Story of subacromial balloon : is there a proof of science?
Background: Irreparable rotator cuff tears present a significant clinical challenge due to superior humeral head migration and the loss of coronal plane force couples. While various reconstructive and prosthetic options exist, the subacromial biodegradable spacer has emerged as a less invasive alternative designed to restore glenohumeral kinematics.
Objective: This article reviews the development, biomechanical principles, clinical efficacy, and patient selection criteria for the implantation of a poly-L-lactide-co-ε-caprolactone (PLCL) subacromial spacer.
Key Points: Biomechanical studies indicate that the spacer translates the humeral head inferiorly, reduces subacromial pressure, and facilitates deltoid-mediated abduction. Clinical data from five-year follow-ups demonstrate significant improvements in Constant scores, particularly regarding pain relief and activities of daily living, with results comparable to more invasive procedures. Although the implant degrades within 12 months, functional benefits often persist, potentially due to improved postoperative rehabilitation facilitated by early pain reduction. However, some studies report inconsistent outcomes, with satisfaction rates as low as 40% in specific cohorts. Complications are infrequent, occurring in approximately 3.4% of cases, and include spacer migration or infection. Success appears highly dependent on the preservation of transverse plane force couples, specifically the integrity of the subscapularis and teres minor.
Conclusion: Subacromial spacer implantation is a safe, technically straightforward procedure for managing irreparable rotator cuff tears. It is most effective in patients with preserved active range of motion whose primary symptom is pain, serving as a viable bridge or alternative to more complex reconstructive surgeries.
Introduction
This time of the year is marked with the 20th ESSKA Congress in Paris with the main theme: Science opens the mind. Science is for sure the mainstream of the medical practice. There is a strong direction to involve the novelty in the medicine by the scientific evidence. Every new surgical method, every innovation in technique and every new implant must pass the proof of science. One of the treatment options in shoulder surgery addressing irreparable rotator cuff tears – subacromial balloon was introduced into the clinical practice 10 years ago and it is still on way to pass the final evidence.
The scientific process typically starts with an observation and detection of the problem to be solved. The originality and ingenuity are needed to ask the right question about was has been observed. Only meticulously planned experiment can give the answer to the hypothesis – the prediction how to answer the specific question. Only then, if the results align with the hypothesis, we are close to the explanation and solution. The process described is well known in the medical community but complicated in details and many times not simple and easy going. However, for the several centuries, this is a method of acquiring knowledge, promoting development, and the way to open our minds. Science truly opens our doors of opportunity and progress. But as we all know, only one experiment, only one study is not enough, and the first scientific findings have to be confirmed with the next experiments. Only than we are more secure with our decision and we can accept the findings into our medical knowledge and more – to our clinical practice.
Regarding the subacromial balloon, we should ask ourselves carefully, where we are on this path of science. What we know and what we still don’t know. What is proofed and what is only our speculation or impression. Personal experience is useful but clearly not enough for the scientific evidence.
From the idea to the experiment
Israeli surgeon Assef Dekel, who developed the subacromial spacer implant for the treatment of irreparable rotator cuff tears has this kind of original idea. He had also stimulating environment and necessary knowledge background on the specific topic, both are actually necessary to start the process of innovation. Despite the advances in the shoulder surgery, irreparable rotator cuff tears remain the challenging condition for the management. In this particular example, the observation was that superior rotator cuff tear leads to the loss of force couples in the coronal plane and consequent subacromial head migration (1,2,3). Additionally, with initiation of abduction and subsequent superior migration of the humeral head, increased impingement between the greater tuberosity and undersurface of the acromion can occur (4,5).
Based on this observation, the following question was raised: Could something be found that will influence the force couples in the coronal plane and counteracts the imbalanced force couples. This was the field where the idea of subacromial spacer was raised. But this was only the beginning. The journey begins in the laboratory, not in the operating room. The material had been selected and tested to be safe. Biodegradable copolymer poly-L-lactide-co-ε-caprolactone (PLCL) was appropriate because it was already used in large number of medical applications, including scaffolds for tissue engineering and drug-loaded films (6,7). PLCL is a flexible but durable material, which mirrors properties of both comprising monomers: the lactide provides the toughness and the caprolactone provides elasticity (8). The unique cold molding technology enabled manufacturing in the shape of balloon, suitable to be implanted between the acromion and the humeral head as it was the first idea (Figure 1). The very first biomechanical experiments were promising, showing the possibility that spacer implantation in the subacromial space could help to restore the force balance between the deltoid muscle and rotator cuff, to maintain humeral head in the stable position during dynamic movement and to decrease sub-acromial friction.



After the testing in the laboratory, the first clinical trial was conducted in 2008 to prove that there are no adverse effects of the spacer and to show that it is beneficial for the patient (9). Therefore, the very first spacer was implanted on May 13th 2008 in University Medical Centre Ljubljana, Slovenija in a patient with a massive rotator cuff tear after failed conservative treatment. The patient was included in the pivotal clinical study. However, the first report of this treatment option and surgical arthroscopic technique was published already in 2012 (10). The authors described technique as easy to perform and less invasive than the conventional surgical techniques available (10). In the following years, several additional clinical studies about this treatment modality were published with promising results, among them also the reports of fluoroscopy-guided and ultrasound-guided spacer implantation (11,12).
Back to the laboratory
In addition to the clinical investigation, biomechanical cadaveric studies were conducted. In fact, it was recognized that some burning questions exist. Several researchers from community of shoulder surgery involve itself to find the answers and to further investigate hypothesis and clinical observations. Further biomechanical studies showed that subacromial spacer inflated to appropriate volume translated the humeral head inferiorly and restored its position compared to the intact shoulder state (13). Spacer function was found to be comparable to the mechanical effect of superior capsular reconstruction. Both techniques have shown to restore humeral head position and forces close to normal during various abduction positions (14). At the same time, another study reported reduced subacromial pressure during passive range of motion after spacer insertion in the testing conditions (15).
The biomechanical effect of subacromial spacer is therefore lowering the humeral head, reducing the forces required to achieve abduction and facilitating humeral gliding against acromion. The clinical effect is pain reduction and improved shoulder function (9,16). The hypothesis is that the initial pain relief in the early postoperative period might be important factor for successful rehabilitation of these patients. Subacromial spacer could help the patient to execute rotator cuff strengthening exercises which are a mainstay of nonoperative treatment anyway. However, the subacromial spacer is not a panacea for all massive irreparable rotator cuff tears. From biomechanical point of view, it is important to highlight that subacromial spacer will influence only the force couples in coronal plane. Force couples in transverse plane could not be addressed. Therefore, to prevent anterior or posterior humeral head translation, subscapularis tendon and teres minor should be preserved or repaired.
Verifying the results
Beauty of scientific process is that every experiment should be verified and replicated. Since the first publication in 2012, several clinical studies about this treatment modality can be identified (9,11,16,17,18,19,20,21,22,23,24,25,26,27,28,29). Some authors published results with a longer follow-up on the same patients group (15,28). Additionally, several comprehensive literature search, systematic reviews and meta-analysis on subacromial spacer implantation were published in the last years (30,31,32,33). One additional systematic review article assessed and compared the outcome of different treatment modalities for irreparable posterosuperior rotator cuff tears including subacromial spacer implantation (34). Available studies reported the results of more than two-hundred cases in patients 50-85 years old with posterosuperior irreparable rotator cuff tear treated with subacromial spacer implantation. Results showed improvement of the mean Constant score from 35 preoperatively to 65 postoperatively. Reported pain improvement is from 3,5 to 5 points out of 10 in VAS scale. Ability to perform activities of daily living increased from 6 to 13,7 points out of 20 as assessed from Constant score. However, as one can expect, improvement of abduction strength is very limited. These results are reported at 6 months and further sustained at all subsequent time periods up to 5-years follow-up period (Figure 2). Reported results are actually comparable to the other treatment options (35). Interestingly, patients included in the subacromial spacer studies usually have more significant shoulder function impairment compared to patients treated by other techniques as has been shown by lower Constant score preoperatively.

Additional skepticism exists on the effect of additional procedures. Retrospective study which assessed subacromial spacer implantation with partial repair or bridging grafts reported no difference in outcomes between the methods (27). However, what is the main point of science, the reproducibility, it has to be confirmed yet. Comparison of treatment is difficult because of high variability in patient characteristics, co-interventions, outcome reporting, and length of follow-up.
Asking for further explanations
One of the frequently asked questions is what is the influence of simultaneous surgical acts to the effect of subacromial spacer implantation as debridement, subacromial decompression, biceps tenotomy and partial repair. Interestingly, reported outcome for fluoroscopy guided spacer implantation without performing surgical decompression or addressing biceps tendon showed similar results of improvement in Constant score and its subcategories like in the studies with arthroscopic procedure (36). Additionally, arthroscopic debridement of the joint in arthroscopic spacer implantation is usually minimal. In fact, limited rather than completed bursectomy is advised in order to avoid subacromial spacer migration in the early postoperative period. The status of the long head of biceps (LHB) was assessed in several studies (9,18,19,20,21,22). Intraoperatively, the LHB was intact in 70% and ruptured in 30% of cases overall. No correlation was observed between preoperative status of LHB and postoperative outcomes measured by Constant score. Furthermore, one study that directly compared subacromial spacer implantation with and without biceps tenotomy reported no difference among patients’ subgroups (20). Recently, spacer implantation is frequently combined with partial repair of the rotator cuff if possible depending on the tendon quality and mobility. While one study reported better functional outcomes in patients with additional partial rotator cuff repair (27), the other two did not found significant difference (19,26). It seems that the current evidence in the literature is not big enough to make a sound conclusion about the value of simultaneous partial repair.
Not everyone going in the same direction
Although most articles described good functional outcomes and high patient satisfaction level, some authors reported unsatisfactory improvement (23,24). Authors reported only 40% and 46% of general satisfaction which correlates to pain and shoulder function. Improvement for more than 10 points in Constant score was detected only in 6 out of 15 patients, 9 patients in the same group showed no improvement and 5 among them were revised to reverse shoulder arthroplasty (24). These findings are somehow inconsistent with general experience. The systematic review including 12 clinical studies reported on 5 studies comprising 37% of patients where the satisfaction was assessed. Patients rated satisfaction as satisfied or very satisfied from 45,8% to 100% (31). Only few complications were associated with the subacromial spacer implantation according to some systematic reviews including 291 cases (30,31). Reported complications were 3 spacer migrations, 3 superficial and deep wound infection and 1 transient neuropraxia of the lateral antebrachial cutaneous nerve. One patient required revision surgery for spacer migration, 1 for infection and, 2 because of unsatisfactory outcome. Ten patients from 291 included in the review (3,4%) required conversion to reverse shoulder arthroplasty because of absence of clinical improvement. The important finding is that once the failure occurs all other salvage options remain.
Patient heterogeneity in the reported studies impair our ability to fully determine efficacy, particularly in comparison to other potential surgical options. Comparison of treatment modalities is in fact difficult due to variability in patient characteristics, co-interventions, outcome reporting, and length of follow-up. Knowing the high retear rate associated with other reconstructive techniques and limited outcome after retear, subacromial spacer implantation could be a viable option in patients with irreparable massive rotator cuff tear (27). Additionally, cost-effectiveness study indicated that subacromial spacer was the beneficial in terms of patient’s clinical outcomes and economic value compared to RSA, partial repair and conservative treatment (37).
What will bring the future
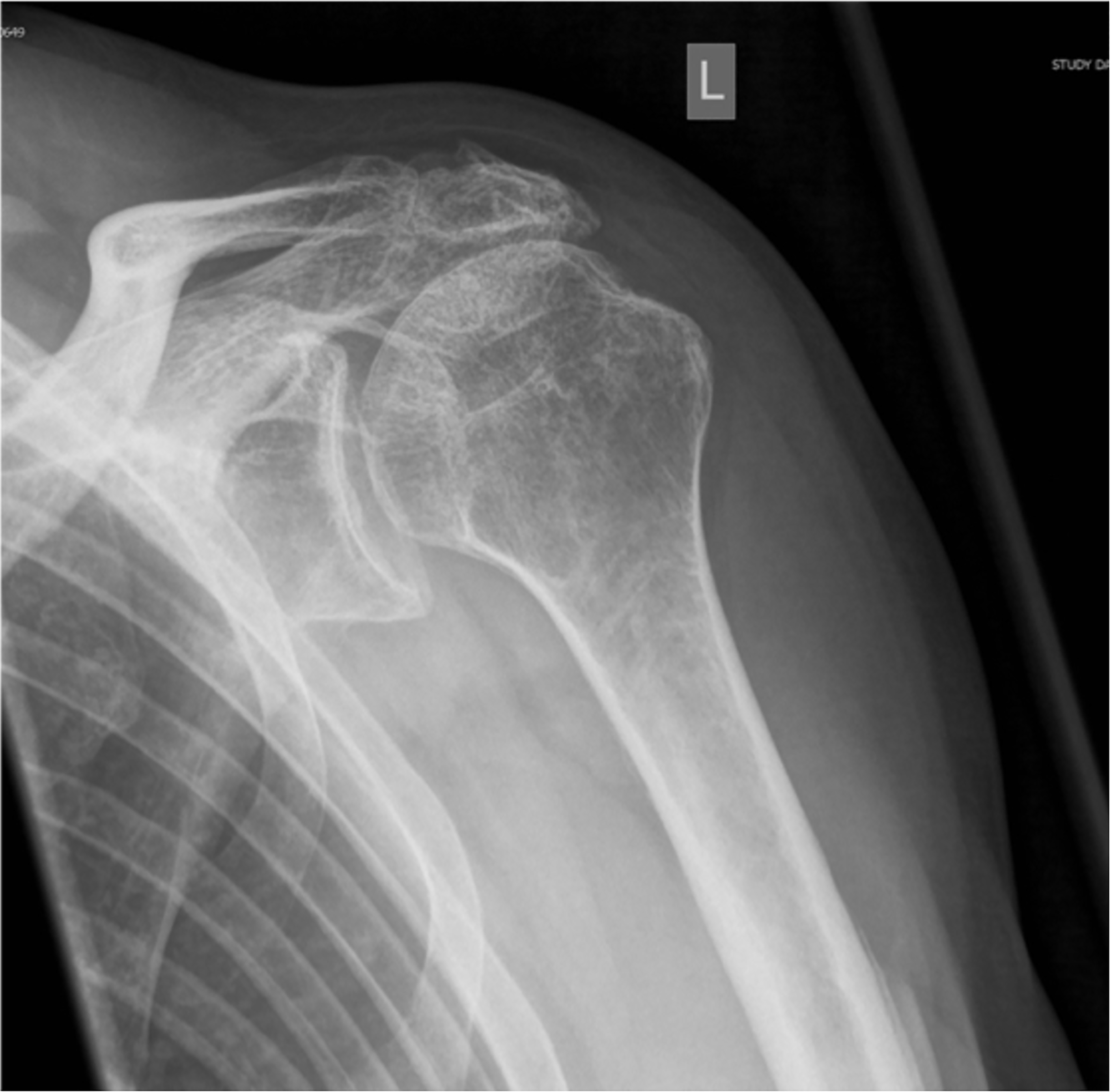
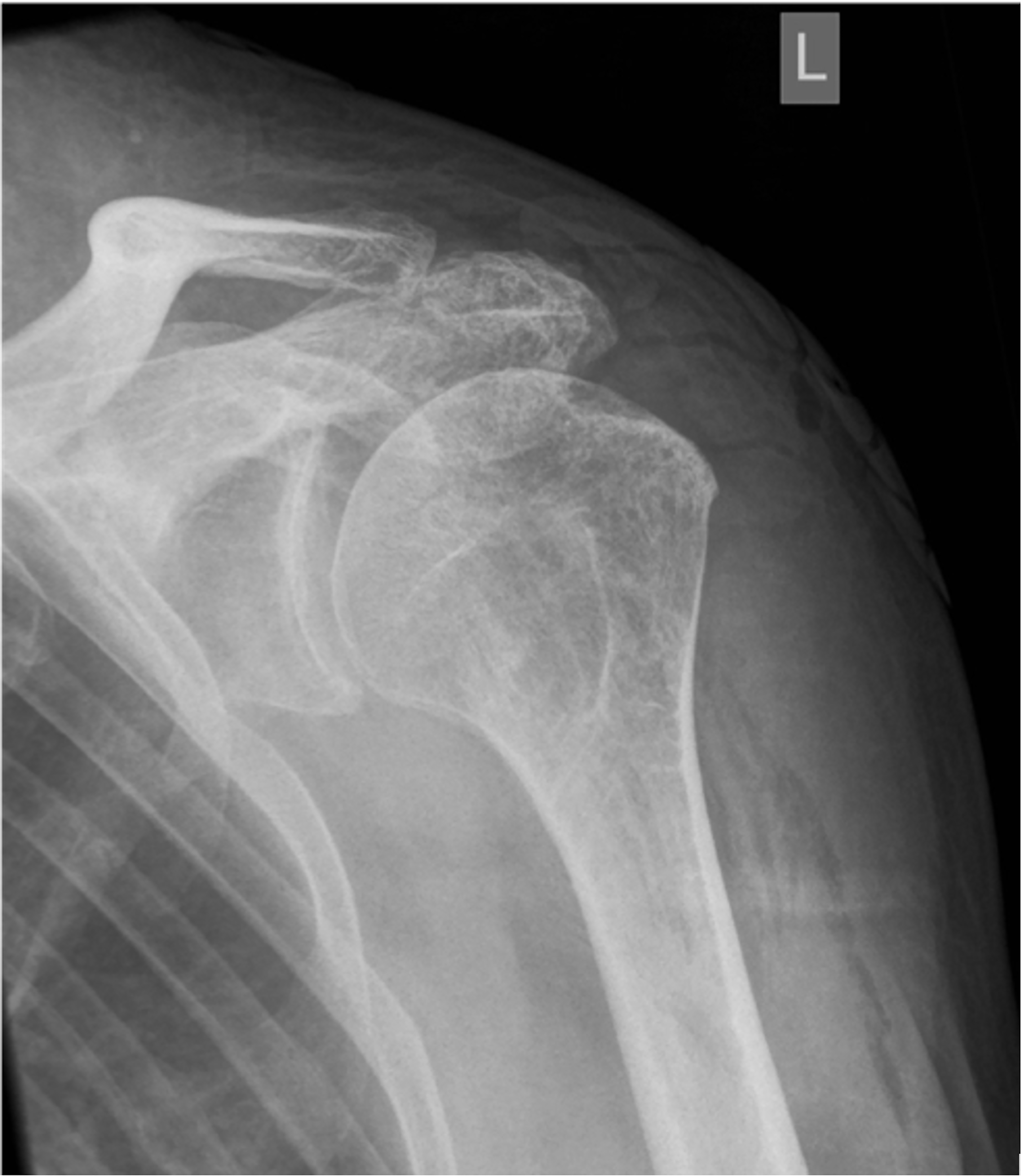
In the future, several properties of the implant effect and outcome of the procedure have to be addressed. It is not clear, why the positive effect of the biodegradable spacer continues beyond the time of its degradation period, which begins at 3 months and dissolves by 12 months (16,29). In this regards, influence of the spacer implantation on the acromiohumeral distance (AHD) is interesting. It was noted that AHD increased immediately after spacer implantation (Figure 3) (11).


However, this effect was not consistent finding on long-term follow up. While Oh reported higher AHD after spacer implantation comparing to other modes of treatment, Deranlot showed that AHD was reduced by 2,1 mm comparing to preoperative value (18,27). Even more interesting was observation of Familiari that higher postoperative AHD was predictive of a lower Constant score at final follow-up (29). This seems not to be logical because the spacer is designed to restore a more normal AHD to allow a more normal shoulder kinematics. It seems that after a certain point, greater AHD may actually interfere with shoulder mechanics. Additionally, one can suspect that the spacer works more as a biological spacer or cushion between the humerus and acromion rather than by truly restoring more normal shoulder biomechanics.
It was observed in several cases that functional improvement was present even if imaging results were not satisfactory. The possible explanation is that spacer helps the patient in the immediate postoperative period to rehabilitate the shoulder and to train the appropriate muscles in order to establish sufficient efficiency for satisfactory shoulder function. It is also unexplained, what is the role, if any, of fibrous tissue seen in some patients on MRI control several months after surgery (19,27). Maybe this could be an additional factor for suppressing the humeral head. Furthermore, although generally good outcomes following the subacromial spacer implantation in irreparable massive rotator cuff tears are reported, some authors found inconsistent and unsatisfactory results (23,24). In this context, question about patient selection might be important (Table 1). It is still unclear, what is the best group of patients which will benefit from this implant and procedure. Some data show that there is strong correlation between shoulder functionality and satisfaction (38). Actually, among all parameters, pain component has the strongest correlation. Additionally, patients with better preoperative range of motion (ROM) are more satisfied (23). This finding may contribute to a concept that patient whose main functional impairment is pain and have somehow preserved active ROM may benefit from the pain-relieving effect of the spacer. These patients can regain functionally with rehabilitation in the short postoperative period, when the spacer still have its effect. On the contrary, patients with limited active ROM may not benefit as much. However, pain is frequently strongly intertwined with loss of ROM and this makes patient selection challenging.
Conclusion
Implantation of the biodegradable spacer in the subacromial space is one of the recently described non-prosthetic surgical treatment options in patients with massive irreparable rotator cuff tear. Its biomechanical effect is to lower the humeral head, facilitate humeral gliding against the acromion and reduce sub-acromial friction during shoulder abduction. The procedure is simple, safe, reliable and less invasive with minimal complication rate comparing to some other treatment options. At the same time, clinical outcomes are comparable to the other reconstruction methods. Good clinical results can be expected in patients with preserved force couple in transverse plane in absence of shoulder osteoarthritis. Appropriate patient selection is still unanswered question. The subgroup with massive irreparable rotator cuff tear and predominant symptom of pain but relatively preserved active elevation, meaning that there is not pseudoparalytic shoulder, seems to be the best candidates for the treatment option with biodegradable subacromial spacer implantation. The procedure can be combined with partial or complete rotator cuff repair if possible. In this setting, spacer acts as additional support and protection because it decreases humeral head upward migration, improves the humeral head position and restores functional abduction force similar to the intact condition. Taken into account that there is high retear rate associated with reconstruction methods and poor functional outcome after retear, subacromial spacer implantation could be a viable option for some patients with irreparable massive rotator cuff tear.

References
1. Norwood LA, Barrack R, Jacobson KE. Clinical presentation of complete tears of the rotator cuff. J Bone Joint Surg Am 1989;71:499-505. doi:10.2106/00004623-198971040-00004.
2. Sharkey NA, Marder RA. The rotator cuff opposes superior translation of the humeral head. Am J Sports Med 1995;23:270-5. doi:10.1177/036354659502300303.
3. Saupe N, Pfirrmann CW, Schmid MR, Jost B, Werner CM, Zanetti M. Association between rotator cuff abnormalities and reduced acromiohumeral distance. Am J Roentgenol 2006;187:376-82. doi:10.2214/AJR.05.0435.
4. Su WR, Budoff JE, Luo ZP. The effect of anterosuperior rotator cuff tears on glenohumeral translation. Arthroscopy 2009;25:282-9. doi: 10.1016/j.arthro.2008.10.005.
5. Nam D, Maak TG, Raphael BS, Kepler CK, Cross MB, Warren RF. Rotator cuff tear arthropathy: evaluation, diagnosis, and treatment. J Bone Joint Surg Am 2012;94:e34. doi: 10.2106/JBJS.K.00746.
6. Jeong SI, Kim BS, Kang SW, Kwon JH, Lee YM, Kim SH, Kim YH. In vivo biocompatibilty and degradation behavior of elastic poly(L-lactide-co-epsilon-caprolactone) scaffolds. Biomaterials 2004;25:5939-46. doi: 10.1016/j.biomaterials.2004.01.057.
7. Cho HH, Han DW, Matsumura K, Tsutsumi S, Hyon SH. The behavior of vascular smooth muscle cells and platelets onto epigallocatechin gallate-releasing poly(l-lactide-co-epsilon-caprolactone) as stent-coating materials. Biomaterials 2008;29:884-93. doi: 10.1016/j.biomaterials.2007.10.052.
8. Ramot Y, Nyska A, Markovitz E, Dekel A, Klaiman G, Zada MH, Domb AJ, Maronpot RR. Long-term local and systemic safety of Poly(L-lactide-co-epsilon-caprolactone) after subcutaneous and intra-articular implantation in rats. Toxicol Pathol 2015;43:1127-40. doi: 10.1177/0192623315600275.
9. Senekovic V, Poberaj B, Kovacic L, Mikek M, Adar E, Dekel A. Prospective clinical study of a novel biodegradable sub-acromial spacer in treatment of massive irreparable rotator cuff tears. Eur J Orthop Surg Traumatol 2013;23:311-16. doi:10.1007/s00590-012-0981-4.
10. Savarese E, Romeo R. New solution for massive, irreparable rotator cuff tears: the subacromial "biodegradable spacer". Arthrosc Tech 2012;1:e69-74. doi: 10.1016/j.eats.2012.02.002.
11. Gervasi E, Maman E, Dekel A, Cautero E. Fluoroscopy-guided biodegradable spacer implantation using local anesthesia: safety and efficacy study in patients with massive rotator cuff tears. Musculoskelet Surg 2016;100(Suppl 1):S19-S24. Doi:10.1007/s12.306-016-0433-0.
12. Poboży T, Kielar M, Miąskiewicz J. Ultrasound-guided biodegradable subacromial spacer implantation in a patient with massive irreparable rotator cuff tears. Wideochir Inne Tech Maloinwazyjne. 2019;14:145–48. doi:10.5114/wiitm.2018.77555.
13. Singh S, Reeves J, Langohr GDG, Johnson JA, Athwal GS. The effect of the subacromial balloon spacer on humeral head translation in the treatment of massive, irreparable rotator cuff tears: a biomechanical assessment. J Shoulder Elbow Surg 2019;28:1841-7. doi: 10.1016/j.jse.2019.03.036.
14. Singh S, Reeves J, Langohr GDG, Johnson JA, Athwal GS. The subacromial balloon spacer versus superior capsular reconstruction in the treatment of irreparable rotator cuff tears: A biomechanical assessment. Arthroscopy 2019;35:382-389. doi: 10.1016/j.arthro.2018.09.016.
15. Chevalier Y, Pietschmann MF, Thorwächter C, Chechik O, Adar E, Dekel A, Müller PE. Biodegradable spacer reduces the subacromial pressure: A biomechanical cadaver study. Clin Biomech 2018;52:41-8. doi: 10.1016/j.clinbiomech.2017.12.008.
16. Senekovic V, Poberaj B, Kovacic L, Mikek M, Adar E, Markovitz E, Maman E, Dekel A. The biodegradable spacer as a novel treatment modality for massive rotator cuff tears: a prospective study with 5-year follow-up. Arch Orthop Trauma Surg 2017;137:95-103. doi:10.1007/s00402-016-2603-9.
17. Basat HC, Kirçil C, Armangil M, Demirtş M. Treatment alternative for irreparable rotator cuff ruptures: Arthroscopic biodegradable balloon. Niger J Clin Pract 2017;20:952-7. doi: 10.4103/1119-3077.196061.
18. Deranlot J, Herisson O, Nourissat G, Zbili D, Werthel JD, Vigan M, Bruchou F. Arthroscopic subacromial spacer implantation in patients with massive irreparable rotator cuff tears: Clinical and radiographic results of 39 retrospectives cases. Arthroscopy 2017;33:1639-44. doi: 10.1016/j.arthro.2017.03.029.
19. Holschen M, Brand F, Agneskirchner JD. Subacromial spacer implantation for massive rotator cuff tears: Clinical outcome of arthroscopically treated patients. Obere Extrem 2017;12:38-45. doi: 10.1007/s11678-016-0386-9.
20. Maman E, Safran O, Beyth S, Mozes G, Dekel A, Michael B, Chechik O, Adar E. Biceps tenotomy does not affect the functional outcomes of patients treated with spacer implantation due to massive irreparable rotator cuff tears. Open Orthop J 2017;11:1577-1584. doi: 10.2174/1874325001711011577.
21. Ricci M, Vecchini E, Bonfante E, Micheloni GM, Berti M, Schenal G, Zanetti G, Sambugaro E, Maluta T, Magnan B. A clinical and radiological study of biodegradable subacromial spacer in the treatment of massive irreparable rotator cuff tears. Acta Biomed 2017;88:75-80. doi: 10.23750/abm.v88i4 -S.6797.
22. Piekaar RSM, Bouman ICE, van Kampen PM, van Eijk F, Huijsmans PE. Early promising outcome following arthroscopic implantation of the subacromial balloon spacer for treating massive rotator cuff tear. Musculoskelet Surg 2018;102:247-255. doi: 10.1007/s12306-017-0525-5.
23. Prat D, Tenenbaum S, Pritsch M, Oran A, Vogel G. Sub-acromial balloon spacer for irreparable rotator cuff tears: Is it an appropriate salvage procedure? J Orthop Surg (Hong Kong) 2018;26:2309499018770887. doi: 10.1177/2309499018770887.
24. Ruiz Ibán MA, Lorente Moreno R, Ruiz Díaz R, Álvarez Sciamanna R, Paniagua Gonzalez A, Lorente Gómez A, Díaz Heredia J. The absorbable subacromial spacer for irreparable posterosuperior cuff tears has inconsistent results.Knee Surg Sports Traumatol Arthrosc. 2018;26:3848-3854. doi: 10.1007/s00167-018-5083-3.
25. Yallapragada RK, Apostolopoulos A, Katsougrakis I, Selvan TP. The use of a subacromial spacer-inspace balloon in managing patients with irreparable rotator cuff tears. J Orthop 2018;15:862-868. doi: 10.1016/j.jor.2018.08.004.
26. Malahias MA, Brilakis E, Avramidis G, Antonogiannakis E. Satisfactory mid-term outcome of subacromial balloon spacer for the treatment of irreparable rotator cuff tears. Knee Surg Sports Traumatol Arthrosc 2019;27:3890-6. doi: 10.1007/s00167-019-05485-4.
27. Oh JH, Park JH, Jeong HJ, Rhee SM. Comparing clinical outcomes after subacromial spacer insertion versus other reconstruction methods in the treatment of irreparable massive rotator cuff tears. Orthop J Sports Med 2019;7:2325967119869600. doi: 10.1177/2325967119869600.
28. Piekaar RSM, Bouman ICE, van Kampen PM, van Eijk F, Huijsmans PE. The subacromial balloon spacer for massive irreparable rotator cuff tears: approximately 3 years of prospective follow-up. Musculoskelet Surg 2020;104:207-214. doi: 10.1007/s12306-019-00614-1.
29. Familiari F, Nayar SK, Russo R, De Gori M, Ranuccio F, Mastroianni V, Giuzio E, Galasso O, Gasparini G, McFarland EG, Srikumaran U. Subacromial balloon spacer for massive, irreparable rotator cuff tears is associated with improved shoulder function and high patient satisfaction. Arthroscopy 2021;37:480-486. doi: 10.1016/j.arthro.2020.09.048.
30. Moon AS, Patel HA, Ithurburn MP, Brabston EW, Ponce BA, Momaya AM. Subacromial spacer implantation for the treatment of massive irreparable rotator cuff tears: A systematic review. Arthroscopy 2019;35:607-614. doi: 10.1016/j.arthro.2018.08.006.
31. Stewart RK, Kaplin L, Parada SA, Graves BR, Verma NN, Waterman BR. Outcomes of subacromial balloon spacer implantation for massive and irreparable rotator cuff tears: A systematic review. Orthop J Sports Med 2019;7:2325967119875717. doi: 10.1177/2325967119875717.
32. Liu F, Dong J, Kang Q, Zhou D, Xiong F. Subacromial balloon spacer implantation for patients with massive irreparable rotator cuff tears achieves satisfactory clinical outcomes in the short and middle of follow-up period: a meta-analysis. Knee Surg Sports Traumatol Arthrosc 2021;29:143-153. doi: 10.1007/s00167-019-05834-3.
33. Viswanath A, Drew S. Subacromial balloon spacer - Where are we now? J Clin Orthop Trauma 2021;17:223-232. doi: 10.1016/j.jcot.2021.03.017.
34. Kooistra B, Gurnani N, Weening A, van den Bekerom M, van Deurzen D. Low level of evidence for all treatment modalities for irreparable posterosuperior rotator cuff tears.Knee Surg Sports Traumatol Arthrosc 2019;27:4038-48. doi: 10.1007/s00167-019-05710-0.
35. Lädermann A, Collin P, Athwal GS, Scheibel M, Zumstein MA, Nourissat G. Current concepts in the primary management of irreparable posterosuperior rotator cuff tears without arthritis. EFORT Open Rev 2018;3:200-209. doi: 10.1302/2058-5241.3.180002.
36. Gervasi E, Maman E, Dekel A, Markovitz E, Cautero E. Fluoroscopically guided subacromial spacer implantation for massive rotator cuff tears: Two years of prospective follow-up. Orthop J Sports Med 2021;9:2325967121993469. doi: 10.1177/2325967121993469.
37. Castagna A, Garofalo R, Maman E, Gray AC, Brooks EA. Comparative cost-effectiveness analysis of the subacromial spacer for irreparable and massive rotator cuff tears. Int Orthop 2019;43:395-403. doi: 10.1007/s00264-018-4065-x.
38. Tashjian RZ, Bradley MP, Tocci S, Rey J, Henn RF, Green A. Factors influencing patient satisfaction after rotator cuff repair. J Shoulder Elbow Surg 2007;16:752-8. doi: 10.1016/j.jse.2007.02.136.