Supratuberositary tibial deformational osteotomy: For patellofemoral instability due to excessive tibial torsion
Background: Patellofemoral instability is a multifactorial condition often associated with coronal malalignment, trochlear dysplasia, and increased tibial tuberosity–trochlear groove (TT-TG) distance. While medial patellofemoral ligament reconstruction and tibial tubercle osteotomy are common, excessive external tibial torsion is an under-recognized contributor to recurrent instability and persistent anterior knee pain.
Objective: This article describes the indications, preoperative imaging protocols, and surgical technique for supratuberositary tibial derotational osteotomy to address patellofemoral maltracking.
Key Points: Surgical intervention is indicated for symptomatic patients with external tibial torsion exceeding 40° and a TT-TG distance greater than 20 mm. Preoperative assessment requires a CT rotational profile to measure femoral anteversion, knee rotation, and tibial torsion. The procedure involves an anterolateral approach distal to Gerdy’s tubercle, followed by a transverse osteotomy proximal to the tibial tubercle. Intraoperative correction is guided by Schanz pins and a sterile goniometer, with an estimated 0.7 mm reduction in TT-TG distance for every 1° of derotation. Fixation is achieved using lateral compression staples or specifically designed plates. Potential risks include the need for fibular osteotomy when corrections exceed 15° and the requirement for peroneal nerve neurolysis in high-degree rotations. Postoperative protocols emphasize immediate mobilization and progressive weight bearing to mitigate arthrofibrosis.
Conclusion: Supratuberositary tibial derotational osteotomy is an effective technique for correcting patellofemoral instability in the presence of significant torsional deformities. Precise preoperative planning and intraoperative alignment are essential to restore joint mechanics and improve clinical outcomes.
Introduction
Patellofemoral instability can be caused by several conditions, such as valgus alignment of the lower limb, patella alta, dysplastic trochlea, an increased tibial tuberosity–trochlear groove distance (TT-TG), excessive external tibial torsion, increased femoral anteversion or insufficiency of the medial patellofemoral ligament (MPFL). Each of these conditions must be studied in detail to plan for an “à la carte menu” surgery if indicated, sometimes requiring the combination of two or more techniques depending on the physical examination and subsequent findings.
Most surgeons assess the MPFL and TT-TG distance and other conditions within the knee joint. However, missing an excessive external tibial torsion can lead to poor results, pain, or recurrent instability [1]. There is growing evidence that bony geometry and limb alignment play a major role in various patellofemoral disorders, and torsional osteotomies have demonstrated to significantly reduce anterior knee pain and patellofemoral instability[2].
From a biomechanical point of view, it is important to know whether the excessive tibial torsion is proximal or distal to the tibial tubercle (TT). If the deformity is proximal to the TT, an excessive tibial torsion will lead to an increase of the TT-TG distance as it lateralizes the tubercle adding instability to the patella. On the other hand, if the deformity is located distally to the TT, it influences on the gait and forefoot progression angle, but the complex biomechanical relationship to patellofemoral instability or pain is not fully understood yet [3].
Therefore, tibial derotational supratuberositary osteotomies are procedures that can correct an abnormal tibial torsion and can secondarily emend the TT-TG distance. This may address different scenarios with instability and pain, with just one simple surgical technique.
IMAGING
Routine examination of the lower limb is mandatory in all cases in order not to miss any coronal deformities, wear in the tibio-femoral joint, or additional pathology. This includes full length standing x-rays for varus-valgus alignment, Rosenberg’s view for joint space analysis, lateral x-rays for assessing patellar height, trochlear spur or double contour, and MRI for intraarticular lesions, loose bodies, or analysis of the trochlear shape.
Any patellar instability should include a standardized clinical examination for torsional deformities of the lower limb with rotational analysis of the hip and forefoot in supine and prone position. However, to accurately and properly assess any torsional deformity a CT rotational profile of the whole lower limb with a hip-knee-ankle is required. Although torsional axial plane MRI’s are also valid for measuring torsion with no radiation exposure, a more exact measurement can be achieved with bony references with a torsional CT scan, and at a much lower cost.
CT rotational profile must include calculation of the femoral anteversion, knee rotation, TT-TG distance, and tibial torsion, naming these last two as the most relevant for the procedure described in this study.
The TT-TG distance can be measured as the mediolateral distance between the midpoint of the insertion of the patellar tendon and the trochlear groove (Figure 1).

Tibial torsion is measured between a reference line tangential to the posterior border of the tibial plateau right above the tip of the fibular head, and with a second line that runs through the center of the medial and lateral malleolus [5]. (Figure 2)

In patients with patellar instability, a pathological TT-TG distance is considered a facilitating factor for dislocation. However, the TT-TG distance gives little information about the exact location of the deformity. Alternatively, the more recently described TT-PCL distance is not influenced by the rotation of the knee or the shape of the trochlea and can also be used for determining the lateral displacement of the TT.[6]
This TT-PCL distance is measured as the mediolateral distance between the midpoint of the insertion of the patellar tendon and the medial border of the tibial PCL attachment.
INDICATIONS
Symptomatic patients with anterior knee pain and/or recurrent patellar dislocations will be elected for a correct clinical examination and a torsional CT scan.
Excessive external tibial torsion can be an isolated finding. However, it can also be associated with, or secondary to, excessive femoral anteversion, needing a combined surgery[7]. In this surgical technique we will focus on an isolated tibial supratuberositary deformity. The threshold value to consider when facing a tibial torsion is somehow controversial. In general, normality averages upon 20º. However, a high variability in normal values has been reported. To date, no consensus exists for normal and pathological tibial torsion, respectively. Based on a previously published study investigating tibial torsion on 504 intact tibiae in healthy volunteers, the cut-off value from normal to increased external TTT was set at 35°[8]. However, we suggest that a more proper threshold to undergo for a tibial derotational osteotomy should take place when the tibial torsion is at least above 40º. A stronger recommendation is carried out when this value surpasses 45º.
Pathological tibial torsion is not always related to an increase of the TT-TG distance and can be an infratuberositary deformity[3]. However, TT-TG distances above 15mm are considered to need correction in cases of patellofemoral pain. In cases of patellofemoral instability, this correction is roughly considered when the TT-TG distance rises above 20mm. The combination of excessive external tibial torsion and TT-TG distances above these limits can be anatomically adjusted with a supratuberositary tibial derotational osteotomy. In lower TT-TG values, other predisposing factors must be ruled out.
SURGICAL TECHNIQUE
Positioning
Standard positioning of the knee can be used, with the knee flexed at 90º with a foot and lateral support similarly to a knee replacement procedure. Caution must be taken not to create conflict between the foot support and the imaging intensifier under the surgical table at the knee joint. As we perform a lateral approach, we recommend locating the imaging intensifier on the contralateral side of the knee.
Arthroscopy
Recurrent patellar instability is a multifactorial disorder as previously stated. A knee arthroscopy is recommended prior to the osteotomy to assess any intraarticular pathology if needed, along with a correct visualization of the articular cartilage.
Surgical technique
We perform an antero-lateral longitudinal straight approach with an incision centered between the tibial tubercle and the fibular head, distally to the Gerdy’s tubercle[9] (Figure 3). The tibialis anterior compartment must be opened and detached from the proximal tibia to expose the osteotomy site. (Figure 4)


When assessing corrections of more than 15º, an osteotomy of the fibular can be considered. This can be done through the same approach, protecting the neck with two small Hohmann retractors, starting with a 10mm-width saw, and completing it with a small osteotome (Figure 5). The fibular neck osteotomy allows for an easier derotation but will add some instability. The authors prefer a fibular neck osteotomy than a proximal tibio-fibular joint detachment, if needed.

In order to go proximal to the TT, the patellar tendon must be identified and even a 5mm detachment of the most proximal fibers can be perform with a #15 blade to obtain more room for the osteotomy procedure. A lateral retinaculum release is usually performed to protect the tendon and to prevent excessive increment of the lateral patellofemoral forces with the derotation.
At this point, the level of the torsional osteotomy is defined by a k-wire (2 mm). The osteotomy needs to be exactly parallel to the joint line in the coronal and sagittal planes to avoid a second deformity in the frontal plane by an oblique osteotomy (Figure 6). To achieve a better control over the sagittal plane, it is recommended to position 2 k-wires in the first cases parallel to the tibial slope. However, in experienced hands this is not always necessary.

To ensure intraoperative torsional control, two 5mm-Schanz pins are placed proximally and distally to the level of the osteotomy with the desired angulation correction value.
The proximal pin is placed perpendicular to the tibial axis and the distal screw in an oblique position exactly in the torsional angle planned (Figure 7). The objective is that at the end of the derotation step, both pins will end up parallel to each other.

The critical step of the surgery is to correctly measure the amount of correction to avoid under or over-correction. This can be achieved with a sterile angle gauge or goniometer as shown (Figure 8). If a goniometer is not available, you can predict the amount of correction on an axial view of the CT scan at the level of the osteotomy, measuring the millimeters between the angle of correction at the cortex of the tibia. Recently, patient specific instrumentation (PSI) has also been developed for more accuracy of the correction as planned in a prior CT scan.[10]

The estimated change in TT-TG distance per each degree of derotational correction is 0.68mm. That is, for every 10º of correction, the TT-TG distance will be reduced in approximately 7mm.[11]
At this point, the osteotomy is started with an oscillating saw and completed with a sharp osteotome, protecting soft tissues at the anterior aspect (patellar tendon) and taking special attention to the neurovascular structures at the posterior aspect with a blunt Hohmann retractor (Figure 9).

After completing the osteotomy (Figure 10), internal rotation of the distal tibia is performed until both Schanz screws are completely parallel (Figure 11).


We do not recommend exceeding a correction of 20º. When more that 20º of deformity is detected, abnormalities at different levels must be ruled out.
In addition, when performing more than 15º of internal torsion at the proximal tibia, a partial neurolysis of the peroneal nerve may be recommended.[12]
Fixation Method
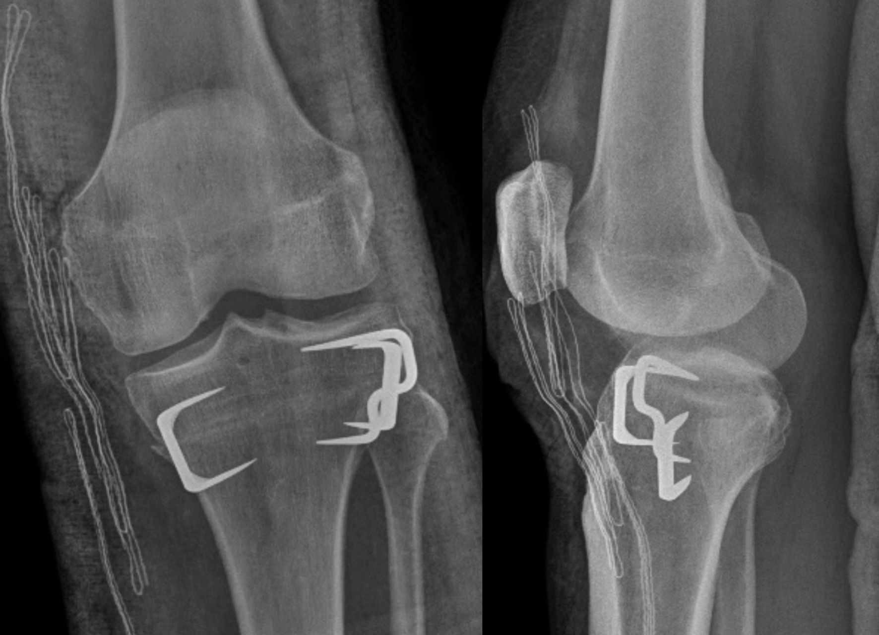
Once the derotation is achieved, the tibia must be fixed in the new position. This can be done with specifically designed plates and screws, or with staples. This decision will be left to surgeon's preference. Plating has the advantage of more theoretical stability. However, its drawbacks include losing some degree of correction while plating (longer time screwing), longer procedure time, need of hardware removal, longer incision, and a higher cost. It is likely more suitable for tridimensional osteotomies (correction of valgus and torsion) where a more rigid fixation is required (Figure 12).

In isolated supratuberositary osteotomies, lateral compression staples are usually enough for a correct fixation. It reduces the operating time and maintains the correction of the torsion quickly when obtained, while also being less irritating for soft tissues than a plate. The use of two staples is recommended. The first staple is inserted from lateral to medial (Figure 13), and the second staple can be inserted in the same manner or, if possible, from anterior to posterior, perpendicular to the other to prevent loss of rotation (Figure 14). In some cases of medial opening after fixation, a further staple can be added on the medial side with a small incision (Figure 15). However, this is not advised as the medial staples can be highly irritating.



Managing patellar height
Patellar height must be considered at all times as it is an independent risk factor for patellar instability. In cases with patella alta (CDI > 1.3), if a derotational osteotomy is needed, the tibial tubercle must be osteotomized and advanced distally after the torsional osteotomy is performed. In some cases, the surgeon must consider performing an isolated tibial tubercle transfer (medialization and distalization without a derotational osteotomy) if the tibial external torsion does not exceed 45º in combination with a TT-TG > 20 mm and patella alta.
POSTOPERATIVE CARE
Mobilization of the knee must take place immediately to prevent arthrofibrosis, especially when combined with other procedures such as MPFL or trochleoplasty.
Active and passive exercises can be performed from day one including CPM machine and isometric contractions. There is no limitation in terms of range of motion. Flexion is increased as tolerated. Patients are mobilized with the use of crutches, allowing proprioceptive weight bearing for the first two weeks for pain control, and progressing to partial and full weight bearing in extension from week 2 to 4. At 6 weeks an X-ray control is carried out to reassure the proper healing of the bone - subsequently, full weight bearing without protection is then allowed. Unrestricted closed kinetic chain exercises will be allowed by week 12, along with running and return to full activities after 6 months.[1] (Figure 16)

CONCLUSION
Supratuberositary tibial derotational osteotomy is indicated in patellar instability when there is an association of excessive external tibial torsion >40º and a TT-TG distance >20mm. Other risk factors for patellar instability must be ruled out. Early mobilization is recommended to prevent the risk of arthrofibrosis, and WB can be implemented as tolerated due to the stability of the osteotomy.
References
1. Cameron JC SS. External tibial torsion: an under-recognized cause of recurrent patellar dislocation. Clin Orthop Relat Res. 1996;(328):177-184.
2. Dickschas J, Harrer J, Pfefferkorn R SW. Operative treatment of patellofemoral maltracking with torsional osteotomy. Arch Orthop Trauma Surg. 2012;132(3):289-298.
3. Winkler PW, Lutz PM, Rupp MC, et al. Increased external tibial torsion is an infratuberositary deformity and is not correlated with a lateralized position of the tibial tuberosity. Knee Surgery, Sport Traumatol Arthrosc. 2021;29(5):1678-1685. doi:10.1007/s00167-020-06291-z
4. Schoettle PB, Zanetti M, Seifert B, Pfirrmann CW, Fucentese SF RJ. The tibial tuberosity-trochlear groove distance; a comparative study between CT and MRI scanning. Knee. 2006;13:26-31.
5. Schneider B, Laubenberger J, Jemlich S, Groene K, Weber HM LM. Measurement of femoral antetorsion and tibial torsion by magnetic resonance imaging. Br J Radiol. 1997;(70):575-579.
6. Seitlinger G, Scheurecker G, Högler R, Labey L, Innocenti B, Hofmann S. Tibial tubercle-posterior cruciate ligament distance: A new measurement to define the position of the tibial tubercle in patients with patellar dislocation. Am J Sports Med. 2012;40(5):1119-1125. doi:10.1177/0363546512438762
7. Fouilleron N, Marchetti E, Autissier G, Gougeon F, Migaud H, Girard J. Proximal tibial derotation osteotomy for torsional tibial deformities generating patello-femoral disorders. Orthop Traumatol Surg Res. 2010;96(7):785-792. doi:10.1016/j.otsr.2010.04.008
8. Strecker W, Keppler P, Gebhard F KL. Length and torsion of the lower limb. J Bone Jt Surg Br. 1997;(79):1019–1023.
9. Strecker W DJ. Torsional osteotomy : operative treatment of patellofemoral maltracking. Oper Orthop Traumatol. 2015;27(06):205-524.
10. Jud L, Beeler S, Vlachopoulos L, et al. Accuracy of three dimensional-planned patient-specific instrumentation in femoral and tibial rotational osteotomy for patellofemoral instability. Int Orthop. 2020:1-7.
11. Jud L, Singh S, Tondelli T, Fürnstahl P, Fucentese SF, Vlachopoulos L. Combined Correction of Tibial Torsion and Tibial Tuberosity–Trochlear Groove Distance by Supratuberositary Torsional Osteotomy of the Tibia. Am J Sports Med. 2020;48(9):2260-2267. doi:10.1177/0363546520929687
12. Dickschas J, Tassika A, Lutter C, Harrer J, Strecker W. Torsional osteotomies of the tibia in patellofemoral dysbalance. Arch Orthop Trauma Surg. 2017;137(2):179-185. doi:10.1007/s00402-016-2599-1
13. Paulos L, Swanson SC, Stoddard GJ, Barber-Westin S. Surgical correction of limb malalignment for instability of the patella: A comparison of 2 techniques. Am J Sports Med. 2009;37(7):1288-1300. doi:10.1177/0363546509334223
14. Drexler M, Dwyer T, Dolkart O, et al. Tibial rotational osteotomy and distal tuberosity transfer for patella subluxation secondary to excessive external tibial torsion: surgical technique and clinical outcome. Knee Surgery, Sport Traumatol Arthrosc. 2014;22(11):2682-2689. doi:10.1007/s00167-013-2561-5