Calcar-guided short stems in total hip arthroplasty. Why? For whom? How?
Background: Total hip arthroplasty (THA) is increasingly performed in younger, more active patients, necessitating surgical techniques that prioritize bone preservation and facilitate potential future revisions. While conventional stems are successful, they may lead to stress shielding, diaphyseal bone loss, and challenges during implant extraction.
Objective: This article evaluates the clinical rationale, anatomical restoration capabilities, and surgical techniques associated with calcar-guided short stems, specifically focusing on the Optimys system.
Key Points: Calcar-guided short stems utilize a metaphyseal anchoring philosophy to preserve bone stock in the diaphysis, greater trochanter, and femoral neck. By following the medial femoral curvature, these implants allow for more accurate restoration of native neck-shaft angles, femoral offset, and anteversion compared to straight stems. Clinical advantages include a reduction in distal femoral pain and decreased stress shielding due to more physiological proximal load transfer. However, the technique is demanding, requiring precise preoperative 3D planning and a specific learning curve. Limitations exist in patients with poor bone quality (Dorr Type C) or significant acetabular dysplasia, where valgus stem positioning may complicate offset compensation. Reported 10-year revision rates for these implants are approximately 4.8%, demonstrating long-term stability.
Conclusion: Calcar-guided short stems represent a bone-conserving alternative to conventional THA that optimizes anatomical restoration and reduces specific femoral complications. Success depends on appropriate patient selection, rigorous preoperative planning, and mastery of the metaphyseal compaction technique to ensure primary stability and optimal intramedullary filling.
Advances in total hip arthroplasty techniques (as is true for all joints) show trends towards reducing the aggressiveness of the surgery on both the soft tissue and the bone stock. The goal is to encourage the most straightforward recovery, the lowest complication rates and to anticipate any future revisions.
While the results of the “operation of the century” are often dramatic, the fact remains that with the growing numbers of implants and the ever-lower average age of patients there is a risk that rates of revision will increase. Bone economy would therefore seem to be an important factor to take into account. Can we do as well, or even better, using implants that allow this bone economy? Long-term follow-up studies are still required, but the preliminary results are promising. The SOFCOT [Société Française de Chirurgie Orthopédique et Traumatologique, French society of orthopaedic and trauma surgery] symposium in 2019 confirmed this.
Short stems are now an integral part of the prosthetic arsenal, like resurfacing, which represents the extreme end of this philosophy of bone economy. There are a number of classifications, according to the height of the femoral cut or the shape and fixation type of each implant. These stems follow similar principles, but the designs may be very different from one implant to another. We will set out in detail our experience of calcar-guided stems, especially the Optimys system (Mathys Ltd, Bettlach, Switzerland).
Why use a calcar-guided short stem?
1. Bone economy
Bone economy is an important factor when choosing primary implants. As resuming sports is increasingly one motivation for our patients, their average age at the time of surgery is falling. Smashing the adage “no implants under the age of 70” implies that the implants will have a longer and more demanding life, and this may lead to an increase in revisions in future, already being seen today. Often, revisions are made difficult due to a deterioration of femoral or hip socket bone stock, or, where stems are firmly fixed it may be difficult to extract the femoral implant (femorotomy).
It is therefore useful to consider bone economy when choosing a femoral implant.
The diaphyseal shaft, the greater trochanter and the calcar femorale can also be targets for bone preservation.
- Bone economy and the diaphysis: The implant is shorter and only the proximal tip is anchored in the diaphysis. Preparation of the metaphysis by progressive bone compaction does not require the use of reamers. With these types of implants, the goal is not to adapt the femoral shaft to the implant (as may sometimes be the case when using a stem like the Corail in a narrow femur graded as Dorr A), but to adapt the stem and its positioning to the specific morphology of the femur.
- Bone economy and the greater trochanter: It is not worth working on the greater trochanter to advance the stem since it aligns with the medial curvature and follows the calcar femorale, without being supported at the greater trochanter. When a straight, rectangular stem is used, it is essential to work in this area so that the shoulder of the stem is able to pass, or there is a risk of fitting an undersized or varus-tilted stem. Bone economy in this area reduces the risk of peri-operative fracture of the greater trochanter and protects the attachment at the trochanter of gluteus medius and lateral rotators.
- Bone economy and the femoral neck: With this stem format, the femoral neck cut is situated at an average of 15 - 25 mm above the lesser trochanter. Moreover, it is the sparing of this segment of the femoral neck that will guide the implant and therefore mean that femoral parameters such as length and offset will be restored. We will return to this theme.


Although our experience in terms of revision of short stems is limited at present, they have always been easier to extract than a straight implant of standard length, reducing the need for osteotomy, and making it possible to reimplant a “normal size” prosthesis, or even a new short stem.
2. Restoring anatomy
Restoring the patient’s preoperative anatomy is a fundamental goal of total hip arthroplasty, applying equally to limb length, femoral offset and rotation centre of the hip. Of course, there are certain cases (dysplasia, congenital dislocation) in which we must sometimes accept a compromise, and we will return to this. The anatomy of each patient is individual [1, 2]. The neck-shaft angle, femoral offset, length and femoral version are amongst the proximal femur parameters that differ from one patient to another, and we must look to restore them as faithfully as possible. The best reproduction possible of these parameters results in a restoration of tension to the abductor muscles and lateral rotators, ensuring improved post-operative recovery [3] while reducing the risk of post-operative complications, especially instability.
In fact, it was to achieve this goal that stems with modular necks were developed. While they make it easier to restore anatomy, there are specific complications: corrosion of the stem-neck junction, modular neck fracture, restrictions on weight and so on; their usage remains debated.
Neck-shaft angle
The “round the corner” technique of stem implantation involves following the medial femoral cortex, meaning that the physiological medial curvature of each patient can be restored. The main condition is to retain sufficient femoral neck to guide the insertion path of the compactors preparing the way for the stem. This means it is important to uphold the principle of not cutting the femoral neck too extensively, above all in coxa vara hips. The cut is therefore often made higher than it would be for a standard stem, usually between 15 and 25 mm above the lesser trochanter. It is essential to plan the surgical intervention thoroughly in order to obtain the desired result. With this type of stem and by following this technical principle, the prosthetic hip is restored to a neck-shaft angle that is similar to that of the native hip.

Femoral offset
The anatomical positioning of short stems along the medial cortex will also allow for restoration of femoral offset. Most of the time this is an advantage over straight stems even in “standard” hips, as it is in some specific cases.
Hips in coxa vara sometimes present a very significant femoral offset which may be prove to be difficult to restore using standard stems. In this case, a varus-tilted or lateralized stem should be used and this will require a very low femoral cut, often with loss of residual femoral offset and a risk of lengthening the lower limb. Positioning a straight cementless stem in varus runs the risk of trajectory error and femoral pain. If a modular neck implant is chosen, the increased lever arm results in significant pressures on the modular neck and neck-head junction with risks that are already known. Finally, even with a cemented stem, positioning it in varus will increase the pressures on the bone-cement interface, with a risk of early loosening. With calcar-guided short stems, the stem will follow the medial cortex of the neck (which will have been cut high), naturally finding a varus tilt and making it possible to reproduce even very significant offsets (Figs 4 and 5).


In total hip replacement, there is often a relative reduction in the acetabular offset due to burring off a few millimetres, which is necessary for the implant to fit in the hip socket cavity, and this is compensated for by a relative increase in femoral offset, to restore the overall hip offset.
In the specific case of marked dysplasia of the hip socket where there is insufficient bone coverage, slightly firmer burring may be required to obtain optimal fixation of the hip socket implant. In this case, the rotation centre will be displaced medially, and the loss of acetabular offset must be compensated for on the femoral side in order to restore the anatomy and reduce the risk of instability. This is perhaps one of the limitations of the use of these stems aligning with the calcar femorale. This is because, in these dysplasia cases, coxa valga is the default morphotype. A calcar-guided stem will in this case spontaneously find a valgus positioning with a femoral offset that will be difficult to increase to compensate for the loss of overall offset. Use of a long head risks lengthening the limb again rather than increasing femoral offset.

Femoral length
Restoring the closest femoral parameters to native anatomy makes it easier to reproduce femoral length. The superiority of short stems over standard straight stems in terms of restoring limb length (as with offset) has been demonstrated by Snijders et al. using a computer simulation [4].
Helitorsion/femoral version
When part of the femoral neck is preserved, this will guide the insertion of the compactors along the neck axis rather than the diaphyseal axis. This means that native femoral anteversion is more reliably restored, and the short design of the stem avoids a trajectory error posteriorly, or pressure on the stem by the diaphyseal shaft, which is thought to be related to this spontaneously anteverted position (in the majority of cases).
The opposite is of course also possible, and can be problematic, especially in cases of congenital hip dislocation or acetabular dysplasia, in which anterior femoral helitorsion is often excessive [5]. The risk is then restoring this excess anteversion with the consequence of an overall excess of anteversion and an increased risk of anterior instability, especially when using an anterior approach. Once again, thorough planning (ideally with 3D imaging) is required to anticipate these situations.



3. Reducing complications
The value of optimal restoration of preoperative anatomy lies in the tendency to faster recovery, improved functional outcomes in the longer term and also fewer complications. It is above all the risk of specifically femoral complications, when compared with standard cementless stems, that we will focus on.
Instability
Recovery of lower limb length, version and overall offset are the factors that will theoretically protect against the risk of instability. Nonetheless, there are plenty of other factors involved that may result in this outcome (approach route, hip socket positioning and so on). No significant reduction in the risk of instability with the use of these stems has been reported in the literature.
Femoral pain
These leg pains, which can sometimes be disabling and may be a reason for revision, are reported at varying rates in the literature, sometimes in up to 40% after hip replacement with a standard cementless stem. A meta-analysis by Zhang [6] showed that using short stems considerably reduced this risk. We have not come across this type of pain in our experience, and have not undertaken any revision for this reason. Using a short stem avoids the problem of varus tilt that affects long stems, resulting in distal contact between the implant tip and the lateral femoral cortex. It is the excessive pressure generated in this area that explains the majority of cases of these pains, which are rarely encountered with short stems.
Stress shielding and bone changes
Stress shielding is a phenomenon caused by uneven distribution of mechanical stresses to the femur, which, when they predominate at the distal part of the stem, generate a pattern of bone changes consisting of distal bone hypertrophy (due to excess stresses) and proximal osteolysis (due to a lack of stresses). Several biomechanical studies report stress shielding to be reduced by using short stem metaphyseal implants [7]. This compressive load transfer tends to happen at the distal end of the stem for short stems, taking the load off the proximal femur. Filling of the medullary canal (ratio of stem diameter to intramedullary diameter) for conventional straight stems increases from the proximal to distal end. This observation is all the more marked when the femur has an intramedullary “champagne flute” appearance (Dorr A).
Bieger [8]reported a more physiological proximal transfer of forces with the Optimys stem than with a straight stem. Karachalios [8] noted that a calcar-guided short stem offered better transmission of proximal loads, which probably reduces these phenomena of stress-shielding, although the causes are multifactorial, depending in particular on the varus/valgus positioning of the stem. While it may reduce the rate, fitting a short stem does not guarantee an absence of stress shielding. Kutzner [10] reported in 2016 only 4.4% cortical thickening and 3.9% proximal bone resorption. A recent densitometry study moreover confirmed the decrease in stress shielding and good peri-prosthetic bone preservation for short stem implants [11]. The radiographic image shown in Figure 10 emains rare in our daily practice.

Peri-prosthetic fractures
This improved distribution of stresses may also reduce the risk of peri-prosthetic fractures. There is a lack of agreement about this in the studies and this is probably due to the multitude of implants labelled as “short stem”. Nonetheless, it seems logical that a more physiological and progressive distribution of stresses should reduce the occurrence of fractures. In 2012, Molli [12] noted a fall in peri-operative complications, especially fractures, with the use of a short stem when compared to a standard stem. In a study into an elderly population, Gkagkalis [13] by contrast found a significant increase in the number of fractures in Dorr C femurs in a group of patients with short stem implants. The bone quality therefore seems to be the main risk factor. Using a short stem could be considered to be protective against the risk of fracture due to excess stresses in a good quality femur, but on the contrary there is a greater risk of bone complication in an osteoporotic bone meaning stability is not guaranteed with this type of stem. This is probably one of the limitations of using this type of implant. However, in our experience to date we have not encountered any peri-prosthetic fractures secondary to fitting a short stem.
Stem stability
Although we still do not have results over the very long term, several studies with over 10 years of follow-up seem to be reassuring in terms of rates of revision in the long term due to loosening [14, 15]. A meta-analysis by Hauer in 2018 found a mean revision rate at 10 years of 4.8% for calcar-guided short stem implants [16].
In our experience, we have not had to carry out any surgical revisions due to failure of the femoral implant. We have come across a few cases of secondary subsidence, with good prosthetic stability with time. The cause of this subsidence seemed to us to be an under-sized implant. We will discuss this in the section on fitting technique.


4. Value of a short stem in cases of sequelae of osteotomy, femoral curvature or narrow femur
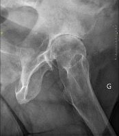
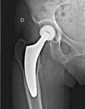
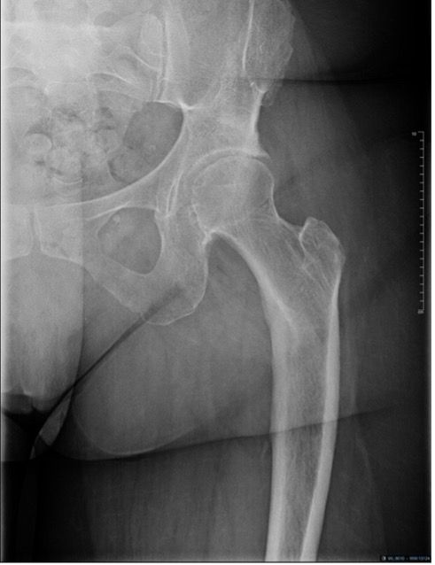
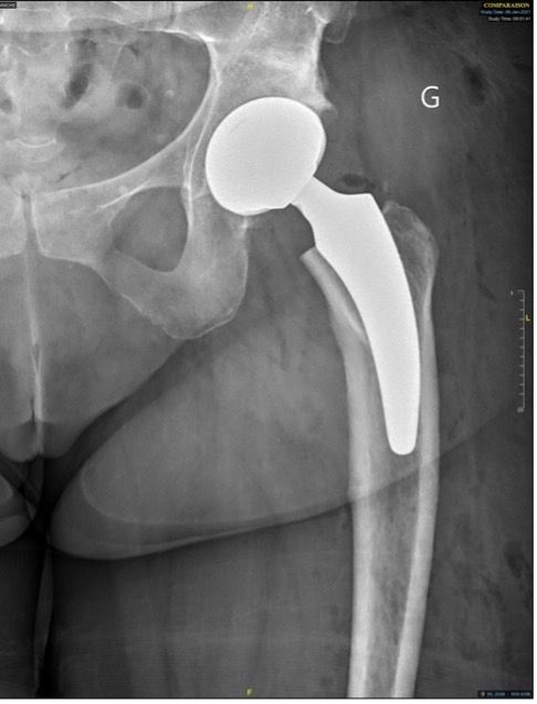
While the initial goal is to restore the preoperative anatomy as closely as possible, it may have undergone changes due to fracture malunions, pathologies or surgical interventions, especially osteotomy, making it complex to open the femoral shaft. Sometimes, it is simply the native morphology of the femur that is unusual and requires technical consideration from the surgeon. It may in these cases prove very useful to choose a short stem (Figs 7 and 8). These are less common indications but they are worth mentioning.


5. Use of a short stem in minimally invasive surgery
Ease of implantation
It seems clear that this type of implant lends itself well to minimally invasive approach routes due to the simplicity of preparing the femoral shaft and introducing the stem. Using the Hueter anterior approach without extensions to the orthopaedic surgery table, it is relatively straightforward to advance the compactors. Femoral preparation is simplified with no need for excess exposure of the proximal femur, with tension on the tensor fasciae latae muscle reduced through use of a femoral elevator. This is of course made easier by the curved design of the implant, but also by the orientation of the compactor along the femoral neck rather than following the diaphysis, as is the case with standard stems. On the contrary, irrespective of the approach route used, preserving as much femoral neck as possible can sometimes be awkward in the socket preparation stage.
Bone preservation is not the only advantage of this type of implant. Aggression to the soft tissues is also reduced. By the posterior route, the trajectory of the compactors is not restricted by any preservation of the piriformis tendon, and aligning the compactors with the curvature avoids any muscle damage caused by advancing instruments, especially in the gluteus medius. This also allows for soft tissue preservation and probably reduces post-operative limping.
Finally, it is important to remember that the choice of implant must under no circumstances be chosen based on the approach route. While fitting a short stem implant is convenient when using a minimally invasive route, it is important to know how to switch to a long stem if the situation requires it. A peri-operative complication (e.g., further split to the calcar), an error in cutting the neck or a mediocre quality bone may all lead to the decision during the intervention to use a different implant, and the approach route should not influence this decision. If the surgeon has not mastered femoral exposure with the anterior route for fitting a standard implant, then this type of situation can quickly become complicated.
Calcar-guided short stems should be considered as minimally invasive implants rather than implants for a minimally invasive approach route, keeping in mind that a learning curve will always be needed.
Which patients is it for?
It is possible to use calcar-guided short stems in many of our patients in our routine work. Nonetheless, while in some specific cases they are almost obligatory, there are of course some limitations, especially in terms of bone quality. Metaphyseal fixation seems to be particularly suitable for patients presenting satisfactory bone quality, with Dorr A or B femurs. Wide femurs with a thin cortex, type Dorr C, seem to be at greater risk of peri-prosthetic fracture or secondary subsidence, so use in these patients should be avoided. Although this argument is not supported in some recent studies [17], it still seems to be preferable to use standard-sized cemented stem in these types of femurs. This is particularly often applicable in traumatic pathologies (femoral neck fracture).
There are specific femur morphotypes, such as coxa valga with preservation of the iliofemoral line and coxa vara with a significant offset, that seem to be very good indications. By contrast, and as previously mentioned, we should express reservations on the use of this type of implant in significant hip dysplasia or when the socket implant needs to be positioned more medially, since reducing the acetabular offset in significant medialisation will be difficult to compensate with a stem that will be positioned in valgus. Rather than being a contraindication, this is a technical constraint that should be taken into account since there remains a real advantage to using a short stem in these often-narrow femurs. This underscores once again the value of preoperative planning.


Finally, there does not appear to be any contraindication to using this type of implant in patients with aseptic necrosis of the femoral head or obesity. In the latter case we must remain cautious, with usage being reliant on good bone quality and close attention being paid to filling, which must be optimal.


Surgical technique: how is it done?
Planning - The intervention begins before the incision, with the preparation. As Franklin said “If you fail to plan, you are planning to fail”. Pre-operative planning is an integral part of the success of the operation, in that it involves assessing the native hip parameters (which should be restored) and anticipating any peri-operative difficulties. This planning means that the precise size of the final stem can be determined, ensuring optimal intramedullary filling, and the correct height of the femoral neck cut can be identified. Under-sizing risks secondary subsidence, especially in somewhat valgus tilted femurs . Stem positioning must follow the calcar rather than the diaphyseal axis, which will enable the femoral offset to be restored. Restoring an optimal overall offset also depends on the depth to which the socket is burred, as this may sometimes need to be compensated for on the femoral side. Finally, it is important to take femoral torsion into account. All this points to the value of 3-dimensional planning systems that take these parameters into account (EOS or CT scan), and are more complete than the conventional practice of sketching on AP radiographs.

Femoral neck cut -The femoral neck cut is made higher than for a straight stem since the stem will rest on the remaining neck segment to find its orientation. The optimal height and orientation are determined in the planning. Peri-operative fluoroscopy is relatively straightforward to carry out in the anterior approach in dorsal decubitus, and may be useful for a surgeon’s first few interventions, since there is always a tendency to cut too vertically and therefore too low, reducing support of the calcar. The femoral neck cut should be made even higher if the patient has a coxa vara morphotype.

Metaphyseal preparation - This starts by opening the femoral shaft using a specific curved rasp, which will guide the passage of the compactors of gradually increasing sizes. This preparation must be done as close as possible to the calcar. If the bone is very dense, a curette may be needed to prepare the calcar if the intention is to position a stem in a varus tilt or for the greater trochanter if a valgus position is the objective. This preparation should not be excessive since the principle of this implant is to compact the metaphyseal bone rather than to remove it. This step should preferably not be carried out before inserting the last compactor due to the risk of destabilising the final implant. If the surgeon is unsure, fluoroscopic guidance may be useful to confirm the positioning of the final compactor and to ensure that the plan has been followed and filling is correct. In any case this is what Loweg recommends. out cas ce que conseille Loweg [19].



Choice of femoral head - Once the final implant is in position, if the head needs to be adapted (to manage stability or length), it is important to remember that changing from a short to a long head will have a different effect depending on whether the implant is positioned in varus or in valgus. Moreover, this must also be considered if changing between a standard and lateralized stem.

It is important to pay attention to all of these points of the planning and technique. While usage of a short stem may seem to be simpler than using a longer stem, in reality it is more demanding and requires a number of factors to be taken into account, with some of the surgeon’s customary practices and landmarks needing adjusting. Furthermore, a recent study reported a greater risk of peri-operative fracture during the learning curve with a new short stem implant, especially in the first 30 patients [20]. However, the learning curve is relatively short and once the first cases are past, femoral preparation presents no particular problems.
Conclusion
Using calcar-guided short stems adheres to the current logic of progress in our practices, which is always committed to tissue preservation and restoration of the patient’s native anatomy, with the goal of optimising post-operative recovery, the final functional outcome and reducing complication rates. These objectives seem to be met by the stem that we describe here, as the positive outcomes from its use are proven today. The philosophy of this type of implant goes beyond the apparent simplicity of implantation, which could (wrongly) be seen as a primary reason for choosing it, especially when used with an anterior approach. There are many advantages in terms of restoring anatomy and bone preservation, to the extent that in some cases use of a short stem may seem to be the only reasonable option. In any case, they can be used for the majority of our patients for whom a cementless implant is possible, but it is important to also know when not to use them, above all when bone quality excludes it. Neither should the surgeon lose sight of certain technical demands, meaning that the learning curve is not insignificant, and that pre-operative planning is absolutely essential. It is in this way that we may hope to get the best out of these implants.
References
1. Husmann et al., « Three-Dimensional Morphology of the Proximal Femur ».
2. Toogood, Skalak, et Cooperman, « Proximal Femoral Anatomy in the Normal Human Population ».
3. Sato et al., « Effect of Femoral Offset and Limb Length Discrepancy on Hip Joint Muscle Strength and Gait Trajectory after Total Hip Arthroplasty ».
4. Snijders, van Erp, et de Gast, « Restoring Femoral Offset and Leg Length; the Potential of a Short Curved Stem in Total Hip Arthroplasty ».
5. Lecerf et al., « Femoral Offset ».
6. Zhang et al., « A Comparison of Short-Stem Prostheses and Conventional Stem Prostheses in Primary Total Hip Arthroplasty ».
7. Goshulak et al., « The Biomechanical Effect of Anteversion and Modular Neck Offset on Stress Shielding for Short-Stem versus Conventional Long-Stem Hip Implants ».
8. Bieger et al., « Biomechanics of a Short Stem ».
9. Karachalios, Palaiochorlidis, et Komnos, « Clinical relevance of bone remodelling around conventional and conservative (short-stem) total hip arthroplasty implants ».
10. Kutzner et al., « Radiographic Alterations in Short-Stem Total Hip Arthroplasty ».
11. Hochreiter et al., « Femoral Bone Remodeling after Short-Stem Total Hip Arthroplasty ».
12. Molli et al., « A Short Tapered Stem Reduces Intraoperative Complications in Primary Total Hip Arthroplasty ».
13. Gkagkalis et al., « Cementless Short-Stem Total Hip Arthroplasty in the Elderly Patient - Is It a Safe Option? »
14. Von Engelhardt et al., « Long-Term Results of an Anatomically Implanted Hip Arthroplasty with a Short Stem Prosthesis (MiniHipTM) ».
15. Kim et Park, « Long-Term Outcomes of Ultra-Short Metaphyseal-Fitting Anatomic Cementless Femoral Stem in Total Hip Arthroplasty With Ceramic-on-Ceramic Articulation for Young Patients ».
16. Hauer et al., « Survival Rate of Short-Stem Hip Prostheses ».
17. Zhen et al., « Primary total hip arthroplasty using a short bone-conserving stem in young adult osteoporotic patients with Dorr type C femoral bone ».
18. Kutzner et al., « Outcome of Extensive Varus and Valgus Stem Alignment in Short-Stem THA ».
19. Loweg et al., « The Learning Curve in Short-Stem THA ».
20. Padilla et al., « The Learning Curve Following Adoption of a Novel Short-Stem Prosthesis in Total Hip Arthroplasty ».