Revision total hip arthroplasty: Cementless stems with bioactive coatings
Background: Revision total hip arthroplasty (THA) requires achieving primary stability to facilitate bone defect restoration and osseointegration. While various implant designs exist, the optimal strategy for managing femoral bone loss—ranging from standard stems to modular distal-locking devices—remains a subject of clinical discussion, particularly regarding the long-term efficacy of hydroxyapatite (HA) coatings in revision settings.
Objective: This article aims to delineate the surgical techniques and indications for cementless HA-coated stems in revision THA and to evaluate clinical and radiographic outcomes at a minimum follow-up of five years.
Key Points: Successful reconstruction relies on immediate axial and rotational stability through intimate host-bone contact. The surgical strategy utilizes a graduated approach: standard HA-coated stems for Paprosky types 1 and 2A, longer slotted stems for types 2 and 3A, and modular distal-locking devices for types 3B and 4. In a multicenter study of 347 hips using a long HA-coated monobloc stem, the 10-year Kaplan-Meier survival rate for aseptic stem revision was 99.3%. Radiographic analysis demonstrated significant bone stock restoration and high osseointegration scores (Engh score 16.4 ± 6.7). Complications included deep sepsis, periprosthetic fractures, and rare aseptic loosening. Preoperative planning and precise femoral preparation are essential to ensure adequate diaphyseal filling and prevent subsidence.
Conclusion: Long tapered cementless stems entirely coated with HA provide durable fixation and facilitate biological restoration of femoral bone stock. These implants offer reliable mid- to long-term clinical outcomes for complex femoral revisions across various degrees of bone deficiency.
Introduction
The goals of revision total hip arthroplasty (THA) are to provide lasting stable fixation, to restore function, and to eliminate pain [1, 2]. Furthermore, adequate primary stability must be attained following revision THA, to allow restoration of metaphyseal and/or diaphyseal bone defects, consolidation of any fractures or femorotomies and to ensure osseointegration of the new device [3]. Primary stability will depend on preoperative femoral conditions (granulomas, osteolysis, fracture, implant breakage…), the revision surgery itself (inadvertent perforation, fracture, cortical window, extensive femoral osteotomy…), and the implant selected (long, modular, distal-locking, cementless/cemented…).
Revision stems are generally longer than primary stems [1, 4-6], to maximise the surface area for bone growth and achieve distal fixation in cases with poor proximal bone stock, thereby reducing the risk of aseptic loosening. Hydroxyapatite (HA)-coated stems have been introduced to promote bone osseointegration [7], while distal-locking stems have been introduced to improve immediate fixation, especially in cases with poor proximal bone stock and/or periprosthetic fracture [8]. Although the choice of cementless versus cemented hip implants is still a topic of controversy, cementless stems have increasingly gained acceptance over the past decade for cases of severe bone deficiency, because they can provide firm distal fixation and thereby overcome defects of damaged proximal bone [7].
All these considerations mean that specially designed devices are required to attain primary stability and to find a solution to the individual patient’s needs. Thus, a whole system (Fig. 1) adapted to the different situations encountered in revision surgery is required. On the femoral side, to accomplish the objective of stable implant fixation, we follow a step-by-step strategy, which with appropriate planning and adequate instrumentation and implants can be summarized as “replacing the initial stem by another with fixation as proximal as possible and as distal as necessary” [9]. The purpose of this article is to discuss the uses and surgical techniques of cementless stems for revision THA, and to assess their clinical and radiographic outcomes at a minimum follow-up of 5 years.

Indications and Choice of Implants
Successful femoral reconstruction with a cementless stem requires immediate axial and rotational stability, as well as close contact between the implant and the living host bone to promote osseointegration and definitive fixation. In patients with little to no bone loss (Paprosky types 1 and 2A femurs), our preferred implant is the CORAIL stem (DePuy, Johnson & Johnson, Warsaw, IN), a grit-blasted straight device of quadrangular cross-section entirely plasma-sprayed with a 150-µm layer of pure HA (Fig. 1a). This stem has proved its value in primary hip arthroplasty [10]. In patients with substantial bone loss (Paprosky types 2 and 3A), our preferred implant is the KAR stem (DePuy), especially designed for revision cases. The KAR stem is 25% longer than the CORAIL stem to bridge bone defects or occasional windows, and to provide a greater bioactive area for contact with host bone to facilitate osteointegration [7] (Fig. 1b). However, the KAR stem has the same proximally flared pattern as the CORAIL stem, with the addition of two distal slots in the sagittal and coronal planes to reduce global rigidity and prevent stress risers in the cortex at the tip of the stem. In patients with very severe deficiencies (Paprosky types 3B and 4), our preferred implant is the REEF stem (DePuy), as it provides immediate distal fixation (Fig. 1c). The REEF is a modular device composed of two main elements. The more distal element is metaphyseo-diaphyseal; conical in its proximal part and cylindrical in its diaphyseal part. The proximal zone is 100 mm long, with horizontal macrostructures to increase the contact surface and to prevent subsidence. The distal zone, of variable length, has a slight bow to prevent anterior cortical contact, longitudinal grooves to enhance osseointegration, and several horizontal holes for locking with 5-mm diameter screws. The more proximal element is a metaphyseal component fitted onto the stem with a Morse taper. This neck unit allows the surgeon to fine-tune anteversion within the confines of the existing metaphyseal bone and to restore leg length. In addition, this segment has an optional trochanteric claw that can be fixed to stabilize the greater trochanter and to improve the lever arm of the gluteal muscles if required.

Though aseptic loosening is the most common reason for revision THA (Fig. 2), the indications for revision using HA-coated stems include several other diagnoses as: intertrochanteric fracture with cerclage of the greater trochanter, periprosthetic fracture, tumor resection, extensive osteolysis, and reimplantation in one- or two-stage exchange arthroplasty for the treatment of chronic infection at the site of THA. Implant revision for pain and severe stress shielding has also been discussed by some authors.

Planification préopératoire
Preoperative planning is essential to determine the appropriate size and alignment of the new revision implant and the length of the femoral neck component. For thorough preoperative planning, the surgeon will need a full set of revision implant templates and the following radiographs: an anteroposterior (AP) film of the entire pelvis, and AP and lateral films of the affected femur. Considering the affected femur with its failed implant, successive templates are laid on the AP radiograph of the joint until optimal filling of the medullary canal is achieved and the new stem extends distally beyond damaged femoral bone and at least 2 cortical diameters distal to any osteotomy that is required to remove existing implants. This step determines the type and the size of the implant to be used. Although this is less reliable than in the primary situation, preoperative planning also enables the surgeon to identify any weak zones that will need to be bridged and to assess the quality of diaphyseal filling. Where necessary, the appropriate degree of calcar bone grafting should be established. To ensure equal leg length, the correct level of insertion of the new stem should be determined, taking the calcar height, as well as the greater or the lesser trochanter as reference. If a modular stem seems to be the appropriate implant, templating should assess the combination of components needed to achieve stability of the implant and to restore leg length. The location of eventual interlocking screws is also determined, keeping in mind that a minimum distance of 3 cm is needed between the distal extent of damaged bone and the first locking screw.
Technique chirurgicale
The surgical technique is mainly dependent on the surgeon’s preference and experience. However, it is important to note that, in the great majority of challenging situations, extraction of the failed prosthesis and reconstruction of extensive bone defects are often easier using a posterior approach, where the incision is easier to enlarge, if an extensive trochanteric osteotomy is needed.
Acetabular surgery is usually carried out first, with replacement of the acetabular insert alone or of the entire cup system (the trial implants may be left in position or the final cup may be installed).
Femoral surgery consists of several steps, as described in the following paragraphs.
Removal of the Failed Stem
Removal of the failed stem is generally easy if the stem is cemented, or if it is loose and cementless, but may be more difficult if a well-fixed cementless implant is in place, The best strategy should allow removal of the stem, cement, membrane, and debris, with minimal sacrifice of bone stock.
Femoral Preparation
In cases of moderate bone loss, with an intact isthmus, the diaphyseal zone is prepared using rigid reamers of increasing diameter to create a femoral canal diameter of at least 11 mm (the distal diameter of all KAR stems). The metaphyseal zone must be reshaped to restore the quadrangular shape that guarantees the rotational stability of the CORAIL or the KAR stem. This is achieved by broaching the sclerotic bone with specific and progressively larger rasps (Fig. 3a). In addition, this aggressive broaching technique exposes more healthy bone for osseointegration. The final broach must be longitudinally and rotationally stable in the femoral canal and corresponds to the size of the definitive CORAIL or KAR stem to be implanted. Anteversion must be carefully maintained during this phase to achieve stability of the implant. In case of bone loss distal to the femoral isthmus, or in case of an extended femoral osteotomy, once the bony flap has been opened, the failed implant and the surrounding cement, fibrous tissue, and debris may be removed. The intramedullary canal is cleared and curetted down to healthy bone. The diaphysis may have to be reamed sparingly to ensure that it is of the same diameter as the distal section of the stem chosen during templating. Accurate assessment of defects can now be established, which should focus on the condition of the cortices, the actual loss of bone stock, the presence of fractures, and any need for grafting. Decisions made during preoperative planning may be confirmed or altered.
Insertion of the Trial Stem
With both the CORAIL and KAR stems, a trial stem of the same size is introduced into the canal with the same anteversion. Similar to the final broach, the trial stem must be axially and rotationally stable (Fig. 3b). It should be positioned at the level decided during preoperative planning, relative to the greater or lesser trochanter. If the stem subsides, the femur should be examined for a perforation or a fracture, and if none is found, a larger trial stem should be used. If the stem remains proud of the planned implantation level, it must not be forced in. The trial stem must be removed and the femur broached again, with the final broach size keeping the same anteversion. If a window or a short femoral osteotomy has been made, this can be repaired using two or three cerclage wires before the trial stem is introduced into the femur. When implanting the REEF stem, the trial stem is introduced into the medullary canal at the depth estimated during templating (Fig. 3c). Stability within the remaining canal is not always perfectly achieved, even with a strong cortical press-fit. Ultimate rotational stability will be achieved after distal interlocking of the definitive implant. Nevertheless, with the stem in place, the chosen trochanteric component is fixed onto the cone of the femoral shaft, and one of three marks on this component is used to set anteversion.

Mobility and Stability Tests
Then, whatever the implant chosen, a trial head of a diameter matching the acetabular cup liner and a neck length selected during preoperative planning should be fitted on the taper, and a trial reduction carried out. The prosthetic construct is then tested for range of motion, stability of the joint, and tension of the gluteal muscles.
HA-Coated Implants and Bone Grafting
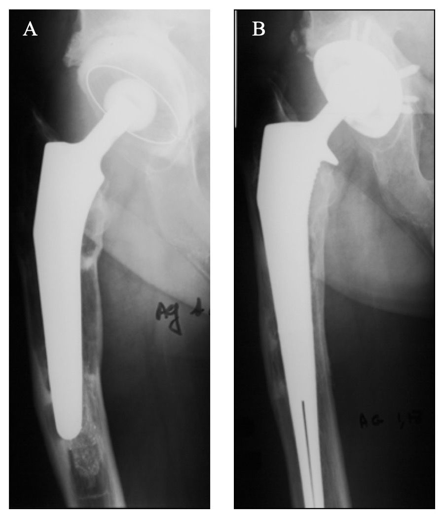
When a femoral revision is performed with HA-coated implants, bone grafting is not essential because the femur has the ability to heal and remodel itself. If grafting is used, autografts are preferred to allografts whenever possible, as long as their use does not cause additional morbidity. It must be noted that such grafts should never be used to stabilize the implant, but only to fill in gaps around a stable stem and, more specifically, to seal the neck section to prevent the ingress of debris. At the calcar level, the main roles of a horseshoe-shaped cortical graft are to protect all HA coating that remains uncovered by the native bone, and to reduce the risk of HA particle migration into the vicinity of the joint space. Moreover, integration of this graft must not be under-evaluated; very often, effective incorporation leads to restoration of normal or near-normal femoral bone stock. The KAR prosthesis is available only with a collar that contributes to stabilization of such a graft (Fig. 4).

For similar reasons, a collared metaphyseal segment can be used with the REEF stem. To achieve osseointegration of bioactive implants, the coating of the stem must be in contact with reactive and living bone to enable effective bonding of the HA layer. Therefore, the CORAIL or the KAR stem must not be implanted using bone compaction techniques that require the use of compacted allograft. In the case of metaphyseal expansion, it is better to perform a longitudinal reduction osteotomy to move the remaining cortices closer onto the implant surface using cerclage wires, rather than to fill in the gap with allografts.
Implantation of the definitive Stem
Once mobility and stability tests have been performed satisfactorily, final implants are confirmed and inserted to replace trial components. The trial stem is replaced with the final implant, which is introduced into the clean femoral cavity. It is important not to irrigate the medullary canal before inserting the definitive device to keep bone fragments in place and to preserve all osteoinductive cells. The CORAIL or the KAR stem is first introduced by hand, and then is progressively and gently impacted using a stem holder, which controls anteversion as the stem enters the femur. Before final impaction, it may be necessary to reconstruct the calcar using a crescent-shaped graft (see Fig. 3c–e).

The collar of the prosthesis is designed to stabilize such grafts; this guarantees the correct impaction level of the stem and contributes to primary vertical stability until osseointegration occurs. If the modular interlocked stem (REEF) is used, distal screw placement is the critical step (Fig. 5d–g). After impaction of the definitive diaphyseal component at the level of reference measured during trial reduction, the targeting device is firmly fitted onto the taper of the stem; this reliable instrumentation allows drilling and positioning of at least two interlocking screws with precision and safety. At that time, trial trochanteric components and trial heads can be used once again to confirm limb length, stability, and version (Fig. 5h). Finally, the definitive proximal body is attached to the stem with the appropriate prosthetic head (Fig. 5i). The final reduction is performed, and reconstruction of the femoral shaft around the prosthetic stem can be undertaken. Reattachment of the flap is achieved by means of cerclage cables (Fig. 5j). As was already mentioned, grafting is not mandatory but may be desirable to rebuild the calcar or to fill cortical defects, and morselized cancellous bone should fill in any remaining cavities. However, it is recommended that the entire HA-coated area of the implant should be covered by native or grafted bone.

Clinical data
We reviewed the records of a continuous series of 335 adults (347 hips) that underwent revision THA using the KAR stem by 7 surgeons at 4 centers, between 2000 and 2012. The present series represents 80% of revision THA performed by the 7 surgeons during this period. The remaining 20% of revision THA cases were performed using other femoral stems, notably distal-locking designs in cases with more extensive bone loss or complex periprosthetic fractures that left insufficient proximal bone for stem fixation. The initial cohort comprised 188 (194 hips) women and 147 (153 hips) men, with a mean age of 70 ± 12 years (range, 36–98) and a mean BMI of 26 ± 4 (range, 17–39) (Table 1). Reasons for revision surgery included aseptic loosening (79%), periprosthetic joint infection (6.9%), periprosthetic fracture (6.6%) and others (7.2%). The Paprosky bone loss classification [11] was of grade 3 or more in 176 hips (51%). The operation was the first revision THA in 298 (86%) hips, the second revision THA in 37 (11%), the third revision THA in 7 (2.0%), the fourth revision THA in 4 (1.2%), and the fifth revision THA in 1 (0.3%).

Intraoperative parameters
A postero-lateral approach was used in 220 hips (63%), an antero-lateral approach in 50 (15%), a Hardinge approach in 40 (12%), a posterior approach in 35 (10%), and the approach was unspecified in 2 (0.6%). The stem was extracted from the top in 304 hips (88%) (of which 40 required a window to remove cement), via a femorotomy in 35 (10%), and via a trochanteric osteotomy in 8 (2.3%). Morselised allograft, compacted during broaching, was used in 140 (41%) hips. Allograft use was dependent on Paprosky grade; no structural or monobloc grafts (cortical strut allografts) were required. A ceramic head was used in 258 hips (74%), a metal head in 77 (22%), and the head material was unspecified in 12 (3.5%). A dual-mobility cup was used in 131 hips (38%), while a unipolar polyethylene insert was used in 84 (24%), a ceramic insert in 65 (19%), a Metasul liner (Zimmer, Warsaw, IN, USA) set in a polyethylene sandwich [12] in 21 (6.1%) and the insert material was unspecified in 46 (13%). Head diameter was 28 mm in 244 hips (70%), 32 mm in 41 (12%), 36 mm in 40 (11%), 22 mm in 6 (1.7%) and unspecified in 16 (4.6%).
Clinical and radiographic evaluations
Tous les patients ont été évalués cliniquement à l’aide du score de hanche de Harris (HHS) et du score de hanche d’Oxford (OHS). Des radiographies antéro-postérieures et latérales des articulations de la hanche ont été analysées par le même chirurgien. L’analyse radiographique comprenait l’évaluation de l’ossification selon la classification de Brooker, l’ostéointégration et la stabilité de la tige selon le score d’Engh [13], et l’évaluation des lignes radiotransparentes (RL), définies comme des espaces de plus de 1 mm à l’interface tige-os, dans les 14 zones de Gruen. Le descellement aseptique a été défini comme la présence de lignes radiotransparentes dans 3 zones de Gruen ou plus, avec une douleur à la cuisse et/ou un affaissement de plus de 5 mm observé sur des radiographies successives.
Statistical analysis
Descriptive statistics were used to summarise the data. Survival was assessed using the Kaplan-Meier (KM) method and cumulative incidence function (CIF) [14], for the following endpoints: revision of any component for any reason, stem revision for any reason and stem revision for aseptic reasons. P values < 0.05 were considered significant. Statistical analyses were performed using R, version 3.3.2 (R Foundation for Statistical Computing, Vienna, Austria).
Results
From the initial cohort of 335 patients (347 hips), 77 (77 hips) had died with their revision stem in place, 25 (25 hips) were lost to follow-up, 22 (24 hips) refused to participate, 12 (12 hips) had isolated cup re-revisions, 6 (6 hips) had cup and stem re-revisions and 4 (4 hips) had isolated stem re-revisions (Fig. 6) (Table 2).


Patients with isolated cup re-revisions were not excluded from the final cohort. Of the 10 stem re-revisions, 6 were due to deep sepsis, 2 were due to femoral fracture, and 2 were due to aseptic loosening. Furthermore, 6 corresponded to hips with pre-revision Paprosky grade 3A or 3B. Eight patients who needed a re-revision had only undergone 1 previous surgery, while 1 had undergone 2 previous surgeries and 1 had undergone 4 previous surgeries.
Considering re-revision of any component for any reason as endpoint, the survival at 10 years using the KM method was 93.9% (95%CI, 89.7%, 96.4%), whereas using the CIF method it was 94.9% (95%CI, 91.4%, 97.0%) (Fig. 7). Considering re-revision of the stem for any reason as endpoint, the survival at 10 years using the KM method was 96.7% (95%CI, 93.3%, 98.4%), whereas using the CIF method it was 97.2% (95%CI, 94.4%, 98.6%). Considering re-revision of the stem for aseptic reasons as endpoint, the survival at 10 years using the KM method was 99.3% (95%CI, 97.4%, 99.8%), whereas using the CIF method it was 99.4% (95%CI, 97.6%, 99.9%).

The final cohort comprised 201 patients (211 hips), 102 (56%) women and 99 (44%) men, aged 66 ± 11 years at revision surgery, with a BMI of 26 ± 4. The final cohort was clinically evaluated at a mean follow-up of 9.9 ± 3.7 years. Post-revision HHS and OHS were respectively 84.8 ± 13.1 and 21.0 ± 7.8 (Table 3).

The final cohort was radiographically evaluated at a mean follow-up of 9.3 ± 3.5 years. Post-revision radiographic Engh score was 16.4 ± 6.7 (Table 4).

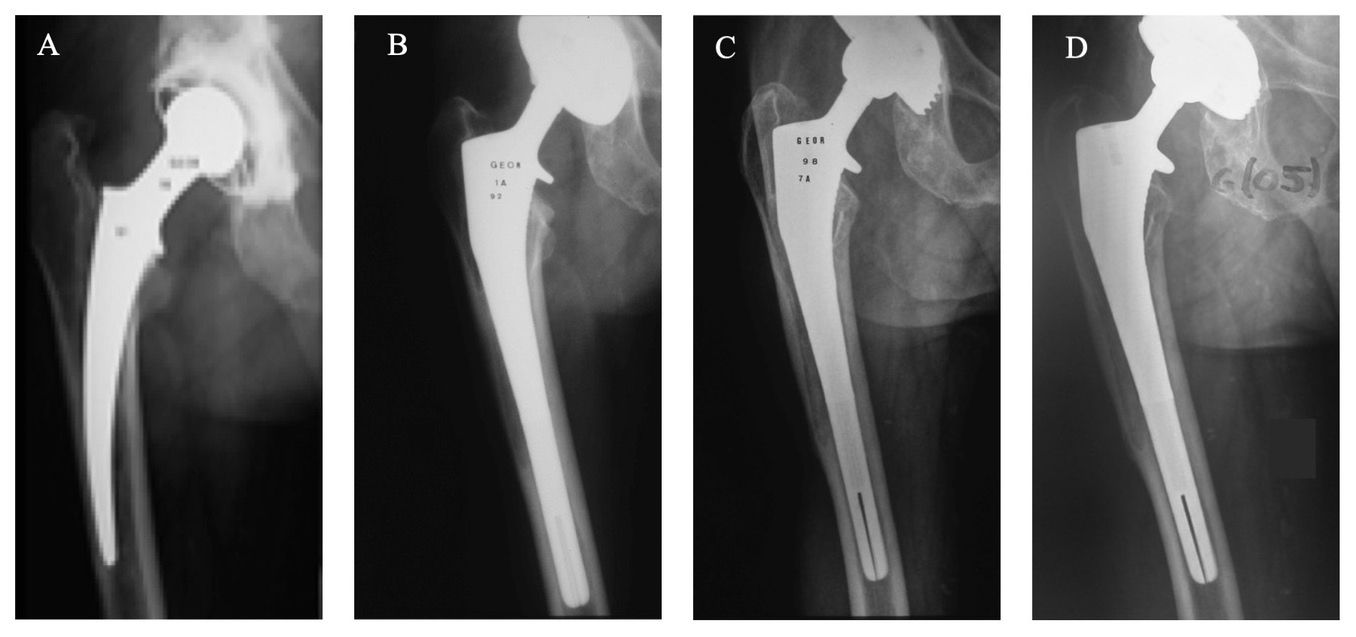
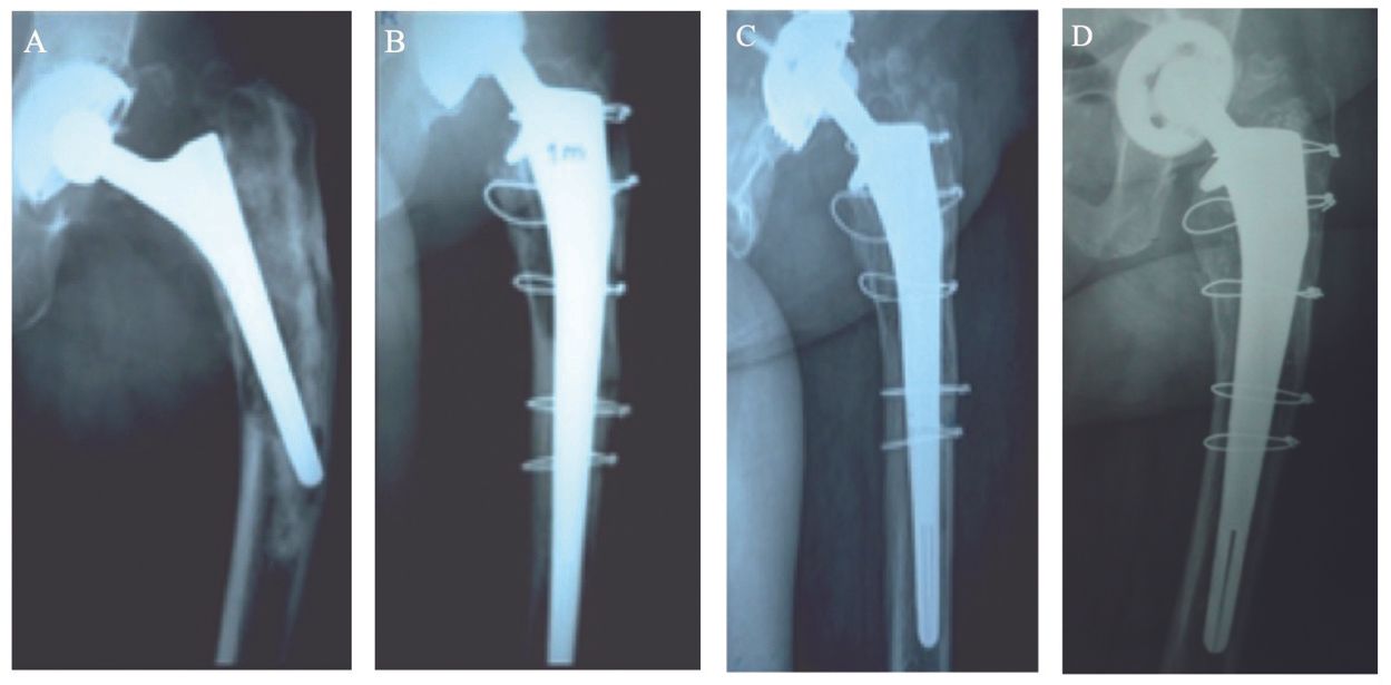
RLs were observed in a total of 38 hips (20%): limited to one Gruen zone in 23 hips (12%), two Gruen zones in 14 hips (8%), and three Gruen zones in only 1 hip (1%). Most RLs were observed in proximal Gruen zones 1 (n=27), 7 (n=13) and 8 (n=4), with very few in middle Gruen zones 2 (n=5) and 6 (n=4) and only one at distal Gruen zone 12. It is worth noting that the distinction between RLs and bone loss sequelae is difficult to ascertain for revision THA stems, particularly if morselised bone graft was required to fill bone defects. Stem migration ≥5mm, compared to the immediate post-revision radiograph, was observed in 7 hips (4%), of which 1 had a Paprosky grade 2, 2 had a grade 3A, 3 had a grade 3B and 1 had a grade 4. The authors observed that, in cases with pre-revision femoral granulomas and osteolysis, post-revision radiographs showed considerable femoral bone reconstruction with nearly complete filling of defects (Figs. 4, 8, 9).



Discussion
One of the main goals of revision THA is to provide a lasting stable fixation [1, 2]. The revision stem used in the present study aims to fulfill this goal by maximising the surface area for bone growth. The purpose of this multicentric study was to assess clinical and radiographic outcomes, as well as survival, of the KAR revision stem at a minimum follow-up of 5 years. The KM method reported a 10 year survival rate of 99% for stem revision with aseptic reasons as endpoint, which is similar to the rates of 91% to 99% reported in the literature for cementless revision stems [5, 15-17]. In our study, reasons for re-revision were deep sepsis (n=6), femoral fracture (n=2) and aseptic loosening (n=2), all known to be common complications of cementless THA [18, 19].
Revision THA is performed using standard or long stems with a variety of features, including modularity, coating and collar. Standard stems are easier to implant and spare femoral bone stock for future revisions, however, they can only be used in patients with Paprosky grade 1 or 2 [9, 20, 21]. Long stems bypass the damaged proximal femoral bone, thus relying on distal fixation in the diaphysis, which could cause stress shielding [5, 22]. Modular stems provide diaphyseal fixation and metaphyseal filling; they are associated with subsidence rates of 4-11% and complication rates of 10-26%, with dislocation and periprosthetic or stem fractures being the most common complications observed [23-26]. HA-coated stems have demonstrated durable mid- and long-term fixation [5, 10]. Collared stems have been suggested to promote immediate stem stability, resulting in lower subsidence and revision rates than collarless stems [10, 27, 28]. Our results suggest that revision surgery using a long, fully HA-coated stem could provide satisfactory and reliable results at ten years. It is difficult to determine whether the collar contributes to implant stability, as it could prevent early tilt or subsidence in some cases with adequate femoral calcar, and it may not make contact with the femoral calcar in cases with sufficient distal fixation.
We believe in “bioactive” reconstruction of the bone stock, whatever the grade of femoral loosening; both clinical and radiologic results have been very satisfying after the use of HA-coated implants in femoral revision [9, 29]. Furthermore, cementless revision with extensively porous-coated stems has shown excellent durability, relatively few complications, and good long-term results [30]. Nonetheless, concerns regarding proximal stress shielding with extensively coated stems are still reported [30]. Other solutions for revision THA have been and are still proposed, such as cemented stem reinsertion, isolated or combined with bone grafting. Results of cemented revision following femoral loosening have been poor in the past, but with the use of modern cementing techniques, these results have improved, with failure rates ranging from 6% to 43% at 12 years. Several authors [31, 32] suggest that this high rate of mechanical failure is probably related to difficulty obtaining good cement interdigitation with sclerotic bone. Therefore, isolated cemented stem reinsertion is not recommended, particularly in the most severe cases of bone loss. Other techniques (femoral impaction allografting, cementing a stem into morselized allograft embedded in the living host bone) are available, but they are demanding and time-consuming and are dependent on the availability of sufficient amounts of morselized allograft. At the present time, questions remain regarding the durability of impaction allografting and the rather high rate of complications.
The biological properties of HA are today well established and well accepted by the whole orthopedic community. Postmortem analyses have reported early and extensive bone deposition over the HA layer as compared with porous and grit-blasted coatings. These properties have led to the use of HA coatings in revision surgery. Bone ingrowth between bone transplant and HA coating remains uncertain. It is of paramount importance that adequate mechanical implant stability be attained at the time of surgery, and the use of bone graft augmentation should not be relied upon to provide the mechanical stability of the construct. Early bone ingrowth fixation is possible only between HA coating and living and vascularized bone, and from his own experience, Geesink, a pioneer in the field of bioactive coating [33], advocates the use of longer stems with more extensive areas of HA coating when extensive proximal bone deficiencies are present. From our 25-year experience, we are convinced that HA coating has the potential not only to increase bone ingrowth, but also to minimize stress shielding.
To summarize, successful femoral reconstruction with an uncemented stem requires immediate stability, and the prosthesis must be in intimate contact with the host bone to promote osseointegration needed for definitive fixation. HA-coated implants have greatly and quickly enhanced this biological fixation. The tapered design of the stems allows them to gain vertical and rotational stability. When proximal stability cannot be achieved because of the severity of lesions in the proximal femur, we must use longer stems designed for distal fixation. Conservative femoral revision can also be considered; standard stems, normally used for primary surgery, allow the preservation of bone stock. This point must be underlined because revisions today are increasingly performed on young and active patients. The relatively simple procedure and the low rate of postoperative complications are of greatest interest. Unfortunately, this strategy is recommended only for patients with limited femoral bone loss. Therefore, we suggest revising the femoral component as soon as loosening is suspected. Clinical and radiologic assessments at periodic and regular intervals are the only way to minimize the complexity of femoral revisions.
Conclusions
Long tapered cementless stems, fully-coated with HA can provide excellent clinical and radiographic outcomes in the short- to mid-term following revision THA. At ten years, the KM survival of this implant was 94% for re-revision of any component for any reason, 97% for re-revision of the stem for any reason and 99% for re-revision of the stem for aseptic reasons. This revision stem enabled restoration of bone stock in femurs with pre-revision bone defects, confirming that the HA coating and/or morselized bone graft promote adequate osseointegration, even in femurs with extensive bone loss.
Références
1. Marfo KA, Berend KR, Morris MJ, et al. Résultats à moyen terme des tiges fémorales coniques modulaires dans l’arthroplastie totale de la hanche de révision. Surgical technology international 2019;35:295-300.
2. Pelt CE, Stagg ML, Van Dine C, et al. Résultats précoces après une arthroplastie totale de la hanche de révision avec une tige de révision fémorale modulaire moderne dans 65 cas consécutifs. Arthroplastie aujourd’hui 2019;5(1):106-12.
3. Hartman CW, Garvin KL. La fixation fémorale dans la révision de l’arthroplastie totale de la hanche. Instr Course Lect 2012;61:313-25.
4. Lachiewicz PF, Soileau ES. Quelle est la survie des composants fémoraux entièrement revêtus dans les arthroplasties de révision de la hanche ? Orthopédie clinique et recherches connexes 2015;473(2):549-54.
5. Thomsen PB, Jensen NJ, Kampmann J, et al. Revision hip arthroplasty with an extensively porous-coated stem - excellent long-term results also in severe femoral bone stock loss. Hip international : the journal of clinical and experimental research on hip pathology and therapy 2013;23(4):352-8.
6. Uriarte I, Moreta J, Cortes L, et al. Révision d’une arthroplastie de la hanche avec une tige rectangulaire conique sans ciment : une étude rétrospective de la tige SLR-Plus après un suivi moyen de 4,1 ans. European journal of orthopaedic surgery & traumatology : orthopédie traumatologie 2019.
7. Chatelet JC, Ait-Si-Selmi T, Machenaud A, et al. Mid-Term Clinical and Radiographic Outcomes of a Long Cementless Monobloc Stem for Revision Total Hip Arthroplasty. The Journal of arthroplasty 2021;36(1):261-7.
8. Pommepuy T, Putman S, May O, et al. Influence de la géométrie et de l’étendue du revêtement sur la survie des tiges de révision sans ciment à verrouillage distal après 7 à 18 ans. The Journal of arthroplasty 2020;35(12):3703-9.
9. Pinaroli A, Lavoie F, Cartillier JC, et al. Conservative femoral stem revision : avoiding therapeutic escalation. The Journal of arthroplasty 2009;24(3):365-73.
10. Jacquot L, Bonnin MP, Machenaud A, et al. Résultats cliniques et radiographiques à 25-30 ans d’une tige de hanche entièrement revêtue d’hydroxylapatite. Le journal de l’arthroplastie 2018;33(2):482-90.
11. Paprosky WG, Burnett RS. Assessment and classification of bone stock deficiency in revision total hip arthroplasty. Am J Orthop (Belle Mead NJ) 2002;31(8):459-64.
12. Tardy N, Maqdes A, Boisrenoult P, et al. Arthroplastie totale de hanche métal sur métal de petit diamètre à 13 ans - une étude de suivi. Orthopédie et traumatologie, chirurgie et recherche : OTSR 2015;101(8):929-36.
13. Engh CA, Massin P, Suthers KE. Roentgenographic assessment of the biologic fixation of porous-surfaced femoral components. Clinical orthopaedics and related research 1990(257):107-28.
14. Biau DJ, Latouche A, Porcher R. Competing events influence estimated survival probability : when is Kaplan-Meier analysis appropriate ? Clinical orthopaedics and related research 2007;462:229-33.
15. Carrera L, Haddad S, Minguell J, et al. Résultats à moyen terme et complications avec la tige de révision de hanche à verrouillage distal sans ciment avec revêtement d’hydroxyapatite pour les défauts osseux proximaux et les fractures. The Journal of arthroplasty 2015;30(6):1035-40.
16. Ferreira A, Aslanian T, Dalin T, et al. Roulements en céramique avec revêtement bicouche dans l’arthroplastie totale de la hanche sans ciment. Une solution sûre. Une étude rétrospective de cent vingt-six cas avec un suivi de plus de dix ans. International orthopaedics 2017;41(5):893-9.
17. Kim YH, Park JW, Kim JS, et al. High Survivorship With Cementless Stems and Cortical Strut Allografts for Large Femoral Bone Defects in Revision THA. Clinical orthopaedics and related research 2015;473(9):2990-3000.
18. Ponzio DY, Shahi A, Park AG, et al. Fracture peropératoire du fémur proximal lors d’une arthroplastie totale de hanche primaire sans ciment. The Journal of arthroplasty 2015;30(8):1418-22.
19. Kenney C, Dick S, Lea J, et al. Une revue systématique des causes d’échec de l’arthroplastie totale de hanche de révision. Journal of orthopaedics 2019;16(5):393-5.
20. Hultmark P, Karrholm J, Stromberg C, et al. Cemented first-time revisions of the femoral component : prospective 7 to 13 years’ follow-up using second-generation and third-generation technique. The Journal of arthroplasty 2000;15(5):551-61.
21. Tetreault MW, Shukla SK, Yi PH, et al. Les tiges courtes entièrement revêtues sont-elles adéquates pour les révisions fémorales « simples » ? Clinical orthopaedics and related research 2014;472(2):577-83.
22. Imbuldeniya AM, Walter WK, Zicat BA, et al. La tige fémorale modulaire S-ROM à revêtement proximal en hydroxyapatite dans la révision des prothèses de hanche : résultats de 397 hanches à un suivi minimum de dix ans. The bone & joint journal 2014;96-b(6):730-6.
23. Brown NM, Tetreault M, Cipriano CA, et al. Implants coniques modulaires pour perte osseuse fémorale sévère dans la THA : ostéointégration fiable mais complications fréquentes. Clinical orthopaedics and related research 2015;473(2):555-60.
24. Smith MA, Deakin AH, Allen D, et al. Résultats à moyen terme d’une arthroplastie totale de la hanche de révision utilisant un système de hanche de révision modulaire. The Journal of arthroplasty 2016;31(2):446-50.
25. Hoberg M, Konrads C, Engelien J, et al. Résultat d’une tige fémorale modulaire conique en titane non cimentée dans la révision de l’arthroplastie de la hanche. International orthopaedics 2015;39(9):1709-13.
26. Van Houwelingen AP, Duncan CP, Masri BA, et al. Haute survie des tiges coniques modulaires pour les défauts osseux du fémur proximal à 5 à 10 ans de suivi. Clinical orthopaedics and related research 2013;471(2):454-62.
27. Mertl P, Philippot R, Rosset P, et al. Tige de verrouillage distal pour la révision du descellement fémoral et des fractures péri-prothétiques. International orthopaedics 2011;35(2):275-82.
28. Demey G, Fary C, Lustig S, et al. Est-ce qu’un collier améliore la stabilité immédiate des tiges de hanche fémorales non cimentées dans l’arthroplastie totale de la hanche ? Une étude comparative bilatérale sur cadavres. The Journal of arthroplasty 2011;26(8):1549-55.
29. Khanuja HS, Issa K, Naziri Q, et al. Résultats d’une tige sans ciment primaire à revêtement proximal conique pour la révision de la chirurgie de la hanche. The Journal of arthroplasty 2014;29(1):225-8.
30. Paprosky WG, Greidanus NV, Antoniou J. Minimum 10-year-results of extensively porous-coated stems in revision hip arthroplasty. Clinical orthopaedics and related research 1999(369):230-42.
31. Hultmark P, Kärrholm J, Strömberg C, et al. Cemented first-time revisions of the femoral component : prospective 7 to 13 years’ follow-up using second-generation and third-generation technique. The Journal of arthroplasty 2000;15(5):551-61.
32. Mulroy WF, Harris WH. Révision d’une arthroplastie totale de la hanche avec utilisation de techniques de cimentation dites de deuxième génération pour un descellement aseptique du composant fémoral. A fifteen-year-average follow-up study. The Journal of bone and joint surgery American volume 1996;78(3):325-30.
33. Geesink RG, Hoefnagels NH. Résultats à six ans d’une prothèse totale de hanche à revêtement d’hydroxyapatite. The Journal of bone and joint surgery British volume 1995;77(4):534-47.