Myths and Facts on Components Rotational Alignment in Total Knee Arthroplasty
Background: Rotational alignment in total knee arthroplasty (TKA) involves component positioning in the axial plane, a critical factor for patellar tracking and flexion gap stability. Despite the clinical significance of this "third dimension," controversy persists regarding optimal alignment targets. Malrotation remains a primary cause of early prosthetic failure, frequently manifesting as instability, stiffness, and patellofemoral complications.
Objective: This review evaluates current surgical philosophies for femoral and tibial rotational alignment, analyzes the impact of axial plane deformities, and describes evidence-based techniques for achieving balanced kinematics and component longevity.
Key Points: Femoral alignment techniques include measured resection, balanced gap, extension gap first, and kinematic alignment. While the transepicondylar axis (TEA) is the recognized compromise for the flexion axis, 3D imaging reveals significant variability in the posterior condylar angle across both varus and valgus phenotypes. For the tibia, alignment strategies are categorized into mechanical, functional, and self-rotational philosophies. Proximal tibial axial deformities, characterized by variable tibial tubercle positioning, complicate these approaches and may lead to tibiofemoral mismatch or patellar maltracking. The authors advocate for an extension gap first technique to align the femoral component parallel to the TEA, particularly in the presence of distal femoral torsional deformities. For tibial malalignment, functional derotation within the joint is utilized to align the extensor mechanism, effectively reducing the tibial tubercle-trochlear groove distance without the necessity of formal tubercle osteotomy.
Conclusion: Precise axial alignment is essential for successful TKA. Surgeons must identify pre-existing torsional deformities via clinical or radiographic assessment. Utilizing the TEA for femoral rotation and functional derotation for the tibia provides a reproducible framework for optimizing clinical outcomes.
Introduction
Rotational alignment in Total Knee Arthroplasty (TKA) is the positioning of the components in the axial (transversal) plane, which represents the “third dimension” of the knee. TKA surgeons usually think in two planes (frontal and sagittal) only and the axial plane of the knee can be visualized with 3-D imaging modalities like CT, MRI or Sonography only. The clinical importance of the third dimension of the knee for TKA had been already recognized by J. Insall. He postulated that the components have to be aligned to the extensor mechanism otherwise the patella will not track properly [1]. It is surprising that even after 40 years of TKA surgery there is no evidence and still controversy which might be the right rotational alignment for TKA components [2,3].
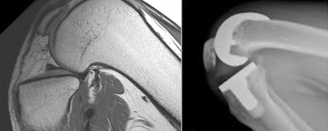
More than 25 years ago Rich Berger performed the first CT evaluation of a painful, not well functioning TKA which showed normal frontal and sagittal radiographs. Based on this experience he published the basics for the axial plane analysis for painful TKA using CT imaging technique [4]. This was followed by the classical paper on the clinical relevance of malrotated components in TKA evaluated with his CT evaluation protocol [5] (Fig 1).

Confirmed by multiple further studies and reviews it is well accepted that malrotation of the components can cause significant problems for patella tracking and/or stability of the flexion gap [2, 3, 6–8] (Fig 2).

In our experience, starting with a standardized 3-D CT evaluation for painful TKA 20 years ago [9], malrotation of the components represent one of the major causes for early failures in painful TKA. Instability, stiffness and patellofemoral problems are in many of the cases not the primary cause but a secondary problem due to malpositioning of the components in the axial plane [10,11]. This important finding has been confirmed in multiple studies by several authors [5,8,12–18]. Furthermore, during the last 15 years malrotation of components showed a constant growing role for early revision surgery in other referral centres also [19].
Currently there is an ongoing discussion on different new frontal alignment concepts [20] and the value of computer assisted surgery [28] as well as robotics surgery remains controversial [21]. It is important for these new frontal alignment concepts to accept that there is still no consensus on the proper target for rotational alignment of the components. Many laboratory, imaging and clinical studies tried to identify the perfect tibia and femur rotational alignment for primary TKA during the last 20 years [2,3,6–8,22–27]. For rotational alignment of the femur four different surgical techniques have been promoted in the literature. For the rotational alignment of the tibia a confusing number of different lines and techniques have been proposed and they can be separated in three different groups of philosophies. Computer navigation promised to deliver mega data to help solving this problem but failed to do so during the last 20 years [28]. An insight in the high variability of the third dimension of the knee is now available with the routine use of 3-D planning with CT or MR-images for patient specific cutting blocks or robotics [2,6–8,25,27,29–32]. This new mega data has produced some confusion, caused further controversies but also might explain the difficulties we had in the past to identify a proper solution for the rotational alignment in TKA surgery. In this review the myth and facts of rotational alignment in TKA surgery will be described and discussed. Furthermore, the authors describe their technique for rotational alignment, which had been used successfully during the last 20 years in their practice.
1. Controversies on femur rotational alignment techniques
Four different surgical techniques had been proposed for proper rotational alignment of the femur and their different concept will be described and limitations discussed.
Different surgical techniques femur rotational alignment (Figs 3 to 6)
1.1. Femur first or measured resection
This technique was introduced by John Insall more than 40 years ago where the distal femur and tibia are cut perpendicular to the mechanical axis in 90° to gain a neutral frontal mechanical axis. The femur component is placed parallel to the transepicondylar axis (TEA) in the axial plane [1]. It is generally accepted that the TEA represents the best compromise for the flexion axis in TKA surgery [8]. This classical Insall technique remains still the standard femur rotational alignment for most surgeons until now [2]. (Fig 3).

1.2 Tibia first or balanced gap technique
This technique became popular with the introduction of the Low Contact Stress (LCS) TKA by Frederick Buechel and Mike Pappas [33]. The tibia is cut first in 90° to the mechanical axis and very limited releases are performed. The femur rotational positioning relies on the soft tissue frame only and ignores any bony landmarks. In 90° of flexion the femur is then cut by placing the femur cutting block parallel to the tibia and tensioning of the ligaments (balanced gap technique). Finally, the flexion gap is then transferred to the extension gap. Any asymmetry of the extension gap to the already balanced flexion gap is then compensated at the distal femur cut to adapt for a rectangular extension gap. This has an influence on the frontal alignment and the jointline hight (Fig 4).

Both of these two classical surgical techniques have stood the test of time, but both have shown some disadvantages and limitations [34]. For the measured resection technique, the reliable identification of the TEA during surgery remains difficult. The balanced gap technique is an easy but less forgiving procedure since small mistakes at the tibia cut or soft tissue management will place the femur component in malrotation to the TEA.
1.3 Extension gap first technique
This technique (also known as combined or mixed technique) combines landmarks and soft tissues for the proper rotational alignment and sizing of the femur component. It was introduced more than 15 years ago since many surgeons recognized the several limitations of the classical two techniques [34,35]. The distal femur and proximal tibia cut are performed perpendicular to the mechanical axis and the neutral frontal mechanical alignment is controlled. The extension gap is balanced now by soft tissue releases until it is rectangular and stable (extension gap first technique). During the next step the femur rotational alignment and sizing is determined either by the classical bony landmarks or the balanced gap technique. By either technique both the landmarks and ligaments are used to control each other. Only if both are matching the final anterior-posterior cuts for the femur are performed (Fig 5). This was a big step forward for controlling the proper rotational positioning and sizing of the femur component before cutting the femur.


1.4 Anatomical and kinematical alignment
These two techniques include varus cuts at the tibia which allows to place the femur in the axial plane parallel to the posterior condylar axis and ignore the TEA. With the classical anatomical alignment concept introduced by Hungerford 35 years ago for varus knees, the distal femur cut is performed in 3° valgus and the proximal tibia cut 3° of varus to the mechanical axis, but the all-over frontal alignment remains neutral mechanical axis [36]. With the new kinematical alignment concept introduced by Howell 10 years ago the femur and tibia are kept in the pre-arthritic alignment with the overall frontal alignment accepted to be in residual varus [37]. Several modifications of this classical kinematical alignment concept had been introduced during the last few years (restricted, inverse and functional alignment) [20].
Keeping the tibia in both techniques in varus the femur is placed parallel to the posterior condylar axis and the TEA is ignored. This allows a pure resurfacing procedure for the posterior part of the femur with a very easy and reliable technique (Fig 6). The problem of these two alignment concepts is varus positioning of the tibia component which might cause early loosening or poly wear [38]. Furthermore, it could be shown in many CT and MRI studies that the posterior condylar axis is very variable to the TEA not only in valgus but also in varus knees [2,6,7,31,32]. These axial plane deformities of the femur will not be corrected with the anatomical and kinematical alignment technique. Additionally, with the kinematical alignment where soft tissue releases are not recommended, any soft tissue insufficiency (varus or valgus thrust) in more severe deformities will not be corrected and will add to the flexion gap asymmetry.

2. Basic biomechanics of the flexion gap
The natural flexion gap is not symmetric and shows a wide variation of lateral gap opening (Fig 7) [39]. This makes sense since for deep flexion the lateral femur has to roll back on the tibia to allow full flexion (Fig 8).


Nevertheless, the natural knee is clinical not unstable in the flexion gap due to the lateral meniscus and both cruciate ligaments. This very complex asymmetric biomechanics of the natural flexion gap can only be re-established by a medial UNI with sufficient cruciate ligaments. Bicruiate retaining/substituting, medial pivoting and CR designs also allow some lateral flexion gap opening, but the threshold to lateral gap instability is not known until now. For PS and especially mobile bearing knee designs the flexion gap has to be symmetric and stable [40]. In our experience any asymmetric opening in the flexion gap for mobile bearing designs > 1 mm and for PS > 3 mm cannot be tolerated and may cause pain and instability during stair climbing and raising a chair. For all knee designs the medial flexion gap has to be stable and any opening might cause instability problems and pain during activities in flexion [41]. On the other hand, any tightness of the medial extension gap will cause flexion contracture and tightness of the flexion gap will limit flexion and cause pain also.
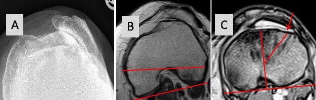
For the natural knee it is well known that the femur flexion axis represents a very complex helical structure due to the asymmetric bones, menisci and both cruciate ligaments. For TKA surgery the transepicondylar axis (TEA) represents the best compromise for the knee flexion axis [2,6]. The problem with the TEA is, that intraoperative identification is difficult, and several studies have shown wide inter- and intraobserver variability [8]. Therefore, many other different landmarks had been described to reduce this problem and increase the accuracy to identify the TEA [2,7] (Fig 9). Most of TKA instruments still use the most prominent point of both posterior condyles (posterior condylar axis) as reproducible landmarks to set femur rotation.

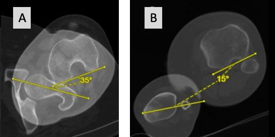
For many decades standardized 3° ER were used to bring the femur component parallel to the TEA by referencing to the posterior condylar axis. The new 3-D mega data clearly demonstrated that in knees planned for TKA surgery a wide range of internal rotation (minus 3 ER to 11° IR) of the posterior condylar axis to the TEA exists (Fig 10) [27,31,32].

For valgus knees it was well known that due to the possible hypoplastic lateral condyle the posterior condylar axis might be more than 3° of IR and many surgeons routinely used 5° ER to the TEA in valgus knees. A wide range from 3° to 12° of IR of the posterior condylar axis to the TEA could be shown with the new 3-D mega data for valgus knees also [32]. For varus knees it was long assumed that 3° of ER will fit for rotational alignment. Now we know that even in varus knees axial plane femur deformities are possible and show a wide range from 3° of ER (worn out posterior medial condyle) to 9° of IR (hyperplastic medial condyle) from the posterior condylar axis to the TEA (Fig 11) [32]. 32 % of femur needs more than 3-5° ER (6-11), whereas 10 % less than 3° ER (IR 3 to ER 2°) [31].

In our experience there are three main scenarios which can lead to a malrotated femoral component after TKA. The first scenario is when the surgeon always uses the measured resection technique with fixed 3° or 5 ° of ER and does not identify axial plane deformities. In varus knees with worn out medial condyle and already 3° of ER the femur ends up with external malrotation of 6°, causing a medial flexion gap instability. In varus knees > 3° IR and valgus knees with > 5° IR standard 3° or 5° of ER will cause an internal malrotation of the components with lateral flexion gap instability and patella maltracking. The second scenario is when the surgeon is using the balanced gap technique and the tibia cut is not neutral and/or the medial or lateral soft tissue structures are not well balanced. The third scenario is when anatomical or kinematical alignment is performed with pure resurfacing of the posterior femur condyles and an existing distal femur axial plane deformity is neglected.
3. Preferred surgical technique femur
In knees without distal femur axial malignment all these four different techniques work quite well for the femur rotational alignment. It could never be shown that any of these different techniques are superior to achieve a balanced flexion gap, better patella tracking or gives better functional outcome or long-term survival results [35,42]. In non-deformed knees we prefer a restricted kinematical alignment concept to balance the extension gap and prevent any soft tissue releases [43]. This allows to place the femur component parallel to the posterior condylar line in the axial plane. Using a posterior referenced system, the rotation pins are set parallel to the posterior condylar line and the proper size is chosen without anterior undercutting or overstuffing. After setting of the 4in1 block and before cutting the bone the future flexion gap can be checked by spacer blocks, tensioner or laminar spreaders. Without axial plane deformities the future flexion gap should be already natural (lateral 1-3mm more than medial) and the same size than the extension gap on the medial side (Fig 12). Depending on the implant constraint used we either accept this slight lateral opening (medial pivoting or CR) or correct it with extra ER of the femur component (PS or mobile bearing design).

For severe deformities more 10° of bony malalignment and/or with contract soft tissues at the concave and stretched out soft tissues at the convex deformity side (valgus or varus thrust) we believe neutral alignment should be the target [34]. Any bony under correction of the deformity to reduce the soft tissue releases might decompensate over the time and end up with severe deformity and varus or valgus thrust again. Soft tissue releases have to be performed depending on the bony correction cuts to get neutral alignment. There is no consensus which type, and sequence of soft tissue releases is the best, but depending on the soft tissue structure involved it will have an effect on the extension or flexion gap only or both gaps equal. Using the extension gap first technique for these severe deformities allows to place the femur component parallel to the TEA in the axial plane [34]. Without axial plane deformities the rotational positioning of the femur component will range from 0 to 3° ER in varus and from 3 to 5° ER in valgus knees from the posterior condylar line.
4. Correction of axial plane deformities at the femur
While torsional deformities of the proximal femur seem to have only little influence on the knee joint kinematics because they are compensated by the ball and socket hip joint, the knees with an axial plane deformity of the distal femur remain a problem. Torsional distal femur deformities might be separated into the anterior and posterior part related to the TEA and any combination of deformity exists (Fig 13).

Interestingly the angle between the posterior condylar line (PCL) and the Anterior Trochlea Line (ATL) differ only little (2° +- 3° IR ) [44]. This shows that the posterior axial deformity (PCL) and the anterior axial deformity (ATL) are linked and this might compensate for patella tracking in knees with posterior knee axial deformity [45]. On the other hand, there is a wide variation of the posterior condylar axis to the TEA [2,6,7,27,29,31,32,46] showing that any posterior axial deformity of the femur cannot be compensated for the tibiofemoral joint and ends up with valgus malalignment under loading and lateral flexion gap opening under unloaded conditions. For these cases with distal femur torsional deformities, it needs to find a compromise to correct the axial plane by performing proper rotational bony correction cuts. The key point to prevent rotational malignment of the femur component is to identify axial plane deformities of the distal femur before and correct them during TKA surgery. On standardized AP and lateral radiographs these axial plane deformities cannot be identified. With special axial kneeling views, they might be identified, but are very depended on the right technique used [47]. The golden standard for the identification of femur axial plane deformities is still CT or MRI imaging (Fig 1) [2].

Some surgeons recommend to routinely perform 3-D analysis before surgery, and this is mandatory for surgeons using patient specific cutting blocks and robotic surgery. This 3-D planning allows not only to identify any axial plane deformity of the femur and tibia before surgery but also makes proper correction during surgery easier and more reproducible. We do not routinely plan the axial plane with CT or MR imaging. History, clinical examination and axial weight bearing patella views are routinely used to identify any patella maltracking or asymmetric flexion gap. Only in cases with complex patella dislocations, we perform a rotational profile with MR imaging, to identify where the axial plane deformity is located (femur, tibia or both) (Fig 14).

In our experience the best option to correct axial plane deformities at the distal femur is by using the extension gap first technique [34]. After performing the extension gap bony cuts for neutral alignment, a balanced extension gap can be achieved by proper soft tissue releases. After the proper frontal alignment is controlled and the extension gap is balanced the knee is flexed to 90°. The femur anatomy (anterior or posterior axial plane deformity) can be easily identified, and several anatomical combinations exist (Fig 11 and 13).


The AP and TEA lines are drawn on the distal femur and the natural flexion gap can be checked by using tensioner or spreaders. This allows to decide how much ER will be needed to bring the component parallel to the TEA. For axial plane deformities we place the femur component always parallel to the TEA to correct any anterior or posterior axial femur pathology. With this simple technique any axial plane deformity of the distal femur can be corrected (Fig 15).

After placing the 4in1 cutting block the future flexion gap can be checked again by using spacer blocks, tensioner or laminar spreaders and will be already symmetric. In cases with extensive releases necessary for the extension gap the soft tissue frame cannot be used anymore to check the proper rotational alignment of the flexion gap. After insertion of the trial components and temporary closure of the arthrotomy a dynamic testing of the flexion gap has to be performed with the number of 4 test. In the rare situation where the fix bearing PS is dislocating and the flexion gap is not stable anymore, we switch to a super stabilized PS or semiconstraint implant with CCK insert.
5. Controversies on tibia rotational alignment techniques
The axial plane deformity with wide variable position of the tibia tubercle (TT) to the proximal tibia anatomy remains an unsolved problem for rotational alignment of the tibia. Therefore, many different lines and techniques have been described for the tibia, but the most proper rotational position of the component remains still controversial (Fig 16) [3]. Three main different surgical philosophies can be separated, which will be described, and limitations discussed.

Different philosophies for proper tibia rotational alignment (Figs 17 to 19)
Mechanical alignment - classical Insall technique
• Tibia Tubercle Axis (TTA) - ignores femur TEA
• Line mid-to-medial third TT to posterior cruciate
• Allows perfect patella tracking
• Might end up with tibiofemoral mismatch of components
Functional alignment – femorotibial kinematic technique
• Tibia component perpendicular to TEA - ignores TT
• Many different lines described
• Allows perfect tibiofemoral kinematics
• Might end up with patella maltracking
Self-rational alignment – mobile bearing technique
• Best bone coverage – ignores TT and TEA
• Tibia baseplate always internal rotated to TT and TEA
• Compensated by self-rotational kinematics of mobile bearing
• Might cause patella maltracking and/or anterior soft tissue impingement
5.1 Mechanical alignment philosophy
This classical Insall technique aligns the tibia component parallel to tibia tubercle axis (TTA) but ignores the TEA and femur component positioning [1] (Fig 17). With the constraint of the PS insert the tibia tubercle will stay under the femur trochlea and allows perfect patella tracking [34]. This rotational constraint works less for CR and does not work for mobile bearings. In cases with proximal tibial axial deformity this technique will cause a “functional internal rotation” of the lower leg to bring the TT under the trochlea to guarantee proper patella tracking. This technique might lead to femorotibial mismatch between the tibia and femur components, which can cause additional poly wear and problems with medio-lateral ligament tension [3].

5.2 Functional alignment philosophy
The tibia component AP axis is placed perpendicular to the TEA of the femur and the TT is ignored as landmark [22,48]. This technique will prevent any rotational mismatch between femur and tibia component and allows proper tibiofemoral kinematics (Fig 18). Since the projection of the TEA onto the tibia plateau intra operatively is difficult, many lines and landmarks are described, but the perfect axis remains still controversial [3]. The “floating” technique which allows free rotation of the tibia baseplate during flexion and extension with trial components in place represents also a functional alignment technique. This floating technique is not very reliable and depends on several factors which can influence the result [49]. In cases with proximal tibia axial plane deformities the functional alignment technique might produce patella maltracking and anterior knee pain.

5.3 Self-rotational alignment philosophy
Using mobile bearing designs with self-rotational alignment uses the “best bone coverage” technique of the tibia component but ignores the TT and the femur TEA [33] (Fig 19). This will place the tibia component always in internal rotation to the TT and TEA, since the proximal tibia cut is asymmetric. Asymmetric tibia baseplates to reduce this problem are not available with mobile bearing designs. With the high sagittal constraint of the mobile bearing the poly insert will follow the femur and prevents any rational mismatch between the poly insert and the femur component. In cases with proximal tibial axial deformity this technique might end up with patella maltracking and/or anterior soft tissue impingement of the mobile bearing [34].

6. Basic biomechanics of tibia axial deformity and patella tracking
In the natural knee the TT is lateralized to the anatomical centre of the proximal tibia. The most common measurement of this ER positioning is the tibia-tubercle-trochlea groove (TT-TG) distance which on average is 7 mm and should be below 15 mm in normal knees [50]. This ER of the TT makes sense, since the natural knee has a screw home mechanism in full extension to lock the knee, which is driven by the medial condyle anatomy, menisci and both cruciate ligaments. After unlocking the knee during flexion, the tibia is internal rotating and beyond 60 ° of flexion the TT is under the trochlea of the femur with TT-TG 0 mm. In natural knees with patella dislocation, it could be shown that the TT-TG is significantly higher compared to normal knees [51]. During flexion the dynamic TT-TG is reduced, but never gets normal and in some patients, it is decompensating and gets even worse (Fig 20) [50]. This is the rational why in natural knees with pathological TT-TG more 15 mm, TT osteotomy with medialization is performed to bring the TT-TG back to normal and prevent patella maltracking or dislocation.

The complex screw home mechanism and self-rotational alignment of the natural knee during flexion cannot be reproduced with TKA implants. Only the bicruciate retaining/substituting and medial pivoting designs show some screw home mechanism whereas for all other TKA designs the TT-TG should be less than 5 mm in extension (tibia tubercle under the trochlea). This allows perfect patella tracking and brings the tibia component perpendicular to the TEA of the femur. In several biomechanical studies it could be shown that the rotational movements of all TKA designs during flexion are not natural, very variable and some of them even show paradoxical tibia external rotation [18]. Therefore, femorotibial mismatch in TKA between femur and tibia components during daily activities are common and remains a concern for bad function, early loosening and PE wear [16]. On the other hand, patellofemoral problems with maltracking and anterior knee pain are very common after TKA and the main cause is malrotation of the tibia and/or femur components [5, 10].
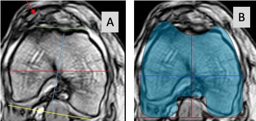
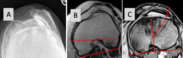
Without knowing all the details of this complex 3-D biomechanics of the patellofemoral joint, Insall has recommended to realign the prosthesis to the extensor mechanism during TKA surgery already 40 years ago. He introduced the tibia tubercle axis (TTA) for rotational alignment (Fig 21) which brings the TT under the trochlea from extension until deep flexion in all cases [1]. Most surgeons follow this simple technique but never thought about the wide variation of the TT to the proximal tibia anatomy. During the last decade several studies using 3-D imaging have shown that proximal tibia axial deformity is common in TKA patients and the TT position to the proximal tibia anatomy is very variable [22,30,48]--. Furthermore, it could be demonstrated that in varus knees external torsional deformities showed a clear correlation to the severity of the frontal malalignment [52]. The most commonly used measurement technique for knees with TKA is the anterior tibia tubercle angle (ATTA), which measures the angle between two lines (Fig 1 B and C) [4,30].

On average this angle is 25° with a wide range from 4 to 50°. 49% of knees show outliers > 5° and 15% more than 10°. Roughly 5° is equal to 1 mm, which correlates to the 5 mm of the TT-TG distance. Axial tibia component IR malalignment of more than 5° to the TT is clinically relevant [3].
Due to the wide variability of the TT location some surgeons prefer the functional alignment philosophy and ignore the TT as a landmark [22,48]. Most of them use 3-D planning on CT or MRI, computer navigation or the floating technique to align the tibia perpendicular to the TEA of the femur in extension [53]. During surgery it is difficult to project the TEA onto the tibial plateau and therefore many different lines and landmarks are described to solve this problem. Akagi first described a line perpendicular to the TEA which ends at the medial border of the TT [54]. In several studies comparing different tibia lines and axis this Akagi line represented the most reliable bony landmark to align the tibia component perpendicular to the TEA and is therefore used by many surgeons [3]. Nevertheless, all these published lines show a wide variability and range due the common proximal axial plane deformity of the tibia [22,30,48]. Furthermore, the Akagi line is misleading, since he used natural knees with screw home mechanism in his study. This is why the Akagi line recommends the medial third of the tibia tubercle and not the mid to medial third, described by Insall [55]. The “curve on curve” technique represents the second reliable landmark to align the tibia component perpendicular to the TEA and is used by many surgeons in combination with the Akagi line [56].
7. Preferred surgical technique tibia
In knees without proximal tibia axial malignment all these three different philosophies for the tibia component axial alignment work quite well. It could never be shown that any of these different techniques is superior or gives better functional or long-term survival results [3]. Asymmetric tibia components allow better bone coverage, reduce component overhang and drive the tibia component in external rotation. Therefore, the asymmetric anatomical shaped tibia components are our preference.
For every TKA we mark the tibia tubercle axis (TTA) of Insall and compare it with the anatomical centre of the proximal tibia using the mid-sulcus line (Fig 22 A and B).

The TTA should be max 5 mm or 25° external rotated to the mid-sulcus line in normal knees, and any proximal axial deformity of the tibia can be easily identified. For the tibia rotational alignment, we use two landmarks only. The TTA of Insall (functional landmark) and the “curve on curve” technique (anatomical landmark). When performing a medial pivoting knee, we combine the “floating technique” with the two landmarks to find the best rotational compromise to allow a lateral rollback in flexion without producing a patella lateralization in extension .
8. Correction of axial plane deformities at the tibia
The problem are the axial plane deformities of the proximal tibia with the wide variation of the TT position to the proximal tibia anatomy [3,22,30,48] (Fig 23). For these cases none of the described techniques are perfect and they can make either the tibiofemoral joint or the patella tracking happy and it needs to find a compromise to correct this tibia axial plane deformities.
On standardized AP and lateral radiographs these axial plane deformities cannot be identified. The golden standard for the identification of proximal tibia axial plane deformities is still CT or MRI imaging (Fig 23 A and B) [5,30].

Some surgeons recommend to routinely perform 3-D analysis before surgery, which allows not only to identify any axial plane deformity of the femur and tibia before surgery but also makes proper correction during surgery easier and more reproducible [7]. We do not routinely plan the axial plane with CT or MR imaging. Only in cases with complex patella dislocations, we perform a rotational profile of the knee with MR imaging, to identify where the axial plane deformity is located (distal femur, proximal tibia or both) (Fig 14).

When the hip or ankle joint is involved also a rotational profile of the whole leg is necessary to analyse a severe maltorsion syndrome. Any combination of whole femur and tibia axial deformity exist where either the maltorsion is aggravated or compensated by the tibia (Fig 24 A and B).

During surgery the proximal axial plane deformity of the tibia can be easily identified, by drawing the TTA of Insall and compare it with the mid-sulcus line, as described above (Fig 21). Any deformity greater than 5 mm should be corrected during surgery. There are four options to correct this tibia axial deformity.

8.1 Soft tissue realignment
Still many surgeons use lateral retinaculum release or proximal realignment procedures at the end of surgery, when the patella is not tracking perfect [57]. In our experience this is not indicated for varus knees and very rare in valgus knees with tight lateral retinaculum only. With this technique a bony deformity in the axial plane is corrected by soft tissue releases, which is weaking the extensor mechanism. Furthermore, severe tibia axial plane deformities cannot be corrected by soft tissue procedures alone.
8.2 Functional derotation inside the joint
By using the TTA of Insall and minimum PS constraint, the tibia will make an internal rotation with the trial components inside (Fig 25 A and B). This brings the TT under the trochlea and reduce the pathological TT-TG to less than 5 mm [34]. Sometimes the insertion of the PE insert is difficult and can be performed only by forced internal rotation of the lower leg. CR and mobile bearing inserts do not work with this technique. Maximum 30° of functional derotation is possible, otherwise the forefoot progression angle gets negative with internal rotation of the forefoot and the collateral ligaments tension is changed.

8.3 TT osteotomy
Like in native knees medialization of the TT will solve the problem of proximal tibia axial deformity [58]. For TKA surgery this will extend the surgery, increase the complication rate and is therefore rarely used for this indication. Even in extraarticular deformities in the frontal plane we prefer to correct the deformity for TKA inside the joint and try to prevent correction osteotomies. This is why we routinely use the functional derotation technique for proximal torsional deformities for TKA surgery.
8.4 Derotation osteotomy
Severe proximal tibia rotational deformities > 30° are very rare and need a rotational profile of the whole leg to analyse the maltorsion syndrome (Fig 24 A and B).

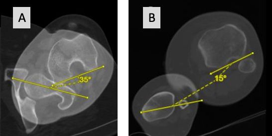
Whereas rotational deformities at the femur are mostly corrected in the hip joint severe external torsional deformities at the tibia might need proximal internal derotation osteotomy combined with TKA. This remains a very complex surgery including TT osteotomy, bony derotation and use of stem and external fixation [59] (Fig 26 A to C).

In our experience we use this technique in young patients with native knees only, but it was never necessary for TKA patients. In these severe tibial axial deformities, a combination of PS or CCK constraint, TT osteotomy, lateral retinaculum release and proximal realignment can correct the deformity. Combined with the correction of the distal femur axial plane deformity inside the joint this will produce proper patella tracking even in patients with permanent patella dislocation before surgery (Fig 14 and 27).


Summary
Proper rotational alignment of the femur and tibia components in TKA surgery are still controversial. There is currently no evidence that one of the several techniques used for decades is superior. At the femur currently four different techniques are described, and they work well in knees without distal femur axial plane deformities. In knees with distal femur axial deformities, we prefer the extension gap first technique which brings the femur parallel to the TEA and sufficiently corrects these anterior and posterior deformities at the distal femur. For the tibia rotational alignment more than 20 different landmarks and lines are described and might be separated in three different philosophies. Most of them work well in knees without proximal tibia axial deformities. In knees with proximal tibia axial deformities any of these techniques will either produce a femorotibial mismatch or patella maltracking. To correct proximal tibia axial deformities four different techniques are available. We prefer the functional derotation inside the joint technique to correct these deformities, which had worked without any problems or failures for the last 20 years.
References
1. INSALL JN, KELLY M. The Total Condylar Prosthesis. Clin Orthop Relat R 1986;205(NA;):43–48.
2. Skowronek P, Arnold M, Starke C, Bartyzel A, Moser LB, Hirschmann MT. Intra- and postoperative assessment of femoral component rotation in total knee arthroplasty: an EKA knee expert group clinical review. Knee Surg Sports Traumatology Arthrosc 2020;1–11.
3. Saffarini M, Nover L, Tandogan R, Becker R, Moser LB, Hirschmann MT, et al. The original Akagi line is the most reliable: a systematic review of landmarks for rotational alignment of the tibial component in TKA. Knee Surg Sports Traumatology Arthrosc 2019;27(4):1018–1027.
4. Berger, R. Determining the rotational alignment of the femoral component in total knee arthroplasty using the epicondylar axis. COOR 1993;356:144 ff
5. Berger RA, Crossett LS, Jacobs JJ, Rubash HE. Malrotation Causing Patellofemoral Complications After Total Knee Arthroplasty. Clin Orthop Relat R 1998;356(NA;):144–153.
6. Peersman G, Vuylsteke P, Taeymans K, Jans C, Heyse T, Fennema P. Malrotation deformities of the lower extremity and implications on total knee arthroplasty: a narrative review. Arch Orthop Traum Su 2016;136(11):1491 1498.
7. Victor J. Rotational alignment of the distal femur: A literature review. Orthop Traumatology Surg Res 2009;95(5):365 372.
8. Gromov K, Korchi M, Thomsen MG, Husted H, Troelsen A. What is the optimal alignment of the tibial and femoral components in knee arthroplasty? Acta Orthop 2014;85(5):480 487.
9. Hofmann S, Romero J, Roth-Schiffl E, Albrecht T. Rotationsfehlstellungen der Komponenten als Ursache chronischer Schmerzen und vorzeitigem Prothesenversagen bei Knieendoprothesen. Der Orthopäde 2003;32(6):469–476.
10. Hofmann S, Seitlinger G, Djahani O, Pietsch M. The painful knee after TKA: a diagnostic algorithm for failure analysis. Knee Surg Sports Traumatology Arthrosc 2011;19(9):1442.
11. Pietsch M, Hofmann S. Early revision for isolated internal malrotation of the femoral component in total knee arthroplasty. Knee Surg Sports Traumatology Arthrosc 2012;20(6):1057–1063.
12. Bell SW, Young P, Drury C, Smith J, Anthony I, Jones B, et al. Component rotational alignment in unexplained painful primary total knee arthroplasty. Knee 2014;21(1):272 277.
13. Valkering KP, Breugem SJ, Bekerom MP van den, Tuinebreijer WE, Geenen RCI van. Effect of rotational alignment on outcome of total knee arthroplasty. Acta Orthop 2015;86(4):432–439.
14. Bédard M, Vince KG, Redfern J, Collen SR. Internal rotation of the tibial component is frequent in stiff total knee arthroplasty. Clin Orthop Relat R 2011;469(8):2346 2355.
15. Nicoll D, Rowley DI. Internal rotational error of the tibial component is a major cause of pain after total knee replacement. Bone Joint J 2010;92(9):1238 1244.
16. Lützner J, Kirschner S, Günther K-P, Harman MK. Patients with no functional improvement after total knee arthroplasty show different kinematics. Int Orthop 2012;36(9):1841 1847.
17. Lakstein D, Zarrabian M, Kosashvili Y, Safir O, Gross AE, Backstein D. Revision total knee arthroplasty for component malrotation is highly beneficial: a case control study. J Arthroplast 2010;25(7):1047 1052.
18. Panni AS, Ascione F, Rossini M, Braile A, Corona K, Vasso M, et al. Tibial internal rotation negatively affects clinical outcomes in total knee arthroplasty: a systematic review. Knee Surg Sports Traumatology Arthrosc 2018;26(6):1636–1644.
19. Thiele K, Perka C, Matziolis G, Mayr HO, Sostheim M, Hube R. Current failure mechanisms after knee arthroplasty have changed: polyethylene wear is less common in revision surgery. J Bone Jt Surg 2015;97(9):715 720.
20. Lustig S, Sappey-Marinier E, Fary C, Servien E, Parratte S, Batailler C. Personalized alignment in total knee arthroplasty: current concepts. SICOT-J 2021;7:19.
21. DeFrance M, Yayac M, Courtney PM, Squire M. The Impact of Author Financial Conflicts on Robotic-Assisted Joint Arthroplasty Research. J Arthroplast 2020;36(4):1462–1469.
22. Bonnin MP, MEng MS, BSc P-EM, MD J-RL, MD YC. Is the Anterior Tibial Tuberosity a Reliable Rotational Landmark for the Tibial Component in Total Knee Arthroplasy? J Arthroplast 2011;26(2):260 267.e2.
23. Hutter EE, Granger JF, Beal MD, Siston RA. Is There a Gold Standard for TKA Tibial Component Rotational Alignment? Clin Orthop Relat Res 2013;471(5):1646 1653.
24. Indelli PF, Graceffa A, Marcucci M, Baldini A. Rotational alignment of the tibial component in total knee arthroplasty. Ann Transl Medicine 2015;4(1):3.
25. Cobb JP, Dixon H, Dandachli W, Iranpour F. The anatomical tibial axis: reliable rotational orientation in knee replacement. Bone Joint J 2008;90(8):1032 1038.
26. Siston RA, Goodman SB, Patel JJ, Delp SL, Giori NJ. The high variability of tibial rotational alignment in total knee arthroplasty. Clin Orthop Relat R 2006;452(NA;):65 69.
27. SISTON RA, PATEL JJ, GOODMAN SB, DELP SL, GIORI NJ. THE VARIABILITY OF FEMORAL ROTATIONAL ALIGNMENT IN TOTAL KNEE ARTHROPLASTY. J Bone Jt Surgery 2005;87(10):2276–2280.
28. Roberts TD, Frampton CM, Young SW. Outcomes of Computer-Assisted Surgery Compared with Conventional Instrumentation in 19,221 Total Knee Arthroplasties: Results After a Mean of 4.5 Years of Follow-Up. J Bone Jt Surg 2020;1.
29. Patel AR, Talati RK, Yaffe MA, McCoy BW, Brander V. Femoral component rotation in total knee arthroplasty: an MRI-based evaluation of our options. J Arthroplast 2014;29(8):1666 1670.
30. Park A, Nam D, MD MVF, MD STD, MD TJH, MD RLB. Inter-Observer Precision and Physiologic Variability of MRI Landmarks Used to Determine Rotational Alignment in Conventional and Patient-Specific TKA. J Arthroplast 2015;30(2):290 295.
31. Thienpont E, Schwab p, Paternostre F, Koch P. Rotational alignment of the distal femur: anthropometric measurements with CT-based patient-specific instruments planning show high variability of the posterior condylar angle. Knee Surg Sports Traumatology Arthrosc 2014;22(12):2995 3002.
32. Meric G, Gracitelli GC, Aram LJ, Swank ML, Bugbee WD. Variability in Distal Femoral Anatomy in Patients Undergoing Total Knee Arthroplasty: Measurements on 13,546 Computed Tomography Scans. J Arthroplast 2015;30(10):1835 1838.
33. Buechel FF, Buechel F. Mobile-bearing knee arthroplasty. J Arthroplast 2004;19(4):27 30.
34. Hofmann S, Seitlinger G, Djahani O, Pietsch M. Bone Cuts and Implant Positioning to Achieve High Flexion. Techniques Knee Surg 2011;10(2):77–86.
35. Abdel MP. Measured Resection Versus Gap Balancing for Total Knee Arthroplasty. Clin Orthop Relat Res 2014;472(7):2016 2022.
36. Hungerford D. Total joint arthroplasty of the knee. CORR 1985;
37. Howell SM, Kuznik K, Hull ML, Siston RA. Results of an initial experience with custom-fit positioning total knee arthroplasty in a series of 48 patients. Orthopedics 2008;31(9):857 863.
38. Nakamura S, Nakamura S, Tanaka Y, Kuriyama S, Ito H, Furu M, et al. The effects of kinematically aligned total knee arthroplasty on stress at the medial tibia. Bone Joint Res 2017;6(1):43 51.
39. Tokuhara Y, Kadoya Y, Nakagawa S, Kobayashi A, Takaoka K. The flexion gap in normal knees. Bone Joint J 2004;86-B(8):1133–1136.
40. Vertullo CJ, Easley ME, Scott WN, Insall JN. Mobile Bearings in Primary Knee Arthroplasty. J Am Acad Orthop Sur 2001;9(6):355–364.
41. Quinlan ND, Wu Y, Chiaramonti AM, Guess S, Barfield WR, Yao H, et al. Functional Flexion Instability After Rotating-Platform Total Knee Arthroplasty. J Bone Jt Surg Am Volume 2020;
42. Daines BK, Dennis DA. Gap Balancing vs. Measured Resection Technique in Total Knee Arthroplasty. Clin Orthop Surg 2014;6(1):1 8.
43. Almaawi AM, Hutt JRB, Masse V, Lavigne M, Vendittoli P-A. The Impact of Mechanical and Restricted Kinematic Alignment on Knee Anatomy in Total Knee Arthroplasty. J Arthroplast 2017;32(7):2133–2140.
44. Vercruysse C, Vandenneucker H, Bellemans J, Scheys L, Luyckx T. The shape and orientation of the trochlea run more parallel to the posterior condylar line than generally believed. Knee Surg Sports Traumatology Arthrosc 2018;26(9):2685–2691.
45. Abadie P, Galaud B, Michaut M, Fallet L, Boisrenoult P, Beaufils P. Distal femur rotational alignment and patellar subluxation: A CT scan in vivo assessment. Orthop Traumatology Surg Res 2009;95(4):267 271.
46. Luyckx T, Zambianchi F, Catani F, Bellemans J, Victor J. Coronal alignment is a predictor of the rotational geometry of the distal femur in the osteo-arthritic knee. Knee Surg Sports Traumatology Arthrosc 2013;21(10):2331 2337.
47. Kanekasu K, Kondo M, Kadoya Y. Axial Radiography of the Distal Femur to Assess Rotational Alignment in Total Knee Arthroplasty. Clin Orthop Relat R 2005;NA;(434):193 197.
48. Howell SM, Chen J, Hull ML. Variability of the location of the tibial tubercle affects the rotational alignment of the tibial component in kinematically aligned total knee arthroplasty. Knee Surg Sports Traumatology Arthrosc 2013;21(10):2288 2295.
49. Ikeuchi M, Yamanaka N, Okanoue Y, Ueta E, Tani T. Determining the rotational alignment of the tibial component at total knee replacement: a comparison of two techniques. Bone Joint J 2007;89(1):45 49.
50. Seitlinger G, Scheurecker G, Högler R, Labey L, Innocenti B, Hofmann S. The position of the tibia tubercle in 0°–90° flexion: comparing patients with patella dislocation to healthy volunteers. Knee Surg Sports Traumatology Arthrosc 2014;22(10):2396–2400.
51. Seitlinger G, Moroder P, Scheurecker G, Hofmann S, Grelsamer RP. The Contribution of Different Femur Segments to Overall Femoral Torsion. Am J Sports Medicine 2016;44(7):1796 1800.
52. Yoon J-R, Lee JK, Ryu J, Um R, Yang J-H. Increased external rotation of the osteoarthritic knee joint according to the genu varum deformity. Knee Surg Sports Traumatology Arthrosc 2021;29(4):1098–1105.
53. Tandogan RN, Kort NP, Ercin E, Rooij F van, Nover L, Saffarini M, et al. Computer-assisted surgery and patient-specific instrumentation improve the accuracy of tibial baseplate rotation in total knee arthroplasty compared to conventional instrumentation: a systematic review and meta-analysis. Knee Surg Sports Traumatology Arthrosc 2021;1–12.
54. Akagi M, Oh M, Nonaka T, Tsujimoto H, Asano T, Hamanishi C. An Anteroposterior Axis of the Tibia for Total Knee Arthroplasty. Clin Orthop Relat R 2004;420(NA;):213–219.
55. Lützner J, Krummenauer F, Günther K-P, Kirschner S. Rotational alignment of the tibial component in total knee arthroplasty is better at the medial third of tibial tuberosity than at the medial border. Bmc Musculoskelet Di 2010;11(1):57 7.
56. Indelli P. Rotational alignment of the tibial component in total knee arthroplasty: the anterior tibial cortex is a reliable landmark. Joints 2013;01(04):155–160.
57. Maniar RN, Singhi T, Rathi SS, Baviskar JV, Nayak RM. Surgical technique: Lateral retinaculum release in knee arthroplasty using a stepwise, outside-in technique. Clin Orthop Relat Res 2012;470(10):2854 2863.
58. Young CF, Bourne RB, Rorabeck CH. Tibial Tubercle Osteotomy in Total Knee Arthroplasty Surgery. J Arthroplast 2008;23(3):371 375.