Planning and repair of acetabular defects in revision total hip arthroplasty: Simple solutions for complex problems
Background: The increasing frequency of primary total hip arthroplasty (THA) has led to a rising incidence of complex revision hip arthroplasty (RHA). These procedures are frequently complicated by acetabular bone loss resulting from polyethylene wear-induced osteolysis or periprosthetic joint infection, which compromises primary implant stability and the restoration of physiological joint geometry. While various classification systems exist, there remains a clinical need for a reproducible, therapy-oriented framework to guide preoperative planning and intraoperative management.
Objective: This article describes the clinical application of the Acetabular Defect Classification (ADC) and its associated mobile web application to standardize the diagnostic and therapeutic approach to acetabular bone defects during revision surgery.
Key Points: The ADC categorizes defects into four main grades based on the integrity of the acetabular rim and load-bearing pelvic structures, with sub-classifications (A–C) denoting lesion location. Type 1 involves an intact rim, while Types 2 and 3 describe rim compromises of less than or greater than 10 mm, respectively. Type 4 represents pelvic discontinuity. A case report of a 67-year-old female demonstrates the longitudinal progression from a Type 1C defect, managed with impaction bone grafting and a Burch-Schneider cage, to a subsequent Type 3C defect. The latter required a modular support cup with macroporous titanium augmentation and an anatomical ileum tension band to bridge the structural rim defect.
Conclusion: The ADC system provides a standardized, algorithmic approach to RHA. By integrating radiographic assessment with a digital tool, surgeons can systematically identify defect severity and select appropriate biological or metallic augmentation strategies to restore hip biomechanics.
Introduction
The implantation of a total hip arthroplasty (THA) is one of the most successful surgeries in the entire field of medicine and is therefore rightly called the surgery of the century [1]. We are seeing growing numbers of implants in the developed world [2]. However, the consequence of a larger number of primary implant procedures also results in a larger number of revision procedures [3]. Revision hip arthroplasty (RHA) surgery is associated with a reduced service life of the implant and an increased rate of infection, especially in young patients aged 55 years and under [3]. The growing use of THA also results in an extension of the indication for surgery, with an increasing number of younger and more active patients with symptomatic hip osteoarthritis are fitted with THAs. The medical community has therefore reached a clear consensus. A steadily increasing incidence of revision and re-revision surgeries is expected in the near future [3].
The most common causes for revision surgery are loosening of the indwelling prosthesis due to abraded particles and periprosthetic joint infection. Both scenarios are associated with damage to the acetabular bone substance. This is a problem for the primary stable embedding of the implant and recovery of the physiological joint geometry [4]. Preoperative defect identification and detailed planning are therefore essential as a foundation for successful repair.
A new acetabular defect classification, referred to as ADC, was presented for this purpose last year [5]. Numerous defect classifications have already been suggested over time. All describe bony defects of varying severity, but use different gradings and landmarks. The probably most commonly used defect classification by Paprosky [6] is compared to the new ADC in Table 1. The objective of the authors was to introduce an intuitive, reliable and reproducible procedure to provide the surgeon with the necessary certainty for planning prior to surgery and a therapeutic guideline during surgery. This paper shall introduce and explain the practical application of the acetabular defect classification using a web App during the preoperative planning and intraoperative execution in a step-by-step guide.

The Acetabular Defect Classification (ADC)
The ADC is based on the assessment of the integrity of the acetabular rim and load-bearing bony pelvic structures. It is classified into 4 main grades (1 to 4), that indicate the severity of the bony defect and 3 subclassifications each (A to C) defining the location of the lesion. The individual defect types are briefly summarized below. Figure 1 shows one example defect from each of the 4 main categories.

Type 1 defects:
These acetabular bone defects are characterized by an intact acetabular rim. Within subclassification A there are disseminated spongiosa bone defects, in subclassification B there is a superomedial defect shown and in subclassification C there is a medial acetabular fossa defect.
Type 2 defects:
In the group of type 2 defects the acetabular rim in the load-bearing zone is compromised up to a size of 10 mm. In this group, subclassification A defines a superolateral acetabular rim defect, subclassification B a dorsal acetabular rim defect and subclassification C the combination of A and B resulting in a superior and dorsal acetabular rim defect.
Type 3 defects:
The structure of the group of type 3 defects is identical to type 2 defects. However, in this type the size of the acetabular rim defect exceeds the 10 mm limit and is therefore called a structural defect.
Type 4 defects:
This type of defect covers the various versions of pelvic discontinuity Here the subclassification A−C refers to the extent of the bony defect of the superior acetabular fossa. Group A shows no relevant bone defect, Group B shows a superior acetabular rim defect of <10 mm and Group C a structural superior acetabular rim defect of >10 mm.
Mobile ADC application
A web browser and IOS App was generated to further simplify the use of the ADC and to integrate it into daily working practice. In this tool the user decides, depending on predefined locations the extent of the defect based on colour-coded example pictures. The application then calculates the degree of damage. In addition to accelerating the diagnostic process, the web App establishes an organized approach to the classification of acetabular defects. We invite the readers to open the application on a desktop computer or a mobile device via the QR code shown in Figure 2 or the web address listed. Thus, the further course of the clinical example can be closely followed.

Case report and history
This is a case report on a 67-year old female patient. In the context of a bilateral secondary femoral head necrosis and after varising derotation osteotomy in 1991 she was implanted with a cementless ABG hip replacement in 1992. Figure 3 shows the preoperative findings and the postoperative implant position. Interesting in this context is the dysplasia inlay visible on the X-ray contrast strip with an exceptionally high inclination of the right acetabular component. As in the primary situation there is no indication of an acetabular bone defect in the unenhanced X-ray image after the ADC.

A follow-up examination with unenhanced X-ray after 10 years at the beginning of 2002 showed large peri-implant bone defects in the medial and superomedial region. The head appears significantly shifted from the centre suggesting severe polyethylene abrasion of the dysplasia inlay.

Figure 5 shows the diagnostic workflow using the ADS web App. Ultimately, a Type 1 C defect is identified prior to surgery. This type of defect features an intact and stable acetabular rim.

After selecting the radiographic assessment:
1. the medial defect situation,
2. the superior defect situation,
3. the posterior defect situation and
4. indications of pelvic discontinuity can be evaluated consecutively.
Finally, the web App calculates the level of damage and recommends therapy.

For the repair of the pronounced superomedial and medial defects, biological augmentation should be performed according to the principle of impaction bone grafting with the objective of biological downsizing [4, 7–9]. If the acetabular teardrop is intact, metallic augmentation is not necessary. However, the augmented bone must be under mechanical pressure, to ensure bone fusion. Therefore, a Burch-Schneider cage was implanted for this purpose. Figure 6 shows the postoperative findings with stable placement of the acetabular component on the dorsal column, the caudal hook in the obturator foramen and with a long acetabular dome screw, which imparts the major stability of the construction.
The unenhanced follow-up X-ray images (see Fig. 7) shows good bone fusion of the inserted bone in 2006 at the 4-year interval, with normally positioned acetabular component without evidence of loosening. As early as 2010, at the 8-year interval, osteolysis of the superolateral acetabular teardrop is obvious, with a lysis margin along the acetabular dome screw and visible backtwist of the dynamic hip screw (at-risk implant). The next visit of the patient was only arranged in 2020 with suspected symptomatic loosening of the indwelling acetabular component on the right. The unenhanced X-ray follow-up image confirmed this suspicion and presented with complex findings (see Fig. 7).

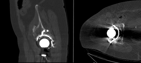
In order to clearly identify this defect and to plan the intraoperative procedure, an organized procedure as specified by ADC is the obvious approach. The diagnostic process is illustrated with an example in Figure 8. Figure 9 also shows the involvement of the posterior acetabular column in the CT imaging.

After selecting the radiographic assessment:
1. the medial defect situation,
2. the superior defect situation,
3. the posterior defect situation and
4. indications of pelvic discontinuity can be evaluated consecutively.
Finally, the web App calculates the level of damage and recommends therapy.

In summary, this shows a high-grade Type 3 C defect. According to the therapeutic ADC algorithm, this requires revision with metallic augmentation in the load-bearing zone of the superolateral and dorsal acetabular rim. Since this is a bony defect of >10 mm, an anatomical ileum tension band should be used for additional stabilization and preventing major relative movements. In our procedure, a modular support cup is used to meet the requirements with a caudal hook and the option of intraoperative adjustment with various augmentations and tension bands [10]. In addition, debrided bone defects should be augmented with biological material using impaction bone grafting outside of the loadbearing areas of the acetabular rim.
Intraoperative procedure
The key for preparing a successful implantation of the revision implant system is the removal of the indwelling components as well as extensive debridement and exposure of the bone defects. Any remaining connective tissue membranes and abrasion granuloma can result in repeated premature loosening and to implant failure as a consequence. Fig. 10 shows the prepared site after complete implant removal, debridement and cleaned up defects. As with the perioperative analysis and planning, this reveals a large defect spanning the superolateral to dorsal area of the acetabular rim, consistent with a Type 3 C ADC. In addition, there is a defect of the iliac bone which could not be evaluated pre surgery.

The surgical revision is once more performed in accordance with the therapeutic ADC algorithm [5]. A modular support cup is chosen as a revision system. The large acetabular rim defect is addressed with macroporous titanium augmentation, which exerts a direct transfer of forces onto the remaining bone substance. It is screwed onto the modular revision support cup system having been press-fitted with precision. Bone defects are augmented with biological material using impaction bone grafting outside of the loadbearing areas of the acetabular rim. Half a femoral head is used as a strut-graft analogue to augment the ileum defect. It is important here to separate it from the structural allograft in the load-bearing zone; in the literature this only shows a poor healing rate and high failure rates [11–14]. In this case, however, the main force is transferred onto the healthy bone by the metallic augmentation. The modified strut allograft is only used to seal the impaction bone grafting. Then the construction is fixated with 2 acetabular dome screws with good tension and several dynamic hip screws and flanged screws with a stable angle. The acetabulum itself can only be tensioned in the primary stable implanted modular support cup with adjustable inclination and anteversion.
The postoperative unenhanced X-ray follow-up image now shows a normal implant position with good caudal positioning of the acetabular component compared to the preoperative findings and consecutive anatomical reconstruction of the normal hip rotation centre (Figure 11). The bony acetabular rim defect is bridged by the macrorough augmentation as planned and the caudal hook is positioned in the obdurator foramen.

Summary and outlook
The steadily increasing number of THA revisions and re-revisions produces complex problems for the orthopaedic surgeon. Implementation of a successful reimplantation requires an organized approach and detailed preoperative planning. This was already fittingly expressed by Alan Lakein: “Failing to plan is planning to fail”. The acetabular defect classification—ADC—delivers this organized procedure in an intuitive, reproducible and reliable form [5]. Combined with the web App it opens up an organized and clear window into the world of acetabular defects. But even experienced revision THA specialists can benefit from the standardization of the diagnostic process.
This case report made it possible for the reader to follow the procedure for classification and revision of a complex revision situation. We hope that the application of the acetabular defect classification is adopted both in clinical practice but also in scientific reviews and thus facilitates an organized, comparable and inter-disciplinary exchange about acetabular defects.
References
1. Learmonth ID, Young C, Rorabeck C (2007) The operation of the century: total hip replacement. The Lancet 370:1508–1519. https://doi.org/10.1016/s0140-6736(07)60457-7
2. Lübbeke A, Silman AJ, Barea C, et al (2018) Mapping existing hip and knee replacement registries in Europe. Health policy (Amsterdam, Netherlands) 122:548–557. https://doi.org/10.1016/j.healthpol.2018.03.010
3. Kuijpers MFL, Hannink G, Steenbergen LN van, Schreurs BW (2020) Outcome of revision hip arthroplasty in patients younger than 55 years: an analysis of 1,037 revisions in the Dutch Arthroplasty Register. Acta Orthop 91:1–6. https://doi.org/10.1080/17453674.2019.1708655
4. Gravius S, Pagenstert G, Weber O, et al (2009) Acetabular defect reconstruction in revision surgery of the hip. Der Orthopäde 38:729–740. https://doi.org/10.1007/s00132-009-1428-4
5. Wirtz DC, Jaenisch M, Osterhaus TA, et al (2020) Acetabular defects in revision hip arthroplasty: a therapy-oriented classification. Archives of Orthopaedic and Trauma Surgery 140:815–825. https://doi.org/10.1007/s00402-020-03379-6
6. Paprosky WG, Perona PG, Lawrence JM (1994) Acetabular Defect Classification and Surgical Reconstruction in Revision Arthroplasty. A 6-Year Follow-up Evaluation. Journal of Arthroplasty 9:33-44. https://doi.org/10.1016/0883-5403(94)90135-X
7. Schmolders J, Friedrich MJ, Michel RD, et al (2014) Acetabular defect reconstruction in revision hip arthroplasty with a modular revision system and biological defect augmentation. International Orthopaedics 39:623–630. https://doi.org/10.1007/s00264-014-2533-5
8. Friedrich MJ, Gravius S, Schmolders J, et al (2014) Biological acetabular defect reconstruction in revision hip arthroplasty using impaction bone grafting and an acetabular reconstruction ring. Operative Orthopädie und Traumatologie 26:126–140. https://doi.org/10.1007/s00064-013-0270-3
9. Zuh S-G, Zazgyva A, Gergely I, Pop TS (2015) Acetabuloplasty with bone grafting in uncemented hip replacement for protrusion. International Orthopaedics 39:1757–1763. https://doi.org/10.1007/s00264-015-2804-9
10. Roessler PP, Jaenisch M, Kuhlmann M, et al (2018) The augment-and-modular-cage revision system for reconstruction of severe acetabular defects-two-year clinical and radiographic results. International Orthopaedics 93:1–10. https://doi.org/10.1007/s00264-018-4271-6
11. Delimar D, Aljinovic A, Bicanic G (2014) Failure of bulk bone grafts after total hip arthroplasty for hip dysplasia. Archives of orthopaedic and trauma surgery 134:1167–1173. https://doi.org/10.1007/s00402-014-2006-8
12. Kwong LM, Jasty M, Harris WH (2019) High Failure Rate of Bulk Femoral Head Allografts in Total Hip Acetabular Reconstructions at 10 Years. 1–6
13. Mulroy RD, Harris WH (1990) Failure of acetabular autogenous grafts in total hip arthroplasty. Increasing incidence: a follow-up note. The Journal of Bone and Joint Surgery-American Volume 72:1536–1540
14. Hooten J, Eng Ch, Heekin D, Vinh T (1996) Structural Bulk Allografts in Acetabular Reconstruction. The Journal of bone and joint surgery British volume 78-B:270–275. https://doi.org/10.1302/0301-620x.78b2.0780270