Temporary arthrodesis of the knee joint using coupled AO rods
Background: Two-stage revision remains the standard of care for periprosthetic joint infection (PJI) of the knee, typically utilizing either static or articulating antibiotic-impregnated polymethylmethacrylate (PMMA) spacers. While articulating spacers may preserve range of motion, they are often contraindicated in cases involving significant ligamentous instability or extensive metaphyseal bone loss. Conventional static spacers may lead to capsular contracture and limited weight-bearing capacity, necessitating alternative stabilization methods for complex revisions.
Objective: This article describes a surgical technique for temporary knee arthrodesis using intramedullary steel rods and an antibiotic-loaded cement spacer to provide stable fixation and allow early mobilization during the interim phase of a two-stage septic revision.
Key Points: The procedure involves radical debridement followed by the insertion of 12 mm diameter hollow AO steel rods into the femoral and tibial medullary cavities. These rods are joined by a tube-to-tube clamp, fixed in 5 degrees of flexion and 5–10 degrees of internal tibial rotation to optimize patellar tracking. Antibiotic-impregnated PMMA is applied to fill the dead space and distend the joint capsule, preventing soft tissue shrinkage. This construct facilitates immediate weight-bearing as tolerated and reduces the risk of secondary immobilization-related comorbidities. Potential complications include peri-implant fractures, cement extrusion into the posterior compartment, and persistent infection.
Conclusion: Intramedullary stabilization with steel rods and PMMA spacers provides a reliable, cost-effective method for managing complex septic knee revisions. By maintaining limb length and capsular volume, this technique facilitates subsequent reimplantation while allowing functional mobilization during the infection eradication interval.
Introduction and Indication
The current gold standard in the treatment of periprosthetic infections is the two-stage septic revision of the affected knee joint with reported success rates of up to 90%.(1,2) Usually, a bone-cement (polymethylmethacrylate—PMMA) spacer is used in the interim phase between explanation of the infected prosthesis and reimplantation of the new implant. The spacer supports eradication of the infection by local delivery of antibiotics and facilitates optimum management of the dead space. (9) Depending on the ligament and bone condition, the available choices include dynamic and static spacers. Whilst static spacers can be used with major bone and soft tissue defects especially in cases after multiple revisions, articulating spacers are suitable only for minor superficial defects and require adequate fixation in the metaphysis with good bone quality. (6,7) Whilst no significant differences were found between the use of static and dynamic spacers in terms of eradication of the infection (2,3), some authors report reduced mobility following reimplantation when using static spacers in the prosthesis-free interval. (9) However, comparing the two spacer types is difficult because static spacers are generally only used in cases where the ligament and bone condition is deficient. Moreover, a dynamic spacer bears the risk of third body wear due to the PMMA articulation, which can lead to damage to the subsequent implant from the resulting cement particles (5). It may be possible to avoid these problems by using special dynamic AB spacer prosthesis where the bone cement is not used as the articulation surface. However, given all listed advantages and disadvantages, the key factors that ultimately determine the type of spacer during the interval are the bone substance, the stability of the ligaments and soft tissue conditions.
In the previously common surgery method of temporary static arthrodesis the joint is fixed in the metaphysis with HA (hydroxyapatite) pins or Schanz screws that are additionally coated with PMMA. The limited internal stabilization has to be optimized in most cases by fitting additional ortheses. This consecutive exposure to weight-bearing or immobilization of the patients is associated with an increased risk of comorbidities (pneumonia, leg vein thrombosis, pulmonary artery embolism, etc.).
In theory, the stability of a static spacer can also be achieved by fitting a joint-bridging external fixator. The specific risks of this surgery method include pin infection and the creation of pre-determined breaking points that can create problems during the reimplantation of rod-guided knee endoprosthesis models. This method has therefore been largely abandoned these days.
Accordingly, the intermedullary extensive diaphyseal anchoring of a static spacer appears to be beneficial. The objective is a stable fixation of the knee joint, which can also be used in major bone defects and can be subjected to full weight bearing for the interval before reimplantation. Compared to conventional static spacers, the larger range of mobilization reduces the risk of secondary complications. Optimum filling of the dead space with additional distension of the capsule reduces the risk of capsular shrinkage and reduces the risk of subsequent reduction in the range of mobility.
Surgery technique
The standard surgery method is performed in a supine position on a surgery table which permits intraoperative X-ray imaging. The leg to be operated on is disinfected and sterile draped as for the implantation of a total knee arthroplasty (TKA). A thigh tourniquet is not required. The knee joint is accessed by the classical medial parapatellar approach. Following exposure of the knee joint and removal of the prosthesis components, at least five tissue samples are collected for microbiological testing and one tissue sample for histopathological testing. The radical debridement comprises removal of the periprosthetic membranes from all joint compartments and from the medullary cavity of the tibia and the femur. This is followed by jet lavage with 0.04% polyhexanide solution of the entire joint and medullary cavity with subsequent thorough rinsing with Ringer solution.
Once the site has been correctly prepared and cleaned, suitable AO hollow steel rods are selected that are available in a diameter of 12 mm and lengths from 100 mm to 450 mm (Fig. 1).

Manual diaphyseal press-fit anchoring represents the target and the length of the AO rods is chosen with the objective of achieving the most stable intramedullary anchoring (Fig. 2).

This should involve the rod extending far enough beyond the resection line into the joint space to facilitate the installation of the tube-to-tube connecting clamp (connector) (Fig. 3).

That means as long as necessary but as short as possible, to minimize the risk of colonization of the steel surfaces and the infection risk by contamination of the medullary cavity. The femoral AO rod is generally positioned lateral to the tibial AO rod.
The hexagonal screw head for the tightening of the connecting clamp should be positioned medial in the area of the knee joint access so that it can be easily reached with a conventional spanner or socket wrench (Fig. 4).


After checking the rod and clamp position the system is fixed with longitudinal tension on the leg with approx. 5 degrees of flexion at the knee joint (Fig. 5) which allows leg mobilization during the swing phase without stumbling.


It is crucial that internal rotation of the tibia by 5−10 degrees is preserved to prevent a lateralized patella position in the interval with scarring. The latter would impair optimum patella tracking during the subsequent TKA implantation.
In the appropriate position and verification of the stability of the rod arthrodesis 80−120 g of hand-mixed AB bone cement (as revision cement with gentamicin and clindamycin if indicated) are inserted into the joint cavity and shaped both around the AO rods and the clamp (Fig. 6.).

Vancomycin may be added, depending on the pathogen spectrum. Since the long-term stability of the bone cement is immaterial during the interim phase of 4−8 weeks, a higher admixture of antibiotic (>10%) can be considered. In any case, a sufficient cement volume should be used for the filling of the joint cavity that permits wound closure during reimplantation without tension despite the expected capsular shrinkage with the static spacer. This is probably also the basis for better mobility compared to other static spacers. However, it is crucial that excessive penetration of cement into the bone of the femur and tibia metaphysis are avoided. The subsequent removal of the cement with indwelling fixed rods may be difficult under these circumstances and cause additional bone loss. This can also be prevented by a time-delayed insertion of the AB cement with a doughy consistency. Should it be impossible to remove the connection clamp in extreme cases, the hollow rods can be cut with a conventional bolt cutter. It is also crucial that dorsal leaking of cement by strong cement compression is avoided in case of capsule defects to reduce the risk of vascular/nerve compression.
During the hardening of the cement the distraction of the leg should be maintained with 5-degree flexion and true axis alignment of the knee joint. An externally rotated position of the lower leg is associated with lateralization of the tibial tuberosity and the extension apparatus and when combined with the shortening of the lateral capsule and ligament segments results in problems with patella tracking in the subsequent reimplantation of the knee endoprosthesis.
The capsule suture should be without tension and sealed despite generous cement application in the ventral joint portion; that means the capsule expansion that is usually present due to effusion should be preserved initially. During the hardening the capsule adaptation can be carefully simulated and excess cement can be removed if necessary.
X-ray monitoring
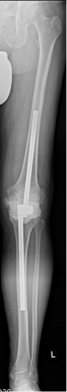
As a precaution, the final check by X-ray imaging should be performed before the final closing of the joint. This should assess the distribution of the cement (specifically a dorsal penetration of cement) and the integrity of the femoral and tibial diaphyseal bone. Postoperative options for X-ray assessment are a long anteroposterior view with distal femur and proximal tibia or whole leg standing X-ray image to document that the limb alignment is neutral, as well as a lateral view of the knee joint to assess the cement spacer (Fig. 2 and 3).
The following risks should be pointed out during the surgical informed consent discussion.
- Peri-implant fracture
- Impaired mobility due to immobilization of the knee joint with consequential tendon retraction and capsular contracture even after reimplantation.
- Persistent infection
- Dislocation and migration of the AO rods
- Leaking of bone cement into dorsal knee joint segments.
Follow-up treatment
In general, weight bearing as tolerated is possible with two forearm crutches. Partial weight bearing with 20−30 kg or toe-touch weight bearing should be preferred in pronounced osteoporosis and unsatisfactory diaphyseal press-fit anchoring of the AO rods.
Discussion summary
The temporary arthrodesis of the knee joint during septic two-stage TKA revision surgery allows sufficiently stable and reliable immobilization over a period of 6−8 weeks. A retrospective study by Röhner et al. revealed good results without spacer loosening or peri-implant fractures (8.) Staphylococcus aureus colonization of carbon rods versus steel rods was investigated by Frieler et al.(4) and increased adhesion of the bacteria on the carbon rods due to their higher finish roughness was not detected. In a direct comparison however, the AO steel rods have the benefit of significantly lower material costs and better radiological imaging.
The impaired mobility of the knee joint in the interim phase is of course a disadvantage of all static spacers. The key points of the surgery described above with capsule distension and optimization of the patella tracking should be resp. Ultimately, temporary arthrodesis of the knee joint is an excellent and simple surgical procedure in more complex bone defects, when taking into account the risks, complications, costs and benefits.
References
1. Anderson JA, Sculco PK, Heitkemper S, Mayman DJ, Bostrom MP, Sculco TP. An articulating spacer to treat and mobilize patients with infected total knee arthroplasty. J Arthroplasty 2009; 24: 631–635
2. Pivec R, Naziri Q, Issa K, Banerjee S, Mont MA. Systematic review comparing static and articulating spacers used for revision of infected total knee arthroplasty. J Arthroplasty 2014; 29:553–557
3. Freeman MG, Fehring TK, Odum SM et al.Functional advantage of articulating versus static spacers in 2-stage revision for total knee arthroplasty infection. J Arthroplasty 2007; 22: 1116–1121
4. Frieler S, Geßmann J, Jettkant B, Ronge JM, Köller M, Schildhauer TA, Baecker H. Temporäre Arthrodese des Kniegelenks bei zweizeitigem septischen Prothesenwechsel In-vitro-Analyse der Adhäsion von Staphylococcus aureus auf Stahl- und Kohlefaserstäben. Der Orthopäde volume 48, pages130–135 (2019)
5. Fink B, Rechtenbach A, Büchner H, Vogt S, Hahn M. Articulating spacers used in two-stage revision of infected hip and knee prostheses abrade with time. Clin Orthop Relat Res 2011 Apr;469(4):1095-102.
6. Park SJ, Song EK, Seon JK et al. Comparison of static and mobile antibiotic-impregnatedcement spacers for the treatment of infected total knee arthroplasty. Int Orthop 2010; 34:1181–1186
7. Johnson AJ, Sayeed SA, Naziri Q et al. Minimizing dynamic knee spacer complications in infected revision arthroplasty. Clin Orthop Relat Res 2012; 470: 220–227
8. Röhner E, Pfitzner T, Preininger B, Zippelius T, Perka C. Temporary arthrodesis using fixator rods in two-stage revision of septic knee prothesis with severe bone and tissue defects. Knee Surg Sports Traumatol Arthrosc. 2016 Jan;24(1):84-8.
9. Munro JT, Garbuz DS, Masri BA, Duncan CP. Articulating antibiotic impregnated spacers in two-stage revision of infected total knee arthroplasty. J Bone Joint Surg Br. 2012 Nov;94(11 Suppl A):123-5.