Hydroxyapatite and hip arthroplasty: Lessons learned from 34 years of clinical experience
Background: Hydroxyapatite (HA) coatings have been utilized in cementless total hip arthroplasty for over three decades to enhance biological fixation. Despite established clinical success, HA faces contemporary competition from ultra-porous surfaces and additive manufacturing technologies, necessitating a long-term evaluation of its efficacy and role in modern orthopedics.
Objective: This review aims to evaluate the experimental, histological, and clinical performance of HA coatings over a 30-year period, specifically analyzing long-term outcomes in young, active patients and assessing the transition toward ultra-porous materials.
Key Points: Histological data confirm that HA promotes osteoconduction and secondary biological fixation, creating a stable bone-implant interface without fibrous tissue interposition. In a prospective series of 273 primary implants in patients aged ≤50 years, the 29-year cumulative survival rate was 95.4% for femoral aseptic loosening. Radiographic analysis demonstrated confirmed bone ingrowth in 97.26% of cases at follow-up exceeding 20 years. While plasma-sprayed HA remains the standard for femoral stems, electrochemical deposition offers advantages for complex geometries. Emerging ultra-porous structures and 3D-printed titanium components show promise for acetabular revisions by facilitating bone ingrowth rather than just ongrowth, though long-term data are currently limited compared to HA.
Conclusion: HA coatings provide durable, long-term biological fixation and excellent clinical outcomes in high-demand patients. While newer ultra-porous technologies offer specialized advantages for complex reconstructions and acetabular revisions, HA remains a highly effective and reliable adjuvant for primary cementless hip arthroplasty.
Introduction
Once described as ‘the third way’ between cemented implants and simple roughened surfaces, hydroxyapatite has built up an impressive clinical reputation over the past three decades compared to so-called ‘biological’ methods of fixation but is now facing competition from newer rough and even ‘ultra-rough’ surfaces thanks to particularly promising advances in additive manufacturing processes involving 3D printing.
Having now passed the 30-year-mark of clinical experience with these hydroxyapatite (HA) coatings for hip replacements, we felt the need to conduct a comprehensive review of this method of fixation based on experimental, histological and paraclinical data gathered from what is already a long track record, addressing the usual arguments and controversies often discussed during our scientific meetings and conferences. This article tackles the fundamental issue of whether clinical outcomes are long lasting, using a series of 273 primary implants with a clinical follow-up of 20–34 years in young and active subjects aged 50 or under. The final chapter discusses the future of bioactive coatings in the form of new so-called ‘ultra-porous’ materials and their potential role for fixing hip implants in the future.
1. The benefits of hydroxyapatite
Calcium hydroxyapatite, or just hydroxyapatite (HA) is a calcium phosphate compound. As a coating for joint replacements, the calcium phosphate family was for many years seen as a temporary solution, at a time when ‘cementless’ implants, both smooth and porous-coated, had a somewhat bad reputation.
This family of compounds is known for its ability to release their ions from the coating at varying speeds, and the resulting ‘oversaturation’ of calcium and phosphate ions adjacent to the implant accelerates bioactivity, prompts real osteoconduction and results in biological fixation of the underlying metal substrate. However, the faster the resorption and the greater the bioactivity, the earlier the coating disintegrates, meaning that the biological fixation does not begin soon enough to take over from the mechanical fixation of the implant. The quest for the perfect compromise has prompted trials with a number of variations in the composition of these calcium phosphate coatings.
Alongside HA, we therefore saw attempts to use fluorapatite, a substance containing fluoride ions which demonstrated slower resorption but inferior bioactivity. Later tests involved tricalcium phosphate (TCP), which has excellent bioactivity but resorbs too fast for sustainable fixation, meaning it was ultimately unsuitable as an implant coating. A trial of a mixed HA/TCP combination in the 1990s attempted to exploit the increased bioactivity of TCP at the surface, with an undercoating of HA that then prolonged the effects and provided optimal fixation. However, the complex nature of this ‘sandwich’ coating and the lack of significant gains meant that HA/TCP never managed to supplant HA on its own.
Although HA still enjoys a certain hegemony among calcium phosphate compounds, other coatings are now also being proposed, such as dicalcium phosphate dihydrate (DCPD), also known as brushite. This form of calcium phosphate is different from HA as it resorbs much faster, in the space of a few weeks. The brushite is usually applied over a coating of pure titanium deposited using plasma spraying. The advantage of this accelerated resorption is an increase in local bioactivity and osteoconduction thanks to the faster and greater local release of phosphate and calcium ions, which has the potential to accelerate secondary biological fixation. Brushite has only been in clinical use for five years, but the mid-term outcomes appear promising.
Whatever the case, the performance of a ‘cementless’ interface is not derived solely from its components; both the type and roughness of the underlying metal substrate must also be taken into account, as well as the deposition method used to apply the coating. Calcium phosphate coatings are typically applied using a ‘hot’ deposition process of vacuum or low-pressure plasma spraying, but other options are possible especially electrochemical deposition, which is used for periapatite (standard calcium hydroxyapatite) and DCPD (brushite). These deposition methods create other properties that are useful for certain indications and are an interesting alternative to traditional plasma-sprayed coatings.
2. Hydroxyapatite: 30 years of clinical experience
Calcium hydroxyapatite stood out as the front-runner in the 'bio-conductive’ interface race right from the first studies by Osborne and Furlong in 1981 based on histological data [1–5], animal experiments [6] and various clinical series [7] which confirmed the reality of close-knit osteoapposition between bone and implant. This is thanks to the osteoconductive properties of the calcium phosphate compound and the optimal balance between the coating’s bioactivity and stability. Sitting halfway between ‘traditional’ fixation with acrylic cement and ‘cementless’ systems using a porous metal, we first raised the concept of HA as ‘the third way’ back in 1994, in the SoFCOT monograph.[8]
This was the first European publication about hydroxyapatite based on scientific data.[9]
Now with over three decades of experience under our belts since the early 80s, it is evident that the ‘biological’ interface provided by an HA coating has earned its rightful place in our arsenal of implant fixation methods. However, it has not escaped controversy.
- Many arguments can still be heard concerning the exact role of HA in the mechanism of bone formation in contact with the metal of the femoral or acetabular component.
- Others debate the place of these HA interfaces within the other ‘families’ of cementless implants currently available.
- Finally, given the advances in technology in recent years, there is uncertainty as to the future compatibility of HA coatings with new surface states offered by additive manufacturing processes.
2.1. Does HA offer effective 'biological’ fixation?
Represents HA a simple 'starter’ for osteoconduction or a determining factor of long-term fixation? A quick check of the national implant registers, whether for Scandinavia, Australia (AOA) or England and Wales (NJR), reveals that the generic term ‘cementless’ is still the most common way of describing both implants coated with HA and those made of porous metal. The role of this calcium phosphate coating is therefore still generally poorly defined, and over the years it has still not managed to carve out its own 'separate’ family. Nevertheless, it offers its own specific type of bone fixation known as ‘biological’ fixation, which takes over from the mechanical fixation achieved during surgery thanks to bioactive adhesion of the bone to the substrate, made possible by the osteoconductive properties of the hydroxyapatite.
Numerous histology studies [2–5] have provided evidence of this close-knit bone adhesion to the HA coating, with an absence of any fibrous neoformation between the bone and metal implant. These experimental studies have been confirmed by canine studies comparing coated and uncoated implants, published by Geesink [6].
The first implants in humans took place in 1985, and in 1994, SoFCOT produced a monograph based on international data from both clinical and experimental settings [9]. A more recent publication from 2004 [10] provided an overview of 15 years’ clinical experience with HA coatings from around the world. All authors reported the same excellent outcomes, for both primary surgery and revisions, with a 17-year survival rate for HA-coated stems of 99.2% in one personal series [11], which is echoed by other similar series quoting a 99.5% survival rate at 18 years; the survival rate of a porous-coated Zweymüller implant is slightly less favourable, at 98% after 15 years [11].
How does HA differ from porous-coated metal?
This question is key to understanding whether HA merely serves as a ‘starter’ for bone apposition. Numerous authors have in fact reported excellent outcomes with modern cementless implants that have no calcium phosphate coating [12–15]. The respective benefits of these two options can be determined by looking at two specific parameters from the literature, namely the quantity and quality of bone remodelling, and the tendency for implant migration, tilt or subsidence.
Søballe et al. [16] were particularly interested in the fixation of implants coated with porous metal vs. HA, and the specific behaviour of each type in cases of implant instability. In ‘high-risk’ situations (gap between bone and implant; early and continuous weight-bearing), histology data and mechanical test results both reveal the superiority of HA-coated implants over porous-coated implants. Coathup et al. [17] compared the bone remodelling around three types of interfaces (HA, porous metal and corundum), using post-mortem femoral stem explants; both bone formation (p=0.012) and bone adhesion (p<0.05) were significantly better with the HA coating than porous metal. In addition, the new bone growth was more extensive and enveloped the whole of the HA coating. The authors conclude that HA significantly increases both the volume of new-formed bone in contact with the metal and bone adhesion, whilst guaranteeing better distribution of the new bone across the whole implant surface. These findings could have major implications, such as a reduction in stress shielding and better prevention of osteolysis due to the migration of polyethylene debris.
Comparing migration between HA and non-HA implants: A prospective, randomized EBRA-FCA study [18] of stem migration concluded that the cementless fixation of two stems of the same design, with and without HA coating, was superior at 10 years for stems with an HA coating. Similarly, Donnelly et al. [19] used radiography studies and found less migration and fewer radiolucent lines for HA vs. porous metal implants. In two prospective randomized RSA studies Kärrholm et al. [20] observed less migration with HA implants compared to porous metal and Søballe et al. [21] recorded better functional scores and less migration with HA stems.
The clinical outcomes for ‘cementless’ stems both with and without HA are generally described as excellent. Although no formal evidence of superiority between the two versions can be identified [22–23], there is no doubt that the efficacy of HA coatings has been proven in all cases, including when the mechanical implant stability achieved during surgery was not optimal. The same cannot be said for porous metal coated implants alone, meaning that HA coatings are not merely a starter for bone conduction, rather a long-term adjuvant of biological fixation.
The future of hydroxyapatite coatings
In the 1990s many authors [24–25] were unsure about the future of HA coatings, and raised two particular questions:
- How does the resorption of HA over time affect implant stability?
- Could the release of HA particles cause third-body wear?
When implanted, an HA-coated component creates an oversaturation of calcium which in turn triggers the gradual transformation of this synthetic HA coating into the same physiological bicarbonate-containing hydroxyapatite as human bone. Thomas Bauer [2], Alphons Tonino [3] and numerous others have shown that HA gets resorbed during the osteoblast-osteoclast bone remodelling cycle and is gradually replaced with newly formed bone, especially in the parts of the implants subjected to compression and tension. This remodelling and long-lasting fixation therefore require a metal substrate such as titanium, which beneath the HA coating offers a suitable geometry and roughness. New bone forms from the native bone stock and gradually replaces the HA over the years, producing a firm, close-knit and durable bone-implant bond, sometimes known as ‘tertiary fixation’; primary fixation means the mechanical stability achieved immediately during surgery, secondary fixation is the initial biological stability, which begins after two weeks and can take up to six months to fully establish, and tertiary fixation is then the final status comprising direct growth of the new bone into the micro- and macrostructures of the implant. This has been confirmed by long-term clinical studies. Fig.1

During the bone remodelling process, and because HA, thanks to its calcium phosphate structure, is in fact a biological component of normal bone, the coating has never been linked to any inflammatory response that could lead to osteolysis. No scientific study has yet revealed any problems caused by debris from HA coatings, in normal fixation conditions and where the HA coating complies with official guidelines for the preparation and vacuum plasma spraying of the powder. Three whole decades of using HA have therefore produced no evidence of problems caused by this type of coating, which bodes well for the future, even in the very long term.
2.2 Hydroxyapatite: type, location, method and choice of substrate
It may come as a surprise that after three decades, the initial ‘official ‘composition of HA has remained exactly the same: hot deposition using vacuum plasma spraying of a powder with crystallinity > 75%, purity > 90%, Ca/P ratio 10/6, porosity < 10%, approximate particle size 20µ and coating thickness 60–150µ.
The disadvantage of plasma spraying remains the unevenness of the coating, which is thicker in hollows and thinner on peaks. This means that although HA when applied using a thermal deposition method works remarkably well on even surfaces, preferably cylindrical in shape (because the component to be coated rotates under the spray), this is not the case for uneven surfaces which do not lend themselves well to the unidirectional spray of plasma. This is especially true for knee implants which have greatly benefited from new cold deposition technologies such as electrolysis, a method used in particular for periapatite in the 2000s involving the electrolytic recombination of calcium and phosphate ions into HA precipitates. The coating is more fragile, but it comes with significant advantages. The deposition is multidirectional, whereby the coating is applied in thin layers about 20 microns thick, guaranteeing even coverage right to the bottom of the smallest crevices, even on porous structures with complex implant geometry. This is possible because the HA is 100% pure, removing any risk of impurities. These cases are therefore compatible with genuine bone ‘ingrowth’ and not just bone ‘ongrowth’. If the substrate has any macrostructures, this type of coating is the logical solution. As for the use of osteo-inductive proteins, this is an area of research that has yet to bear fruit, but as with the addition of antibiotics, it could be technically feasible.
Coating coverage
There has been widespread debate about this issue, which was further examined at a round table during an orthopaedic event in Fort-de-France, which has been covered extensively by Maîtrise Orthopédique [26]. In fact, the problem differs depending on whether it concerns the femoral or acetabular components.
For the cup, there is consensus as to the benefits of total coverage over the entire surface in contact with the host bone, whether a purely press-fit cup or with the use of additional fixation (e.g. pins, screws).
When it comes to stems, however, the divide has for a long time been between fully-coated stems vs. stems coated only on their proximal section. Advocates of the former option prefer the fixation to be as extensive as possible, whereas proponents of the ‘proximal’ option insist on better stress transfer into the metaphysis and the possibility of distal fixation causing uneven load transfer, which can lead to stress shielding and proximal bone loss.
In theory, the extent of the HA coating should be dictated by the shape of the implant, the aim being to obtain mainly metaphyseal fixation and ensure primary stability and bone growth during the first six weeks. The concept of primary then secondary elective fixation at the proximal third of femur is supported by the quality of bone remodelling at 10 years as well as by dual photon absorptiometry studies.
There are concerns as to whether fully-coated stems result in fixation occurring primarily around the diaphysis, and the possibility of stress transfer from the metaphysis to the diaphysis. A number of densitometry studies have been carried out, but the results are open to debate as they are often inconsistent. However, since 1986 the Artro Group has preferred fully-coated components in order to achieve rapid and total osteointegration of the stem, and since 1990 densitometry studies have revealed persistent remodelling around the implant with limited resorption of the bone stock.
Whatever the case, the proximal coating absolutely must surround the entire circumference in order to prevent any migration of polyethylene or other debris and any resulting distal osteolysis. This close-knit adhesion of bone to metal creates a seal or ‘barrier effect’, with no intervening fibrosis layer that could create a bridge for particles to migrate towards the mid-diaphysis of the femur.
Importance of the substrate
Ensuring that the metal substrate can provide a 'surface effect’ before the HA coating is applied is absolutely essential, for two reasons:
- First, to ensure the very best mechanical bond between substrate and HA coating, so that any stresses tugging on the coating during and after the surgery do not cause it to detach
- Second, to provide a reliable mechanical foundation once the HA coating gets replaced by new-formed bone, which needs to be supported by a sufficiently rough substrate to allow ‘tertiary biological’ fixation.
Historically, the question has been worded differently for the cup and stem, due to the fundamental differences in stress distribution, geometry and host bone.
The first attempts involving a purely press-fit implantation for HA-coated cups and no screws on a simply corundum-blasted substrate were disastrous, as reported by American series in the 1990s [27], to the point that people decided that ‘HA does not work for cups’. On the other hand, HA cups with additional threads and screws, or pre-stressed then given a rougher surface, have proved highly successful, just like smooth screwed cups which began producing positive outcomes once the substrate had been made suitably rough.
Because the cups are subjected to greater compression at the interface with an acetabulum with an ‘open’ and initially elastic geometry, they therefore need a very rough substrate and bioconductive metal such as titanium or tantalum.
Not so clear-cut for the femur:
No-one denies that the greater the contact surface, the better the fixation, but what are the disadvantages of these 3D macrostructures, in terms of the macrostructure itself and any resulting extraction difficulties?
For many decades, femoral fixation has required a microstructure such as sand-blasted titanium, allowing for rapid and long-lasting bone adhesion in the form of simple bone ongrowth. Indeed, the stresses on the femur make it possible to do without any 3D macrostructures, provided that the stem geometry allows for good rotational stability following resorption of the HA. By combining this bone adhesion with embossed surfaces incorporated into the stem geometry, the bone growth onto these additional protrusions (grooves, scales etc.) provides long-term mechanical stability. Resorption of the coating is therefore compatible with mechanically effective bone fixation direct to the metal.
A simple surface microstructure means an easy ‘escape route’ in case of revision (sand-blasting, surface roughness, microstructure), provided that any additional protrusions are designed to not hamper implant extraction.
A macrostructure is not in principle needed with an HA coating, especially insofar as 3D bone ingrowth can create difficulties during extraction in the event of surgical revision and does not improve long-term implant stability.
The current trend from the USA is for macrostructures on proximally HA-coated stems, and fears of thigh pain caused by micro-peaks in stresses around these macrostructures appear unfounded but will obviously require long-term confirmation.
2.3. Very long-term clinical outcomes for young active subjects
Now that the 30-year anniversary has come and gone, this would appear a suitable time to offer a long-term evaluation of these HA stems based on a continuous prospective series with maximum 34 years follow-up, for our hydroxyapatite-coated stems in primary surgery. This study focuses on younger patients, aged less than 50 at the time of surgery, because not only do these patients have greater functional requirements, but their life expectancy means a very long-term follow-up is possible.
The clinical series
Our clinical study was conducted on a continuous prospective homogeneous non-selective series with implants performed by a single surgeon (JAE) at the same institution (Clinique Médico-Chirurgicale, in Bruay-La-Buissière, France) using the same surgical procedure and a Langenbeck posterolateral approach. The implant criteria were not dependent on age, sex or aetiology, solely on the possibility of obtaining primary interoperative mechanical stability, which was achieved in all cases.
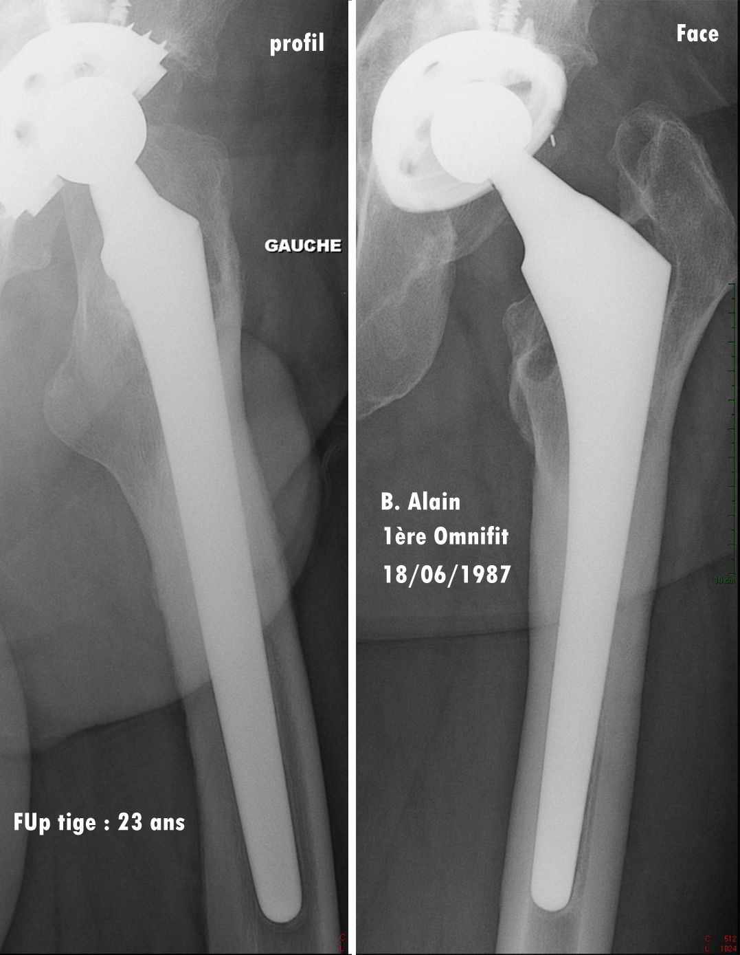
The minimum follow-up for the study was 20 years, and it encompasses two families of proximally HA-coated stems, first the Omnifit HA, which was used between 1987 and 2000, followed by the ABG II from 2001 onwards. Both models are made from titanium alloy coated with a thin layer of hydroxyapatite (60 microns) on their proximal third to provide a ‘metaphyseal-engaging’ design. As counterpart to the stem, the acetabular component used until 2007 was the Arc 2F HA-coated screwed cup comprising a standard PE insert until 1998 then a ceramic-on-ceramic cup in 1999 and 2000, replaced with a highly crosslinked PE insert in 2001.
Based on a total personal series of 4241 HA hip replacements, the series selected for this analysis of very-long term outcomes in young subjects comprised 273 primary hip arthroplasties in 221 patients, mostly male (n=145; 65% of patients) with an aetiology dominated by idiopathic osteonecrosis of the femoral head (n=147; 54% of hips), followed by primary osteoarthritis (n=109; 40%), and an average age of 42.03 years (18–15; SD 6.57).
The average time to clinical revision was 21.66 years (20–31; SD 1.64). At first follow-up, thanks to the ‘longitudinal’ monitoring facilities of our Research Centre, only five patients had been lost to follow-up, compared to 216 implants (79.12%) still in place. Death from intercurrent causes affected 23 patients (8.42%).
Failures and complications
Implant failures without aseptic loosening were dominated by a large number of implant dislocations due to the particular design of the first stem design used in the series, which had a large proximal section acting as a buffer against the soft tissues and adjacent bone. This particular design led to a large number of recurring dislocations (9 hips, 2%) which were easier to treat by replacing the cup with a dual mobility design rather than replace the perfectly fixed stem. These revisions were naturally recorded as implant failures but did not fall under the heading of HA fixation failures.
Implant failures due to aseptic loosening affected either the stem or cup, insofar as we did not observe any complete loosening of both cup and stem, and all revisions in this series were partial revisions of just one component. Three hips (0.67%) underwent femoral revisions of the proximally HA-coated stem, in all cases due to pain without any evident radiological loosening and without any stem migration/subsidence. These painful stems were however classified as equivalent to loosening.
Clinical outcomes
Let us lay to rest once and for all the misconception that ‘cementless stems cause thigh pain’. There was not a single case of such thigh pain in our series, or in any of the other series of HA-coated stems whose geometry allows for good mechanical fixation. The only three cases of ‘thigh pain’ reported in our series (0.7%) were due to poor fixation, especially in rotation. More specifically, the pain was due to (i) an undersized component in a heavy and hyperactive patient; (ii) an obese patient implanted with a stem with insufficient rotatory stability; and (iii) a particular morphological feature known as a ‘stove-pipe’ femoral canal for which a fully coated stem would have been the better indication.
The Harris Hip Scores (HHS) [28] for this series were 40.07/100 (21–67; SD 10.35) at baseline vs. 99.39/100 (86–100; SD 2.5) at 10 years, then 99.83 (97–100; SD 0.71) at 20 years and finally 99.44/100 at last follow-up (88–100; SD 3.02). Over the years there was therefore no deterioration in clinical outcomes, with an overall average HHS score of over 99 points for all cohorts. Likewise for PMA, with a total score of 8.15/18 (3–16; SD 2.02) at baseline and 17.75/18 (11–18; SD 0.89) at last follow-up, with an 89.5% rate according to the Forgotten Joint Score.
Radiology outcomes
Over the years, the most salient feature remains the almost complete absence of any changes in the femoral region (Fig. 2). At last follow-up, with a total average score of 20.22/27 points (9–27; SD 4.93), neither of the two stem designs could be described as ‘unstable’ or ‘fibrous stable’ based on the Engh & Massin classification [29]. Using their criteria, bone growth was ‘suspected’ for 2.74% of cases and ‘confirmed’ for 97.26% of all cases at all follow-ups post 20 years. For the ARA prognostic score (femur), at last follow-up the average score was 5.03/6 and 43.3% of cases were rated 'excellent’ or ‘good’ compared to only 3.2% with a ‘poor’ or ‘bad’ prognosis [30].

Overall, these proximally HA-coated stems demonstrated excellent osteoapposition, optimal radiological fixation with bone growth in all cases, and no deterioration in outcomes even after 20 years. (Figs. 3, 4 & 5).



Survival curves
For this study the choice of cohort was limited to the femoral component, and the endpoints were all-cause removal, femoral implant failure and femoral aseptic loosening resulting in revision of either the femoral component alone or the entire joint. This latter endpoint of femoral aseptic loosening demonstrates the benefits of the hydroxyapatite option.
According to a Kaplan-Meier curve [31], cumulative survival of these proximally HA-coated stems at 29.35 years was, for each of these respective endpoints:
- 78.5% (0.723–0.953; SD: 0.033) for all-cause removals (stem and acetabulum)
- 81.1% (0.751–0.876; SD: 0.032) for implant-based failures (all causes)
- 95.4% (0.901–1; SD: 0.028) for femoral aseptic loosening.
Very long-term clinical outcomes for young active subjects
The results of this series raise two questions. First, what outcomes were achieved with the proximal HA-coating option in this population of under 50s? Second, can the clinical and radiological outcomes obtained for these young patients be considered stable in the long-term, after 20 years of clinical follow-up?
Whatever the timescale, these proximally HA-coated stems produced excellent results, even in this ‘high-risk’ population, and the outcomes were long-lasting, with no deterioration over the years, even in the very long-term after 2–3 decades. These excellent clinical outcomes are corroborated by the radiological study, which confirms bone growth in all cases for the two types of stem studied, confirming previous publications [10] and without any deterioration over time.
3. From hydroxyapatite to ‘ultra-porous’ coatings
3.1. New horizons: ‘ultra-porous’ coatings
Common features of these new coatings
New technologies and the promise of ‘ultra-porous’ coatings have ushered in a new age of bio-conductive interfaces. The general idea is to reproduce a structure identical to the host bone around a metal substrate that itself is a bioconductor, such as titanium or tantalum, which in terms of bone adhesion should trigger a shift from ‘ongrowth’ to ‘ingrowth’ [32].
The industrial process is virtually the same for all these ultra-porous components, namely the creation of a trabecular structure with metal deposited on the surface. Polyurethane foam, reticulated bioglass or another organic substance can provide a trabecular framework for the metal coating applied using either a plasma spray (sintering, or high temperature bonding) or an electrochemical process (low temperature arc vapour deposition). (Fig. 6)

Animal histology studies have demonstrated a tendency for rapid infiltration of these cellular elements with very short osteointegration times and early effective mechanical bone adhesion.
Additive manufacturing processes
3D printers are already used in numerous sectors and have prompted a genuine industrial revolution, including for orthopaedic surgery. They use an additive manufacturing process whereby matter is welded together using an energy source such as laser or electron beam, the primary benefit of which is the ability to manufacture components directly from CAD data without the need for tooling.
The first indications in orthopaedics were mainly plastic patient-specific cutting guides, ancillary instruments and prototypes, or even implants for the reconstruction of major bone defects. A few years ago, these additive manufacturing processes then found a new use, namely the creation of implants, especially acetabular components, thanks to the ability to reproduce the exact acetabular structure in one single piece from titanium powder. These implants can now be used for primary surgery (e.g. Adler, Stryker) and are highly likely to represent the future of ingrowth surfaces for joint implants.
However, it is important not to forget the regulatory restrictions on this type of implant, which must comply with all design rules and standards for implantable materials, have their industrial manufacturing performance optimised, and undergo extensive standardisation ahead of distribution [33].
Although additive manufacturing may appear to provide the solution for the implants of tomorrow, or maybe further in the future, for the time being this process is only suitable for acetabular cups and the tibial baseplates of knee replacements, but not for femoral stems. In fact, not only is the mechanical resistance of 3D printed components low compared to traditional forged implants, and incompatible with the massive stresses placed on femoral stems, but their manufacturing cost remains high and a barrier to the production of 3D printed femoral stems.
3.2. Benefits provided by ultra-porous structures
There is not yet any easy way to prove the superiority of one ultra-porous coating over another, based on clinical results. Average follow-up is less than six years for nearly all implants in this category, apart from trabecular metal designs, and all authors insist on the need for long-term multi-centre studies.
The focus therefore is on their indications for surgical practice. In other words, is ‘ingrowth’ necessary in every single case, or can we be content with ‘ongrowth’? The superiority of these ultra-porous coatings in primary surgery has not been proven, not only in terms of clinical outcomes but also based on RSA [34]. However, as regards bone defects especially during acetabular revisions, the use of these cups does appear warranted.
But the non-negligible cost of these new ultra-porous interfaces compared to traditional calcium phosphate coatings still needs to be justified, bearing in mind the potential major benefits of ‘additive’ manufacturing for 3D-printed implants.
Furthermore, and insofar as hydroxyapatite is the focus of this article, it should be noted that the addition of an HA coating (using traditional plasma-spraying methods) is not in principle indicated in combination with these ultra-porous materials because it can block the surface pores and therefore delay osteoconduction. The only potentially viable method could be electrochemical deposition in an ultra-thin layer, closely following the textured surface of the metal structure, but the clinical benefits have not yet been proven and there is therefore no justification for the significantly higher production costs.
Conclusion
It has been said before and will be said again, hydroxyapatite is no fairy dust. A perfect coating on a poor-quality implant, or poorly-fixed implant, may still fail, which holds true irrespective of the type of cementless coating. Nevertheless, within this triad (interface - geometry - implantation), hydroxyapatite has proven truly effective in terms of osteoconduction and bioactivity.
Choosing hydroxyapatite over cement is often a question of training and personal choice. Both options give excellent long-term results. However, compared to cementless implants without an HA coating known as ‘porous metal’, there are clear advantages of hydroxyapatite which is able to bridge larger gaps, including spaces between metal and bone, and allows for immediate weight-bearing [16]. In addition, hydroxyapatite results in secondary ossification of initially fibrous regions, including in motion, as shown in the work by Søballe and since confirmed by radiographic studies. The prevention of distal femoral osteolysis and respect for the bone stock are yet more arguments in its favour.
True, some porous titanium implants are able to bind lastingly to bone without HA, especially in primary surgery and around the acetabulum, where the quality of mechanical fixation in opposition to a suitably rough surface overcomes the characteristics of the interface. Nevertheless, too much is better than not enough and insofar as hydroxyapatite has never been held responsible for any secondary problems whatsoever, it can always be considered as a beneficial and useful adjuvant. Naturally, it is impossible to say whether, in terms of achieving successful bone growth, it acts as a simple starter or a deciding factor, because no-one can predict the future behaviour of the host bone. Whatever the case, with over 30 years of highly positive clinical outcomes, the benefits of these now veteran hydroxyapatite coatings are clear to see.
At the same time, the new possibilities offered by ‘ultra-porous’ substrates have therefore opened up new and particularly interesting avenues especially for acetabular revision surgery. Long-term clinical studies as well as medical and financial demands will ultimately determine the fate of these new three-dimensional structures, especially for surgical revisions. Likewise, new additive manufacturing technologies are without doubt a particularly attractive industrial innovation, subject to meeting regulatory requirements and standards for implantable human medical devices.
References
1. Geesink RGT. Osteoconductive coatings for total joint arthroplasty. Clin Orthop. 2002;395: 53-65.
2. Bauer TW, Geesink RGT, Zimmerman R, McMahon JT. Hydroxyapatite-coated femoral stems. Histological analysis of components retrieved at autopsy. J Bone Joint Surg Am. 1991;73(10): 1439-52.
3. Tonino AJ, Therin M, Doyle C. HA-coated femoral stems. Histology and histomorphometry around five components retrieved at post mortem. J Bone Joint Surg Br. 1999;81: 148-154.
4. Hardy DCR, Frayssinet P, Guilhem A, LaFontaine MA, DeLince PE. Bonding of hydroxyapatite-coated prostheses. Histopathology of specimens from four cases.
J Bone Joint Surg Br. 1991;73(5): 732-40.
5. Geesink RG, de Groot K, Klein CP. Chemical implant fixation using hydroxyl-apatite coatings. The development of a human total hip prosthesis for chemical fixation to bone using hydroxyl-apatite coatings on titanium substrates. Clin Orthop Relat Res. 1987 Dec;(225):147-70.
6. Geesink RG1, de Groot K, Klein CP. Bonding of bone to apatite-coated implants.; J Bone Joint Surg Br. 1988 Jan;70(1):17-22
7. Geesink, R.G.T. and Manley, M.T eds., Hydroxylapatite Coatings in Orthopaedic Surgery, Editors. Raven Press: New York. p. 1-24, 1993.
8. Epinette, JA; “HA: la troisième voie” in Hydroxyapatite et Prothèses Articulaires (HA coated Implants): Cahiers d’Enseignement de la SOFCOT - 1994, n° 50, Paris, Elsevier Publisher, VII-VIII : ISBN 2-7046-1458-X
9. Epinette JA, Geesink RGT ; Hydroxyapatite et Prothèses Articulaires – coordonné par Epinette JA et Geesink RGT - Cahiers d’Enseignement de la SOFCOT 1994, n° 50, Paris, Elsevier Publisher. ISBN 2-7046-1458-X
10. Epinette JA, Manley, MT; Fifteen Years of Clinical Experience with Hydroxyapatite Coatings in Joint Arthroplasty: Edited by Jean-Alain Epinette and Michael T. Manley; Springer-Verlag 2004: ISBN: 2-287- 00508-0.
11. Epinette JA, Manley MT. Uncemented stems in hip replacement--hydroxyapatite or plain porous: does it matter? Based on a prospective study of HA Omnifit stems at 15-years minimum follow-up. Hip Int. 2008 Apr-Jun;18(2):69-74
12. Grübl A, Chiari C, Gruber M, Kaider A, Gottsauner-Wolf F. - Cementless total hip arthroplasty with a tapered, rectangular titanium stem and a threaded cup: a minimum ten-year follow-up. - J Bone Joint Surg Am. 2002 Mar;84-A(3):425-31.
13. Grübl A, Chiari C, Giurea A, Gruber M, Kaider A, Marker M, Zehetgruber H, Gottsauner-Wolf F. - Cementless total hip arthroplasty with the rectangular titanium Zweymuller stem. A concise follow-up, at a minimum of fifteen years, of a previous report. - J Bone Joint Surg Am. 2006 Oct;88(10):2210-5.
14. Engh CA, Hopper RH Jr. - The odyssey of porous-coated fixation. - J Arthroplasty. 2002 Jun;17(4 Suppl 1):102-7.
15. Engh CA Jr, Hopper RH Jr, Engh CA Sr. - Distal ingrowth components. - Clin Orthop Relat Res. 2004 Mar;(420):135-41.
16. Søballe K,, Hansen ES, Rasmussen HB and Bünger C - Fixation of Porous Coated versus HA Coated Implants - In Cahiers d’Enseignement de la SOFCOT: «Hydroxyapatite Coated Hip and Knee Arthroplasty» - 1995, n° 51, p 71-84 - Paris, Expansion Scientifique Française Ed. (English Volume) ISBN 2-7046-1470-9
17. Coathup MJ, Blunn GW, Flynn N, Williams C, Thomas NP. A comparison of bone remodelling around hydroxyapatite-coated, porous-coated and grit-blasted hip replacements retrieved at post-mortem. J Bone Joint Surg Br. 2001 Jan;83(1):118-23.
18. Hamadouche M, Witvoet J, Porcher R, Meunier A, Sedel L, Nizard R. Hydroxyapatite-coated versus grit-blasted femoral stems. A prospective, randomised study using EBRA-FCA. J Bone Joint Surg - Br, Vol 83-B, Issue 7, 979-987.
19. Donnelly WJ, Kobayashi A, Freeman MA, et al. Radiological and survival comparison of four methods of fixation of a proximal femoral stem. J Bone Joint Surg (Br) 1997;79-B:351-60.
20. Kärrholm J, Herberts P, Hultmark P, et al. Radiostereometry of hip prostheses: review of methodology and clinical results. Clin Orthop 1997;344:94-110
21. Søballe K, Toksvig-Larsen S, Gelineck J, et al. Migration of hydroxyapatite coated femoral stems: a roentgen stereophotogrammetric study. J Bone Joint Surg (Br)1993;75-B:681-7.
22. Lombardi AV Jr, Berend KR, Mallory TH. Hydroxyapatite-coated titanium porous plasma spray tapered stem: experience at 15 to 18 years. Clin Orthop Relat Res. 2006 Dec;453:81-5.
23. Rorabeck CH; Tapered hydroxyapatite-coated press-fit stems: any added value? J Arthroplasty. 2006 Jun;21(4 Suppl 1):85-8.
24. Bloebaum RD, Merrell M, Gustke K, Simmons M. Retrieval analysis of a hydroxyapatite-coated hip prosthesis. Clin Orthop. 1991;267: 97-102.
25. Bloebaum RD, Zou L, Bachus KN, Shea KG, Hofmann AA, Dunn HK. Analysis of particles in acetabular components from patients with osteolysis. Clin Orthop Relat Res. 1997 May;(338):109-18.
26. Epinette JA, Fort de France 2006 : table ronde PTH sans ciment - L’hydroxyapatite : déjà 20 ans!; in Maîtrise Orthopédique, 157, Oct 2006
27. D’Antonio JA, Capello, WN ; Prothèses de hanche à revêtement d’hydroxyapatite : étude multicentrique nord-américaine, in ” in Hydroxyapatite et Prothèses Articulaires (HA coated Implants): Cahiers d’Enseignement de la SOFCOT - 1994, n° 50, Paris, Elsevier Publisher, 230-40 : ISBN 2-7046-1458-X
28. Harris W.H. Traumatic Arthritis of the Hip after Dislocation and Acetabular Fractures: Treatment by Mold Arthroplasty: An End-Result Study using a New Method of Result Evaluation – JBJS (Am) 51-A; 737-755, 1969
29. Engh C.A., Massin P., Suthers K.E. : Roentgenographic assessment of the biologic fixation of porous-surfaced femoral components. Clinical Orthopaedics, 1990 ; 257 : 107-127.
30. Epinette JA, Geesink RGT : «Etude radiographique des prothèses non cimentées; proposition d’un nouveau système d’évaluation, le score ARA»; in Hydroxyapatite et Prothèses Articulaires - Cahiers d’Enseignement de la SOFCOT - 1994, n° 50, 107-119
31. Kaplan EL, Meier P – Non parametric estimation from incomplete observations – J Am Stat Assoc 457-481, 1958
32. Pulido L, Rachala SR, Cabanela ME.; Cementless acetabular revision: past, present, and future. Revision total hip arthroplasty: the acetabular side using cementless implants.; Int Orthop. 2011 Feb;35(2):289-98.
33. Anderson PA, Giori NJ, Lavernia CJ, Villa JM, Greenwald AS. Update on Biomaterials. Instr Course Lect. 2016;65:449-65
34. Naudie DD, Somerville L, Korczak A, Yuan X, McCalden RW, Holdsworth D, Bourne RB. A randomized trial comparing acetabular component fixation of two porous ingrowth surfaces using RSA; J Arthroplasty. 2013 Sep;28(8 Suppl):48-52