Natural history of an anterior cruciate ligament injury: associated injuries and consequences of rotational instability
Background: Anterior cruciate ligament (ACL) injuries represent a significant clinical and economic burden, with high incidences observed in young athletes participating in pivotal sports. While ACL reconstruction (ACLR) is common, the complex pathophysiology of rotatory instability and the long-term risk of post-traumatic osteoarthritis (OA) remain critical challenges in orthopedic management.
Objective: This review examines the epidemiology, biomechanical properties, and injury mechanisms of the ACL, while evaluating the impact of associated intra-articular and extra-articular lesions on knee stability and long-term joint health.
Key Points: The ACL functions as a primary restraint against anterior tibial translation and internal rotation, characterized by a ribbon-like anatomy and distinct functional bundles. Non-contact ruptures typically occur under valgus stress and quadriceps-induced anterior force, resulting in significant tibial displacement. Rotational instability, quantified by the pivot shift, is exacerbated by concomitant injuries to the medial meniscal ramp, lateral meniscal roots, and anterolateral structures. Bony factors, including increased lateral tibial slope, further influence laxity. Although ACLR restores gross stability and reduces the relative risk of secondary OA compared to non-operative management, it does not fully prevent degenerative changes. Meniscal preservation is identified as a primary factor in mitigating OA progression, as meniscectomy significantly increases the risk of Kellgren-Lawrence stage ≥2 changes.
Conclusion: Successful ACL management requires a comprehensive diagnostic approach that addresses both the primary ligamentous deficit and associated peripheral lesions. Restoring normal knee kinematics through anatomical reconstruction and meniscal repair is essential to delay the onset of post-traumatic osteoarthritis.
Epidemiology
In 2019, 45,997 patients in France underwent anterior cruciate ligament (ACL) reconstruction, 60% of whom underwent outpatient surgery (Source ATIH).
The incidence of ACL injury in sports populations varies based on studies of 10–65/100,000 persons. The incidence is higher (241/100,000 persons) in at-risk populations that are 19 to 25 years of age and practicing pivotal contact sports (1–4). Studies suggest that the annual incidence of ACL injury has not changed among American athletes since the mid-1990s (5–7).
The incidence of ACL injury by gender is not well established in the general population but does appear to be higher in female athletes playing contact sports (8). In the general population, a higher incidence is found in men (4).
A study conducted in the United States found that the societal cost is 2.3 times higher for patients who do not receive ACL reconstruction surgery than those who do, as reflected by direct rehabilitation and indirect work-related costs (9).
Anatomy and biomechanics
The ACL is a dense connective tissue band, approximately 3.5 cm in length, that extends from the femur to the tibia. It resists the anterior translational and internal rotational loads of the tibia and is thus a pivotal structure of the knee joint. The ACL has a microstructure of collagen bundles of several types (mainly type I) and a matrix consisting of a protein, glycoprotein, elastic system, and glycosaminoglycan network with multiple functional interactions. The complex structural organization and abundant elastic system of this ligament allow it to withstand multiaxial stresses and variable tensile strains. The ACL contains three types of mechanoreceptors: Pacinian corpuscles, Ruffini corpuscles, and free endings. Pacinian corpuscles are the most abundant, located in almost 90% of the ACL insertion zones (tibial and femoral). These receptors represent an estimated volume of nearly 5% of the total ligament (10). The ACL is innervated by posterior articular branches of the tibial nerve and is vascularized by branches of the middle geniculate artery. This ligament also consists of two anatomically distinct anteromedial and posterolateral bundles. A recent cadaveric study of 111 specimens identified a flat twisted ribbon ligament that forms anteromedial and posterolateral fibres and reproduces the two bundles based on knee flexion movements (Figure 1) (11).


The ACL controls the anterior translation and internal rotation of the knee. An anatomical study showed that when the ACL is ruptured, the anterior drawer increases by 10–15 mm at 30° of knee flexion under an anterior load of 134 N. Robotic/universal force-moment sensor test systems have been used to quantify the passive anterior drawer in cadaveric knees at different flexion angles without the influence of active muscle forces. Without these forces, the greatest increase in tibial anterior translation is observed at 15°– 40° of flexion (12). If the ACL is defined as a ligament with two functional bundles, the anteromedial bundle behaves more isometrically in all degrees of knee flexion, while the posteromedial bundle is tense during extension and relaxed during maximum flexion (12).
The rotational control of the ACL is explained by its anatomy, the main structure of which has a complex diagonal pathway, oblique upwards and outwards, through the knee. Cadaveric knees with complete ACL transection show increased internal rotation (12). Amis et al. showed that the axis of rotation shifts from the centre of the knee to a medial position near the medial meniscus when the ACL is ruptured. This includes a 20% shift in the centre of knee rotation into the medial compartment. This increases motion in the lateral compartment (13). While the ACL is the primary break that controls anterior translation and internal rotation, secondary brakes include the collateral ligaments, anterolateral structures, and menisci (14).
The clinical pivot shift test is used to assess rotational instability and test for ACL tears but is influenced by active muscle forces and inter-observer bias. This test includes four grades: grade 1, no snap, grade 2, early snap, grade 3, snap, and grade 4, explosive snap. Correlating these grades with an ACL rupture can be difficult because some knees with a complete ACL rupture do not show a protrusion, highlighting the importance of the secondary brakes (15,16) (Figure 2).

New techniques and tools have been developed to quantify the pivot shift (17). While the pivot shift is more difficult to assess than anterior tibial translation, quantitative accelerometer measurements appear to correlate with the clinical grade (low- and high-grade pivot shifts) under general anaesthesia and tibial translation > 6mm is shown to be a risk factor for high-grade pivot shift (18). A high-grade pivot shift is influenced by bony anatomical factors, such as tibial slope and small lateral plateau area, but is associated with anterolateral meniscal and capsular injuries (19).
Mechanism of the rupture
The anterior cruciate ligament is the primary brake on anterior tibial translation and internal tibial rotation.
ACL rupture is responsible for rotational instability with a recoil of both condyles (lateral condyle >medial condyle) and posterior subluxation of the lateral condyle. Tibial internal rotation is reduced by approximately 13 ± 8 degrees during the pivot shift manoeuvre with a posterior translation of the tibia by approximately 12 ± 8mm (20).
Numerical modeling has provided new options to address knee trauma. Koga et al. analysed the kinematics of an ACL rupture from images of a non-contact injury of the anterior cruciate ligament of a professional athlete during a football match (Figure 3) (21).


These images allowed a 3D analysis of the movement. At the time of the ACL rupture, the knee was flexed between 26–35°, after which the flexion angle continued to increase. The knee had an estimated valgus motion of 21° and the internal rotation was 21°. Anterior tibial translation ranged from 9–22 mm before returning to a reduced position (Figure 4).

Using the same technique to analyse the kinematics of non-contact ACL rupture among ten female handball and basketball players, Koga et al. hypothesised the mechanism of injury (Figure 5) (22).

In the initial phase, a valgus stress is applied, causing tension in the medial collateral ligament (MCL) and compression in the lateral compartment. This compressive load, together with the anterior force vector caused by the quadriceps contraction, causes a displacement of the femur relative to the tibia. While the lateral femoral condyle moves backward, the tibia moves forward and internally rotates, resulting in a rupture of the ACL. Once this occurs, the main restriction to the anterior translation of the tibia disappears. The lateral femoral condyle is also displaced posteriorly, causing the medial condyle to move posteriorly and resulting in external rotation of the tibia.
Owusu-Akyaw et al. extrapolated the position of the knee at the time of ACL rupture from reconstructed MRI images and observed bone swellings (23). No significant differences were found by gender (Figure 6). At the time of rupture, the knee was in flexion at 18.4°–20.2°, the valgus was estimated at 8°–8.3°, the internal rotation was estimated at 5.3°–8.6°, and the anterior tibial translation was estimated to be 24.6 mm–26.9 mm.

MRI analysis of non-contact ACL ruptures showed no gender differences in the location and severity of tibial or femoral bone oedema or of meniscal injury (24). Viskontas et al. measured bone oedema on MRI based on the mechanism of injury. More severe bone bruising in the medial and lateral compartments was found by the non-contact than the contact mechanism (25). While the extent of lateral femoral condyle oedema appears to correlate with the presence of lateral meniscal injury, the presence of bony oedema of the posteromedial tibial plateau appears to correlate with the presence of medial meniscal ramp injury (26,27).
Associated intra- and extra-articular injuries: role in knee stability
The magnitude of rotational instability, assessed by the pivot shift test, is multifactorial (28). The grade of pivot shift is influenced by intra- and extra-articular lesions.
Intra-articular injuries
Intra-articular injuries mainly include medial or lateral meniscal injuries. More specific lesions, such as those of the medial meniscal ramp and the meniscal roots, in particular of the external meniscus, are also experienced (29,30) (Figure 7). Cartilage injuries should also not be overlooked because they are important for the long-term outcome of the knee. The prevalence of medial meniscal ramp injuries is estimated at 15.5–24% (29,31,32).

Meniscal root injuries also play a role in the rotational instability of the knee, in particular external meniscal root injuries (35,36). The prevalence of external meniscus root injuries ranges from 6.6%– 13.5% (30,37). These injuries should be diagnosed and treated simultaneously (Figure 8).

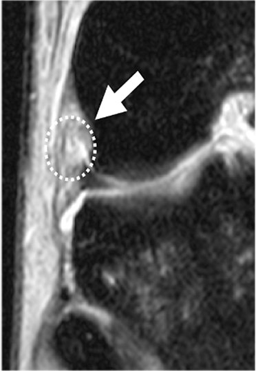
Bone lesions should also be investigated, especially notches in the lateral condyle (Figure 9) and fractures of the posterolateral tibial plateau (Figure 10). Cartilage damage, which may have negative consequences for the future of the knee, can also be found.


In this rotatory instability, there are varying extra-articular lesions of the anterolateral structures and posteromedial capsular plane. Lesion assessment of the medial plane must include both the meniscotendinous complex of the semimembranosus and the medial meniscotibial ramp. The semimembranosus is likely to be involved in the physio-pathogenesis of a medial meniscal ramp injury because of its anatomical relationship with the posterior segment of the medial meniscus and the meniscotibial ligament (33). Thus, according to Hughston, the reflex contraction of the semimembranosus during trauma from excessive anterior tibial subluxation secondary to ACL rupture stresses the posteromedial capsule while the meniscus is trapped between the femur and tibia, leading to tears in the meniscocapsular and/or meniscotibial ligaments (34). These lesions correlate with a high-grade pivot shift so it is important to look for and include them in surgical planning to restore the rotational kinematics of the knee (32).
Extra-articular injuries
Extra-articular meniscus-capsular lesions also influence rotational instability. These involve soft tissue involvement of the anterolateral structures, including the anterolateral ligament and the iliotibial band (Figure 11).

Collateral plane injuries associated with the ACL injury that result in anteromedial or antero-external triads should be investigated. Medial complex involvement includes the MCL and the posterior oblique ligament (POL) (Figure 12) while lateral involvement primarily involves the lateral collateral ligament. MCL injuries are frequently associated with ACL tears (38).

While conservative treatment is acceptable for grade 1 and 2 MCL injuries with potential for healing, there is a lack of consensus on the acute management of grade 3 injuries (39). In the case of delayed management, it is recommended that a technique be used to reconstruct the MCL and the POL. The importance of the POL as the primary stabiliser of internal rotation in early knee flexion should be taken into account (40).
In rare cases, damage to the extensor apparatus, in particular a rupture of the patellar ligament, may be associated with ACL rupture (41).
Influence of associated injuries on the pivot shift
While damage to the external meniscus and anterolateral structures (anterolateral ligament and iliotibial band) are associated with high-grade instability, the influence of associated injuries on the pivot shift remains to be confirmed (19,42). Morphologically, a small lateral tibial plateau diameter and an increased tibial slope influence the amplitude of the pivot shift (43,44).
Ferreti et al. assessed a population of 200 patients with acute ACL rupture and found that anterolateral structure damage was the only risk factor significantly associated with a high-grade pivot shift (42). These results support a biomechanical study that found that sectioning the anterolateral structures increased tibial internal rotation in all degrees of knee flexion. Xu et al. showed that combining anterolateral reconstruction with ACL reconstruction using either lateral tenodesis or anterolateral plasty reduced residual pivot shift and restored near-normal knee kinematics (45). Meanwhile, an analysis evaluating postoperative pivot shift control by comparing isolated ACL reconstructions versus reconstructions associated with lateral tenodesis showed that meniscal injury repair was more closely correlated with pivot shift control than the addition of lateral tenodesis (46). Hoshino et al. also found an increased pivot shift in meniscal lesions with a preponderant effect in case of injury to the lateral meniscus (47).
The presence of meniscal lesions concomitant with an ACL rupture is estimated to be close to 80%, with a higher proportion of acute lateral meniscus lesions and chronic medial meniscus lesions >8 weeks after the trauma (48). The greater incidence of medial meniscus injury resulting from surgical delay is corroborated by other authors, who find up to twice as many medial meniscus injuries 1 year after the trauma (49,50).
ACL rupture: consequences for the knee
ACL rupture and meniscal injuries trigger a cascade of pathogenic processes in the acute phase which are poorly understood. These injuries lead to changes in the static and dynamic loading of the knee that contribute to the initiation and progression of OA. Exogenous factors such as surgery, activity, and new injuries, interact with endogenous factors such as age, gender, genetic variations, and obesity that likely contribute to OA development. These influences likely contribute to the variable rate of OA development after these injuries (51).
A chronic ACL rupture will lead to joint hypermobility, with increased stresses resulting in meniscal and cartilage damage. The role of the menisci decreases as joint stress spreads resulting in premature cartilage wear and eventually OA. Long-term imaging studies indicate that articular cartilage changes more often occur in the medial compartment of the knee rather than the lateral side (52,53) .
Studies have assessed long-term follow-up of knees with chronic anterior laxity. Nebelung et al. reported on the long-term follow-up of 19 athletes who were treated functionally in the 1960s. At 20 years of follow-up, 95% had undergone a meniscectomy and at 35 years, 65% required a total knee arthroplasty (54) (Figure 13). Neyret et al. compared the outcomes of isolated meniscectomies on stable versus unstable knees over 20–34 years. While 86% of patients with unstable knees had radiological OA, 38% of whom required repeat surgery at 30 years, 50% of patients with stable knees had radiological OA, only 5% of whom required repeat surgery (55).
ACL injury alone can lead to knee OA regardless of whether the patient undergoes ACL reconstruction or conservative treatment. In a randomised study of 135 patients, Berenius et al. showed that patients who underwent ACL reconstruction were three times more likely to develop gonarthrosis by the 14 year follow-up than those with healthy knees (56). While unable to completely prevent secondary OA, ACL reconstruction reduces the rate of its occurrence, with moderate to severe OA present in 19% and 29% of cases at 12 and 20 years, respectively (57–59). A comparative study at almost 20 years of follow-up showed that 16.5% of patients that received ACL reconstruction surgery had severe OA compared to 56% of patients who did not receive surgery (60). The protective role of ACL ligamentoplasty was confirmed by a 2014 meta-analysis, which found that the relative risk of developing secondary OA was 3.62 and 4.98 in patients who received and did not receive ACL reconstruction, respectively (61). These studies indicate that ACL reconstruction cannot prevent the onset of OA but can slow down and delay it. ACL reconstruction also reduces the risk of secondary surgery. Chalmers et al. found that patients who received ACL reconstruction had about half the need for secondary meniscal surgery than those who did not receive surgery (62). In a computer model used to estimate the timing of total knee replacement and knee OA, Suter et al. found that the lifetime risk of symptomatic OA was 34% for combined ACL and meniscal injuries, compared with 16% for isolated ACL injuries and 14% for uninjured controls (63). Based on current knowledge, patients without ACL injury have the lowest risk of knee OA, followed first by those with isolated ACL injury, and then by those with combined ACL and meniscus or cartilage injury.
Meniscus and cartilage damage alone can lead to knee OA. Several risk factors for developing secondary OA have been identified, of which the receipt of a medial or lateral meniscectomy is the main risk factor (56–59). In a 20 year follow-up study, Curado et al. showed that the rate of OA was 46% for patients who received a meniscectomy versus 17% for those with an intact meniscus, confirming the protective role played by the menisci and the importance of meniscal preservation during surgery (58). These results correlate with a recent study by Lindanger et al, who found that 55% of patients had Kellgren-Lawrence stage ≥2 OA 25 years after ACL reconstruction compared to 16% of those with healthy contralateral knees. The presence of medial and lateral meniscal lesions at surgery have also been identified as risk factors for the development of OA (64). Residual laxity, >30 years of age at the time of surgery, and contact sports are also identified as contributing factors while the type of graft does not appear to have a long-term influence on OA (56–59).
Conclusion
ACL rupture leads to rotational instability that is not limited to ACL injury. Meniscus and cartilage injuries as well as damage to the extra-articular soft tissues of the anterolateral complex and the posteromedial complex of the knee can also occur. Optimising the reconstruction and restoration of knee anatomy will require thinking outside the notch. The key to ACL reconstruction requires a strong understanding of the pathophysiology of an ACL injury. Clinical preoperative evaluation and imaging will make it easier to identify lesions in and outside the notch and anticipate relevant surgical solutions.
Références
1. Montalvo AM, Schneider DK, Yut L, Webster KE, Beynnon B, Kocher MS, et al. « What’s my risk of sustaining an ACL injury while playing sports? » A systematic review with meta-analysis. Br J Sports Med. 2019;53(16):1003‑12.
2. Montalvo AM, Schneider DK, Silva PL, Yut L, Webster KE, Riley MA, et al. « What’s my risk of sustaining an ACL injury while playing football (soccer)? » A systematic review with meta-analysis. Br J Sports Med. 2019;53(21):1333‑40.
3. Renstrom P, Ljungqvist A, Arendt E, Beynnon B, Fukubayashi T, Garrett W, et al. Non-contact ACL injuries in female athletes: an International Olympic Committee current concepts statement. Br J Sports Med. 2008;42(6):394‑412.
4. Sanders TL, Maradit Kremers H, Bryan AJ, Larson DR, Dahm DL, Levy BA, et al. Incidence of Anterior Cruciate Ligament Tears and Reconstruction: A 21-Year Population-Based Study. Am J Sports Med. 2016;44(6):1502‑7.
5. Mihata LCS, Beutler AI, Boden BP. Comparing the incidence of anterior cruciate ligament injury in collegiate lacrosse, soccer, and basketball players: implications for anterior cruciate ligament mechanism and prevention. Am J Sports Med. 2006;34(6):899‑904.
6. Arendt E, Dick R. Knee injury patterns among men and women in collegiate basketball and soccer. NCAA data and review of literature. Am J Sports Med. 1995;23(6):694‑701.
7. Agel J, Arendt EA, Bershadsky B. Anterior cruciate ligament injury in national collegiate athletic association basketball and soccer: a 13-year review. Am J Sports Med. 2005;33(4):524‑30.
8. Serpell BG, Scarvell JM, Ball NB, Smith PN. Mechanisms and Risk Factors for Noncontact ACL Injury in Age Mature Athletes Who Engage in Field Or Court Sports: A Summary of the Literature Since 1980. The Journal of Strength & Conditioning Research. 2012;26(11):3160‑76.
9. Mather RC, Koenig L, Kocher MS, Dall TM, Gallo P, Scott DJ, et al. Societal and Economic Impact of Anterior Cruciate Ligament Tears. J Bone Joint Surg Am. 2013;95(19):1751‑9.
10. Masson E. Les mécanorécepteurs du ligament croisé antérieur chez le fœtus [Internet]. EM-Consulte. [cité 10 févr 2022]. Disponible sur: https://www.em-consulte.com/article/133569/les-mecanorecepteurs-du-ligament-croise-anterieur-
11. Śmigielski R, Zdanowicz U, Drwięga M, Ciszek B, Ciszkowska-Łysoń B, Siebold R. Ribbon like appearance of the midsubstance fibres of the anterior cruciate ligament close to its femoral insertion site: a cadaveric study including 111 knees. Knee Surg Sports Traumatol Arthrosc. 2015;23(11):3143‑50.
12. Kondo E, Merican AM, Yasuda K, Amis AA. Biomechanical analysis of knee laxity with isolated anteromedial or posterolateral bundle-deficient anterior cruciate ligament. Arthroscopy. mars 2014;30(3):335‑43.
13. Amis AA, Bull AMJ, Lie DTT. Biomechanics of rotational instability and anatomic anterior cruciate ligament reconstruction. Operative Techniques in Orthopaedics. 2005;15(1):29‑35.
14. Kanamori A, Sakane M, Zeminski J, Rudy TW, Woo SL. In-situ force in the medial and lateral structures of intact and ACL-deficient knees. J Orthop Sci. 2000;5(6):567‑71.
15. Lord B, Amis AA. The Envelope of Laxity of the Pivot Shift Test. In: Musahl V, Karlsson J, Kuroda R, Zaffagnini S, éditeurs. Rotatory Knee Instability: An Evidence Based Approach [Internet]. Cham: Springer International Publishing; 2017 [cité 11 févr 2022]. p. 223‑34. Disponible sur: https://doi.org/10.1007/978-3-319-32070-0_18
16. Bull AMJ, Amis AA. The pivot-shift phenomenon: a clinical and biomechanical perspective. The Knee. 1998;5(3):141‑58.
17. Araujo PH, Ahlden M, Hoshino Y, Muller B, Moloney G, Fu FH, et al. Comparison of three non-invasive quantitative measurement systems for the pivot shift test. Knee Surg Sports Traumatol Arthrosc. 2012;20(4):692‑7.
18. Helfer L, Vieira TD, Praz C, Fayard JM, Thaunat M, Saithna A, et al. Triaxial accelerometer evaluation is correlated with IKDC grade of pivot shift. Knee Surg Sports Traumatol Arthrosc. 2020;28(2):381‑8.
19. Tanaka M, Vyas D, Moloney G, Bedi A, Pearle AD, Musahl V. What does it take to have a high-grade pivot shift? Knee Surg Sports Traumatol Arthrosc. 2012;20(4):737‑42.
20. Bull AMJ, Earnshaw PH, Smith A, Katchburian MV, Hassan ANA, Amis AA. Intraoperative measurement of knee kinematics in reconstruction of the anterior cruciate ligament. J Bone Joint Surg Br. 2002;84(7):1075‑81.
21. Koga H, Bahr R, Myklebust G, Engebretsen L, Grund T, Krosshaug T. Estimating anterior tibial translation from model-based image-matching of a noncontact anterior cruciate ligament injury in professional football: a case report. Clin J Sport Med. 2011;21(3):271‑4.
22. Koga H, Nakamae A, Shima Y, Iwasa J, Myklebust G, Engebretsen L, et al. Mechanisms for noncontact anterior cruciate ligament injuries: knee joint kinematics in 10 injury situations from female team handball and basketball. Am J Sports Med. 2010;38(11):2218‑25.
23. Owusu-Akyaw KA, Kim SY, Spritzer CE, Collins AT, Englander ZA, Utturkar GM, et al. Determination of the Position of the Knee at the Time of an Anterior Cruciate Ligament Rupture for Male Versus Female Patients by an Analysis of Bone Bruises. Am J Sports Med. 2018;46(7):1559‑65.
24. Wittstein J, Vinson E, Garrett W. Comparison Between Sexes of Bone Contusions and Meniscal Tear Patterns in Noncontact Anterior Cruciate Ligament Injuries. Am J Sports Med. 2014;42(6):1401‑7.
25. Viskontas DG, Giuffre BM, Duggal N, Graham D, Parker D, Coolican M. Bone bruises associated with ACL rupture: correlation with injury mechanism. Am J Sports Med. 2008;36(5):927‑33.
26. Beel W, Mouton C, Tradati D, Nührenbörger C, Seil R. Ramp lesions are six times more likely to be observed in the presence of a posterior medial tibial bone bruise in ACL-injured patients. Knee Surg Sports Traumatol Arthrosc. 2022;30(1).
27. Bisson LJ, Kluczynski MA, Hagstrom LS, Marzo JM. A prospective study of the association between bone contusion and intra-articular injuries associated with acute anterior cruciate ligament tear. Am J Sports Med. 2013;41(8):1801‑7.
28. Vaudreuil NJ, Rothrauff BB, de SA D, Musahl V. The Pivot Shift: Current Experimental Methodology and Clinical Utility for Anterior Cruciate Ligament Rupture and Associated Injury. Curr Rev Musculoskelet Med. 2019;12(1):41‑9.
29. Sonnery-Cottet B, Praz C, Rosenstiel N, Blakeney WG, Ouanezar H, Kandhari V, et al. Epidemiological Evaluation of Meniscal Ramp Lesions in 3214 Anterior Cruciate Ligament-Injured Knees From the SANTI Study Group Database: A Risk Factor Analysis and Study of Secondary Meniscectomy Rates Following 769 Ramp Repairs. Am J Sports Med. 2018;46(13):3189‑97.
30. Praz C, Vieira TD, Saithna A, Rosentiel N, Kandhari V, Nogueira H, et al. Risk Factors for Lateral Meniscus Posterior Root Tears in the Anterior Cruciate Ligament-Injured Knee: An Epidemiological Analysis of 3956 Patients From the SANTI Study Group. Am J Sports Med. 2019;47(3):598‑605.
31. Seil R, Mouton C, Coquay J, Hoffmann A, Nührenbörger C, Pape D, et al. Ramp lesions associated with ACL injuries are more likely to be present in contact injuries and complete ACL tears. Knee Surg Sports Traumatol Arthrosc. 2018;26(4):1080‑5.
32. Thaunat M, Ingale P, Penet A, Kacem S, Haidar I, Bauwens P-H, et al. Sous-types de lésions rampantes : prévalence, imagerie et résultats arthroscopiques dans 2 156 reconstructions du ligament croisé antérieur. Am J Sports Med. 2021;49(7):1813‑21.
33. Cavaignac E, Sylvie R, Teulières M, Fernandez A, Frosch K-H, Gomez-Brouchet A, et al. What Is the Relationship Between the Distal Semimembranosus Tendon and the Medial Meniscus? A Gross and Microscopic Analysis From the SANTI Study Group. Am J Sports Med. 2021;49(2):459‑66.
34. Hughston JC. Knee Ligaments: Injury & Repair. Mosby; 1993. 504 p.
35. Shybut TB, Vega CE, Haddad J, Alexander JW, Gold JE, Noble PC, et al. Effect of lateral meniscal root tear on the stability of the anterior cruciate ligament-deficient knee. Am J Sports Med. 2015;43(4):905‑11.
36. Zhou M. Effect of meniscal root tear on pivot shift test after anterior cruciate ligament-deficient. Orthopaedic Journal of Sports Medicine. 2020;8(9_suppl7):2325967120S00523.
37. Ciatti R, Gabrielli A, Iannella G, Mariani PP. Arthroscopic incidence of lateral meniscal root avulsion in patients with anterior cruciate ligament injury. J Orthop Traumatol. 2021;22(1):30.
38. Elkin JL, Zamora E, Gallo RA. Combined Anterior Cruciate Ligament and Medial Collateral Ligament Knee Injuries: Anatomy, Diagnosis, Management Recommendations, and Return to Sport. Current Reviews in Musculoskeletal Medicine. 2019;12(2):239.
39. Guenther D, Pfeiffer T, Petersen W, Imhoff A, Herbort M, Achtnich A, et al. Treatment of Combined Injuries to the ACL and the MCL Complex: A Consensus Statement of the Ligament Injury Committee of the German Knee Society (DKG). Orthopaedic Journal of Sports Medicine. 2021;9(11):23259671211050930.
40. D’Ambrosi R, Corona K, Guerra G, Rubino M, Di Feo F, Ursino N. Biomechanics of the posterior oblique ligament of the knee. Clin Biomech (Bristol, Avon). 2020;80.
41. Kim DH, Lee GC, Park S-H. Acute Simultaneous Ruptures of the Anterior Cruciate Ligament and Patellar Tendon. Knee Surg Relat Res. 2014;26(1):56‑60.
42. Ferretti A, Monaco E, Gaj E, Andreozzi V, Annibaldi A, Carrozzo A, et al. Risk Factors for Grade 3 Pivot Shift in Knees With Acute Anterior Cruciate Ligament Injuries: A Comprehensive Evaluation of the Importance of Osseous and Soft Tissue Parameters From the SANTI Study Group. Am J Sports Med. 2020;48(10):2408‑17.
43. Musahl V, Ayeni OR, Citak M, Irrgang JJ, Pearle AD, Wickiewicz TL. The influence of bony morphology on the magnitude of the pivot shift. Knee Surg Sports Traumatol Arthrosc. 2010;18(9):1232‑8.
44. Rahnemai-Azar AA, Abebe ES, Johnson P, Labrum J, Fu FH, Irrgang JJ, et al. Increased lateral tibial slope predicts high-grade rotatory knee laxity pre-operatively in ACL reconstruction. Knee Surg Sports Traumatol Arthrosc. 2017;25(4):1170‑6.
45. Xu J, Han K, Lee TQ, Xu C, Su W, Chen J, et al. Anterolateral Structure Reconstruction Similarly Improves the Stability and Causes Less Overconstraint in Anterior Cruciate Ligament-Reconstructed Knees Compared with Modified Lemaire Lateral Extra-articular Tenodesis: A Biomechanical Study. Arthroscopy. 2021;S0749-8063(21)00647-2.
46. Jacquet C, Pioger C, Seil R, Khakha R, Parratte S, Steltzlen C, et al. Incidence and Risk Factors for Residual High-Grade Pivot Shift After ACL Reconstruction With or Without a Lateral Extra-articular Tenodesis. Orthop J Sports Med. 2021;9(5):23259671211003590.
47. Hoshino Y, Miyaji N, Nishida K, Nishizawa Y, Araki D, Kanzaki N, et al. The concomitant lateral meniscus injury increased the pivot shift in the anterior cruciate ligament-injured knee. Knee Surg Sports Traumatol Arthrosc. 2019;27(2):646‑51.
48. Hagino T, Ochiai S, Senga S, Yamashita T, Wako M, Ando T, et al. Meniscal tears associated with anterior cruciate ligament injury. Arch Orthop Trauma Surg. 2015;135(12):1701‑6.
49. Cantin O, Lustig S, Rongieras F, Saragaglia D, Lefèvre N, Graveleau N, et al. Outcome of cartilage at 12years of follow-up after anterior cruciate ligament reconstruction. Orthop Traumatol Surg Res. 2016;102(7):857‑61.
50. Brambilla L, Pulici L, Carimati G, Quaglia A, Prospero E, Bait C, et al. Prevalence of Associated Lesions in Anterior Cruciate Ligament Reconstruction: Correlation With Surgical Timing and With Patient Age, Sex, and Body Mass Index. Am J Sports Med. 2015;43(12):2966‑73.
51. Lohmander LS, Englund PM, Dahl LL, Roos EM. The long-term consequence of anterior cruciate ligament and meniscus injuries: osteoarthritis. Am J Sports Med. 2007;35(10):1756‑69.
52. Seon JK, Song EK, Park SJ. Osteoarthritis after anterior cruciate ligament reconstruction using a patellar tendon autograft. Int Orthop. 2006;30(2):94‑8.
53. Kumar D, Su F, Wu D, Pedoia V, Heitkamp L, Ma CB, et al. Frontal Plane Knee Mechanics and Early Cartilage Degeneration in People With Anterior Cruciate Ligament Reconstruction: A Longitudinal Study. Am J Sports Med. 2018;46(2):378‑87.
54. Nebelung W, Wuschech H. Thirty-five years of follow-up of anterior cruciate ligament-deficient knees in high-level athletes. Arthroscopy. 2005;21(6):696‑702.
55. Neyret P, Donell ST, Dejour H. Results of partial meniscectomy related to the state of the anterior cruciate ligament. Review at 20 to 35 years. J Bone Joint Surg Br. 1993;75(1):36‑40.
56. Barenius B, Ponzer S, Shalabi A, Bujak R, Norlén L, Eriksson K. Increased risk of osteoarthritis after anterior cruciate ligament reconstruction: a 14-year follow-up study of a randomized controlled trial. Am J Sports Med. 2014;42(5):1049‑57.
57. Lecoq F-A, Parienti J-J, Murison J, Ruiz N, Bouacida K, Besse J, et al. Graft Choice and the Incidence of Osteoarthritis After Anterior Cruciate Ligament Reconstruction: A Causal Analysis From a Cohort of 541 Patients. Am J Sports Med. 2018;46(12):2842‑50.
58. Curado J, Hulet C, Hardy P, Jenny J-Y, Rousseau R, Lucet A, et al. Very long-term osteoarthritis rate after anterior cruciate ligament reconstruction: 182 cases with 22-year’ follow-up. Orthop Traumatol Surg Res. 2020;106(3):459‑63.
59. Cantin O, Lustig S, Rongieras F, Saragaglia D, Lefèvre N, Graveleau N, et al. Devenir cartilagineux à 12ans de recul après reconstruction du ligament croisé antérieur. Revue de Chirurgie Orthopédique et Traumatologique. 2016;102(7):621‑6.
60. Mihelic R, Jurdana H, Jotanovic Z, Madjarevic T, Tudor A. Long-term results of anterior cruciate ligament reconstruction: a comparison with non-operative treatment with a follow-up of 17-20 years. Int Orthop. 2011;35(7):1093‑7.
61. Ajuied A, Wong F, Smith C, Norris M, Earnshaw P, Back D, et al. Anterior cruciate ligament injury and radiologic progression of knee osteoarthritis: a systematic review and meta-analysis. Am J Sports Med. 2014;42(9):2242‑52.
62. Chalmers PN, Mall NA, Moric M, Sherman SL, Paletta GP, Cole BJ, et al. Does ACL reconstruction alter natural history?: A systematic literature review of long-term outcomes. J Bone Joint Surg Am. 2014;96(4):292‑300.
63. Suter LG, Smith SR, Katz JN, Englund M, Hunter DJ, Frobell R, et al. Projecting Lifetime Risk of Symptomatic Knee Osteoarthritis and Total Knee Replacement in Individuals Sustaining a Complete Anterior Cruciate Ligament Tear in Early Adulthood. Arthritis Care Res (Hoboken). 2017;69(2):201‑8.
64. Lindanger L, Strand T, Mølster AO, Solheim E, Fischer-Bredenbeck C, Ousdal OT, et al. Predictors of Osteoarthritis Development at a Median 25 Years After Anterior Cruciate Ligament Reconstruction Using a Patellar Tendon Autograft. Am J Sports Med. 2022;03635465221079327.