revision rates, component dislocation, and disease progression in adjacent compartments.
Objective: This article provides a technical update on lateral UKA, detailing surgical indications, operative strategies to optimize outcomes, and long-term clinical results from a multicenter retrospective study.
Key Points: Successful lateral UKA requires an intact anterior cruciate ligament and reducible valgus deformity, typically under 15°. Surgical technique emphasizes a lateral parapatellar approach without ligamentous release to avoid overcorrection. Precise tibial component positioning in internal rotation and slight valgus is critical to prevent femoral impingement and edge loading. Data from 268 lateral UKAs with a mean 9.1-year follow-up demonstrated a 10-year survival rate of 85.4%. The primary cause of failure was osteoarthritis progression in other compartments (n=26). No significant differences in survival were observed between resurfacing and cutting-block implants or between cemented and cementless fixation. High patient satisfaction (94.3%) and excellent functional scores were reported, particularly in elderly populations.
Conclusion: Lateral UKA is a reliable procedure for isolated lateral compartment disease when strict indications and precise surgical techniques are followed. Long-term survival and functional outcomes are comparable to TKA, offering a bone-preserving alternative with high patient satisfaction.
Introduction
Lateral unicompartmental knee arthroplasty (UKA) is ten times less common than medial UKA. This is primarily due to the lower prevalence of the valgus morphotype within the general population. There are numerous reasons for isolated lateral tibiofemoral primary osteoarthritis, but it is mainly caused by a valgus morphotype, lateral femoral condylar hypoplasia and aggravated by obesity. Secondary osteoarthritis is mainly a result of trauma, meniscectomy or spontaneous osteonecrosis (SPONK) of tibia or femur. [1,2]
However, once the indication for surgical replacement has been decided, many surgeons still favour total knee arthroplasty (TKA) through fear of having to revise the UKA a few years down the line. These reserves are often based on the results of clinical studies, in which the survival rates were worse compared to TKA and the complications of unexplained pain, dislocation of the polyethylene component when a mobile-bearing insert had been used, early loosening of progression of OA in the other compartments.[3]
There has been a resurgence of interest in UKA ever since functional outcomes for the medial compartment began to outperform TKA, with low long-term revision rates and lower morbidity (bleeding, hospitalisation time and perioperative complications).[4–6] Recent studies show equivalent results for the lateral compartment, for smaller populations in the mid- and even long-term (15–20 years).[7-10] To make lateral UKA more accessible, we wanted to provide a technical update on this specific but underused surgical procedure, which requires a thorough understanding of the indications, reasons for failure and knowing the surgical tips and tricks.
Indications
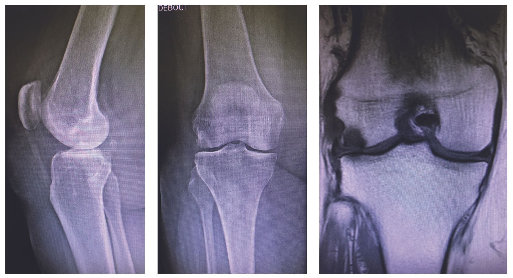
Isolated damage to the lateral tibiofemoral compartment is a determining factor for the indication. In some cases, the special 45° inclined PA view (Rosenberg or Lyon Schuss) will be necessary to identify the OA damage of the posterior femur condyle (Fig. 1). Local osteo-cartilage damage caused by spontaneous osteonecrosis (SPONK) of the lateral condyle is also a good indication (Fig. 2).


The preoperative deformity should be only moderate, preferably intra articular or epiphyseal, and reducible on stress x-rays. If the deformity is more severe (valgus > 15°) or outside the knee (extra articular) or especially if irreducible, the decision to perform an isolated UKA should be reconsidered because it could result in rapid wear and tear and/or early loosening. In these circumstances the advice is usually to perform a primary total knee replacement, or exceptionally to combine the procedure with an osteotomy to correct the extraarticular deformity.
The contraindications for lateral UKA are the same as for a medial UKA, namely inflammatory joint disease which might result in rapid deterioration of the other compartments and limited joint range of movement (especially a preoperative flexion contracture > 10°). Osteoporosis is not a contraindication for UKA, but the bone density of the lateral tibial plateau might be checked before surgery in order to minimize the risk of secondary fracture during plate impaction or with weight-bearing.
Careful assessment is required to ensure the ligaments are intact (both cruciate, medial and lateral ligaments). This allows to perform UKA without touching the ligament envelope and any ligament balancing in the frontal plane should be avoided. The UKA should only fill the missing space which is the combination of the gaps created by the bony cuts and by the cartilage wear. The surgeon should leave a small ‘laxity safety margin’ of 1–2 mm to avoid overcorrection (Fig. 3).

In the sagittal plane, careful assessment is again required to ensure the anterior cruciate ligament (ACL) is intact. An anterior drawer sign greater than 10 mm or a soft endpoint in the Lachman test are typically contraindications to UKA. ACL tears and anterior translation of tibia can in fact lead to early loosening (rocking chair effect) and early wear of the prosthetic lateral tibial plateau. Although an intact ACL is in principle a prerequisite for UKA, for certain patients with no clinically relevant instability some authors have suggested a medial UKA combined with tibial slope reduction to better control the anterior tibial translation. The long-term results of these small series have not yet been published.[11–14]
Some authors do not view moderate asymptomatic patellofemoral injury as a strict contraindication. UKA is possible in this situation if the patient is elderly with low functional expectations.[7,15,16] Lateral facetectomy, or patelloplasty with patellar decompression may be offered in addition to UKA to reduce patellofemoral pain (Fig. 4).

Obesity is a typical cause of failure for UKA, confirmed by recent studies. [17–19] Nevertheless some authors do not consider it a strict contraindication due to the excellent functional outcomes of UKA even for obese patients.[14,20] Patients with obesity must be warned and informed of the greater risk of long-term complications (loosening and wear).
Surgical technique – Tips and Tricks
Set-up
The patient is placed in the supine position. One leg support is placed beneath the foot and another laterally to the thigh to allow knee flexion to 90°. Since the surgical window to the lateral tibiofemoral should be moveable, the leg must be free and to allow to mobilize the knee at each stage of the procedure in all directions (flexion-extension and varus-valgus). A tourniquet is not essential but may be advisable during implant cementation.
Approach
A lateral parapatellar minimal invasive (Quad sparing) approach is used with a skin incision of only 8–10 cm, from the superior edge of patella to 2 cm beneath the joint line (Figs 5 and 6). This limited approach clearly exposes tibia and lateral condyle without the need for patella eversion or quadriceps incision, thus facilitating postoperative functional recovery.


The arthrotomy should be done carefully to avoid damaging the trochlear cartilage, medial meniscus or cruciate ligaments (which will have been checked at the start of the procedure). It is important to leave sufficient tissue at the anterolateral retinaculum and capsule and also lateral to the patellar side to be able to close the arthrotomy. We also routinely retain the Hoffa fat pad pediculated to the anterolateral menisco-capsular structures (Fig. 7). Osteophytes should be removed from the notch and the lateral tibia plateau, but any osteophytes on the lateral condyle should be kept since they are commonly used to support the femoral implant.

No ligament releases
Any soft-tissue release from the tibia should be kept to a minimum including the menisco-tibial ligament only to allow placing of the retractors. No ligament releases are indicated for the IT-band and the posterior-lateral capsule since it could cause overcorrection in the frontal plane.[21] Care should also be taken not to damage the collateral ligaments with the retractors during the procedure.
Joint line and tibial cut
The joint line reference for determining the height of the tibial cut will depend on whether the deformity is at the tibia or femur bone. In majority of cases, when the deformity is femoral due to lateral condylar hypoplasia (LDFA < 87° the most common situation for primary lateral tibiofemoral osteoarthritis), the reference point for the tibial cut should be determined in relation to the natural tibia surface. Nevertheless in about 30 % of cases, the valgus deformity are at the tibia bone (MPTA > 90° or bony damage of the lateral tibial plateau), the joint line and reference point for the tibial cut can be determined in relation to the distal lateral condyle.
The height of the tibial cut should be kept to a minimum no greater than 5mm, especially when using a ‘trochlear-cutting’ femoral implant. The higher the bony tibia cut, the broader the surface on which the UKA will rest and the better the bone quality and mechanical resistance.
Frontally, the tibia cut should be neutral or tilted slightly into valgus (Fig. 8) to allow the femoral component oriented naturally along the native condylar axis to lie perfectly perpendicular and flat on the tibial surface. The orientation of sagittal tibia cut should be performed in internal rotation (Fig. 9) to avoid any risk of the femoral component impinging with the tibial spines in extension.[22,23] This will need to carefully retract the ligament patella to medial to allow a perfect internal rotated tibia cut.


In the sagittal plane, the tibial slope of the implant should be cut to replicate the preoperative native slope of the lateral plateau. The slope should be sufficient to allow good flexion, but not too much to cause anterior translation of tibia which could result in an ACL tear due to excessive strain. Knees with excessive or less natural lateral slope (5 to 7° with cartilage) will need a compromise tibia cut which then has to be compensated at the posterior femur cut to balance the lateral flexion gap. Using an intra-articular sagittal pin in line with the tibial plateau, is a simple and effective way of controlling the joint line height and slope when making the cut (Fig. 10).

Checking the extension and flexion gaps (Fig. 11)

Once the tibia cut has been performed and before cutting the femur the extension and flexion gaps should be checked with a special spacer block (tibia first technique). Once the extension and flexion gaps are well balanced this confirms that the tibia cut is correct. Please note that the lateral flexion is gap is always 1-3 mm laxer than the extension gap to allow lateral roll-back. If the gaps are not well-balanced check again the tibia cut and if necessary, recut the tibia.
Positioning the femoral guide and femoral cuts
The femur implant should be positioned very laterally, resting on the condylar osteophytes which should have been preserved specifically for this purpose. Place the knee in flexion to check for lateral positioning and rotational alignment of the implant (Fig. 12 and 13).


The lateral femur component has to be placed perpendicular to the tibia cut and as much lateral as possible. This allows to bring the femur component in external rotation to prevent edge loading in flexion and impingent of the femur component with the tibial spine in extension due to the screw-home mechanism (Fig 14).
Use an appropriate size femoral implant and avoid component frontal overhang (leave a margin of 2mm from the anterior cartilaginous edge of the distal cut) to prevent patellar impingement, which can cause pain (Fig. 14). A nice trick for additional femur sizing control is to check the posterior femur resection with the proper size of the femur component. If there will be any posterior osteophytes at the femur left don’t forget to remove them. With both the trial and final components in place, check that femur is centred on the tibia and that there is no impingement on the spines or any overhang of the tibial plateau (Fig. 14 and 15).
The key to good long-term results is avoiding overcorrection. The final polyethylene insert should therefore be not too thick, with a laxity ‘safety margin’ of 1-2 mm during varus stress in extension. Make a final check for the flexion gap which never should be too tight and can allow a relative instability of 2 to 3 mm to allow lateral roll-back.
Results of the 2019 SOFCOT Symposium
We conducted a retrospective, multi-centre study involving 6 centres in France (Fig. 16). Between 1998 and 2014, 311 lateral UKA were performed in 295 patients (16 bilateral procedures). Twenty-eight patients (28 UKA) died before the end of the 5-year follow-up. Fifteen patients (4.8%) could not be contacted or refused all contact and were classed as lost to follow-up. We therefore analysed the results of 268 lateral UKA in 252 patients, with an average follow-up of 9.1 years (5–23 years). There were 39 surgical revisions (14.6%, Group R1). If we define failure as all-cause surgical revision, the global survival rate for lateral UKA in our series was 85.4% at 10 years and 79.4% at 20 years (Fig. 17). The average time to surgical revision was 5.1 years. Two hundred and twenty-nine implants were still in place without the need for further intervention by the time of last follow-up (Group R0).


The preoperative mechanical femoral angle was 93.1 ± 2.3° (87–98) in the resurfacing implant group, and 94.6 ± 2.4° (90–102) in the cutting implant group (p=0.0704) Postoperatively, the mechanical femoral angle was 89.3 ± 3.2° (85–98) in the resurfacing implant group, and 93.2 ± 2.6° (88–99) in the cutting implant group (p<0.0001). There was no statistically significant difference between the groups in terms of BMI (25.6 ± 3.6 kg/m2 in Group R1, 26.1 ± 3.3 kg/m2 in Group R0; p=0.430) or age (68.1 ± 10.4 in Group R1, 68.9 ± 10.6 in Group R0; p = 0.7406). Postoperative the average IKS knee score was 87.0 ± 10.9 (45–100), and the IKS functional score was 80.2 ± 14.3 (30–100). Average maximum flexion was 125 ± 11° (85–140). 94.3% of patients were ‘very satisfied’ or 'satisfied’. The leading cause of revision was progression of osteoarthritis in other compartments of the knee (26 cases), followed by tibial loosening (4 cases), then misalignment/impingement (3 cases), sepsis (3 cases), unexplained pain and stiffness (2 cases) and medial necrosis (1 case).
To assess the implant effect, we compared the 'resurfacing implant’ group (n=91, 34.0%) represented by a single type of implant (HLS Uni Evolution, Tornier®) to the ‘cutting implant’ group (n=177, 66.0%) comprising the four other types of implant (Alpina Uni®, Biomet; ZUK®, Zimmer; Sigma HP®, DePuy Synthes; Uni Score®, Amplitude). There was no statistically significant difference in terms of revision-free survival, with 84.6% (77 implants) in the resurfacing implant group and 85.9% (152 implants) in the cutting implant group (p=0.6198). The same applied to postoperative HKA (p=0.1638) and leg axis correction (difference between pre- and postoperative HKA) (p=0.9246).
In the sub-group analysis, the risk of surgical revision was higher if the patient was young (p=0.394) and with a high BMI (p=0.9255), but not to a statistically significant degree. To assess the influence of fixation type on the revision rate, we compared the cementless implant group (n=80, 29.9%) represented by a single type of implant (Alpina Uni, Biomet) to the cemented implant group comprising the four other types of implant (n=188, 70.1%). The revision-free survival rate was 84.6% (159 implants) for the cemented implants and 87.5% (70 implants) for the cementless designs, a non-statistically significant difference (p=0.5342). However, there was a statistically significant difference in terms of overall leg axis correction (HKA angle) and postoperative IKS knee and functional scores, in favour of the cemented implant group.
Progression of osteoarthritis in the other knee compartments is already known to be the leading complication and cause of surgical revision, [7, 8, 24, 25] which could be also confirmed by our study (Fig. 18).

Depending on whether the damage is in one or two compartments (medial tibiofemoral and/or patellofemoral osteoarthritis), the surgeon may decide to perform an additional medial UKA or patellofemoral replacement, [27–31] without revising the lateral UKA, or perform revision surgery to a TKA.[32,33]. With a well fixed all-polyethylene tibial component, and unless there is sepsis, the tibial component does not automatically have to be removed. In these cases the TKA metal tibial baseplate can be fixed to the well fixed polyethylene tibia component, possibly after recutting it with an oscillating saw [34]. Although not a significant finding of our study, the risk of surgical revision tends to rise among young patients (age < 50). These cases often involve patients with post-traumatic osteoarthritis or status post meniscectomy, with high functional demands and a high life expectancy on the date of surgery.
The satisfaction rate with UKA is very high among elderly patients, despite moderate functional scores. The revision rate is low, and the primary aim is pain relief in a population wanting to regain their autonomy and avoid complex or repeated surgery. The valgus morphotype is commonly associated with lateral condylar hypoplasia: this is an ideal indication for resurfacing UKA. By limiting the bone removal during femoral preparation, the condylar implant will occupy a relatively larger space and the mechanical femoral angle will be closer to 90°, as clearly shown in our study. The surgeon should account for this particular anatomical feature of the lateral compartment, either by using a resurfacing implant (variable thickness condylar components could be a good technical solution for these cases), or by using a cutting implant and a minimal distal cut. This lowers the risk of bringing the joint line in valgus position (Fig. 19). If there is no condylar dysplasia, in patients with a neutrally aligned limb suffering from lateral tibiofemoral osteoarthritis secondary to lateral meniscectomy for example, we believe that cutting implants are indicated to avoid any overcorrection. In our study, there was however no effect on overall axis or survival.

Conclusion
The long-term results of lateral UKA should act as an encouragement for surgeons to use this treatment option. When the indications are properly met and the surgical technique is adapted to the specific anatomy and biomechanics of the lateral tibiofemoral compartment lateral UKA will give excellent functional outcome with long implant survival.
References
1. Scott CEH, Nutton RW, Biant LC. Lateral compartment osteoarthritis of the knee: Biomechanics and surgical management of end-stage disease. Bone Joint J. 2013 Apr;95-B(4):436–44.
2. Weidow J. Lateral osteoarthritis of the knee. Etiology based on morphological, anatomical, kinematic and kinetic observations. Acta Orthop Suppl. 2006 Jun;77(322):3–44.
3. Bae J-H, Kim JG, Lee S-Y, Lim HC, In Y, Lee S, et al. Epidemiology of Bearing Dislocations After Mobile-Bearing Unicompartmental Knee Arthroplasty: Multicenter Analysis of 67 Bearing Dislocations. The Journal of Arthroplasty. 2020 Jan 1;35(1):265–71.
4. McAllister CM. The role of unicompartmental knee arthroplasty versus total knee arthroplasty in providing maximal performance and satisfaction. J Knee Surg. 2008 Oct;21(4):286–92.
5. Lombardi AV, Berend KR, Walter CA, Aziz-Jacobo J, Cheney NA. Is recovery faster for mobile-bearing unicompartmental than total knee arthroplasty? Clin Orthop Relat Res. 2009 Jun;467(6):1450–7.
6. Ode Q, Gaillard R, Batailler C, Herry Y, Neyret P, Servien E, et al. Fewer complications after UKA than TKA in patients over 85 years of age: A case-control study. Orthop Traumatol Surg Res. 2018;104(7):955–9.
7. Deroche E, Batailler C, Lording T, Neyret P, Servien E, Lustig S. High Survival Rate and Very Low Wear of Lateral Unicompartmental Arthroplasty at Long Term: A Case Series of 54 Cases at a Mean Follow-Up of 17 Years. J Arthroplasty. 2019 Jun;34(6):1097–104.
8. Argenson J-NA, Parratte S, Bertani A, Flecher X, Aubaniac J-M. Long-term Results With a Lateral Unicondylar Replacement. Clin Orthop Relat Res. 2008 Nov;466(11):2686–93.
9. Walker T, Zahn N, Bruckner T, Streit MR, Mohr G, Aldinger PR, et al. Mid-term results of lateral unicondylar mobile bearing knee arthroplasty: a multicentre study of 363 cases. Bone Joint J. 2018 Jan;100-B(1):42–9.
10. Weston-Simons JS, Pandit H, Kendrick BJL, Jenkins C, Barker K, Dodd C a. F, et al. The mid-term outcomes of the Oxford Domed Lateral unicompartmental knee replacement. Bone Joint J. 2014 Jan;96-B(1):59–64.
11. Suter L, Roth A, Angst M, von Knoch F, Preiss S, List R, et al. Is ACL deficiency always a contraindication for medial UKA? Kinematic and kinetic analysis of implanted and contralateral knees. Gait Posture. 2019;68:244–51.
12. Engh GA, Ammeen DJ. Unicondylar arthroplasty in knees with deficient anterior cruciate ligaments. Clin Orthop Relat Res. 2014 Jan;472(1):73–7.
13. Boissonneault A, Pandit H, Pegg E, Jenkins C, Gill HS, Dodd CAF, et al. No difference in survivorship after unicompartmental knee arthroplasty with or without an intact anterior cruciate ligament. Knee Surg Sports Traumatol Arthrosc. 2013 Nov;21(11):2480–6.
14. Plate JF, Augart MA, Seyler TM, Bracey DN, Hoggard A, Akbar M, et al. Obesity has no effect on outcomes following unicompartmental knee arthroplasty. Knee Surg Sports Traumatol Arthrosc. 2017 Mar;25(3):645–51.
15. Gancel E, Magnussen R, Servien E, Lustig S, Neyret P. Facettectomie latérale et prothèse unicompartimentale latérale du genou. 2012;4.
16. Lustig S, Parratte S, Magnussen RA, Argenson J-N, Neyret P. Lateral unicompartmental knee arthroplasty relieves pain and improves function in posttraumatic osteoarthritis. Clin Orthop Relat Res. 2012 Jan;470(1):69–76.
17. Xu S, Lim W -a. J, Chen JY, Lo NN, Chia S-L, Tay DKJ, et al. The influence of obesity on clinical outcomes of fixed-bearing unicompartmental knee arthroplasty: a ten-year follow-up study. Bone Joint J. 2019;101-B(2):213–20.
18. Polat AE, Polat B, Gürpınar T, Çarkçı E, Güler O. The effect of morbid obesity (BMI ≥ 35 kg/m2) on functional outcome and complication rate following unicompartmental knee arthroplasty: a case-control study. J Orthop Surg Res. 2019 Aug 22;14(1):266.
19. Kandil A, Werner BC, Gwathmey WF, Browne JA. Obesity, morbid obesity and their related medical comorbidities are associated with increased complications and revision rates after unicompartmental knee arthroplasty. J Arthroplasty. 2015 Mar;30(3):456–60.
20. Molloy J, Kennedy J, Jenkins C, Mellon S, Dodd C, Murray D. Obesity should not be considered a contraindication to medial Oxford UKA: long-term patient-reported outcomes and implant survival in 1000 knees. Knee Surg Sports Traumatol Arthrosc. 2019 Jul;27(7):2259–65.
21. Ollivier M, Abdel MP, Parratte S, Argenson J-N. Lateral unicondylar knee arthroplasty (UKA): contemporary indications, surgical technique, and results. Int Orthop. 2014 Feb;38(2):449–55.
22. Hernigou P, Deschamps G. Patellar impingement following unicompartmental arthroplasty. J Bone Joint Surg Am. 2002 Jul;84(7):1132–7.
23. Deschamps G, Chol C. Fixed-bearing unicompartmental knee arthroplasty. Patients’ selection and operative technique. Orthop Traumatol Surg Res. 2011 Oct;97(6):648–61.
24. Ashraf T, Newman JH, Evans RL, Ackroyd CE. Lateral unicompartmental knee replacement: SURVIVORSHIP AND CLINICAL EXPERIENCE OVER 21 YEARS. The Journal of Bone and Joint Surgery British volume. 2002 Nov;84-B(8):1126–30.
25. van der List JP, Zuiderbaan HA, Pearle AD. Why Do Lateral Unicompartmental Knee Arthroplasties Fail Today? Am J Orthop. 2016 Dec;45(7):432–62.
26. Pandit H, Mancuso F, Jenkins C, Jackson WFM, Price AJ, Dodd C a. F, et al. Lateral unicompartmental knee replacement for the treatment of arthritis progression after medial unicompartmental replacement. Knee Surg Sports Traumatol Arthrosc. 2017 Mar;25(3):669–74.
27. Magnussen RA, Gancel E, Servien E, Jacobi M, Demey G, Neyret P, et al. Simultaneous Unicompartmental Knee Arthroplasty and Lateral Patellar Facetectomy for Bicompartmental Degenerative Disease. The Duke Orthopaedic Journal. 2013 Jun;3(1):61–6.
28. Parratte S, Ollivier M, Lunebourg A, Abdel MP, Argenson J-N. Long-term results of compartmental arthroplasties of the knee: Long term results of partial knee arthroplasty. Bone Joint J. 2015 Oct;97-B(10 Suppl A):9–15.
29. Argenson J-NA, Parratte S, Bertani A, Aubaniac J-M, Lombardi AV, Berend KR, et al. The new arthritic patient and arthroplasty treatment options. J Bone Joint Surg Am. 2009 Aug;91 Suppl 5:43–8.
30. Kamath AF, Levack A, John T, Thomas BS, Lonner JH. Minimum two-year outcomes of modular bicompartmental knee arthroplasty. J Arthroplasty. 2014 Jan;29(1):75–9.
31. Heyse TJ, Khefacha A, Cartier P. UKA in combination with PFR at average 12-year follow-up. Arch Orthop Trauma Surg. 2010 Oct;130(10):1227–30.
32. Citak M, Cross MB, Gehrke T, Dersch K, Kendoff D. Modes of failure and revision of failed lateral unicompartmental knee arthroplasties. Knee. 2015 Sep;22(4):338–40.
33. Sierra RJ, Kassel CA, Wetters NG, Berend KR, Della Valle CJ, Lombardi AV. Revision of unicompartmental arthroplasty to total knee arthroplasty: not always a slam dunk! J Arthroplasty. 2013 Sep;28(8 Suppl):128–32.
34. Lustig S, Lording T, Frank F, Debette C, Servien E, Neyret P. Progression of medial osteoarthritis and long term results of lateral unicompartmental arthroplasty: 10 to 18 year follow-up of 54 consecutive implants. Knee. 2014;21 Suppl 1:S26-32.