Personalized hip joint replacements using a large diameter head
Background: Conventional total hip arthroplasty (THA) aims to restore native joint kinematics, yet complications such as dislocation, implant malpositioning, and restricted range of motion (ROM) persist. Achieving optimal functional outcomes requires precise anatomical restoration and accelerated postoperative rehabilitation to meet increasing patient expectations for activity and joint perception.
Objective: This article examines the clinical application of personalized THA utilizing large diameter head (LDH) bearings—specifically ceramic-on-ceramic (CoC) and dual mobility (DM) designs—integrated with enhanced recovery after surgery (ERAS) protocols.
Key Points: LDH THA, defined by femoral heads exceeding 36 mm, increases jump distance and the head-to-neck ratio, significantly reducing dislocation risk and providing supraphysiological ROM. This configuration compensates for surgical imprecision and variations in spinopelvic mobility. Clinical evidence supports the use of CoC LDH for patients with a life expectancy over 20 years due to superior wear resistance and reduced osteolysis. Conversely, DM LDH is indicated for older or higher-risk populations. LDH bearings also enhance micro-stability via increased suction forces. Implementation of ERAS protocols has been shown to reduce postoperative complications by 50% and facilitate outpatient surgery by decreasing hospital length of stay. While CoC bearings may produce audible noise, it is generally benign and does not correlate with decreased functional scores. Trunnionosis risks are mitigated through the use of ceramic femoral heads.
Conclusion: The integration of LDH bearings with ERAS principles facilitates precise biomechanical reconstruction and rapid functional recovery. This combined approach optimizes implant stability and survivorship, providing a viable pathway toward achieving a forgotten joint in personalized hip reconstruction.
Abstract
Hip arthroplasty is one of the most common and successful orthopaedic procedures in recent years. The aim of hip replacement is to create a ‘forgotten’ joint, with the same functionality as a native structure. To achieve such goal, the hip arthroplasty should be personalized by restoring the native hip’s centre of rotation, leg length equality, femoral offset, femoral orientation, soft tissue tension, stress transfers, range of motion, and stability. In addition, it should provide an uneventful and fast postoperative recovery, and lifetime implant survivorship with unrestricted activities.
Our preference is for a personalized total hip arthroplasty (THA) with a large diameter head (LDH) and either a monobloc or dual-mobility configuration. LDH THA offers an impingement-free range of motion and a reduced risk of dislocation. The supraphysiological range of motion (ROM) offered by a large head–neck offset can compensate for any abnormal spinopelvic mobility and surgical imprecision. Moreover, an LDH bearing with low clearance exerts a high suction force, providing hip micro-stability. With appropriate biomechanical reconstruction, LDH THA can restore normal gait parameters, allowing unrestricted activities and resulting in high patient satisfaction.
We use LDH ceramic-on-ceramic for patients with a life expectancy of over 20 years, and LDH dual-mobility bearings for all other cases. Another key to the success of THA surgery is the application of enhanced recovery after surgery (ERAS) principles. This can reduce postoperative adverse events and complications by 50% and improve patient well-being to the extent that they can return home the same day. The implementation of an ERAS protocol at our centre has had a dramatic impact on patient outcomes. Personalized hip arthroplasty combining LDH THA with ERAS is therefore an appealing option for providing our patients with a forgotten joint.
Introduction
Hip replacement surgery has come a long way since its conception. As regards patient selection, Sir John Charnley began by looking ‘…for factors which offer a “built-in restraint”, such as defective knees or ankles, and impose some general physical limitations on the patient… to hold back physical activity…’. Despite the initial failures experienced by pioneers in this field, the technique has gained momentum, improving implant survivorship and patient satisfaction. Hip arthroplasty has produced outstanding results, and it was even named ’the operation of the century’[1]. Nevertheless, the era of a one-size-fits-all procedure for patients is drawing to a close, and the current trend is to offer personalized treatment with an individually-tailored approach. A hip replacement now aims to create a ‘forgotten’ joint, which has the same functionality as a native structure.
Today, what most patients want from a THA is to recover their native hip perception and function. As surgeons, we should now be trying to meet these expectations. Regarding functional outcomes, patients want to resume all the activities they did before the onset of the hip disease (e.g. skiing, running, tennis, karate, climbing, cycling). Secondly, workers, some of whom have physically demanding jobs like a roof worker, plumber, fireman or police officer, hope to return to work after their surgery. Not being able to resume their work and undergoing a change of career would be problematic. Finally, patients expect limited postoperative pain after their surgery, without any hazards or complications and a speedy recovery.
To achieve these goals, we need to investigate the remaining complications and functional limitations of total hip arthroplasty (THA). Ferguson et al. listed the most common causes of THA revision as aseptic loosening (48%), dislocation (15%), periprosthetic fracture (10%), periprosthetic infection (9%), and implant malpositioning (5%)[2]. The growing number of young and active patients undergoing THA and the globally aging population are the leading causes for the rise in complications, especially periprosthetic fractures and infections[3,4]. Some complications that require revision, like a traumatic periprosthetic fracture or late-onset infection, are difficult to prevent simply by improving the implant or using new technology. However, the other major reasons for revision, like dislocation or implant malpositioning, can be significantly minimized with a better understanding of hip biomechanics combined with precise and individualized implant reconstruction. The goal is to tailor the care to reproduce a stable, native-like, anatomical hip joint, meeting each patient’s expectations[2].
What is a personalized/optimal hip arthroplasty?
There is wide inter-patient variation in the anatomy of the hip. A precise restoration of this anatomy during THA may improve clinical function and patient satisfaction. Better implant wear-resistance, fixation methods and unprecedented advancements in navigation and robotic technology have allowed for more precise, patient-specific procedures, in other words, for anatomical hip restoration [5]. In addition, patients may have specific medical or psychological conditions which need to be considered to optimize their outcome. Their activities of daily living, leisure pursuits and their related expectations also play an important role in evaluating a successful THA. A personalized hip arthroplasty should therefore aim to restore/provide:
1. Functional biomechanics
a. Native hip’s centre of rotation
b. Leg length equality
c. Femoral offset and abductor lever arm
d. Femoral orientation: neck–shaft angle and version
e. Soft tissue tension
2. Stress transfers (to minimize problematic bone remodelling, osteopenia, and thigh pain)
3. Hip range of motion and stability
a. Avoid instability
b. Micro stability
c. Impingement-free ROM
4. A forgotten joint
5. Bearing wear-resistance, ensuring lifetime implant survivorship with unrestricted activities
6. Fast and complication-free recovery, meeting each patient's expectations
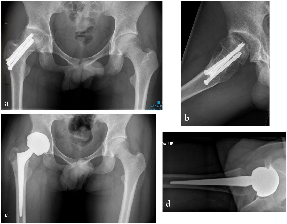
This article will explain how we have tried to achieve each of these goals of a personalized hip replacement. Whilst acknowledging that there may be multiple successful ways and that options may evolve, our current preference is for a large diameter head (LDH) THA. We define an LDH bearing as femoral head >36mm and/or a cup–head diameter difference ≤12mm (e.g. 46mm cup with a 36mm head (Fig. 1). LDH THA is mainly available in two designs: ceramic-on-Ceramic (CoC) LDH THA with a monobloc acetabular cup, or dual mobility (DM) LDH THA.

Two types of Large Diameter Head THA
CoC LDH PTH
The popularity of CoC bearings has increased worldwide in the last decade, thanks to evidence of better wear resistance and biocompatibility when compared to other materials. However, LDH CoC THAs require a thin metallic acetabular shell to optimize the bearing diameter/cup diameter ratio. Therefore, to minimize the risk of liner fractures due to incorrect liner assembly in a deformed metallic shell, CoC LDH cups are manufactured pre-assembled and then implanted as a monobloc component. We started using LDH CoC in 2011 and implanted >3500 Maxera cups (Zimmer, Warsaw, USA, Fig. 2).

The shell is made of titanium Ti-6Al-4V alloy with a thin layer of titanium vacuum plasma spray coating (Ti-VPS) applied to the exterior. The BIOLOX delta taper liner is pre-assembled and secured into the shell using an 18° taper angle. This implant has outer diameters ranging from 42mm to 66mm and inner diameters ranging from 32mm to 48mm.
Dual mobility LDH THA
The DM design consists of a small femoral head (22 or 28mm), captive and mobile within a polyethylene (PE) liner (Fig. 3).

In turn, the large PE liner ball articulates with a highly polished metallic acetabular shell. The PE large head diameter is usually 6–8mm smaller than the outer metallic shell. There are two distinct articulations: a small articulation between the head and the PE liner and a large articulation between the PE head and the acetabular shell. Most of the movement occurs at the small articulation. Movement of the large articulation only happens when the stem’s neck comes into contact with the PE head. Wear can occur at three interfaces: the small and large bearing and at the neck–polyethylene contact area (third articulation).
Goal #1 of a Personalized THA: Restoring Hip Functional Biomechanics
1a) Native hip’s centre of rotation
The mean subtended angle of the native acetabulum is usually less than a hemisphere, varying from 145° to 173° [6]. For example, the height difference between a 58mm/180° cup over a 58mm/165° acetabulum is 2.4 mm [7]. Therefore, to restore optimal hip centre of rotation with a non-anatomical 180° cup, the surgeon must deepen (ream more medially) the native acetabulum. However, the centre of rotation of the prosthetic hip joint depends not only on the depth of reaming but also on the cup design, including the polar thickness of the cup and liner. For example, restoration of an identical centre of rotation can be achieved with less medial placement of a 180° cup with uniform wall thickness when compared to the medial reaming required for placement of a cup with a lateralized centre of rotation (due to increased polar thickness in the shell or the liner). With more anatomical acetabular components (165°), we have demonstrated in a previous study that the hip’s anatomical centre of rotation can be restored precisely subject to appropriate reaming [8].
1b) Leg length equality, c) femoral offset and abductor lever arm, d) femoral orientation, and e) soft tissue tension
Precise biomechanical reconstruction of the hip is essential for the success of this procedure. Better clinical function and abductor strength can be achieved from optimal femoral offset and restoration of leg length. Otherwise, failure to restore the normal anatomy during THA has been associated with a higher rate of dislocation, muscle weakness, limping, leg-length discrepancy, impingement, and early loosening of the implant (Fig. 4).

To improve the accuracy of the anatomical reconstruction, there is now a greater range of implant sizes, and modular designs have been introduced to give different neck–shaft angles and stem offsets. Nevertheless, anatomical reconstruction of the hip is not always easy. To enable the surgeon to achieve this goal, different implant geometries, an increased range of implant sizes, modular implants and computer navigation systems are now available. We prefer using a fixed neck stem with three different neck angle options to better suit each patient’s specific anatomy, rather than a stem design with a single angle and two different offsets (standard/lateralized). Freed from the risk of instability, surgeons using LDH THA can then better optimize a patient's leg length and offset (Fig. 5). In our experience, a shorter leg is much better tolerated than a longer one. In the cases where the choice between a shorter or a longer head is not clear cut (example: 0mm versus +4mm), we select the shorter one.


Goal #2 of a Personalized THA: Minimal Abnormal Stress Transfer to Bone
No femoral stem can replicate the physiological load pattern on the proximal femur, therefore each stem design is associated with a specific load pattern leading to specific adaptive bone remodelling around the implant. The location and magnitude of stress transfers from the femoral stem to the bone vary depending on mechanical and biological factors. The former is related to the implant, and the latter is related to the stiffness of the patient’s bone. In the younger and more active patients, we prefer to use an uncemented femoral stem. Selecting a femoral implant with a low rate of implant-related thigh pain is of primary importance to allow these patients to resume impact sports or demanding work. Our preferred stem is a titanium, collarless, tapered stem that obtains a press-fit in the metaphysis and the metaphyso-diaphyseal junction. The tapered shape prevents a complete fill in the distal diaphysis, encouraging a more physiological load transfer in the proximal part of the femur. In a randomized control trial (RCT) comparing hip resurfacing (HR) to THA (with the CLS implant), patients reported occasional activity-related thigh pain in 6% of THA and 2% of HR after 6–9 years [9]. We favour tapered, polished cemented stems for older and less active patients, who often have osteopenia. This strategy provides excellent clinical results for this patient group and reduces the risk of periprosthetic fracture (intra- and postoperative).
In the long term, bone remodelling around a stem is an unavoidable physiological process related to implant design. However, for some predisposed patients, it can lead to periprosthetic bone loss secondary to severe stress-shielding, which is thought to be detrimental by contributing to late loosening and late periprosthetic fracture, thus rendering revision surgery more complicated. Furthermore, despite all the differences between the stems reviewed, there is no evidence that one design is superior to another in terms of clinical outcomes or extended long-term survival. It is therefore impossible to pinpoint which exact design features are more advantageous for long-term bone-stem compatibility [10].
Goal #3 of a Personalized THA: Unrestricted Hip Range of Motion and Stability
3a) No Hip Instability
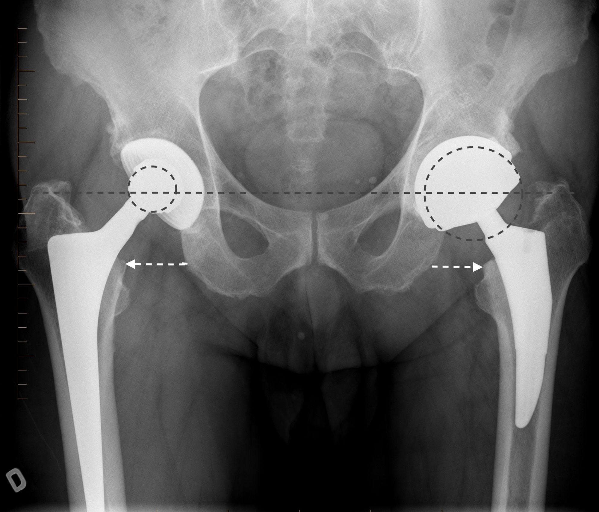
Dislocation is one of the leading causes of THA revision with a variable incidence in the literature. However, calculating the exact rate is a complex matter as closed reductions may remain undetected. Hermansen et al. sought to find the true cumulative incidence of dislocation in 30,000 THAs in the Danish registry and reported a rate of 3.5%[11]. The primary arguments in favour of using an LDH are a wider impingement-free range of motion and a reduced risk of dislocation due to increased jump distance and the larger head volume to displace (Figure 6).

Zijlstra et al. analysed 160,000 THAs from the Dutch arthroplasty register and found that the cumulative risk of dislocation was significantly higher in 22–28mm heads (1.1%), compared to >36mm heads (0.5%)[12-14]. In our experience of more than 3500 CoC LDH THAs implanted since 2011, we encountered five (0.14%) early postoperative dislocations. Four were successfully treated with closed reduction, and one had recurrent dislocations requiring revision surgery. Once instability is of lesser concern, leg length adjustment and femoral offset restoration can be performed with more ease (which helps to achieve goal #1). Using intraoperative measurements or computer/robotic assistance, the surgeon can focus on anatomy restoration without the fear of instability. Knowing that patients would prefer a shortened leg to an elongated one, we favour a shorter one when in doubt between two head lengths.
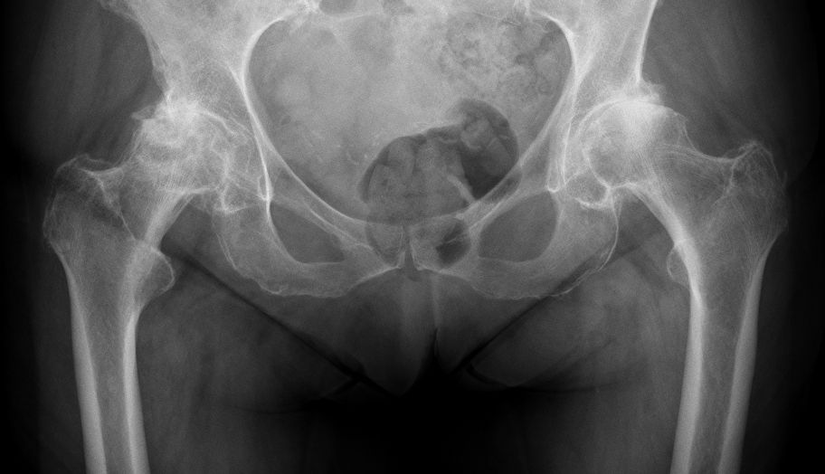
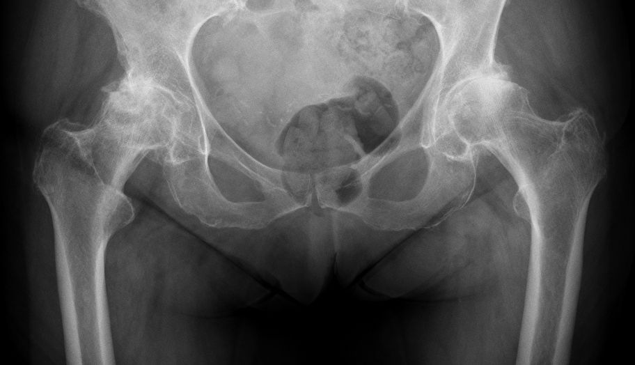
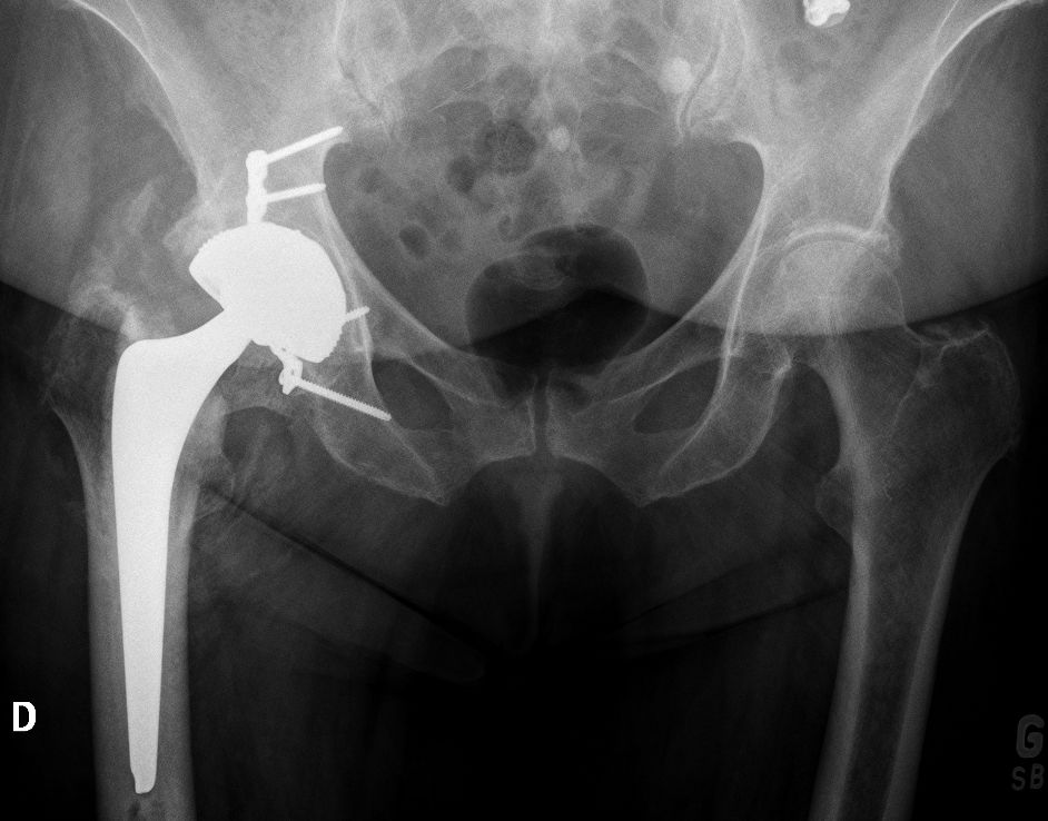
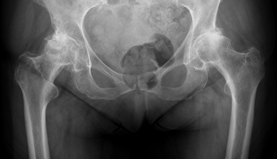
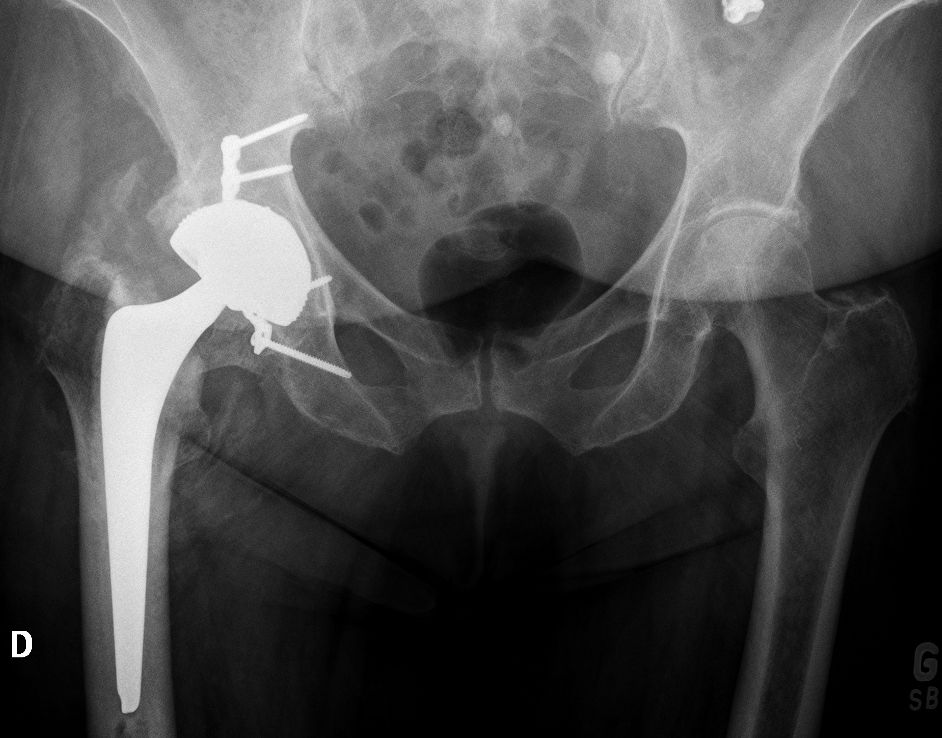
Using an LDH THA allows unrestricted movement after THA, for all types of surgical approaches. Vendittoli’s group in Canada does not impose any postoperative ROM restrictions for the posterior surgical approach, as it simplifies the patient education process, boosts their confidence during rehabilitation, and facilitates bilateral procedures[15,16]. LDH monobloc DM is especially interesting for many older women with large thighs and a small acetabular cavity (<50mm, Fig. 7).


In these cases, standard bearing diameters are prone to instability. With an LDH, a DM design provides optimal implant stability for these not-so uncommon patients. Moreover, with LDH we do not impose any activity restrictions in the long term. LDH CoC THA offers a major benefit for many active individuals since they can return to their regular jobs (e.g. plumber, roof worker, police officer, fireman) as well as for those who want to practice sports like rock climbing, kayaking, water skiing and martial arts.
3b) Optimal Hip Micro Stability
An LDH is closer to the native femoral head size, and some speculate that reproducing a more anatomical joint with more natural capsular tensions and proprioception can produce better results. It has also been shown that an LDH generates suction forces up to 30N (3kg) between the femoral head and acetabular liner and reduces implant micro-separation[15,17]. The larger the bearing diameter and smaller the component clearance, the higher the suction force. This phenomenon is particularly important with CoC designs, as they allow higher surface wettability and, consequently, higher cohesiveness of the lubricating film than implants with a PE surface[15].
3c) Unrestricted Hip Range of Motion
Given the single neck diameter of most femoral stem designs, the head–neck ratio increases proportionally with the head diameter. Theoretically and clinically, this leads to a greater hip range of motion [18,19]. In addition, due to a supraphysiological arc of motion, extraarticular impingement is the first to occur whilst inter-component impingement is rare. Consequently, less-than-optimal implant positioning can be much better tolerated[20]. This is an important point considering the extent of surgical indications for patients with primary or secondary anatomical deformations (e.g. dysplasia, acetabular retroversion, previous pelvic osteotomy, post traumatic), because achieving an optimal implant position is often challenging (Fig. 7).


The relationship between the spine, pelvis and hip was recently recognized as a very important factor of component impingement, limited ROM, and instability after THA with standard bearing diameters[21–26]. There is an unarguable benefit to considering static and dynamic spinopelvic parameters, which will surely become an integral part of preoperative planning. However, despite scientific interest, this has rather limited use in daily practice. Being able to apply the recommendations for a functional implant alignment requires sophisticated preoperative 3D imaging techniques and precision intraoperative tools if the surgeon is to adhere to the preoperative plan (precise acetabular component orientation +/- 2–5 degrees). Being a forgiving implant, an LDH THA is a much simpler solution. The supraphysiological ROM offered by the large head–neck offset can compensate for abnormal spinopelvic mobility and the surgeon’s imprecision. Furthermore, over a lifetime, spinopelvic mobility and parameters may change. LDH THA should be able to accommodate these unpredictable changes. When implanting an LDH acetabular component, our goal is to obtain functional alignment of the bearing (congruency between the femoral head and the acetabular component) with the hip in 10–20° flexion, 10° adduction and 20–30° internal rotation. This is the modified Ranawat’s sign as published by Thomas J. Blumenfeld[27].
Goal #4 of a Personalized THA: A Forgotten Joint
We performed a double-blind RCT, comparing HR to metal-on-metal (MoM) LDH THA with a control group of patients without a hip replacement. In a gait laboratory, we compared gait speed, postural balance and performance during several functional tests [28]. Most functional test results and clinical scores were similar between HR, LDH, and the control group at three months post-surgery. According to these measures, HR did not provide better clinical function over LDH THA, and both restored normal hip performance by three months. Using a CoC LDH THA in 276 patients, we reported an excellent mean WOMAC score of 92.3, UCLA activity score of 6.6, and a Forgotten Joint Score of 88.5 after a mean follow-up of 67 months [16].
Patient perception of a normal joint is the ultimate THA goal, and we have previously described and validated a simple question with five possible answers (Patient’s Joint Perception question: PJP)[29]. Using this simple question, we reported that 52% of LDH THA patients perceived a ‘natural joint’ and the other 24% reported no limitations after their LDH THA[30]. These results show that although our quest for a forgotten hip is not fully accomplished, the excellent clinical results of LDH THA offer a limited marginal improvement.
Goal #5 of a Personalized THA: Lifetime Implant Survivorship
Ideally, THA implant survivorship should exceed the patient’s life expectancy. Polyethylene wear-related biological reactions in young and active patients continue to be a major concern, and thus orthopaedic surgeons have turned to alternative hard-on-hard bearings in the search for improved implant longevity. In comparison to metal-on-polyethylene (MoP) bearings, CoC offers greater scratch resistance with less shedding of wear debris. It has also been linked to a lower rate of wear-induced osteolysis, a reduced cumulative long-term risk of dislocation, less corrosion of the head–neck modular junction, and lower revision rates. In a recent published RCT study, we compared the long-term implant aseptic revision rate after a mean follow-up of 21 years, for MoP (conventional poly, 17/69; 24.6%) versus CoC (2/71; 2.8%; p < 0.001) [31]. The Kaplan–Meier survivorship estimator for revision for aseptic reasons was 73.6% (95% CI: 63.3–84.9%) for MoP and 96.9% (95% CI: 92.8–100%) for CoC (p<0.001). Moreover, signs of osteolysis were observed in 61% (14/23) of the MoP group versus 6% (2/33) of the CoC group (p<0.001). Our findings are consistent with a systematic review of RCTs and meta-analyses comparing THA with six different bearings over more than ten years of follow-up [31] The authors reported a higher risk of revision for MoP (conventional) compared to CoC (RR: 2.83; 95% CI: 1.20–6.63). Two RCTs comparing a CoC bearing with an MoP (cross-linked) bearing demonstrated much lower revision rates due to aseptic loosening in the CoC group (1% vs 11%, p=0.017; 11% vs 3%, p=0.036) [31,32]. Such wear-resistance makes this material ideal for a LDH bearing. We reported the results of our first consecutive 264 CoC LDH THAs after a mean FU of 67 months (range 48–79) [16]. There were four revisions (1.5%), including one early procedure for insufficient primary fixation of the acetabular component (0.4%). No hip dislocation was reported. For the younger, active patient with a life expectancy of more than 20 years, LDH CoC is a great option.
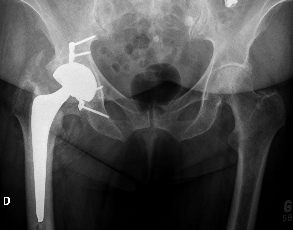
For the older, more sedentary and those with a shorter life expectancy, DM LDH THA is the ideal alternative (Figs 7 and 8).





The DM implant design combines the stability benefits of LDH with wear rates that are significantly lower than those of fixed bearing implants[33,34]. Loving et al., in a simulator study under multiple test conditions (impingement, abrasion, loss of mobility of the insert), showed that performance in terms of wear was dictated mainly by a smaller joint and by the polyethylene material used. For the most severe tests, a 75% lower wear rate was observed compared to a fixed insert of conventional polyethylene sterilized under gamma rays in an inert atmosphere[35]. Given the lower cost and absence of the potential drawbacks of hard-on-hard bearings such as noise, fracture, and trunnionosis, DM should be considered for all patients over 65 years.
Goal #6 of a Personalized THA: Better Patient Experience and Fast Recovery
The success of a THA from a patient’s perspective derives mainly from improved well-being, a return to previous functionality (disease-free), and absence of complications. The best way to meet these expectations is to apply the Enhanced Recovery After Surgery (ERAS) principles pioneered by Dr Husted and Dr Kehlet. The main aspects of the ERAS protocol include preoperative patient education and optimization, perioperative pain control, early mobilization, balanced nutrition, maintenance of gastrointestinal function, blood conservation, optimized wound care, and the overall reduction of adverse events.
To be effective, ERAS protocols should be applied systematically and have the patient and family at the core, supported through the efforts of the interdisciplinary team. In most cases, they will involve significant changes to practices. Moreover, ERAS protocols should aim to simplify postoperative care as much as possible. For example, the use of oral anticoagulants instead of injectables avoids the need for education on self-injection. In addition, using skin glue to seal the wound reduces wound discharge and the frequency of dressing changes, enables the patient to shower, eliminates the need for staple removal and results in less superficial infection.
ERAS protocols should improve patient well-being to a level allowing them to return home sooner or even on the day of surgery (outpatient surgery). Introducing the ERAS protocol at our centre had a dramatic impact on patient outcomes. In our comparative study, the rate of complications among ERAS patients was over 50% lower than for the standard protocol group (mean 0.8 vs 3.0, p<0.001) [36]. In addition, the mean hospital length of stay for the ERAS group decreased by 2.8 days (0.1 vs 2.9 days, p<0.001) and the mean reduction in estimated direct health care costs with the ERAS short-stay protocol was CAD$1489 per THA. In our actual practice, approximately 70% of our THAs are performed as ERAS-Outpatient procedures.
In recent years, Enhanced Recovery Canada and the Canadian Patient Safety Institute have supported the development of consensus ERAS pathways for THA and TKA. A group of 20 Canadian experts in the field, including nurses, surgeons, anaesthetists, physiotherapists, nutritionists, pharmacists, internal medicine doctors and patients, produced a consensus pathway and other resources. Documents are available on the Health Care Excellence website: https://www.healthcareexcellence.ca/en/what-we-do/what-we-do-together/enhanced-recovery-canada/resources-for-orthopaedic-surgeries/.
LDH THA Potential Downsides
Volumetric wear
LDH are not without potential complications. Traditionally, volumetric wear has been a common subject of discussion, as it increases with a larger diameter head. Volumetric wear is an inherent trait of PE liners, and the proposed minimal thickness of a liner is 8mm. With improvements in the quality and wear resistance of PE, this value has been lowered to 6mm or even 3.9mm for ultra-high molecular weight PE[37]. Despite the high resistance of new generation PE, head diameters are still limited and the long-term bearing wear for a thinner PE is still unknown. For the moment, we prefer to use CoC or DM bearings as both types have been shown to produce minimal wear with LDH[34].
Trunnionose
Taper wear and corrosion, also known as trunnionosis, have been reported with multiple metallic LDH[38]. This galvanic corrosion is rarer when both sides of the head–neck junction are made from the same material. For example, CoCr/CoCr is less susceptible to corrosion than CoCr/Ti or CoCr/Stainless steel combinations. Many factors such as high offset, low neck/shaft angle, taper geometry (length, angle), surface finish and even the angle and the force of impaction of the head have been investigated and attributed to the risk of corrosion[38]. Panagiotidou et al. in their retrieval study demonstrated that using ceramic heads significantly reduces fretting and corrosion when used on either Ti or CoCr stems[39].
We investigated the patient Ti blood levels of 57 CoC LDH CoC THAs with a Ti stem, and reported that Ti ion levels were normal and stable at two years (2.2µg/L) and five years postoperatively (2.0µg/L, statistically significant reduction, p=0.007)[40]. Moreover, we did not find any correlation between Ti level and femoral head size (40, 44 and 48mm). In addition, the use of a Ti sleeve did not lead to a significant difference in blood Ti ion concentrations, meaning its use remains controversial. Whereas, when using a 28mm head on the stem trunnion, DM has the benefits of LDH while minimizing the risks of trunnionosis. This head–trunnion combination has been used with success for decades.
Ceramic liner fracture
Ceramic liner fractures mostly occur during liner insertion or after inappropriate surgical impaction (mis-seated liner). Using a pre-assembled ceramic liner in a LDH CoC acetabular component virtually eliminates these risks. With more than 3500 LDH delta ceramic cases, we did not record one single liner or head fracture case.
Ceramic joint noises
Our group reported a rate of at least one episode of audible noise from 22.7% of LDH CoC THAs, which was strongly associated with young and active patients and with a larger femoral head diameter[16]. Though audible noises might be distressing for the patient, they are usually infrequent and benign, unrelated to reduced functional scores or patient dissatisfaction. Chatelet et al. reported an overall survival rate for CoC THAs of 94.2% at 11 years follow-up, and although 28% of patients reported some joint noise, its effect on daily quality of life was negligible[41].
Conclusion
In our experience, LDH THA with either a CoC or DM configuration in combination with an ERAS protocol has proven to be very effective at achieving most goals of a personalized hip arthroplasty. The large head–neck ratio of LDH THA almost negates the risk of dislocation, creates a supraphysiological arc of motion, and permits a certain degree of surgical imprecision in acetabular orientation. It is therefore rather a forgiving procedure, even in patients with impaired spinopelvic kinematics. Not hampered by the risk of instability, LDH also allows for better restoration of individual hip anatomy regarding capsular tension, femoral offset, leg length, etc., thus improving the restoration of hip kinematics.
In addition, LDH makes it possible to lessen postoperative restrictions, and in combination with an ERAS protocol, helps rehabilitation and speeds up the return to daily activities, work and sports. For lifetime implant survival, ceramic is the ideal bearing for young and active patients with a life expectancy >20 years. In other cases, DM is a great alternative due to its lower cost. Overall, LDH THA, whether CoC or DM, improves patient satisfaction and, clinical outcomes and is an excellent option on our path to offer a personalized and forgotten hip joint.